JavaScript is disabled in your browser. Please enable JavaScript to view this website.
AB228461

Anti-BRAF (mutated V600E) 抗体 [VE1]

Anti-BRAF (mutated V600E) antibody [VE1]

4

(7 Reviews)

|

(129 Publications)

Anti-BRAF (mutated V600E) antibody [VE1] (ab228461) is a mouse monoclonal antibody detecting BRAF in Western Blot, IHC-P. Suitable for Human.

- Biophysical QC for unrivalled batch-batch consistency
- Over 110 publications

查看别名

BRAF1, RAFB1, BRAF, Serine/threonine-protein kinase B-raf, Proto-oncogene B-Raf, p94, v-Raf murine sarcoma viral oncogene homolog B1

5 Images
Immunohistochemistry (Formalin/PFA-fixed paraffin-embedded sections) - Anti-BRAF (mutated V600E) antibody [VE1] (AB228461)
  • IHC-P

Lab

Immunohistochemistry (Formalin/PFA-fixed paraffin-embedded sections) - Anti-BRAF (mutated V600E) antibody [VE1] (AB228461)

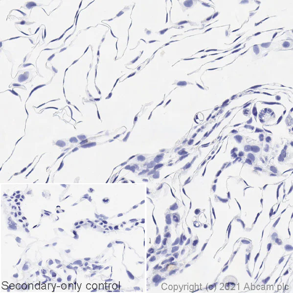
Immunohistochemical analysis of formalin fixed paraffin embedded human melanoma labelling BRAF (mutated V600E) with ab228461 at 1/600 dilution. The immunostaining was performed on a Ventana DISCOVERY ULTRA (Roche Tissue Diagnostics) instrument with an OptiView DAB IHC Detection Kit. Heat mediated antigen retrieval was conducted for 32 mins at 100°C with ULTRA cell conditioning solution (CC1, pH 8.5). ab228461 anti-BRAF (mutated V600E) antibody [VE1] was incubated at 37°C for 16 mins. Sections were counterstained with Hematoxylin II. Image inset shows absence of staining in secondary antibody only control.

Immunohistochemistry (Formalin/PFA-fixed paraffin-embedded sections) - Anti-BRAF (mutated V600E) antibody [VE1] (AB228461)
  • IHC-P

Lab

Immunohistochemistry (Formalin/PFA-fixed paraffin-embedded sections) - Anti-BRAF (mutated V600E) antibody [VE1] (AB228461)

Negative control cell line image : IHC image of BRAF (mutated V600E) staining in a section of formalin-fixed paraffin-embedded Caco-2 cell line performed on a Leica BOND™ system using the standard protocol. The section was pre-treated using heat mediated antigen retrieval with sodium citrate buffer (pH6, epitope retrieval solution 1) for 20mins. The section was then incubated with ab228461, 5ug/ml, for 15 mins at room temperature and detected using an HRP conjugated compact polymer system. DAB was used as the chromogen. The section was then counterstained with haematoxylin and mounted with DPX. The inset secondary-only control image is taken from an identical assay without primary antibody.

This image was generated in-house using a previous batch, manufactured using hybridoma production method.

Immunohistochemistry (Formalin/PFA-fixed paraffin-embedded sections) - Anti-BRAF (mutated V600E) antibody [VE1] (AB228461)
  • IHC-P

Lab

Immunohistochemistry (Formalin/PFA-fixed paraffin-embedded sections) - Anti-BRAF (mutated V600E) antibody [VE1] (AB228461)

IHC image of BRAF (mutated V600E) staining in a section of formalin-fixed paraffin-embedded A375 cell line (carrying mutant BRAF V600E) performed on a Leica BOND™ system using the standard protocol. The section was pre-treated using heat mediated antigen retrieval with sodium citrate buffer (pH6 epitope retrieval solution 1) for 20mins. The section was then incubated with ab228461 at 5ug/ml for 15 mins at room temperature and detected using an HRP conjugated compact polymer system. DAB was used as the chromogen. The section was then counterstained with haematoxylin and mounted with DPX. The inset secondary-only control image is taken from an identical assay without primary antibody.

This image was generated in-house using a previous batch manufactured using hybridoma production method.

Immunohistochemistry (Formalin/PFA-fixed paraffin-embedded sections) - Anti-BRAF (mutated V600E) antibody [VE1] (AB228461)
  • IHC-P

Lab

Immunohistochemistry (Formalin/PFA-fixed paraffin-embedded sections) - Anti-BRAF (mutated V600E) antibody [VE1] (AB228461)

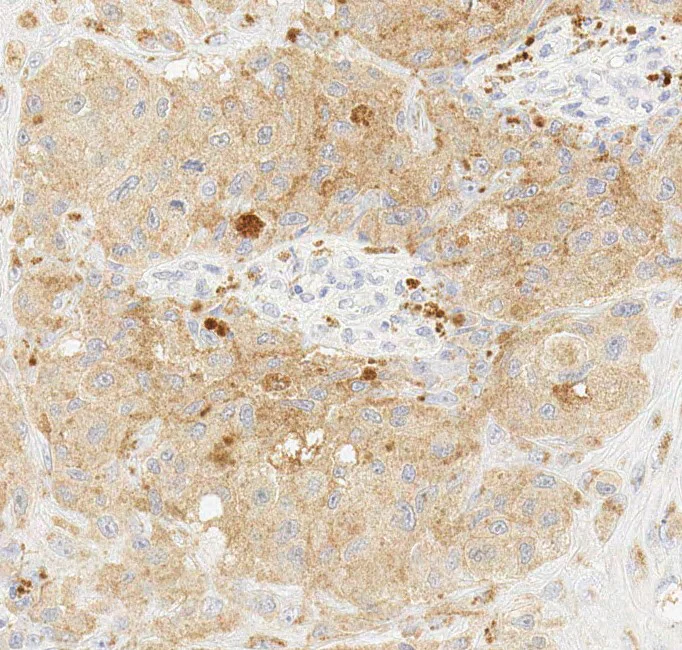
Immunohistochemical analysis of formalin-fixed paraffin-embedded human melanoma tissue (carrying mutant BRAF V600E) labelling BRAF (mutated V600E) with ab228461 at 1/100 dilution. The section was pre-treated using heat-mediated antigen retrieval method with sodium citrate buffer (pH6 epitope retrieval solution 1) for 20mins. The section was then incubated with ab228461 at 1/100 dilution at room temperature and detected using a Leica BOND Polymer refine kit.

Western blot - Anti-BRAF (mutated V600E) antibody [VE1] (AB228461)
  • WB

Lab

Western blot - Anti-BRAF (mutated V600E) antibody [VE1] (AB228461)

False colour image of Western blot : Anti-BRAF (mutated V600E) antibody [VE1] staining at 1/1000 dilution, shown in green; Rabbit Anti-GAPDH antibody [EPR16891] (ab181602) loading control staining at 1/20000 dilution, shown in red. In Western blot, ab228461 was shown to bind specifically to mutant BRAF V600E. First, samples were run on an SDS-PAGE gel then transferred onto a nitrocellulose membrane. Membranes were blocked in 3 % milk in TBS-0.1 % Tween® 20 (TBS-T) before incubation with primary antibodies overnight at 4°C. Blots were washed four times in TBS-T, incubated with secondary antibodies for 1 h at room temperature, washed again four times then imaged. Secondary antibodies used were Goat anti-Mouse IgG H&L (IRDye® 800CW) preabsorbed and Goat anti-Rabbit IgG H&L (IRDye® 680RD) preabsorbed at 1/20000 dilution.

This image was generated in-house using a previous batch, manufactured using hybridoma production method.

All lanes:

Western blot - Anti-BRAF (mutated V600E) antibody [VE1] (ab228461) at 1/1000 dilution

Lane 1:

HCT 116 cell lysate (wildtype BRAF) at 20 µg

Lane 2:

SW480 cell lysate (wildtype BRAF) at 20 µg

Lane 3:

Caco-2 cell lysate (wildtype BRAF) at 20 µg

Lane 4:

HT-29 cell lysate (mutant BRAF V600E) at 20 µg

Lane 5:

A375 cell lysate (mutant BRAF V600E) at 20 µg

Secondary

Lanes 1 - 5:

Goat anti-Mouse IgG H&L (IRDye® 800CW) preabsorbed at 1/20000 dilution

Lanes 1 - 5:

Goat anti-Rabbit IgG H&L (IRDye® 680RD) preabsorbed at 1/20000 dilution

Predicted band size: 84 kDa

Observed band size: 85 kDa,36 kDa

false

不同偶联物与剂型 (1)

  • Carrier free

    Anti-BRAF (mutated V600E) antibody [VE1] - BSA and Azide free

关键信息

宿主种属

Mouse

克隆

Monoclonal

克隆号

VE1

亚型

IgG2b

轻链类型

kappa

不含载体蛋白

No

反应种属

Human

应用

IHC-P, WB

applications

免疫原

The exact immunogen used to generate this antibody is proprietary information.

特异性

The VE1 monoclonal is a sensitive antibody that detects mutated, constitutively active BRAF protein where glutamic acid is present at codon 600 instead of valine (V600E) (PubMed IDs: 21638088, 23657789).

Please be aware that non-specific nuclear staining has been reported with this antibody (PubMed IDs: 23763264, 23589031, 24838325).

反应性数据

{ "title": "Reactivity Data", "filters": { "stats": ["", "Species", "Dilution Info", "Notes"], "tabs": { "all-applications": {"fullname" : "All Applications", "shortname": "All Applications"}, "WB" : {"fullname" : "Western blot", "shortname":"WB"}, "IHCP" : {"fullname" : "Immunohistochemistry (Formalin/PFA-fixed paraffin-embedded sections)", "shortname":"IHC-P"} }, "product-promise": { "all": "all", "testedAndGuaranteed": "tested", "guaranteed": "expected", "predicted": "predicted", "notRecommended": "not-recommended" } }, "values": { "Human": { "WB-species-checked": "testedAndGuaranteed", "WB-species-dilution-info": "1/1000", "WB-species-notes": "<p></p>", "IHCP-species-checked": "testedAndGuaranteed", "IHCP-species-dilution-info": "1/100", "IHCP-species-notes": "<p>Perform heat mediated epitope retrieval with citrate buffer pH6 before commencing with IHC staining protocol</p>" }, "Mouse": { "WB-species-checked": "predicted", "WB-species-dilution-info": "", "WB-species-notes": "", "IHCP-species-checked": "predicted", "IHCP-species-dilution-info": "", "IHCP-species-notes": "" }, "Chicken": { "WB-species-checked": "predicted", "WB-species-dilution-info": "", "WB-species-notes": "", "IHCP-species-checked": "predicted", "IHCP-species-dilution-info": "", "IHCP-species-notes": "" } } }

产品详情

Anti-BRAF (mutated V600E) antibody [VE1] (ab228461) is a mouse recombinant monoclonal antibody and is validated for use in IHC-P and WB.

Anti-BRAF (mutated V600E) antibody [VE1] (ab228461) was first used in a scientific publication in 2011 and has been cited over 116 times in peer reviewed journals. It's performance in IHC in human and mouse samples is trusted by the scientific community.

Abcam's high quality manufacturing and validation processes ensure Anti-BRAF (mutated V600E) antibody [VE1] (ab228461) has high sensitivity and specificity alongside high lot-to-lot consistency and reproducibility.

Anti-BRAF (mutated V600E) antibody [VE1] (ab228461) has 6 independent reviews from customers.

Anti-BRAF (mutated V600E) antibody [VE1] (ab228461) specifically detects BRAF Mutated-V600E (UniProt ID: P15056; Molecular weight: 85kDa) and is sold in 100 µL, 500 µL and 1 mL selling sizes.

The BRAF gene helps control cell growth, mutations in BRAF can lead to uncontrolled cell division contributing to cancer. These mutations are common in cancers like melanoma, colon and thyroid, targeted therapies have been developed to treat cancers with BRAF mutations.

Patented technology
Our RabMAb® technology is a patented hybridoma-based technology for making rabbit monoclonal antibodies. For details on our patents, please refer to RabMAb® patents.

What are the advantages of a recombinant monoclonal antibody?
This product is a recombinant monoclonal antibody, which offers several advantages including:

  • - High batch-to-batch consistency and reproducibility
  • - Improved sensitivity and specificity
  • - Long-term security of supply
  • - Animal-free batch production

For more information, read more on recombinant antibodies.

Want a custom formulation?
This antibody clone is manufactured by Abcam. If you require a custom buffer formulation or conjugation for your experiments, please contact orders@abcam.com

性能和储存信息

形式
Liquid
纯化工艺
Affinity purification Protein A
纯化说明
Purified from TCS by protein A/G.
存储溶液
pH: 7.5 Preservative: 0.1% Sodium azide Constituents: Tris, 0.3% Carrier protein
运输条件
Blue Ice
推荐的短期储存时间
1-2 weeks
推荐的短期储存条件
+4°C
推荐的长期储存条件
-20°C
分装信息
Upon delivery aliquot
储存信息
Avoid freeze / thaw cycle

补充信息

This supplementary information is collated from multiple sources and compiled automatically.

BRAF also known as v-Raf murine sarcoma viral oncogene homolog B1 is a protein kinase with a molecular weight of approximately 84 kDa. It is part of the RAF family of kinases which includes A-RAF and C-RAF. BRAF is expressed in various tissues with high expression levels in brain and testis. The protein functions as a serine/threonine kinase pivotal in transmitting signals from the extracellular space to the nucleus therefore influencing cell proliferation differentiation and survival.
Biological function summary

BRAF plays a central role in the MAPK/ERK signaling pathway which regulates cell cycle progression and apoptosis. It forms a part of a complex with other proteins such as RAS following activation. Mutations in BRAF including the common BRAF V600E result in constitutive activation of the pathway leading to uncontrolled cellular processes. This mutated form alters normal signaling enhancing its oncogenic potential.

Pathways

BRAF integrates into the MAPK/ERK and PI3K/AKT pathways which are essential for proper cellular signaling and function. The MAPK/ERK pathway in particular involves cooperation with proteins like MEK and ERK facilitating cellular responses to growth signals. Variants like BRAF V600K and BRAF V600E significantly impact these pathways by aberrantly activating downstream targets without external stimuli promoting oncogenesis.

BRAF mutations are critically implicated in melanoma and colorectal cancer. The BRAF V600E mutation for example occurs commonly in melanomas resulting in excessive signaling that drives tumorigenesis. BRAF also connects with proteins such as NRAS and KRAS through these cancers highlighting its role in the broader network of oncogenic signaling. Effective targeting of BRAF and its mutations represents an important strategy in cancer therapy.

产品实验方案

For this product, it's our understanding that no specific protocols are required. You can visit:

靶点信息

Protein kinase involved in the transduction of mitogenic signals from the cell membrane to the nucleus (Probable). Phosphorylates MAP2K1, and thereby activates the MAP kinase signal transduction pathway (PubMed : 21441910, PubMed : 29433126). Phosphorylates PFKFB2 (PubMed : 36402789). May play a role in the postsynaptic responses of hippocampal neurons (PubMed : 1508179).
See full target information BRAF mutated V600E

文献 (129)

Recent publications for all applications. Explore the full list and refine your search

Nature 647:517-527 PubMed40866703

2025

Mechanical confinement governs phenotypic plasticity in melanoma.

Applications

Unspecified application

Species

Unspecified reactive species

Miranda V Hunter,Eshita Joshi,Sydney Bowker,Emily Montal,Yilun Ma,Young Hun Kim,Zhifan Yang,Laura Tuffery,Zhuoning Li,Eric Rosiek,Alexander Browning,Reuben Moncada,Itai Yanai,Helen Byrne,Mara Monetti,Elisa de Stanchina,Pierre-Jacques Hamard,Richard P Koche,Richard M White

Virchows Archiv : an international journal of pathology : PubMed40689945

2025

Proficiency test of BRAF immunohistochemistry as a surrogate marker of p.V600E mutation: Assessment of staining and interpretation quality in Taiwan.

Applications

Unspecified application

Species

Unspecified reactive species

Yun-An Chen,Jyie-Yu Lai,Chih-Yi Hsu,Huang-Chun Lien,Jen-Fan Hang

Brain tumor pathology 42:130-142 PubMed40634824

2025

Comprehensive molecular characterization of craniopharyngiomas using whole transcriptome and spatial transcriptomics approaches.

Applications

Unspecified application

Species

Unspecified reactive species

Špela Kert,Alenka Matjašič,Jože Pižem,Jernej Mlakar,Matic Bošnjak,Miha Jerala,Primož Kotnik,Barbara Faganel Kotnik,Lidija Kitanovski,Andrej Zupan

Cell reports. Medicine 6:102183 PubMed40505659

2025

BRAF/MEK inhibition induces cell state transitions boosting immune checkpoint sensitivity in BRAF-mutant glioma.

Applications

Unspecified application

Species

Unspecified reactive species

Yao Lulu Xing,Dena Panovska,Jong-Whi Park,Stefan Grossauer,Katharina Koeck,Brandon Bui,Emon Nasajpour,Jeffrey J Nirschl,Zhi-Ping Feng,Pierre Cheung,Pardes Habib,Ruolun Wei,Jie Wang,Wes Thomason,Michelle Monje,Joanne Xiu,Alexander Beck,Katharina J Weber,Patrick N Harter,Michael Lim,Kelly B Mahaney,Laura M Prolo,Gerald A Grant,Xuhuai Ji,Kyle M Walsh,Jean M Mulcahy Levy,Dolores Hambardzumyan,Claudia K Petritsch

Journal of pathology and translational medicine 59:149-160 PubMed40468609

2025

Lessons learned from the first 2 years of experience with thyroid core needle biopsy at an Indonesian national referral hospital.

Applications

Unspecified application

Species

Unspecified reactive species

Agnes Stephanie Harahap,Maria Francisca Ham,Retno Asti Werdhani,Erwin Danil Julian,Rafi Ilmansyah,Chloe Indira Arfelita Mangunkusumso,Tri Juli Edi Tarigan

Scientific reports 15:1616 PubMed39794352

2025

Generation of a genetically engineered porcine melanoma model featuring oncogenic control through conditional Cre recombination.

Applications

Unspecified application

Species

Unspecified reactive species

Dongjin Oh,Nayoung Hong,Kiyoung Eun,Joohyeong Lee,Lian Cai,Mirae Kim,Hyerin Choi,Ali Jawad,Jaehyung Ham,Min Gi Park,Bohye Kim,Sang Chul Lee,Changjong Moon,Hyunggee Kim,Sang-Hwan Hyun

Asian Pacific journal of cancer prevention : APJCP 25:2567-2571 PubMed39068592

2024

Analysis of Immunohistochemical Expression of BRAF (V600E) Mutation in Serrated Colorectal Polyps: A Study from Tertiary Hospital in Oman.

Applications

Unspecified application

Species

Unspecified reactive species

Abir Al Ghafri,Shayma G Sayed,Suad Al Badi,Afrah Al Rashdi,Samya Al Husaini,Asim Qureshi,Asem Shalaby

NPJ precision oncology 8:147 PubMed39025947

2024

Metastatic renal cell carcinoma with occult primary: a multicenter prospective cohort.

Applications

Unspecified application

Species

Unspecified reactive species

Nicolas Jacquin,Ronan Flippot,Julien Masliah-Planchon,Guillaume Grisay,Riwan Brillet,Célia Dupain,Maud Kamal,Isabelle Guillou,Nadège Gruel,Nicolas Servant,Pierre Gestraud,Jennifer Wong,Vincent Cockenpot,Andreia Goncalves,Janick Selves,Hélène Blons,Etienne Rouleau,Olivier Delattre,Claire Gervais,Christophe Le Tourneau,Ivan Bièche,Yves Allory,Laurence Albigès,Sarah Watson

Nature communications 15:3175 PubMed38609408

2024

Integrated proteogenomic and metabolomic characterization of papillary thyroid cancer with different recurrence risks.

Applications

Unspecified application

Species

Unspecified reactive species

Ning Qu,Di Chen,Ben Ma,Lijun Zhang,Qiuping Wang,Yuting Wang,Hongping Wang,Zhaoxian Ni,Wen Wang,Tian Liao,Jun Xiang,Yulong Wang,Shi Jin,Dixin Xue,Weili Wu,Yu Wang,Qinghai Ji,Hui He,Hai-Long Piao,Rongliang Shi

Genes to cells : devoted to molecular & cellular mechanisms 29:192-206 PubMed38269481

2024

Transcriptional features of low-grade neuroepithelial tumors with the BRAF V600E mutation associated with epileptogenicity.

Applications

Unspecified application

Species

Unspecified reactive species

Keiya Iijima,Kanako Komatsu,Satoshi Miyashita,Kyoka Suyama,Kumiko Murayama,Koichi Hashizume,Nao K Tabe,Hajime Miyata,Masaki Iwasaki,Shinichiro Taya,Mikio Hoshino
View all publications

Abcam Product Promise

我们致力于为您的研究提供高质量的试剂,为您科研的每一步提供支持。若我们的产品未能达到预期性能,我们向您提供 Abcam Product Promise 保障。
详情请参阅我们的条款与条件。

Please note: All products are 'FOR RESEARCH USE ONLY. NOT FOR USE IN DIAGNOSTIC OR THERAPEUTIC PROCEDURES'.

For licensing inquiries, please contact partnerships@abcam.com