JavaScript is disabled in your browser. Please enable JavaScript to view this website.
AB76010

重组Anti-BOB1抗体[EP3300]

Anti-BOB1 antibody [EP3300]

Be the first to review this product! Submit a review

|

(1 Publication)

Rabbit Recombinant Monoclonal BOB1 antibody. Suitable for IHC-P, WB, Flow Cyt (Intra) and reacts with Human samples. Cited in 1 publication.

查看别名

BOB1, OBF1, POU2AF1, POU domain class 2-associating factor 1, B-cell-specific coactivator OBF-1, BOB-1, OCA-B, OCT-binding factor 1

4 Images
Flow Cytometry (Intracellular) - Anti-BOB1 antibody [EP3300] (AB76010)
  • Flow Cyt (Intra)

Unknown

Flow Cytometry (Intracellular) - Anti-BOB1 antibody [EP3300] (AB76010)

Intracellular Flow Cytometry analysis of Jurkat (human acute T cell leukemia) cells labeling BOB1 with unpurified ab76010 at 1/40 dilution (10ug/ml) (red). Cells were fixed with 4% paraformaldehyde and permeabilised with 90% methanol. A Goat anti rabbit IgG (Alexa Fluorr® 488) (1/2000 dilution) was used as the secondary antibody. Rabbit monoclonal IgG (Black) was used as the isotype control, cells without incubation with primary antibody and secondary antibody (Blue) were used as the unlabeled control.

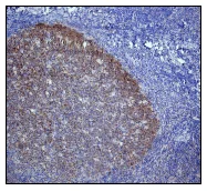
Immunohistochemistry (Formalin/PFA-fixed paraffin-embedded sections) - Anti-BOB1 antibody [EP3300] (AB76010)
  • IHC-P

Unknown

Immunohistochemistry (Formalin/PFA-fixed paraffin-embedded sections) - Anti-BOB1 antibody [EP3300] (AB76010)

ab76010 at 1/100 dilution staining BOB1 in human tonsil by immunohistochemistry using paraffin-embedded tissue.

Perform heat mediated antigen retrieval before commencing with IHC staining protocol.

Western blot - Anti-BOB1 antibody [EP3300] (AB76010)
  • WB

Unknown

Western blot - Anti-BOB1 antibody [EP3300] (AB76010)

All lanes:

Western blot - Anti-BOB1 antibody [EP3300] (ab76010) at 1/30000 dilution

All lanes:

Ramos cell lysate at 10 µg

Secondary

All lanes:

Goat anti-rabbit HRP at 1/1000 dilution

Predicted band size: 27 kDa

Observed band size: 35 kDa

false

OI-RD Scanning - Anti-BOB1 antibody [EP3300] (AB76010)
  • OI-RD Scanning

Unknown

OI-RD Scanning - Anti-BOB1 antibody [EP3300] (AB76010)

We have systematically measured KD (the equilibrium dissociation constant between the antibody and its antigen), of more than 840 recombinant antibodies to assess not only their individual KD values but also to see the average affinity of antibody. Based on the comparison with published literature values for mouse monoclonal antibodies, Recombinant antibodies appear to be on average 1-2 order of magnitude higher affinity.

不同偶联物与剂型 (1)

  • Carrier free

    Anti-BOB1 antibody [EP3300] - BSA and Azide free

关键信息

宿主种属

Rabbit

克隆

Monoclonal

克隆号

EP3300

亚型

IgG

不含载体蛋白

No

反应种属

Human

应用

Flow Cyt (Intra), WB, IHC-P

applications

免疫原

The exact immunogen used to generate this antibody is proprietary information.

反应性数据

{ "title": "Reactivity Data", "filters": { "stats": ["", "Species", "Dilution Info", "Notes"], "tabs": { "all-applications": {"fullname" : "All Applications", "shortname": "All Applications"}, "IHCP" : {"fullname" : "Immunohistochemistry (Formalin/PFA-fixed paraffin-embedded sections)", "shortname":"IHC-P"}, "ICCIF" : {"fullname" : "Immunocytochemistry/ Immunofluorescence", "shortname":"ICC/IF"}, "IP" : {"fullname" : "Immunoprecipitation", "shortname":"IP"}, "WB" : {"fullname" : "Western blot", "shortname":"WB"}, "FlowCytIntra" : {"fullname" : "Flow Cytometry (Intracellular)", "shortname":"Flow Cyt (Intra)"} }, "product-promise": { "all": "all", "testedAndGuaranteed": "tested", "guaranteed": "expected", "predicted": "predicted", "notRecommended": "not-recommended" } }, "values": { "Human": { "IHCP-species-checked": "testedAndGuaranteed", "IHCP-species-dilution-info": "1/100 - 1/250", "IHCP-species-notes": "<p></p>", "ICCIF-species-checked": "notRecommended", "ICCIF-species-dilution-info": "", "ICCIF-species-notes": "<p></p>", "IP-species-checked": "notRecommended", "IP-species-dilution-info": "", "IP-species-notes": "<p></p>", "WB-species-checked": "testedAndGuaranteed", "WB-species-dilution-info": "1/5000 - 1/30000", "WB-species-notes": "<p></p>", "FlowCytIntra-species-checked": "testedAndGuaranteed", "FlowCytIntra-species-dilution-info": "", "FlowCytIntra-species-notes": "<p></p>" } } }

产品详情

Species reactivity
Mouse, Rat: We have preliminary internal testing data to indicate this antibody may not react with these species.
Please contact us for more information.

Patented technology
Our RabMAb® technology is a patented hybridoma-based technology for making rabbit monoclonal antibodies. For details on our patents, please refer to RabMAb® patents.

What are the advantages of a recombinant monoclonal antibody?
This product is a recombinant monoclonal antibody, which offers several advantages including:

  • - High batch-to-batch consistency and reproducibility
  • - Improved sensitivity and specificity
  • - Long-term security of supply
  • - Animal-free batch production

For more information, read more on recombinant antibodies.

性能和储存信息

形式
Liquid
纯化工艺
Affinity purification Protein A
存储溶液
pH: 7.2 - 7.4 Preservative: 0.05% Sodium azide Constituents: 50% Tissue culture supernatant, 40% Glycerol (glycerin, glycerine), 9.85% Tris glycine, 0.1% BSA
运输条件
Blue Ice
推荐的短期储存条件
+4°C
推荐的长期储存条件
-20°C
分装信息
Upon delivery aliquot
储存信息
Avoid freeze / thaw cycle

产品实验方案

For this product, it's our understanding that no specific protocols are required. You can visit:

靶点信息

Transcriptional coactivator that specifically associates with either POU2F1/OCT1 or POU2F2/OCT2 (PubMed : 7859290). It boosts the POU2F1/OCT1 mediated promoter activity and to a lesser extent, that of POU2F2/OCT2 (PubMed : 7779176). It recognizes the POU domains of POU2F1/OCT1 and POU2F2/OCT2 (PubMed : 7779176). It is essential for the response of B-cells to antigens and required for the formation of germinal centers (PubMed : 7623806, PubMed : 7859290). Regulates IL6 expression in B cells as POU2F2/OCT2 coactivator (By similarity).
See full target information POU2AF1

文献 (1)

Recent publications for all applications. Explore the full list and refine your search

Cell regeneration (London, England) 13:24 PubMed39542983

2024

Identification of feature genes in intestinal epithelial cell types.

Applications

Unspecified application

Species

Unspecified reactive species

Ruoyu Lou,Wanlu Song,Shicheng Yu,Xiaodan Wang,Yuan Liu,Ye-Guang Chen,Yalong Wang
View all publications

Abcam Product Promise

我们致力于为您的研究提供高质量的试剂,为您科研的每一步提供支持。若我们的产品未能达到预期性能,我们向您提供 Abcam Product Promise 保障。
详情请参阅我们的条款与条件。

Please note: All products are 'FOR RESEARCH USE ONLY. NOT FOR USE IN DIAGNOSTIC OR THERAPEUTIC PROCEDURES'.

For licensing inquiries, please contact partnerships@abcam.com