JavaScript is disabled in your browser. Please enable JavaScript to view this website.
AB109414

重组Anti-BNIP3L/NIX抗体[EPR4033]

Anti-BNIP3L/NIX antibody [EPR4033]

  • RabMAb
  • Recombinant
  • 20ul selling size
  • KO Validated
  • 了解详情

5

(1 Review)

|

(17 Publications)

Rabbit Recombinant Monoclonal BNIP3L/NIX antibody. Suitable for IHC-P, WB and reacts with Human samples. Cited in 17 publications.

查看别名

BNIP3A, BNIP3H, NIX, BNIP3L, BCL2/adenovirus E1B 19 kDa protein-interacting protein 3-like, Adenovirus E1B19K-binding protein B5, BCL2/adenovirus E1B 19 kDa protein-interacting protein 3A, NIP3-like protein X, NIP3L

3 Images
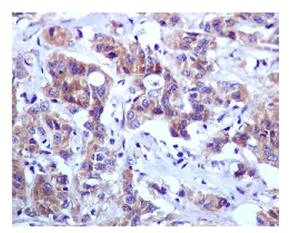
Immunohistochemistry (Formalin/PFA-fixed paraffin-embedded sections) - Anti-BNIP3L/NIX antibody [EPR4033] (AB109414)
  • IHC-P

Unknown

Immunohistochemistry (Formalin/PFA-fixed paraffin-embedded sections) - Anti-BNIP3L/NIX antibody [EPR4033] (AB109414)

Immunohistochemical analysis of paraffin-embedded human breast carcinoma tissue using 1/100 ab109414

Perform heat mediated antigen retrieval with citrate buffer pH 6 before commencing with IHC staining protocol.

Western blot - Anti-BNIP3L/NIX antibody [EPR4033] (AB109414)
  • WB

Lab

Western blot - Anti-BNIP3L/NIX antibody [EPR4033] (AB109414)

Western blot : Rabbit Monoclonal[EPR4033] to BNIP3L/NIX ab109414 staining at 1/1000 dilution, shown in green; Mouse anti-CANX ab238078 loading control staining at 1/20000 dilution, shown in magenta. A band was observed at 26-36 kDa. To generate this image, samples were run on an SDS-PAGE gel then transferred onto a nitrocellulose membrane. Membranes were blocked in 3pc Milk in TBS-0.1 % Tween® 20 (TBS-T) before incubation with primary antibodies overnight at 4 °C. Blots were washed four times in TBS-T, incubated with secondary antibodies for 1 h at room temperature, washed again four times then imaged. Secondary antibodies used were Goat anti-Rabbit 800CW and Goat anti-Mouse 680RD at 1/20,000 dilution.

All lanes:

Western blot - Anti-BNIP3L/NIX antibody [EPR4033] (ab109414) at 1/1000 dilution

Lane 1:

Wild-type A549 0.1mM CoCl2 24h at 20 µg

Lane 2:

Wild-type A549 Vehicle Control 0mM CoCl2 24h at 20 µg

Lane 3:

BNIP3L knockout A549 0.1mM CoCl2 24h at 20 µg

Lane 4:

BNIP3L knockout A549 Vehicle Control 0mM CoCl2 24h at 20 µg

Lane 5:

HeLa 0.1mM CoCl2 24h at 20 µg

Lane 6:

HeLa Vehicle Control 0mM CoCl2 24h at 20 µg

Secondary

All lanes:

Goat anti-Rabbit 800CW & Goat anti-Mouse 680RD at 1/20000 dilution

Predicted band size: 24 kDa

Observed band size: 26-36 kDa,76 kDa

false

Western blot - Anti-BNIP3L/NIX antibody [EPR4033] (AB109414)
  • WB

Unknown

Western blot - Anti-BNIP3L/NIX antibody [EPR4033] (AB109414)

All lanes:

Western blot - Anti-BNIP3L/NIX antibody [EPR4033] (ab109414) at 1/1000 dilution

Lane 1:

Raji cell lysate at 10 µg

Lane 2:

K562 cell lysate at 10 µg

Predicted band size: 24 kDa

Observed band size: 35 kDa

false

不同偶联物与剂型 (1)

  • Carrier free

    Anti-BNIP3L/NIX antibody [EPR4033] - BSA and Azide free

关键信息

宿主种属

Rabbit

克隆

Monoclonal

克隆号

EPR4033

亚型

IgG

不含载体蛋白

No

反应种属

Human

应用

IHC-P, WB

applications

免疫原

The exact immunogen used to generate this antibody is proprietary information.

反应性数据

{ "title": "Reactivity Data", "filters": { "stats": ["", "Species", "Dilution Info", "Notes"], "tabs": { "all-applications": {"fullname" : "All Applications", "shortname": "All Applications"}, "IHCP" : {"fullname" : "Immunohistochemistry (Formalin/PFA-fixed paraffin-embedded sections)", "shortname":"IHC-P"}, "ICCIF" : {"fullname" : "Immunocytochemistry/ Immunofluorescence", "shortname":"ICC/IF"}, "IP" : {"fullname" : "Immunoprecipitation", "shortname":"IP"}, "FlowCyt" : {"fullname" : "Flow Cytometry", "shortname":"Flow Cyt"}, "WB" : {"fullname" : "Western blot", "shortname":"WB"} }, "product-promise": { "all": "all", "testedAndGuaranteed": "tested", "guaranteed": "expected", "predicted": "predicted", "notRecommended": "not-recommended" } }, "values": { "Human": { "IHCP-species-checked": "testedAndGuaranteed", "IHCP-species-dilution-info": "1/100 - 1/250", "IHCP-species-notes": "<p>antigen retrieval is recommended.</p> Perform heat-mediated antigen retrieval with citrate buffer pH 6 before commencing with IHC staining protocol.", "ICCIF-species-checked": "notRecommended", "ICCIF-species-dilution-info": "", "ICCIF-species-notes": "<p></p>", "IP-species-checked": "notRecommended", "IP-species-dilution-info": "", "IP-species-notes": "<p></p>", "FlowCyt-species-checked": "notRecommended", "FlowCyt-species-dilution-info": "", "FlowCyt-species-notes": "<p></p>", "WB-species-checked": "testedAndGuaranteed", "WB-species-dilution-info": "1/1000 - 1/10000", "WB-species-notes": "<p></p>" }, "Mouse": { "IHCP-species-checked": "predicted", "IHCP-species-dilution-info": "", "IHCP-species-notes": "", "ICCIF-species-checked": "notRecommended", "ICCIF-species-dilution-info": "", "ICCIF-species-notes": "", "IP-species-checked": "notRecommended", "IP-species-dilution-info": "", "IP-species-notes": "", "FlowCyt-species-checked": "notRecommended", "FlowCyt-species-dilution-info": "", "FlowCyt-species-notes": "", "WB-species-checked": "predicted", "WB-species-dilution-info": "", "WB-species-notes": "" }, "Rat": { "IHCP-species-checked": "predicted", "IHCP-species-dilution-info": "", "IHCP-species-notes": "", "ICCIF-species-checked": "notRecommended", "ICCIF-species-dilution-info": "", "ICCIF-species-notes": "", "IP-species-checked": "notRecommended", "IP-species-dilution-info": "", "IP-species-notes": "", "FlowCyt-species-checked": "notRecommended", "FlowCyt-species-dilution-info": "", "FlowCyt-species-notes": "", "WB-species-checked": "predicted", "WB-species-dilution-info": "", "WB-species-notes": "" } } }

产品详情

Patented technology
Our RabMAb® technology is a patented hybridoma-based technology for making rabbit monoclonal antibodies. For details on our patents, please refer to RabMAb® patents.

What are the advantages of a recombinant monoclonal antibody?
This product is a recombinant monoclonal antibody, which offers several advantages including:

  • - High batch-to-batch consistency and reproducibility
  • - Improved sensitivity and specificity
  • - Long-term security of supply
  • - Animal-free batch production

For more information, read more on recombinant antibodies.

性能和储存信息

形式
Liquid
纯化工艺
Affinity purification Protein A
存储溶液
pH: 7.2 - 7.4 Preservative: 0.01% Sodium azide Constituents: PBS, 50% Tissue culture supernatant, 40% Glycerol (glycerin, glycerine), 0.05% BSA
运输条件
Blue Ice
推荐的短期储存条件
+4°C
推荐的长期储存条件
-20°C
储存信息
Stable for 12 months at -20°C

产品实验方案

For this product, it's our understanding that no specific protocols are required. You can visit:

靶点信息

Induces apoptosis. Interacts with viral and cellular anti-apoptosis proteins. Can overcome the suppressors BCL-2 and BCL-XL, although high levels of BCL-XL expression will inhibit apoptosis. Inhibits apoptosis induced by BNIP3. Involved in mitochondrial quality control via its interaction with SPATA18/MIEAP : in response to mitochondrial damage, participates in mitochondrial protein catabolic process (also named MALM) leading to the degradation of damaged proteins inside mitochondria. The physical interaction of SPATA18/MIEAP, BNIP3 and BNIP3L/NIX at the mitochondrial outer membrane regulates the opening of a pore in the mitochondrial double membrane in order to mediate the translocation of lysosomal proteins from the cytoplasm to the mitochondrial matrix. May function as a tumor suppressor.
See full target information BNIP3L

文献 (17)

Recent publications for all applications. Explore the full list and refine your search

Frontiers in pharmacology 15:1435282 PubMed39415837

2024

Angiotensin 1 peptide-conjugated CdSe/ZnS quantum dots for cardiac-specific hydrogen sulfide targeted therapy in myocardial ischemia-reperfusion injury.

Applications

Unspecified application

Species

Unspecified reactive species

Qing Wang,Xiaofei Xue,Pei Wang,Yue Yu,Jun Wang,Qixia Jiang,Jian Xiao

Autophagy 20:2000-2016 PubMed38762757

2024

ROS-mediated lysosomal membrane permeabilization and autophagy inhibition regulate bleomycin-induced cellular senescence.

Applications

Unspecified application

Species

Unspecified reactive species

Zhangyang Qi,Weiqi Yang,Baibing Xue,Tingjun Chen,Xianjie Lu,Rong Zhang,Zhichao Li,Xiaoqing Zhao,Yang Zhang,Fabin Han,Xiaohong Kong,Ruikang Liu,Xue Yao,Rui Jia,Shiqing Feng

Renal failure 44:1961-1975 PubMed36350669

2022

Nuclear paraspeckle assembly transcript 1 promotes the podocyte injury via targeting miR-23b-3p/B-cell lymphoma-2 interacting protein 3 like axis.

Applications

Unspecified application

Species

Unspecified reactive species

Jing Wang,Junpeng Luo,Li Du,Xin Shu,Chengyu Guo,Tanshi Li

Scientific reports 12:16152 PubMed36167966

2022

Mitochondrial function and intracellular distribution is severely affected in in vitro cultured mouse embryos.

Applications

Unspecified application

Species

Unspecified reactive species

Marta Czernik,Dawid Winiarczyk,Silvestre Sampino,Paweł Gręda,Salvatore Parillo,Jacek Andrzej Modliński,Pasqualino Loi

International journal of molecular medicine 50: PubMed35929517

2022

Effects and potential mechanism of Ca/calmodulin‑dependent protein kinase II pathway inhibitor KN93 on the development of ovarian follicle.

Applications

Unspecified application

Species

Unspecified reactive species

Jianjie Yu,Xianguo Xie,Yabo Ma,Yi Yang,Chao Wang,Guoliang Xia,Xiangbin Ding,Xinfeng Liu

Cell death & disease 12:1003 PubMed34702801

2021

Cardiac-specific CGI-58 deficiency activates the ER stress pathway to promote heart failure in mice.

Applications

Unspecified application

Species

Unspecified reactive species

Xin Xie,Yi-Fan Tie,Song Lai,Yun-Long Zhang,Hui-Hua Li,Ying Liu

Biochemistry research international 2021:2319412 PubMed34457363

2021

Baicalein Mediates Mitochondrial Autophagy via miR-30b and the NIX/BNIP3 Signaling Pathway in Parkinson's Disease.

Applications

Unspecified application

Species

Unspecified reactive species

Min Chen,Li Peng,Ping Gong,Xiaoli Zheng,Tao Sun,Xiaoqiao Zhang,Jiangtao Huo

Cell reports 34:108689 PubMed33535046

2021

NIX initiates mitochondrial fragmentation via DRP1 to drive epidermal differentiation.

Applications

Unspecified application

Species

Unspecified reactive species

Cory L Simpson,Mariko K Tokito,Ranjitha Uppala,Mrinal K Sarkar,Johann E Gudjonsson,Erika L F Holzbaur

Cell death & disease 11:819 PubMed33004792

2020

Sulforaphane-cysteine inhibited migration and invasion via enhancing mitophagosome fusion to lysosome in human glioblastoma cells.

Applications

Unspecified application

Species

Unspecified reactive species

Yan Zhou,Yalin Wang,Sai Wu,Yuting Yan,Yabin Hu,Zhongnan Zheng,Juntao Li,Wei Wu

Molecular biology of the cell 31:2249-2258 PubMed32726170

2020

The HIF target ATG9A is essential for epithelial barrier function and tight junction biogenesis.

Applications

Unspecified application

Species

Unspecified reactive species

Alexander S Dowdell,Ian M Cartwright,Matthew S Goldberg,Rachael Kostelecky,Tyler Ross,Nichole Welch,Louis E Glover,Sean P Colgan
View all publications

Abcam Product Promise

我们致力于为您的研究提供高质量的试剂,为您科研的每一步提供支持。若我们的产品未能达到预期性能,我们向您提供 Abcam Product Promise 保障。
详情请参阅我们的条款与条件。

Please note: All products are 'FOR RESEARCH USE ONLY. NOT FOR USE IN DIAGNOSTIC OR THERAPEUTIC PROCEDURES'.

For licensing inquiries, please contact partnerships@abcam.com