JavaScript is disabled in your browser. Please enable JavaScript to view this website.
AB271886

重组Anti-BMP4抗体[EPR6211] - BSA and Azide free

Anti-BMP4 antibody [EPR6211] - BSA and Azide free

4

(1 Review)

|

(0 Publication)

Rabbit Recombinant Monoclonal BMP4 antibody. Carrier free. Suitable for IP, WB, IHC-P, ICC/IF, Flow Cyt (Intra) and reacts with Human samples.

查看别名

BMP2B, DVR4, BMP4, Bone morphogenetic protein 4, BMP-4, Bone morphogenetic protein 2B, BMP-2B

6 Images
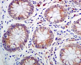
Immunohistochemistry (Formalin/PFA-fixed paraffin-embedded sections) - Anti-BMP4 antibody [EPR6211] - BSA and Azide free (AB271886)
  • IHC-P

Unknown

Immunohistochemistry (Formalin/PFA-fixed paraffin-embedded sections) - Anti-BMP4 antibody [EPR6211] - BSA and Azide free (AB271886)

Unpurified ab124715, at 1/100, staining BMP4 in paraffin embedded Human colon tissue by Immunohistochemistry.

Perform heat mediated antigen retrieval before commencing with IHC staining protocol.

This data was developed using the same antibody clone in a different buffer formulation containing PBS, BSA, glycerol, and sodium azide (ab124715).

Immunocytochemistry/ Immunofluorescence - Anti-BMP4 antibody [EPR6211] - BSA and Azide free (AB271886)
  • ICC/IF

Lab

Immunocytochemistry/ Immunofluorescence - Anti-BMP4 antibody [EPR6211] - BSA and Azide free (AB271886)

Immunocytochemistry/Immunofluorescence analysis of A549 (human lung carcinoma) cells labelling BMP4 with purified ab124715 at 1/500. Cells were fixed with 4% Paraformaldehyde and permeabilized with 0.1% Triton X-100. ab150077, Alexa Fluor® 488-conjugated goat anti-rabbit IgG (1/1000) was used as the secondary antibody. Nuclei were counterstained with DAPI (blue).

Secondary Only Control : PBS was used instead of the primary antibody as the negative control.

This data was developed using the same antibody clone in a different buffer formulation containing PBS, BSA, glycerol, and sodium azide (ab124715).

Immunohistochemistry (Formalin/PFA-fixed paraffin-embedded sections) - Anti-BMP4 antibody [EPR6211] - BSA and Azide free (AB271886)
  • IHC-P

Unknown

Immunohistochemistry (Formalin/PFA-fixed paraffin-embedded sections) - Anti-BMP4 antibody [EPR6211] - BSA and Azide free (AB271886)

Immunohistochemistry (Formalin/PFA-fixed paraffin-embedded sections) analysis of Human breast cancer tissue sections labeling BMP4 with Purified ab124715 at 1 : 400 dilution (2.44 μg/ml). Heat mediated antigen retrieval was performed using ab93684 (Tris/EDTA buffer, pH 9.0). ImmunoHistoProbe one step HRP Polymer (ready to use)was used as the secondary antibody.Negative control : PBS instead of the primary antibody. Hematoxylin was used as a counterstain.

This data was developed using the same antibody clone in a different buffer formulation containing PBS, BSA, glycerol, and sodium azide (ab124715).

Flow Cytometry (Intracellular) - Anti-BMP4 antibody [EPR6211] - BSA and Azide free (AB271886)
  • Flow Cyt (Intra)

Unknown

Flow Cytometry (Intracellular) - Anti-BMP4 antibody [EPR6211] - BSA and Azide free (AB271886)

Intracellular Flow Cytometry analysis of HeLa (Human cervix adenocarcinoma epithelial cell) cells labeling BMP4 with purified ab124715 at 1/120 dilution (10μg/ml) (red). Cells were fixed with 4% Paraformaldehyde. A Goat anti rabbit IgG (Alexa Fluor® 488) secondary antibody was used at 1/2000 dilution. Isotype control - Rabbit monoclonal IgG (Black). Unlabeled control - Cell without incubation with primary antibody and secondary antibody (Blue).

This data was developed using the same antibody clone in a different buffer formulation containing PBS, BSA, glycerol, and sodium azide (ab124715).

Immunoprecipitation - Anti-BMP4 antibody [EPR6211] - BSA and Azide free (AB271886)
  • IP

Unknown

Immunoprecipitation - Anti-BMP4 antibody [EPR6211] - BSA and Azide free (AB271886)

ab124715 (purified) at 1 : 60 dilution (2μg) immunoprecipitating BMP4 in A549 whole cell lysate.
Lane 1 (input) : A549 (Human lung carcinoma epithelial cell) whole cell lysate 10μg
Lane 2 (+) : ab124715 & A549 whole cell lysate
Lane 3 (-) : Rabbit monoclonal IgG (ab172730) instead of ab124715 in A549 whole cell lysate
For western blotting, VeriBlot for IP Detection Reagent (HRP) (ab131366) was used for detection at 1 : 1000 dilution.
Blocking and diluting buffer : 5% NFDM/TBST.

This data was developed using the same antibody clone in a different buffer formulation containing PBS, BSA, glycerol, and sodium azide (ab124715).

All lanes:

Immunoprecipitation - Anti-BMP4 antibody [EPR6211] (<a href='/products/primary-antibodies/bmp4-antibody-epr6211-ab124715'>ab124715</a>)

Predicted band size: 47 kDa

false

OI-RD Scanning - Anti-BMP4 antibody [EPR6211] - BSA and Azide free (AB271886)
  • OI-RD Scanning

Unknown

OI-RD Scanning - Anti-BMP4 antibody [EPR6211] - BSA and Azide free (AB271886)

We have systematically measured KD (the equilibrium dissociation constant between the antibody and its antigen), of more than 840 recombinant antibodies to assess not only their individual KD values but also to see the average affinity of antibody. Based on the comparison with published literature values for mouse monoclonal antibodies, Recombinant antibodies appear to be on average 1-2 order of magnitude higher affinity.

不同偶联物与剂型 (6)

关键信息

宿主种属

Rabbit

克隆

Monoclonal

克隆号

EPR6211

亚型

IgG

不含载体蛋白

Yes

反应种属

Human

应用

WB, ICC/IF, Flow Cyt (Intra), IP, IHC-P

applications

免疫原

The exact immunogen used to generate this antibody is proprietary information.

反应性数据

{ "title": "Reactivity Data", "filters": { "stats": ["", "Species", "Dilution Info", "Notes"], "tabs": { "all-applications": {"fullname" : "All Applications", "shortname": "All Applications"}, "IP" : {"fullname" : "Immunoprecipitation", "shortname":"IP"}, "WB" : {"fullname" : "Western blot", "shortname":"WB"}, "IHCP" : {"fullname" : "Immunohistochemistry (Formalin/PFA-fixed paraffin-embedded sections)", "shortname":"IHC-P"}, "ICCIF" : {"fullname" : "Immunocytochemistry/ Immunofluorescence", "shortname":"ICC/IF"}, "FlowCytIntra" : {"fullname" : "Flow Cytometry (Intracellular)", "shortname":"Flow Cyt (Intra)"} }, "product-promise": { "all": "all", "testedAndGuaranteed": "tested", "guaranteed": "expected", "predicted": "predicted", "notRecommended": "not-recommended" } }, "values": { "Human": { "IP-species-checked": "testedAndGuaranteed", "IP-species-dilution-info": "", "IP-species-notes": "<p></p>", "WB-species-checked": "guaranteed", "WB-species-dilution-info": "", "WB-species-notes": "<p></p>", "IHCP-species-checked": "testedAndGuaranteed", "IHCP-species-dilution-info": "", "IHCP-species-notes": "<p></p>", "ICCIF-species-checked": "testedAndGuaranteed", "ICCIF-species-dilution-info": "", "ICCIF-species-notes": "<p></p>", "FlowCytIntra-species-checked": "testedAndGuaranteed", "FlowCytIntra-species-dilution-info": "", "FlowCytIntra-species-notes": "<p><a href='/products/primary-antibodies/rabbit-igg-monoclonal-epr25a-isotype-control-ab172730'>ab172730</a> - Rabbit monoclonal IgG, is suitable for use as an isotype control with this antibody.</p>" } } }

产品详情

ab271886 is the carrier-free version of ab124715.

Species reactivity
Mouse, Rat: We have preliminary internal testing data to indicate this antibody may not react with these species.
Please contact us for more information.

Patented technology
Our RabMAb® technology is a patented hybridoma-based technology for making rabbit monoclonal antibodies. For details on our patents, please refer to RabMAb® patents.

What are the advantages of a recombinant monoclonal antibody?
This product is a recombinant monoclonal antibody, which offers several advantages including:

  • - High batch-to-batch consistency and reproducibility
  • - Improved sensitivity and specificity
  • - Long-term security of supply
  • - Animal-free batch production

For more information, read more on recombinant antibodies.

Conjugation ready
Our carrier-free antibodies are typically supplied in a PBS-only formulation, purified and free of BSA, sodium azide and glycerol. This conjugation-ready format is designed for use with fluorochromes, metal isotopes, oligonucleotides, and enzymes, which makes them ideal for antibody labelling, functional and cell-based assays, flow-based assays (e.g. mass cytometry) and Multiplex Imaging applications.

Use our conjugation kits for antibody conjugates that are ready-to-use in as little as 20 minutes with 1 minute hands-on-time and 100% antibody recovery: available for fluorescent dyes, HRP, biotin and gold.

Compatibility
This product is compatible with the Maxpar® Antibody Labeling Kit from Fluidigm, without the need for antibody preparation. Maxpar® is a trademark of Fluidigm Canada Inc.

性能和储存信息

形式
Liquid
纯化工艺
Affinity purification Protein A
存储溶液
pH: 7.2 - 7.4 Constituents: PBS
运输条件
Blue Ice
推荐的短期储存条件
+4°C
推荐的长期储存条件
+4°C
储存信息
Do Not Freeze

产品实验方案

For this product, it's our understanding that no specific protocols are required. You can visit:

靶点信息

Growth factor of the TGF-beta superfamily that plays essential roles in many developmental processes, including neurogenesis, vascular development, angiogenesis and osteogenesis (PubMed : 31363885). Acts in concert with PTHLH/PTHRP to stimulate ductal outgrowth during embryonic mammary development and to inhibit hair follicle induction (By similarity). Initiates the canonical BMP signaling cascade by associating with type I receptor BMPR1A and type II receptor BMPR2 (PubMed : 25868050, PubMed : 8006002). Once all three components are bound together in a complex at the cell surface, BMPR2 phosphorylates and activates BMPR1A. In turn, BMPR1A propagates signal by phosphorylating SMAD1/5/8 that travel to the nucleus and act as activators and repressors of transcription of target genes (PubMed : 25868050, PubMed : 29212066). Positively regulates the expression of odontogenic development regulator MSX1 via inducing the IPO7-mediated import of SMAD1 to the nucleus (By similarity). Required for MSX1-mediated mesenchymal molar tooth bud development beyond the bud stage, via promoting Wnt signaling (By similarity). Acts as a positive regulator of odontoblast differentiation during mesenchymal tooth germ formation, expression is repressed during the bell stage by MSX1-mediated inhibition of CTNNB1 signaling (By similarity). Able to induce its own expression in dental mesenchymal cells and also in the neighboring dental epithelial cells via an MSX1-mediated pathway (By similarity). Can also signal through non-canonical BMP pathways such as ERK/MAP kinase, PI3K/Akt, or SRC cascades (PubMed : 31363885). For example, induces SRC phosphorylation which, in turn, activates VEGFR2, leading to an angiogenic response (PubMed : 31363885).
See full target information BMP4

Abcam Product Promise

我们致力于为您的研究提供高质量的试剂,为您科研的每一步提供支持。若我们的产品未能达到预期性能,我们向您提供 Abcam Product Promise 保障。
详情请参阅我们的条款与条件。

Please note: All products are 'FOR RESEARCH USE ONLY. NOT FOR USE IN DIAGNOSTIC OR THERAPEUTIC PROCEDURES'.

For licensing inquiries, please contact partnerships@abcam.com