JavaScript is disabled in your browser. Please enable JavaScript to view this website.
AB124715

Anti-BMP4 抗体 [EPR6211]

Anti-BMP4 antibody [EPR6211]

Be the first to review this product! Submit a review

|

(33 Publications)

Rabbit Recombinant Monoclonal BMP4 antibody. Suitable for IHC-P, IP, WB, ICC/IF, Flow Cyt (Intra) and reacts with Human samples. Cited in 33 publications.

查看别名

BMP2B, DVR4, BMP4, Bone morphogenetic protein 4, BMP-4, Bone morphogenetic protein 2B, BMP-2B

11 Images
Flow Cytometry (Intracellular) - Anti-BMP4 antibody [EPR6211] (AB124715)
  • Flow Cyt (Intra)

Unknown

Flow Cytometry (Intracellular) - Anti-BMP4 antibody [EPR6211] (AB124715)

Intracellular Flow Cytometry analysis of HeLa (Human cervix adenocarcinoma epithelial cell) cells labeling BMP4 with purified ab124715 at 1/120 dilution (10 μg/ml) (red). Cells were fixed with 4% Paraformaldehyde. A Goat anti rabbit IgG (Alexa Fluor® 488) secondary antibody was used at 1/2000 dilution. Isotype control - Rabbit monoclonal IgG (Black). Unlabeled control - Cell without incubation with primary antibody and secondary antibody (Blue).

Immunohistochemistry (Formalin/PFA-fixed paraffin-embedded sections) - Anti-BMP4 antibody [EPR6211] (AB124715)
  • IHC-P

Lab

Immunohistochemistry (Formalin/PFA-fixed paraffin-embedded sections) - Anti-BMP4 antibody [EPR6211] (AB124715)

The immunostaining was performed on a Leica Biosystems BOND® RX instrument. Paraffin embedded human kidney tissue slides were dewaxed, followed by heat mediated antigen retrieval with Tris-EDTA buffer (pH 9.0, Epitope Retrieval ER2 Solution) for 20 mins. Endogenous peroxidase activity was blocked with 3% H2O2 for 10 mins. The sections were then incubated with ab124715 (1/400) at room temperature for 30 mins, followed by a ready to use Rabbit specific IHC polymer detection kit HRP/DAB (ab209101). The sections were counterstained with Hematoxylin. The images were taken with a Leica Aperio AT2.

ab124715 was stored at a range of temperatures (+4°C, +22°C, +37°C) for 1 week before being tested in IHC-P. The image shows the staining intensity remains relatively constant across all storage temperatures, demonstrating that antibody activity is not affected.

Immunohistochemistry (Formalin/PFA-fixed paraffin-embedded sections) - Anti-BMP4 antibody [EPR6211] (AB124715)
  • IHC-P

Unknown

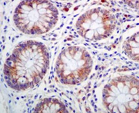
Immunohistochemistry (Formalin/PFA-fixed paraffin-embedded sections) - Anti-BMP4 antibody [EPR6211] (AB124715)

Unpurified ab124715 at 1/100 staining BMP4 in paraffin embedded Human colon tissue by Immunohistochemistry.

Perform heat mediated antigen retrieval before commencing with IHC staining protocol.

Immunocytochemistry/ Immunofluorescence - Anti-BMP4 antibody [EPR6211] (AB124715)
  • ICC/IF

Lab

Immunocytochemistry/ Immunofluorescence - Anti-BMP4 antibody [EPR6211] (AB124715)

Immunocytochemistry/Immunofluorescence analysis of A549 (human lung carcinoma) cells labelling BMP4 with purified ab124715 at 1/500. Cells were fixed with 4% Paraformaldehyde and permeabilized with 0.1% Triton X-100. ab150077 Alexa Fluor® 488-conjugated goat anti-rabbit IgG (1/1000) was used as the secondary antibody. Nuclei were counterstained with DAPI (blue).

Secondary Only Control : PBS was used instead of the primary antibody as the negative control.

Immunohistochemistry (Formalin/PFA-fixed paraffin-embedded sections) - Anti-BMP4 antibody [EPR6211] (AB124715)
  • IHC-P

Unknown

Immunohistochemistry (Formalin/PFA-fixed paraffin-embedded sections) - Anti-BMP4 antibody [EPR6211] (AB124715)

Immunohistochemistry (Formalin/PFA-fixed paraffin-embedded sections) analysis of Human breast cancer tissue sections labeling BMP4 with Purified ab124715 at 1 : 400 dilution (2.44 µg/ml). Heat mediated antigen retrieval was performed using ab93684 (Tris/EDTA buffer, pH 9.0). ImmunoHistoProbe one step HRP Polymer (ready to use)was used as the secondary antibody.Negative control : PBS instead of the primary antibody.Hematoxylin was used as a counterstain.

Immunoprecipitation - Anti-BMP4 antibody [EPR6211] (AB124715)
  • IP

Unknown

Immunoprecipitation - Anti-BMP4 antibody [EPR6211] (AB124715)

ab124715 (purified) at 1 : 60 dilution (2μg) immunoprecipitating BMP4 in A549 whole cell lysate.
Lane 1 (input) : A549 (Human lung carcinoma epithelial cell) whole cell lysate 10μg
Lane 2 (+) : ab124715 & A549 whole cell lysate
Lane 3 (-) : Rabbit monoclonal IgG (ab172730) instead of ab124715 in A549 whole cell lysate
For western blotting, VeriBlot for IP Detection Reagent (HRP) (ab131366) was used for detection at 1 : 1000 dilution.
Blocking and diluting buffer : 5% NFDM/TBST.

All lanes:

Immunoprecipitation - Anti-BMP4 antibody [EPR6211] (ab124715)

Predicted band size: 47 kDa

false

Western blot - Anti-BMP4 antibody [EPR6211] (AB124715)
  • WB

Lab

Western blot - Anti-BMP4 antibody [EPR6211] (AB124715)

This blot was produced using 4-20% SDS-PAGE containing 15 μg of HeLa whole cell lysate per lane at 150V for 1hr before being transferred onto a 0.45 μm PVDF membrane at 75V for 1hr. The membrane was then blocked for 1hr using 5% NFDM/TBST, then incubated with ab124715 (1/20,000) at room temperature for 1hr. After being washed three times in TBST, the membrane was incubated with Peroxidase conjugated goat anti-rabbit IgG (H+L) (ab97051) at 1/20,000 dilution for 1hr at room temperature. The membrane was washed three times again. Then the signal was developed using the ECL technique. ab124715 was stored at a range of temperatures (+4°C, +22°C, +37°C) for 1 week before being tested in WB. The image shows the band intensity remains relatively constant across all storage temperatures, demonstrating that antibody activity is not affected.

All lanes:

Western blot - Anti-BMP4 antibody [EPR6211] (ab124715) at 1/20000 dilution

All lanes:

HeLa whole cell lysate at 15 µg with NDFM/TBST

Secondary

All lanes:

Western blot - Goat Anti-Rabbit IgG H&L (HRP) (<a href='/products/secondary-antibodies/goat-rabbit-igg-h-l-hrp-ab97051'>ab97051</a>) at 1/20000 dilution

false

Exposure time: 40s

Western blot - Anti-BMP4 antibody [EPR6211] (AB124715)
  • WB

Unknown

Western blot - Anti-BMP4 antibody [EPR6211] (AB124715)

All lanes:

Western blot - Anti-BMP4 antibody [EPR6211] (ab124715) at 1/10000 dilution

Lane 1:

Human fetal liver lysate at 10 µg

Lane 2:

A549 lysate at 10 µg

Lane 3:

HeLa lysate at 10 µg

Lane 4:

A431 lysate at 10 µg

Lane 5:

Human heart lysate at 10 µg

Secondary

All lanes:

HRP labelled goat anti-rabbit at 1/2000 dilution

Predicted band size: 47 kDa

false

Western blot - Anti-BMP4 antibody [EPR6211] (AB124715)
  • WB

Unknown

Western blot - Anti-BMP4 antibody [EPR6211] (AB124715)

Blocking and diluting buffer : 5% NFDM/TBST

All lanes:

Western blot - Anti-BMP4 antibody [EPR6211] (ab124715) at 0.05 µg/mL

All lanes:

HeLa (Human cervix adenocarcinoma epithelial cell) whole cell lysates at 15 µg

Secondary

All lanes:

Western blot - Goat Anti-Rabbit IgG H&L (HRP) (<a href='/products/secondary-antibodies/goat-rabbit-igg-h-l-hrp-ab97051'>ab97051</a>) at 1/20000 dilution

Predicted band size: 47 kDa

false

OI-RD Scanning - Anti-BMP4 antibody [EPR6211] (AB124715)
  • OI-RD Scanning

Unknown

OI-RD Scanning - Anti-BMP4 antibody [EPR6211] (AB124715)

We have systematically measured KD (the equilibrium dissociation constant between the antibody and its antigen), of more than 840 recombinant antibodies to assess not only their individual KD values but also to see the average affinity of antibody. Based on the comparison with published literature values for mouse monoclonal antibodies, Recombinant antibodies appear to be on average 1-2 order of magnitude higher affinity.

Western blot - Anti-BMP4 antibody [EPR6211] (AB124715)
  • WB

CiteAb

Western blot - Anti-BMP4 antibody [EPR6211] (AB124715)

BMP4 western blot using anti-BMP4 antibody [EPR6211] ab124715. Publication image and figure legend from Li, X., Sun, B., et al., 2020, J Cancer, PubMed 32201526.

ab124715 was used in this publication in western blot. This may not be the same as the application(s) guaranteed by Abcam. For a full list of applications guaranteed by Abcam for ab124715 please see the product overview.

(A) The expression of BMP4 in four HCC cell types was evaluated according to western blot analysis. (B, C) BMP4 protein level was up-regulated in BMP4-overexpressing HepG2 cells; the up-regulation efficiency was validated through western blot and immunofluorescence. BMP4 was knocked down in SMMC7721 cells using shRNA interference; the down-regulation efficiency was also validated through western blot and immunofluorescence. Green : target protein; blue : DAPI-stained nuclear DNA. *p<0.05, scale bar=50μm.

false

不同偶联物与剂型 (7)

  • Carrier free

    Anti-BMP4 antibody [EPR6211] - BSA and Azide free

  • Carrier free

    Anti-BMP4 antibody [EPR6211] - Low endotoxin, Azide free

  • Biotin

    Biotin Anti-BMP4 antibody [EPR6211]

  • 617 Alexa Fluor® 594

    Alexa Fluor® 594 Anti-BMP4 antibody [EPR6211]

  • 519 Alexa Fluor® 488

    Alexa Fluor® 488 Anti-BMP4 antibody [EPR6211]

  • HRP

    HRP Anti-BMP4 antibody [EPR6211]

  • 665 Alexa Fluor® 647

    Alexa Fluor® 647 Anti-BMP4 antibody [EPR6211]

关键信息

宿主种属

Rabbit

克隆

Monoclonal

克隆号

EPR6211

亚型

IgG

不含载体蛋白

No

反应种属

Human

应用

IP, IHC-P, ICC/IF, WB, Flow Cyt (Intra)

applications

免疫原

The exact immunogen used to generate this antibody is proprietary information.

反应性数据

{ "title": "Reactivity Data", "filters": { "stats": ["", "Species", "Dilution Info", "Notes"], "tabs": { "all-applications": {"fullname" : "All Applications", "shortname": "All Applications"}, "IHCP" : {"fullname" : "Immunohistochemistry (Formalin/PFA-fixed paraffin-embedded sections)", "shortname":"IHC-P"}, "IP" : {"fullname" : "Immunoprecipitation", "shortname":"IP"}, "WB" : {"fullname" : "Western blot", "shortname":"WB"}, "ICCIF" : {"fullname" : "Immunocytochemistry/ Immunofluorescence", "shortname":"ICC/IF"}, "FlowCytIntra" : {"fullname" : "Flow Cytometry (Intracellular)", "shortname":"Flow Cyt (Intra)"} }, "product-promise": { "all": "all", "testedAndGuaranteed": "tested", "guaranteed": "expected", "predicted": "predicted", "notRecommended": "not-recommended" } }, "values": { "Human": { "IHCP-species-checked": "testedAndGuaranteed", "IHCP-species-dilution-info": "1/400", "IHCP-species-notes": "<p><strong>For unpurified use at 1/100 - 1/250. </strong></p> Perform heat-mediated antigen retrieval before commencing with IHC staining protocol.", "IP-species-checked": "testedAndGuaranteed", "IP-species-dilution-info": "1/10 - 1/100", "IP-species-notes": "<p></p>", "WB-species-checked": "testedAndGuaranteed", "WB-species-dilution-info": "1/10000 - 1/50000", "WB-species-notes": "<p></p>", "ICCIF-species-checked": "testedAndGuaranteed", "ICCIF-species-dilution-info": "1/500", "ICCIF-species-notes": "<p><strong>For unpurified use at 1/50 - 1/100. </strong></p>", "FlowCytIntra-species-checked": "testedAndGuaranteed", "FlowCytIntra-species-dilution-info": "1/100 - 1/500", "FlowCytIntra-species-notes": "<p><a href='/products/primary-antibodies/rabbit-igg-monoclonal-epr25a-isotype-control-ab172730'>ab172730</a> - Rabbit monoclonal IgG, is suitable for use as an isotype control with this antibody.</p>" } } }

产品详情

Species reactivity
Mouse, Rat: We have preliminary internal testing data to indicate this antibody may not react with these species.
Please contact us for more information.

Patented technology
Our RabMAb® technology is a patented hybridoma-based technology for making rabbit monoclonal antibodies. For details on our patents, please refer to RabMAb® patents.

What are the advantages of a recombinant monoclonal antibody?
This product is a recombinant monoclonal antibody, which offers several advantages including:

  • - High batch-to-batch consistency and reproducibility
  • - Improved sensitivity and specificity
  • - Long-term security of supply
  • - Animal-free batch production

For more information, read more on recombinant antibodies.

Shipping conditions update: ambient shipping

This product will be delivered at ambient temperature instead of chilled – this is by design. Extensive stability testing confirmed that our products are suitable for shipment under ambient conditions and maintain expected quality.

Why the change?

It’s part of our commitment to more sustainable packaging solutions, with ambient deliveries using eco-friendly materials such as recyclable cardboard instead of polystyrene.

What you need to know

  • Ambient shipments come clearly marked on the delivery note.
  • No ice will be included in ambient shipments, but mixed orders (ambient and cold-chain items) will still arrive with ice packs to protect temperature-sensitive products.
  • Warranty coverage remains fully valid, aligned with our validated shipping method.
  • Please store the product as per the datasheet instructions upon receipt.

Find out more - https://www.abcam.com/en-us/support/shipping-storage-support/ambient-shipping

性能和储存信息

形式
Liquid
纯化工艺
Affinity purification Protein A
存储溶液
pH: 7.2 - 7.4 Preservative: 0.01% Sodium azide Constituents: PBS, 40% Glycerol (glycerin, glycerine), 0.05% BSA
运输条件
Conditional Ambient
推荐的短期储存时间
1-2 weeks
推荐的短期储存条件
+4°C
推荐的长期储存条件
-20°C
分装信息
Upon delivery aliquot
储存信息
Avoid freeze / thaw cycle

产品实验方案

For this product, it's our understanding that no specific protocols are required. You can visit:

靶点信息

Growth factor of the TGF-beta superfamily that plays essential roles in many developmental processes, including neurogenesis, vascular development, angiogenesis and osteogenesis (PubMed : 31363885). Acts in concert with PTHLH/PTHRP to stimulate ductal outgrowth during embryonic mammary development and to inhibit hair follicle induction (By similarity). Initiates the canonical BMP signaling cascade by associating with type I receptor BMPR1A and type II receptor BMPR2 (PubMed : 25868050, PubMed : 8006002). Once all three components are bound together in a complex at the cell surface, BMPR2 phosphorylates and activates BMPR1A. In turn, BMPR1A propagates signal by phosphorylating SMAD1/5/8 that travel to the nucleus and act as activators and repressors of transcription of target genes (PubMed : 25868050, PubMed : 29212066). Positively regulates the expression of odontogenic development regulator MSX1 via inducing the IPO7-mediated import of SMAD1 to the nucleus (By similarity). Required for MSX1-mediated mesenchymal molar tooth bud development beyond the bud stage, via promoting Wnt signaling (By similarity). Acts as a positive regulator of odontoblast differentiation during mesenchymal tooth germ formation, expression is repressed during the bell stage by MSX1-mediated inhibition of CTNNB1 signaling (By similarity). Able to induce its own expression in dental mesenchymal cells and also in the neighboring dental epithelial cells via an MSX1-mediated pathway (By similarity). Can also signal through non-canonical BMP pathways such as ERK/MAP kinase, PI3K/Akt, or SRC cascades (PubMed : 31363885). For example, induces SRC phosphorylation which, in turn, activates VEGFR2, leading to an angiogenic response (PubMed : 31363885).
See full target information BMP4

文献 (33)

Recent publications for all applications. Explore the full list and refine your search

Cellular and molecular life sciences : CMLS 82:16 PubMed39725818

2024

Retinoic acid drives surface epithelium fate determination through the TCF7-MSX2 axis.

Applications

Unspecified application

Species

Unspecified reactive species

Huaxing Huang,Jiafeng Liu,Fengjiao An,Siqi Wu,Huizhen Guo,Bofeng Wang,Kunlun Mo,Ying Huang,Jieying Tan,Jin Zhu,Zesong Lin,Zhuo Han,Mingsen Li,Li Wang,Zhen Mao,Hong Ouyang

Nature communications 15:10206 PubMed39604360

2024

Single-cell transcriptome analysis reveals CD34 as a marker of human sinoatrial node pacemaker cardiomyocytes.

Applications

Unspecified application

Species

Unspecified reactive species

Amos A Lim,Delaram Pouyabahar,Mishal Ashraf,Kate Huang,Michelle Lohbihler,Brandon M Murareanu,Matthew L Chang,Maggie Kwan,Faisal J Alibhai,Thinh Tran,Amine Mazine,Michael A Laflamme,Gary D Bader,Zachary Laksman,Stephanie Protze

Cancer diagnosis & prognosis 4:416-423 PubMed38962548

2024

BMP Signaling Is a Prognostic Marker in Patients With Colorectal Cancer and Associates With Frailty.

Applications

Unspecified application

Species

Unspecified reactive species

Shohei Sawata,Shota Shimizu,Yoshiaki Matsumi,Yusuke Kono,Kyoichi Kihara,Manabu Yamamoto,Teruhisa Sakamoto,Yoshihisa Umekita,Yoshiyuki Fujiwara

Neoplasia (New York, N.Y.) 49:100972 PubMed38237535

2024

AEBP1 promotes papillary thyroid cancer progression by activating BMP4 signaling.

Applications

Unspecified application

Species

Unspecified reactive species

Gaoda Ju,Tao Xing,Miaomiao Xu,Xin Zhang,Yuqing Sun,Zhuanzhuan Mu,Di Sun,Sen Miao,Li Li,Jun Liang,Yansong Lin

Medical archives (Sarajevo, Bosnia and Herzegovina) 77:207-212 PubMed37700913

2023

The Impact of BMP-4 Tissue Expression on Progression and Survival in Breast Cancer.

Applications

Unspecified application

Species

Unspecified reactive species

Nina Camdzic,Suada Kuskunovic-Vlahovljak,Mirsad Doric,Mirsad Babic,Selma Poparic,Edina Lazovic Salcin

Journal of biochemical and molecular toxicology 37:e23406 PubMed37392398

2023

CircDUS2L (circ_0039908) promotes lung adenocarcinoma progression by upregulating PGAM1 by acting as a miR-590-5p molecular sponge.

Applications

Unspecified application

Species

Unspecified reactive species

Qing Tian,Ying Guo,Jinfeng Liu,Chao Pang,Qiang Wang,Qi Xie,Jianke Li

BMC cancer 23:594 PubMed37370018

2023

High glucose promotes the progression of colorectal cancer by activating the BMP4 signaling and inhibited by glucagon-like peptide-1 receptor agonist.

Applications

Unspecified application

Species

Unspecified reactive species

Bingwei Ma,Xingchun Wang,Hui Ren,Yingying Li,Haijiao Zhang,Muqing Yang,Jiyu Li

International journal of molecular sciences 24: PubMed37047413

2023

Osteogenic Potential of Autologous Dentin Graft Compared with Bovine Xenograft Mixed with Autologous Bone in the Esthetic Zone: Radiographic, Histologic and Immunohistochemical Evaluation.

Applications

Unspecified application

Species

Unspecified reactive species

Matko Oguić,Marija Čandrlić,Matej Tomas,Bruno Vidaković,Marko Blašković,Ana Terezija Jerbić Radetić,Sanja Zoričić Cvek,Davor Kuiš,Olga Cvijanović Peloza

Evidence-based complementary and alternative medicine : eCAM 2022:6235771 PubMed36387361

2022

TRIM44 Promotes Endometrial Carcinoma Progression by Activating the FRS2 Signalling Pathway.

Applications

Unspecified application

Species

Unspecified reactive species

Yurong Song,Guiju Zhou,Enxue Song,Lei Zhan,Qingyuan Wang,Hui Song,Jingxian Xia,Lin Cong

International journal of molecular sciences 23: PubMed35955935

2022

A Novel Cell-Based Model for a Rare Disease: The Tks4-KO Human Embryonic Stem Cell Line as a Frank-Ter Haar Syndrome Model System.

Applications

Unspecified application

Species

Unspecified reactive species

Loretta László,Hédi Maczelka,Tamás Takács,Anita Kurilla,Álmos Tilajka,László Buday,Virag Vas,Ágota Apáti
View all publications

Abcam Product Promise

我们致力于为您的研究提供高质量的试剂,为您科研的每一步提供支持。若我们的产品未能达到预期性能,我们向您提供 Abcam Product Promise 保障。
详情请参阅我们的条款与条件。

Please note: All products are 'FOR RESEARCH USE ONLY. NOT FOR USE IN DIAGNOSTIC OR THERAPEUTIC PROCEDURES'.

For licensing inquiries, please contact partnerships@abcam.com