JavaScript is disabled in your browser. Please enable JavaScript to view this website.
AB235114

Anti-BMP4抗体

Anti-BMP4 antibody

Be the first to review this product! Submit a review

|

(5 Publications)

Rabbit Polyclonal BMP4 antibody. Suitable for WB, IHC-P and reacts with Mouse, Zebrafish, Rat, Human samples. Cited in 5 publications. Immunogen corresponding to Recombinant Fragment Protein within Human BMP4 aa 300 to C-terminus.

查看别名

BMP2B, DVR4, BMP4, Bone morphogenetic protein 4, BMP-4, Bone morphogenetic protein 2B, BMP-2B

7 Images
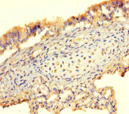
Immunohistochemistry (Formalin/PFA-fixed paraffin-embedded sections) - Anti-BMP4 antibody (AB235114)
  • IHC-P

Supplier Data

Immunohistochemistry (Formalin/PFA-fixed paraffin-embedded sections) - Anti-BMP4 antibody (AB235114)

Paraffin-embedded human lung tissue stained for BMP4 using ab235114 at 1/100 dilution in immunohistochemical analysis.

Immunohistochemistry (Formalin/PFA-fixed paraffin-embedded sections) - Anti-BMP4 antibody (AB235114)
  • IHC-P

Supplier Data

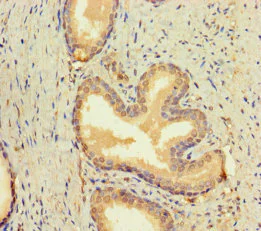
Immunohistochemistry (Formalin/PFA-fixed paraffin-embedded sections) - Anti-BMP4 antibody (AB235114)

Paraffin-embedded human prostate cancer tissue stained for BMP4 using ab235114 at 1/100 dilution in immunohistochemical analysis.

Immunohistochemistry (Formalin/PFA-fixed paraffin-embedded sections) - Anti-BMP4 antibody (AB235114)
  • IHC-P

Supplier Data

Immunohistochemistry (Formalin/PFA-fixed paraffin-embedded sections) - Anti-BMP4 antibody (AB235114)

Paraffin-embedded human appendix tissue stained for BMP4 using ab235114 at 1/600 dilution in immunohistochemical analysis.

After dewaxing and hydration, antigen retrieval was mediated by high pressure in a citrate buffer (pH 6.0). Section was blocked with 10% normal goat serum for 30 minutes at room temperature. Primary antibody (1% BSA) was incubated at 4°C overnight. The primary antibody was detected by a biotinylated secondary antibody and visualized using a HRP conjugated SP system.

Western blot - Anti-BMP4 antibody (AB235114)
  • WB

Supplier Data

Western blot - Anti-BMP4 antibody (AB235114)

All lanes:

Western blot - Anti-BMP4 antibody (ab235114) at 1/500 dilution

Lane 1:

Mouse kidney lysate

Lane 2:

Mouse liver lysate

Lane 3:

Rat liver lysate

Lane 4:

Rat kidney lysate

Lane 5:

Whole Zebrafish lysate

Secondary

All lanes:

Goat polyclonal to rabbit IgG at 1/10000 dilution

Predicted band size: 47 kDa

false

Immunohistochemistry (Formalin/PFA-fixed paraffin-embedded sections) - Anti-BMP4 antibody (AB235114)
  • IHC-P

Supplier Data

Immunohistochemistry (Formalin/PFA-fixed paraffin-embedded sections) - Anti-BMP4 antibody (AB235114)

Paraffin-embedded human small intestine tissue stained for BMP4 using ab235114 at 1/600 dilution in immunohistochemical analysis.

After dewaxing and hydration, antigen retrieval was mediated by high pressure in a citrate buffer (pH 6.0). Section was blocked with 10% normal goat serum for 30 minutes at room temperature. Primary antibody (1% BSA) was incubated at 4°C overnight. The primary antibody was detected by a biotinylated secondary antibody and visualized using a HRP conjugated SP system.

Western blot - Anti-BMP4 antibody (AB235114)
  • WB

Supplier Data

Western blot - Anti-BMP4 antibody (AB235114)

All lanes:

Western blot - Anti-BMP4 antibody (ab235114) at 1/500 dilution

Lane 1:

Rat liver lysate

Lane 2:

A549 (human lung carcinoma cell line) cell lysate

Lane 3:

HeLa (human epithelial cell line from cervix adenocarcinoma) cell lysate

Secondary

All lanes:

Goat polyclonal to rabbit IgG at 1/10000 dilution

Predicted band size: 47 kDa

false

Western blot - Anti-BMP4 antibody (AB235114)
  • WB

Supplier Data

Western blot - Anti-BMP4 antibody (AB235114)

All lanes:

Western blot - Anti-BMP4 antibody (ab235114) at 1/500 dilution

Lane 1:

Mouse brain lysate

Lane 2:

Mouse skeletal muscle lysate

Lane 3:

Whole Zebrafish lysate

Secondary

All lanes:

Goat polyclonal to rabbit IgG at 1/50000 dilution

Predicted band size: 47 kDa

false

关键信息

宿主种属

Rabbit

克隆

Polyclonal

亚型

IgG

不含载体蛋白

No

反应种属

Mouse, Rat, Human, Zebrafish

应用

IHC-P, WB

applications

免疫原

Recombinant Fragment Protein within Human BMP4 aa 300 to C-terminus. The exact immunogen used to generate this antibody is proprietary information.

P12644

反应性数据

{ "title": "Reactivity Data", "filters": { "stats": ["", "Species", "Dilution Info", "Notes"], "tabs": { "all-applications": {"fullname" : "All Applications", "shortname": "All Applications"}, "WB" : {"fullname" : "Western blot", "shortname":"WB"}, "IHCP" : {"fullname" : "Immunohistochemistry (Formalin/PFA-fixed paraffin-embedded sections)", "shortname":"IHC-P"} }, "product-promise": { "all": "all", "testedAndGuaranteed": "tested", "guaranteed": "expected", "predicted": "predicted", "notRecommended": "not-recommended" } }, "values": { "Human": { "WB-species-checked": "guaranteed", "WB-species-dilution-info": "", "WB-species-notes": "", "IHCP-species-checked": "testedAndGuaranteed", "IHCP-species-dilution-info": "1/20 - 1/200", "IHCP-species-notes": "<p></p>" }, "Mouse": { "WB-species-checked": "testedAndGuaranteed", "WB-species-dilution-info": "1/500 - 1/5000", "WB-species-notes": "<p></p>", "IHCP-species-checked": "guaranteed", "IHCP-species-dilution-info": "", "IHCP-species-notes": "" }, "Rat": { "WB-species-checked": "testedAndGuaranteed", "WB-species-dilution-info": "1/500 - 1/5000", "WB-species-notes": "<p></p>", "IHCP-species-checked": "guaranteed", "IHCP-species-dilution-info": "", "IHCP-species-notes": "" }, "Cow": { "WB-species-checked": "predicted", "WB-species-dilution-info": "", "WB-species-notes": "", "IHCP-species-checked": "predicted", "IHCP-species-dilution-info": "", "IHCP-species-notes": "" }, "Deer": { "WB-species-checked": "predicted", "WB-species-dilution-info": "", "WB-species-notes": "", "IHCP-species-checked": "predicted", "IHCP-species-dilution-info": "", "IHCP-species-notes": "" }, "Rabbit": { "WB-species-checked": "predicted", "WB-species-dilution-info": "", "WB-species-notes": "", "IHCP-species-checked": "predicted", "IHCP-species-dilution-info": "", "IHCP-species-notes": "" }, "Zebrafish": { "WB-species-checked": "testedAndGuaranteed", "WB-species-dilution-info": "1/500 - 1/5000", "WB-species-notes": "<p></p>", "IHCP-species-checked": "guaranteed", "IHCP-species-dilution-info": "", "IHCP-species-notes": "" } } }

性能和储存信息

形式
Liquid
纯化工艺
Affinity purification Protein G
纯化说明
Purity >95%.
存储溶液
pH: 7.4 Preservative: 0.03% Sodium azide Constituents: PBS, 50% Glycerol (glycerin, glycerine)
运输条件
Blue Ice
推荐的短期储存时间
1-2 weeks
推荐的短期储存条件
+4°C
推荐的长期储存条件
-20°C
分装信息
Upon delivery aliquot
储存信息
Avoid freeze / thaw cycle

产品实验方案

For this product, it's our understanding that no specific protocols are required. You can visit:

靶点信息

Growth factor of the TGF-beta superfamily that plays essential roles in many developmental processes, including neurogenesis, vascular development, angiogenesis and osteogenesis (PubMed : 31363885). Acts in concert with PTHLH/PTHRP to stimulate ductal outgrowth during embryonic mammary development and to inhibit hair follicle induction (By similarity). Initiates the canonical BMP signaling cascade by associating with type I receptor BMPR1A and type II receptor BMPR2 (PubMed : 25868050, PubMed : 8006002). Once all three components are bound together in a complex at the cell surface, BMPR2 phosphorylates and activates BMPR1A. In turn, BMPR1A propagates signal by phosphorylating SMAD1/5/8 that travel to the nucleus and act as activators and repressors of transcription of target genes (PubMed : 25868050, PubMed : 29212066). Positively regulates the expression of odontogenic development regulator MSX1 via inducing the IPO7-mediated import of SMAD1 to the nucleus (By similarity). Required for MSX1-mediated mesenchymal molar tooth bud development beyond the bud stage, via promoting Wnt signaling (By similarity). Acts as a positive regulator of odontoblast differentiation during mesenchymal tooth germ formation, expression is repressed during the bell stage by MSX1-mediated inhibition of CTNNB1 signaling (By similarity). Able to induce its own expression in dental mesenchymal cells and also in the neighboring dental epithelial cells via an MSX1-mediated pathway (By similarity). Can also signal through non-canonical BMP pathways such as ERK/MAP kinase, PI3K/Akt, or SRC cascades (PubMed : 31363885). For example, induces SRC phosphorylation which, in turn, activates VEGFR2, leading to an angiogenic response (PubMed : 31363885).
See full target information BMP4

文献 (5)

Recent publications for all applications. Explore the full list and refine your search

Frontiers in pharmacology 16:1590624 PubMed40843375

2025

DMH1-loaded peptide nanomicelles restore myelin and attenuate neuroinflammation in trigeminal neuralgia via CCL5 suppression.

Applications

Unspecified application

Species

Unspecified reactive species

Shuangyin Xia,Xiunan Qin,Yaping Wang

Biomolecules 14: PubMed38254638

2024

GDF-15 Inhibits ADP-Induced Human Platelet Aggregation through the GFRAL/RET Signaling Complex.

Applications

Unspecified application

Species

Unspecified reactive species

Baikang Xie,Wenjing Tang,Shuang Wen,Fen Chen,Chao Yang,Min Wang,Yong Yang,Wei Liang

Animal science journal = Nihon chikusan Gakkaiho 94:e13866 PubMed37632404

2023

Possible roles of bone morphogenetic protein 4 in regulating endometrial function in cows.

Applications

Unspecified application

Species

Unspecified reactive species

Yuki Koizumi,Ken-Go Hayashi,Ryosuke Sakumoto

Biomolecules 12: PubMed35204735

2022

Resident Self-Tissue of Proinflammatory Cytokines Rather Than Their Systemic Levels Correlates with Development of Myelofibrosis in Mice.

Applications

Unspecified application

Species

Unspecified reactive species

Maria Zingariello,Paola Verachi,Francesca Gobbo,Fabrizio Martelli,Mario Falchi,Maria Mazzarini,Mauro Valeri,Giuseppe Sarli,Christian Marinaccio,Johanna Melo-Cardenas,John D Crispino,Anna Rita Migliaccio

Journal of clinical laboratory analysis 35:e24106 PubMed34762771

2021

Long noncoding RNA TUG1 upregulates VEGFA to enhance malignant behaviors in stomach adenocarcinoma by sponging miR-29c-3p.

Applications

Unspecified application

Species

Unspecified reactive species

Yanzhao Jin,Jiaqing Cao,Xiaoyun Hu,Hua Cheng
View all publications

Abcam Product Promise

我们致力于为您的研究提供高质量的试剂,为您科研的每一步提供支持。若我们的产品未能达到预期性能,我们向您提供 Abcam Product Promise 保障。
详情请参阅我们的条款与条件。

Please note: All products are 'FOR RESEARCH USE ONLY. NOT FOR USE IN DIAGNOSTIC OR THERAPEUTIC PROCEDURES'.

For licensing inquiries, please contact partnerships@abcam.com