JavaScript is disabled in your browser. Please enable JavaScript to view this website.
AB155033

Anti-BMP4 抗体

Anti-BMP4 antibody

Be the first to review this product! Submit a review

|

(5 Publications)

Rabbit Polyclonal BMP4 antibody. Suitable for IHC-P, WB, ICC/IF and reacts with Human samples. Cited in 5 publications. Immunogen corresponding to Recombinant Fragment Protein within Human BMP4 aa 1-300.

查看别名

BMP2B, DVR4, BMP4, Bone morphogenetic protein 4, BMP-4, Bone morphogenetic protein 2B, BMP-2B

2 Images
Immunocytochemistry/ Immunofluorescence - Anti-BMP4 antibody (AB155033)
  • ICC/IF

Unknown

Immunocytochemistry/ Immunofluorescence - Anti-BMP4 antibody (AB155033)

Immunofluorescence analysis of methanol fixed HeLa cells, labeling BMP4 using ab155033 at 1/100 dilution. Lower image costained with Hoechst 33342.

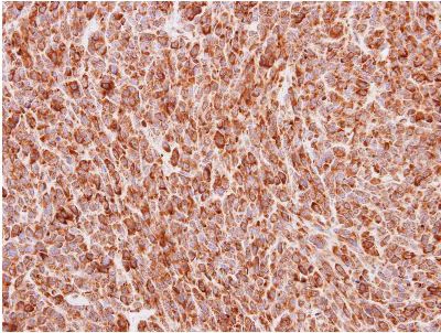
Immunohistochemistry (Formalin/PFA-fixed paraffin-embedded sections) - Anti-BMP4 antibody (AB155033)
  • IHC-P

Unknown

Immunohistochemistry (Formalin/PFA-fixed paraffin-embedded sections) - Anti-BMP4 antibody (AB155033)

Immunohistochemical analysis of paraffin embedded Human MDA-MB468 xenograft tissue, labeling BMP4 using ab155033 at 1/100 dilution.

关键信息

宿主种属

Rabbit

克隆

Polyclonal

亚型

IgG

不含载体蛋白

No

反应种属

Human

应用

ICC/IF, WB, IHC-P

applications

免疫原

Recombinant Fragment Protein within Human BMP4 aa 1-300. The exact immunogen used to generate this antibody is proprietary information.

P12644

反应性数据

{ "title": "Reactivity Data", "filters": { "stats": ["", "Species", "Dilution Info", "Notes"], "tabs": { "all-applications": {"fullname" : "All Applications", "shortname": "All Applications"}, "IHCP" : {"fullname" : "Immunohistochemistry (Formalin/PFA-fixed paraffin-embedded sections)", "shortname":"IHC-P"}, "WB" : {"fullname" : "Western blot", "shortname":"WB"}, "ICCIF" : {"fullname" : "Immunocytochemistry/ Immunofluorescence", "shortname":"ICC/IF"} }, "product-promise": { "all": "all", "testedAndGuaranteed": "tested", "guaranteed": "expected", "predicted": "predicted", "notRecommended": "not-recommended" } }, "values": { "Human": { "IHCP-species-checked": "testedAndGuaranteed", "IHCP-species-dilution-info": "1/100 - 1/1000", "IHCP-species-notes": "<p></p> Perform heat-mediated antigen retrieval with citrate buffer pH 6 before commencing with IHC staining protocol.", "WB-species-checked": "guaranteed", "WB-species-dilution-info": "1/500 - 1/3000", "WB-species-notes": "<p></p>", "ICCIF-species-checked": "testedAndGuaranteed", "ICCIF-species-dilution-info": "1/100 - 1/1000", "ICCIF-species-notes": "<p></p>" } } }

性能和储存信息

形式
Liquid
纯化工艺
Affinity purification Immunogen
存储溶液
pH: 7 Preservative: 0.025% Proclin 300 Constituents: PBS, 20% Glycerol (glycerin, glycerine), 1% BSA
运输条件
Blue Ice
推荐的短期储存条件
+4°C
推荐的长期储存条件
-20°C
分装信息
Upon delivery aliquot
储存信息
Avoid freeze / thaw cycle

产品实验方案

For this product, it's our understanding that no specific protocols are required. You can visit:

靶点信息

Growth factor of the TGF-beta superfamily that plays essential roles in many developmental processes, including neurogenesis, vascular development, angiogenesis and osteogenesis (PubMed : 31363885). Acts in concert with PTHLH/PTHRP to stimulate ductal outgrowth during embryonic mammary development and to inhibit hair follicle induction (By similarity). Initiates the canonical BMP signaling cascade by associating with type I receptor BMPR1A and type II receptor BMPR2 (PubMed : 25868050, PubMed : 8006002). Once all three components are bound together in a complex at the cell surface, BMPR2 phosphorylates and activates BMPR1A. In turn, BMPR1A propagates signal by phosphorylating SMAD1/5/8 that travel to the nucleus and act as activators and repressors of transcription of target genes (PubMed : 25868050, PubMed : 29212066). Positively regulates the expression of odontogenic development regulator MSX1 via inducing the IPO7-mediated import of SMAD1 to the nucleus (By similarity). Required for MSX1-mediated mesenchymal molar tooth bud development beyond the bud stage, via promoting Wnt signaling (By similarity). Acts as a positive regulator of odontoblast differentiation during mesenchymal tooth germ formation, expression is repressed during the bell stage by MSX1-mediated inhibition of CTNNB1 signaling (By similarity). Able to induce its own expression in dental mesenchymal cells and also in the neighboring dental epithelial cells via an MSX1-mediated pathway (By similarity). Can also signal through non-canonical BMP pathways such as ERK/MAP kinase, PI3K/Akt, or SRC cascades (PubMed : 31363885). For example, induces SRC phosphorylation which, in turn, activates VEGFR2, leading to an angiogenic response (PubMed : 31363885).
See full target information BMP4

文献 (5)

Recent publications for all applications. Explore the full list and refine your search

Clinical, cosmetic and investigational dermatology 18:845-857 PubMed40225311

2025

Human Fibroblast Growth Factor 9 Induces Hair Follicle Cycle Transition via TGF-β/BMP/Smad Pathway.

Applications

Unspecified application

Species

Unspecified reactive species

Bowen Zhang,Xue He,Yaxin Guo,Shengnan Zhao,Jing Lan,Fuqiang Chen,Long Wan,Haishan Tian,Xuegang Xu

International journal of molecular sciences 22: PubMed34445433

2021

Conditional Deletion of AP-2β in the Periocular Mesenchyme of Mice Alters Corneal Epithelial Cell Fate and Stratification.

Applications

Unspecified application

Species

Unspecified reactive species

Haydn Walker,Aftab Taiyab,Paula Deschamps,Trevor Williams,Judith A West-Mays

Frontiers in immunology 9:647 PubMed29651293

2018

Homeobox a5 Promotes White Adipose Tissue Browning Through Inhibition of the Tenascin C/Toll-Like Receptor 4/Nuclear Factor Kappa B Inflammatory Signaling in Mice.

Applications

Unspecified application

Species

Unspecified reactive species

Weina Cao,Hongtao Huang,Tianyu Xia,Chenlong Liu,Saeed Muhammad,Chao Sun

Cellular physiology and biochemistry : internation 41:1881-1893 PubMed28376475

2017

Osteopontin, Bone Morphogenetic Protein-4, and Vitamin D Receptor Gene Polymorphisms in the Susceptibility and Clinical Severity of Spinal Tuberculosis.

Applications

Unspecified application

Species

Unspecified reactive species

Guohua Wang,Liangyi Xie,Jianzhong Hu,Hongbin Lu,Xiangyang Liu,Yong Cao,Bin Liu,Yi Zhang,Xiongjie Shen

Development (Cambridge, England) 141:2271-8 PubMed24803588

2014

WT1 regulates the development of the posterior taste field.

Applications

ICC

Species

Mouse

Yankun Gao,Eneda Toska,Dane Denmon,Stefan G E Roberts,Kathryn F Medler
View all publications

Abcam Product Promise

我们致力于为您的研究提供高质量的试剂,为您科研的每一步提供支持。若我们的产品未能达到预期性能,我们向您提供 Abcam Product Promise 保障。
详情请参阅我们的条款与条件。

Please note: All products are 'FOR RESEARCH USE ONLY. NOT FOR USE IN DIAGNOSTIC OR THERAPEUTIC PROCEDURES'.

For licensing inquiries, please contact partnerships@abcam.com