JavaScript is disabled in your browser. Please enable JavaScript to view this website.
AB219336

Anti-Blood Group Lewis y抗体[LWY/1463]

Anti-Blood Group Lewis y antibody [LWY/1463]

Be the first to review this product! Submit a review

|

(2 Publications)

Mouse Monoclonal Blood Group Lewis y antibody. Suitable for IHC-P and reacts with Human samples. Cited in 2 publications. Immunogen corresponding to Cell preparation containing Blood Group Lewis y protein.

查看别名

Lewis Y blood group

1 Images
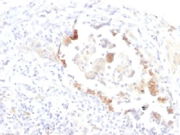
Immunohistochemistry (Formalin/PFA-fixed paraffin-embedded sections) - Anti-Blood Group Lewis y antibody [LWY/1463] (AB219336)
  • IHC-P

Supplier Data

Immunohistochemistry (Formalin/PFA-fixed paraffin-embedded sections) - Anti-Blood Group Lewis y antibody [LWY/1463] (AB219336)

Immunohistochemical analysis of formalin fixed paraffin embedded Human lung carcinoma tissue labeling Blood Group Lewis y with ab219336 at 1 μg/mL.

Staining of formalin-fixed tissues requires heating tissue sections in 10mM Tris with 1mM EDTA pH 9.0 for 45 min at 95°C followed by cooling at RT for 20 minutes.

关键信息

宿主种属

Mouse

克隆

Monoclonal

克隆号

LWY/1463

亚型

IgG1

轻链类型

kappa

不含载体蛋白

No

反应种属

Human

应用

IHC-P

applications

免疫原

The exact immunogen used to generate this antibody is proprietary information.

反应性数据

{ "title": "Reactivity Data", "filters": { "stats": ["", "Species", "Dilution Info", "Notes"], "tabs": { "all-applications": {"fullname" : "All Applications", "shortname": "All Applications"}, "IHCP" : {"fullname" : "Immunohistochemistry (Formalin/PFA-fixed paraffin-embedded sections)", "shortname":"IHC-P"} }, "product-promise": { "all": "all", "testedAndGuaranteed": "tested", "guaranteed": "expected", "predicted": "predicted", "notRecommended": "not-recommended" } }, "values": { "Human": { "IHCP-species-checked": "testedAndGuaranteed", "IHCP-species-dilution-info": "1-2 µg/mL", "IHCP-species-notes": "<p></p> Perform heat-mediated antigen retrieval with Tris/EDTA buffer pH 9.0 before commencing with IHC staining protocol." } } }

性能和储存信息

形式
Liquid
纯化工艺
Affinity purification Protein A/G
存储溶液
pH: 7.2 - 7.4 Preservative: 0.05% Sodium azide Constituents: PBS, 0.05% BSA
运输条件
Blue Ice
推荐的短期储存时间
1-2 weeks
推荐的短期储存条件
+4°C
推荐的长期储存条件
-20°C
分装信息
Upon delivery aliquot
储存信息
Avoid freeze / thaw cycle

补充信息

This supplementary information is collated from multiple sources and compiled automatically.

Blood Group Lewis y also known as Le^y or the Lewis y antigen is a carbohydrate antigen found on the surface of red blood cells and certain epithelial tissues. It is a fucosylated oligosaccharide structure specifically an f3-Lewis structure with a molecular mass around 725 Daltons. The Lewis y antigen is expressed most strongly in the epithelial cells of the gastrointestinal tract lungs and urinary tract. It also appears in the endothelial cells of blood vessels and some tumor cells where it can act as a tumor-associated carbohydrate antigen.
Biological function summary

The Lewis y antigen plays a significant role in cell adhesion and cell-cell recognition. It becomes engaged in the regulation of cellular interaction being part of complex glycoproteins and glycolipids on cell membranes. These structures serve as ligands for selectins which are adhesion molecules involved in immune responses. The presence of Lewis y antigen can influence cellular behavior and interactions impacting immune response and tumor progression.

Pathways

The Lewis y antigen is involved in the selectin-mediated signaling pathway and glycosylation processes. These pathways relate to its role in cell adhesion and immune system navigation where it interacts with selectin proteins such as L-selectin and E-selectin. Glycosyltransferases enzymes part of the glycosylation process modify the Lewis y antigen forming structures essential for proper cellular recognition and communication in various physiological contexts.

The Lewis y antigen has associations with certain types of cancer such as epithelial ovarian and gastric cancers. It often becomes overexpressed in tumor cells making it a marker for cancer progression and a target for cancer immunotherapy. The upregulation of the Lewis y antigen might interact with molecules like HER2/neu a protein commonly overexpressed in cancer cells contributing to aggressive tumor behavior and metastasis.

产品实验方案

For this product, it's our understanding that no specific protocols are required. You can visit:

文献 (2)

Recent publications for all applications. Explore the full list and refine your search

Cell communication and signaling : CCS 23:136 PubMed40082910

2025

Basal cell adhesion molecule (BCAM) promotes mesothelial-to-mesenchymal transition and tumor angiogenesis through paracrine signaling.

Applications

Unspecified application

Species

Unspecified reactive species

Suresh Sivakumar,Sonja Lieber,Raimund Dietze,Vanessa M Beutgen,Eileen C Sutor,Sophie Heidemann,Florian Finkernagel,Julia Teply-Szymanski,Andrea Nist,Thorsten Stiewe,Katrin Roth,Silke Reinartz,Johannes Graumann,Sabine Müller-Brüsselbach,Rolf Müller

International journal of molecular sciences 24: PubMed37958597

2023

Features and Comparative Characteristics of Fucosylated Glycans Expression in Endothelial Glycocalyx of Placental Terminal Villi in Patients with Preeclampsia Treated with Different Antihypertensive Regimens.

Applications

Unspecified application

Species

Unspecified reactive species

Marina M Ziganshina,Galina V Kulikova,Kamilla T Muminova,Alexander I Shchegolev,Ekaterina L Yarotskaya,Zulfiya S Khodzhaeva,Gennady T Sukhikh
View all publications

Abcam Product Promise

我们致力于为您的研究提供高质量的试剂,为您科研的每一步提供支持。若我们的产品未能达到预期性能,我们向您提供 Abcam Product Promise 保障。
详情请参阅我们的条款与条件。

Please note: All products are 'FOR RESEARCH USE ONLY. NOT FOR USE IN DIAGNOSTIC OR THERAPEUTIC PROCEDURES'.

For licensing inquiries, please contact partnerships@abcam.com