JavaScript is disabled in your browser. Please enable JavaScript to view this website.
AB110099

Anti-BLBP抗体

Anti-BLBP antibody

5

(2 Reviews)

|

(5 Publications)

Goat Polyclonal BLBP antibody. Suitable for IHC-P and reacts with Human samples. Cited in 5 publications. Immunogen corresponding to Synthetic Peptide within Human FABP7 aa 100 to C-terminus conjugated to Keyhole Limpet Haemocyanin.

查看别名

BLBP, FABPB, MRG, FABP7, Brain lipid-binding protein, Brain-type fatty acid-binding protein, Fatty acid-binding protein 7, Mammary-derived growth inhibitor related, B-FABP

4 Images
Immunohistochemistry (Formalin/PFA-fixed paraffin-embedded sections) - Anti-BLBP antibody (AB110099)
  • IHC-P

Unknown

Immunohistochemistry (Formalin/PFA-fixed paraffin-embedded sections) - Anti-BLBP antibody (AB110099)

ab110099 at 2.5μg/ml staining BLBP in formalin-fixed, paraffin-embedded Human skeletal muscle tissue after heat induced antigen retrieval in pH 6.0 citrate buffer.
After incubation with the primary antibody, the slides were incubated with a biotinylated secondary antibody, followed by alkaline phosphatase-streptavidin and chromogen.

Immunohistochemistry (Formalin/PFA-fixed paraffin-embedded sections) - Anti-BLBP antibody (AB110099)
  • IHC-P

Unknown

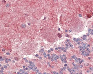
Immunohistochemistry (Formalin/PFA-fixed paraffin-embedded sections) - Anti-BLBP antibody (AB110099)

ab110099 at 2.5μg/ml staining BLBP in formalin-fixed, paraffin-embedded Human cerebellum tissue after heat induced antigen retrieval in pH 6.0 citrate buffer.
After incubation with the primary antibody, the slides were incubated with a biotinylated secondary antibody, followed by alkaline phosphatase-streptavidin and chromogen.

Immunohistochemistry (Formalin/PFA-fixed paraffin-embedded sections) - Anti-BLBP antibody (AB110099)
  • IHC-P

Unknown

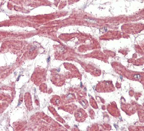
Immunohistochemistry (Formalin/PFA-fixed paraffin-embedded sections) - Anti-BLBP antibody (AB110099)

ab110099 at 2.5μg/ml staining BLBP in formalin-fixed, paraffin-embedded Human heart tissue after heat induced antigen retrieval in pH 6.0 citrate buffer.
After incubation with the primary antibody, the slides were incubated with a biotinylated secondary antibody, followed by alkaline phosphatase-streptavidin and chromogen.

Immunohistochemistry (Formalin/PFA-fixed paraffin-embedded sections) - Anti-BLBP antibody (AB110099)
  • IHC-P

AbReview45047****

Immunohistochemistry (Formalin/PFA-fixed paraffin-embedded sections) - Anti-BLBP antibody (AB110099)

ab110099 staining BLBP in Xenopus laevis gindbrain tissue sections by Immunohistochemistry (IHC-P - paraformaldehyde-fixed, paraffin-embedded sections). Tissue was fixed with Bouin's solution, permeabilized with 0.4% Triton X-100 in 3% normal horse serum and blocked with 3% serum for 2 hours at room temperature; antigen retrieval was by heat mediation in 10mM citrate buffer. Samples were incubated with primary antibody (1/100 in 0.4% Triton X-100 in 3% normal horse serum) for 12 hours at 4°C. An undiluted HRP-conjugated horse anti-goat IgG polyclonal was used as the secondary antibody.

This image is courtesy of an Abreview submitted by Bharti Katbamna

关键信息

宿主种属

Goat

克隆

Polyclonal

亚型

IgG

不含载体蛋白

No

反应种属

Human

应用

IHC-P

applications

免疫原

Synthetic Peptide within Human FABP7 aa 100 to C-terminus conjugated to Keyhole Limpet Haemocyanin. The exact immunogen used to generate this antibody is proprietary information.

O15540

反应性数据

{ "title": "Reactivity Data", "filters": { "stats": ["", "Species", "Dilution Info", "Notes"], "tabs": { "all-applications": {"fullname" : "All Applications", "shortname": "All Applications"}, "IHCP" : {"fullname" : "Immunohistochemistry (Formalin/PFA-fixed paraffin-embedded sections)", "shortname":"IHC-P"} }, "product-promise": { "all": "all", "testedAndGuaranteed": "tested", "guaranteed": "expected", "predicted": "predicted", "notRecommended": "not-recommended" } }, "values": { "Human": { "IHCP-species-checked": "testedAndGuaranteed", "IHCP-species-dilution-info": "2.5 µg/mL", "IHCP-species-notes": "<p></p> Perform heat-mediated antigen retrieval with citrate buffer pH 6 before commencing with IHC staining protocol." }, "Cow": { "IHCP-species-checked": "predicted", "IHCP-species-dilution-info": "", "IHCP-species-notes": "" }, "Pig": { "IHCP-species-checked": "predicted", "IHCP-species-dilution-info": "", "IHCP-species-notes": "" } } }

性能和储存信息

形式
Liquid
纯化工艺
Affinity purification Immunogen
存储溶液
pH: 7.3 Preservative: 0.02% Sodium azide Constituents: Tris buffered saline, 0.5% BSA
运输条件
Blue Ice
推荐的短期储存条件
+4°C
推荐的长期储存条件
-20°C
分装信息
Upon delivery aliquot
储存信息
Avoid freeze / thaw cycle

产品实验方案

For this product, it's our understanding that no specific protocols are required. You can visit:

靶点信息

B-FABP could be involved in the transport of a so far unknown hydrophobic ligand with potential morphogenic activity during CNS development. It is required for the establishment of the radial glial fiber system in developing brain, a system that is necessary for the migration of immature neurons to establish cortical layers (By similarity).
See full target information FABP7

文献 (5)

Recent publications for all applications. Explore the full list and refine your search

NPJ Regenerative medicine 8:31 PubMed37328477

2023

A short dasatinib and quercetin treatment is sufficient to reinstate potent adult neuroregenesis in the aged killifish.

Applications

Unspecified application

Species

Unspecified reactive species

Jolien Van Houcke,Valerie Mariën,Caroline Zandecki,Rajagopal Ayana,Elise Pepermans,Kurt Boonen,Eve Seuntjens,Geert Baggerman,Lutgarde Arckens

Laboratory investigation; a journal of technical methods and pathology 103:100179 PubMed37224922

2023

Impact of P-selectin-PSGL-1 Axis on Platelet-Endothelium-Leukocyte Interactions in Fatal COVID-19.

Applications

Unspecified application

Species

Unspecified reactive species

Massimo Granai,Verena Warm,Antonio Vogelsberg,Jakob Milla,Karen Greif,Ulrich Vogel,Tamam Bakchoul,Peter Rosenberger,Leticia Quintanilla-Martinez,Christian M Schürch,Karin Klingel,Falko Fend,Hans Bösmüller

Current research in neurobiology 3:100042 PubMed36518338

2022

Plasticity of cell proliferation in the retina of fish under light and darkness conditions.

Applications

Unspecified application

Species

Unspecified reactive species

Inés Berrosteguieta,Juan Carlos Rosillo,María Laura Herrera,Silvia Olivera-Bravo,Gabriela Casanova,Vicente Herranz-Pérez,José Manuel García-Verdugo,Anabel Sonia Fernández

Aging cell 20:e13464 PubMed34428340

2021

Aging impairs the essential contributions of non-glial progenitors to neurorepair in the dorsal telencephalon of the Killifish Nothobranchius furzeri.

Applications

Unspecified application

Species

Unspecified reactive species

Jolien Van Houcke,Valerie Mariën,Caroline Zandecki,Sophie Vanhunsel,Lieve Moons,Rajagopal Ayana,Eve Seuntjens,Lutgarde Arckens

Frontiers in cell and developmental biology 7:303 PubMed31850342

2019

Human Cerebral Organoids and Fetal Brain Tissue Share Proteomic Similarities.

Applications

Unspecified application

Species

Unspecified reactive species

Juliana Minardi Nascimento,Verônica M Saia-Cereda,Rafaela C Sartore,Rodrigo Madeiro da Costa,Clarissa S Schitine,Hercules Rezende Freitas,Michael Murgu,Ricardo A de Melo Reis,Stevens K Rehen,Daniel Martins-de-Souza
View all publications

Abcam Product Promise

我们致力于为您的研究提供高质量的试剂,为您科研的每一步提供支持。若我们的产品未能达到预期性能,我们向您提供 Abcam Product Promise 保障。
详情请参阅我们的条款与条件。

Please note: All products are 'FOR RESEARCH USE ONLY. NOT FOR USE IN DIAGNOSTIC OR THERAPEUTIC PROCEDURES'.

For licensing inquiries, please contact partnerships@abcam.com