JavaScript is disabled in your browser. Please enable JavaScript to view this website.
AB52901

Anti-beta Tubulin 抗体 [EP1331Y] - Microtubule Marker

Anti-beta Tubulin antibody [EP1331Y] - Loading Control

4

(12 Reviews)

|

(44 Publications)

Rabbit Recombinant Monoclonal Beta-5-tubulin antibody. Microtubule marker. Suitable for IHC-P, WB and reacts with Human, Mouse, Rat samples. Cited in 44 publications.

查看别名

TUBB5, OK/SW-cl.56, TUBB, Tubulin beta chain, Tubulin beta-5 chain

6 Images
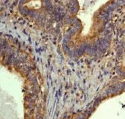
Immunohistochemistry (Formalin/PFA-fixed paraffin-embedded sections) - Anti-beta Tubulin antibody [EP1331Y] - Loading Control (AB52901)
  • IHC-P

Unknown

Immunohistochemistry (Formalin/PFA-fixed paraffin-embedded sections) - Anti-beta Tubulin antibody [EP1331Y] - Loading Control (AB52901)

ab52901 at 1/250 dilution staining beta Tubulin in human gastric carcinoma by Immunohistochemsitry Paraffin embedded tissue.

Perform heat mediated antigen retrieval with citrate buffer pH 6 before commencing with IHC staining protocol.

Western blot - Anti-beta Tubulin antibody [EP1331Y] - Loading Control (AB52901)
  • WB

Unknown

Western blot - Anti-beta Tubulin antibody [EP1331Y] - Loading Control (AB52901)

All lanes:

Western blot - Anti-beta Tubulin antibody [EP1331Y] - Loading Control (ab52901) at 1/20000 dilution

All lanes:

HeLa cell lysate at 10 µg

Secondary

All lanes:

Goat anti-rabbit HRP-conjugated at 1/2000 dilution

Predicted band size: 49 kDa

Observed band size: 50 kDa

false

Western blot - Anti-beta Tubulin antibody [EP1331Y] - Loading Control (AB52901)
  • WB

AbReview20368****

Western blot - Anti-beta Tubulin antibody [EP1331Y] - Loading Control (AB52901)

Blocking Step : 5% Milk for 1 hour at 23°C

All lanes:

Western blot - Anti-beta Tubulin antibody [EP1331Y] - Loading Control (ab52901) at 1/1000 dilution

All lanes:

293 human embryonic kidney whole cell lysate at 25 µg

Secondary

All lanes:

An HRP-conjugated Goat anti-rabbit IgG polyclonal at 1/10000 dilution

Predicted band size: 49 kDa

Observed band size: 55 kDa

true

Exposure time: 45s

This image is courtesy of an anonymous Abreview

Western blot - Anti-beta Tubulin antibody [EP1331Y] - Loading Control (AB52901)
  • WB

Lab

Western blot - Anti-beta Tubulin antibody [EP1331Y] - Loading Control (AB52901)

Blocking and diluting buffer and concentration : 5% NFDM/TBST. Negative control : human cerebellum. In Western blot, anti-Anti-beta Tubulin antibody (ab52901) staining at 1/20000 dilution.

All lanes:

Western blot - Anti-Mitochondrial Ferritin antibody [EPR1797] (<a href='/products/primary-antibodies/mitochondrial-ferritin-antibody-epr1797-ab124889'>ab124889</a>) at 1/1000 dilution

Lane 1:

Human testis tissue lysate at 20 µg

Lane 2:

Human cerebellum tissue lysate at 20 µg

Secondary

All lanes:

Goat Anti-Rabbit IgG (HRP) with minimal cross-reactivity with human IgG at 1/2000 dilution

Predicted band size: 28 kDa

Observed band size: 21 kDa

false

Exposure time: 180s

Western blot - Anti-beta Tubulin antibody [EP1331Y] - Loading Control (AB52901)
  • WB

Lab

Western blot - Anti-beta Tubulin antibody [EP1331Y] - Loading Control (AB52901)

This blot was produced using a 4-12% Bis-tris gel under the MOPS buffer system. The gel was run at 200V for 50 minutes before being transferred onto a Nitrocellulose membrane at 30V for 70 minutes. The membrane was then blocked for an hour using Licor blocking buffer before being incubated with ab52901 overnight at 4°C. Antibody binding was detected using ab175781 at a 1 : 10,000 dilution for 1hr at room temperature and then imaged using the Licor Odyssey CLx.

All lanes:

Western blot - Anti-beta Tubulin antibody [EP1331Y] - Loading Control (ab52901) at 1/20000 dilution

Lane 1:

Brain (Mouse) Tissue Lysate at 20 µg

Lane 2:

Brain (Rat) Tissue Lysate at 20 µg

Lane 3:

Spinal Cord (Mouse) Tissue Lysate at 20 µg

Lane 4:

Spinal Cord (Rat) Tissue Lysate at 20 µg

Lane 5:

PC12 (Rat adrenal pheochromocytoma cell line) Whole Cell Lysate at 20 µg

Secondary

All lanes:

Western blot - Goat Anti-Rabbit IgG H&L (Alexa Fluor® 790) (<a href='/products/secondary-antibodies/goat-rabbit-igg-h-l-alexa-fluor-790-ab175781'>ab175781</a>) at 1/10000 dilution

Predicted band size: 49 kDa

Observed band size: 52 kDa

false

Western blot - Anti-beta Tubulin antibody [EP1331Y] - Loading Control (AB52901)
  • WB

Supplier Data

Western blot - Anti-beta Tubulin antibody [EP1331Y] - Loading Control (AB52901)

Blocking and diluting buffer and concentration : 5% NFDM/TBST.

In Western blot, Anti-beta Tubulin antibody [EP1331Y] - Microtubule Marker (ab52901) staining at 1/1000 dilution.

All lanes:

Western blot - Anti-Flagellin antibody [EPR28356-51] (<a href='/products/primary-antibodies/flagellin-antibody-epr28356-51-ab316010'>ab316010</a>) at 1/1000 dilution

Lane 1:

E. coli BL21(DE3) whole cell lysate at 20 µg

Lane 2:

293T (human embryonic kidney epithelial cell) whole cell lysate at 20 µg

Secondary

All lanes:

Western blot - Goat Anti-Rabbit IgG H&L (HRP) (<a href='/products/secondary-antibodies/goat-rabbit-igg-h-l-hrp-ab97051'>ab97051</a>) at 1/100000 dilution

Observed band size: 51 kDa,50 kDa

false

Exposure time: 180s

不同偶联物与剂型 (1)

  • Carrier free

    Anti-beta Tubulin antibody [EP1331Y] - BSA and Azide free

关键信息

宿主种属

Rabbit

克隆

Monoclonal

克隆号

EP1331Y

亚型

IgG

不含载体蛋白

No

反应种属

Mouse, Rat, Human

应用

WB, IHC-P

applications

免疫原

The exact immunogen used to generate this antibody is proprietary information.

反应性数据

{ "title": "Reactivity Data", "filters": { "stats": ["", "Species", "Dilution Info", "Notes"], "tabs": { "all-applications": {"fullname" : "All Applications", "shortname": "All Applications"}, "IHCP" : {"fullname" : "Immunohistochemistry (Formalin/PFA-fixed paraffin-embedded sections)", "shortname":"IHC-P"}, "WB" : {"fullname" : "Western blot", "shortname":"WB"} }, "product-promise": { "all": "all", "testedAndGuaranteed": "tested", "guaranteed": "expected", "predicted": "predicted", "notRecommended": "not-recommended" } }, "values": { "Human": { "IHCP-species-checked": "testedAndGuaranteed", "IHCP-species-dilution-info": "", "IHCP-species-notes": "<p></p> Perform heat-mediated antigen retrieval with citrate buffer pH 6 before commencing with IHC staining protocol.", "WB-species-checked": "testedAndGuaranteed", "WB-species-dilution-info": "1/20000", "WB-species-notes": "<p></p>" }, "Mouse": { "IHCP-species-checked": "guaranteed", "IHCP-species-dilution-info": "", "IHCP-species-notes": "", "WB-species-checked": "testedAndGuaranteed", "WB-species-dilution-info": "1/20000", "WB-species-notes": "<p></p>" }, "Rat": { "IHCP-species-checked": "guaranteed", "IHCP-species-dilution-info": "", "IHCP-species-notes": "", "WB-species-checked": "testedAndGuaranteed", "WB-species-dilution-info": "1/20000", "WB-species-notes": "<p></p>" }, "Zebrafish": { "IHCP-species-checked": "predicted", "IHCP-species-dilution-info": "", "IHCP-species-notes": "", "WB-species-checked": "predicted", "WB-species-dilution-info": "", "WB-species-notes": "" } } }

产品详情

Patented technology
Our RabMAb® technology is a patented hybridoma-based technology for making rabbit monoclonal antibodies. For details on our patents, please refer to RabMAb® patents.

What are the advantages of a recombinant monoclonal antibody?
This product is a recombinant monoclonal antibody, which offers several advantages including:

  • - High batch-to-batch consistency and reproducibility
  • - Improved sensitivity and specificity
  • - Long-term security of supply
  • - Animal-free batch production

For more information, read more on recombinant antibodies.

性能和储存信息

形式
Liquid
纯化工艺
Affinity purification Protein A
存储溶液
pH: 7.2 - 7.4 Preservative: 0.01% Sodium azide Constituents: PBS, 50% Glycerol (glycerin, glycerine), 0.05% BSA
运输条件
Blue Ice
推荐的短期储存条件
+4°C
推荐的长期储存条件
-20°C
储存信息
Stable for 12 months at -20°C

补充信息

This supplementary information is collated from multiple sources and compiled automatically.

Beta tubulin also known as beta-tubulin or β-tubulin is a globular protein with a molecular weight of approximately 50 kDa. It is a major component of microtubules which are cylindrical structures vital for maintaining cell shape and enabling intracellular transport. This protein is expressed widely in eukaryotic cells and plays a role in mitosis and meiosis by forming the spindle apparatus important for chromosome separation during cell division. The size of beta tubulin allows it to effectively polymerize with alpha tubulin forming heterodimers which are the building blocks of the microtubule network.
Biological function summary

This protein contributes significantly to the dynamic instability of microtubules allowing rapid assembly and disassembly which is essential for cellular processes like motility signaling and maintaining the cell’s architecture. Beta tubulin operates as part of the tubulin family which includes several related proteins within microtubule structures. The beta-tubulin molecules in microtubules are critical for the interactions with microtubule-associated proteins (MAPs) and motor proteins such as kinesin and dynein influencing trafficking and positioning of organelles within the cell.

Pathways

Beta tubulin plays key roles in the mitotic spindle assembly checkpoint ensuring accurate chromosome segregation. It is actively involved in the microtubule pathway and has associations with signaling pathways such as the Wnt signaling pathway which affects cell growth and differentiation. Through these pathways beta tubulin interacts with proteins like tau and MAP2 which stabilize microtubules to control their functional dynamics within the cell.

Mutations or dysregulations in beta tubulin can affect neurological and proliferative conditions such as neurodegenerative diseases and cancer. Beta tubulin is notably linked to Alzheimer's disease where tau protein tangles disrupt normal microtubule function. It also connects to diseases like paclitaxel-resistant cancer where altered beta tubulin isoform expression can lead to chemotherapy resistance. The interaction of beta tubulin with tau and alpha tubulin provides further insight into etiological mechanisms of these conditions.

产品实验方案

For this product, it's our understanding that no specific protocols are required. You can visit:

靶点信息

Tubulin is the major constituent of microtubules, a cylinder consisting of laterally associated linear protofilaments composed of alpha- and beta-tubulin heterodimers. Microtubules grow by the addition of GTP-tubulin dimers to the microtubule end, where a stabilizing cap forms. Below the cap, tubulin dimers are in GDP-bound state, owing to GTPase activity of alpha-tubulin.
See full target information TUBB

文献 (44)

Recent publications for all applications. Explore the full list and refine your search

Cells 13: PubMed38201267

2024

Immunohistochemical and Immunoelectron Microscopical Distribution of MEGF8 in the Mouse Central Nervous System.

Applications

Unspecified application

Species

Unspecified reactive species

Kazuhiko Nakadate,Kiyoharu Kawakami

International journal of molecular sciences 24: PubMed37108515

2023

Severe Acute Liver Dysfunction Induces Delayed Hepatocyte Swelling and Cytoplasmic Vacuolization, and Delayed Cortical Neuronal Cell Death.

Applications

Unspecified application

Species

Unspecified reactive species

Kazuhiko Nakadate,Chiaki Sono,Homura Mita,Yuki Itakura,Kiyoharu Kawakami

Zoological research 43:301-318 PubMed35312240

2022

Mechanism of hyperproteinemia-induced blood cell homeostasis imbalance in an animal model.

Applications

Unspecified application

Species

Unspecified reactive species

Guang Wang,Yong-Feng Wang,Jiang-Lan Li,Ru-Ji Peng,Xin-Yin Liang,Xue-Dong Chen,Gui-Hua Jiang,Jin-Fang Shi,Yang-Hu Si-Ma,Shi-Qing Xu

Cells 10: PubMed34685689

2021

A Novel Pro-Inflammatory Mechanosensing Pathway Orchestrated by the Disintegrin Metalloproteinase ADAM15 in Synovial Fibroblasts.

Applications

Unspecified application

Species

Unspecified reactive species

Tomasz Janczi,Florian Meier,Yuliya Fehrl,Raimund W Kinne,Beate Böhm,Harald Burkhardt

International journal of molecular sciences 22: PubMed34502063

2021

The Association between α-Synuclein and α-Tubulin in Brain Synapses.

Applications

Unspecified application

Species

Unspecified reactive species

Alida Amadeo,Sara Pizzi,Alessandro Comincini,Debora Modena,Alessandra Maria Calogero,Laura Madaschi,Gaia Faustini,Chiara Rolando,Arianna Bellucci,Gianni Pezzoli,Samanta Mazzetti,Graziella Cappelletti

Molecular metabolism :101164 PubMed33453419

2021

Essential roles of insulin and IGF-1 receptors during embryonic lineage development.

Applications

Unspecified application

Species

Unspecified reactive species

Erin R Okawa,Manoj K Gupta,Sevim Kahraman,Praneeth Goli,Masaji Sakaguchi,Jiang Hu,Kaiti Duan,Brittany Slipp,Jochen K Lennerz,Rohit N Kulkarni

ACS applied materials & interfaces 12:54481-54488 PubMed33252216

2020

Nanofibrous Tubular Three-Dimensional Platform for Single Dental Pulp Stem Cell Polarization.

Applications

Unspecified application

Species

Unspecified reactive species

Bei Chang,Chi Ma,Xiaohua Liu

Cell death & disease 11:870 PubMed33067426

2020

Enolase 1 regulates stem cell-like properties in gastric cancer cells by stimulating glycolysis.

Applications

Unspecified application

Species

Unspecified reactive species

Ting Yang,Xiong Shu,Hui-Wen Zhang,Li-Xin Sun,Long Yu,Jun Liu,Li-Chao Sun,Zhi-Hua Yang,Yu-Liang Ran

Andrology 9:312-328 PubMed32657535

2020

The protein YWHAE (14-3-3 epsilon) in spermatozoa is essential for male fertility.

Applications

Unspecified application

Species

Unspecified reactive species

Alaa Eisa,Souvik Dey,Alex Ignatious,Wesam Nofal,Rex A Hess,Manabu Kurokawa,Douglas Kline,Srinivasan Vijayaraghavan

Acta neuropathologica 139:977-1000 PubMed32356200

2020

The structural differences between patient-derived α-synuclein strains dictate characteristics of Parkinson's disease, multiple system atrophy and dementia with Lewy bodies.

Applications

Unspecified application

Species

Unspecified reactive species

Anke Van der Perren,Géraldine Gelders,Alexis Fenyi,Luc Bousset,Filipa Brito,Wouter Peelaerts,Chris Van den Haute,Steve Gentleman,Ronald Melki,Veerle Baekelandt
View all publications

Abcam Product Promise

我们致力于为您的研究提供高质量的试剂,为您科研的每一步提供支持。若我们的产品未能达到预期性能,我们向您提供 Abcam Product Promise 保障。
详情请参阅我们的条款与条件。

Please note: All products are 'FOR RESEARCH USE ONLY. NOT FOR USE IN DIAGNOSTIC OR THERAPEUTIC PROCEDURES'.

For licensing inquiries, please contact partnerships@abcam.com