JavaScript is disabled in your browser. Please enable JavaScript to view this website.
AB18207

Anti-beta III Tubulin 抗体 - Neuronal Marker

Anti-beta III Tubulin antibody - Neuronal Marker

  • BOND RX™ Validated
  • Lab Essentials
  • KO Validated
  • 了解详情

5

(67 Reviews)

|

(628 Publications)

Anti-beta III Tubulin antibody - Neuronal Marker (ab18207) is a rabbit polyclonal antibody detecting beta III Tubulin in Western Blot, Flow Cytometry, IHC-P, ICC/IF. Suitable for Catshark, Common marmoset, Dogfish, Human, Mouse, Rat.

- Over 620 publications
- Trusted since 2005

查看别名

TUBB4, TUBB3, Tubulin beta-3 chain, Tubulin beta-4 chain, Tubulin beta-III

17 Images
Immunocytochemistry/ Immunofluorescence - Anti-beta III Tubulin antibody - Neuronal Marker (AB18207)
  • ICC/IF

Lab

Immunocytochemistry/ Immunofluorescence - Anti-beta III Tubulin antibody - Neuronal Marker (AB18207)

ab18207 staining beta III Tubulin in PC12 cells. The cells were fixed with 100% methanol (5 min) permeabilized with 0.1% PBS-Tween for 5 minutes and then blocked with 1% BSA/10% normal goat serum/0.3M glycine in 0.1%PBS-Tween for 1h. The cells were then incubated overnight at 4°C with ab18207 at 1µg/ml and ab7291 Mouse monoclonal [DM1A] to alpha Tubulin - Loading Control. Cells were then incubated with ab150081 Goat polyclonal Secondary Antibody to Rabbit IgG - H&L (Alexa Fluor® 488) pre-adsorbed at 1/1000 dilution (shown in green) and ab150120 Goat polyclonal Secondary Antibody to Mouse IgG - H&L (Alexa Fluor® 594) pre-adsorbed at 1/1000 dilution (shown in pseudocolour red). Nuclear DNA was labelled with DAPI (shown in blue).

Image was acquired with a confocal microscope (Leica-Microsystems TCS SP8) and a single confocal section is shown.

Immunohistochemistry (Formalin/PFA-fixed paraffin-embedded sections) - Anti-beta III Tubulin antibody - Neuronal Marker (AB18207)
  • IHC-P

Lab

Immunohistochemistry (Formalin/PFA-fixed paraffin-embedded sections) - Anti-beta III Tubulin antibody - Neuronal Marker (AB18207)

Immunohistochemical analysis of formalin fixed paraffin embedded human cerebrum labelling beta III tubulin with ab18207 at a concentration of 0.32 µg/ml. The immunostaining was performed on a Ventana DISCOVERY ULTRA (Roche Tissue Diagnostics) instrument with an OptiView DAB IHC Detection Kit. Heat mediated antigen retrieval was conducted for 32 mins at 100°C with ULTRA cell conditioning solution (CC1, pH 8.5). ab18207 anti-beta III tubulin antibody was incubated at 37°C for 16 mins. Sections were counterstained with Hematoxylin II. Image inset shows absence of staining in secondary antibody only control.

Flow Cytometry (Intracellular) - Anti-beta III Tubulin antibody - Neuronal Marker (AB18207)
  • Flow Cyt (Intra)

Lab

Flow Cytometry (Intracellular) - Anti-beta III Tubulin antibody - Neuronal Marker (AB18207)

Overlay histogram showing U-87MG (Human glioblastoma-astrocytoma epithelial cell line) cells stained with ab18207 (red line). The cells were fixed with 80% methanol (5 min) and then permeabilized with 0.1% PBS-Triton X-100 for 20 min. The cells were then incubated in 1x PBS / 10% normal goat serum / 0.3M glycine to block non-specific protein-protein interactions followed by the antibody (ab18207 0.01μg/1x106) for 30 min at 22°C. The secondary antibody used was Goat Anti-Rabbit IgG H&L (Alexa Fluor® 488) preadsorbed (ab150081) at 1/4000 dilution for 30 min at 22°C. Isotype control antibody (black line) was rabbit IgG (polyclonal) (ab171870 0.01μg/1x106 cells) used under the same conditions. Unlabelled sample (blue line) was also used as a control.

Acquisition of >5000 events were collected using a 20mW Argon ion laser (488nm) and 525/30 bandpass filter.

This antibody gave a positive signal in U-87MG cells fixed with 4% paraformaldehyde (10 min)/permeabilized with 0.1% PBS-Triton X-100 for 20 min used under the same conditions.

Immunohistochemistry (Formalin/PFA-fixed paraffin-embedded sections) - Anti-beta III Tubulin antibody - Neuronal Marker (AB18207)
  • IHC-P

AbReview6938****

Immunohistochemistry (Formalin/PFA-fixed paraffin-embedded sections) - Anti-beta III Tubulin antibody - Neuronal Marker (AB18207)

ab18207 at 1/2000 dilution staining rat cerebellum tissue sections by Immunohistochemistry (Formalin/PFA-fixed paraffin-embedded sections). The tissue was formaldehyde fixed and a heat mediated antigen retrieval step was performed prior to incubation with the antibody for 16 hours. A biotinylated goat polyclonal antibody was used as the secondary.

This image is courtesy of Carl Hobbs, King's College London, United Kingdom

Flow Cytometry (Intracellular) - Anti-beta III Tubulin antibody - Neuronal Marker (AB18207)
  • Flow Cyt (Intra)

Lab

Flow Cytometry (Intracellular) - Anti-beta III Tubulin antibody - Neuronal Marker (AB18207)

Overlay histogram showing Neuro 2A cells stained with ab18207 (red line). The cells were fixed with 80% methanol (5 min) and then permeabilized with 0.1% PBS-Triton X-100 for 20 min. The cells were then incubated in 1x PBS / 10% normal goat serum / 0.3M glycine to block non-specific protein-protein interactions followed by the antibody (ab18207 0.01μg/1x106) for 30 min at 22°C. The secondary antibody used was Goat Anti-Rabbit IgG H&L (Alexa Fluor® 488) preadsorbed (ab150081) at 1/4000 dilution for 30 min at 22°C. Isotype control antibody (black line) was rabbit IgG (polyclonal) (ab171870 0.01μg/1x106 cells) used under the same conditions. Unlabelled sample (blue line) was also used as a control.

Acquisition of >5000 events were collected using a 20mW Argon ion laser (488nm) and 525/30 bandpass filter.

Immunohistochemistry (Formalin/PFA-fixed paraffin-embedded sections) - Anti-beta III Tubulin antibody - Neuronal Marker (AB18207)
  • IHC-P

PubMed

Immunohistochemistry (Formalin/PFA-fixed paraffin-embedded sections) - Anti-beta III Tubulin antibody - Neuronal Marker (AB18207)

Immunohistochemical analysis of adult mice ovaries undergone Clarity processing staining tyrosine hydroxlase (TH) Beta III Tubulin (Tuj1) with ab18207 and brain derived neurotrpic factor (BDNF) with ab72439. Positive staing of Tuj1 and BDNF is evident in the theca cells and corpus luteum.

Courtesy of Feng Y et al. Sci Rep. 2017; 7: 44810. doi: 10.1038/srep44810 Reproduced under the Creative Commons license http://creativecommons.org/licenses/by/4.0/.

Immunocytochemistry/ Immunofluorescence - Anti-beta III Tubulin antibody - Neuronal Marker (AB18207)
  • ICC/IF

AbReview76541****

Immunocytochemistry/ Immunofluorescence - Anti-beta III Tubulin antibody - Neuronal Marker (AB18207)

Immunocytochemistry analysis of paraformaldehyde-fixed mouse brain staining with ab18207 at 1/200 dilution. Secondary antibody was Alexa Fluor® 568 Donkey Anti-Rabbit IgG. Samples were incubated with the primary antibody with 2% donkey serum in 0.2% TritonX 100 for 16 hours at 27°C. Blocking was done using 10% donkey serum for 2 hours at 28°C.

This image is courtesy of an Abreview submitted by Lenin Veeraval

Immunohistochemistry (Formalin/PFA-fixed paraffin-embedded sections) - Anti-beta III Tubulin antibody - Neuronal Marker (AB18207)
  • IHC-P

Collaborator

Immunohistochemistry (Formalin/PFA-fixed paraffin-embedded sections) - Anti-beta III Tubulin antibody - Neuronal Marker (AB18207)

ab18207 at 1/2000 dilution staining mouse brain tissue sections by IHC-P. The tissue was formaldehyde fixed and an enzymatic antigen retrieval step was performed prior to incubation with the antibody for 16 hours. A biotinylated goat anti-rabbit IgG was used as the secondary.

This image is courtesy of Carl Hobbs, King's College London, United Kingdom

Western blot - Anti-beta III Tubulin antibody - Neuronal Marker (AB18207)
  • WB

Lab

Western blot - Anti-beta III Tubulin antibody - Neuronal Marker (AB18207)

This blot was produced using a 4-12% Bis-tris gel under the MOPS buffer system. The gel was run at 200V for 50 minutes before being transferred onto a Nitrocellulose membrane at 30V for 70 minutes. The membrane was then blocked for an hour using 2% Bovine Serum Albumin before being incubated with ab18207 overnight at 4°C. Antibody binding was detected using Goat Anti-Rabbit IgG H&L (HRP) (ab97051) secondary antibody , and visualised using ECL development solution ab133406.

All lanes:

Western blot - Anti-beta III Tubulin antibody - Neuronal Marker (ab18207) at 1 µg/mL

Lane 1:

Brain (Mouse) Tissue Lysate at 10 µg

Lane 2:

Brain (Rat) Tissue Lysate at 10 µg

Lane 3:

Human brain tissue lysate - total protein (<a href='/products/unavailable/human-brain-tissue-lysate-total-protein-ab29466'>ab29466</a>) at 10 µg

Secondary

All lanes:

Western blot - Goat Anti-Rabbit IgG H&L (HRP) (<a href='/products/secondary-antibodies/goat-rabbit-igg-h-l-hrp-ab97051'>ab97051</a>) at 1/50000 dilution

Predicted band size: 50 kDa

Observed band size: 55 kDa

true

Exposure time: 30s

Western blot - Anti-beta III Tubulin antibody - Neuronal Marker (AB18207)
  • WB

Project6840****

Western blot - Anti-beta III Tubulin antibody - Neuronal Marker (AB18207)

All lanes:

Western blot - Anti-beta III Tubulin antibody - Neuronal Marker (ab18207) at 1 µg/mL

Lanes 1 and 4:

Human brain tissue lysate - total protein (<a href='/products/unavailable/human-brain-tissue-lysate-total-protein-ab29466'>ab29466</a>) at 10 µg

Lanes 2 and 5:

Brain (Mouse) Tissue Lysate at 10 µg

Lanes 3 and 6:

Brain (Rat) Tissue Lysate at 10 µg

Secondary

All lanes:

Goat polyclonal to Rabbit IgG - H&L - Pre-Adsorbed (HRP) at 1/3000 dilution

Predicted band size: 50 kDa

Observed band size: 55 kDa

false

Exposure time: 30s

Western blot - Anti-beta III Tubulin antibody - Neuronal Marker (AB18207)
  • WB

AbReview58465****

Western blot - Anti-beta III Tubulin antibody - Neuronal Marker (AB18207)

All lanes:

Western blot - Anti-beta III Tubulin antibody - Neuronal Marker (ab18207) at 1/1000 dilution

All lanes:

Mouse hippocampus tissue lysate at 8 µg

Secondary

All lanes:

Goat anti-rabbit IgG (H&L) at 1/5000 dilution

Predicted band size: 50 kDa

Observed band size: 55 kDa

false

Exposure time: 10s

This image is courtesy of an abreview submitted by Dr Sergi Bayod.

Immunocytochemistry/ Immunofluorescence - Anti-beta III Tubulin antibody - Neuronal Marker (AB18207)
  • ICC/IF

Lab

Immunocytochemistry/ Immunofluorescence - Anti-beta III Tubulin antibody - Neuronal Marker (AB18207)

ab18207 staining beta III Tubulin in primary rat neurons/glia DIV14 (prepared from E18 rat hippocampal brain area obtained from Transnetyx Tissue by BrainBits LLC cat.no. SDHEP) cells. The cells were fixed with 100% methanol (5 min) permeabilized with 0.1% PBS-Tween for 5 minutes and then blocked with 1% BSA/10% normal goat serum/0.3M glycine in 0.1%PBS-Tween for 1h. The cells were then incubated overnight at 4°C with ab18207 at 1µg/ml and ab7291 Mouse monoclonal [DM1A] to alpha Tubulin - Loading Control. Cells were then incubated with ab150081 Goat polyclonal Secondary Antibody to Rabbit IgG - H&L (Alexa Fluor® 488) pre-adsorbed at 1/1000 dilution (shown in green) and ab150120 Goat polyclonal Secondary Antibody to Mouse IgG - H&L (Alexa Fluor® 594) pre-adsorbed at 1/1000 dilution (shown in pseudocolour red). Nuclear DNA was labelled with DAPI (shown in blue).

Also suitable in cells fixed with 4% paraformaldehyde (10 min).

Image was acquired with a high-content analyser (Operetta CLS Perkin Elmer) and a maximum intensity projection of confocal sections is shown.

Immunocytochemistry/ Immunofluorescence - Anti-beta III Tubulin antibody - Neuronal Marker (AB18207)
  • ICC/IF

Lab

Immunocytochemistry/ Immunofluorescence - Anti-beta III Tubulin antibody - Neuronal Marker (AB18207)

ab18207 staining beta III Tubulin in SK-N-SH (Human neuroblastoma cell line) cells. The cells were fixed with 100% methanol (5min) and then blocked in 1% BSA/10% normal goat serum/0.3M glycine in 0.1%PBS-Tween for 1h. The cells were then incubated with ab18207 at 1μg/ml and ab7291 at 1μg/ml overnight at +4°C followed by a further incubation at room temperature for 1h with a Goat Anti-Rabbit IgG H&L (Alexa Fluor® 488) preadsorbed (ab150081) secondary antibody at 2 μg/ml (shown in green) and Goat Anti-Mouse IgG H&L (Alexa Fluor® 594) (ab150120) secondary antibody at 2 μg/ml (shown in pseudo color red). Nuclear DNA was labelled in blue with DAPI.
Negative controls : 1– Rabbit primary and anti-mouse secondary antibody; 2 – Mouse primary antibody and anti-rabbit secondary antibody. Controls 1 and 2 indicate that there is no unspecific reaction between primary and secondary antibodies used.

Immunohistochemistry (Formalin/PFA-fixed paraffin-embedded sections) - Anti-beta III Tubulin antibody - Neuronal Marker (AB18207)
  • IHC-P

Lab

Immunohistochemistry (Formalin/PFA-fixed paraffin-embedded sections) - Anti-beta III Tubulin antibody - Neuronal Marker (AB18207)

IHC image of ab18207 staining beta III Tubulin in rat cerebellum formalin fixed paraffin embedded tissue sections performed on a Leica Bond. The section was pre-treated using heat mediated antigen retrieval with sodium citrate buffer (pH6 epitope retrieval solution 1) for 20 mins. The section was then incubated with ab18207 1 : 2000 dilution for 15 mins at room temperature and detected using an HRP conjugated compact polymer system. DAB was used as the chromogen. The section was then counterstained with haematoxylin and mounted with DPX. No primary antibody was used in the secondary only control (shown on the inset).
For other IHC staining systems (automated and non-automated) customers should optimize variable parameters such as antigen retrieval conditions primary antibody concentration and antibody incubation times.

Immunocytochemistry/ Immunofluorescence - Anti-beta III Tubulin antibody - Neuronal Marker (AB18207)
  • ICC/IF

Lab

Immunocytochemistry/ Immunofluorescence - Anti-beta III Tubulin antibody - Neuronal Marker (AB18207)

ab18207 staining beta III Tubulin in Neuro-2a cells. The cells were fixed with 100% methanol (5min) and then blocked in 1% BSA/10% normal goat serum/0.3M glycine in 0.1%PBS-Tween for 1h. The cells were then incubated with ab18207 at 1μg/ml and ab7291 at 1μg/ml overnight at +4°C followed by a further incubation at room temperature for 1h with a Goat Anti-Rabbit IgG H&L (Alexa Fluor® 488) preadsorbed (ab150081) secondary antibody at 2 μg/ml (shown in green) and Goat Anti-Mouse IgG H&L (Alexa Fluor® 594) (ab150120) secondary antibody at 2 μg/ml (shown in pseudo color red). Nuclear DNA was labelled in blue with DAPI.
Negative controls : 1– Rabbit primary and anti-mouse secondary antibody; 2 – Mouse primary antibody and anti-rabbit secondary antibody. Controls 1 and 2 indicate that there is no unspecific reaction between primary and secondary antibodies used.

Immunohistochemistry (Formalin/PFA-fixed paraffin-embedded sections) - Anti-beta III Tubulin antibody - Neuronal Marker (AB18207)
  • IHC-P

Unknown

Immunohistochemistry (Formalin/PFA-fixed paraffin-embedded sections) - Anti-beta III Tubulin antibody - Neuronal Marker (AB18207)

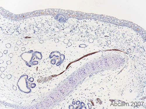
Immunohistochemistical staining (Formaldehyde/PFA-fixed paraffin-embedded sections) for Neuron specific beta III Tubulin antibody - Neuronal Marker (ab18207) on Dogfish/Catshark Tissue sections (head : snout region). Antigen retrieval step : Heat mediated. Blocking step : 1% BSA for 10 mins at RT. Primary Antibody used at 1/2000 incubated for 2 hours at RT. Secondary Antibody : Biotin labelled goat anti rabbit IgG (1/300).

This image is courtesy of Carl Hobbs, King's College London, United Kingdom

Western blot - Anti-beta III Tubulin antibody - Neuronal Marker (AB18207)
  • WB

Lab

Western blot - Anti-beta III Tubulin antibody - Neuronal Marker (AB18207)

Lane 1 : Wild-type HAP1 whole cell lysate (20 μg)
Lane 2 : Beta III Tubulin knockout HAP1 whole cell lysate (20 μg)

Lanes 1 - 2 : Merged signal (red and green). Green - ab18207 observed at 55 kDa. Red - loading control, ab9484, observed at 37 kDa.

ab18207 was shown to recognize beta III Tubulin in wild-type HAP1 cells as signal was lost in beta III Tubulin knockout cells. An additional cross-reactive band at 50 kDa was observed in wild-type and knockout cells. Due to the immunogen's homology with TUB (Tubby protein homolog, Uniprot : P50607), this lower band could correspond to the TUB protein. Please note that cross-reactivity with this protein has not been confirmed experimentally.

Wild-type and beta III Tubulin knockout samples were subjected to SDS-PAGE. ab18207 and ab9484 (Mouse anti-GAPDH loading control) were incubated overnight at 4°C at 1 μg/ml and 1/20000 dilution respectively. Blots were developed with Goat anti-Rabbit IgG H&L (IRDye® 800CW) preabsorbed ab216773 and Goat anti-Mouse IgG H&L (IRDye® 680RD) preabsorbed ab216776 secondary antibodies at 1/20000 dilution for 1 hour at room temperature

All lanes:

Western blot - Anti-beta III Tubulin antibody - Neuronal Marker (ab18207)

Predicted band size: 50 kDa

false

关键信息

宿主种属

Rabbit

克隆

Polyclonal

亚型

IgG

不含载体蛋白

No

反应种属

Mouse, Rat, Human, Common marmoset, Dogfish, Catshark

应用

WB, Flow Cyt (Intra), ICC/IF, IHC-P

applications

免疫原

The exact immunogen used to generate this antibody is proprietary information.

特异性

The immunogen used for this product shares 75% homology with TUB (Tubby protein homolog, Uniprot: P50607). In western blot, we observe a specific band at ~55kDa which is not seen in KO cell lines. An additional band below this band of interest is seen at ~50kDa in both the WT and KO cells which could correspond to the protein TUB. Please note that cross-reactivity with this protein has not been confirmed experimentally. TUB is localized notably in high concentrations in the nucleoli of brain neurons with lower protein levels in the cytoplasm. Please, therefore, be aware that ICC experiments may need to be optimised. Abcam welcomes customer feedback and would appreciate any comments regarding this product and the data presented above. As an alternative antibody, we would recommend our recombinant rabbit monoclonal antibody ab52623 which has been shown to specific in both WB and ICC using KO cells.

反应性数据

{ "title": "Reactivity Data", "filters": { "stats": ["", "Species", "Dilution Info", "Notes"], "tabs": { "all-applications": {"fullname" : "All Applications", "shortname": "All Applications"}, "ICCIF" : {"fullname" : "Immunocytochemistry/ Immunofluorescence", "shortname":"ICC/IF"}, "FlowCytIntra" : {"fullname" : "Flow Cytometry (Intracellular)", "shortname":"Flow Cyt (Intra)"}, "IHCP" : {"fullname" : "Immunohistochemistry (Formalin/PFA-fixed paraffin-embedded sections)", "shortname":"IHC-P"}, "WB" : {"fullname" : "Western blot", "shortname":"WB"} }, "product-promise": { "all": "all", "testedAndGuaranteed": "tested", "guaranteed": "expected", "predicted": "predicted", "notRecommended": "not-recommended" } }, "values": { "Human": { "ICCIF-species-checked": "testedAndGuaranteed", "ICCIF-species-dilution-info": "1 µg/mL", "ICCIF-species-notes": "<p></p>", "FlowCytIntra-species-checked": "testedAndGuaranteed", "FlowCytIntra-species-dilution-info": "0.01 µg for 10^6 Cells", "FlowCytIntra-species-notes": "<p><a href='/products/primary-antibodies/rabbit-igg-polyclonal-isotype-control-chip-grade-ab171870'>ab171870</a> - Rabbit polyclonal IgG, is suitable for use as an isotype control with this antibody.</p><p>We recommend Goat Anti-Rabbit IgG H&amp;L (Alexa Fluor<sup>®</sup> 488) preadsorbed (<a href='/products/secondary-antibodies/goat-rabbit-igg-h-l-alexa-fluor-488-preadsorbed-ab150081'>ab150081</a>) secondary antibody.</p>", "IHCP-species-checked": "guaranteed", "IHCP-species-dilution-info": "", "IHCP-species-notes": "", "WB-species-checked": "testedAndGuaranteed", "WB-species-dilution-info": "1 µg/mL", "WB-species-notes": "<p></p>" }, "Mouse": { "ICCIF-species-checked": "testedAndGuaranteed", "ICCIF-species-dilution-info": "1 µg/mL", "ICCIF-species-notes": "<p></p>", "FlowCytIntra-species-checked": "testedAndGuaranteed", "FlowCytIntra-species-dilution-info": "0.01 µg for 10^6 Cells", "FlowCytIntra-species-notes": "<p><a href='/products/primary-antibodies/rabbit-igg-polyclonal-isotype-control-chip-grade-ab171870'>ab171870</a> - Rabbit polyclonal IgG, is suitable for use as an isotype control with this antibody.</p><p>We recommend Goat Anti-Rabbit IgG H&amp;L (Alexa Fluor<sup>®</sup> 488) preadsorbed (<a href='/products/secondary-antibodies/goat-rabbit-igg-h-l-alexa-fluor-488-preadsorbed-ab150081'>ab150081</a>) secondary antibody.</p>", "IHCP-species-checked": "testedAndGuaranteed", "IHCP-species-dilution-info": "1/2000", "IHCP-species-notes": "<p></p> Perform heat-mediated antigen retrieval before commencing with IHC staining protocol.", "WB-species-checked": "testedAndGuaranteed", "WB-species-dilution-info": "1 µg/mL", "WB-species-notes": "<p></p>" }, "Rat": { "ICCIF-species-checked": "testedAndGuaranteed", "ICCIF-species-dilution-info": "1 µg/mL", "ICCIF-species-notes": "<p></p>", "FlowCytIntra-species-checked": "guaranteed", "FlowCytIntra-species-dilution-info": "", "FlowCytIntra-species-notes": "", "IHCP-species-checked": "testedAndGuaranteed", "IHCP-species-dilution-info": "1/2000", "IHCP-species-notes": "<p></p> Perform heat-mediated antigen retrieval before commencing with IHC staining protocol.", "WB-species-checked": "testedAndGuaranteed", "WB-species-dilution-info": "1 µg/mL", "WB-species-notes": "<p></p>" }, "Catshark": { "ICCIF-species-checked": "guaranteed", "ICCIF-species-dilution-info": "1 µg/mL", "ICCIF-species-notes": "<p></p>", "FlowCytIntra-species-checked": "guaranteed", "FlowCytIntra-species-dilution-info": "0.01 µg for 10^6 Cells", "FlowCytIntra-species-notes": "<p><a href='/products/primary-antibodies/rabbit-igg-polyclonal-isotype-control-chip-grade-ab171870'>ab171870</a> - Rabbit polyclonal IgG, is suitable for use as an isotype control with this antibody.</p><p>We recommend Goat Anti-Rabbit IgG H&amp;L (Alexa Fluor<sup>®</sup> 488) preadsorbed (<a href='/products/secondary-antibodies/goat-rabbit-igg-h-l-alexa-fluor-488-preadsorbed-ab150081'>ab150081</a>) secondary antibody.</p>", "IHCP-species-checked": "guaranteed", "IHCP-species-dilution-info": "1/2000", "IHCP-species-notes": "<p></p> Perform heat-mediated antigen retrieval before commencing with IHC staining protocol.", "WB-species-checked": "guaranteed", "WB-species-dilution-info": "1 µg/mL", "WB-species-notes": "<p></p>" }, "Common marmoset": { "ICCIF-species-checked": "guaranteed", "ICCIF-species-dilution-info": "1 µg/mL", "ICCIF-species-notes": "<p></p>", "FlowCytIntra-species-checked": "guaranteed", "FlowCytIntra-species-dilution-info": "0.01 µg for 10^6 Cells", "FlowCytIntra-species-notes": "<p><a href='/products/primary-antibodies/rabbit-igg-polyclonal-isotype-control-chip-grade-ab171870'>ab171870</a> - Rabbit polyclonal IgG, is suitable for use as an isotype control with this antibody.</p><p>We recommend Goat Anti-Rabbit IgG H&amp;L (Alexa Fluor<sup>®</sup> 488) preadsorbed (<a href='/products/secondary-antibodies/goat-rabbit-igg-h-l-alexa-fluor-488-preadsorbed-ab150081'>ab150081</a>) secondary antibody.</p>", "IHCP-species-checked": "guaranteed", "IHCP-species-dilution-info": "1/2000", "IHCP-species-notes": "<p></p> Perform heat-mediated antigen retrieval before commencing with IHC staining protocol.", "WB-species-checked": "guaranteed", "WB-species-dilution-info": "1 µg/mL", "WB-species-notes": "<p></p>" }, "Dogfish": { "ICCIF-species-checked": "guaranteed", "ICCIF-species-dilution-info": "1 µg/mL", "ICCIF-species-notes": "<p></p>", "FlowCytIntra-species-checked": "guaranteed", "FlowCytIntra-species-dilution-info": "0.01 µg for 10^6 Cells", "FlowCytIntra-species-notes": "<p><a href='/products/primary-antibodies/rabbit-igg-polyclonal-isotype-control-chip-grade-ab171870'>ab171870</a> - Rabbit polyclonal IgG, is suitable for use as an isotype control with this antibody.</p><p>We recommend Goat Anti-Rabbit IgG H&amp;L (Alexa Fluor<sup>®</sup> 488) preadsorbed (<a href='/products/secondary-antibodies/goat-rabbit-igg-h-l-alexa-fluor-488-preadsorbed-ab150081'>ab150081</a>) secondary antibody.</p>", "IHCP-species-checked": "guaranteed", "IHCP-species-dilution-info": "1/2000", "IHCP-species-notes": "<p></p> Perform heat-mediated antigen retrieval before commencing with IHC staining protocol.", "WB-species-checked": "guaranteed", "WB-species-dilution-info": "1 µg/mL", "WB-species-notes": "<p></p>" }, "Pig": { "ICCIF-species-checked": "predicted", "ICCIF-species-dilution-info": "", "ICCIF-species-notes": "", "FlowCytIntra-species-checked": "predicted", "FlowCytIntra-species-dilution-info": "", "FlowCytIntra-species-notes": "", "IHCP-species-checked": "predicted", "IHCP-species-dilution-info": "", "IHCP-species-notes": "", "WB-species-checked": "predicted", "WB-species-dilution-info": "", "WB-species-notes": "" }, "Rhesus monkey": { "ICCIF-species-checked": "predicted", "ICCIF-species-dilution-info": "", "ICCIF-species-notes": "", "FlowCytIntra-species-checked": "predicted", "FlowCytIntra-species-dilution-info": "", "FlowCytIntra-species-notes": "", "IHCP-species-checked": "predicted", "IHCP-species-dilution-info": "", "IHCP-species-notes": "", "WB-species-checked": "predicted", "WB-species-dilution-info": "", "WB-species-notes": "" } } }

您是否考虑以下替代产品?

AB215037

Anti-beta III Tubulin antibody [EPR19591] - Neuronal Marker

0
0 Reviews
查看产品
为什么推荐这个?

为向您提供最高品质的产品,我们在不断升级产品范围。我们选择了这个替代产品供您参考,因为它提供了更好的性能,更容易和更方便的使用,或交期更快。

产品详情

性能和储存信息

形式
Liquid
纯化工艺
Affinity purification Immunogen
存储溶液
pH: 7.4 Preservative: 0.02% Sodium azide Constituents: 98.98% PBS, 1% BSA
运输条件
Blue Ice
推荐的短期储存时间
1-2 weeks
推荐的短期储存条件
+4°C
推荐的长期储存条件
-20°C
分装信息
Upon delivery aliquot
储存信息
Avoid freeze / thaw cycle

补充信息

This supplementary information is collated from multiple sources and compiled automatically.

Beta III Tubulin also known as beta3 tubulin beta tubulin III and bIII tubulin is a microtubule component that plays integral mechanical roles in cells. With a mass of approximately 55 kDa this protein is part of the tubulin family. You find beta III tubulin predominantly in neurons within the central and peripheral nervous systems. However it sometimes appears in other tissues under certain conditions like stress or disease.
Biological function summary

Beta III tubulin contributes to neuronal differentiation and axonal guidance due to its incorporation into the microtubule network. As a component of the microtubule complex beta III tubulin regulates the dynamic instability of microtubules influencing their assembly and disassembly rates. Its expression in developing neurons supports growth cones as they extend axons to their targets facilitating proper neuronal circuit formation.

Pathways

Beta III tubulin actively participates in the neuronal microtubule dynamics pathway. This pathway is essential for the development and maintenance of neuronal structure and function. Beta III tubulin interacts closely with other tubulin isoforms and microtubule-associated proteins (MAPs) to ensure proper microtubule function. In addition the protein indirectly influences the MAPK signaling pathway which affects cellular processes such as growth and differentiation.

Beta III tubulin has strong links to certain neurological conditions and cancers. In neurodegenerative disorders like Alzheimer's disease abnormal regulation of beta III tubulin contributes to impaired neuronal functions. Additionally it is associated with cancers like glioblastoma where upregulated expression is used as a marker for diagnosis and prognosis. Through its involvement in these diseases beta III tubulin indirectly affects interactions with proteins involved in cellular stress responses and neurodegeneration such as tau protein.

产品实验方案

For this product, it's our understanding that no specific protocols are required. You can visit:

靶点信息

Tubulin is the major constituent of microtubules, a cylinder consisting of laterally associated linear protofilaments composed of alpha- and beta-tubulin heterodimers (PubMed : 34996871). Microtubules grow by the addition of GTP-tubulin dimers to the microtubule end, where a stabilizing cap forms (PubMed : 34996871). Below the cap, tubulin dimers are in GDP-bound state, owing to GTPase activity of alpha-tubulin (PubMed : 34996871). TUBB3 plays a critical role in proper axon guidance and maintenance (PubMed : 20074521). Binding of NTN1/Netrin-1 to its receptor UNC5C might cause dissociation of UNC5C from polymerized TUBB3 in microtubules and thereby lead to increased microtubule dynamics and axon repulsion (PubMed : 28483977). Plays a role in dorsal root ganglion axon projection towards the spinal cord (PubMed : 28483977).
See full target information TUBB3

文献 (628)

Recent publications for all applications. Explore the full list and refine your search

Methods in molecular biology (Clifton, N.J.) 2713:281-296 PubMed37639130

2024

Unveiling Macrophage Heterogeneity and Their Spatial Distribution Using Multiplexed Tissue Imaging.

Applications

Unspecified application

Species

Unspecified reactive species

David Alejandro Bejarano,Andreas Schlitzer

Stem cell research & therapy 14:378 PubMed38124191

2023

Electrical stimulation affects the differentiation of transplanted regionally specific human spinal neural progenitor cells (sNPCs) after chronic spinal cord injury.

Applications

Unspecified application

Species

Unspecified reactive species

Nandadevi Patil,Olivia Korenfeld,Rachel N Scalf,Nicolas Lavoie,Anne Huntemer-Silveira,Guebum Han,Riley Swenson,Ann M Parr

Bone research 11:64 PubMed38097598

2023

Sensory nerves directly promote osteoclastogenesis by secreting peptidyl-prolyl cis-trans isomerase D (Cyp40).

Applications

Unspecified application

Species

Unspecified reactive species

Junqin Li,Bin Liu,Hao Wu,Shuaishuai Zhang,Zhuowen Liang,Shuo Guo,Huijie Jiang,Yue Song,Xing Lei,Yi Gao,Pengzhen Cheng,Donglin Li,Jimeng Wang,Yang Liu,Di Wang,Nazhi Zhan,Jing Xu,Lin Wang,Guozhi Xiao,Liu Yang,GuoXian Pei

Translational vision science & technology 12:12 PubMed38085248

2023

Regenerated Corneal Epithelium Expresses More βIII-Tubulin After Chemical Injuries Compared to Mechanical Injuries.

Applications

Unspecified application

Species

Unspecified reactive species

Athar Shadmani,Ozlem Ercal,Salih Uzun,Aditi Swarup,Albert Y Wu

Nature communications 14:8163 PubMed38071210

2023

Generation of three-dimensional meat-like tissue from stable pig epiblast stem cells.

Applications

Unspecified application

Species

Unspecified reactive species

Gaoxiang Zhu,Dengfeng Gao,Linzi Li,Yixuan Yao,Yingjie Wang,Minglei Zhi,Jinying Zhang,Xinze Chen,Qianqian Zhu,Jie Gao,Tianzhi Chen,Xiaowei Zhang,Tong Wang,Suying Cao,Aijin Ma,Xianchao Feng,Jianyong Han

PLoS biology 21:e3002419 PubMed38048364

2023

The circadian regulator PER1 promotes cell reprogramming by inhibiting inflammatory signaling from macrophages.

Applications

Unspecified application

Species

Unspecified reactive species

Nobuko Katoku-Kikyo,Seunghyun Lim,Ce Yuan,Jinsha Koroth,Yasushi Nakagawa,Elizabeth W Bradley,Nobuaki Kikyo

Nature communications 14:7406 PubMed37973914

2023

Mesenchymal stromal cells alleviate depressive and anxiety-like behaviors via a lung vagal-to-brain axis in male mice.

Applications

Unspecified application

Species

Unspecified reactive species

Jing Huang,Weijun Huang,Junzhe Yi,Yiwen Deng,Ruijie Li,Jieying Chen,Jiahao Shi,Yuan Qiu,Tao Wang,Xiaoyong Chen,Xiaoran Zhang,Andy Peng Xiang

iScience 26:108306 PubMed38026209

2023

Preclinical long-term safety of intraspinal transplantation of human dorsal spinal GABA neural progenitor cells.

Applications

Unspecified application

Species

Unspecified reactive species

Xiaolong Zheng,Zhixian Liu,Ziyu He,Jia Xu,YaNan Wang,ChenZi Gong,Ruoying Zhang,Su-Chun Zhang,Hong Chen,Wei Wang

Scientific reports 13:17874 PubMed37857701

2023

Neuroprotective potential of intranasally delivered L-myc immortalized human neural stem cells in female rats after a controlled cortical impact injury.

Applications

Unspecified application

Species

Unspecified reactive species

Mari Amirbekyan,Vikram Adhikarla,Jeffrey P Cheng,Eleni H Moschonas,Corina O Bondi,Russell C Rockne,Anthony E Kline,Margarita Gutova

Nature communications 14:6446 PubMed37833281

2023

Rewiring of the promoter-enhancer interactome and regulatory landscape in glioblastoma orchestrates gene expression underlying neurogliomal synaptic communication.

Applications

Unspecified application

Species

Unspecified reactive species

Chaitali Chakraborty,Itzel Nissen,Craig A Vincent,Anna-Carin Hägglund,Andreas Hörnblad,Silvia Remeseiro
View all publications

Abcam Product Promise

我们致力于为您的研究提供高质量的试剂,为您科研的每一步提供支持。若我们的产品未能达到预期性能,我们向您提供 Abcam Product Promise 保障。
详情请参阅我们的条款与条件。

关联产品

Select an associated product type
Alternative Product
Primary Antibodies

AB264113

Anti-beta III Tubulin antibody [5G8] - BSA and Azide free

primary-antibodies

beta-iii-tubulin-antibody-5g8-bsa-and-azide-free-ab264113

0

(0 reviews)

Alternative Product
Primary Antibodies

AB231084

Anti-beta III Tubulin antibody [5G8] - Neuronal Marker

primary-antibodies

beta-iii-tubulin-antibody-5g8-neuronal-marker-ab231084

0

(0 reviews)

Alternative Product
Primary Antibodies

AB190575

Alexa Fluor® 647 Anti-beta III Tubulin antibody [EP1569Y] - Neuronal Marker

primary-antibodies

alexa-fluor-647-beta-iii-tubulin-antibody-ep1569y-neuronal-marker-ab190575

5

(2 reviews)

Alternative Product
Primary Antibodies

AB202519

Alexa Fluor® 555 Anti-beta III Tubulin antibody [EP1569Y] - Neuronal Marker

primary-antibodies

alexa-fluor-555-beta-iii-tubulin-antibody-ep1569y-neuronal-marker-ab202519

0

(0 reviews)

Alternative Product
Primary Antibodies

AB68193

Anti-beta III Tubulin antibody [EPR1568Y] - Neuronal Marker

primary-antibodies

beta-iii-tubulin-antibody-epr1568y-neuronal-marker-ab68193

4

(1 reviews)

Alternative Product
Primary Antibodies

AB201740

Alexa Fluor® 594 Anti-beta III Tubulin antibody [EP1569Y] - Neuronal Marker

primary-antibodies

alexa-fluor-594-beta-iii-tubulin-antibody-ep1569y-neuronal-marker-ab201740

0

(0 reviews)

Alternative Product
Primary Antibodies

AB247375

Anti-beta III Tubulin antibody [EPR1568Y] - BSA and Azide free

primary-antibodies

beta-iii-tubulin-antibody-epr1568y-bsa-and-azide-free-ab247375

0

(0 reviews)

Alternative Product
Primary Antibodies

AB221935

Anti-beta III Tubulin antibody [EP1569Y] - BSA and Azide free

primary-antibodies

beta-iii-tubulin-antibody-ep1569y-bsa-and-azide-free-ab221935

0

(0 reviews)

Please note: All products are 'FOR RESEARCH USE ONLY. NOT FOR USE IN DIAGNOSTIC OR THERAPEUTIC PROCEDURES'.

For licensing inquiries, please contact partnerships@abcam.com