JavaScript is disabled in your browser. Please enable JavaScript to view this website.
AB179512

重组Anti-beta II Tubulin抗体[EPR16773]

Anti-beta II Tubulin antibody [EPR16773]

Be the first to review this product! Submit a review

|

(6 Publications)

Rabbit Recombinant Monoclonal TBB2A antibody. Suitable for IP, WB, ICC/IF, Flow Cyt (Intra), IHC-P and reacts with Human, Mouse, Rat samples. Cited in 6 publications.

查看别名

TUBB2, TUBB2A, Tubulin beta-2A chain, Tubulin beta class IIa

11 Images
Flow Cytometry (Intracellular) - Anti-beta II Tubulin antibody [EPR16773] (AB179512)
  • Flow Cyt (Intra)

Supplier Data

Flow Cytometry (Intracellular) - Anti-beta II Tubulin antibody [EPR16773] (AB179512)

Intracellular flow cytometric analysis of 2% paraformaldehyde-fixed SH-SY5Y cells labeling beta II Tubulin with ab179512 at 1/450 dilution (red) compared with a rabbit monoclonal IgG isotype control (black) and an unlabelled control (cells without incubation with primary antibody and secondary antibody; blue). Goat anti rabbit IgG (FITC) at 1/150 dilution was used as the secondary antibody.

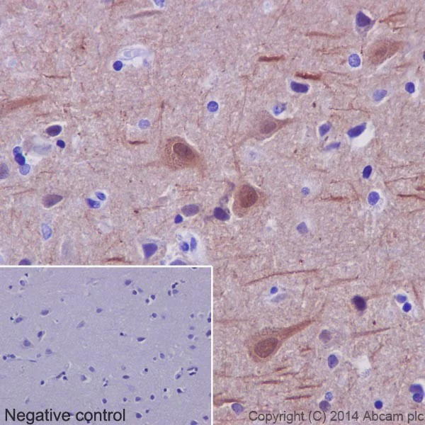
Immunohistochemistry (Formalin/PFA-fixed paraffin-embedded sections) - Anti-beta II Tubulin antibody [EPR16773] (AB179512)
  • IHC-P

Supplier Data

Immunohistochemistry (Formalin/PFA-fixed paraffin-embedded sections) - Anti-beta II Tubulin antibody [EPR16773] (AB179512)

Immunohistochemical analysis of paraffin-embedded Human cerebral cortex tissue labeling beta II Tubulin with ab179512 at 1/250 dilution, followed by Anti-Rabbit HRP (ab97051) at 1/500 dilution. High level of cytoplasmic and nuclear expression on neuron cells of Human cerebral cortex is observed. Counter stained with Hematoxylin.

Negative control : PBS instead of primary antibody; secondary antibody is Anti-Rabbit HRP (ab97051) at 1/500 dilution.

Perform heat mediated antigen retrieval with Tris/EDTA buffer pH 9.0 before commencing with IHC staining protocol.

Immunocytochemistry/ Immunofluorescence - Anti-beta II Tubulin antibody [EPR16773] (AB179512)
  • ICC/IF

Supplier Data

Immunocytochemistry/ Immunofluorescence - Anti-beta II Tubulin antibody [EPR16773] (AB179512)

Immunofluorescent analysis of 4% paraformaldehyde-fixed, 0.1% Triton X-100 permeabilized SH-SY5Y (Human neuroblastoma from bone marrow cells) cells labeling beta II Tubulin with ab179512 at 1/100 dilution, followed by anti-rabbit Alexa Fluor® 488 (ab150077) secondary antibody at 1/400 dilution (green). Confocal image shows both cytoplasm and nuclear staining on the SH-SY5Y cell line. The nuclear counter stain is DAPI (blue). Tubulin is detected with ab7291 (anti-Tubulin mouse mAb) at 1/500 dilution and anti-mouse AlexaFluor® 594 (ab150120) at 1/500 dilution (red).

The negative controls are as follows : -

-ve control 1 : - ab179512 at 1/100 dilution followed by anti-mouse AlexaFluor® 594 (ab150120) at 1/500 dilution.

-ve control 2 : - ab7291 (anti-Tubulin mouse mAb) at 1/500 dilution followed by anti-rabbit Alexa Fluor® 488 (ab150077) at 1/400 dilution.

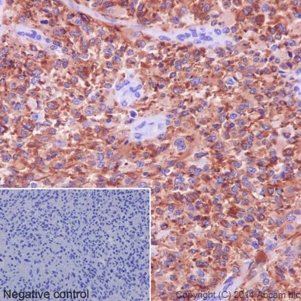
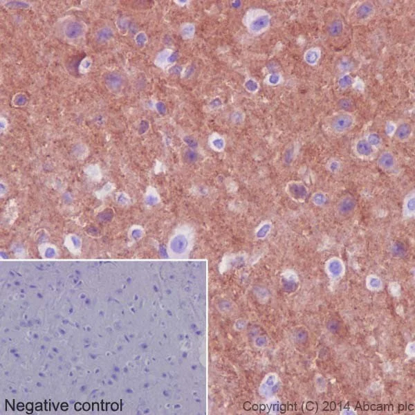
Immunohistochemistry (Formalin/PFA-fixed paraffin-embedded sections) - Anti-beta II Tubulin antibody [EPR16773] (AB179512)
  • IHC-P

Supplier Data

Immunohistochemistry (Formalin/PFA-fixed paraffin-embedded sections) - Anti-beta II Tubulin antibody [EPR16773] (AB179512)

Immunohistochemical analysis of paraffin-embedded Human glioma labeling beta II Tubulin with ab179512 at 1/250 dilution, followed by Anti-Rabbit HRP (ab97051) at 1/500 dilution. Cytoplasmic staining on Human glioma cells is observed. Counter stained with Hematoxylin.

Negative control : PBS instead of primary antibody; secondary antibody is Anti-Rabbit HRP (ab97051) at 1/500 dilution.

Perform heat mediated antigen retrieval with Tris/EDTA buffer pH 9.0 before commencing with IHC staining protocol.

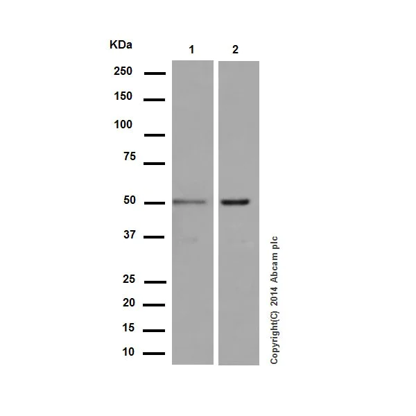
Immunoprecipitation - Anti-beta II Tubulin antibody [EPR16773] (AB179512)
  • IP

Supplier Data

Immunoprecipitation - Anti-beta II Tubulin antibody [EPR16773] (AB179512)

Beta II Tubulin was immunoprecipitated from 1mg of Human fetal brain extract with ab179512 at 1/140 dilution. Western blot was performed from the immunoprecipitate using ab179512 at 1/1000 dilution. Anti-Rabbit IgG (HRP), specific to the non-reduced form of IgG, was used as secondary antibody at 1/1500 dilution.

Lane 1 : Human fetal brain extract. Lane 2 : PBS instead of extract.

Blocking/Dilution buffer : 5% NFDM/TBST.

All lanes:

Immunoprecipitation - Anti-beta II Tubulin antibody [EPR16773] (ab179512)

Predicted band size: 50 kDa

Observed band size: 50 kDa

false

Immunohistochemistry (Formalin/PFA-fixed paraffin-embedded sections) - Anti-beta II Tubulin antibody [EPR16773] (AB179512)
  • IHC-P

Unknown

Immunohistochemistry (Formalin/PFA-fixed paraffin-embedded sections) - Anti-beta II Tubulin antibody [EPR16773] (AB179512)

Immunohistochemical analysis of paraffin-embedded Rat cerebral cortex tissue labeling beta II Tubulin with ab179512 at 1/250 dilution, followed by Anti-Rabbit HRP (ab97051) at 1/500 dilution. High level of expression on neuron cells of Rat cerebral cortex is observed. Counter stained with Hematoxylin.

Negative control : PBS instead of primary antibody; secondary antibody is Anti-Rabbit HRP (ab97051) at 1/500 dilution.

Perform heat mediated antigen retrieval with Tris/EDTA buffer pH 9.0 before commencing with IHC staining protocol.

Immunohistochemistry (Formalin/PFA-fixed paraffin-embedded sections) - Anti-beta II Tubulin antibody [EPR16773] (AB179512)
  • IHC-P

Supplier Data

Immunohistochemistry (Formalin/PFA-fixed paraffin-embedded sections) - Anti-beta II Tubulin antibody [EPR16773] (AB179512)

Immunohistochemical analysis of paraffin-embedded Mouse cerebral cortex tissue labeling beta II Tubulin with ab179512 at 1/250 dilution, followed by Anti-Rabbit HRP (ab97051) at 1/500 dilution. High level of expression on neuron cells of Mouse cerebral cortex is observed. Counter stained with Hematoxylin.

Negative control : PBS instead of primary antibody; secondary antibody is Anti-Rabbit HRP (ab97051) at 1/500 dilution.

Perform heat mediated antigen retrieval with Tris/EDTA buffer pH 9.0 before commencing with IHC staining protocol.

Western blot - Anti-beta II Tubulin antibody [EPR16773] (AB179512)
  • WB

Supplier Data

Western blot - Anti-beta II Tubulin antibody [EPR16773] (AB179512)

Blocking/Dilution buffer : 5% NFDM/TBST.

Beta II Tubulin is highly expressed in brain tissues and cell lines derived from the central nervous system.

All lanes:

Western blot - Anti-beta II Tubulin antibody [EPR16773] (ab179512) at 1/1000 dilution

Lane 1:

Human fetal heart lysate at 10 µg

Lane 2:

Human fetal kidney lysate at 10 µg

Secondary

All lanes:

Anti-Rabbit IgG (HRP), specific to the non-reduced form of IgG at 1/1000 dilution

Predicted band size: 50 kDa

Observed band size: 50 kDa

false

Western blot - Anti-beta II Tubulin antibody [EPR16773] (AB179512)
  • WB

Lab

Western blot - Anti-beta II Tubulin antibody [EPR16773] (AB179512)

False colour image of Western blot : Anti-beta II Tubulin antibody [EPR16773] staining at 1/1000 dilution, shown in green; Mouse anti-GAPDH antibody [6C5] (ab8245) loading control staining at 1/20000 dilution, shown in red. In Western blot, ab179512 was shown to bind specifically to beta II Tubulin. A band was observed at 50 kDa in wild-type HEK-293T cell lysates with no signal observed at this size in Tubb2b knockout cell line ab266692 (knockout cell lysate ab258741). To generate this image, wild-type and Tubb2b knockout HEK-293T cell lysates were analysed. First, samples were run on an SDS-PAGE gel then transferred onto a nitrocellulose membrane. Membranes were blocked in 3% milk in TBS-0.1 % Tween® 20 (TBS-T) before incubation with primary antibodies overnight at 4°C. Blots were washed four times in TBS-T, incubated with secondary antibodies for 1 h at room temperature, washed again four times then imaged. Secondary antibodies used were Goat anti-Rabbit IgG H&L (IRDye® 800CW) preabsorbed (ab216773) and Goat anti-Mouse IgG H&L (IRDye® 680RD) preabsorbed (ab216776) at 1/20000 dilution.

Lanes 1 - 2:

Western blot - Anti-beta II Tubulin antibody [EPR16773] (ab179512) at 1/1000 dilution

Lanes 3 - 4:

Western blot - Anti-beta II Tubulin antibody [EPR16773] - BSA and Azide free (<a href='/products/primary-antibodies/beta-ii-tubulin-antibody-epr16773-bsa-and-azide-free-ab250105'>ab250105</a>) at 1/1000 dilution

Lane 1:

Wild-type HEK-293T cell lysate at 20 µg

Lane 2:

TUBB2A knockout HEK-293T cell lysate at 20 µg

Lane 2:

Western blot - Human TUBB2A knockout HEK-293T cell line (<a href='/products/cell-lines/human-tubb2a-knockout-hek-293t-cell-line-ab266692'>ab266692</a>)

Lane 3:

HeLa cell lysate at 20 µg

Lane 4:

THP-1 cell lysate at 20 µg

Predicted band size: 50 kDa

Observed band size: 50 kDa

false

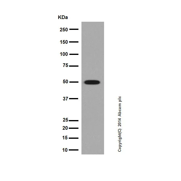
Western blot - Anti-beta II Tubulin antibody [EPR16773] (AB179512)
  • WB

Supplier Data

Western blot - Anti-beta II Tubulin antibody [EPR16773] (AB179512)

Blocking/Dilution buffer : 5% NFDM/TBST.

Beta II Tubulin is highly expressed in brain tissues and cell lines derived from the central nervous system.

All lanes:

Western blot - Anti-beta II Tubulin antibody [EPR16773] (ab179512) at 1/10000 dilution

All lanes:

Human fetal brain lysate at 10 µg

Secondary

All lanes:

Anti-Rabbit IgG (HRP), specific to the non-reduced form of IgG at 1/1000 dilution

Predicted band size: 50 kDa

Observed band size: 50 kDa

false

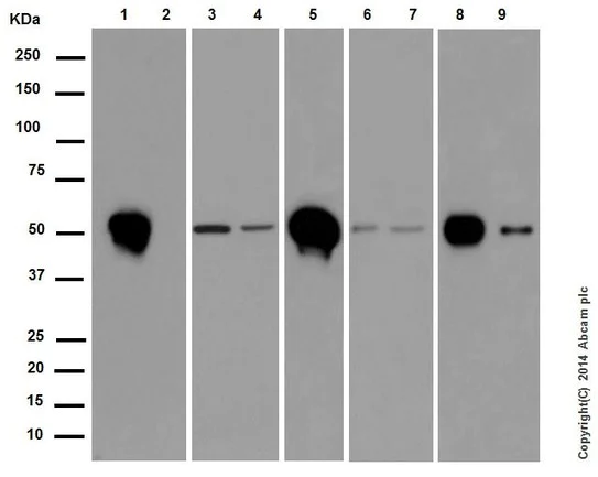
Western blot - Anti-beta II Tubulin antibody [EPR16773] (AB179512)
  • WB

Supplier Data

Western blot - Anti-beta II Tubulin antibody [EPR16773] (AB179512)

Blocking/Dilution buffer : 5% NFDM/TBST.

Beta II Tubulin is highly expressed in brain tissues and cell lines derived from the central nervous system.

All lanes:

Western blot - Anti-beta II Tubulin antibody [EPR16773] (ab179512) at 1/1000 dilution

Lane 1:

Mouse brain lysate at 10 µg

Lane 2:

Mouse heart lysate at 10 µg

Lane 3:

Mouse kidney lysate at 10 µg

Lane 4:

Mouse spleen lysate at 10 µg

Lane 5:

Rat brain lysate at 10 µg

Lane 6:

Rat heart lysate at 10 µg

Lane 7:

Rat kidney lysate at 10 µg

Lane 8:

C6 (Rat glial tumor cells) whole cell lysate at 10 µg

Lane 9:

PC12 (Rat adrenal gland pheochromocytoma) whole cell lysate at 10 µg

Secondary

All lanes:

Anti-Rabbit IgG (HRP), specific to the non-reduced form of IgG at 1/1000 dilution

Predicted band size: 50 kDa

Observed band size: 50 kDa

false

不同偶联物与剂型 (1)

  • Carrier free

    Anti-beta II Tubulin antibody [EPR16773] - BSA and Azide free

关键信息

宿主种属

Rabbit

克隆

Monoclonal

克隆号

EPR16773

亚型

IgG

不含载体蛋白

No

反应种属

Mouse, Rat, Human

应用

IP, WB, IHC-P, ICC/IF, Flow Cyt (Intra)

applications

免疫原

The exact immunogen used to generate this antibody is proprietary information.

反应性数据

{ "title": "Reactivity Data", "filters": { "stats": ["", "Species", "Dilution Info", "Notes"], "tabs": { "all-applications": {"fullname" : "All Applications", "shortname": "All Applications"}, "IP" : {"fullname" : "Immunoprecipitation", "shortname":"IP"}, "WB" : {"fullname" : "Western blot", "shortname":"WB"}, "ICCIF" : {"fullname" : "Immunocytochemistry/ Immunofluorescence", "shortname":"ICC/IF"}, "FlowCytIntra" : {"fullname" : "Flow Cytometry (Intracellular)", "shortname":"Flow Cyt (Intra)"}, "IHCP" : {"fullname" : "Immunohistochemistry (Formalin/PFA-fixed paraffin-embedded sections)", "shortname":"IHC-P"} }, "product-promise": { "all": "all", "testedAndGuaranteed": "tested", "guaranteed": "expected", "predicted": "predicted", "notRecommended": "not-recommended" } }, "values": { "Human": { "IP-species-checked": "testedAndGuaranteed", "IP-species-dilution-info": "1/140", "IP-species-notes": "<p></p>", "WB-species-checked": "testedAndGuaranteed", "WB-species-dilution-info": "1/1000", "WB-species-notes": "<p></p>", "ICCIF-species-checked": "testedAndGuaranteed", "ICCIF-species-dilution-info": "1/100", "ICCIF-species-notes": "<p></p>", "FlowCytIntra-species-checked": "testedAndGuaranteed", "FlowCytIntra-species-dilution-info": "1/450", "FlowCytIntra-species-notes": "<p><a href='/products/primary-antibodies/rabbit-igg-monoclonal-epr25a-isotype-control-ab172730'>ab172730</a> - Rabbit monoclonal IgG, is suitable for use as an isotype control with this antibody.</p>", "IHCP-species-checked": "testedAndGuaranteed", "IHCP-species-dilution-info": "1/250", "IHCP-species-notes": "<p></p>" }, "Mouse": { "IP-species-checked": "guaranteed", "IP-species-dilution-info": "", "IP-species-notes": "", "WB-species-checked": "testedAndGuaranteed", "WB-species-dilution-info": "1/1000", "WB-species-notes": "<p></p>", "ICCIF-species-checked": "guaranteed", "ICCIF-species-dilution-info": "", "ICCIF-species-notes": "", "FlowCytIntra-species-checked": "guaranteed", "FlowCytIntra-species-dilution-info": "", "FlowCytIntra-species-notes": "", "IHCP-species-checked": "testedAndGuaranteed", "IHCP-species-dilution-info": "1/250", "IHCP-species-notes": "<p></p>" }, "Rat": { "IP-species-checked": "guaranteed", "IP-species-dilution-info": "", "IP-species-notes": "", "WB-species-checked": "guaranteed", "WB-species-dilution-info": "", "WB-species-notes": "", "ICCIF-species-checked": "guaranteed", "ICCIF-species-dilution-info": "", "ICCIF-species-notes": "", "FlowCytIntra-species-checked": "guaranteed", "FlowCytIntra-species-dilution-info": "", "FlowCytIntra-species-notes": "", "IHCP-species-checked": "testedAndGuaranteed", "IHCP-species-dilution-info": "1/250", "IHCP-species-notes": "<p></p>" } } }

产品详情

Patented technology
Our RabMAb® technology is a patented hybridoma-based technology for making rabbit monoclonal antibodies. For details on our patents, please refer to RabMAb® patents.

What are the advantages of a recombinant monoclonal antibody?
This product is a recombinant monoclonal antibody, which offers several advantages including:

  • - High batch-to-batch consistency and reproducibility
  • - Improved sensitivity and specificity
  • - Long-term security of supply
  • - Animal-free batch production

For more information, read more on recombinant antibodies.

性能和储存信息

形式
Liquid
纯化工艺
Affinity purification Protein A
存储溶液
Preservative: 0.01% Sodium azide Constituents: PBS, 40% Glycerol (glycerin, glycerine), 0.05% BSA
运输条件
Blue Ice
推荐的短期储存时间
1-2 weeks
推荐的短期储存条件
+4°C
推荐的长期储存条件
-20°C
分装信息
Upon delivery aliquot
储存信息
Avoid freeze / thaw cycle

补充信息

This supplementary information is collated from multiple sources and compiled automatically.

Beta II tubulin also known as beta 2 tubulin is a significant component of microtubules which are essential for maintaining cell structure and integrity. This protein with an approximate molecular mass of 50 kDa is encoded by the TUBB2B gene. It is expressed in various tissues with high expression levels in neuronal tissues contributing to the formation of the cytoskeleton by polymerizing with alpha tubulin to form heterodimers. Alternative names for this protein include 7b9 and C#7b9 though beta II is a common reference in scientific literature.
Biological function summary

Beta II tubulin plays an important role in cellular processes like cell division and intracellular transport. As part of the microtubule complex it provides critical support in mitotic spindle formation facilitating chromosomal segregation during mitosis. It also assists in maintaining neuronal cell stability which is vital for proper neurological functions. The dynamic nature of microtubules aided by beta II tubulin ensures the correct distribution of organelles and other intracellular structures highlighting its importance in cellular mechanics.

Pathways

Beta II tubulin interacts with several critical cellular pathways including the mitotic spindle checkpoint pathway and axonal guidance. It closely associates with other tubulins such as alpha and gamma tubulin ensuring the regulation and stabilization of microtubule dynamics. These pathways are integral to cell cycle regulation and neural development highlighting beta II tubulin's involvement in important cellular and developmental processes.

Mutations or dysregulation in beta II tubulin can relate to neurological disorders such as malformation of cortical development and certain types of brain atrophy. These are often linked to the protein's key role in neuronal function and axonal transport. Additionally altered expression of beta II tubulin has a connection to microtubule-related proteins such as tau which are implicated in neurodegenerative disorders like Alzheimer's disease. This highlights the importance of beta II tubulin in maintaining neuronal health and provides potential targets for therapeutic interventions.

产品实验方案

For this product, it's our understanding that no specific protocols are required. You can visit:

靶点信息

Tubulin is the major constituent of microtubules, a cylinder consisting of laterally associated linear protofilaments composed of alpha- and beta-tubulin heterodimers. Microtubules grow by the addition of GTP-tubulin dimers to the microtubule end, where a stabilizing cap forms. Below the cap, tubulin dimers are in GDP-bound state, owing to GTPase activity of alpha-tubulin.
See full target information TUBB2A

文献 (6)

Recent publications for all applications. Explore the full list and refine your search

Nature biotechnology : PubMed40796977

2025

Precise, predictable genome integrations by deep-learning-assisted design of microhomology-based templates.

Applications

Unspecified application

Species

Unspecified reactive species

Thomas Naert,Taiyo Yamamoto,Shuting Han,Ruth Röck,Melanie Horn,Philipp Bethge,Nikita Vladimirov,Fabian F Voigt,Joana Figueiro-Silva,Ruxandra Bachmann-Gagescu,Kris Vleminckx,Fritjof Helmchen,Soeren S Lienkamp

Cellular and molecular life sciences : CMLS 79:575 PubMed36309617

2022

Tubb3 expression levels are sensitive to neuronal activity changes and determine microtubule growth and kinesin-mediated transport.

Applications

Unspecified application

Species

Unspecified reactive species

Jennifer Radwitz,Torben J Hausrat,Frank F Heisler,Philipp C Janiesch,Yvonne Pechmann,Michael Rübhausen,Matthias Kneussel

Genes 13: PubMed35741845

2022

Tubulin TUBB4B Is Involved in Spermatogonia Proliferation and Cell Cycle Processes.

Applications

Unspecified application

Species

Unspecified reactive species

Meiying Feng,Kai Wang,Shuying Fu,Hengxi Wei,Xiaokun Mu,Li Li,Shouquan Zhang

eLife 11: PubMed35511030

2022

tubulinopathy mutants disrupt neuron morphogenesis and override XMAP215/Stu2 regulation of microtubule dynamics.

Applications

Unspecified application

Species

Unspecified reactive species

Katelyn J Hoff,Jayne E Aiken,Mark A Gutierrez,Santos J Franco,Jeffrey K Moore

Developmental neurobiology 81:333-350 PubMed32293117

2020

Alpha- and beta-tubulin isotypes are differentially expressed during brain development.

Applications

Unspecified application

Species

Unspecified reactive species

Torben J Hausrat,Jennifer Radwitz,Franco L Lombino,Petra Breiden,Matthias Kneussel

Neuron 98:905-917.e5 PubMed29879392

2018

A Viral Receptor Complementation Strategy to Overcome CAV-2 Tropism for Efficient Retrograde Targeting of Neurons.

Applications

Unspecified application

Species

Unspecified reactive species

Shu-Jing Li,Alexander Vaughan,James Fitzhugh Sturgill,Adam Kepecs
View all publications

Abcam Product Promise

我们致力于为您的研究提供高质量的试剂,为您科研的每一步提供支持。若我们的产品未能达到预期性能,我们向您提供 Abcam Product Promise 保障。
详情请参阅我们的条款与条件。

Please note: All products are 'FOR RESEARCH USE ONLY. NOT FOR USE IN DIAGNOSTIC OR THERAPEUTIC PROCEDURES'.

For licensing inquiries, please contact partnerships@abcam.com