JavaScript is disabled in your browser. Please enable JavaScript to view this website.
AB314450

重组Anti-beta Catenin (phospho S675)抗体[EPR28410-45]

Anti-beta Catenin (phospho S675) antibody [EPR28410-45]

  • 20ul selling size
  • BOND RX™ Validated
  • RabMAb
  • Recombinant
  • Lab Essentials
  • 了解详情

Be the first to review this product! Submit a review

|

(1 Publication)

Rabbit Recombinant Monoclonal beta Catenin phospho S675 antibody. Suitable for IHC-P, IP, WB, Dot, IHC-Fr and reacts with Human, Mouse, Rat, Synthetic peptide - Human samples. Cited in 1 publication.

查看别名

CTNNB, OK/SW-cl.35, PRO2286, CTNNB1, Catenin beta-1, Beta-catenin

13 Images
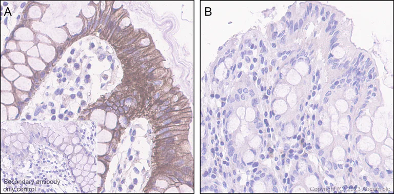
Immunohistochemistry (Formalin/PFA-fixed paraffin-embedded sections) - Anti-beta Catenin (phospho S675) antibody [EPR28410-45] (AB314450)
  • IHC-P

Supplier Data

Immunohistochemistry (Formalin/PFA-fixed paraffin-embedded sections) - Anti-beta Catenin (phospho S675) antibody [EPR28410-45] (AB314450)

Immunohistochemical analysis of paraffin-embedded Human colon tissue labeling beta Catenin (phospho S675) with ab314450 at 1/1000 (0.497 ug/ml) dilution, followed by a ready to use Rabbit specific IHC polymer detection kit HRP/DAB (ab209101).

Membranous staining on (A) human colon without alkaline phosphatase treatment; no staining on (B) human colon with alkaline phosphatase treatment. The section was incubated with ab314450 for 30 mins at room temperature. The immunostaining was performed on a Leica Biosystems BOND® RX instrument. Counterstained with Hematoxylin.

Secondary antibody only control : Secondary antibody is a ready to use Rabbit specific IHC polymer detection kit HRP/DAB (ab209101).

Heat mediated antigen retrieval was performed with Tris-EDTA buffer (pH 9.0, Epitope Retrieval Solution2) for 20 mins.

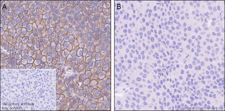
Immunohistochemistry (Formalin/PFA-fixed paraffin-embedded sections) - Anti-beta Catenin (phospho S675) antibody [EPR28410-45] (AB314450)
  • IHC-P

Supplier Data

Immunohistochemistry (Formalin/PFA-fixed paraffin-embedded sections) - Anti-beta Catenin (phospho S675) antibody [EPR28410-45] (AB314450)

Immunohistochemical analysis of paraffin-embedded Human breast carcinoma tissue labeling beta Catenin (phospho S675) with ab314450 at 1/1000 (0.497 ug/ml) dilution, followed by a ready to use Rabbit specific IHC polymer detection kit HRP/DAB (ab209101).

Membranous staining on (A) human breast carcinoma without alkaline phosphatase treatment; no staining on (B) human breast carcinoma with alkaline phosphatase treatment. The section was incubated with ab314450 for 30 mins at room temperature. The immunostaining was performed on a Leica Biosystems BOND® RX instrument. Counterstained with Hematoxylin.

Secondary antibody only control : Secondary antibody is a ready to use Rabbit specific IHC polymer detection kit HRP/DAB (ab209101).

Heat mediated antigen retrieval was performed with Tris-EDTA buffer (pH 9.0, Epitope Retrieval Solution2) for 20 mins.

Immunoprecipitation - Anti-beta Catenin (phospho S675) antibody [EPR28410-45] (AB314450)
  • IP

Supplier Data

Immunoprecipitation - Anti-beta Catenin (phospho S675) antibody [EPR28410-45] (AB314450)

beta Catenin (phospho S675) was immunoprecipitated from 0.35 mg SK-N-MC (human brain epithelial cell) treated with 100 uM forskolin for 30 minutes whole cell lysate with ab314450 at 1/30 dilution (2ug in 0.35mg lysates). Western blot was performed on the immunoprecipitate using ab314450 at 1/1000 dilution. VeriBlot for IP secondary antibody(HRP)(ab131366) was used at 1/5000 dilution.

Blocking and diluting buffer and concentration : 5% NFDM/TBST.

All lanes:

Immunoprecipitation - Anti-beta Catenin (phospho S675) antibody [EPR28410-45] (ab314450) at 1/1000 dilution

Lane 1:

SK-N-MC (human brain epithelial cell) treated with 100 μM forskolin for 30 minutes whole cell lysate

Lane 2:

ab314450 at 1/30 IP in SK-N-MC (human brain epithelial cell) treated with 100 uM forskolin for 30 minutes whole cell lysate

Lane 3:

Rabbit monoclonal IgG (<a href='/products/primary-antibodies/rabbit-igg-monoclonal-epr25a-isotype-control-ab172730'>ab172730</a>) instead of ab314450 in SK-N-MC treated with 100 uM forskolin for 30 minutes whole cell lysate

Secondary

All lanes:

Immunoprecipitation - VeriBlot for IP Detection Reagent (HRP) (<a href='/products/reagents/veriblot-for-ip-detection-reagent-hrp-ab131366'>ab131366</a>) at 1/5000 dilution

false

Exposure time: 15s

Immunohistochemistry (Frozen sections) - Anti-beta Catenin (phospho S675) antibody [EPR28410-45] (AB314450)
  • IHC-Fr

Supplier Data

Immunohistochemistry (Frozen sections) - Anti-beta Catenin (phospho S675) antibody [EPR28410-45] (AB314450)

Immunohistochemical analysis of 4% PFA-fixed, 0.2% Triton X-100 permeabilized frozen Mouse colon (fresh frozen) tissue labeling beta Catenin (phospho S675) with ab314450 at 1/500 (0.994 ug/ml) dilution followed by ab150081 Goat Anti-Rabbit IgG H&L (Alexa Fluor® 488) preadsorbed at 1/1000 2 ug/mL dilution (Green).

Confocal image showing positive staining on mouse colon, while nearly no staining on mouse colon after phosphatase treatment. The nuclear counterstain was DAPI (Blue). The section was incubated with ab314450 for 60 mins at room temperature. The section was then mounted using Fluoromount®. The immunostaining was performed on a Leica Biosystems BOND® RX instrument. Image was taken with a confocal microscope (Leica-Microsystems, TCS SP8). The nuclear counterstain was DAPI (Blue).

Secondary antibody control : Secondary antibody is ab150081 Goat Anti-Rabbit IgG H&L (Alexa Fluor® 488) preadsorbed at 1/1000 2 ug/mL dilution.

Immunohistochemistry (Formalin/PFA-fixed paraffin-embedded sections) - Anti-beta Catenin (phospho S675) antibody [EPR28410-45] (AB314450)
  • IHC-P

Supplier Data

Immunohistochemistry (Formalin/PFA-fixed paraffin-embedded sections) - Anti-beta Catenin (phospho S675) antibody [EPR28410-45] (AB314450)

Immunohistochemical analysis of paraffin-embedded Mouse breast cancer tissue labeling beta Catenin (phospho S675) with ab314450 at 1/2000 (0.249 ug/ml) dilution, followed by a ready to use Rabbit specific IHC polymer detection kit HRP/DAB (ab209101).

Membranous staining on (A) mouse breast cancer without alkaline phosphatase treatment; no staining on (B) mouse breast cancer with alkaline phosphatase treatment. The section was incubated with ab314450 for 30 mins at room temperature. The immunostaining was performed on a Leica Biosystems BOND® RX instrument. Counterstained with Hematoxylin.

Secondary antibody only control : Secondary antibody is a ready to use Rabbit specific IHC polymer detection kit HRP/DAB (ab209101).

Heat mediated antigen retrieval was performed with Tris-EDTA buffer (pH 9.0, Epitope Retrieval Solution2) for 20 mins.

Immunohistochemistry (Formalin/PFA-fixed paraffin-embedded sections) - Anti-beta Catenin (phospho S675) antibody [EPR28410-45] (AB314450)
  • IHC-P

Supplier Data

Immunohistochemistry (Formalin/PFA-fixed paraffin-embedded sections) - Anti-beta Catenin (phospho S675) antibody [EPR28410-45] (AB314450)

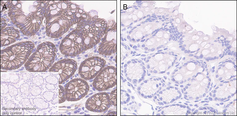
Immunohistochemical analysis of paraffin-embedded Mouse colon tissue labeling beta Catenin (phospho S675) with ab314450 at 1/2000 (0.249 ug/ml) dilution, followed by a ready to use Rabbit specific IHC polymer detection kit HRP/DAB (ab209101).

Membranous staining on (A) mouse colon without alkaline phosphatase treatment; no staining on (B) mouse colon with alkaline phosphatase treatment. The section was incubated with ab314450 for 30 mins at room temperature. The immunostaining was performed on a Leica Biosystems BOND® RX instrument. Counterstained with Hematoxylin.

Secondary antibody only control : Secondary antibody is a ready to use Rabbit specific IHC polymer detection kit HRP/DAB (ab209101).

Heat mediated antigen retrieval was performed with Tris-EDTA buffer (pH 9.0, Epitope Retrieval Solution2) for 20 mins.

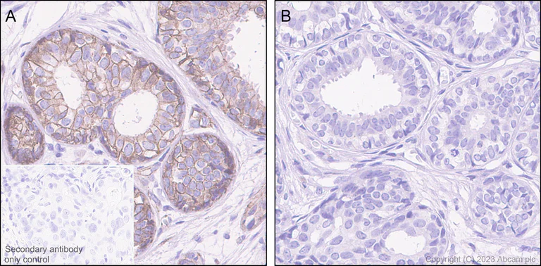
Immunohistochemistry (Formalin/PFA-fixed paraffin-embedded sections) - Anti-beta Catenin (phospho S675) antibody [EPR28410-45] (AB314450)
  • IHC-P

Supplier Data

Immunohistochemistry (Formalin/PFA-fixed paraffin-embedded sections) - Anti-beta Catenin (phospho S675) antibody [EPR28410-45] (AB314450)

Immunohistochemical analysis of paraffin-embedded Rat colon tissue labeling beta Catenin (phospho S675) with ab314450 at 1/2000 (0.249 ug/ml) dilution, followed by a ready to use Rabbit specific IHC polymer detection kit HRP/DAB (ab209101).

Membranous staining on (A) rat colon without alkaline phosphatase treatment; no staining on (B) rat colon with alkaline phosphatase treatment. The section was incubated with ab314450 for 30 mins at room temperature. The immunostaining was performed on a Leica Biosystems BOND® RX instrument. Counterstained with Hematoxylin.

Secondary antibody only control : Secondary antibody is a ready to use Rabbit specific IHC polymer detection kit HRP/DAB (ab209101).

Heat mediated antigen retrieval was performed with Tris-EDTA buffer (pH 9.0, Epitope Retrieval Solution2) for 20 mins.

Immunoprecipitation - Anti-beta Catenin (phospho S675) antibody [EPR28410-45] (AB314450)
  • IP

Supplier Data

Immunoprecipitation - Anti-beta Catenin (phospho S675) antibody [EPR28410-45] (AB314450)

beta Catenin (phospho S675) was immunoprecipitated from 0.35 mg Mouse brain tissue lysate with ab314450 at 1/30 dilution (2ug in 0.35mg lysates). Western blot was performed on the immunoprecipitate using ab314450 at 1/1000 dilution. VeriBlot for IP secondary antibody(HRP)(ab131366) was used at 1/5000 dilution.

Blocking and diluting buffer and concentration : 5% NFDM/TBST.

All lanes:

Immunoprecipitation - Anti-beta Catenin (phospho S675) antibody [EPR28410-45] (ab314450) at 1/1000 dilution

Lane 1:

Mouse brain tissue lysate

Lane 2:

ab314450 at 1/30 IP in Mouse brain tissue lysate

Lane 3:

Rabbit monoclonal IgG (<a href='/products/primary-antibodies/rabbit-igg-monoclonal-epr25a-isotype-control-ab172730'>ab172730</a>) instead of ab314450 in mouse brain tissue lysate

Secondary

All lanes:

Immunoprecipitation - VeriBlot for IP Detection Reagent (HRP) (<a href='/products/reagents/veriblot-for-ip-detection-reagent-hrp-ab131366'>ab131366</a>) at 1/5000 dilution

false

Exposure time: 32s

Western blot - Anti-beta Catenin (phospho S675) antibody [EPR28410-45] (AB314450)
  • WB

Supplier Data

Western blot - Anti-beta Catenin (phospho S675) antibody [EPR28410-45] (AB314450)

The expression profile/ molecular weight observed is consistent with what has been described in the literature (PMID : 30806153).

In Western blot, Anti-GAPDH antibody [EPR16891] - Loading Control (ab181602) staining at 1/200000 dilution.

In Western blot, Anti-beta Catenin antibody - Total protein control (ab32572) staining at 1/1000 dilution.

Blocking and diluting buffer and concentration : 5% NFDM/TBST.

All lanes:

Western blot - Anti-beta Catenin (phospho S675) antibody [EPR28410-45] (ab314450) at 1/1000 dilution

Lane 1:

Untreated SK-N-MC (human brain epithelial cell) whole cell lysate (untreated membrane) at 40 µg

Lane 2:

SK-N-MC treated with 100 uM forskolin for 30 minutes whole cell lysate (untreated membrane) at 40 µg

Lane 3:

Untreated SK-N-MC (human brain epithelial cell) whole cell lysate (Alkaline phosphatase treated membrane) at 40 µg

Lane 4:

SK-N-MC treated with 100 uM forskolin for 30 minutes whole cell lysate (Alkaline phosphatase treated membrane) at 40 µg

Secondary

All lanes:

Western blot - Goat Anti-Rabbit IgG H&L (HRP) (<a href='/products/secondary-antibodies/goat-rabbit-igg-h-l-hrp-ab97051'>ab97051</a>) at 1/20000 dilution

Observed band size: 85 kDa,90 kDa,36 kDa

false

Exposure time: 180s

Dot Blot - Anti-beta Catenin (phospho S675) antibody [EPR28410-45] (AB314450)
  • Dot

Supplier Data

Dot Blot - Anti-beta Catenin (phospho S675) antibody [EPR28410-45] (AB314450)

Dot blot analysis of beta Catenin (phospho S675) using ab314450 at 1 : 1000 (0.497 ug/ml) followed by a Goat Anti-Rabbit IgG, (H+L), Peroxidase conjugated (ab97051) at 1 : 1000 (0.497 ug/ml) dilution.

Exposure time : 180 Seconds.

Blocking and diluting buffer and concentration : 5% NFDM/TBST.

This antibody does not cross-react with gamma Catenin (phospho S665).

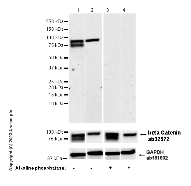
Western blot - Anti-beta Catenin (phospho S675) antibody [EPR28410-45] (AB314450)
  • WB

Supplier Data

Western blot - Anti-beta Catenin (phospho S675) antibody [EPR28410-45] (AB314450)

In Western blot, Anti-GAPDH antibody [EPR16891] - Loading Control (ab181602) staining at 1/200000 dilution.

In Western blot, Anti-beta Catenin antibody - Total protein control (ab32572) staining at 1/1000 dilution.

Blocking and diluting buffer and concentration : 5% NFDM/TBST.

All lanes:

Western blot - Anti-beta Catenin (phospho S675) antibody [EPR28410-45] (ab314450) at 1/1000 dilution

Lane 1:

Mouse colon tissue lysate (untreated membrane) at 20 µg

Lane 2:

Rat liver tissue lysate (untreated membrane) at 20 µg

Lane 3:

Mouse colon tissue lysate (Alkaline phosphatase treated membrane) at 20 µg

Lane 4:

Rat liver tissue lysate (Alkaline phosphatase treated membrane) at 20 µg

Secondary

All lanes:

Western blot - Goat Anti-Rabbit IgG H&L (HRP) (<a href='/products/secondary-antibodies/goat-rabbit-igg-h-l-hrp-ab97051'>ab97051</a>) at 1/100000 dilution

Observed band size: 85 kDa,90 kDa,36 kDa

false

Exposure time: 180s

Western blot - Anti-beta Catenin (phospho S675) antibody [EPR28410-45] (AB314450)
  • WB

Supplier Data

Western blot - Anti-beta Catenin (phospho S675) antibody [EPR28410-45] (AB314450)

Lysates were freshly made and used for Western blotting immediately to minimize protein degradation.

The identity of the lower MW band at approximately 37 kDa in Lane 2 is unknown.

In Western blot, Anti-GAPDH antibody [EPR16891] - Loading Control (ab181602) staining at 1/200000 dilution.

Blocking and diluting buffer and concentration : 5% NFDM/TBST.

All lanes:

Western blot - Anti-beta Catenin (phospho S675) antibody [EPR28410-45] (ab314450) at 1/1000 dilution

Lane 1:

Mouse brain tissue lysate at 20 µg

Lane 2:

Mouse liver tissue lysate at 20 µg

Lane 3:

Mouse testis tissue lysate at 20 µg

Secondary

All lanes:

Western blot - Goat Anti-Rabbit IgG H&L (HRP) (<a href='/products/secondary-antibodies/goat-rabbit-igg-h-l-hrp-ab97051'>ab97051</a>) at 1/100000 dilution

Observed band size: 90 kDa,36 kDa

false

Exposure time: 180s

Dot Blot - Anti-beta Catenin (phospho S675) antibody [EPR28410-45] (AB314450)
  • Dot

Supplier Data

Dot Blot - Anti-beta Catenin (phospho S675) antibody [EPR28410-45] (AB314450)

Dot blot analysis of beta Catenin (phospho S675) using ab314450 at 1 : 1000 (0.497 ug/ml) followed by a Goat Anti-Rabbit IgG, (H+L), Peroxidase conjugated (ab97051) at 1 : 1000 (0.497 ug/ml) dilution.

Exposure time : 180 Seconds.

Blocking and diluting buffer and concentration : 5% NFDM/TBST.

不同偶联物与剂型 (1)

  • Carrier free

    Anti-beta Catenin (phospho S675) antibody [EPR28410-45] - BSA and Azide free

关键信息

宿主种属

Rabbit

克隆

Monoclonal

克隆号

EPR28410-45

亚型

IgG

不含载体蛋白

No

反应种属

Human, Mouse, Rat

应用

IHC-P, WB, IHC-Fr, IP, Dot

applications

免疫原

The exact immunogen used to generate this antibody is proprietary information.

反应性数据

{ "title": "Reactivity Data", "filters": { "stats": ["", "Species", "Dilution Info", "Notes"], "tabs": { "all-applications": {"fullname" : "All Applications", "shortname": "All Applications"}, "IHCP" : {"fullname" : "Immunohistochemistry (Formalin/PFA-fixed paraffin-embedded sections)", "shortname":"IHC-P"}, "IP" : {"fullname" : "Immunoprecipitation", "shortname":"IP"}, "WB" : {"fullname" : "Western blot", "shortname":"WB"}, "Dot" : {"fullname" : "Dot Blot", "shortname":"Dot"}, "IHCFr" : {"fullname" : "Immunohistochemistry (Frozen sections)", "shortname":"IHC-Fr"}, "FlowCytIntra" : {"fullname" : "Flow Cytometry (Intracellular)", "shortname":"Flow Cyt (Intra)"}, "ICCIF" : {"fullname" : "Immunocytochemistry/ Immunofluorescence", "shortname":"ICC/IF"} }, "product-promise": { "all": "all", "testedAndGuaranteed": "tested", "guaranteed": "expected", "predicted": "predicted", "notRecommended": "not-recommended" } }, "values": { "Human": { "IHCP-species-checked": "testedAndGuaranteed", "IHCP-species-dilution-info": "1/1000", "IHCP-species-notes": "<p></p> Perform heat-mediated antigen retrieval with Tris/EDTA buffer pH 9.0 before commencing with IHC staining protocol.", "IP-species-checked": "testedAndGuaranteed", "IP-species-dilution-info": "1/30", "IP-species-notes": "<p></p>", "WB-species-checked": "testedAndGuaranteed", "WB-species-dilution-info": "1/1000", "WB-species-notes": "<p></p>", "Dot-species-checked": "guaranteed", "Dot-species-dilution-info": "", "Dot-species-notes": "", "IHCFr-species-checked": "guaranteed", "IHCFr-species-dilution-info": "", "IHCFr-species-notes": "", "FlowCytIntra-species-checked": "notRecommended", "FlowCytIntra-species-dilution-info": "", "FlowCytIntra-species-notes": "<p></p>", "ICCIF-species-checked": "notRecommended", "ICCIF-species-dilution-info": "", "ICCIF-species-notes": "<p></p>" }, "Mouse": { "IHCP-species-checked": "testedAndGuaranteed", "IHCP-species-dilution-info": "1/2000", "IHCP-species-notes": "<p></p> Perform heat-mediated antigen retrieval with Tris/EDTA buffer pH 9.0 before commencing with IHC staining protocol.", "IP-species-checked": "testedAndGuaranteed", "IP-species-dilution-info": "1/30", "IP-species-notes": "<p></p>", "WB-species-checked": "testedAndGuaranteed", "WB-species-dilution-info": "1/1000", "WB-species-notes": "<p></p>", "Dot-species-checked": "guaranteed", "Dot-species-dilution-info": "", "Dot-species-notes": "", "IHCFr-species-checked": "testedAndGuaranteed", "IHCFr-species-dilution-info": "1/500", "IHCFr-species-notes": "<p></p>", "FlowCytIntra-species-checked": "notRecommended", "FlowCytIntra-species-dilution-info": "", "FlowCytIntra-species-notes": "", "ICCIF-species-checked": "notRecommended", "ICCIF-species-dilution-info": "", "ICCIF-species-notes": "" }, "Rat": { "IHCP-species-checked": "testedAndGuaranteed", "IHCP-species-dilution-info": "1/2000", "IHCP-species-notes": "<p></p> Perform heat-mediated antigen retrieval with Tris/EDTA buffer pH 9.0 before commencing with IHC staining protocol.", "IP-species-checked": "guaranteed", "IP-species-dilution-info": "", "IP-species-notes": "", "WB-species-checked": "testedAndGuaranteed", "WB-species-dilution-info": "1/1000", "WB-species-notes": "<p></p>", "Dot-species-checked": "guaranteed", "Dot-species-dilution-info": "", "Dot-species-notes": "", "IHCFr-species-checked": "guaranteed", "IHCFr-species-dilution-info": "", "IHCFr-species-notes": "", "FlowCytIntra-species-checked": "notRecommended", "FlowCytIntra-species-dilution-info": "", "FlowCytIntra-species-notes": "", "ICCIF-species-checked": "notRecommended", "ICCIF-species-dilution-info": "", "ICCIF-species-notes": "" }, "Synthetic peptide - Human": { "IHCP-species-checked": "notRecommended", "IHCP-species-dilution-info": "", "IHCP-species-notes": "", "IP-species-checked": "notRecommended", "IP-species-dilution-info": "", "IP-species-notes": "", "WB-species-checked": "notRecommended", "WB-species-dilution-info": "", "WB-species-notes": "", "Dot-species-checked": "testedAndGuaranteed", "Dot-species-dilution-info": "1/1000", "Dot-species-notes": "<p></p>", "IHCFr-species-checked": "notRecommended", "IHCFr-species-dilution-info": "", "IHCFr-species-notes": "", "FlowCytIntra-species-checked": "notRecommended", "FlowCytIntra-species-dilution-info": "", "FlowCytIntra-species-notes": "", "ICCIF-species-checked": "notRecommended", "ICCIF-species-dilution-info": "", "ICCIF-species-notes": "" } } }

产品详情

Patented technology
Our RabMAb® technology is a patented hybridoma-based technology for making rabbit monoclonal antibodies. For details on our patents, please refer to RabMAb® patents.

What are the advantages of a recombinant monoclonal antibody?
This product is a recombinant monoclonal antibody, which offers several advantages including:

  • - High batch-to-batch consistency and reproducibility
  • - Improved sensitivity and specificity
  • - Long-term security of supply
  • - Animal-free batch production

For more information, read more on recombinant antibodies.

性能和储存信息

形式
Liquid
纯化工艺
Affinity purification Protein A
存储溶液
pH: 7.2 - 7.4 Preservative: 0.01% Sodium azide Constituents: PBS, 40% Glycerol (glycerin, glycerine), 0.05% BSA
运输条件
Blue Ice
推荐的短期储存时间
1-2 weeks
推荐的短期储存条件
+4°C
推荐的长期储存条件
-20°C
分装信息
Upon delivery aliquot
储存信息
Avoid freeze / thaw cycle

补充信息

This supplementary information is collated from multiple sources and compiled automatically.

Beta Catenin also known by names such as CTNNB1 or beta-chip is an important protein involved in cell signaling and adhesion. This protein has a molecular weight of around 88 kDa. Beta Catenin is expressed in many cell types and tissues indicating its widespread role in various biological processes. It functions mechanically by mediating the linkage between cadherins and the actin cytoskeleton facilitating cell-cell adhesion. Beta Catenin is also a central part of transcription regulation processes in the nucleus.
Biological function summary

This protein plays roles in both cell adhesion and the regulation of gene expression. Beta Catenin is a critical component of the Wnt signaling pathway where it can form complexes with other proteins to influence gene transcription. In the absence of Wnt signaling beta Catenin levels are low due to its degradation. However when the pathway is active it accumulates in the cytoplasm and eventually translocates to the nucleus where it interacts with TCF/LEF transcription factors to regulate the expression of target genes.

Pathways

Beta Catenin plays a central role in the Wnt signaling pathway and influences cell fate decisions and cellular proliferation. It acts in concert with proteins such as Dishevelled (DVL) and Axin to coordinate these important biological processes. In the absence of Wnt signaling proteins such as APC and GSK-3β are responsible for beta Catenin degradation keeping its cellular levels in check. Beta Catenin’s interaction with transcription factors in the nucleus makes it pivotal in the regulation of cell and tissue homeostasis.

Beta Catenin has associations with colorectal cancer and hepatocellular carcinoma. Its dysregulation can lead to unchecked cell proliferation and tumorigenesis. Often mutations in the beta Catenin gene (CTNNB1) or components of the Wnt pathway like APC are implicated in the development of these cancers. Its interplay with E-cadherin is important for maintaining tissue architecture and disruptions can lead to invasive cancer phenotypes. Understanding beta Catenin’s role provides insights into therapeutic strategies for these cancers.

产品实验方案

For this product, it's our understanding that no specific protocols are required. You can visit:

靶点信息

Key downstream component of the canonical Wnt signaling pathway (PubMed : 17524503, PubMed : 18077326, PubMed : 18086858, PubMed : 18957423, PubMed : 21262353, PubMed : 22155184, PubMed : 22647378, PubMed : 22699938). In the absence of Wnt, forms a complex with AXIN1, AXIN2, APC, CSNK1A1 and GSK3B that promotes phosphorylation on N-terminal Ser and Thr residues and ubiquitination of CTNNB1 via BTRC and its subsequent degradation by the proteasome (PubMed : 17524503, PubMed : 18077326, PubMed : 18086858, PubMed : 18957423, PubMed : 21262353, PubMed : 22155184, PubMed : 22647378, PubMed : 22699938). In the presence of Wnt ligand, CTNNB1 is not ubiquitinated and accumulates in the nucleus, where it acts as a coactivator for transcription factors of the TCF/LEF family, leading to activate Wnt responsive genes (PubMed : 17524503, PubMed : 18077326, PubMed : 18086858, PubMed : 18957423, PubMed : 21262353, PubMed : 22155184, PubMed : 22647378, PubMed : 22699938). Involved in the regulation of cell adhesion, as component of an E-cadherin : catenin adhesion complex (By similarity). Acts as a negative regulator of centrosome cohesion (PubMed : 18086858). Involved in the CDK2/PTPN6/CTNNB1/CEACAM1 pathway of insulin internalization (PubMed : 21262353). Blocks anoikis of malignant kidney and intestinal epithelial cells and promotes their anchorage-independent growth by down-regulating DAPK2 (PubMed : 18957423). Disrupts PML function and PML-NB formation by inhibiting RANBP2-mediated sumoylation of PML (PubMed : 22155184). Promotes neurogenesis by maintaining sympathetic neuroblasts within the cell cycle (By similarity). Involved in chondrocyte differentiation via interaction with SOX9 : SOX9-binding competes with the binding sites of TCF/LEF within CTNNB1, thereby inhibiting the Wnt signaling (By similarity). Acts as a positive regulator of odontoblast differentiation during mesenchymal tooth germ formation, via promoting the transcription of differentiation factors such as LEF1, BMP2 and BMP4 (By similarity). Activity is repressed in a MSX1-mediated manner at the bell stage of mesenchymal tooth germ formation which prevents premature differentiation of odontoblasts (By similarity).
See full target information CTNNB1 phospho S675

文献 (1)

Recent publications for all applications. Explore the full list and refine your search

International journal of molecular sciences 26: PubMed40430063

2025

Exploring the Bone-Liver Axis: Impact of Acute Ethanol Intoxication on Post-Traumatic Liver Inflammation and Damage Following Femur Fracture.

Applications

Unspecified application

Species

Unspecified reactive species

Jasmin Maria Bülow,Helen Rinderknecht,Nils Becker,Kernt Köhler,Alessa Wagner,Yuntao Yang,Katrin Bundkirchen,Claudia Neunaber,Borna Relja
View all publications

Abcam Product Promise

我们致力于为您的研究提供高质量的试剂,为您科研的每一步提供支持。若我们的产品未能达到预期性能,我们向您提供 Abcam Product Promise 保障。
详情请参阅我们的条款与条件。

Please note: All products are 'FOR RESEARCH USE ONLY. NOT FOR USE IN DIAGNOSTIC OR THERAPEUTIC PROCEDURES'.

For licensing inquiries, please contact partnerships@abcam.com