JavaScript is disabled in your browser. Please enable JavaScript to view this website.
AB32572

Anti-beta Catenin 抗体 [E247] - ChIP Grade

Anti-beta Catenin antibody [E247] - ChIP Grade

  • BOND RX™ Validated
  • Advanced Validation
  • RabMAb
  • Recombinant
  • KO Validated
  • Lab Essentials
  • 20ul selling size
  • 了解详情

5

(75 Reviews)

|

(1431 Publications)

Anti-beta Catenin antibody [E247] - ChIP Grade (ab32572) is a rabbit monoclonal antibody detecting beta Catenin in Western Blot, IP, IHC-P, ICC/IF, ChIP, mIHC. Suitable for Human, Mouse, Rat.

- KO validated for confirmed specificity
- Multiplex IHC validated on the Leica BOND® MAX using Opal reagents
- Biophysical QC for unrivalled batch-batch consistency
- Over 1070 publications

查看别名

CTNNB, OK/SW-cl.35, PRO2286, CTNNB1, Catenin beta-1, Beta-catenin

41 Images
Immunohistochemistry (Formalin/PFA-fixed paraffin-embedded sections) - Anti-beta Catenin antibody [E247] - ChIP Grade (AB32572)
  • IHC-P

PubMed

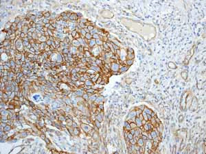
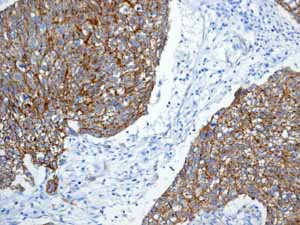
Immunohistochemistry (Formalin/PFA-fixed paraffin-embedded sections) - Anti-beta Catenin antibody [E247] - ChIP Grade (AB32572)

Different expression level of beta Catenin in HCTs (hepatocellular carcinoma tissues) and PLTs (para-cancerous liver tissues).

The HCTs, PLTs were paraffin-embedded and cut into sections with 5 μm-thickness for hematoxylin-eosin and immunohistochemistry (IHC) analysis. ab32572 was used at a dilution of 1 : 400. The second antibody was a biotinylated IgG to incubate 40 minutes at 37°C. Finally, the tissue slices were visualized by the 3, 3-diaminobenzidine solution and counterstained with hematoxylin. Substitution of the primary antibody with phosphate-buffered saline was served as a control for IHC.

The beta Catenin with negative, weak, moderate and strong staining activity was respectively detected in HCTs (E-H) and PLTs (M-P). Section E shown above, for full image please see original paper.

Image from Jin et al PLoS One. 2015 Aug 7;10(8):e0133770. doi: 10.1371/journal.pone.0133770. eCollection 2015. Fig 2.

Immunohistochemistry (Formalin/PFA-fixed paraffin-embedded sections) - Anti-beta Catenin antibody [E247] - ChIP Grade (AB32572)
  • IHC-P

Lab

Immunohistochemistry (Formalin/PFA-fixed paraffin-embedded sections) - Anti-beta Catenin antibody [E247] - ChIP Grade (AB32572)

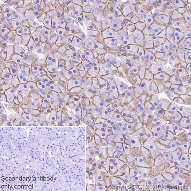
Immunohistochemical analysis of formalin fixed paraffin embedded human colon labelling beta Catenin with ab32572 at a concentration of 0.1µg/ml. The immunostaining was performed on a Leica Biosystems BOND® RX instrument with a Bond™ Polymer Refine Detection kit. Heat mediated antigen retrieval was performed with Tris-EDTA buffer (pH 9.0, Epitope Retrieval Solution 2) for 20mins.

ab32572 anti-beta Catenin antibody [E247] was incubated for 15mins at room temperature. Sections were counterstained with Hematoxylin. Image inset shows absence of staining in secondary antibody only control.

Customers are encouraged to optimise antigen retrieval conditions, antibody concentration, incubation times and temperature for best results in their own IHC assay workflow (automated and manual)

Immunohistochemistry (Formalin/PFA-fixed paraffin-embedded sections) - Anti-beta Catenin antibody [E247] - ChIP Grade (AB32572)
  • IHC-P

Lab

Immunohistochemistry (Formalin/PFA-fixed paraffin-embedded sections) - Anti-beta Catenin antibody [E247] - ChIP Grade (AB32572)

Immunohistochemical analysis of paraffin-embedded Human breast carcinoma tissue labeling beta Catenin with ab32572, followed by a ready to use Goat Anti-Rabbit IgG H&L (HRP). Membranous staining on human breast carcinoma.The section was incubated with ab32572 for 30 mins at room temperature. Counterstained with Hematoxylin. Heat mediated antigen retrieval using ab93684 (Tris/EDTA buffer, pH 9.0).

Secondary antibody only control : Used PBS instead of primary antibody, secondary antibody is a ready to use Goat Anti-Rabbit IgG H&L (HRP).

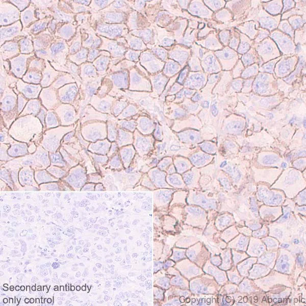
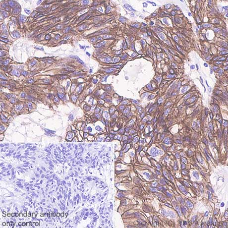
Immunohistochemistry (Formalin/PFA-fixed paraffin-embedded sections) - Anti-beta Catenin antibody [E247] - ChIP Grade (AB32572)
  • IHC-P

Unknown

Immunohistochemistry (Formalin/PFA-fixed paraffin-embedded sections) - Anti-beta Catenin antibody [E247] - ChIP Grade (AB32572)

Immunohistochemical analysis of human cervical carcinoma tissue staining beta Catenin with ab32572 at 1/500 dilution. Heat mediated antigen retrieval was perfomed with citrate buffer (pH 6)

Immunohistochemistry (Formalin/PFA-fixed paraffin-embedded sections) - Anti-beta Catenin antibody [E247] - ChIP Grade (AB32572)
  • IHC-P

Unknown

Immunohistochemistry (Formalin/PFA-fixed paraffin-embedded sections) - Anti-beta Catenin antibody [E247] - ChIP Grade (AB32572)

ab32572 showing positive staining in human kidney carcinoma tissue.

Immunohistochemical analysis of human kidney carcinoma tissue staining beta Catenin with ab32572 at 1/500 dilution. Heat mediated antigen retrieval was perfomed with citrate buffer (pH 6).

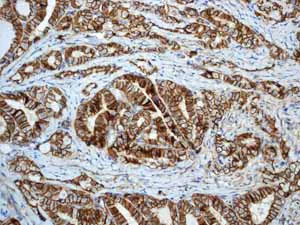
Immunohistochemistry (Formalin/PFA-fixed paraffin-embedded sections) - Anti-beta Catenin antibody [E247] - ChIP Grade (AB32572)
  • IHC-P

Unknown

Immunohistochemistry (Formalin/PFA-fixed paraffin-embedded sections) - Anti-beta Catenin antibody [E247] - ChIP Grade (AB32572)

Immunohistochemical analysis of human papillary carcinoma tissue staining beta Catenin with ab32572 at 1/500 dilution. Heat mediated antigen retrieval was perfomed with citrate buffer (pH 6).

Immunohistochemistry (Formalin/PFA-fixed paraffin-embedded sections) - Anti-beta Catenin antibody [E247] - ChIP Grade (AB32572)
  • IHC-P

Unknown

Immunohistochemistry (Formalin/PFA-fixed paraffin-embedded sections) - Anti-beta Catenin antibody [E247] - ChIP Grade (AB32572)

Immunohistochemical analysis of human lung adenocarcinoma tissue staining beta Catenin with ab32572 at 1/500 dilution. Heat mediated antigen retrieval was perfomed with citrate buffer (pH 6).

Immunocytochemistry/ Immunofluorescence - Anti-beta Catenin antibody [E247] - ChIP Grade (AB32572)
  • ICC/IF

Unknown

Immunocytochemistry/ Immunofluorescence - Anti-beta Catenin antibody [E247] - ChIP Grade (AB32572)

ab32572 staining in CTNNB1 (beta Catenin) wild-type HAP1 cells (top panel) and in CTNNB1 (β-catenin) knockout HAP1 cells (bottom panel). The cells were fixed with 100% methanol (5min), permeabilized with 0.1% Triton X-100 for 5 minutes and then blocked with 1% BSA/10% normal goat serum/0.3M glycine in 0.1% PBS-Tween for 1h. The cells were then incubated with ab32572 at 1/250 dilution and ab195889 at 1/250 dilution (shown in pseudocolour red) overnight at +4°C, followed by a further incubation at room temperature for 1h with Goat Anti-Rabbit IgG H&L (Alexa Fluor® 488) preadsorbed (ab150081) secondary antibody at 2 μg/ml (shown in green). Nuclear DNA was labeled in blue with DAPI.

Image was taken with a confocal microscope (Leica-Microsystems, TCS SP8).

Immunocytochemistry - Anti-beta Catenin antibody [E247] - ChIP Grade (AB32572)
  • ICC

Lab

Immunocytochemistry - Anti-beta Catenin antibody [E247] - ChIP Grade (AB32572)

ab32572 staining of ß-catenin in a HCT116 cell spheroid. The cells were fixed with 4% formaldehyde (10 min), permeabilised with 0.5% Triton X-100 for 1h and then blocked with 1% BSA/10% normal goat serum/0.3M glycine in 0.1% PBS-Tween overnight at room temperature. The spheroids were then incubated overnight at room temperature with ab32572 at 2 μg/ml and ab7291, Mouse monoclonal [DM1A] to alpha Tubulin at 2 μg/ml. DAPI was used as nuclear counterstain (shown in blue). As secondary antibodies ab150081 Goat anti-Rabbit (Alexa Fluor® 488) (shown in green) and ab150120 Goat anti-Mouse (Alexa Fluor® 594) (shown in magenta) were used, incubated overnight at room temperature. All permeabilization, blocking and antibody incubation steps were performed using a rotary shaker.

Image was acquired with a high-content analyser (Operetta CLS, Perkin Elmer) and a maximum intensity projection of confocal sections is shown.

The antibody ab32572 also worked using 100% methanol (5 min).

Immunocytochemistry/ Immunofluorescence - Anti-beta Catenin antibody [E247] - ChIP Grade (AB32572)
  • ICC/IF

Unknown

Immunocytochemistry/ Immunofluorescence - Anti-beta Catenin antibody [E247] - ChIP Grade (AB32572)

ab32572 staining beta Catenin in SK-N-SH (Human neuroblastoma cell line) cells treated with olanzapine (ab120736), by ICC/IF.

Increase in expression of beta Catenin correlates with increased concentration of olanzapine, as described in literature.
The cells were incubated at 37°C for 24h in media containing different concentrations of ab120736 (olanzapine) in DMSO, fixed with 4% formaldehyde for 10 minutes at room temperature and blocked with PBS containing 10% goat serum, 0.3 M glycine, 1% BSA and 0.1% tween for 2h at room temperature. Staining of the treated cells with ab32572 (1/200 dilution) was performed overnight at 4°C in PBS containing 1% BSA and 0.1% tween. A Goat Anti-Rabbit IgG H&L (DyLight® 488) preadsorbed (ab96899) secondary antibody at 1/250 dilution was used as the secondary antibody. Nuclei were counterstained with DAPI and are shown in blue.

Immunocytochemistry/ Immunofluorescence - Anti-beta Catenin antibody [E247] - ChIP Grade (AB32572)
  • ICC/IF

Unknown

Immunocytochemistry/ Immunofluorescence - Anti-beta Catenin antibody [E247] - ChIP Grade (AB32572)

ab32572 staining beta Catenin in SW480 (Human colorectal adenocarcinoma cell line) cells treated with BIO (ab120891), by ICC/IF. Increase of beta Catenin expression correlates with increased concentration of BIO, as described in literature.
The cells were incubated at 37°C for 48h in media containing different concentrations of ab120891 (BIO) in DMSO, fixed with 4% formaldehyde for 10 minutes at room temperature and blocked with PBS containing 10% goat serum, 0.3 M glycine, 1% BSA and 0.1% tween for 2h at room temperature. Staining of the treated cells with ab32572 (1/200) dilution was performed overnight at 4°C in PBS containing 1% BSA and 0.1% tween. A Goat Anti-Rabbit IgG H&L (DyLight® 488) preadsorbed (ab96899) secondary antibody at 1/250 dilution was used as the secondary antibody. Nuclei were counterstained with DAPI and are shown in blue.

Immunohistochemistry (Formalin/PFA-fixed paraffin-embedded sections) - Anti-beta Catenin antibody [E247] - ChIP Grade (AB32572)
  • IHC-P

Lab

Immunohistochemistry (Formalin/PFA-fixed paraffin-embedded sections) - Anti-beta Catenin antibody [E247] - ChIP Grade (AB32572)

Immunohistochemical analysis of formalin fixed paraffin embedded human colon labelling beta Catenin with ab32572 at a concentration of 0.1µg/ml. The immunostaining was performed on a Ventana DISCOVERY ULTRA (Roche Tissue Diagnostics) instrument with a OptiView DAB IHC Detection Kit. Heat mediated antigen retrieval was performed with DISCOVERY cell conditioning solution (CC1) 100°C, pH8.5 for 32mins.

ab32572 anti-beta Catenin antibody [E247] was incubated for 16mins at 37°C. Sections were counterstained with Hematoxylin II. Image inset shows absence of staining in secondary antibody only control.

Customers are encouraged to optimise antigen retrieval conditions, antibody concentration, incubation times and temperature for best results in their own IHC assay workflow (automated and manual)

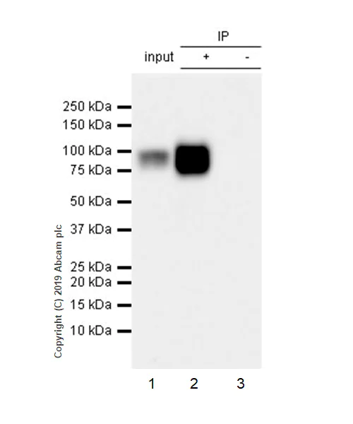
Immunoprecipitation - Anti-beta Catenin antibody [E247] - ChIP Grade (AB32572)
  • IP

Supplier Data

Immunoprecipitation - Anti-beta Catenin antibody [E247] - ChIP Grade (AB32572)

beta Catenin was immunoprecipitated from 0.35 mg A431 (Human epidermoid carcinoma epithelial cell) whole cell lysate with ab32572 at 1/50 dilution (2μg in 0.35mg lysates). Western blot was performed on the immunoprecipitate using ab32572 1/500 dilution (2 μg/ml). VeriBlot for IP Detection Reagent (HRP) (ab131366) was used as the secondary antibody at 1/1000 dilution.

Lane 1 : A431 (Human epidermoid carcinoma epithelial cell) whole cell lysate 10μg

Lane 2 : ab32572 IP in A431 whole cell lysate

Lane 3 : Rabbit monoclonal IgG (ab172730) instead of ab32572 in A431 whole cell lysate.

Blocking and dilution buffer and concentration : 5% NFDM/TBST.

Exposure time : 3 seconds

Lane 1:

Immunoprecipitation - Anti-beta Catenin antibody [E247] - ChIP Grade (ab32572) at 1/500 dilution

Lanes 2 - 3:

Immunoprecipitation - Anti-beta Catenin antibody [E247] - ChIP Grade (ab32572)

Lane 1:

A431 (Human epidermoid carcinoma epithelial cell) whole cell lysate at 10 µg

Lane 2:

ab32572 IP in A431 whole cell lysate

Lane 3:

Rabbit monoclonal IgG (<a href='/products/primary-antibodies/rabbit-igg-monoclonal-epr25a-isotype-control-ab172730'>ab172730</a>) instead of ab32572 in A431 whole cell lysate

Secondary

All lanes:

Immunoprecipitation - VeriBlot for IP Detection Reagent (HRP) (<a href='/products/reagents/veriblot-for-ip-detection-reagent-hrp-ab131366'>ab131366</a>) at 1/1000 dilution

Predicted band size: 85 kDa

Observed band size: 90 kDa

false

ChIP - Anti-beta Catenin antibody [E247] - ChIP Grade (AB32572)
  • ChIP

Lab

ChIP - Anti-beta Catenin antibody [E247] - ChIP Grade (AB32572)

Chromatin was prepared from HCT 116 cells according to the Abcam Dual-X-ChIP protocol*. Cells were fixed with 1.5 mM EGS for 30 mins and then formaldehyde for 10 min.

The ChIP was performed with 25 μg of chromatin, 5 μg of ab32572 (red), or 5 μg of rabbit normal IgG ab172730 (gray) and 20 μl of Protein A/G sepharose beads. The immunoprecipitated DNA was quantified by real time PCR (Taqman approach for active and inactive loci, Sybr green approach for heterochromatic loci)

Primers and probes are from paper PMID : 28625518

*http : //www.abcam.com/resources?keywords=X%20ChIP%20protocol

Immunohistochemistry (Formalin/PFA-fixed paraffin-embedded sections) - Anti-beta Catenin antibody [E247] - ChIP Grade (AB32572)
  • IHC-P

Unknown

Immunohistochemistry (Formalin/PFA-fixed paraffin-embedded sections) - Anti-beta Catenin antibody [E247] - ChIP Grade (AB32572)

Immunohistochemical analysis of paraffin-embedded rat liver pancreas labeling beta Catenin with ab32572 at 1/1000 dilution, followed by a ready to use Rabbit specific IHC polymer detection kit HRP/DAB (ab209101). Membranous staining on rat pancreas. The section was incubated with ab32572 for 30 mins at room temperature. The immunostaining was performed on a Leica Biosystems BOND® RX instrument. Counterstained with Hematoxylin. Heat mediated antigen retrieval with Tris-EDTA buffer (pH 9.0, epitope retrieval solution2) for 20 mins

Secondary antibody only control : Used PBS instead of primary antibody, secondary antibody is a ready to use Rabbit specific IHC polymer detection kit HRP/DAB (ab209101).

Multiplex immunohistochemistry - Anti-beta Catenin antibody [E247] - ChIP Grade (AB32572)
  • mIHC

Lab

Multiplex immunohistochemistry - Anti-beta Catenin antibody [E247] - ChIP Grade (AB32572)

Multiplex immunohistochemistry analysis of formalin/PFA-fixed paraffin-embedded rat liver tissue staining ALDH1L1 with ab307696 at a 1/5000 dilution, ab302928 anti-HIRA/HIR used at 1/100 dilution and ab32572 anti-beta Catenin used at a 1/250 dilution. Opal Polymer HRP Ms + Rb was used as a secondary antibody.

Panel A : merged staining of anti-ALDH1L1 (green; Opal520), anti-HIRA/HIR (magenta; Opal690) and anti-beta Catenin (grey; Opal570) on rat liver.
Panel B : anti-ALDH1L1 staining cytoplasm of hepatocytes in rat liver.
Panel C : anti-HIRA/HIR staining nucleus of hepatocytes in rat liver.
Panel D : anti-beta Catenin staining membrane of hepatocytes in rat liver.
Nuclear DNA was labeled with DAPI (shown in blue).

The section was incubated in three rounds of staining : in the order of ab307696, ab302928 and ab32572 for 30 mins at room temperature. Each round was followed by a separate fluorescent tyramide signal amplification system.

Heat mediated antigen retrieval with Tris-EDTA buffer (pH 9.0, epitope retrieval solution2) for 20 mins.

Multiplex immunohistochemistry - Anti-beta Catenin antibody [E247] - ChIP Grade (AB32572)
  • mIHC

Lab

Multiplex immunohistochemistry - Anti-beta Catenin antibody [E247] - ChIP Grade (AB32572)

Multiplex immunohistochemistry analysis of formalin/PFA-fixed paraffin-embedded mouse liver tissue staining ALDH1L1 with ab307696 at a 1/5000 dilution, ab302928 anti-HIRA/HIR used at 1/100 dilution and ab32572 anti-beta Catenin used at a 1/250 dilution. Opal Polymer HRP Ms + Rb was used as a secondary antibody.

Panel A : merged staining of anti-ALDH1L1 (green; Opal520), anti-HIRA/HIR (magenta; Opal690) and anti-beta Catenin (grey; Opal570) on mouse liver.
Panel B : anti-ALDH1L1 staining cytoplasm of hepatocytes in mouse liver.
Panel C : anti-HIRA/HIR staining nucleus of hepatocytes in mouse liver.
Panel D : anti-beta Catenin staining membrane of hepatocytes in mouse liver.
Nuclear DNA was labeled with DAPI (shown in blue).

The section was incubated in three rounds of staining : in the order of ab307696, ab302928 and ab32572 for 30 mins at room temperature. Each round was followed by a separate fluorescent tyramide signal amplification system.

Heat mediated antigen retrieval with Tris-EDTA buffer (pH 9.0, epitope retrieval solution2) for 20 mins.

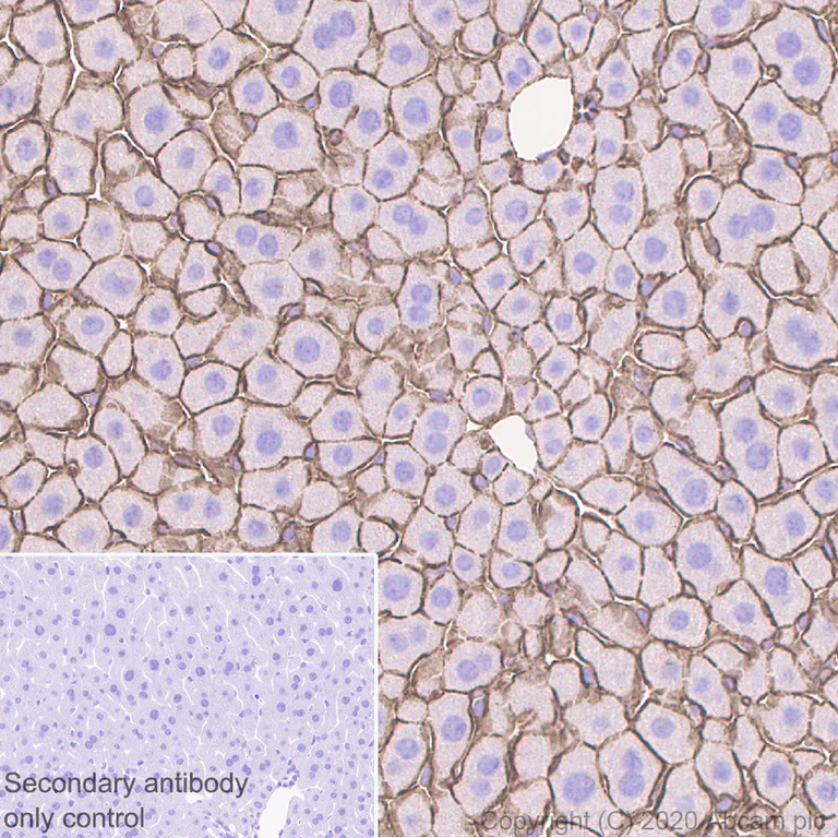
Immunohistochemistry (Formalin/PFA-fixed paraffin-embedded sections) - Anti-beta Catenin antibody [E247] - ChIP Grade (AB32572)
  • IHC-P

Unknown

Immunohistochemistry (Formalin/PFA-fixed paraffin-embedded sections) - Anti-beta Catenin antibody [E247] - ChIP Grade (AB32572)

Immunohistochemical analysis of paraffin-embedded rat liver tissue labeling beta Catenin with ab32572 at 1/1000 dilution, followed by a ready to use Rabbit specific IHC polymer detection kit HRP/DAB (ab209101). Membranous staining on rat liver. The section was incubated with ab32572 for 30 mins at room temperature. The immunostaining was performed on a Leica Biosystems BOND® RX instrument. Counterstained with Hematoxylin. Heat mediated antigen retrieval with Tris-EDTA buffer (pH 9.0, epitope retrieval solution2) for 20 mins

Secondary antibody only control : Used PBS instead of primary antibody, secondary antibody is a ready to use Rabbit specific IHC polymer detection kit HRP/DAB (ab209101).

Immunohistochemistry (Formalin/PFA-fixed paraffin-embedded sections) - Anti-beta Catenin antibody [E247] - ChIP Grade (AB32572)
  • IHC-P

Unknown

Immunohistochemistry (Formalin/PFA-fixed paraffin-embedded sections) - Anti-beta Catenin antibody [E247] - ChIP Grade (AB32572)

Immunohistochemical analysis of paraffin-embedded mouse pancreas tissue labeling beta Catenin with ab32572 at 1/1000 dilution, followed by a ready to use Rabbit specific IHC polymer detection kit HRP/DAB (ab209101). Membranous staining on mouse pancreas. The section was incubated with ab32572 for 30 mins at room temperature. The immunostaining was performed on a Leica Biosystems BOND® RX instrument. Counterstained with Hematoxylin. Heat mediated antigen retrieval with Tris-EDTA buffer (pH 9.0, epitope retrieval solution2) for 20 mins

Secondary antibody only control : Used PBS instead of primary antibody, secondary antibody is a ready to use Rabbit specific IHC polymer detection kit HRP/DAB (ab209101).

Immunohistochemistry (Formalin/PFA-fixed paraffin-embedded sections) - Anti-beta Catenin antibody [E247] - ChIP Grade (AB32572)
  • IHC-P

Unknown

Immunohistochemistry (Formalin/PFA-fixed paraffin-embedded sections) - Anti-beta Catenin antibody [E247] - ChIP Grade (AB32572)

Immunohistochemical analysis of paraffin-embedded mouse liver tissue labeling beta Catenin with ab32572 at 1/1000 dilution, followed by a ready to use Rabbit specific IHC polymer detection kit HRP/DAB (ab209101). Membranous staining on mouse liver. The section was incubated with ab32572 for 30 mins at room temperature. The immunostaining was performed on a Leica Biosystems BOND® RX instrument. Counterstained with Hematoxylin. Heat mediated antigen retrieval with Tris-EDTA buffer (pH 9.0, epitope retrieval solution2) for 20 mins

Secondary antibody only control : Used PBS instead of primary antibody, secondary antibody is a ready to use Rabbit specific IHC polymer detection kit HRP/DAB (ab209101).

Immunoprecipitation - Anti-beta Catenin antibody [E247] - ChIP Grade (AB32572)
  • IP

Unknown

Immunoprecipitation - Anti-beta Catenin antibody [E247] - ChIP Grade (AB32572)

beta Catenin was immunoprecipitated from 0.35 mg mouse brain lysate with ab32572 at 1/30 dilution (2μg in 0.35mg lysates). Western blot was performed on the immunoprecipitate using ab32572 1/1000 dilution (1.962 μg/ml). VeriBlot for IP Detection Reagent (HRP) (ab131366) was used as the secondary antibody at 1/1000 dilution.

Lane 1 : Mouse brain tissue lysate 10 μg

Lane 2 : Mouse brain tissue lysate

Lane 3 : Rabbit monoclonal IgG (ab172730) instead of ab32572 in mouse brain lysate.

Blocking and dilution buffer and concentration : 5% NFDM/TBST.

Exposure time : 1 seconds

All lanes:

Immunoprecipitation - Anti-beta Catenin antibody [E247] - ChIP Grade (ab32572)

Predicted band size: 85 kDa

false

Western blot - Anti-beta Catenin antibody [E247] - ChIP Grade (AB32572)
  • WB

Lab

Western blot - Anti-beta Catenin antibody [E247] - ChIP Grade (AB32572)

Lanes 1 - 4 : Merged signal (red and green). Green - ab32572 observed at 90 kDa. Red - loading control, ab8245, observed at 37 kDa.

ab32572 was shown to specifically react with CTNNB1 (β-catenin) in wild type HAP1 cells. No band was observed when CTNNB1 (β-catenin) knockout samples were used. Wild-type and CTNNB1 (β-catenin) knockout samples were subjected to SDS-PAGE. ab32572 and ab8245 (Mouse anti-GAPDH loading control) were incubated overnight at 4°C at a 1/5000 dilution and 1/10000 dilution respectively. Blots were developed with Goat anti-Rabbit IgG H&L (IRDye® 800CW) preadsorbed (ab216773) and Goat anti-Mouse IgG H&L (IRDye® 680RD) preadsorbed (ab216776) secondary antibodies at 1/20000 dilution for 1 hour at room temperature before imaging.

All lanes:

Western blot - Anti-beta Catenin antibody [E247] - ChIP Grade (ab32572) at 1/5000 dilution

Lane 1:

Wild-type HAP1 whole cell lysate at 20 µg

Lane 2:

CTNNB1 (β-catenin) knockout HAP1 whole cell lysate at 20 µg

Lane 3:

HeLa whole cell lysate at 20 µg

Lane 4:

A431 whole cell lysate at 20 µg

Secondary

All lanes:

Western blot - Goat anti-Rabbit IgG H&L (IRDye® 800CW) preadsorbed (<a href='/products/secondary-antibodies/goat-rabbit-igg-h-l-irdye-800cw-preadsorbed-ab216773'>ab216773</a>) at 1/5000 dilution

Predicted band size: 85 kDa

false

Western blot - Anti-beta Catenin antibody [E247] - ChIP Grade (AB32572)
  • WB

Lab

Western blot - Anti-beta Catenin antibody [E247] - ChIP Grade (AB32572)

False colour image of Western blot : Anti-beta Catenin antibody [E247] - ChIP Grade staining at 1/5000 dilution, shown in green; Mouse anti-GAPDH antibody [6C5] (ab8245) loading control staining at 1/20000 dilution, shown in red. In Western blot, ab32572 was shown to bind specifically to beta Catenin. A band was observed at 95 kDa in wild-type HCT 116 cell lysates with no signal observed at this size in CTNNB1 CRISPR-Cas9 edited cell line ab273712 (CRISPR-Cas9 edited cell lysate ab275247). The band observed in the CRISPR-Cas9 edited lysate lane below 95 kDa is likely to represent a truncated form of beta Catenin. This has not been investigated further and the functional properties of the gene product have not been determined. To generate this image, wild-type and CTNNB1 CRISPR-Cas9 edited HCT 116 cell lysates were analysed. First, samples were run on an SDS-PAGE gel then transferred onto a nitrocellulose membrane. Membranes were blocked in 5 % milk in TBS-0.1 % Tween® 20 (TBS-T) before incubation with primary antibodies overnight at 4 °C. Blots were washed four times in TBS-T, incubated with secondary antibodies for 1 h at room temperature, washed again four times then imaged. Secondary antibodies used were Goat anti-Rabbit IgG H&L (IRDye® 800CW) preabsorbed (ab216773) and Goat anti-Mouse IgG H&L (IRDye® 680RD) preabsorbed (ab216776) at 1/20000 dilution.

All lanes:

Western blot - Anti-beta Catenin antibody [E247] - ChIP Grade (ab32572) at 1/5000 dilution

Lane 1:

Wild-type HCT 116 cell lysate at 20 µg

Lane 2:

CTNNB1 CRISPR-Cas9 edited HCT 116 cell lysate at 20 µg

Lane 2:

Western blot - Human CTNNB1 knockout HCT116 cell line (<a href='/products/cell-lines/human-ctnnb1-knockout-hct116-cell-line-ab273712'>ab273712</a>)

Predicted band size: 85 kDa

Observed band size: 95 kDa

false

Western blot - Anti-beta Catenin antibody [E247] - ChIP Grade (AB32572)
  • WB

AbReview8721****

Western blot - Anti-beta Catenin antibody [E247] - ChIP Grade (AB32572)

Western blot image of ab32572 staining whole cell lysate of U-2 OS (Human bone osteosarcoma epithelial cell line) cells. The gel was blocked with 5% milk for 1 hour at 21°C. The primary antibody was diluted 1/5000 and incubated for 12 hours at 4°C. An HRP conjugated swine anti-rabbit antibody was used as the secondary.

All lanes:

Western blot - Anti-beta Catenin antibody [E247] - ChIP Grade (ab32572) at 1/5000 dilution

All lanes:

U-2 OS (Human bone osteosarcoma epithelial cell line) whole cell lysate

Predicted band size: 85 kDa

Observed band size: 90 kDa

false

This image is courtesy of an anonymous Abreview

Western blot - Anti-beta Catenin antibody [E247] - ChIP Grade (AB32572)
  • WB

Supplier Data

Western blot - Anti-beta Catenin antibody [E247] - ChIP Grade (AB32572)

False colour image of Western blot : Anti-beta Catenin antibody [E247] - ChIP Grade staining at 1/5000 dilution, shown in green; Mouse anti-Alpha Tubulin [DM1A] (ab7291) loading control staining at 1/20000 dilution, shown in red. In Western blot, ab32572 was shown to bind specifically to beta Catenin. A band was observed at 85/90 kDa in wild-type MCF7 cell lysates with no signal observed at this size in CTNNB1 knockout cell line ab286762. To generate this image, wild-type and CTNNB1 knockout MCF7 cell lysates were analysed. First, samples were run on an SDS-PAGE gel then transferred onto a nitrocellulose membrane. Membranes were blocked in 3 % milk in TBS-0.1 % Tween® 20 (TBS-T) before incubation with primary antibodies overnight at 4 °C. Blots were washed four times in TBS-T, incubated with secondary antibodies for 1 h at room temperature, washed again four times then imaged. Secondary antibodies used were Goat anti-Rabbit IgG H&L 800CW and Goat anti-Mouse IgG H&L 680RD at 1/20000 dilution.

All lanes:

Western blot - Anti-beta Catenin antibody [E247] - ChIP Grade (ab32572) at 1/5000 dilution

Lane 1:

Wild-type MCF7 cell lysate at 20 µg

Lane 2:

CTNNB1 knockout MCF7 cell lysate, at 20 µg

Lane 3:

HeLa cell lysate at 20 µg

Secondary

All lanes:

Goat anti-Rabbit IgG H&L 800CW and Goat anti-Mouse IgG H&L 680RD at 1/20000 dilution

Predicted band size: 85 kDa

Observed band size: 85/90 kDa

false

Western blot - Anti-beta Catenin antibody [E247] - ChIP Grade (AB32572)
  • WB

Supplier Data

Western blot - Anti-beta Catenin antibody [E247] - ChIP Grade (AB32572)

The expression profile/ molecular weight observed is consistent with what has been described in the literature (PMID : 30806153).

In Western blot, Anti-GAPDH antibody [EPR16891] - Loading Control (ab181602) staining at 1/200000 dilution.

In Western blot, Anti-beta Catenin antibody - Total protein control (ab32572) staining at 1/1000 dilution.

Blocking and diluting buffer and concentration : 5% NFDM/TBST.

All lanes:

Western blot - Anti-beta Catenin (phospho S675) antibody [EPR28410-45] (<a href='/products/primary-antibodies/beta-catenin-phospho-s675-antibody-epr28410-45-ab314450'>ab314450</a>) at 1/1000 dilution

Lane 1:

Untreated SK-N-MC (human brain epithelial cell) whole cell lysate (untreated membrane) at 40 µg

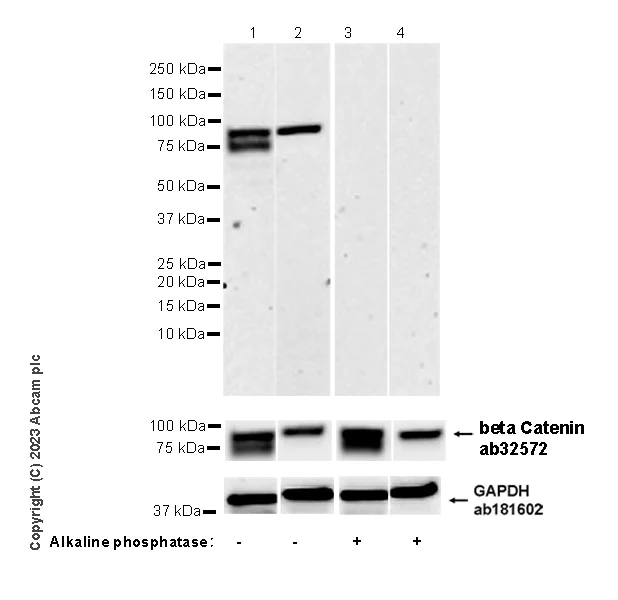
Lane 2:

SK-N-MC treated with 100 uM forskolin for 30 minutes whole cell lysate (untreated membrane) at 40 µg

Lane 3:

Untreated SK-N-MC (human brain epithelial cell) whole cell lysate (Alkaline phosphatase treated membrane) at 40 µg

Lane 4:

SK-N-MC treated with 100 uM forskolin for 30 minutes whole cell lysate (Alkaline phosphatase treated membrane) at 40 µg

Secondary

All lanes:

Western blot - Goat Anti-Rabbit IgG H&L (HRP) (<a href='/products/secondary-antibodies/goat-rabbit-igg-h-l-hrp-ab97051'>ab97051</a>) at 1/20000 dilution

Observed band size: 85 kDa,90 kDa,36 kDa

false

Exposure time: 180s

Western blot - Anti-beta Catenin antibody [E247] - ChIP Grade (AB32572)
  • WB

Supplier Data

Western blot - Anti-beta Catenin antibody [E247] - ChIP Grade (AB32572)

Blocking and diluting buffer and concentration : 5% NFDM/TBST.

The expression profile/ molecular weight observed is consistent with what has been described in the literature (PMID : 30806153).

In Western blot, Anti-GAPDH antibody [EPR16891] - Loading Control (ab181602) staining at 1/200000 dilution.

In Western blot, Anti-Catenin beta-1 antibody - Total protein control (ab32572) staining at 1/1000 dilution.

All lanes:

Western blot - Anti-beta Catenin (phospho S552) antibody [EPR28411-7] (<a href='/products/primary-antibodies/beta-catenin-phospho-s552-antibody-epr28411-7-ab314502'>ab314502</a>) at 1/1000 dilution

Lane 1:

SW480 (human colorectal adenocarcinoma epithelial cell) whole cell lysate (untreated membrane) at 20 µg

Lane 2:

SW480 whole cell lysate (Lambda phosphatase membrane) at 20 µg

Secondary

All lanes:

Western blot - Goat Anti-Rabbit IgG H&L (HRP) (<a href='/products/secondary-antibodies/goat-rabbit-igg-h-l-hrp-ab97051'>ab97051</a>) at 1/100000 dilution

Observed band size: 85 kDa,90 kDa,36 kDa

true

Exposure time: 136s

Western blot - Anti-beta Catenin antibody [E247] - ChIP Grade (AB32572)
  • WB

Supplier Data

Western blot - Anti-beta Catenin antibody [E247] - ChIP Grade (AB32572)

Blocking and diluting buffer and concentration : 5% NFDM/TBST.

The expression profile/ molecular weight observed is consistent with what has been described in the literature (PMID : 30806153).

In Western blot, Anti-GAPDH antibody [EPR16891] - Loading Control (ab181602) staining at 1/200000 dilution.

In Western blot, Anti-Catenin beta-1 antibody - Total protein control (ab32572) staining at 1/1000 dilution.

All lanes:

Western blot - Anti-beta Catenin (phospho S552) antibody [EPR28411-7] (<a href='/products/primary-antibodies/beta-catenin-phospho-s552-antibody-epr28411-7-ab314502'>ab314502</a>) at 1/1000 dilution

Lane 1:

Untreated SK-N-MC (human brain epithelial cell) whole cell lysate (untreated membrane) at 20 µg

Lane 2:

SK-N-MC treated with 100 uM forskolin for 30 minutes whole cell lysate (untreated membrane) at 20 µg

Lane 3:

SK-N-MC treated with 100 uM forskolin for 30 minutes whole cell lysate (Lambda phosphatase treated membrane) at 20 µg

Secondary

All lanes:

Western blot - Goat Anti-Rabbit IgG H&L (HRP) (<a href='/products/secondary-antibodies/goat-rabbit-igg-h-l-hrp-ab97051'>ab97051</a>) at 1/100000 dilution

Observed band size: 85 kDa,90 kDa,36 kDa

false

Exposure time: 15s

Western blot - Anti-beta Catenin antibody [E247] - ChIP Grade (AB32572)
  • WB

Supplier Data

Western blot - Anti-beta Catenin antibody [E247] - ChIP Grade (AB32572)

Blocking/Diluting buffer and concentration : 5% NFDM/TBST.

Exposure time : 180 seconds

All lanes:

Western blot - Anti-beta Catenin antibody [E247] - ChIP Grade (ab32572) at 1/10000 dilution

All lanes:

A431 (Human epidermoid carcinoma epithelial cell) whole cell lysates at 15 µg

Secondary

All lanes:

Western blot - Goat Anti-Rabbit IgG H&L (HRP) (<a href='/products/secondary-antibodies/goat-rabbit-igg-h-l-hrp-ab97051'>ab97051</a>) at 1/20000 dilution

Predicted band size: 85 kDa

Observed band size: 92 kDa

false

Western blot - Anti-beta Catenin antibody [E247] - ChIP Grade (AB32572)
  • WB

Lab

Western blot - Anti-beta Catenin antibody [E247] - ChIP Grade (AB32572)

False colour image of Western blot : Anti-beta Catenin antibody [E247] - ChIP Grade staining at 1/5000 dilution, shown in green; Mouse anti-GAPDH antibody [6C5] (ab8245) loading control staining at 1/20000 dilution, shown in red. In Western blot, ab32572 was shown to bind specifically to beta Catenin. A band was observed at 85 kDa in wild-type HepG2 cell lysates with no signal observed at this size in CTNNB1 knockout cell line (ab277911). To generate this image, wild-type and CTNNB1 knockout HepG2 cell lysates were analysed. First, samples were run on an SDS-PAGE gel then transferred onto a nitrocellulose membrane. Membranes were blocked in 3% milk in TBS-0.1 % Tween® 20 (TBS-T) before incubation with primary antibodies overnight at 4°C. Blots were washed four times in TBS-T, incubated with secondary antibodies for 1 h at room temperature, washed again four times then imaged. Secondary antibodies used were Goat anti-Rabbit IgG H&L (IRDye® 800CW) preabsorbed (ab216773) and Goat anti-Mouse IgG H&L (IRDye® 680RD) preabsorbed (ab216776) at 1/20000 dilution.

All lanes:

Western blot - Anti-beta Catenin antibody [E247] - ChIP Grade (ab32572) at 1/5000 dilution

Lane 1:

Wild-type HepG2 cell lysate at 20 µg

Lane 2:

CTNNB1 knockout HepG2 cell lysate at 20 µg

Lane 2:

Western blot - Human CTNNB1 (beta Catenin) knockout Hep G2 cell line (<a href='/products/cell-lines/human-ctnnb1-beta-catenin-knockout-hep-g2-cell-line-ab277911'>ab277911</a>)

Lane 3:

HeLa cell lysate at 20 µg

Lane 4:

A431 cell lysate at 20 µg

Predicted band size: 85 kDa

Observed band size: 85 kDa

false

Western blot - Anti-beta Catenin antibody [E247] - ChIP Grade (AB32572)
  • WB

Lab

Western blot - Anti-beta Catenin antibody [E247] - ChIP Grade (AB32572)

Different batches of ab32572 were tested on A431 (Human epidermoid carcinoma epithelial cell) lysate at 2.0 µg/ml. 15 µg of lysate was loaded in each lane. Bands observed at 92 kDa.

All lanes:

Western blot - Anti-beta Catenin antibody [E247] - ChIP Grade (ab32572)

Predicted band size: 85 kDa

false

Western blot - Anti-beta Catenin antibody [E247] - ChIP Grade (AB32572)
  • WB

Lab

Western blot - Anti-beta Catenin antibody [E247] - ChIP Grade (AB32572)

False colour image of Western blot : Anti-beta Catenin antibody [E247] - ChIP Grade staining at 1/5000 dilution, shown in green; Mouse anti-GAPDH antibody [6C5] (ab8245) loading control staining at 1/20000 dilution, shown in red. In Western blot, ab32572 was shown to bind specifically to beta Catenin. A band was observed at 95 kDa in wild-type HCT 116 cell lysates with no signal observed at this size in CTNNB1 knockout cell line ab273712 (knockout cell lysate ab275247). The band observed in the knockout lysate lane below 95 kDa is likely to represent a truncated form of beta Catenin. This has not been investigated further and the functional properties of the gene product have not been determined. To generate this image, wild-type and CTNNB1 knockout HCT 116 cell lysates were analysed.First, samples were run on an SDS-PAGE gel then transferred onto a nitrocellulose membrane. Membranes were blocked in 5 % milk in TBS-0.1 % Tween® 20 (TBS-T) before incubation with primary antibodies overnight at 4 °C. Blots were washed four times in TBS-T, incubated with secondary antibodies for 1 h at room temperature, washed again four times then imaged. Secondary antibodies used were Goat anti-Rabbit IgG H&L (IRDye® 800CW) preabsorbed (ab216773) and Goat anti-Mouse IgG H&L (IRDye® 680RD) preabsorbed (ab216776) at 1/20000 dilution.

All lanes:

Western blot - Anti-beta Catenin antibody [E247] - ChIP Grade (ab32572) at 1/5000 dilution

Lane 1:

Wild-type HCT 116 cell lysate at 20 µg

Lane 2:

CTNNB1 knockout HCT 116 cell lysate at 20 µg

Predicted band size: 85 kDa

Observed band size: 95 kDa

false

Western blot - Anti-beta Catenin antibody [E247] - ChIP Grade (AB32572)
  • WB

Lab

Western blot - Anti-beta Catenin antibody [E247] - ChIP Grade (AB32572)

Lanes 1- 2 : Merged signal (red and green). Green - ab32572 observed at 86 kDa. Red - Anti-GAPDH antibody [6C5] - Loading Control (ab8245) observed at 37 kDa.

ab32572 was shown to react with beta Catenin in wild-type HeLa cells in western blot. Loss of signal was observed when knockout cell line ab255352 (knockout cell lysate ab263756) was used. Wild-type HeLa and CTNNB1 knockout HeLa cell lysates were subjected to SDS-PAGE. Membrane was blocked for 1 hour at room temperature in 0.1% TBST with 3% non-fat dried milk. ab32572 and Anti-GAPDH antibody [6C5] - Loading Control (ab8245) overnight at 4°C at a 1 in 500 dilution and a 1 in 20000 dilution respectively. Blots were developed with Goat anti-Rabbit IgG H&L (IRDye®800CW) preadsorbed (ab216773) and Goat anti-Mouse IgG H&L (IRDye®680RD) preadsorbed (ab216776) secondary antibodies at 1 in 20000 dilution for 1 hour at room temperature before imaging.

All lanes:

Western blot - Anti-beta Catenin antibody [E247] - ChIP Grade (ab32572) at 1/500 dilution

Lane 1:

Wild-type HeLa cell lysate at 20 µg

Lane 2:

CTNNB1 knockout HeLa cell lysate at 20 µg

Lane 2:

Western blot - Human CTNNB1 (beta Catenin) knockout HeLa cell line (<a href='/products/cell-lines/human-ctnnb1-beta-catenin-knockout-hela-cell-line-ab255352'>ab255352</a>)

Predicted band size: 85 kDa

Observed band size: 86 kDa

false

ChIC/CUT&RUN sequencing - Anti-beta Catenin antibody [E247] - ChIP Grade (AB32572)
  • ChIC/CUT&RUN-seq

Supplier Data

ChIC/CUT&RUN sequencing - Anti-beta Catenin antibody [E247] - ChIP Grade (AB32572)

CUT&RUN profiling with B-Catenin antibody demonstrates robust genome-wide enrichment in cells. Heatmaps of genome-wide signal flanking annotated transcription start sites (TSSs, +/- 2 kbp) display CUT&RUN data generated using the CUTANA™ CUT&RUN Kit (EpiCypher 14-1048) with B-Catenin antibody (Abcam ab32572, 0.5 µg). 500,000 HeLa cells were used per reaction. IgG antibody was included as a negative control to assess non-specific background. Libraries were prepared using the CUTANA™ CUT&RUN Library Prep Kit (EpiCypher 14-1001). Sequencing was performed with paired-end 50 bp reads, and data were processed on CUTANA™ Cloud (cloud.epicypher.com) by alignment to the hg38 genome. Heatmaps were generated using ChAsE (Younesy et al., Bioinformatics 2016; PMID 27378294). Row-linked data are ranked by intensity relative to B-Catenin, with red indicating high localized enrichment and blue denoting background.

ChIC/CUT&RUN sequencing - Anti-beta Catenin antibody [E247] - ChIP Grade (AB32572)
  • ChIC/CUT&RUN-seq

Supplier Data

ChIC/CUT&RUN sequencing - Anti-beta Catenin antibody [E247] - ChIP Grade (AB32572)

CUT&RUN profiling with B-Catenin antibody reveals the expected genomic enrichment pattern in cells. Representative genome browser tracks show CUT&RUN data generated using the CUTANA™ CUT&RUN Kit (EpiCypher 14-1048) with B-Catenin antibody (Abcam ab32572, 0.5 µg). 500,000 HeLa cells were used per reaction. IgG, H3K4me3, and H3K27me3 antibodies were included as controls to assess non-specific background, active promoters, and repressed chromatin, respectively. Libraries were prepared using the CUTANA™ CUT&RUN Library Prep Kit (EpiCypher 14-1001). Sequencing was performed with paired-end 50 bp reads, and data were processed on CUTANA™ Cloud (cloud.epicypher.com) by alignment to the hg38 genome. Images were generated using Integrative Genomics Viewer (IGV, Broad Institute).

Western blot - Anti-beta Catenin antibody [E247] - ChIP Grade (AB32572)
  • WB

AbReview53307****

Western blot - Anti-beta Catenin antibody [E247] - ChIP Grade (AB32572)

Rat Pericyte cells.

Blocking and dilution buffer and concentration : 5% Milk. Blocking time 1 hour and temperature at 22°C

Exposure time : 10 seconds

All lanes:

Western blot - Anti-beta Catenin antibody [E247] - ChIP Grade (ab32572) at 1/1000 dilution

All lanes:

Rat Pericytes whole cell lysate

Predicted band size: 85 kDa

false

Western blot - Anti-beta Catenin antibody [E247] - ChIP Grade (AB32572)
  • WB

AbReview50343****

Western blot - Anti-beta Catenin antibody [E247] - ChIP Grade (AB32572)

Brain (Mouse).

Blocking with 5% milk. The blocking time os 1 hour at 22°C.

Detected by ECL. Exposure time : 5 seconds.

All lanes:

Western blot - Anti-beta Catenin antibody [E247] - ChIP Grade (ab32572) at 1/1000 dilution

All lanes:

Brain (mouse) whole tissue lysate at 20 µg

Predicted band size: 85 kDa

false

Western blot - Anti-beta Catenin antibody [E247] - ChIP Grade (AB32572)
  • WB

Supplier Data

Western blot - Anti-beta Catenin antibody [E247] - ChIP Grade (AB32572)

In Western blot, Anti-GAPDH antibody [EPR16891] - Loading Control (ab181602) staining at 1/200000 dilution.

In Western blot, Anti-beta Catenin antibody - Total protein control (ab32572) staining at 1/1000 dilution.

Blocking and diluting buffer and concentration : 5% NFDM/TBST.

All lanes:

Western blot - Anti-beta Catenin (phospho S675) antibody [EPR28410-45] (<a href='/products/primary-antibodies/beta-catenin-phospho-s675-antibody-epr28410-45-ab314450'>ab314450</a>) at 1/1000 dilution

Lane 1:

Mouse colon tissue lysate (untreated membrane) at 20 µg

Lane 2:

Rat liver tissue lysate (untreated membrane) at 20 µg

Lane 3:

Mouse colon tissue lysate (Alkaline phosphatase treated membrane) at 20 µg

Lane 4:

Rat liver tissue lysate (Alkaline phosphatase treated membrane) at 20 µg

Secondary

All lanes:

Western blot - Goat Anti-Rabbit IgG H&L (HRP) (<a href='/products/secondary-antibodies/goat-rabbit-igg-h-l-hrp-ab97051'>ab97051</a>) at 1/100000 dilution

Observed band size: 85 kDa,90 kDa,36 kDa

false

Exposure time: 180s

Western blot - Anti-beta Catenin antibody [E247] - ChIP Grade (AB32572)
  • WB

Supplier Data

Western blot - Anti-beta Catenin antibody [E247] - ChIP Grade (AB32572)

Blocking and diluting buffer and concentration : 5% NFDM/TBST.

The expression profile/ molecular weight observed is consistent with what has been described in the literature (PMID : 30806153).

In Western blot, Anti-GAPDH antibody [EPR16891] - Loading Control (ab181602) staining at 1/200000 dilution.

In Western blot, Anti-Catenin beta-1 antibody - Total protein control (ab32572) staining at 1/1000 dilution.

All lanes:

Western blot - Anti-beta Catenin (phospho S552) antibody [EPR28411-7] (<a href='/products/primary-antibodies/beta-catenin-phospho-s552-antibody-epr28411-7-ab314502'>ab314502</a>) at 1/1000 dilution

Lane 1:

NIH/3T3 (mouse embryonic fibroblast) starved for 24 hours whole cell lysate (untreated membrane) at 20 µg

Lane 2:

NIH/3T3 starved for 24 hours, then treated with 100 uM forskolin for 20 minutes whole cell lysate (untreated membrane) at 20 µg

Lane 3:

NIH/3T3 starved for 24 hours, then treated with 100 uM forskolin for 20 minutes whole cell lysate (Lambda phosphatase treated membrane) at 20 µg

Secondary

All lanes:

Western blot - Goat Anti-Rabbit IgG H&L (HRP) (<a href='/products/secondary-antibodies/goat-rabbit-igg-h-l-hrp-ab97051'>ab97051</a>) at 1/100000 dilution

Observed band size: 85 kDa,90 kDa,36 kDa

false

Exposure time: 103s

Immunohistochemistry (Formalin/PFA-fixed paraffin-embedded sections) - Anti-beta Catenin antibody [E247] - ChIP Grade (AB32572)
  • IHC-P

Supplier Data

Immunohistochemistry (Formalin/PFA-fixed paraffin-embedded sections) - Anti-beta Catenin antibody [E247] - ChIP Grade (AB32572)

Tissue Microarrays stained for Anti-beta Catenin antibody [E247] - ChIP Grade using ab32572 in immunohistochemical analysis. This table provides a detailed overview of positive (tick mark) and negaive (cross mark) staining per sample type tested. The section was incubated with ab32572 for 30 mins at room temperature followed by a ready to use Rabbit specific IHC polymer detection kit HRP/DAB (ab209101). The immunostaining was performed on a Leica Biosystems BOND® RX instrument. Heat mediated antigen retrieval was performed with Tris-EDTA buffer (pH 9.0, Epitope Retrieval Solution2) for 20 mins.

Western blot - Anti-beta Catenin antibody [E247] - ChIP Grade (AB32572)
  • WB

PubMed

Western blot - Anti-beta Catenin antibody [E247] - ChIP Grade (AB32572)

WB analysis of total cell extracts from WT and gene disrupted cells using ab32572 at a 1/5000 dilution together with anti actin antibody. The position and full length β-catenin, truncated β-catenin and actin bands are indicated. For wild type cells 5 μg of TP and for the gene disrupted clones 30 μg of TP was applied for each lane.

Cells were lysed in RIPA buffer containing protease inhibitor and phosphatase inhibitor tablets. Cell lysates were cleared by centrifugation and protein concentration 5–30 μg of total protein in SDS sample buffer was loaded per lane and separated.

Secondary antibody was a donkey anti-rabbit IgG-HRP used at a 1∶5000 dilution.

All lanes:

Western blot - Anti-beta Catenin antibody [E247] - ChIP Grade (ab32572)

Predicted band size: 85 kDa

true

Olsen et al PLoS One. 2014 Dec 23;9(12):e115496. doi: 10.1371/journal.pone.0115496. eCollection 2014. Fig 3. Reproduced under the Creative Commons license http://creativecommons.org/licenses/by/4.0/

不同偶联物与剂型 (6)

关键信息

宿主种属

Rabbit

克隆

Monoclonal

克隆号

E247

亚型

IgG

不含载体蛋白

No

反应种属

Mouse, Rat, Human

应用

mIHC, IHC-P, IP, ChIC/CUT&RUN-seq, ChIP, WB, ICC/IF

applications

免疫原

The exact immunogen used to generate this antibody is proprietary information.

特异性

This antibody is not suitable for ICC testing in mouse and rat species.

Our inhouse testing indicated that this antibody does not work in Raw264.7 cell line in western blot. We have an alternative antibody ab68183 detecting weak band in lower expressor Raw264.7.

反应性数据

{ "title": "Reactivity Data", "filters": { "stats": ["", "Species", "Dilution Info", "Notes"], "tabs": { "all-applications": {"fullname" : "All Applications", "shortname": "All Applications"}, "ChICCUTRUNseq" : {"fullname" : "ChIC/CUT&RUN sequencing", "shortname":"ChIC/CUT&RUN-seq"}, "mIHC" : {"fullname" : "Multiplex immunohistochemistry", "shortname":"mIHC"}, "IHCP" : {"fullname" : "Immunohistochemistry (Formalin/PFA-fixed paraffin-embedded sections)", "shortname":"IHC-P"}, "IP" : {"fullname" : "Immunoprecipitation", "shortname":"IP"}, "ChIP" : {"fullname" : "ChIP", "shortname":"ChIP"}, "FlowCyt" : {"fullname" : "Flow Cytometry", "shortname":"Flow Cyt"}, "WB" : {"fullname" : "Western blot", "shortname":"WB"}, "ICCIF" : {"fullname" : "Immunocytochemistry/ Immunofluorescence", "shortname":"ICC/IF"} }, "product-promise": { "all": "all", "testedAndGuaranteed": "tested", "guaranteed": "expected", "predicted": "predicted", "notRecommended": "not-recommended" } }, "values": { "Human": { "ChICCUTRUNseq-species-checked": "testedAndGuaranteed", "ChICCUTRUNseq-species-dilution-info": "", "ChICCUTRUNseq-species-notes": "<p></p>", "mIHC-species-checked": "guaranteed", "mIHC-species-dilution-info": "", "mIHC-species-notes": "", "IHCP-species-checked": "testedAndGuaranteed", "IHCP-species-dilution-info": "1/500", "IHCP-species-notes": "<p></p> Perform heat-mediated antigen retrieval with citrate buffer pH 6 before commencing with IHC staining protocol.", "IP-species-checked": "testedAndGuaranteed", "IP-species-dilution-info": "1/30", "IP-species-notes": "<p></p>", "ChIP-species-checked": "testedAndGuaranteed", "ChIP-species-dilution-info": "", "ChIP-species-notes": "<p></p>", "FlowCyt-species-checked": "notRecommended", "FlowCyt-species-dilution-info": "", "FlowCyt-species-notes": "<p></p>", "WB-species-checked": "testedAndGuaranteed", "WB-species-dilution-info": "1/5000 - 1/10000", "WB-species-notes": "<p>We recommend Goat anti-Rabbit IgG H&amp;L (IRDye<sup>®</sup> 800CW) preadsorbed (<a href='/products/secondary-antibodies/goat-rabbit-igg-h-l-irdye-800cw-preadsorbed-ab216773'>ab216773</a>).</p>", "ICCIF-species-checked": "testedAndGuaranteed", "ICCIF-species-dilution-info": "1/250", "ICCIF-species-notes": "<p>We recommend Goat Anti-Rabbit IgG H&amp;L (Alexa Fluor<sup>®</sup> 488) preadsorbed (<a href='/products/secondary-antibodies/goat-rabbit-igg-h-l-alexa-fluor-488-preadsorbed-ab150081'>ab150081</a>) secondary antibody.</p>" }, "Mouse": { "ChICCUTRUNseq-species-checked": "guaranteed", "ChICCUTRUNseq-species-dilution-info": "", "ChICCUTRUNseq-species-notes": "", "mIHC-species-checked": "testedAndGuaranteed", "mIHC-species-dilution-info": "1/250", "mIHC-species-notes": "<p></p>", "IHCP-species-checked": "testedAndGuaranteed", "IHCP-species-dilution-info": "1/500", "IHCP-species-notes": "<p></p> Perform heat-mediated antigen retrieval with citrate buffer pH 6 before commencing with IHC staining protocol.", "IP-species-checked": "testedAndGuaranteed", "IP-species-dilution-info": "1/30", "IP-species-notes": "<p></p>", "ChIP-species-checked": "guaranteed", "ChIP-species-dilution-info": "", "ChIP-species-notes": "", "FlowCyt-species-checked": "notRecommended", "FlowCyt-species-dilution-info": "", "FlowCyt-species-notes": "<p></p>", "WB-species-checked": "guaranteed", "WB-species-dilution-info": "", "WB-species-notes": "", "ICCIF-species-checked": "notRecommended", "ICCIF-species-dilution-info": "1/250", "ICCIF-species-notes": "<p>We recommend Goat Anti-Rabbit IgG H&amp;L (Alexa Fluor<sup>®</sup> 488) preadsorbed (<a href='/products/secondary-antibodies/goat-rabbit-igg-h-l-alexa-fluor-488-preadsorbed-ab150081'>ab150081</a>) secondary antibody.</p>" }, "Rat": { "ChICCUTRUNseq-species-checked": "guaranteed", "ChICCUTRUNseq-species-dilution-info": "", "ChICCUTRUNseq-species-notes": "", "mIHC-species-checked": "testedAndGuaranteed", "mIHC-species-dilution-info": "1/250", "mIHC-species-notes": "<p></p>", "IHCP-species-checked": "testedAndGuaranteed", "IHCP-species-dilution-info": "1/500", "IHCP-species-notes": "<p></p> Perform heat-mediated antigen retrieval with citrate buffer pH 6 before commencing with IHC staining protocol.", "IP-species-checked": "guaranteed", "IP-species-dilution-info": "", "IP-species-notes": "", "ChIP-species-checked": "guaranteed", "ChIP-species-dilution-info": "", "ChIP-species-notes": "", "FlowCyt-species-checked": "notRecommended", "FlowCyt-species-dilution-info": "", "FlowCyt-species-notes": "<p></p>", "WB-species-checked": "guaranteed", "WB-species-dilution-info": "", "WB-species-notes": "", "ICCIF-species-checked": "notRecommended", "ICCIF-species-dilution-info": "1/250", "ICCIF-species-notes": "<p>We recommend Goat Anti-Rabbit IgG H&amp;L (Alexa Fluor<sup>®</sup> 488) preadsorbed (<a href='/products/secondary-antibodies/goat-rabbit-igg-h-l-alexa-fluor-488-preadsorbed-ab150081'>ab150081</a>) secondary antibody.</p>" }, "African green monkey": { "ChICCUTRUNseq-species-checked": "predicted", "ChICCUTRUNseq-species-dilution-info": "", "ChICCUTRUNseq-species-notes": "", "mIHC-species-checked": "predicted", "mIHC-species-dilution-info": "", "mIHC-species-notes": "", "IHCP-species-checked": "predicted", "IHCP-species-dilution-info": "", "IHCP-species-notes": "", "IP-species-checked": "predicted", "IP-species-dilution-info": "", "IP-species-notes": "", "ChIP-species-checked": "predicted", "ChIP-species-dilution-info": "", "ChIP-species-notes": "", "FlowCyt-species-checked": "notRecommended", "FlowCyt-species-dilution-info": "", "FlowCyt-species-notes": "", "WB-species-checked": "predicted", "WB-species-dilution-info": "", "WB-species-notes": "", "ICCIF-species-checked": "notRecommended", "ICCIF-species-dilution-info": "", "ICCIF-species-notes": "" }, "Cow": { "ChICCUTRUNseq-species-checked": "predicted", "ChICCUTRUNseq-species-dilution-info": "", "ChICCUTRUNseq-species-notes": "", "mIHC-species-checked": "predicted", "mIHC-species-dilution-info": "", "mIHC-species-notes": "", "IHCP-species-checked": "predicted", "IHCP-species-dilution-info": "", "IHCP-species-notes": "", "IP-species-checked": "predicted", "IP-species-dilution-info": "", "IP-species-notes": "", "ChIP-species-checked": "predicted", "ChIP-species-dilution-info": "", "ChIP-species-notes": "", "FlowCyt-species-checked": "notRecommended", "FlowCyt-species-dilution-info": "", "FlowCyt-species-notes": "", "WB-species-checked": "predicted", "WB-species-dilution-info": "", "WB-species-notes": "", "ICCIF-species-checked": "notRecommended", "ICCIF-species-dilution-info": "", "ICCIF-species-notes": "" }, "Hamster": { "ChICCUTRUNseq-species-checked": "predicted", "ChICCUTRUNseq-species-dilution-info": "", "ChICCUTRUNseq-species-notes": "", "mIHC-species-checked": "predicted", "mIHC-species-dilution-info": "", "mIHC-species-notes": "", "IHCP-species-checked": "predicted", "IHCP-species-dilution-info": "", "IHCP-species-notes": "", "IP-species-checked": "predicted", "IP-species-dilution-info": "", "IP-species-notes": "", "ChIP-species-checked": "predicted", "ChIP-species-dilution-info": "", "ChIP-species-notes": "", "FlowCyt-species-checked": "notRecommended", "FlowCyt-species-dilution-info": "", "FlowCyt-species-notes": "", "WB-species-checked": "predicted", "WB-species-dilution-info": "", "WB-species-notes": "", "ICCIF-species-checked": "notRecommended", "ICCIF-species-dilution-info": "", "ICCIF-species-notes": "" }, "Macaque monkey": { "ChICCUTRUNseq-species-checked": "predicted", "ChICCUTRUNseq-species-dilution-info": "", "ChICCUTRUNseq-species-notes": "", "mIHC-species-checked": "predicted", "mIHC-species-dilution-info": "", "mIHC-species-notes": "", "IHCP-species-checked": "predicted", "IHCP-species-dilution-info": "", "IHCP-species-notes": "", "IP-species-checked": "predicted", "IP-species-dilution-info": "", "IP-species-notes": "", "ChIP-species-checked": "predicted", "ChIP-species-dilution-info": "", "ChIP-species-notes": "", "FlowCyt-species-checked": "notRecommended", "FlowCyt-species-dilution-info": "", "FlowCyt-species-notes": "", "WB-species-checked": "predicted", "WB-species-dilution-info": "", "WB-species-notes": "", "ICCIF-species-checked": "notRecommended", "ICCIF-species-dilution-info": "", "ICCIF-species-notes": "" }, "Sheep": { "ChICCUTRUNseq-species-checked": "predicted", "ChICCUTRUNseq-species-dilution-info": "", "ChICCUTRUNseq-species-notes": "", "mIHC-species-checked": "predicted", "mIHC-species-dilution-info": "", "mIHC-species-notes": "", "IHCP-species-checked": "predicted", "IHCP-species-dilution-info": "", "IHCP-species-notes": "", "IP-species-checked": "predicted", "IP-species-dilution-info": "", "IP-species-notes": "", "ChIP-species-checked": "predicted", "ChIP-species-dilution-info": "", "ChIP-species-notes": "", "FlowCyt-species-checked": "notRecommended", "FlowCyt-species-dilution-info": "", "FlowCyt-species-notes": "", "WB-species-checked": "predicted", "WB-species-dilution-info": "", "WB-species-notes": "", "ICCIF-species-checked": "notRecommended", "ICCIF-species-dilution-info": "", "ICCIF-species-notes": "" } } }

产品详情

Anti-beta Catenin antibody [E247] - ChIP Grade (ab32572) was developed by Abcam using patented rabbit monoclonal antibody technology and is validated for use in ChIP, ICC/IF, IHC-P, IP and WB.

Anti-beta Catenin antibody [E247] - ChIP Grade (ab32572) was first used in a scientific publication in 1999 and has been cited over 1076 times in peer reviewed journals. It's performance in Western Blot in human, mouse and rat samples is trusted by the scientific community.

Abcam's high quality manufacturing and validation processes ensure Anti-beta Catenin antibody [E247] - ChIP Grade (ab32572) has high sensitivity and specificity alongside high lot-to-lot consistency and reproducibility.

The specificity of Anti-beta Catenin antibody [E247] - ChIP Grade (ab32572) has been confirmed by Western Blot testing in beta Catenin knockout HepG2 cells (ab277911).

Anti-beta Catenin antibody [E247] - ChIP Grade (ab32572) has 75 independent reviews from customers.

Anti-beta Catenin antibody [E247] - ChIP Grade (ab32572) specifically detects beta Catenin (UniProt ID: P35222; Molecular weight: 86kDa) and is sold in a convenient trial size to enable initial testing (20 µL) and larger sizes for subsequent scaling up experiments (100 µL and 1 mL).

Conjugation-ready, carrier free format available for antibody clone E247 - ab196204.

Antibody clone E247 is also available pre-conjugated to a variety of labels for your convenience - Alexa Fluor® 488, Alexa Fluor® 647, HRP, Alexa Fluor® 594, Alexa Fluor® 555 (ab194118, ab194119, ab194120, ab201771, ab202496).

Top cited antibody on the market with >1370 citations. E247 is top rated with >75 reviews. Beta-catenin plays a crucial role in cell adhesion and gene transcription and its dysregulation is linked to various cancers and diseases including, myocardial infarction, arrhythmias, cardiomyopathie and Alzheimers disease

Patented technology
Our RabMAb® technology is a patented hybridoma-based technology for making rabbit monoclonal antibodies. For details on our patents, please refer to RabMAb® patents.

What are the advantages of a recombinant monoclonal antibody?
This product is a recombinant monoclonal antibody, which offers several advantages including:

  • - High batch-to-batch consistency and reproducibility
  • - Improved sensitivity and specificity
  • - Long-term security of supply
  • - Animal-free batch production

For more information, read more on recombinant antibodies.

性能和储存信息

形式
Liquid
纯化工艺
Affinity purification Protein A
存储溶液
pH: 7.2 - 7.4 Preservative: 0.01% Sodium azide Constituents: PBS, 40% Glycerol (glycerin, glycerine), 0.05% BSA
运输条件
Blue Ice
推荐的短期储存时间
1-2 weeks
推荐的短期储存条件
+4°C
推荐的长期储存条件
-20°C
分装信息
Upon delivery aliquot
储存信息
Avoid freeze / thaw cycle

补充信息

This supplementary information is collated from multiple sources and compiled automatically.

Beta Catenin also known by names such as CTNNB1 or beta-chip is an important protein involved in cell signaling and adhesion. This protein has a molecular weight of around 88 kDa. Beta Catenin is expressed in many cell types and tissues indicating its widespread role in various biological processes. It functions mechanically by mediating the linkage between cadherins and the actin cytoskeleton facilitating cell-cell adhesion. Beta Catenin is also a central part of transcription regulation processes in the nucleus.
Biological function summary

This protein plays roles in both cell adhesion and the regulation of gene expression. Beta Catenin is a critical component of the Wnt signaling pathway where it can form complexes with other proteins to influence gene transcription. In the absence of Wnt signaling beta Catenin levels are low due to its degradation. However when the pathway is active it accumulates in the cytoplasm and eventually translocates to the nucleus where it interacts with TCF/LEF transcription factors to regulate the expression of target genes.

Pathways

Beta Catenin plays a central role in the Wnt signaling pathway and influences cell fate decisions and cellular proliferation. It acts in concert with proteins such as Dishevelled (DVL) and Axin to coordinate these important biological processes. In the absence of Wnt signaling proteins such as APC and GSK-3β are responsible for beta Catenin degradation keeping its cellular levels in check. Beta Catenin's interaction with transcription factors in the nucleus makes it pivotal in the regulation of cell and tissue homeostasis.

Beta Catenin has associations with colorectal cancer and hepatocellular carcinoma. Its dysregulation can lead to unchecked cell proliferation and tumorigenesis. Often mutations in the beta Catenin gene (CTNNB1) or components of the Wnt pathway like APC are implicated in the development of these cancers. Its interplay with E-cadherin is important for maintaining tissue architecture and disruptions can lead to invasive cancer phenotypes. Understanding beta Catenin's role provides insights into therapeutic strategies for these cancers.

产品实验方案

For this product, it's our understanding that no specific protocols are required. You can visit:

靶点信息

Key downstream component of the canonical Wnt signaling pathway (PubMed : 17524503, PubMed : 18077326, PubMed : 18086858, PubMed : 18957423, PubMed : 21262353, PubMed : 22155184, PubMed : 22647378, PubMed : 22699938). In the absence of Wnt, forms a complex with AXIN1, AXIN2, APC, CSNK1A1 and GSK3B that promotes phosphorylation on N-terminal Ser and Thr residues and ubiquitination of CTNNB1 via BTRC and its subsequent degradation by the proteasome (PubMed : 17524503, PubMed : 18077326, PubMed : 18086858, PubMed : 18957423, PubMed : 21262353, PubMed : 22155184, PubMed : 22647378, PubMed : 22699938). In the presence of Wnt ligand, CTNNB1 is not ubiquitinated and accumulates in the nucleus, where it acts as a coactivator for transcription factors of the TCF/LEF family, leading to activate Wnt responsive genes (PubMed : 17524503, PubMed : 18077326, PubMed : 18086858, PubMed : 18957423, PubMed : 21262353, PubMed : 22155184, PubMed : 22647378, PubMed : 22699938). Also acts as a coactivator for other transcription factors, such as NR5A2 (PubMed : 22187462). Promotes epithelial to mesenchymal transition/mesenchymal to epithelial transition (EMT/MET) via driving transcription of CTNNB1/TCF-target genes (PubMed : 29910125). Involved in the regulation of cell adhesion, as component of an E-cadherin : catenin adhesion complex (By similarity). Acts as a negative regulator of centrosome cohesion (PubMed : 18086858). Involved in the CDK2/PTPN6/CTNNB1/CEACAM1 pathway of insulin internalization (PubMed : 21262353). Blocks anoikis of malignant kidney and intestinal epithelial cells and promotes their anchorage-independent growth by down-regulating DAPK2 (PubMed : 18957423). Disrupts PML function and PML-NB formation by inhibiting RANBP2-mediated sumoylation of PML (PubMed : 22155184). Promotes neurogenesis by maintaining sympathetic neuroblasts within the cell cycle (By similarity). Involved in chondrocyte differentiation via interaction with SOX9 : SOX9-binding competes with the binding sites of TCF/LEF within CTNNB1, thereby inhibiting the Wnt signaling (By similarity). Acts as a positive regulator of odontoblast differentiation during mesenchymal tooth germ formation, via promoting the transcription of differentiation factors such as LEF1, BMP2 and BMP4 (By similarity). Activity is repressed in a MSX1-mediated manner at the bell stage of mesenchymal tooth germ formation which prevents premature differentiation of odontoblasts (By similarity).
See full target information CTNNB1

文献 (1431)

Recent publications for all applications. Explore the full list and refine your search

Renal failure 47:2561216 PubMed40976965

2025

Homozygous frameshift mutation linked to glomerulotubular nephropathy with impaired cell adhesion and Rap1 signaling.

Applications

Unspecified application

Species

Unspecified reactive species

Yang Fei,Zhouhui Jin,Li He,Meng Zhang,Qiong Jiao,Qiye Liu,Fujun Lin,Wei Wang,Niansong Wang,Aili Cao,Dongsheng Cheng

PloS one 20:e0332396 PubMed40966274

2025

Super-enhancer-associated LINC00963 promotes metastasis of gastric cancer through epithelial-mesenchymal transition.

Applications

Unspecified application

Species

Unspecified reactive species

Hong Du,Tingting Xiang,Ying Xia,Yong Jin,Fahua Deng,Wansong Xia,Hongyu Li,Shuqiang Cheng,Bingxue Lan,Sixi Wei,Cunfeng Song,Hai Huang

Frontiers in immunology 16:1662385 PubMed40948801

2025

Disrupting β-Catenin/BCL9 interaction with a peptide prodrug boosts immunotherapy in colorectal cancer.

Applications

Unspecified application

Species

Unspecified reactive species

Peili Wang,Xiao Shang,Jinmei Wang,Weiming You,Shoufei Qu,Yu Yao,Xiaoqiang Zheng

Frontiers in pharmacology 16:1655479 PubMed40910003

2025

CFTR ion transport deficiency primes the epithelium for partial epithelial-mesenchymal transition in cystic fibrosis.

Applications

Unspecified application

Species

Unspecified reactive species

Cláudia S Rodrigues,Matilde Canto,Raquel Torres,Violeta Railean,Sofia S Ramalho,Carlos M Farinha,Ines Pankonien,Margarida D Amaral

Cells 14: PubMed40862730

2025

A Single Subcutaneous Dose of BMD-1141 Stimulates Hair Regrowth Comparable to Daily, High-Dose Ruxolitinib in a Mouse Model of Alopecia Areata.

Applications

Unspecified application

Species

Unspecified reactive species

Robert Gensure,Brett King,Stephen Sikkink,Andrei Mardaryev,Robyn Goforth

Journal, genetic engineering & biotechnology 23:100550 PubMed40854668

2025

A simplified method for immunostaining single endometrial and liver organoids.

Applications

Unspecified application

Species

Unspecified reactive species

Islam M Saadeldin,Eman Alshehri,Maha AlThubyani,Falah Almohanna,Goran Matic,Hala A Ahmed,Tanveer Ahmad Mir,Abdullah M Assiri

Journal of cellular and molecular medicine 29:e70695 PubMed40839490

2025

Comparative Analysis of miRNA Expression 106a-5p and 375-3p and Proteins ERK1/2, p38, β-Catenin and E-Cadherin in Prostate Cancer and Benign Prostatic Hyperplasia.

Applications

Unspecified application

Species

Unspecified reactive species

Magdalena Smereczańska,Natalia Domian,Grzegorz Młynarczyk,Irena Kasacka

Scientific reports 15:29484 PubMed40796594

2025

Cardamonin inhibits the growth and stemness of osteosarcoma stem cells by inducing autophagy and inhibiting the Wnt/β-catenin signaling pathway.

Applications

Unspecified application

Species

Unspecified reactive species

Lulu Zhang,Yu Jin,Qiannan Ding,Yulei Li,Lixia Yang,Mengyun Li,Zuo Lv,Kaifang Wang,Maowei Yang,Haixin Zhang,Xiucheng Li

Journal of cellular and molecular medicine 29:e70772 PubMed40785041

2025

Tianma Granules Alleviate AOM/DSS-Induced Colorectal Tumorigenesis by Inhibiting the Wnt/β-Catenin Pathway Activation.

Applications

Unspecified application

Species

Unspecified reactive species

Renjing Lin,Jinyin Xiao,Yanjie Chen,Xu Li,Peiwen Zhang,Runcheng Zhang,Min Luo

Nature 645:712-721 PubMed40770094

2025

Lithium deficiency and the onset of Alzheimer's disease.

Applications

Unspecified application

Species

Unspecified reactive species

Liviu Aron,Zhen Kai Ngian,Chenxi Qiu,Jaejoon Choi,Marianna Liang,Derek M Drake,Sara E Hamplova,Ella K Lacey,Perle Roche,Monlan Yuan,Saba S Hazaveh,Eunjung A Lee,David A Bennett,Bruce A Yankner
View all publications

Abcam Product Promise

我们致力于为您的研究提供高质量的试剂,为您科研的每一步提供支持。若我们的产品未能达到预期性能,我们向您提供 Abcam Product Promise 保障。
详情请参阅我们的条款与条件。

Please note: All products are 'FOR RESEARCH USE ONLY. NOT FOR USE IN DIAGNOSTIC OR THERAPEUTIC PROCEDURES'.

For licensing inquiries, please contact partnerships@abcam.com