JavaScript is disabled in your browser. Please enable JavaScript to view this website.
AB6302

Anti-beta Catenin 抗体

Anti-beta Catenin antibody

5

(25 Reviews)

|

(311 Publications)

Rabbit Polyclonal beta Catenin antibody. Suitable for WB, ICC/IF, IHC-P and reacts with Human, Cow, Rat samples. Cited in 311 publications. Immunogen corresponding to Synthetic Peptide within Human CTNNB1 aa 750 to C-terminus conjugated to Keyhole Limpet Haemocyanin.

查看别名

CTNNB, OK/SW-cl.35, PRO2286, CTNNB1, Catenin beta-1, Beta-catenin

11 Images
Immunocytochemistry/ Immunofluorescence - Anti-beta Catenin antibody (AB6302)
  • ICC/IF

Unknown

Immunocytochemistry/ Immunofluorescence - Anti-beta Catenin antibody (AB6302)

This picture was kindly supplied as part of the review submitted by Mohaiza Dashwood. Immunofluorescence of H29 cells stained with DAPI (blue) and rabbit polyclonal anti-beta-catenin (ab6302), 1/2000) with Alexa Fluor® 488 (green) from Molecular Probes.

Immunocytochemistry/ Immunofluorescence - Anti-beta Catenin antibody (AB6302)
  • ICC/IF

AbReview13479****

Immunocytochemistry/ Immunofluorescence - Anti-beta Catenin antibody (AB6302)

ab6302 at 1/500 dilution staining beta Catenin in human breast cells by immunocytochemistry/ immunofluorescence. Sections were formaldehyde fixed, permeabilized in 0.5% digitonin prior to incubating with ab6302 for 1 hour. Alexa fluor® 488 goat polyclonal, diluted 1/500, was used as the secondary antibody. Treated samples received 10um GSK-3 Inhibitor X.

This image is courtesy of an Abreview submitted by Roderick Benson

Immunohistochemistry (Formalin/PFA-fixed paraffin-embedded sections) - Anti-beta Catenin antibody (AB6302)
  • IHC-P

Supplier Data

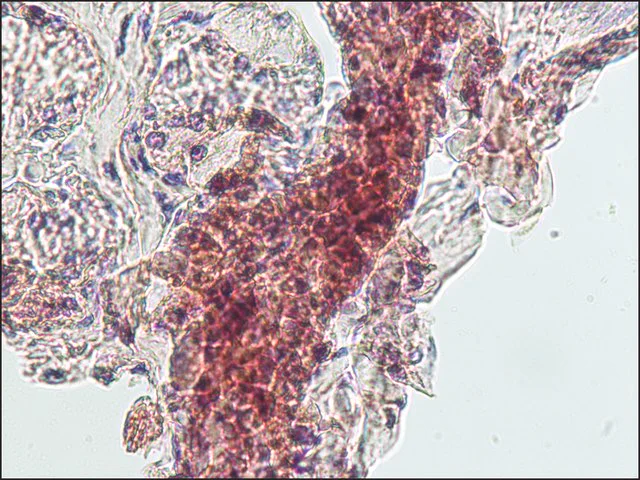
Immunohistochemistry (Formalin/PFA-fixed paraffin-embedded sections) - Anti-beta Catenin antibody (AB6302)

Immunohistochemical analysis of paraffin-embedded Human liver tissue labeling beta Catenin with ab320753 at 1/10000 (0.05 ug/ml) dilution, followed by a ready to use LeicaDS9800 (Bond™ Polymer Refine Detection).

Positive staining on human liver. The section was incubated with ab320753 for 30 mins at room temperature.
The immunostaining was performed on a Leica Biosystems BOND® RX instrument
Recombinant multiclonal ab320753 at 1/10, 000 (left) showed similar staining pattern to the polyclonal ab6302 at 1/10, 000 (right).

Counterstained with Hematoxylin.

Secondary antibody only control : Secondary antibody is a ready to use LeicaDS9800 (Bond™ Polymer Refine Detection).

Heat mediated antigen retrieval was performed with Tris-EDTA buffer (pH 9.0, Epitope Retrieval Solution2) for 20 mins

Immunocytochemistry/ Immunofluorescence - Anti-beta Catenin antibody (AB6302)
  • ICC/IF

AbReview15665****

Immunocytochemistry/ Immunofluorescence - Anti-beta Catenin antibody (AB6302)

ab6302 at 1/2000 dilution staining beta Catenin in human HeLa cells by immunocytochemistry/ immunofluorescence. Sections were paraformaldehyde fixed, permeabilized in 0.3% Triton X prior to blocking in 5% BSA for 2 hours at 27°C and then incubated with ab6302 for 8 hour at 4°C. Alexa fluor® 488 goat polyclonal, diluted 1/1000, was used as the secondary antibody. Counterstaining with DAPI.

This image is courtesy of an Abreview submitted by Jennifer Schnabel

Immunoprecipitation - Anti-beta Catenin antibody (AB6302)
  • IP

Supplier Data

Immunoprecipitation - Anti-beta Catenin antibody (AB6302)

beta Catenin was immunoprecipitated from 0.35 mg HeLa (human cervical adenocarcinoma epithelial cell) whole cell lysate with ab320753 at 1/30 dilution (2ug in 0.35mg lysates). Western blot was performed on the immunoprecipitate using ab320753 at 1/1000 dilution. VeriBlot for IP secondary antibody(HRP)(ab131366) was used at 1/5000 dilution.

Lane 1 : HeLa (human cervical adenocarcinoma epithelial cell) whole cell lysate
Lane 2 : ab320753 IP in HeLa (human cervical adenocarcinoma epithelial cell) whole cell lysate
Lane 3 : Rabbit monoclonal IgG (ab172730) instead of ab320753 in HeLa whole cell lysate

Blocking and dilution buffer and concentration : 5% NFDM/TBST

Exposure time : Lanes 1-3 : 3 seconds, Lanes 4-6 : 6 seconds

All lanes:

Immunoprecipitation - Anti-beta Catenin antibody [RM1213] (<a href='/products/primary-antibodies/beta-catenin-antibody-rm1213-ab320753'>ab320753</a>) at 1/30 dilution

All lanes:

HeLa (human cervical adenocarcinoma epithelial cell) whole cell lysate

Secondary

All lanes:

Immunoprecipitation - VeriBlot for IP Detection Reagent (HRP) (<a href='/products/reagents/veriblot-for-ip-detection-reagent-hrp-ab131366'>ab131366</a>) at 1/5000 dilution

false

Immunohistochemistry (Formalin/PFA-fixed paraffin-embedded sections) - Anti-beta Catenin antibody (AB6302)
  • IHC-P

Supplier Data

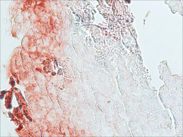
Immunohistochemistry (Formalin/PFA-fixed paraffin-embedded sections) - Anti-beta Catenin antibody (AB6302)

Immunohistochemistry (Formalin/PFA-fixed paraffin-embedded sections) analysis of rat kidney tissue sections labeling beta Catenin with ab6302 at 1/20,000 dilution.

Immunohistochemistry (Formalin/PFA-fixed paraffin-embedded sections) - Anti-beta Catenin antibody (AB6302)
  • IHC-P

Supplier Data

Immunohistochemistry (Formalin/PFA-fixed paraffin-embedded sections) - Anti-beta Catenin antibody (AB6302)

Immunohistochemistry (Formalin/PFA-fixed paraffin-embedded sections) analysis of rat kidney tissue sections labeling beta Catenin with ab6302 at 1/20,000 dilution.

Western blot - Anti-beta Catenin antibody (AB6302)
  • WB

Supplier Data

Western blot - Anti-beta Catenin antibody (AB6302)

Blocking and diluting buffer and concentration : 5% NFDM/TBST.

In Western blot, ab320753 and ab6302 were shown to bind specifically to CTNNB1. Target of interest was observed at 85 kDa in wild-type HAP1 cell lysates (lane 1) with no signal observed at this size in CTNNB1 knockout cell line (lane 2).

Recombinant multiclonal ab320753 (left) showed higher sensitivity than Polyclonal ab6302 (right).

In Western blot, Anti-GAPDH antibody [EPR16891] - Loading Control (ab181602) staining at 1/200000 dilution.

Exposure time : Lane 1-2 : 103 seconds Lane 3-6 : 180 seconds

All lanes:

Western blot - Anti-beta Catenin antibody [RM1213] (<a href='/products/primary-antibodies/beta-catenin-antibody-rm1213-ab320753'>ab320753</a>) at 1/20000 dilution

Lane 1:

Wild-type HAP1(human chronic myelogenous leukemia near-haploid cell) whole cell lysate at 20 µg

Lane 2:

CTNNB1 knockout HAP1 whole cell lysate at 20 µg

Lane 3:

HeLa (human cervical adenocarcinoma epithelial cell) whole cell lysate at 20 µg

Lane 4:

HEK-293 (human embryonic kidney epithelial cell) whole cell lysate at 20 µg

Lane 5:

C6 (rat glial tumor glial cell) whole cell lysate at 20 µg

Lane 6:

NIH/3T3 (mouse embryonic fibroblast) whole cell lysate at 20 µg

Secondary

All lanes:

Western blot - Goat Anti-Rabbit IgG H&L (HRP) (<a href='/products/secondary-antibodies/goat-rabbit-igg-h-l-hrp-ab97051'>ab97051</a>) at 1/100000 dilution

Observed band size: 85 kDa,36 kDa

false

Western blot - Anti-beta Catenin antibody (AB6302)
  • WB

AbReview4458****

Western blot - Anti-beta Catenin antibody (AB6302)

This image is courtesy of an Abreview submitted by Mike Campa on 4 April 2006.

All lanes:

Western blot - Anti-beta Catenin antibody (ab6302) at 1/4000 dilution

Lane 1:

5ug human lung tumour lysate.

Lane 2:

10ug human lung tumour lysate.

Lane 3:

20ug human lung tumour lysate.

Secondary

All lanes:

Goat anti-Rabbit IgG (H&L)HRP

Predicted band size: 85 kDa

Observed band size: 95 kDa

false

Exposure time: 10s

Immunocytochemistry/ Immunofluorescence - Anti-beta Catenin antibody (AB6302)
  • ICC/IF

Supplier Data

Immunocytochemistry/ Immunofluorescence - Anti-beta Catenin antibody (AB6302)

Immunocytochemistry analysis of bovine kidney cells labeling beta Catenin with ab6302 at 1/20,000 dilution. Cells were fixed and permeabilized with Methanol followed by Acetone. The antibody was developed using Anti-Rabbit IgG (whole molecule)-FITC antibody produced in Goat. Cells were counterstained with DAPI (blue) to stain nuclei.

Western blot - Anti-beta Catenin antibody (AB6302)
  • WB

Supplier Data

Western blot - Anti-beta Catenin antibody (AB6302)

All lanes:

Western blot - Anti-beta Catenin antibody (ab6302) at 1/8000 dilution

All lanes:

Bovine kidney tissue lysate

Predicted band size: 85 kDa

false

关键信息

宿主种属

Rabbit

克隆

Polyclonal

亚型

IgG

不含载体蛋白

No

反应种属

Rat, Cow, Human

应用

WB, ICC/IF, IHC-P

applications

免疫原

Synthetic Peptide within Human CTNNB1 aa 750 to C-terminus conjugated to Keyhole Limpet Haemocyanin. The exact immunogen used to generate this antibody is proprietary information.

P35222

特异性

Reacts in dot blot with beta-catenin peptide 768-781 conjugated to BSA. In immunoblots, reacts with a 94kD protein in extracts of Madin-Darby Bovine Kidney (MDBK) cultured cells. Specific staining is inhibited following pre-incubation of the antiserum with the beta-catenin peptide. Shows no reactivity with BSA conjugated alpha catenin peptide (amino acids 890-901). The antibody does not cross react with α-catenin or γ-catenin (plakoglobin).

反应性数据

{ "title": "Reactivity Data", "filters": { "stats": ["", "Species", "Dilution Info", "Notes"], "tabs": { "all-applications": {"fullname" : "All Applications", "shortname": "All Applications"}, "WB" : {"fullname" : "Western blot", "shortname":"WB"}, "ICCIF" : {"fullname" : "Immunocytochemistry/ Immunofluorescence", "shortname":"ICC/IF"}, "IHCP" : {"fullname" : "Immunohistochemistry (Formalin/PFA-fixed paraffin-embedded sections)", "shortname":"IHC-P"} }, "product-promise": { "all": "all", "testedAndGuaranteed": "tested", "guaranteed": "expected", "predicted": "predicted", "notRecommended": "not-recommended" } }, "values": { "Human": { "WB-species-checked": "testedAndGuaranteed", "WB-species-dilution-info": "1/4000", "WB-species-notes": "<p></p>", "ICCIF-species-checked": "testedAndGuaranteed", "ICCIF-species-dilution-info": "1/2000", "ICCIF-species-notes": "<p></p>", "IHCP-species-checked": "guaranteed", "IHCP-species-dilution-info": "", "IHCP-species-notes": "" }, "Rat": { "WB-species-checked": "guaranteed", "WB-species-dilution-info": "", "WB-species-notes": "", "ICCIF-species-checked": "guaranteed", "ICCIF-species-dilution-info": "", "ICCIF-species-notes": "", "IHCP-species-checked": "testedAndGuaranteed", "IHCP-species-dilution-info": "", "IHCP-species-notes": "<p></p>" }, "Cow": { "WB-species-checked": "testedAndGuaranteed", "WB-species-dilution-info": "1/4000", "WB-species-notes": "<p></p>", "ICCIF-species-checked": "testedAndGuaranteed", "ICCIF-species-dilution-info": "1/2000", "ICCIF-species-notes": "<p></p>", "IHCP-species-checked": "guaranteed", "IHCP-species-dilution-info": "", "IHCP-species-notes": "" } } }

性能和储存信息

形式
Liquid
纯度
Whole antiserum
纯化说明
Delipidized antiserum.
存储溶液
Preservative: 0.097% Sodium azide Constituents: Whole serum
运输条件
Blue Ice
推荐的短期储存时间
1-2 weeks
推荐的短期储存条件
+4°C
推荐的长期储存条件
-20°C
分装信息
Upon delivery aliquot
储存信息
Avoid freeze / thaw cycle

补充信息

This supplementary information is collated from multiple sources and compiled automatically.

Beta Catenin also known by names such as CTNNB1 or beta-chip is an important protein involved in cell signaling and adhesion. This protein has a molecular weight of around 88 kDa. Beta Catenin is expressed in many cell types and tissues indicating its widespread role in various biological processes. It functions mechanically by mediating the linkage between cadherins and the actin cytoskeleton facilitating cell-cell adhesion. Beta Catenin is also a central part of transcription regulation processes in the nucleus.
Biological function summary

This protein plays roles in both cell adhesion and the regulation of gene expression. Beta Catenin is a critical component of the Wnt signaling pathway where it can form complexes with other proteins to influence gene transcription. In the absence of Wnt signaling beta Catenin levels are low due to its degradation. However when the pathway is active it accumulates in the cytoplasm and eventually translocates to the nucleus where it interacts with TCF/LEF transcription factors to regulate the expression of target genes.

Pathways

Beta Catenin plays a central role in the Wnt signaling pathway and influences cell fate decisions and cellular proliferation. It acts in concert with proteins such as Dishevelled (DVL) and Axin to coordinate these important biological processes. In the absence of Wnt signaling proteins such as APC and GSK-3β are responsible for beta Catenin degradation keeping its cellular levels in check. Beta Catenin’s interaction with transcription factors in the nucleus makes it pivotal in the regulation of cell and tissue homeostasis.

Beta Catenin has associations with colorectal cancer and hepatocellular carcinoma. Its dysregulation can lead to unchecked cell proliferation and tumorigenesis. Often mutations in the beta Catenin gene (CTNNB1) or components of the Wnt pathway like APC are implicated in the development of these cancers. Its interplay with E-cadherin is important for maintaining tissue architecture and disruptions can lead to invasive cancer phenotypes. Understanding beta Catenin’s role provides insights into therapeutic strategies for these cancers.

产品实验方案

For this product, it's our understanding that no specific protocols are required. You can visit:

靶点信息

Key downstream component of the canonical Wnt signaling pathway (PubMed : 17524503, PubMed : 18077326, PubMed : 18086858, PubMed : 18957423, PubMed : 21262353, PubMed : 22155184, PubMed : 22647378, PubMed : 22699938). In the absence of Wnt, forms a complex with AXIN1, AXIN2, APC, CSNK1A1 and GSK3B that promotes phosphorylation on N-terminal Ser and Thr residues and ubiquitination of CTNNB1 via BTRC and its subsequent degradation by the proteasome (PubMed : 17524503, PubMed : 18077326, PubMed : 18086858, PubMed : 18957423, PubMed : 21262353, PubMed : 22155184, PubMed : 22647378, PubMed : 22699938). In the presence of Wnt ligand, CTNNB1 is not ubiquitinated and accumulates in the nucleus, where it acts as a coactivator for transcription factors of the TCF/LEF family, leading to activate Wnt responsive genes (PubMed : 17524503, PubMed : 18077326, PubMed : 18086858, PubMed : 18957423, PubMed : 21262353, PubMed : 22155184, PubMed : 22647378, PubMed : 22699938). Involved in the regulation of cell adhesion, as component of an E-cadherin : catenin adhesion complex (By similarity). Acts as a negative regulator of centrosome cohesion (PubMed : 18086858). Involved in the CDK2/PTPN6/CTNNB1/CEACAM1 pathway of insulin internalization (PubMed : 21262353). Blocks anoikis of malignant kidney and intestinal epithelial cells and promotes their anchorage-independent growth by down-regulating DAPK2 (PubMed : 18957423). Disrupts PML function and PML-NB formation by inhibiting RANBP2-mediated sumoylation of PML (PubMed : 22155184). Promotes neurogenesis by maintaining sympathetic neuroblasts within the cell cycle (By similarity). Involved in chondrocyte differentiation via interaction with SOX9 : SOX9-binding competes with the binding sites of TCF/LEF within CTNNB1, thereby inhibiting the Wnt signaling (By similarity). Acts as a positive regulator of odontoblast differentiation during mesenchymal tooth germ formation, via promoting the transcription of differentiation factors such as LEF1, BMP2 and BMP4 (By similarity). Activity is repressed in a MSX1-mediated manner at the bell stage of mesenchymal tooth germ formation which prevents premature differentiation of odontoblasts (By similarity).
See full target information CTNNB1

文献 (311)

Recent publications for all applications. Explore the full list and refine your search

Stem cell research & therapy 16:521 PubMed41013542

2025

A traditional herbal decoction regulates skeletal muscle satellite cell osteogenesis and myogenesis for repairing osteosarcopenic fractures via β-catenin.

Applications

Unspecified application

Species

Unspecified reactive species

Zhenxiong Jin,Weiwei Da,Yi Shen,Yongjian Zhao,Hao Xu,Hongbo Wan,Xuequn Wu,Xiang Gao,Yan Li,Qi Shi,Dezhi Tang

Nature 644:516-526 PubMed40681898

2025

Pathology-oriented multiplexing enables integrative disease mapping.

Applications

Unspecified application

Species

Unspecified reactive species

Malte Kuehl,Yusuke Okabayashi,Milagros N Wong,Lukas Gernhold,Gabriele Gut,Nico Kaiser,Maria Schwerk,Stefanie K Gräfe,Frank Y Ma,Jovan Tanevski,Philipp S L Schäfer,Sam Mezher,Jacobo Sarabia Del Castillo,Thiago Goldbeck-Strieder,Olga Zolotareva,Michael Hartung,Fernando M Delgado Chaves,Lukas Klinkert,Ann-Christin Gnirck,Marc Spehr,David Fleck,Mehdi Joodaki,Victor Parra,Mina Shaigan,Martin Diebold,Marco Prinz,Jennifer Kranz,Johan M Kux,Fabian Braun,Oliver Kretz,Hui Wu,Florian Grahammer,Sven Heins,Marina Zimmermann,Fabian Haas,Dominik Kylies,Nicola Wanner,Jan Czogalla,Bernhard Dumoulin,Nikolay Zolotarev,Maja Lindenmeyer,Pall Karlson,Jens R Nyengaard,Marcial Sebode,Sören Weidemann,Thorsten Wiech,Hermann-Josef Groene,Nicola M Tomas,Catherine Meyer-Schwesinger,Christoph Kuppe,Rafael Kramann,Alexandre Karras,Patrick Bruneval,Pierre-Louis Tharaux,Diego Pastene,Benito Yard,Jennifer A Schaub,Phillip J McCown,Laura Pyle,Ye Ji Choi,Takashi Yokoo,Jan Baumbach,Pablo J Sáez,Ivan Costa,Jan-Eric Turner,Jeffrey B Hodgin,Julio Saez-Rodriguez,Tobias B Huber,Petter Bjornstad,Matthias Kretzler,Olivia Lenoir,David J Nikolic-Paterson,Lucas Pelkmans,Stefan Bonn,Victor G Puelles

BMC musculoskeletal disorders 26:533 PubMed40448062

2025

Wnt/β-catenin regulates Gli1 + osteogenic progenitors in condylar subchondral bone development and osteoarthritis.

Applications

Unspecified application

Species

Unspecified reactive species

Jie Wang,Lin Sun,Yi Zhang,Shuo Chen,Yang He

International journal of molecular sciences 26: PubMed40332045

2025

Crosstalk Between Wnt/β-Catenin and Hedgehog Supports Gli1+ Lineage Osteogenesis in Cranial Sutures.

Applications

Unspecified application

Species

Unspecified reactive species

Lin Sun,Jie Wang,Shuo Chen,Yang He

Scientific reports 15:7212 PubMed40021783

2025

Impact of LIN7A silencing on U87 cell invasion and its clinical significance in glioblastoma.

Applications

Unspecified application

Species

Unspecified reactive species

Xiaojuan Lyu,Yuxiang Shi,Daixu Wang,Xing Cao,Jipeng Guo,Guodong Huang,Lin Zhou,Mengxian Zhang,Zhen Dong

Biochemistry and biophysics reports 41:101907 PubMed39830524

2025

Effect of β-catenin on hypoxia induced epithelial mesenchymal transition in HK-2 cells by regulating Brachyury.

Applications

Unspecified application

Species

Unspecified reactive species

Ping Sun,Haihui Yang,Binying Min,Yongfu Li,Jun Wang,Mo Chen,Diping Yu,Wenjuan Sun

Nature communications 15:10194 PubMed39587074

2024

Analysis of a shark reveals ancient, Wnt-dependent, habenular asymmetries in vertebrates.

Applications

Unspecified application

Species

Unspecified reactive species

Maxence Lanoizelet,Léo Michel,Ronan Lagadec,Hélène Mayeur,Lucile Guichard,Valentin Logeux,Dany Séverac,Kyle Martin,Christophe Klopp,Sylvain Marcellini,Héctor Castillo,Nicolas Pollet,Eva Candal,Mélanie Debiais-Thibaud,Catherine Boisvert,Bernard Billoud,Michael Schubert,Patrick Blader,Sylvie Mazan

Naunyn-Schmiedeberg's archives of pharmacology 398:2769-2781 PubMed39276250

2024

A PDE1 inhibitor, vinpocetine, ameliorates epithelial-mesenchymal transition and renal fibrosis in adenine-induced chronic kidney injury in rats by targeting the DNMT1/Klotho/β-catenin/Snail 1 and MMP-7 pathways.

Applications

Unspecified application

Species

Unspecified reactive species

Amira Mohammed Abdelfattah,Zeinab A Mohammed,Aliaa Talaat,Walaa Samy,Mamdouh Eldesoqui,Reham I Elgarhi

Molecular medicine (Cambridge, Mass.) 30:132 PubMed39187765

2024

Secretome of brain microvascular endothelial cells promotes endothelial barrier tightness and protects against hypoxia-induced vascular leakage.

Applications

Unspecified application

Species

Unspecified reactive species

Rodrigo Azevedo Loiola,Johan Hachani,Sophie Duban-Deweer,Emmanuel Sevin,Paulina Bugno,Agnieszka Kowalska,Eleonora Rizzi,Fumitaka Shimizu,Takashi Kanda,Caroline Mysiorek,Maciej Mazurek,Fabien Gosselet

Bone research 12:37 PubMed38910207

2024

FGF signaling modulates mechanotransduction/WNT signaling in progenitors during tooth root development.

Applications

Unspecified application

Species

Unspecified reactive species

Fei Pei,Tingwei Guo,Mingyi Zhang,Li Ma,Junjun Jing,Jifan Feng,Thach-Vu Ho,Quan Wen,Yang Chai
View all publications

Abcam Product Promise

我们致力于为您的研究提供高质量的试剂,为您科研的每一步提供支持。若我们的产品未能达到预期性能,我们向您提供 Abcam Product Promise 保障。
详情请参阅我们的条款与条件。

Please note: All products are 'FOR RESEARCH USE ONLY. NOT FOR USE IN DIAGNOSTIC OR THERAPEUTIC PROCEDURES'.

For licensing inquiries, please contact partnerships@abcam.com