JavaScript is disabled in your browser. Please enable JavaScript to view this website.
AB108319

Anti-BDNF 抗体 [EPR1292]

Anti-BDNF antibody [EPR1292]

  • BOND RX™ Validated
  • RabMAb
  • Recombinant
  • 20ul selling size
  • 了解详情

4

(9 Reviews)

|

(725 Publications)

Anti-BDNF antibody [EPR1292] (ab108319) is a rabbit monoclonal antibody detecting BDNF in Western Blot, Flow Cytometry (Intra), Flow Cytometry, IHC-P, IHC-Fr, ICC/IF. Suitable for Human, Mouse, Rat.

- Clone EPR1292 is the most cited clone to BDNF
- Biophysical QC for unrivalled batch-batch consistency
- Over 480 publications

查看别名

Neurotrophic factor BDNF precursor form, proBDNF, Abrineurin, Brain-derived neurotrophic factor, BDNF

13 Images
Western blot - Anti-BDNF antibody [EPR1292] (AB108319)
  • WB

Lab

Western blot - Anti-BDNF antibody [EPR1292] (AB108319)

This blot was produced using a 4-12% Bis-tris gel under the MES buffer system. The gel was run at 200V for 35 minutes before being transferred onto a Nitrocellulose membrane at 30V for 70 minutes. The membrane was then blocked for an hour using Licor blocking buffer before being incubated with unpurified ab108319 (1/1000) overnight at 4°C. ab8245 (mouse anti-GAPDH; 0.05 ug/mL) was included as a loading control. Antibody binding was detected using goat anti-rabbit IgG IR-680 (green) and goat anti-mouse IgG IR800 (red) at a 1 : 10,000 dilution for 1hr at room temperature and then imaged using the Licor Odyssey CLx

All lanes:

Western blot - Anti-BDNF antibody [EPR1292] (ab108319) at 1/1000 dilution

Lane 1:

Human hippocampus lysate at 20 µg

Lane 2:

Rat hippocampus lysate at 20 µg

Lane 3:

Mouse hippocampus lysate at 20 µg

Secondary

All lanes:

Gt anti Rb IR680 at 1/10000 dilution

Predicted band size: 27 kDa

Observed band size: 15 kDa,28 kDa,35 kDa,45 kDa

false

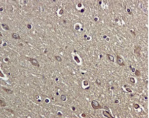
Immunohistochemistry (Frozen sections) - Anti-BDNF antibody [EPR1292] (AB108319)
  • IHC-Fr

Lab

Immunohistochemistry (Frozen sections) - Anti-BDNF antibody [EPR1292] (AB108319)

IHC image of BDNF staining in a section of frozen normal human cerebral cortex performed on a Leica BONDTM system using the standard protocol. The section was fixed in 10% paraformaldehyde (10 min) prior to staining. The section was incubated with ab108319, 1/200 dilution, for 15 mins at room temperature and detected using an HRP conjugated compact polymer system. DAB was used as the chromogen. The section was then counterstained with haematoxylin and mounted with DPX. The inset secondary-only control image is taken from an identical assay without primary antibody.

For other IHC staining systems (automated and non-automated) customers should optimize variable parameters such as antigen retrieval conditions, primary antibody concentration and antibody incubation times.

Immunohistochemistry (Formalin/PFA-fixed paraffin-embedded sections) - Anti-BDNF antibody [EPR1292] (AB108319)
  • IHC-P

Lab

Immunohistochemistry (Formalin/PFA-fixed paraffin-embedded sections) - Anti-BDNF antibody [EPR1292] (AB108319)

Immunohistochemical analysis of formalin fixed paraffin embedded human brain (cerebrum) labelling BDNF with ab108319 at a concentration of 0.56 µg/ml. The immunostaining was performed on a Ventana DISCOVERY ULTRA (Roche Tissue Diagnostics) instrument with an OptiView DAB IHC Detection Kit. Heat mediated antigen retrieval was conducted for 32 mins at 100°C with ULTRA cell conditioning solution (CC1, pH 8.5). ab108319 Anti-BDNF antibody [EPR1292] was incubated at 37°C for 16 mins. Sections were counterstained with Hematoxylin II. Image inset shows absence of staining in secondary antibody only control.

Flow Cytometry (Intracellular) - Anti-BDNF antibody [EPR1292] (AB108319)
  • Flow Cyt (Intra)

Lab

Flow Cytometry (Intracellular) - Anti-BDNF antibody [EPR1292] (AB108319)

Intracellular Flow Cytometry analysis of HeLa (Human cervix adenocarcinoma epithelial cell) cells labeling BDNF with purified ab108319 at 1/30 dilution (10μg/ml) (red). Cells were fixed with 80% methanol. A Goat anti rabbit IgG (Alexa Fluorr® 488) secondary antibody was used at 1/2000 dilution. Isotype control - Rabbit monoclonal IgG (Black). Unlabeled control - Cell without incubation with primary antibody and secondary antibody (Blue).

Immunohistochemistry (Formalin/PFA-fixed paraffin-embedded sections) - Anti-BDNF antibody [EPR1292] (AB108319)
  • IHC-P

Unknown

Immunohistochemistry (Formalin/PFA-fixed paraffin-embedded sections) - Anti-BDNF antibody [EPR1292] (AB108319)

Immunohistochemical analysis of paraffin-embedded human brain tissue using unpurified ab108319 at 1/100 dilution.

Perform heat mediated antigen retrieval before commencing with IHC staining protocol.

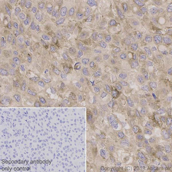
Immunohistochemistry (Formalin/PFA-fixed paraffin-embedded sections) - Anti-BDNF antibody [EPR1292] (AB108319)
  • IHC-P

Lab

Immunohistochemistry (Formalin/PFA-fixed paraffin-embedded sections) - Anti-BDNF antibody [EPR1292] (AB108319)

Immunohistochemistry (Formalin/PFA-fixed paraffin-embedded sections) analysis of Human bladder cancer tissue sections labeling BDNF with Purified ab108319 at 1 : 500 dilution (0.56 μg/ml). Heat mediated antigen retrieval was performed using ab93684 (Tris/EDTA buffer pH 9.0)

Immunocytochemistry/ Immunofluorescence - Anti-BDNF antibody [EPR1292] (AB108319)
  • ICC/IF

AbReview56343****

Immunocytochemistry/ Immunofluorescence - Anti-BDNF antibody [EPR1292] (AB108319)

Immunocytochemistry/ Immunofluorescence analysis of HeLa (human cervix adenocarcinoma) cells labelling BDNF with unpurified ab108319 at a dilution of 1/750. Cells were fixed with paraformaldehyde and permeabilized with 0.5% Triton-X100 in PBS. ab150081 (1/200) was used as the secondary antibody.

The antibody produces a strong, golgi-associated labelling pattern in both PF and MeOH fixed samples.

This image is courtesy of an Abreview submitted by Kirk McManus (1894904)

Immunocytochemistry/ Immunofluorescence - Anti-BDNF antibody [EPR1292] (AB108319)
  • ICC/IF

Lab

Immunocytochemistry/ Immunofluorescence - Anti-BDNF antibody [EPR1292] (AB108319)

Immunocytochemistry/ Immunofluorescence analysis of HeLa (Human cervix adenocarcinoma epithelial cell) cells labeling BDNF with Purified ab108319 at 1 : 500 (0.6 μg/ml). Cells were fixed in 100% Methanol and permeabilized with None. Cells were counterstained with ab195889 Anti-alpha Tubulin antibody [DM1A] - Microtubule Marker (Alexa Fluor® 594) 1 : 200 (2.5 μg/ml). Goat anti rabbit IgG (Alexa Fluor® 488 ab150077) was used as the secondary antibody at 1 : 1000 (2 μg/ml) dilution. DAPI nuclear counterstain. PBS instead of the primary antibody was used as the secondary antibody only control.

Immunohistochemistry (Frozen sections) - Anti-BDNF antibody [EPR1292] (AB108319)
  • IHC-Fr

Unknown

Immunohistochemistry (Frozen sections) - Anti-BDNF antibody [EPR1292] (AB108319)

Immunohistochemistry (Frozen sections) analysis of rat cerebral cortex tissue sections labeling BDNF with Purified ab108319 at 1/100 (2.8 µg/ml).Heat mediated antigen retrieval using sodium citrate buffer (10mM citrate pH 6.0 + 0.05% Tween-20). Goat anti rabbit IgG (Alexa Fluor® 488, ab150077) was used as the secondary antibody. Negative control : PBS instead of the primary antibody. DAPI was used as a counterstain.

Immunohistochemistry (Frozen sections) - Anti-BDNF antibody [EPR1292] (AB108319)
  • IHC-Fr

Unknown

Immunohistochemistry (Frozen sections) - Anti-BDNF antibody [EPR1292] (AB108319)

Immunohistochemistry (Frozen sections) analysis of mouse cerebrum tissue sections labeling BDNF with Purified ab108319 at 1/100 (2.8 µg/ml).Heat mediated antigen retrieval using sodium citrate buffer (10mM citrate pH 6.0 + 0.05% Tween-20). Goat anti rabbit IgG (Alexa Fluor® 488, ab150077) was used as the secondary antibody. Negative control : PBS instead of the primary antibody. DAPI was used as a counterstain.

Western blot - Anti-BDNF antibody [EPR1292] (AB108319)
  • WB

Lab

Western blot - Anti-BDNF antibody [EPR1292] (AB108319)

All lanes:

Western blot - Anti-BDNF antibody [EPR1292] (ab108319) at 1/1000 dilution

Lane 1:

Human brain lysates at 20 µg

Lane 2:

Mouse brain lysates at 20 µg

Lane 3:

Rat brain lysates at 20 µg

Lane 4:

Human hippocampus lysates at 20 µg

Lane 5:

Mouse hippocampus lysates at 20 µg

Lane 6:

Rat hippocampus lysates at 20 µg

Lane 7:

Human cerebellum lysates at 20 µg

Lane 8:

Mouse cerebellum lysates at 20 µg

Lane 9:

Rat cerebellum lysates at 20 µg

Secondary

All lanes:

Goat Anti-Rabbit IgG (HRP) with minimal cross-reactivity with human IgG at 1/2000 dilution

Predicted band size: 27 kDa

Observed band size: 15-45 kDa

false

Western blot - Anti-BDNF antibody [EPR1292] (AB108319)
  • WB

Lab

Western blot - Anti-BDNF antibody [EPR1292] (AB108319)

Different batches of ab108319 were tested on Mouse brain lysate at 0.3 µg/ml. 15 µg of lysate was loaded in each lane. Bands observed at 14-45 kDa.

All lanes:

Western blot - Anti-BDNF antibody [EPR1292] (ab108319)

Predicted band size: 27 kDa

false

Western blot - Anti-BDNF antibody [EPR1292] (AB108319)
  • WB

Lab

Western blot - Anti-BDNF antibody [EPR1292] (AB108319)

Blocking and diluting buffer and concentration : 5% NFDM/TBST

ab213204 was used as a His tag loading control.

All lanes:

Western blot - Anti-BDNF antibody [EPR1292] (ab108319) at 1/1000 dilution

Lane 1:

293T cells transfected with an empty vector containing a His tag whole cell lysate at 20 µg

Lane 2:

293T cells transfected with a Human BDNF expression vector containing a His-tag whole cell lysate at 20 µg

Lane 3:

293T cells transfected with a Human NGF expression vector containing a His-tag whole cell lysate at 20 µg

Lane 4:

293T cells transfected with a Human NTF3 expression vector containing a His-tag whole cell lysate at 20 µg

Lane 5:

293T cells transfected with a Human NTF4 expression vector containing a His-tag whole cell lysate at 20 µg

Secondary

All lanes:

Western blot - Goat Anti-Rabbit IgG H&L (HRP) (<a href='/products/secondary-antibodies/goat-rabbit-igg-h-l-hrp-ab97051'>ab97051</a>) at 1/20000 dilution

Observed band size: 35 kDa

false

Exposure time: 1s

不同偶联物与剂型 (5)

关键信息

宿主种属

Rabbit

克隆

Monoclonal

克隆号

EPR1292

亚型

IgG

不含载体蛋白

No

反应种属

Mouse, Rat, Human

应用

ICC/IF, WB, Flow Cyt (Intra), IHC-P, IHC-Fr

applications

免疫原

The exact immunogen used to generate this antibody is proprietary information.

特异性

This product may cross react with the following family members: NGF beta, neurotrophin 3, neurotrophin 4. The mouse and rat recommendation is based on the WB results. We do not guarantee IHC-P for mouse and rat.

It was discovered that this antibody exhibited weak cross - reactivity with the NTF3 protein.

反应性数据

{ "title": "Reactivity Data", "filters": { "stats": ["", "Species", "Dilution Info", "Notes"], "tabs": { "all-applications": {"fullname" : "All Applications", "shortname": "All Applications"}, "IHCP" : {"fullname" : "Immunohistochemistry (Formalin/PFA-fixed paraffin-embedded sections)", "shortname":"IHC-P"}, "WB" : {"fullname" : "Western blot", "shortname":"WB"}, "ICCIF" : {"fullname" : "Immunocytochemistry/ Immunofluorescence", "shortname":"ICC/IF"}, "IHCFr" : {"fullname" : "Immunohistochemistry (Frozen sections)", "shortname":"IHC-Fr"}, "FlowCytIntra" : {"fullname" : "Flow Cytometry (Intracellular)", "shortname":"Flow Cyt (Intra)"} }, "product-promise": { "all": "all", "testedAndGuaranteed": "tested", "guaranteed": "expected", "predicted": "predicted", "notRecommended": "not-recommended" } }, "values": { "Human": { "IHCP-species-checked": "testedAndGuaranteed", "IHCP-species-dilution-info": "1/500", "IHCP-species-notes": "<p>The mouse and rat recommendation is based on the WB results. We do not guarantee IHC-P for mouse and rat.<br><br>.<br><br>Heat up to 98 degrees C, below boiling, and then let cool for 10-20 min.<br><br><strong>For unpurified use at 1/100 - 1/250 dilution. </strong></p> Perform heat-mediated antigen retrieval before commencing with IHC staining protocol.", "WB-species-checked": "testedAndGuaranteed", "WB-species-dilution-info": "1/1000", "WB-species-notes": "<p></p>", "ICCIF-species-checked": "testedAndGuaranteed", "ICCIF-species-dilution-info": "1/500", "ICCIF-species-notes": "<p>For unpurified use at 1/750 dilution.</p>", "IHCFr-species-checked": "testedAndGuaranteed", "IHCFr-species-dilution-info": "1/100", "IHCFr-species-notes": "<p>Heat mediated antigen retrieval using sodium citrate buffer (10mM citrate pH 6.0 + 0.05% Tween-20)</p>", "FlowCytIntra-species-checked": "testedAndGuaranteed", "FlowCytIntra-species-dilution-info": "1/30", "FlowCytIntra-species-notes": "<p></p>" }, "Mouse": { "IHCP-species-checked": "guaranteed", "IHCP-species-dilution-info": "", "IHCP-species-notes": "", "WB-species-checked": "testedAndGuaranteed", "WB-species-dilution-info": "1/1000", "WB-species-notes": "<p></p>", "ICCIF-species-checked": "guaranteed", "ICCIF-species-dilution-info": "", "ICCIF-species-notes": "", "IHCFr-species-checked": "testedAndGuaranteed", "IHCFr-species-dilution-info": "1/100", "IHCFr-species-notes": "<p>Heat mediated antigen retrieval using sodium citrate buffer (10mM citrate pH 6.0 + 0.05% Tween-20)</p>", "FlowCytIntra-species-checked": "guaranteed", "FlowCytIntra-species-dilution-info": "", "FlowCytIntra-species-notes": "" }, "Rat": { "IHCP-species-checked": "guaranteed", "IHCP-species-dilution-info": "", "IHCP-species-notes": "", "WB-species-checked": "testedAndGuaranteed", "WB-species-dilution-info": "1/1000", "WB-species-notes": "<p></p>", "ICCIF-species-checked": "guaranteed", "ICCIF-species-dilution-info": "", "ICCIF-species-notes": "", "IHCFr-species-checked": "testedAndGuaranteed", "IHCFr-species-dilution-info": "1/100", "IHCFr-species-notes": "<p>Heat mediated antigen retrieval using sodium citrate buffer (10mM citrate pH 6.0 + 0.05% Tween-20)</p>", "FlowCytIntra-species-checked": "guaranteed", "FlowCytIntra-species-dilution-info": "", "FlowCytIntra-species-notes": "" }, "Transfected cell line - Human": { "IHCP-species-checked": "notRecommended", "IHCP-species-dilution-info": "", "IHCP-species-notes": "", "WB-species-checked": "testedAndGuaranteed", "WB-species-dilution-info": "1/1000", "WB-species-notes": "<p></p>", "ICCIF-species-checked": "notRecommended", "ICCIF-species-dilution-info": "", "ICCIF-species-notes": "", "IHCFr-species-checked": "notRecommended", "IHCFr-species-dilution-info": "", "IHCFr-species-notes": "", "FlowCytIntra-species-checked": "notRecommended", "FlowCytIntra-species-dilution-info": "", "FlowCytIntra-species-notes": "" } } }

产品详情

Anti-BDNF antibody [EPR1292] (ab108319) was developed by Abcam using patented rabbit monoclonal antibody technology and is validated for use in Flow Cyt (Intra), ICC/IF, IHC-Fr, IHC-P and WB.

Anti-BDNF antibody [EPR1292] (ab108319) was first used in a scientific publication in 2012 and has been cited over 481 times in peer reviewed journals. It's performance in Western Blot in human, mouse and rat samples is trusted by the scientific community.

Abcam's high quality manufacturing and validation processes ensure Anti-BDNF antibody [EPR1292] (ab108319) has high sensitivity and specificity alongside high lot-to-lot consistency and reproducibility.

Anti-BDNF antibody [EPR1292] (ab108319) has 8 independent reviews from customers.

Anti-BDNF antibody [EPR1292] (ab108319) specifically detects BDNF (UniProt ID: P23560; Molecular weight: 26kDa) and is sold in 100 µL and 1 mL selling sizes.

Conjugation-ready, carrier free format available for antibody clone EPR1292 - ab216443.

Antibody clone EPR1292 is also available pre-conjugated to a variety of labels for your convenience - Alexa Fluor® 488, Alexa Fluor® 647, Alexa Fluor® 555 (ab222113, ab222321, ab305366).

BDNF (Brain-Derived Neurotrophic Factor) is a key protein in neuro research, particularly for its role in supporting neuronal survival, growth and differentiation. It is crucial for synaptic plasticity, which underlies learning and memory. Researchers use BDNF to study neurodevelopment, neuroprotection and the effects of various interventions on brain health, making it essential for understanding both normal brain function and the pathology of neurodegenerative diseases. Its expression is highly regulated and can be influenced by factors such as exercise and stress.

Patented technology
Our RabMAb® technology is a patented hybridoma-based technology for making rabbit monoclonal antibodies. For details on our patents, please refer to RabMAb® patents.

What are the advantages of a recombinant monoclonal antibody?
This product is a recombinant monoclonal antibody, which offers several advantages including:

  • - High batch-to-batch consistency and reproducibility
  • - Improved sensitivity and specificity
  • - Long-term security of supply
  • - Animal-free batch production

For more information, read more on recombinant antibodies.

性能和储存信息

形式
Liquid
纯化工艺
Affinity purification Protein A
存储溶液
pH: 7.2 - 7.4 Preservative: 0.01% Sodium azide Constituents: PBS, 40% Glycerol (glycerin, glycerine), 0.05% BSA
运输条件
Conditional Ambient
推荐的短期储存时间
1-2 weeks
推荐的短期储存条件
+4°C
推荐的长期储存条件
-20°C
分装信息
Upon delivery aliquot
储存信息
Avoid freeze / thaw cycle

产品实验方案

For this product, it's our understanding that no specific protocols are required. You can visit:

靶点信息

The protein expressed by the BDNF gene is a critical signaling molecule that activates pathways downstream of NTRK2, as well as the heterodimeric receptor formed by NGFR and SORCS2. During development, it aids the survival and differentiation of specific neuronal populations in both the peripheral and central nervous systems. It is involved in axonal growth, pathfinding, and modulation of dendritic growth and morphology. In adult synapses, BDNF is a key regulator of synaptic transmission and plasticity in various CNS regions, contributing to processes like long-term potentiation, long-term depression, some short-term synaptic plasticity forms, and the homeostatic regulation of intrinsic neuronal excitability. Signaling through NGFR and SORCS2 is linked to synaptic plasticity and long-term depression, while its binding to these receptors also promotes neuronal apoptosis. This supplementary information is collated from multiple sources and compiled automatically.
See full target information BDNF

文献 (725)

Recent publications for all applications. Explore the full list and refine your search

Chinese medicine 20:162 PubMed41047379

2025

Novel intranasal delivery of sihosogansan demonstrates rapid antidepressant activity via GABAergic and BDNF/TrkB pathways: identification of potential bioactive quality markers.

Applications

Unspecified application

Species

Unspecified reactive species

Khoa Nguyen Tran,Yeasmin Akter Munni,Ly Thi Huong Nguyen,Tae Woo Oh,Ho Jin Choi,Il Soo Moon,In-Jun Yang

Alzheimer's & dementia : the journal of the Alzheimer's Association 21:e70645 PubMed41031399

2025

Differences in inflammatory markers, mitochondrial function, and synaptic proteins in male and female Alzheimer's disease post mortem brains.

Applications

Unspecified application

Species

Unspecified reactive species

Alex J T Yang,Ahmad Mohammad,Robert W E Crozier,Lucas Maddalena,Evangelia Tsiani,Adam J MacNeil,Gaynor E Spencer,Aleksandar Necakov,Paula Duarte-Guterman,Jeffery Stuart,Rebecca E K MacPherson

Behavioral and brain functions : BBF 21:30 PubMed41024195

2025

Isoacteoside alleviates LPS-induced depressive-like behaviors in mice by inhibiting neuroinflammation through regulating microglial polarization and oxidative stress.

Applications

Unspecified application

Species

Unspecified reactive species

Jiajia Bi,Hui Zhang,Jia Wei,Xuhui Huang,Yuqian Dong,Yifan Dong,Yiming Xie,Ranran Li,Sujuan Chen,Zihan Zhao,Binfeng Cheng

iScience 28:113489 PubMed41019369

2025

Therapeutic potential of 5HT2CR in alleviating spasticity and pain via modulation of motor neurons and interneurons in spinal cord injury.

Applications

Unspecified application

Species

Unspecified reactive species

Han Gong,Zuliyaer Talifu,Yu-Zhe Sun,Zhao-Ming Yue,Xiao-Xia Du,Liang-Jie Du

International journal of molecular sciences 26: PubMed41009813

2025

HY7715 Alleviates Restraint Stress-Induced Anxiety-like Behaviors by Modulating Oxidative Stress, Apoptosis, and Mitochondrial Function.

Applications

Unspecified application

Species

Unspecified reactive species

Kippuem Lee,Daehyeop Lee,Haeryn Jeong,Joo Yun Kim,Jae Jung Shim,Jae Hwan Lee

CNS neuroscience & therapeutics 31:e70618 PubMed40994415

2025

Congenital Hypothyroidism Dysregulates TRPC6 to Mediate Abnormal Dendritic Spine Growth of Hippocampal Neurons.

Applications

Unspecified application

Species

Unspecified reactive species

Tianci Li,Feifei Shen,Lingling Li,Peng Chen,Zhiwen Zhu,Yuqin Zheng,Haiying Li,Guihai Suo,Yongjun Wang,Jinlong Shi,Youjia Wu

Neural plasticity 2025:9933756 PubMed40969839

2025

Electroacupuncture Preconditioning Ameliorates the Ischemic Microenvironment to Improve Long-Term Potentiation in Chronic Cerebral Hypoperfusion Rats With MGE Neural Progenitor Transplantation.

Applications

Unspecified application

Species

Unspecified reactive species

Danping Li,Juan Li,Luting Chen,Qiongfang Wu,Min Lu,Xiaohua Han,Hong Chen

Molecular pain 21:17448069251376198 PubMed40968661

2025

Inhibition of mTOR/S6K1/Gli1 signaling alleviates morphine-induced thermal hyperalgesia and tolerance.

Applications

Unspecified application

Species

Unspecified reactive species

Xing-He Wang,Long Wang,Long Yang,Yang Bai,Ling-Fei Xu,Miao-Miao Li,Yu-Cheng Liu,Jia Sun,Su Liu

The European journal of neuroscience 62:e70235 PubMed40960371

2025

Electrical Stimulation-Induced Muscle Damage Alters Hippocampal BDNF Signaling.

Applications

Unspecified application

Species

Unspecified reactive species

Julien Wirtz,Rémi Chaney,Marina Cefis,Alexandre Méloux,Yuan Wang,Stéphanie Lemaire,Aurore Quirié,Julien Delezie,Gilles Gouspillou,Anne Prigent-Tessier,Philippe Garnier

Molecular psychiatry : PubMed40954279

2025

Aging reduces motivation through decreased Bdnf expression in the ventral tegmental area.

Applications

Unspecified application

Species

Unspecified reactive species

Hanyue Cecilia Lei,Kyle E Parker,Chao-Cheng Kuo,Carla M Yuede,Jordan G McCall,Shin-Ichiro Imai
View all publications

Abcam Product Promise

我们致力于为您的研究提供高质量的试剂,为您科研的每一步提供支持。若我们的产品未能达到预期性能,我们向您提供 Abcam Product Promise 保障。
详情请参阅我们的条款与条件。

Please note: All products are 'FOR RESEARCH USE ONLY. NOT FOR USE IN DIAGNOSTIC OR THERAPEUTIC PROCEDURES'.

For licensing inquiries, please contact partnerships@abcam.com