JavaScript is disabled in your browser. Please enable JavaScript to view this website.
AB182858

Anti-Bcl-2 抗体 [EPR17509]

Anti-Bcl-2 antibody [EPR17509]

  • BOND RX™ Validated
  • RabMAb
  • Recombinant
  • KO Validated
  • 了解详情

5

(13 Reviews)

|

(631 Publications)

Anti-Bcl-2 antibody [EPR17509] (ab182858) is a rabbit monoclonal antibody detecting Bcl-2 in Western Blot, Flow Cytometry (Intra), Flow Cytometry, IHC-P. Suitable for Human, Mouse.

- KO validated for confirmed specificity
- Biophysical QC for unrivalled batch-batch consistency
- Over 630 publications

查看别名

Apoptosis regulator Bcl-2, BCL2

12 Images
Immunohistochemistry (Formalin/PFA-fixed paraffin-embedded sections) - Anti-Bcl-2 antibody [EPR17509] (AB182858)
  • IHC-P

Supplier Data

Immunohistochemistry (Formalin/PFA-fixed paraffin-embedded sections) - Anti-Bcl-2 antibody [EPR17509] (AB182858)

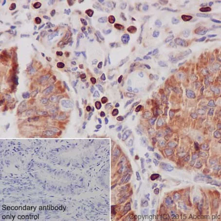
Immunohistochemical analysis of paraffin-embedded Human endometrial cancer tissue labeling Bcl-2 with ab182858 at 1/1000 followed by Goat Anti-Rabbit IgG H&L (HRP) (ab97051) at 1/500.

Cytoplasm, nuclear membrane and nucleus staining on lymphocytes and cancer cells of Human endometrial cancer tissue is observed.

Counter stained with Hematoxylin.
Negative control : Used PBS instead of primary antibody followed by ab97051 at 1/500.

Perform heat mediated antigen retrieval with Tris/EDTA buffer pH 9.0 before commencing with IHC staining protocol.

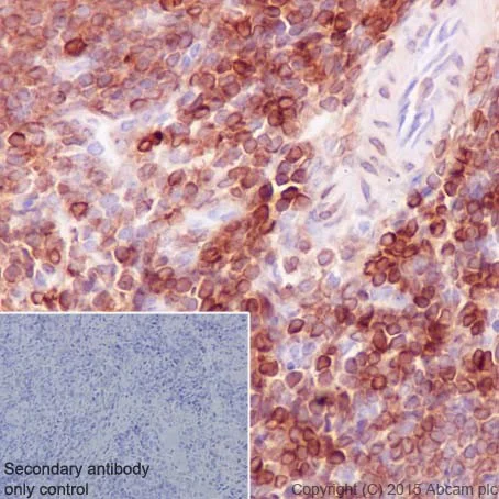
Immunohistochemistry (Formalin/PFA-fixed paraffin-embedded sections) - Anti-Bcl-2 antibody [EPR17509] (AB182858)
  • IHC-P

Lab

Immunohistochemistry (Formalin/PFA-fixed paraffin-embedded sections) - Anti-Bcl-2 antibody [EPR17509] (AB182858)

Immunohistochemical analysis of formalin fixed paraffin embedded human spleen labelling Bcl-2 with ab182858 at a concentration of 0.32µg/ml. The immunostaining was performed on a Leica Biosystems BOND ® RX instrument with a Bond™ Polymer Refine Detection kit. Heat mediated antigen retrieval was performed with Tris-EDTA buffer (pH 9.0, Epitope Retrieval Solution 2) for 20mins.

ab182858 anti-Bcl-2 antibody [EPR17509] was incubated for 15mins at room temperature. Sections were counterstained with Hematoxylin. Image inset shows absence of staining in secondary antibody only control.

Customers are encouraged to optimise antigen retrieval conditions, antibody concentration, incubation times and temperature for best results in their own IHC assay workflow (automated and manual)

Immunohistochemistry (Formalin/PFA-fixed paraffin-embedded sections) - Anti-Bcl-2 antibody [EPR17509] (AB182858)
  • IHC-P

Lab

Immunohistochemistry (Formalin/PFA-fixed paraffin-embedded sections) - Anti-Bcl-2 antibody [EPR17509] (AB182858)

Immunohistochemical analysis of formalin fixed paraffin embedded human spleen labelling Bcl-2 with ab182858 at a concentration of 0.86µg/ml. The immunostaining was performed on a Ventana DISCOVERY ULTRA (Roche Tissue Diagnostics) instrument with a OptiView DAB IHC Detection Kit. Heat mediated antigen retrieval was performed with DISCOVERY cell conditioning solution (CC1) 100°C, pH8.5 for 32mins.

ab182858 anti-Bcl-2 antibody [EPR17509] was incubated for 16mins at 37°C. Sections were counterstained with Hematoxylin II. Image inset shows absence of staining in secondary antibody only control.

Customers are encouraged to optimise antigen retrieval conditions, antibody concentration, incubation times and temperature for best results in their own IHC assay workflow (automated and manual)

Western blot - Anti-Bcl-2 antibody [EPR17509] (AB182858)
  • WB

Supplier Data

Western blot - Anti-Bcl-2 antibody [EPR17509] (AB182858)

Blocking and diluting buffer was 5% NFDM /TBST.

All lanes:

Western blot - Anti-Bcl-2 antibody [EPR17509] (ab182858) at 1/2000 dilution

Lane 1:

Human fetal kidney lysate at 10 µg

Lane 2:

Human fetal spleen lysate at 10 µg

Secondary

All lanes:

Anti-Rabbit IgG (HRP), specific to the non-reduced form of IgG at 1/1000 dilution

Predicted band size: 26 kDa

Observed band size: 26 kDa

true

Exposure time: 3min

Western blot - Anti-Bcl-2 antibody [EPR17509] (AB182858)
  • WB

Supplier Data

Western blot - Anti-Bcl-2 antibody [EPR17509] (AB182858)

Blocking and diluting buffer was 5% NFDM /TBST.

All lanes:

Western blot - Anti-Bcl-2 antibody [EPR17509] (ab182858) at 1/2000 dilution

Lane 1:

Mouse brain lysate at 10 µg

Lane 2:

Mouse heart lysate at 10 µg

Lane 3:

Mouse kidney lysate at 10 µg

Lane 4:

Mouse spleen lysate at 10 µg

Lane 5:

NIH/3T3 (Mouse embryo fibroblast cell line) whole cell lysate at 10 µg

Secondary

All lanes:

Western blot - Goat Anti-Rabbit IgG H&L (HRP) (<a href='/products/secondary-antibodies/goat-rabbit-igg-h-l-hrp-ab97051'>ab97051</a>) at 1/1000 dilution

Predicted band size: 26 kDa

Observed band size: 26 kDa

true

Exposure time: 3min

Flow Cytometry (Intracellular) - Anti-Bcl-2 antibody [EPR17509] (AB182858)
  • Flow Cyt (Intra)

Supplier Data

Flow Cytometry (Intracellular) - Anti-Bcl-2 antibody [EPR17509] (AB182858)

Intracellular flow cytometric analysis of 4% paraformaldehyde-fixed Jurkat (Human T cell leukemia cells from peripheral blood) cells labeling Bcl-2 with ab182858 at 1/250 (red) compared with a rabbit monoclonal IgG isotype control (ab172730) (black) and a unlabelled control (cells without incubation with primary antibody and secondary antibody (blue)). Goat anti rabbit IgG (FITC) at 1/500 was used as the secondary antibody.

Immunohistochemistry (Formalin/PFA-fixed paraffin-embedded sections) - Anti-Bcl-2 antibody [EPR17509] (AB182858)
  • IHC-P

Supplier Data

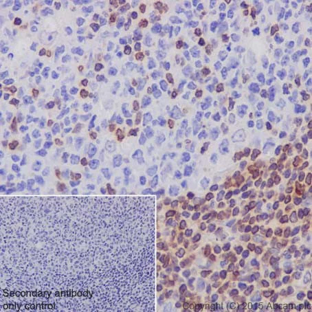
Immunohistochemistry (Formalin/PFA-fixed paraffin-embedded sections) - Anti-Bcl-2 antibody [EPR17509] (AB182858)

Immunohistochemical analysis of paraffin-embedded human tonsil tissue labeling Bcl-2 with ab182858 at 1/1000 followed by Goat Anti-Rabbit IgG H&L (HRP) (ab97051) at 1/500.

Cytoplasm, nuclear membrane and nucleus staining on lymphocytes of Human tonsil tissue is observed.

Counter stained with Hematoxylin.

Negative control : Used PBS instead of primary antibody followed by ab97051 at 1/500.

Perform heat mediated antigen retrieval with Tris/EDTA buffer pH 9.0 before commencing with IHC staining protocol.

Immunohistochemistry (Formalin/PFA-fixed paraffin-embedded sections) - Anti-Bcl-2 antibody [EPR17509] (AB182858)
  • IHC-P

Supplier Data

Immunohistochemistry (Formalin/PFA-fixed paraffin-embedded sections) - Anti-Bcl-2 antibody [EPR17509] (AB182858)

Immunohistochemical analysis of paraffin-embedded Mouse spleen tissue labeling Bcl-2 with ab182858 at 1/1000 followed by Goat Anti-Rabbit IgG H&L (HRP) (ab97051) at 1/500.

Cytoplasm, nuclear membrane and nucleus staining on lymphocytes of Mouse spleen tissue is observed.

Counter stained with Hematoxylin.
Negative control : Used PBS instead of primary antibody followed by ab97051 at 1/500.

Perform heat mediated antigen retrieval with Tris/EDTA buffer pH 9.0 before commencing with IHC staining protocol.

Western blot - Anti-Bcl-2 antibody [EPR17509] (AB182858)
  • WB

Lab

Western blot - Anti-Bcl-2 antibody [EPR17509] (AB182858)

Blocking/Diluting buffer 5% NFDM/TBST

All lanes:

Western blot - Anti-Bcl-2 antibody [EPR17509] (ab182858) at 1/10000 dilution

Lane 1:

NIH/3T3 (mouse embryo fibroblast cell line) whole cell lysate at 20 µg

Lane 2:

WEHI-3 (mouse leukemia cell line) whole cell lysate at 20 µg

Lane 3:

Mouse hippocampus at 10 µg

Lane 4:

Mouse heart at 10 µg

Secondary

All lanes:

Goat Anti-Rabbit IgG H&L (HRP) at 1/2000 dilution

Predicted band size: 26 kDa

Observed band size: 26 kDa

false

Exposure time: 8s

Western blot - Anti-Bcl-2 antibody [EPR17509] (AB182858)
  • WB

Lab

Western blot - Anti-Bcl-2 antibody [EPR17509] (AB182858)

Lanes 1- 2 : Merged signal (red and green). Green - ab182858 observed at 26 kDa. Red - Anti-GAPDH antibody [6C5] - Loading Control (ab8245) observed at 37 kDa.

ab182858 was shown to react with Bcl-2 in wild-type HeLa cells in western blot. Loss of signal was observed when knockout cell line ab255364 (knockout cell lysate ab263752) was used. Wild-type HeLa and BCL2 knockout HeLa cell lysates were subjected to SDS-PAGE. Membrane was blocked for 1 hour at room temperature in 0.1% TBST with 3% non-fat dried milk. ab182858 and Anti-GAPDH antibody [6C5] - Loading Control (ab8245) overnight at 4°C at a 1 in 2000 dilution and a 1 in 20000 dilution respectively. Blots were developed with Goat anti-Rabbit IgG H&L (IRDye®800CW) preadsorbed (ab216773) and Goat anti-Mouse IgG H&L (IRDye®680RD) preadsorbed (ab216776) secondary antibodies at 1 in 20000 dilution for 1 hour at room temperature before imaging.

All lanes:

Western blot - Anti-Bcl-2 antibody [EPR17509] (ab182858) at 1/2000 dilution

Lane 1:

Wild-type HeLa cell lysate at 20 µg

Lane 2:

BCL2 knockout HeLa cell lysate at 20 µg

Lane 2:

Western blot - Human BCL2 knockout HeLa cell line (<a href='/products/cell-lines/human-bcl2-knockout-hela-cell-line-ab255364'>ab255364</a>)

Predicted band size: 26 kDa

Observed band size: 26 kDa

false

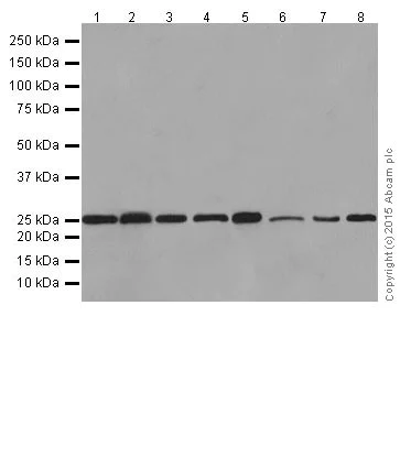
Western blot - Anti-Bcl-2 antibody [EPR17509] (AB182858)
  • WB

Supplier Data

Western blot - Anti-Bcl-2 antibody [EPR17509] (AB182858)

Blocking and diluting buffer was 5% NFDM /TBST.

All lanes:

Western blot - Anti-Bcl-2 antibody [EPR17509] (ab182858) at 1/20000 dilution

Lane 1:

Human tonsil lysate at 20 µg

Lane 2:

Human thymus lysate at 20 µg

Lane 3:

Jurkat (Human T cell leukemia cells from peripheral blood) whole cell lysate at 20 µg

Lane 4:

U-937 (Human histiocytic lymphoma cells) whole cell lysate at 20 µg

Lane 5:

THP-1 (Human monocytic leukemia cells) whole cell lysate at 20 µg

Lane 6:

HeLa (Human epithelial cells from cervix adenocarcinoma) whole cell lysate at 20 µg

Lane 7:

C2C12 (Mouse myoblast cell line) whole cell lysate at 20 µg

Lane 8:

WEHI-3 (Mouse leukemia cell line) whole cell lysate at 20 µg

Secondary

All lanes:

Western blot - Goat Anti-Rabbit IgG H&L (HRP) (<a href='/products/secondary-antibodies/goat-rabbit-igg-h-l-hrp-ab97051'>ab97051</a>) at 1/1000 dilution

Predicted band size: 26 kDa

Observed band size: 26 kDa

true

Exposure time: 1min

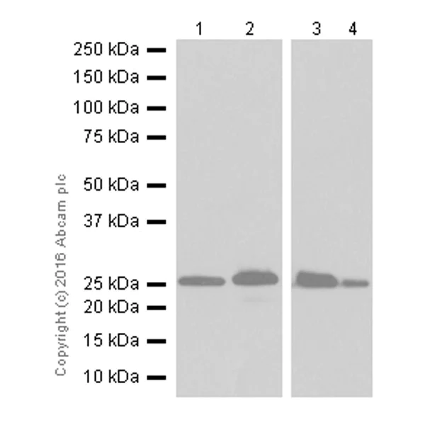
Western blot - Anti-Bcl-2 antibody [EPR17509] (AB182858)
  • WB

Lab

Western blot - Anti-Bcl-2 antibody [EPR17509] (AB182858)

Lanes 1 - 4 : Merged signal (red and green). Green - ab182858 observed at 26 kDa. Red - loading control, ab8245, observed at 37 kDa.

ab182858 was shown to specifically react with BCL2 when BCL2 knockout samples were used. Wild-type and BCL2 knockout samples were subjected to SDS-PAGE. ab182858 and ab8245 (Mouse anti GAPDH loading control) were incubated overnight at 4°C at 1 ug/ml and 1/10000 dilution respectively. Blots were developed with Goat anti-Rabbit IgG H&L (IRDye® 800CW) preabsorbed ab216773 and Goat anti-Mouse IgG H&L (IRDye® 680RD) preabsorbed ab216776 secondary antibodies at 1/10000 dilution for 1 hour at room temperature before imaging.

All lanes:

Western blot - Anti-Bcl-2 antibody [EPR17509] (ab182858) at 1 µg/mL

Lane 1:

Wild-type HAP1 whole cell lysate at 20 µg

Lane 2:

BCL2 knockout HAP1 whole cell lysate at 20 µg

Lane 3:

HeLa whole cell lysate at 20 µg

Lane 4:

THP-1 whole cell lysate at 20 µg

Predicted band size: 26 kDa

Observed band size: 26 kDa

false

不同偶联物与剂型 (2)

  • Carrier free

    Anti-Bcl-2 antibody [EPR17509] - BSA and Azide free

  • HRP

    HRP Anti-Bcl-2 antibody [EPR17509]

关键信息

宿主种属

Rabbit

克隆

Monoclonal

克隆号

EPR17509

亚型

IgG

不含载体蛋白

No

反应种属

Mouse, Human

应用

WB, Flow Cyt (Intra), IHC-P

applications

免疫原

The exact immunogen used to generate this antibody is proprietary information.

反应性数据

{ "title": "Reactivity Data", "filters": { "stats": ["", "Species", "Dilution Info", "Notes"], "tabs": { "all-applications": {"fullname" : "All Applications", "shortname": "All Applications"}, "WB" : {"fullname" : "Western blot", "shortname":"WB"}, "ICCIF" : {"fullname" : "Immunocytochemistry/ Immunofluorescence", "shortname":"ICC/IF"}, "FlowCytIntra" : {"fullname" : "Flow Cytometry (Intracellular)", "shortname":"Flow Cyt (Intra)"}, "IHCP" : {"fullname" : "Immunohistochemistry (Formalin/PFA-fixed paraffin-embedded sections)", "shortname":"IHC-P"} }, "product-promise": { "all": "all", "testedAndGuaranteed": "tested", "guaranteed": "expected", "predicted": "predicted", "notRecommended": "not-recommended" } }, "values": { "Human": { "WB-species-checked": "testedAndGuaranteed", "WB-species-dilution-info": "1/2000", "WB-species-notes": "<p></p>", "ICCIF-species-checked": "notRecommended", "ICCIF-species-dilution-info": "1/150", "ICCIF-species-notes": "<p></p>", "FlowCytIntra-species-checked": "testedAndGuaranteed", "FlowCytIntra-species-dilution-info": "1/250", "FlowCytIntra-species-notes": "<p></p>", "IHCP-species-checked": "testedAndGuaranteed", "IHCP-species-dilution-info": "1/500", "IHCP-species-notes": "<p></p> Perform heat-mediated antigen retrieval with Tris/EDTA buffer pH 9.0 before commencing with IHC staining protocol." }, "Mouse": { "WB-species-checked": "testedAndGuaranteed", "WB-species-dilution-info": "1/2000", "WB-species-notes": "<p></p>", "ICCIF-species-checked": "notRecommended", "ICCIF-species-dilution-info": "1/150", "ICCIF-species-notes": "<p></p>", "FlowCytIntra-species-checked": "guaranteed", "FlowCytIntra-species-dilution-info": "", "FlowCytIntra-species-notes": "", "IHCP-species-checked": "testedAndGuaranteed", "IHCP-species-dilution-info": "1/500", "IHCP-species-notes": "<p></p> Perform heat-mediated antigen retrieval with Tris/EDTA buffer pH 9.0 before commencing with IHC staining protocol." } } }

您可能对以下产品感兴趣:

AB119506

Human Bcl-2 ELISA Kit

0

0 Reviews

查看产品
为什么推荐这个?

我们推荐这个产品,因为它经常被用于相同的实验或相关的研究。

我们建议您务必查阅产品说明书,以确认其是否符合您的实验需求;若有疑问,也可联系我们的技术团队获取协助。

产品详情

性能和储存信息

形式
Liquid
纯化工艺
Affinity purification Protein A
存储溶液
pH: 7.2 Preservative: 0.01% Sodium azide Constituents: 59% PBS, 40% Glycerol (glycerin, glycerine), 0.05% BSA
运输条件
Blue Ice
推荐的短期储存时间
1-2 weeks
推荐的短期储存条件
+4°C
推荐的长期储存条件
-20°C
分装信息
Upon delivery aliquot
储存信息
Avoid freeze / thaw cycle

补充信息

This supplementary information is collated from multiple sources and compiled automatically.

Bcl-2 also known as B-cell lymphoma 2 is an important protein involved in the regulation of apoptosis. It mechanically functions by inhibiting cell death and is a member of the Bcl-2 family of proteins. Bcl-2 has a molecular weight of approximately 26 kDa. It is expressed mainly in fetal and adult tissues including the immune system and is notably present in hematopoietic stem cells and various cell lines derived from lymphoid tissues. In laboratory practices scientists often assess Bcl-2 expression levels through techniques like western blotting using antibodies such as 10c4 for detection.
Biological function summary

The role of Bcl-2 extends to maintaining cell survival and balancing apoptotic signals. It functions as an anti-apoptotic molecule within the cell primarily involved in forming complexes with pro-apoptotic members of the Bcl-2 family like Bax and Bak. These interactions prevent mitochondrial membrane permeabilization which is an important step in apoptotic signal transduction. As an important regulator of apoptosis Bcl-2 helps in cellular homeostasis and appropriate immune responses under physiological conditions.

Pathways

Bcl-2 plays a critical role in the intrinsic or mitochondrial pathway of apoptosis. Within this pathway Bcl-2 interacts with other proteins such as cytochrome c and APAF-1 to inhibit apoptosis. This pathway involves a network of Bcl-2 family proteins where Bcl-2's anti-apoptotic role counteracts the pro-apoptotic activity of proteins like Bax. These interactions help fine-tune the apoptotic response to various internal stimuli maintaining cellular integrity and function.

The dysregulation of Bcl-2 expression has been implicated in cancer and autoimmune diseases. Overexpression of Bcl-2 is associated with several types of cancer including lymphomas and breast cancer where its anti-apoptotic property leads to tumor cell survival and resistance to chemotherapy. Bcl-2 also connects to disorders such as autoimmune diseases due to its regulation of cell survival with proteins like Bim playing an opposite role in promoting apoptosis. Understanding Bcl-2's functionality within these contexts is essential for developing targeted therapies.

产品实验方案

For this product, it's our understanding that no specific protocols are required. You can visit:

靶点信息

Suppresses apoptosis in a variety of cell systems including factor-dependent lymphohematopoietic and neural cells (PubMed : 1508712, PubMed : 8183370). Regulates cell death by controlling the mitochondrial membrane permeability (PubMed : 11368354). Appears to function in a feedback loop system with caspases (PubMed : 11368354). Inhibits caspase activity either by preventing the release of cytochrome c from the mitochondria and/or by binding to the apoptosis-activating factor (APAF-1) (PubMed : 11368354). Also acts as an inhibitor of autophagy : interacts with BECN1 and AMBRA1 during non-starvation conditions and inhibits their autophagy function (PubMed : 18570871, PubMed : 20889974, PubMed : 21358617). May attenuate inflammation by impairing NLRP1-inflammasome activation, hence CASP1 activation and IL1B release (PubMed : 17418785).
See full target information BCL2

文献 (631)

Recent publications for all applications. Explore the full list and refine your search

Nanomaterials (Basel, Switzerland) 13: PubMed38133063

2023

Intravenous Injection of PEI-Decorated Iron Oxide Nanoparticles Impacts NF-kappaB Protein Expression in Immunologically Stressed Mice.

Applications

Unspecified application

Species

Unspecified reactive species

Claudia Schwarz,Julia Göring,Cordula Grüttner,Ingrid Hilger

Journal of nanobiotechnology 21:488 PubMed38105218

2023

Inhibitory effects of the nanoscale lysate derived from xenogenic dental pulp stem cells in lung cancer models.

Applications

Unspecified application

Species

Unspecified reactive species

Yan He,Ruohan Li,Wenting She,Yilong Ai,Kesheng Li,Tushar Kumeria,Ziran Jiang,Qing Shao,Chen Zou,Abdullkhaleg Ali Albashari,Xingxiang Duan,Qingsong Ye

BMC complementary medicine and therapies 23:461 PubMed38102661

2023

Proteomic analysis reveals the molecular mechanism of Astragaloside in the treatment of non-small cell lung cancer by inducing apoptosis.

Applications

Unspecified application

Species

Unspecified reactive species

Jiaqi Liu,Yan Sun,Wenjing Chen,Lingling Deng,Mengmeng Chen,Jingcheng Dong

PeerJ 11:e16517 PubMed38107591

2023

Exosomes from adipose-derived stem cells alleviate premature ovarian failure via blockage of autophagy and AMPK/mTOR pathway.

Applications

Unspecified application

Species

Unspecified reactive species

Yu Ren,Jinying He,Xiao Wang,Hongyu Liang,Yuzhen Ma

Cell death & disease 14:825 PubMed38092733

2023

The TRIM21-FOXD1-BCL-2 axis underlies hyperglycaemic cell death and diabetic tissue damage.

Applications

Unspecified application

Species

Unspecified reactive species

Wenwen Cheng,Cifeng Cai,Yifan Xu,Xueqi Xiao,Tiantian Shi,Yueling Liao,Xiaoyi Wang,Shasha Chen,Meiliang Zhou,Zhiyong Liao

PeerJ 11:e16659 PubMed38107572

2023

CXCL10-based gene cluster model serves as a potential diagnostic biomarker for premature ovarian failure.

Applications

Unspecified application

Species

Unspecified reactive species

Ying Qin,Canliang Wen,Huijiao Wu

Analytical cellular pathology (Amsterdam) 2023:4500810 PubMed38077523

2023

Luteolin Pretreatment Ameliorates Myocardial Ischemia/Reperfusion Injury by lncRNA-JPX/miR-146b Axis.

Applications

Unspecified application

Species

Unspecified reactive species

Tongda Xu,Yuanyuan Zhang,Gege Liao,Haochen Xuan,Jie Yin,Jieli Bao,Yang Liu,Dongye Li

Oncology letters 27:8 PubMed38028180

2023

Effect of IFN‑γ encapsulated liposomes on major signal transduction pathways in the lymphocytes of patients with lung cancer.

Applications

Unspecified application

Species

Unspecified reactive species

Maysa Alhawamdeh,Belal Almajali,Wafa Hourani,Hamid Ali Nagi Al-Jamal,Abdullah Saleh Al-Wajeeh,Nesrin Riad Mwafi,Yousef Al-Hajaya,Hanan Kamel M Saad,Diana Anderson,Mahmoud Odeh,Ibraheam A Tarawneh

Nature communications 14:7856 PubMed38030636

2023

A click chemistry-mediated all-peptide cell printing hydrogel platform for diabetic wound healing.

Applications

Unspecified application

Species

Unspecified reactive species

Jinjian Huang,Rong Yang,Jiao Jiao,Ze Li,Penghui Wang,Ye Liu,Sicheng Li,Canwen Chen,Zongan Li,Guiwen Qu,Kang Chen,Xiuwen Wu,Bo Chi,Jianan Ren

Archives of gerontology and geriatrics 117:105274 PubMed37995648

2023

Protective effect of TNFAIP3 on testosterone production in Leydig cells under an aging inflammatory microenvironment.

Applications

Unspecified application

Species

Unspecified reactive species

Dong Xing,Yihan Jin,Dalin Sun,Yuanyuan Liu,Bin Cai,Chao Gao,Yugui Cui,Baofang Jin
View all publications

Abcam Product Promise

我们致力于为您的研究提供高质量的试剂,为您科研的每一步提供支持。若我们的产品未能达到预期性能,我们向您提供 Abcam Product Promise 保障。
详情请参阅我们的条款与条件。

关联产品

Select an associated product type
Alternative Product
Primary Antibodies

AB270252

Anti-Bcl-2 antibody [SPM117]

primary-antibodies

bcl-2-antibody-spm117-ab270252

0

(0 reviews)

Alternative Product
Primary Antibodies

AB238041

Anti-Bcl-2 antibody [BCL2/2210R]

primary-antibodies

bcl-2-antibody-bcl2-2210r-ab238041

0

(0 reviews)

Alternative Product
Primary Antibodies

AB212800

Anti-Bcl-2 antibody [100/D5] - BSA and Azide free

primary-antibodies

bcl-2-antibody-100-d5-bsa-and-azide-free-ab212800

0

(0 reviews)

Alternative Product
Primary Antibodies

AB28819

Anti-Bcl-2 (phospho S70) antibody

primary-antibodies

bcl-2-phospho-s70-antibody-ab28819

0

(0 reviews)

Alternative Product
Primary Antibodies

AB73985

Anti-Bcl-2 (phospho S87) antibody

primary-antibodies

bcl-2-phospho-s87-antibody-ab73985

0

(0 reviews)

Alternative Product
Primary Antibodies

AB59348

Anti-Bcl-2 antibody

primary-antibodies

bcl-2-antibody-ab59348

4

(3 reviews)

Alternative Product
Primary Antibodies

AB194583

Anti-Bcl-2 antibody

primary-antibodies

bcl-2-antibody-ab194583

0

(0 reviews)

Alternative Product
Primary Antibodies

AB692

Anti-Bcl-2 antibody [100/D5]

primary-antibodies

bcl-2-antibody-100-d5-ab692

4

(9 reviews)

Alternative Product
Primary Antibodies

AB241548

Anti-Bcl-2 antibody [NOR 235J]

primary-antibodies

bcl-2-antibody-nor-235j-ab241548

0

(0 reviews)

Alternative Product
Primary Antibodies

AB252802

Anti-Bcl-2 antibody [NOR 235J] - BSA and Azide free

primary-antibodies

bcl-2-antibody-nor-235j-bsa-and-azide-free-ab252802

0

(0 reviews)

Alternative Product
Primary Antibodies

AB233694

Anti-Bcl-2 (phospho S70) antibody [EPR21162] - BSA and Azide free

primary-antibodies

bcl-2-phospho-s70-antibody-epr21162-bsa-and-azide-free-ab233694

0

(0 reviews)

Alternative Product
Primary Antibodies

AB185002

Anti-Bcl-2 antibody [E17] - BSA and Azide free

primary-antibodies

bcl-2-antibody-e17-bsa-and-azide-free-ab185002

0

(0 reviews)

Alternative Product
Primary Antibodies

AB117115

Anti-Bcl-2 antibody [Bcl2/100]

primary-antibodies

bcl-2-antibody-bcl2-100-ab117115

3

(1 reviews)

Alternative Product
Primary Antibodies

AB32124

Anti-Bcl-2 antibody [E17]

primary-antibodies

bcl-2-antibody-e17-ab32124

3

(14 reviews)

Alternative Product
Primary Antibodies

AB218123

Anti-Bcl-2 (phospho S70) antibody [EPR21162]

primary-antibodies

bcl-2-phospho-s70-antibody-epr21162-ab218123

0

(0 reviews)

Please note: All products are 'FOR RESEARCH USE ONLY. NOT FOR USE IN DIAGNOSTIC OR THERAPEUTIC PROCEDURES'.

For licensing inquiries, please contact partnerships@abcam.com