JavaScript is disabled in your browser. Please enable JavaScript to view this website.
AB305168

重组Anti-BCKDHA抗体[EPR27003-11]

Anti-BCKDHA antibody [EPR27003-11]

  • BOND RX™ Validated
  • 20ul selling size
  • RabMAb
  • Recombinant
  • KO Validated
  • 了解详情

Be the first to review this product! Submit a review

|

(2 Publications)

Rabbit Recombinant Monoclonal BCKDHA antibody. Suitable for IP, IHC-P, WB and reacts with Human samples. Cited in 2 publications.

查看别名

Branched-chain alpha-keto acid dehydrogenase E1 component alpha chain, BCKDE1A, BCKDH E1-alpha, BCKDHA

7 Images
Immunohistochemistry (Formalin/PFA-fixed paraffin-embedded sections) - Anti-BCKDHA antibody [EPR27003-11] (AB305168)
  • IHC-P

Supplier Data

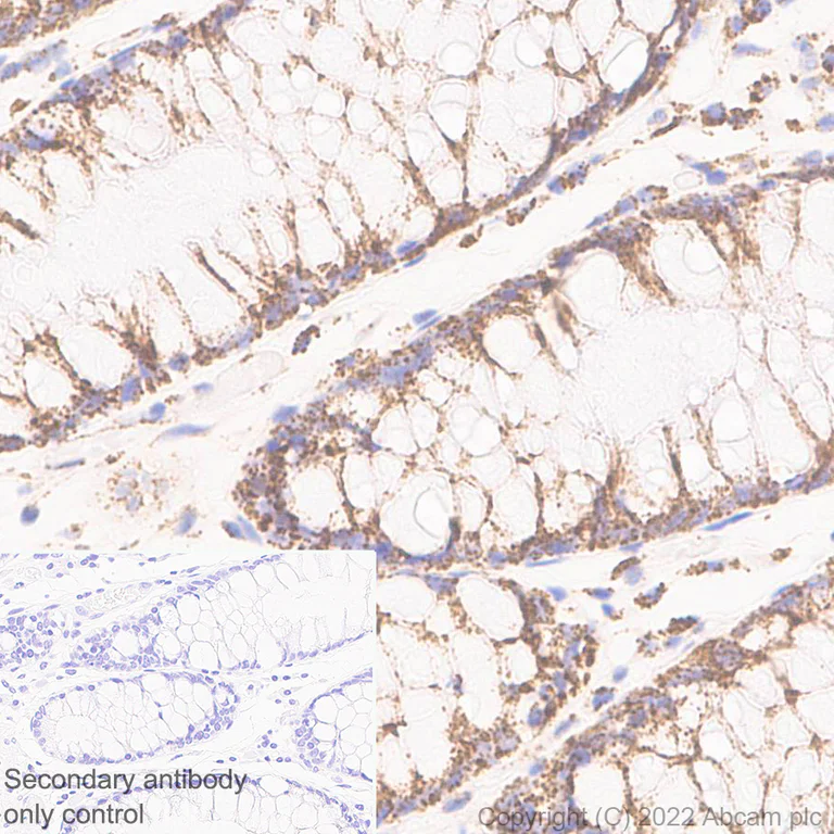
Immunohistochemistry (Formalin/PFA-fixed paraffin-embedded sections) - Anti-BCKDHA antibody [EPR27003-11] (AB305168)

Immunohistochemical analysis of paraffin-embedded Human colon tissue labeling BCKDHA with ab305168 at 1/2000 (0.264 ug/ml) followed by a ready to use LeicaDS9800 (Bond® Polymer Refine Detection) was used. Positive staining on human colon (PMID : 28501528). The section was incubated with ab305168 for 30 mins at room temperature. The immunostaining was performed on a Leica Biosystems BOND® RX instrument. Counterstained with Hematoxylin.
Secondary antibody only control : Secondary antibody is a ready to use LeicaDS9800 (Bond® Polymer Refine Detection) was used.
Heat mediated antigen retrieval was performed with Tris-EDTA buffer (pH 9.0, Epitope Retrieval Solution2) for 20 mins

Immunohistochemistry (Formalin/PFA-fixed paraffin-embedded sections) - Anti-BCKDHA antibody [EPR27003-11] (AB305168)
  • IHC-P

Supplier Data

Immunohistochemistry (Formalin/PFA-fixed paraffin-embedded sections) - Anti-BCKDHA antibody [EPR27003-11] (AB305168)

Immunohistochemical analysis of paraffin-embedded (A) Wild-type HEK293 tissue labeling BCKDHA with ab305168 at 1/5000 (0.264 ug/ml) followed by a ready to use LeicaDS9800 (Bond® Polymer Refine Detection) was used. Positive staining on (A) Wild-type HEK293T cell pellet; no staining on (B) BCKDHA knockout HEK293T (ab266439) cell pellet.The section was incubated with ab305168 for 30 mins at room temperature. The immunostaining was performed on a Leica Biosystems BOND® RX instrument. Counterstained with Hematoxylin.
Secondary antibody only control : Secondary antibody is a ready to use LeicaDS9800 (Bond® Polymer Refine Detection) was used.
Heat mediated antigen retrieval was performed with Tris-EDTA buffer (pH 9.0, Epitope Retrieval Solution2) for 20 mins

Immunohistochemistry (Formalin/PFA-fixed paraffin-embedded sections) - Anti-BCKDHA antibody [EPR27003-11] (AB305168)
  • IHC-P

Supplier Data

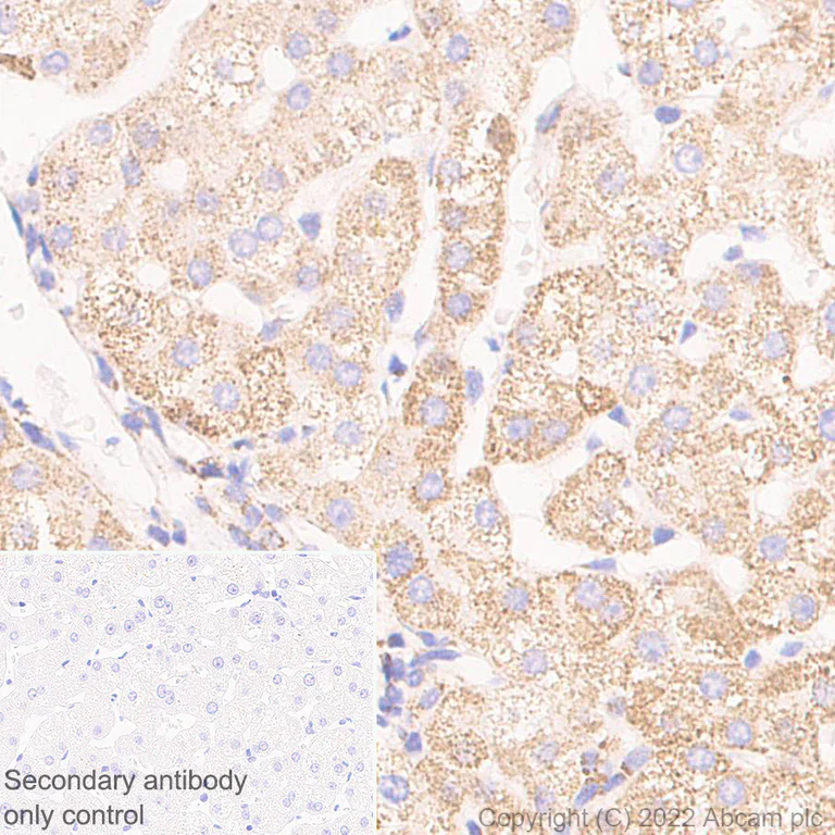
Immunohistochemistry (Formalin/PFA-fixed paraffin-embedded sections) - Anti-BCKDHA antibody [EPR27003-11] (AB305168)

Immunohistochemical analysis of paraffin-embedded Human liver tissue lABeling BCKDHA with ab305168 at 1/2000 (0.264 ug/ml) followed by a ready to use LeicaDS9800 (Bond? Polymer Refine Detection) was used. Positive staining on human liver (PMID : 3224821). The section was incubated with ab305168 for 30 mins at room temperature.The immunostaining was performed on a Leica Biosystems BOND? RX instrument Counterstained with Hematoxylin. Secondary antibody only control : Secondary antibody is a ready to use LeicaDS9800 (Bond? Polymer Refine Detection) was used. Heat mediated antigen retrieval was performed with Tris-EDTA buffer (pH 9.0, Epitope Retrieval Solution2) for 20 mins

Immunohistochemistry (Formalin/PFA-fixed paraffin-embedded sections) - Anti-BCKDHA antibody [EPR27003-11] (AB305168)
  • IHC-P

Supplier Data

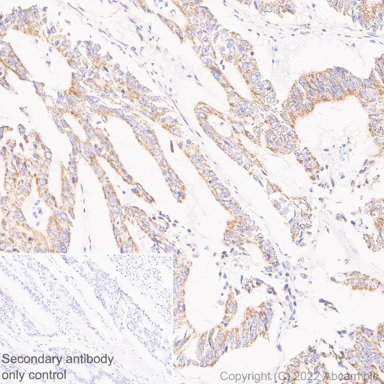
Immunohistochemistry (Formalin/PFA-fixed paraffin-embedded sections) - Anti-BCKDHA antibody [EPR27003-11] (AB305168)

Immunohistochemical analysis of paraffin-embedded Human colorectal can tissue lABeling BCKDHA with ab305168 at 1/2000 (0.264 ug/ml) followed by a ready to use LeicaDS9800 (Bond? Polymer Refine Detection) was used. Positive staining on human colorectal cancer (PMID : 28501528). The section was incubated with ab305168 for 30 mins at room temperature.The immunostaining was performed on a Leica Biosystems BOND? RX instrument Counterstained with Hematoxylin. Secondary antibody only control : Secondary antibody is a ready to use LeicaDS9800 (Bond? Polymer Refine Detection) was used. Heat mediated antigen retrieval was performed with Tris-EDTA buffer (pH 9.0, Epitope Retrieval Solution2) for 20 mins

Immunoprecipitation - Anti-BCKDHA antibody [EPR27003-11] (AB305168)
  • IP

Supplier Data

Immunoprecipitation - Anti-BCKDHA antibody [EPR27003-11] (AB305168)

BCKDHA was immunoprecipitated from 0.35 mg HEK293T (human embryonic kidney epithelial cell), whole cell lysate 10 ug with ab305168 at 1/30 dilution (2ug in 0.35mg lysates). Western blot was performed on the immunoprecipitate using ab305168 at 1/1000 dilution. VeriBlot for IP secondary antibody (HRP) (ab131366) was used at 1/5000 dilution.

Lane 1 : HEK293T (human embryonic kidney epithelial cell), whole cell lysate 10 ug
Lane 2 : ab305168 IP in HEK293T whole cell lysate
Lane 3 : Rabbit monoclonal IgG (ab172730) instead of ab305168 in HEK293T whole cell lysate

Blocking and dilution buffer and concentration : 5% NFDM/TBST.

Exposure time : 15 seconds

All lanes:

Immunoprecipitation - Anti-BCKDHA antibody [EPR27003-11] (ab305168) at 1/1000 dilution

Lane 1:

HEK293T (human embryonic kidney epithelial cell), whole cell lysate 10 μg

Lane 2:

HEK293T whole cell lysate

Secondary

All lanes:

Immunoprecipitation - VeriBlot for IP Detection Reagent (HRP) (<a href='/products/reagents/veriblot-for-ip-detection-reagent-hrp-ab131366'>ab131366</a>) at 1/5000 dilution

Observed band size: 49 kDa

false

Exposure time: 15s

Western blot - Anti-BCKDHA antibody [EPR27003-11] (AB305168)
  • WB

Supplier Data

Western blot - Anti-BCKDHA antibody [EPR27003-11] (AB305168)

Blocking and diluting buffer and concentration : 5% NFDM/TBST Exposure time : 26 seconds

All lanes:

Western blot - Anti-BCKDHA antibody [EPR27003-11] (ab305168) at 1/1000 dilution

All lanes:

Human liver tissue lysate 20 μg

Secondary

All lanes:

Western blot - Goat Anti-Rabbit IgG H&L (HRP) (<a href='/products/secondary-antibodies/goat-rabbit-igg-h-l-hrp-ab97051'>ab97051</a>) at 1/20000 dilution

Observed band size: 49 kDa

false

Exposure time: 26s

Western blot - Anti-BCKDHA antibody [EPR27003-11] (AB305168)
  • WB

Supplier Data

Western blot - Anti-BCKDHA antibody [EPR27003-11] (AB305168)

Blocking and diluting buffer and concentration : 5% NFDM/TBSTIn Western blot, ab305168 was shown to bind specifically to BCKDHA. A band was observed at 49 kDa in wild-type HEK293T cell lysates with no signal observed at this size in BCKDHA knockout cell line ab266439 (knockout cell lysate ab258324). Exposure time : 15 seconds

All lanes:

Western blot - Anti-BCKDHA antibody [EPR27003-11] (ab305168) at 1/1000 dilution

Lane 1:

Wild-type HEK293T (human embryonic kidney epithelial cell), whole cell lysate 20 μg

Lane 2:

BCKDHA knockout HEK293T whole cell lysate 20 μg

Lane 3:

HeLa (human cervix adenocarcinoma epithelial cell), whole cell lysate 20 μg

Secondary

All lanes:

Western blot - Goat Anti-Rabbit IgG H&L (HRP) (<a href='/products/secondary-antibodies/goat-rabbit-igg-h-l-hrp-ab97051'>ab97051</a>) at 1/20000 dilution

Observed band size: 49 kDa

false

Exposure time: 15s

不同偶联物与剂型 (1)

  • Carrier free

    Anti-BCKDHA antibody [EPR27003-11] - BSA and Azide free

关键信息

宿主种属

Rabbit

克隆

Monoclonal

克隆号

EPR27003-11

亚型

IgG

不含载体蛋白

No

反应种属

Human

应用

IP, IHC-P, WB

applications

免疫原

The exact immunogen used to generate this antibody is proprietary information.

反应性数据

{ "title": "Reactivity Data", "filters": { "stats": ["", "Species", "Dilution Info", "Notes"], "tabs": { "all-applications": {"fullname" : "All Applications", "shortname": "All Applications"}, "IP" : {"fullname" : "Immunoprecipitation", "shortname":"IP"}, "FlowCytIntra" : {"fullname" : "Flow Cytometry (Intracellular)", "shortname":"Flow Cyt (Intra)"}, "ICCIF" : {"fullname" : "Immunocytochemistry/ Immunofluorescence", "shortname":"ICC/IF"}, "IHCP" : {"fullname" : "Immunohistochemistry (Formalin/PFA-fixed paraffin-embedded sections)", "shortname":"IHC-P"}, "WB" : {"fullname" : "Western blot", "shortname":"WB"} }, "product-promise": { "all": "all", "testedAndGuaranteed": "tested", "guaranteed": "expected", "predicted": "predicted", "notRecommended": "not-recommended" } }, "values": { "Human": { "IP-species-checked": "testedAndGuaranteed", "IP-species-dilution-info": "1/30", "IP-species-notes": "<p></p>", "FlowCytIntra-species-checked": "notRecommended", "FlowCytIntra-species-dilution-info": "", "FlowCytIntra-species-notes": "<p></p>", "ICCIF-species-checked": "notRecommended", "ICCIF-species-dilution-info": "", "ICCIF-species-notes": "<p></p>", "IHCP-species-checked": "testedAndGuaranteed", "IHCP-species-dilution-info": "1/2000 - 1/5000", "IHCP-species-notes": "<p></p> Perform heat-mediated antigen retrieval with Tris/EDTA buffer pH 9.0 before commencing with IHC staining protocol.", "WB-species-checked": "testedAndGuaranteed", "WB-species-dilution-info": "1/1000", "WB-species-notes": "<p></p>" }, "Mouse": { "IP-species-checked": "notRecommended", "IP-species-dilution-info": "", "IP-species-notes": "", "FlowCytIntra-species-checked": "notRecommended", "FlowCytIntra-species-dilution-info": "", "FlowCytIntra-species-notes": "", "ICCIF-species-checked": "notRecommended", "ICCIF-species-dilution-info": "", "ICCIF-species-notes": "", "IHCP-species-checked": "notRecommended", "IHCP-species-dilution-info": "1/2000 - 1/5000", "IHCP-species-notes": "<p></p> Perform heat-mediated antigen retrieval with Tris/EDTA buffer pH 9.0 before commencing with IHC staining protocol.", "WB-species-checked": "notRecommended", "WB-species-dilution-info": "1/1000", "WB-species-notes": "<p></p>" }, "Rat": { "IP-species-checked": "notRecommended", "IP-species-dilution-info": "", "IP-species-notes": "", "FlowCytIntra-species-checked": "notRecommended", "FlowCytIntra-species-dilution-info": "", "FlowCytIntra-species-notes": "", "ICCIF-species-checked": "notRecommended", "ICCIF-species-dilution-info": "", "ICCIF-species-notes": "", "IHCP-species-checked": "notRecommended", "IHCP-species-dilution-info": "1/2000 - 1/5000", "IHCP-species-notes": "<p></p> Perform heat-mediated antigen retrieval with Tris/EDTA buffer pH 9.0 before commencing with IHC staining protocol.", "WB-species-checked": "notRecommended", "WB-species-dilution-info": "1/1000", "WB-species-notes": "<p></p>" } } }

产品详情

Patented technology
Our RabMAb® technology is a patented hybridoma-based technology for making rabbit monoclonal antibodies. For details on our patents, please refer to RabMAb® patents.

What are the advantages of a recombinant monoclonal antibody?
This product is a recombinant monoclonal antibody, which offers several advantages including:

  • - High batch-to-batch consistency and reproducibility
  • - Improved sensitivity and specificity
  • - Long-term security of supply
  • - Animal-free batch production

For more information, read more on recombinant antibodies.

性能和储存信息

形式
Liquid
纯化工艺
Affinity purification Protein A
存储溶液
pH: 7.2 - 7.4 Preservative: 0.01% Sodium azide Constituents: PBS, 40% Glycerol (glycerin, glycerine), 0.05% BSA
运输条件
Blue Ice
推荐的短期储存时间
1-2 weeks
推荐的短期储存条件
+4°C
推荐的长期储存条件
-20°C
分装信息
Upon delivery aliquot
储存信息
Avoid freeze / thaw cycle

产品实验方案

For this product, it's our understanding that no specific protocols are required. You can visit:

靶点信息

Together with BCKDHB forms the heterotetrameric E1 subunit of the mitochondrial branched-chain alpha-ketoacid dehydrogenase (BCKD) complex. The BCKD complex catalyzes the multi-step oxidative decarboxylation of alpha-ketoacids derived from the branched-chain amino-acids valine, leucine and isoleucine producing CO2 and acyl-CoA which is subsequently utilized to produce energy. The E1 subunit catalyzes the first step with the decarboxylation of the alpha-ketoacid forming an enzyme-product intermediate. A reductive acylation mediated by the lipoylamide cofactor of E2 extracts the acyl group from the E1 active site for the next step of the reaction.
See full target information BCKDHA

文献 (2)

Recent publications for all applications. Explore the full list and refine your search

Molecular medicine (Cambridge, Mass.) 30:149 PubMed39267003

2024

Branched-chain amino acids supplementation induces insulin resistance and pro-inflammatory macrophage polarization via INFGR1/JAK1/STAT1 signal pathway.

Applications

Unspecified application

Species

Unspecified reactive species

Huaying Huang,Heye Chen,Yu Yao,Xueyong Lou

Cell death & disease 14:445 PubMed37460470

2023

BCKDK regulates breast cancer cell adhesion and tumor metastasis by inhibiting TRIM21 ubiquitinate talin1.

Applications

Unspecified application

Species

Unspecified reactive species

Chunlan Xu,Kunao Yang,Zuodong Xuan,Jinxin Li,Yankuo Liu,Yue Zhao,Zeyuan Zheng,Yang Bai,Zhiyuan Shi,Chen Shao,Lei Zhang,Huimin Sun
View all publications

Abcam Product Promise

我们致力于为您的研究提供高质量的试剂,为您科研的每一步提供支持。若我们的产品未能达到预期性能,我们向您提供 Abcam Product Promise 保障。
详情请参阅我们的条款与条件。

Please note: All products are 'FOR RESEARCH USE ONLY. NOT FOR USE IN DIAGNOSTIC OR THERAPEUTIC PROCEDURES'.

For licensing inquiries, please contact partnerships@abcam.com