JavaScript is disabled in your browser. Please enable JavaScript to view this website.
AB32503

Anti-Bax 抗体 [E63]

Anti-Bax antibody [E63]

  • BOND RX™ Validated
  • 20ul selling size
  • RabMAb
  • Recombinant
  • KO Validated
  • 了解详情

4

(12 Reviews)

|

(3490 Publications)

Anti-Bax antibody [E63] (ab32503) is a rabbit monoclonal antibody detecting Bax in Western Blot, IP, IHC-P, ELISA. Suitable for Human, Mouse, Rat.

- KO validated for confirmed specificity
- Biophysical QC for unrivalled batch-batch consistency
- Over 2470 publications
- Trusted since 2006

查看别名

BCL2L4, BAX, Apoptosis regulator BAX, Bcl-2-like protein 4, Bcl2-L-4

11 Images
Immunohistochemistry (Formalin/PFA-fixed paraffin-embedded sections) - Anti-Bax antibody [E63] (AB32503)
  • IHC-P

Unknown

Immunohistochemistry (Formalin/PFA-fixed paraffin-embedded sections) - Anti-Bax antibody [E63] (AB32503)

Purified ab32503 staining Bax in Human lung carcinoma tissue section by immmunohistochemistry (IHC-P- Formalin/PFA-fixed paraffin-embedded sections). Tissue was fixed with paraffin and heat mediated antigen retrieval was performed using EDTA buffer (pH 9.0). Samples were incubated with primary antibody at 1 : 500 dilution. A goat anti-rabbit IgG H&L (HRP) (ab97051) was used as a secondary antibody at 1 : 500 dilution. Cytoplasmic staining on human lung carcinoma.

Immunohistochemistry (Formalin/PFA-fixed paraffin-embedded sections) - Anti-Bax antibody [E63] (AB32503)
  • IHC-P

Unknown

Immunohistochemistry (Formalin/PFA-fixed paraffin-embedded sections) - Anti-Bax antibody [E63] (AB32503)

Immunohistochemical analysis of paraffin-embedded human lymph node using anti-Bax Rabbit Monoclonal Antibody (ab32503) at 1/250 dilution.

Perform heat mediated antigen retrieval with citrate buffer pH 6 before commencing with IHC staining protocol.

Immunohistochemistry (Formalin/PFA-fixed paraffin-embedded sections) - Anti-Bax antibody [E63] (AB32503)
  • IHC-P

Lab

Immunohistochemistry (Formalin/PFA-fixed paraffin-embedded sections) - Anti-Bax antibody [E63] (AB32503)

Immunohistochemical analysis of formalin fixed paraffin embedded human tonsil labelling BAX with ab32503 at a concentration of 0.05 µg/ml. The immunostaining was performed on a Ventana DISCOVERY ULTRA (Roche Tissue Diagnostics) instrument with a OptiView DAB IHC Detection Kit. Heat mediated antigen retrieval was performed with DISCOVERY cell conditioning solution (CC1) 100°C, pH8.5 for 32mins.

ab32503 Anti-Bax antibody [E63] was incubated for 16mins at 37°C. Sections were counterstained with Hematoxylin II. Image inset shows absence of staining in secondary antibody only control.

Customers are encouraged to optimise antigen retrieval conditions, antibody concentration, incubation times and temperature for best results in their own IHC assay workflow (automated and manual)

Sandwich ELISA - Anti-Bax antibody [E63] (AB32503)
  • sELISA

Unknown

Sandwich ELISA - Anti-Bax antibody [E63] (AB32503)

Standard Curve for Bax (Analyte : Recombinant human Bax protein (tagged) ab85157) dilution range 1pg/ml to 1ug/ml using Capture Antibody Mouse monoclonal [2D2] to Bax - BSA and Azide free (ab77566) at 0.2ug/ml and Detector Antibody Rabbit monoclonal [E63] to Bax (ab32503) at 0.5ug/ml . Concentration of ab32503 may vary from lot to lot; please use this curve as guideline.

Immunoprecipitation - Anti-Bax antibody [E63] (AB32503)
  • IP

Unknown

Immunoprecipitation - Anti-Bax antibody [E63] (AB32503)

Lane 1 (input) : HeLa (Human cervix adenocarcinoma epithelial cell) whole cell lysate, 10μg
Lane 2 (+) : HeLa whole cell lysate
Lane 3 (-) : Rabbit monoclonal IgG (ab172730) instead of ab32503 in HeLa whole cell lysate

Purified ab32503 immunoprecipitating Bax in HeLa lysates. For western blotting, the primary antibody used was purified ab32503 at 1/1000 dilution. ab131366 VeriBlot for IP Detection Reagent (HRP) was used for detection at 1/1000 dilution. Capture antibody was used at a 1/20 dilution. Blocking and diluting buffer used was 5% NFDM/TBST.

All lanes:

Immunoprecipitation - Anti-Bax antibody [E63] (ab32503)

Predicted band size: 21 kDa

false

Exposure time: 1s

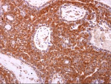
Immunohistochemistry (Formalin/PFA-fixed paraffin-embedded sections) - Anti-Bax antibody [E63] (AB32503)
  • IHC-P

Unknown

Immunohistochemistry (Formalin/PFA-fixed paraffin-embedded sections) - Anti-Bax antibody [E63] (AB32503)

IHC image of ab32503 staining Bax in rat kidney formalin fixed paraffin embedded tissue sections, performed on a Leica Bond. The section was pre-treated using heat mediated antigen retrieval with sodium citrate buffer (pH6, epitope retrieval solution 1) for 20 mins. The section was then incubated with ab32503, 1 : 250 dilution, for 15 mins at room temperature and detected using an HRP conjugated compact polymer system. DAB was used as the chromogen. The section was then counterstained with haematoxylin and mounted with DPX. No primary antibody was used in the secondary only control (shown on the inset).
For other IHC staining systems (automated and non-automated) customers should optimize variable parameters such as antigen retrieval conditions, primary antibody concentration and antibody incubation times.

Western blot - Anti-Bax antibody [E63] (AB32503)
  • WB

Lab

Western blot - Anti-Bax antibody [E63] (AB32503)

Different batches of ab32503 were tested on HeLa (Human cervix adenocarcinoma epithelial cell) lysate at 0.1 µg/ml. 15 µg of lysate was loaded in each lane.

All lanes:

Western blot - Anti-Bax antibody [E63] (ab32503)

Predicted band size: 21 kDa

false

Western blot - Anti-Bax antibody [E63] (AB32503)
  • WB

Lab

Western blot - Anti-Bax antibody [E63] (AB32503)

Lanes 1 - 2 : Merged signal (red and green). Green - ab32503. Red - loading control, ab8245, observed at 37 kDa or ab18058, observed at 130 kDa.

This western blot image is a comparison between ab32503 and a competitor's top cited rabbit polyclonal antibody.

All lanes:

Western blot - Anti-Bax antibody [E63] (ab32503)

Lane 1:

Wild-type HAP1 cell lysate at 20 µg

Lane 2:

Bax knockout HAP1 cell lysate at 20 µg

Predicted band size: 21 kDa

false

Western blot - Anti-Bax antibody [E63] (AB32503)
  • WB

Lab

Western blot - Anti-Bax antibody [E63] (AB32503)

Lanes 1 - 2 : Merged signal (red and green). Green - ab32503. Red - loading control, ab8245, observed at 37 kDa.
ab32503 was shown to recognize Bax in wild-type HAP1 cells, along with additional cross-reactive bands. Wild-type and Bax knockout samples were subjected to SDS-PAGE. ab32503 and ab8245 (loading control to GAPDH) were diluted at 1/1000 and 1/10 000 respectively and incubated overnight at 4°C. Blots were developed with Goat anti-Rabbit IgG H&L (IRDye® 800CW) preadsorbed (ab216773) and Goat anti-Mouse IgG H&L (IRDye® 680RD) preadsorbed (ab216776) secondary antibodies at 1/10 000 dilution for 1 h at room temperature before imaging.

All lanes:

Western blot - Anti-Bax antibody [E63] (ab32503) at 1/1000 dilution

Lane 1:

Wild-type HAP1 cell lysate at 20 µg

Lane 2:

Bax knockout HAP1 cell lysate at 20 µg

Predicted band size: 21 kDa

false

Western blot - Anti-Bax antibody [E63] (AB32503)
  • WB

Lab

Western blot - Anti-Bax antibody [E63] (AB32503)

Blocking and Diluting buffers : 5% NFDM/TBST

Exposure time 1~9 lanes 32 s; 10~11 lanes 3 min

Jurkat is negative reported by PMID : 15528359. Brain is low expressed reported by PMID : 27069530.

All lanes:

Western blot - Anti-Bax antibody [E63] (ab32503) at 1/2000 dilution

Lane 1:

HeLa (Human cervix adenocarcinoma epithelial cell) whole cell lysates at 20 µg

Lane 2:

Hep G2 (Human hepatocellular carcinoma epithelial cell). Whole cell lysates at 20 µg

Lane 3:

Jurkat (Human T cell leukemia T lymphocyte) whole cell lysates at 20 µg

Lane 4:

A549 (Human lung carcinoma epithelial cell) whole cell lysates at 20 µg

Lane 5:

C2C12 (Mouse myoblasts myoblast) whole cell lysates at 20 µg

Lane 6:

C6 (Rat glial tumor glial cell) whole cell lysates at 20 µg

Lane 7:

Mouse brain whole tissue lysate at 20 µg

Lanes 8 and 10:

Rat brain whole tissue lysate at 20 µg

Lanes 9 and 11:

Rat spleen whole tissue lysate at 20 µg

Secondary

All lanes:

Western blot - Goat Anti-Rabbit IgG H&L (HRP) (<a href='/products/secondary-antibodies/goat-rabbit-igg-h-l-hrp-ab97051'>ab97051</a>) at 1/100000 dilution

Predicted band size: 21 kDa

false

Western blot - Anti-Bax antibody [E63] (AB32503)
  • WB

Lab

Western blot - Anti-Bax antibody [E63] (AB32503)

Lanes 1- 2 : Merged signal (red and green). Green - ab32503. Red - Anti-GAPDH antibody [6C5] - Loading Control (ab8245) observed at 37 kDa.

ab32503 was shown to react with Bax in wild-type HeLa cells in western blot. Loss of signal was observed when knockout cell line ab255363 (knockout cell lysate ab263841) was used. Wild-type HeLa and BAX knockout HeLa cell lysates were subjected to SDS-PAGE. Membrane was blocked for 1 hour at room temperature in 0.1% TBST with 3% non-fat dried milk. ab32503 and Anti-GAPDH antibody [6C5] - Loading Control (ab8245) overnight at 4°C at a 1 in 1000 dilution and a 1 in 20000 dilution respectively. Blots were developed with Goat anti-Rabbit IgG H&L (IRDye®800CW) preadsorbed (ab216773) and Goat anti-Mouse IgG H&L (IRDye®680RD) preadsorbed (ab216776) secondary antibodies at 1 in 20000 dilution for 1 hour at room temperature before imaging.

All lanes:

Western blot - Anti-Bax antibody [E63] (ab32503) at 1/1000 dilution

Lane 1:

Wild-type HeLa cell lysate at 20 µg

Lane 2:

Western blot - Human BAX knockout HeLa cell lysate (<a href='/products/cell-lysates/human-bax-knockout-hela-cell-lysate-ab263841'>ab263841</a>) at 20 µg

Lane 2:

Western blot - Human BAX knockout HeLa cell line (<a href='/products/cell-lines/human-bax-knockout-hela-cell-line-ab255363'>ab255363</a>)

Predicted band size: 21 kDa

false

不同偶联物与剂型 (2)

  • HRP

    HRP Anti-Bax antibody [E63]

  • Carrier free

    Anti-Bax antibody [E63] - BSA and Azide free

关键信息

宿主种属

Rabbit

克隆

Monoclonal

克隆号

E63

亚型

IgG

不含载体蛋白

No

反应种属

Rat, Human, Mouse

应用

IP, WB, sELISA, IHC-P

applications

免疫原

The exact immunogen used to generate this antibody is proprietary information.

特异性

Expression levels of BAX protein vary with sample type. Induction may be required if endogenous expression is low.

反应性数据

{ "title": "Reactivity Data", "filters": { "stats": ["", "Species", "Dilution Info", "Notes"], "tabs": { "all-applications": {"fullname" : "All Applications", "shortname": "All Applications"}, "IHCP" : {"fullname" : "Immunohistochemistry (Formalin/PFA-fixed paraffin-embedded sections)", "shortname":"IHC-P"}, "ICCIF" : {"fullname" : "Immunocytochemistry/ Immunofluorescence", "shortname":"ICC/IF"}, "IP" : {"fullname" : "Immunoprecipitation", "shortname":"IP"}, "FlowCyt" : {"fullname" : "Flow Cytometry", "shortname":"Flow Cyt"}, "WB" : {"fullname" : "Western blot", "shortname":"WB"}, "sELISA" : {"fullname" : "Sandwich ELISA", "shortname":"sELISA"} }, "product-promise": { "all": "all", "testedAndGuaranteed": "tested", "guaranteed": "expected", "predicted": "predicted", "notRecommended": "not-recommended" } }, "values": { "Human": { "IHCP-species-checked": "testedAndGuaranteed", "IHCP-species-dilution-info": "1/250", "IHCP-species-notes": "<p></p> Perform heat-mediated antigen retrieval with citrate buffer pH 6 before commencing with IHC staining protocol.", "ICCIF-species-checked": "notRecommended", "ICCIF-species-dilution-info": "", "ICCIF-species-notes": "<p></p>", "IP-species-checked": "testedAndGuaranteed", "IP-species-dilution-info": "1/100", "IP-species-notes": "<p></p>", "FlowCyt-species-checked": "notRecommended", "FlowCyt-species-dilution-info": "1/1000", "FlowCyt-species-notes": "<p><a href='/products/primary-antibodies/rabbit-igg-monoclonal-epr25a-isotype-control-ab172730'>ab172730</a> - Rabbit monoclonal IgG, is suitable for use as an isotype control with this antibody.</p>", "WB-species-checked": "testedAndGuaranteed", "WB-species-dilution-info": "1/1000 - 1/10000", "WB-species-notes": "<p></p>", "sELISA-species-checked": "guaranteed", "sELISA-species-dilution-info": "", "sELISA-species-notes": "" }, "Mouse": { "IHCP-species-checked": "guaranteed", "IHCP-species-dilution-info": "", "IHCP-species-notes": "", "ICCIF-species-checked": "notRecommended", "ICCIF-species-dilution-info": "", "ICCIF-species-notes": "<p></p>", "IP-species-checked": "guaranteed", "IP-species-dilution-info": "", "IP-species-notes": "", "FlowCyt-species-checked": "notRecommended", "FlowCyt-species-dilution-info": "1/1000", "FlowCyt-species-notes": "<p><a href='/products/primary-antibodies/rabbit-igg-monoclonal-epr25a-isotype-control-ab172730'>ab172730</a> - Rabbit monoclonal IgG, is suitable for use as an isotype control with this antibody.</p>", "WB-species-checked": "testedAndGuaranteed", "WB-species-dilution-info": "1/1000 - 1/10000", "WB-species-notes": "<p></p>", "sELISA-species-checked": "guaranteed", "sELISA-species-dilution-info": "", "sELISA-species-notes": "" }, "Rat": { "IHCP-species-checked": "testedAndGuaranteed", "IHCP-species-dilution-info": "1/250", "IHCP-species-notes": "<p></p> Perform heat-mediated antigen retrieval with citrate buffer pH 6 before commencing with IHC staining protocol.", "ICCIF-species-checked": "notRecommended", "ICCIF-species-dilution-info": "", "ICCIF-species-notes": "<p></p>", "IP-species-checked": "guaranteed", "IP-species-dilution-info": "", "IP-species-notes": "", "FlowCyt-species-checked": "notRecommended", "FlowCyt-species-dilution-info": "1/1000", "FlowCyt-species-notes": "<p><a href='/products/primary-antibodies/rabbit-igg-monoclonal-epr25a-isotype-control-ab172730'>ab172730</a> - Rabbit monoclonal IgG, is suitable for use as an isotype control with this antibody.</p>", "WB-species-checked": "testedAndGuaranteed", "WB-species-dilution-info": "1/1000 - 1/10000", "WB-species-notes": "<p></p>", "sELISA-species-checked": "guaranteed", "sELISA-species-dilution-info": "", "sELISA-species-notes": "" }, "Cow": { "IHCP-species-checked": "predicted", "IHCP-species-dilution-info": "", "IHCP-species-notes": "", "ICCIF-species-checked": "notRecommended", "ICCIF-species-dilution-info": "", "ICCIF-species-notes": "", "IP-species-checked": "predicted", "IP-species-dilution-info": "", "IP-species-notes": "", "FlowCyt-species-checked": "notRecommended", "FlowCyt-species-dilution-info": "", "FlowCyt-species-notes": "", "WB-species-checked": "predicted", "WB-species-dilution-info": "", "WB-species-notes": "", "sELISA-species-checked": "predicted", "sELISA-species-dilution-info": "", "sELISA-species-notes": "" }, "Recombinant fragment - Human": { "IHCP-species-checked": "notRecommended", "IHCP-species-dilution-info": "", "IHCP-species-notes": "", "ICCIF-species-checked": "notRecommended", "ICCIF-species-dilution-info": "", "ICCIF-species-notes": "", "IP-species-checked": "notRecommended", "IP-species-dilution-info": "", "IP-species-notes": "", "FlowCyt-species-checked": "notRecommended", "FlowCyt-species-dilution-info": "", "FlowCyt-species-notes": "", "WB-species-checked": "notRecommended", "WB-species-dilution-info": "", "WB-species-notes": "", "sELISA-species-checked": "testedAndGuaranteed", "sELISA-species-dilution-info": "", "sELISA-species-notes": "<p></p>" }, "Recombinant full length protein - Human": { "IHCP-species-checked": "notRecommended", "IHCP-species-dilution-info": "", "IHCP-species-notes": "", "ICCIF-species-checked": "notRecommended", "ICCIF-species-dilution-info": "", "ICCIF-species-notes": "", "IP-species-checked": "notRecommended", "IP-species-dilution-info": "", "IP-species-notes": "", "FlowCyt-species-checked": "notRecommended", "FlowCyt-species-dilution-info": "", "FlowCyt-species-notes": "", "WB-species-checked": "testedAndGuaranteed", "WB-species-dilution-info": "1/1000 - 1/10000", "WB-species-notes": "<p></p>", "sELISA-species-checked": "notRecommended", "sELISA-species-dilution-info": "", "sELISA-species-notes": "" } } }

产品详情

Anti-Bax antibody [E63] (ab32503) was developed by Abcam using patented rabbit monoclonal antibody technology and is validated for use in IHC-P, IP, WB, sELISA in human, mouse, rat samples.

Anti-Bax antibody [E63] (ab32503) has been cited over 2479 times in peer reviewed journals and is trusted by the scientific community.

Abcam's high quality manufacturing and validation processes ensure Anti-Bax antibody [E63] (ab32503) has high sensitivity and specificity alongside high lot-to-lot consistency and reproducibility.

The specificity of Anti-Bax antibody [E63] (ab32503) has been confirmed by testing in knockout samples.

Anti-Bax antibody [E63] (ab32503) has 12 independent reviews from customers.

Anti-Bax antibody [E63] (ab32503) specifically detects Bax (UniProt ID: Q07812; Molecular weight: 21kDa) and is sold in a convenient trial size to enable initial testing (20 µL) and larger sizes for subsequent scaling up experiments (100 µL and 1 mL).

Conjugation-ready, carrier free format available for antibody clone E63 - ab216985.

Antibody clone E63 is also available pre-conjugated to a variety of labels for your convenience - HRP (ab205822).

The BAX gene (BCL2 Associated X) is a key player in the regulation of apoptosis, or programmed cell death, which is crucial for maintaining cellular homeostasis and preventing cancer. BAX is part of the BCL-2 protein family and promotes apoptosis by increasing mitochondrial membrane permeability, leading to the release of cytochrome c and activation of caspases. In oncology, BAX expression is regulated by the tumor suppressor protein p53, which is often mutated in cancer. Mutations or dysregulation of BAX can contribute to cancer development and progression by allowing cancer cells to survive.

Patented technology
Our RabMAb® technology is a patented hybridoma-based technology for making rabbit monoclonal antibodies. For details on our patents, please refer to RabMAb® patents.

What are the advantages of a recombinant monoclonal antibody?
This product is a recombinant monoclonal antibody, which offers several advantages including:

  • - High batch-to-batch consistency and reproducibility
  • - Improved sensitivity and specificity
  • - Long-term security of supply
  • - Animal-free batch production

For more information, read more on recombinant antibodies.

Shipping conditions update: ambient shipping

This product will be delivered at ambient temperature instead of chilled – this is by design. Extensive stability testing confirmed that our products are suitable for shipment under ambient conditions and maintain expected quality.

Why the change?

It’s part of our commitment to more sustainable packaging solutions, with ambient deliveries using eco-friendly materials such as recyclable cardboard instead of polystyrene.

What you need to know

  • Ambient shipments come clearly marked on the delivery note.
  • No ice will be included in ambient shipments, but mixed orders (ambient and cold-chain items) will still arrive with ice packs to protect temperature-sensitive products.
  • Warranty coverage remains fully valid, aligned with our validated shipping method.
  • Please store the product as per the datasheet instructions upon receipt.

Find out more - https://www.abcam.com/en-us/support/shipping-storage-support/ambient-shipping

性能和储存信息

形式
Liquid
纯化工艺
Affinity purification Protein A
存储溶液
pH: 7.2 - 7.4 Preservative: 0.01% Sodium azide Constituents: PBS, 40% Glycerol (glycerin, glycerine), 0.05% BSA
运输条件
Conditional Ambient
推荐的短期储存时间
1-2 weeks
推荐的短期储存条件
+4°C
推荐的长期储存条件
-20°C
分装信息
Upon delivery aliquot
储存信息
Avoid freeze / thaw cycle

补充信息

This supplementary information is collated from multiple sources and compiled automatically.

Bax also known as Bcl-2-associated X protein plays an important role in the regulation of apoptosis. It is widely known for its pro-apoptotic function opposing the action of anti-apoptotic proteins like Bcl-2. Bax has a molecular weight of approximately 21 kDa making it identifiable in laboratory techniques such as western blot. Researchers often use anti-Bax antibodies to detect and analyze its expression levels in various studies. The Bax protein is mainly expressed in mitochondria where it undergoes changes in response to apoptotic signals.
Biological function summary

The Bax protein forms homodimers or heterodimers with other Bcl-2 family proteins to facilitate apoptosis. This protein is part of a larger complex involving several members of the Bcl-2 family which finely tunes the balance between cell survival and programmed cell death. Through a change in its conformation Bax translocates to the outer mitochondrial membrane where it promotes the release of cytochrome c and other apoptogenic factors into the cytosol.

Pathways

Bax plays a significant role in the intrinsic pathway of apoptosis also known as the mitochondrial pathway. This pathway involves the release of cytochrome c which further activates downstream proteins such as caspase-9 and caspase-3. Bax interacts closely with proteins like Bak another pro-apoptotic member of the Bcl-2 family providing a cooperative function in mitochondrial membrane permeabilization. Together Bax and Bak act as gatekeepers of the mitochondrial pathway determining the cell's fate in response to apoptotic stimuli.

The dysregulation of Bax often associates with various cancers and neurodegenerative diseases. In cancer reduced Bax expression or function can lead to resistance to apoptosis contributing to unchecked cellular proliferation. Conversely in neurodegenerative disorders such as Alzheimer's disease increased Bax activity results in excessive neuronal apoptosis. The balance between Bax and its partner proteins like Bcl-2 or Bcl-xL is important in maintaining normal cellular function and preventing disease progression.

产品实验方案

For this product, it's our understanding that no specific protocols are required. You can visit:

靶点信息

Plays a role in the mitochondrial apoptotic process (PubMed : 10772918, PubMed : 11060313, PubMed : 16113678, PubMed : 16199525, PubMed : 18948948, PubMed : 21199865, PubMed : 21458670, PubMed : 25609812, PubMed : 36361894, PubMed : 8358790, PubMed : 8521816). Under normal conditions, BAX is largely cytosolic via constant retrotranslocation from mitochondria to the cytosol mediated by BCL2L1/Bcl-xL, which avoids accumulation of toxic BAX levels at the mitochondrial outer membrane (MOM) (PubMed : 21458670). Under stress conditions, undergoes a conformation change that causes translocation to the mitochondrion membrane, leading to the release of cytochrome c that then triggers apoptosis (PubMed : 10772918, PubMed : 11060313, PubMed : 16113678, PubMed : 16199525, PubMed : 18948948, PubMed : 21199865, PubMed : 21458670, PubMed : 25609812, PubMed : 8358790, PubMed : 8521816). Promotes activation of CASP3, and thereby apoptosis (PubMed : 10772918, PubMed : 11060313, PubMed : 16113678, PubMed : 16199525, PubMed : 18948948, PubMed : 21199865, PubMed : 21458670, PubMed : 25609812, PubMed : 8358790, PubMed : 8521816).
See full target information BAX

文献 (3490)

Recent publications for all applications. Explore the full list and refine your search

The Tohoku journal of experimental medicine : PubMed41062300

2025

Identification of KLHL35, WDR72, and WDR78 as Prognostic Biomarkers in Colorectal Cancer.

Applications

Unspecified application

Species

Unspecified reactive species

Jiayou Ye,Tingting Zhang,Guangsheng Wang,Guofeng Bian,Aijun Chen,Xin Zhou

Cell death & disease 16:700 PubMed41052999

2025

PARL stabilizes mitochondrial BCL-2 via Nur77-mediated scaffolding as a therapeutic strategy for Parkinson's disease.

Applications

Unspecified application

Species

Unspecified reactive species

Shiyi Yin,Yibo Zhai,Run Song,Jiannan Wu,Yongjiang Zhang,Miao Yu,Hongxia Ma,Mengmeng Shen,Xiaoyi Lai,Weina Jin,Yunqi Xu,Junqiang Yan

Acta pharmaceutica Sinica. B 15:4945-4960 PubMed41049731

2025

Photodynamic enhancement of PROTAC prodrug activation in hypoxic tumors.

Applications

Unspecified application

Species

Unspecified reactive species

Zhongliang Fu,Chunrong Yang,Yuchen Yang,Meichen Pan,Hongwei Hou,Jinghong Li

The Tohoku journal of experimental medicine : PubMed41034038

2025

Acupuncture Ameliorates Cognitive Dysfunction by Modulating the Apoptosis of Hippocampal Neuron in Severe Hand Foot and Mouth Disease Infant Rats Through the p38 MAPK/CREB Pathway.

Applications

Unspecified application

Species

Unspecified reactive species

Zongtao Wu,Hongjiao Jin,Biqin Shuai,Xiang Zhang,San Wang,Lan Chen,Bo Huang

International heart journal 66:862-873 PubMed41034031

2025

Mechanism of LncRNA NORAD/MiR-144-3p Axis in Promoting Myocardial Ischemia-Reperfusion Injury by Targeting TNRC6A.

Applications

Unspecified application

Species

Unspecified reactive species

Wei Wei,Ping Xie,Xuemei Wang

Scientific reports 15:33132 PubMed41006689

2025

Comprehensive characterization of lysosome-dependent cell death reveals prognostic significance and immune landscape in colon adenocarcinoma.

Applications

Unspecified application

Species

Unspecified reactive species

Zhenhua Liu,Lianming Cai,Baochun Liao,Baowen Wang,Tianyi Xia,Xiangxin Wu

Discover oncology 16:1712 PubMed41003853

2025

Hsa_circ_0075451 promotes NSCLC proliferation, metastasis, and glycolysis through interaction with the RNA-binding protein RBM4.

Applications

Unspecified application

Species

Unspecified reactive species

ChongYu Su,YuXuan Wang,Kang Shi,ZheXin Bai,DaPing Yu,ZhiDong Liu

Global spine journal :21925682251383489 PubMed41001708

2025

Intervention of Rutin and Ochnaflavone in the Attenuation of Neuroinflammation and Neuronal Apoptosis in Spinal Cord Injury.

Applications

Unspecified application

Species

Unspecified reactive species

Tao Yu,Xuhao Yang,Anyuan Dai,Zhihe Yun,Wu Xue,Tianyang Yuan,Xinyu Nie,Inbo Han,Yanting Liu,A O Wang,Qinyi Liu

Materials today. Bio 35:102287 PubMed40989834

2025

Photothermal-triggered NO-releasing nanofiber membrane mitigates intervertebral disc degeneration via inflammation inhibition and matrix stabilization.

Applications

Unspecified application

Species

Unspecified reactive species

Guanfeng Huang,Jiajun Xie,Jialan Chen,Jiangminghao Zhao,Pinkai Wang,Jian Zhang,Peichuan Xu,Yang Li,Xiaolong Chen,Xinxin Miao,Wei Xiong,Xigao Cheng

Cureus 17:e89688 PubMed40932981

2025

miR-872 Protection Against Renal Ischemia-Reperfusion Injury via Targeting HMOX1.

Applications

Unspecified application

Species

Unspecified reactive species

Jiang Wei,Zhang L Feng,Cheny Y Mao,Huang Xi,Fu Ming,Chen Jun
View all publications

Abcam Product Promise

我们致力于为您的研究提供高质量的试剂,为您科研的每一步提供支持。若我们的产品未能达到预期性能,我们向您提供 Abcam Product Promise 保障。
详情请参阅我们的条款与条件。

Please note: All products are 'FOR RESEARCH USE ONLY. NOT FOR USE IN DIAGNOSTIC OR THERAPEUTIC PROCEDURES'.

For licensing inquiries, please contact partnerships@abcam.com