JavaScript is disabled in your browser. Please enable JavaScript to view this website.
AB5965

Anti-BAFF-R抗体

Anti-BAFF-R antibody

Be the first to review this product! Submit a review

|

(10 Publications)

Rabbit Polyclonal BAFF-R antibody. Suitable for WB, IHC-P and reacts with Mouse, Human, Rat samples. Cited in 10 publications. Immunogen corresponding to Synthetic Peptide within Human TNFRSF13C.

查看别名

CD268, BAFFR, BR3, TNFRSF13C, Tumor necrosis factor receptor superfamily member 13C, B-cell-activating factor receptor, BAFF receptor, BLyS receptor 3, BAFF-R

5 Images
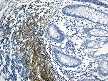
Immunohistochemistry (Formalin/PFA-fixed paraffin-embedded sections) - Anti-BAFF-R antibody (AB5965)
  • IHC-P

Unknown

Immunohistochemistry (Formalin/PFA-fixed paraffin-embedded sections) - Anti-BAFF-R antibody (AB5965)

Immunohistochemistry (formalin-fixed paraffin-embedded) of BAFF-R in human tonsil tissue with ab5965 at 5 ug/ml.

Immunohistochemistry (Formalin/PFA-fixed paraffin-embedded sections) - Anti-BAFF-R antibody (AB5965)
  • IHC-P

Unknown

Immunohistochemistry (Formalin/PFA-fixed paraffin-embedded sections) - Anti-BAFF-R antibody (AB5965)

Immunohistochemistry (Formalin-fixed paraffin embedded sections) of human spleen tissue labeling BAFF-R with Anti-BAFF-R antibody (ab5965) at 20μg/ml.

Immunohistochemistry (Formalin/PFA-fixed paraffin-embedded sections) - Anti-BAFF-R antibody (AB5965)
  • IHC-P

Unknown

Immunohistochemistry (Formalin/PFA-fixed paraffin-embedded sections) - Anti-BAFF-R antibody (AB5965)

Immunohistochemistry of BAFF-R in human spleen tissue with BAFF-R antibody at 5 μg/ml.

Western blot - Anti-BAFF-R antibody (AB5965)
  • WB

Unknown

Western blot - Anti-BAFF-R antibody (AB5965)

Western blot analysis of BAFF-R in human (H), mouse (M), and rat (R) spleen tissue lysates with ab5965 at 5 μg/ml.

Western blot analysis of BAFF-R in human (H), mouse (M), and rat (R) spleen tissue lysates with ab5965 at 5 μg/ml.

All lanes:

Western blot - Anti-BAFF-R antibody (ab5965)

Predicted band size: 19 kDa

false

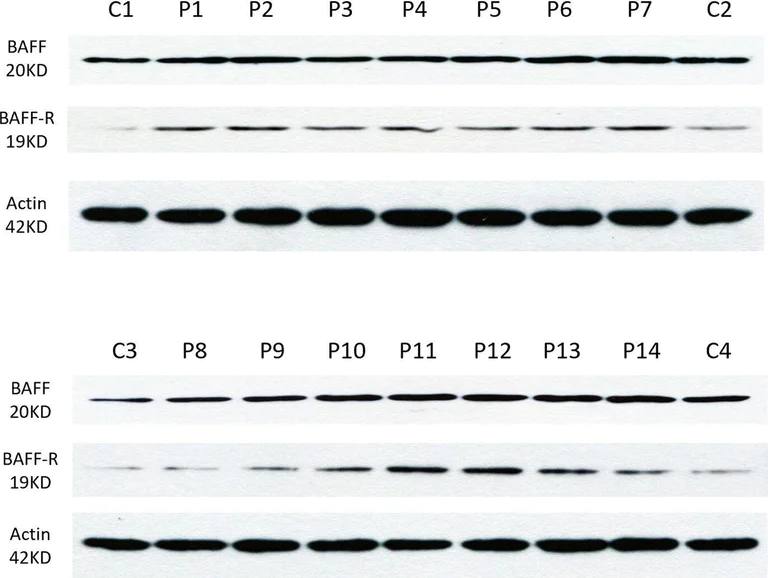
Western blot - Anti-BAFF-R antibody (AB5965)
  • WB

CiteAb

Western blot - Anti-BAFF-R antibody (AB5965)

BAFF-R western blot using anti-BAFF-R antibody ab5965. Publication image and figure legend from Zhao, Y., Zhang, W., et al., 2020, Orphanet J Rare Dis, PubMed 32641139.

ab5965 was used in this publication in western blot. This may not be the same as the application(s) guaranteed by Abcam. For a full list of applications guaranteed by Abcam for ab5965 please see the product overview.

Western bolt of BAFF and BAFF-R in skeletal muscle of ANM-SRP. The results showed that the expression of BAFF-R in skeletal muscle of the patients was significantly higher than that of the healthy control. BAFF were expressed in skeletal muscle of both patients and healthy control

false

关键信息

宿主种属

Rabbit

克隆

Polyclonal

亚型

IgG

不含载体蛋白

No

反应种属

Mouse, Rat, Human

应用

WB, IHC-P

applications

免疫原

Synthetic Peptide within Human TNFRSF13C. The exact immunogen used to generate this antibody is proprietary information.

Q96RJ3

反应性数据

{ "title": "Reactivity Data", "filters": { "stats": ["", "Species", "Dilution Info", "Notes"], "tabs": { "all-applications": {"fullname" : "All Applications", "shortname": "All Applications"}, "WB" : {"fullname" : "Western blot", "shortname":"WB"}, "IHCP" : {"fullname" : "Immunohistochemistry (Formalin/PFA-fixed paraffin-embedded sections)", "shortname":"IHC-P"} }, "product-promise": { "all": "all", "testedAndGuaranteed": "tested", "guaranteed": "expected", "predicted": "predicted", "notRecommended": "not-recommended" } }, "values": { "Human": { "WB-species-checked": "testedAndGuaranteed", "WB-species-dilution-info": "2-5 µg/mL", "WB-species-notes": "<p></p>", "IHCP-species-checked": "testedAndGuaranteed", "IHCP-species-dilution-info": "1/1000 - 1/2000", "IHCP-species-notes": "<p></p>" }, "Mouse": { "WB-species-checked": "testedAndGuaranteed", "WB-species-dilution-info": "2-5 µg/mL", "WB-species-notes": "<p></p>", "IHCP-species-checked": "guaranteed", "IHCP-species-dilution-info": "", "IHCP-species-notes": "" }, "Rat": { "WB-species-checked": "guaranteed", "WB-species-dilution-info": "2-5 µg/mL", "WB-species-notes": "<p></p>", "IHCP-species-checked": "predicted", "IHCP-species-dilution-info": "", "IHCP-species-notes": "" } } }

性能和储存信息

形式
Liquid
纯化工艺
Affinity purification Immunogen
纯化说明
BAFF-R Antibody is affinity chromatography purified via peptide column.
存储溶液
pH: 7.2 Preservative: 0.02% Sodium azide Constituents: 99.98% PBS
运输条件
Blue Ice
推荐的短期储存时间
1-2 weeks
推荐的短期储存条件
+4°C
推荐的长期储存条件
-20°C
储存信息
Avoid freeze / thaw cycle|Stable for 12 months at -20°C

补充信息

This supplementary information is collated from multiple sources and compiled automatically.

BAFF-R also known as B-cell activating factor receptor or BAFF receptor plays a critical role in B-cell development and survival. BAFF-R is a receptor for the BAFF protein also referred to as B lymphocyte stimulator (BLyS). BAFF-R has a molecular mass of approximately 19 kDa. The expression of BAFF-R is found on B cells with higher presence on mature B cells compared to immature ones. The receptor is recognized as the main signaling partner for BAFF which forms the basis for many of its immune functions.
Biological function summary

BAFF-R is essential for the maturation and maintenance of peripheral B cells. The receptor contributes to the regulation of immune responses by ensuring B-cell homeostasis. It does not generally form part of a larger protein complex but instead functions as a membrane-bound receptor that transmits signals upon binding with the BAFF ligand. This signaling cascade supports the survival and proliferation of B cells which is fundamental for the adaptive immune system.

Pathways

BAFF-R is deeply involved in the NF-κB signaling pathway which is important for immune regulation and cell survival. Upon binding with BAFF BAFF-R recruits associated proteins to initiate the pathway and as a result promotes gene transcription important for B-cell function. Another connected pathway involves AKT a protein kinase that regulates B-cell metabolism and differentiation. Both NF-κB and AKT pathways help facilitate the immune functions tied to B cells directly through BAFF-R signaling.

BAFF-R demonstrates a notable link with autoimmune diseases such as systemic lupus erythematosus (SLE) and rheumatoid arthritis. Overexpression of BAFF impacting interaction with BAFF-R contributes to such conditions by promoting the survival of autoreactive B cells. In SLE BAFF works with another receptor TACI influencing the proliferation of autoreactive cells. The persistent activation and dysfunction of the immune response through BAFF-R interactions exacerbate these autoimmune conditions.

产品实验方案

For this product, it's our understanding that no specific protocols are required. You can visit:

靶点信息

B-cell receptor specific for TNFSF13B/TALL1/BAFF/BLyS. Promotes the survival of mature B-cells and the B-cell response.
See full target information TNFRSF13C

文献 (10)

Recent publications for all applications. Explore the full list and refine your search

American journal of physiology. Cell physiology 326:C1494-C1504 PubMed38406824

2024

Implications of IFNγ SNP rs2069705 in primary Sjögren's syndrome: transcriptional activation and B cell infiltration.

Applications

Unspecified application

Species

Unspecified reactive species

Xi Chen,Min Li,Honglin Li,Miao Liu,Jianrong Su,Yuzhu Ji

Phytomedicine : international journal of phytotherapy and phytopharmacology 80:153381 PubMed33086170

2020

Artesunate inhibits Sjögren's syndrome-like autoimmune responses and BAFF-induced B cell hyperactivation via TRAF6-mediated NF-κB signaling.

Applications

Unspecified application

Species

Unspecified reactive species

Tianle Zhan,Baoli Wang,Jiayao Fu,Yanxiong Shao,Lei Ye,Huan Shi,Lingyan Zheng

Orphanet journal of rare diseases 15:181 PubMed32641139

2020

Factors associated with refractory autoimmune necrotizing myopathy with anti-signal recognition particle antibodies.

Applications

Unspecified application

Species

Unspecified reactive species

Yawen Zhao,Wei Zhang,Yilin Liu,Zhaoxia Wang,Yun Yuan

Molecular medicine reports 21:795-805 PubMed31974601

2020

BAFF is involved in the pathogenesis of IgA nephropathy by activating the TRAF6/NF‑κB signaling pathway in glomerular mesangial cells.

Applications

Unspecified application

Species

Unspecified reactive species

Yingjie Cao,Guoyuan Lu,Xiaolan Chen,Xu Chen,Naifeng Guo,Wenwen Li

Journal of cellular biochemistry 120:15429-15442 PubMed31111563

2019

microRNA-96 promotes osteoblast differentiation and bone formation in ankylosing spondylitis mice through activating the Wnt signaling pathway by binding to SOST.

Applications

Unspecified application

Species

Unspecified reactive species

Shu Ma,Dan-Dan Wang,Cheng-Yuan Ma,Yan-Dong Zhang

Human molecular genetics 26:3362-3374 PubMed28854700

2017

Comparison of spinocerebellar ataxia type 3 mouse models identifies early gain-of-function, cell-autonomous transcriptional changes in oligodendrocytes.

Applications

Unspecified application

Species

Unspecified reactive species

Biswarathan Ramani,Bharat Panwar,Lauren R Moore,Bo Wang,Rogerio Huang,Yuanfang Guan,Henry L Paulson

The Journal of clinical investigation 123:5135-45 PubMed24270423

2013

Protein microarray analysis reveals BAFF-binding autoantibodies in systemic lupus erythematosus.

Applications

Unspecified application

Species

Unspecified reactive species

Jordan V Price,David J Haddon,Dodge Kemmer,Guillaume Delepine,Gil Mandelbaum,Justin A Jarrell,Rohit Gupta,Imelda Balboni,Eliza F Chakravarty,Jeremy Sokolove,Anthony K Shum,Mark S Anderson,Mickie H Cheng,William H Robinson,Sarah K Browne,Steven M Holland,Emily C Baechler,Paul J Utz

Neurology international 5:e4 PubMed23717783

2013

Expression of B-cell activating factor, a proliferating inducing ligand and its receptors in primary central nervous system lymphoma.

Applications

Unspecified application

Species

Unspecified reactive species

Tobias Birnbaum,Sigrid Langer,Sigrun Roeber,Louisa von Baumgarten,Andreas Straube

The Journal of experimental medicine 207:2569-79 PubMed21041452

2010

A BAFF-R mutation associated with non-Hodgkin lymphoma alters TRAF recruitment and reveals new insights into BAFF-R signaling.

Applications

WB

Species

Human

Joanne M Hildebrand,Zhenghua Luo,Michelle K Manske,Tammy Price-Troska,Steven C Ziesmer,Wai Lin,Bruce S Hostager,Susan L Slager,Thomas E Witzig,Stephen M Ansell,James R Cerhan,Gail A Bishop,Anne J Novak

Haematologica 91:772-80 PubMed16769579

2006

The differential expression of LCK and BAFF-receptor and their role in apoptosis in human lymphomas.

Applications

WB, IHC-P

Species

Human, Human

Jennifer C Paterson,Sara Tedoldi,Andrew Craxton,Margaret Jones,Martin-Leo Hansmann,Graham Collins,Helen Roberton,Yasodha Natkunam,Stefano Pileri,Elias Campo,Edward A Clark,David Y Mason,Teresa Marafioti
View all publications

Abcam Product Promise

我们致力于为您的研究提供高质量的试剂,为您科研的每一步提供支持。若我们的产品未能达到预期性能,我们向您提供 Abcam Product Promise 保障。
详情请参阅我们的条款与条件。

Please note: All products are 'FOR RESEARCH USE ONLY. NOT FOR USE IN DIAGNOSTIC OR THERAPEUTIC PROCEDURES'.

For licensing inquiries, please contact partnerships@abcam.com