JavaScript is disabled in your browser. Please enable JavaScript to view this website.
AB28825

Anti-Bad (phospho S155)抗体

Anti-Bad (phospho S155) antibody

3

(1 Review)

|

(6 Publications)

Rabbit Polyclonal BAD phospho S155 antibody. Suitable for WB, IHC-P and reacts with Human samples. Cited in 6 publications. Immunogen corresponding to Synthetic Peptide within Human BAD phospho S155.

查看别名

BBC6, BCL2L8, BAD, Bcl2-associated agonist of cell death, Bcl-2-binding component 6, Bcl-2-like protein 8, Bcl-xL/Bcl-2-associated death promoter, Bcl2 antagonist of cell death, Bcl2-L-8

2 Images
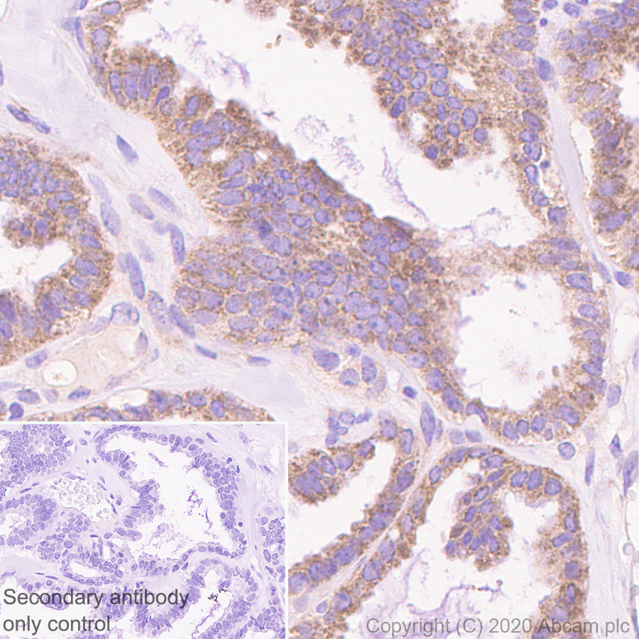
Immunohistochemistry (Formalin/PFA-fixed paraffin-embedded sections) - Anti-Bad (phospho S155) antibody (AB28825)
  • IHC-P

Unknown

Immunohistochemistry (Formalin/PFA-fixed paraffin-embedded sections) - Anti-Bad (phospho S155) antibody (AB28825)

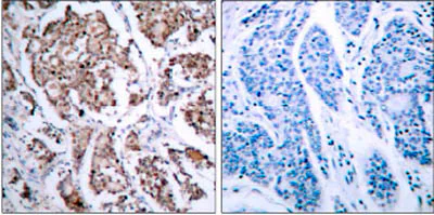
ab28825, at a concentration of 1/50, staining Bad in paraffin embedded human breast carcinoma tissue by Immunohistochemistry.
Left image : untreated.
Right image : treated with synthesized phosphopeptide.

Western blot - Anti-Bad (phospho S155) antibody (AB28825)
  • WB

Unknown

Western blot - Anti-Bad (phospho S155) antibody (AB28825)

All lanes:

Western blot - Anti-Bad (phospho S155) antibody (ab28825) at 1/500 dilution

All lanes:

extracts from 293 cells (5-30ug) treated with forsklin

Predicted band size: 18 kDa

Observed band size: 23 kDa

false

关键信息

宿主种属

Rabbit

克隆

Polyclonal

亚型

IgG

不含载体蛋白

No

反应种属

Human

应用

IHC-P, WB

applications

免疫原

Synthetic Peptide within Human BAD phospho S155. The exact immunogen used to generate this antibody is proprietary information.

Q92934

反应性数据

{ "title": "Reactivity Data", "filters": { "stats": ["", "Species", "Dilution Info", "Notes"], "tabs": { "all-applications": {"fullname" : "All Applications", "shortname": "All Applications"}, "WB" : {"fullname" : "Western blot", "shortname":"WB"}, "IHCP" : {"fullname" : "Immunohistochemistry (Formalin/PFA-fixed paraffin-embedded sections)", "shortname":"IHC-P"} }, "product-promise": { "all": "all", "testedAndGuaranteed": "tested", "guaranteed": "expected", "predicted": "predicted", "notRecommended": "not-recommended" } }, "values": { "Human": { "WB-species-checked": "testedAndGuaranteed", "WB-species-dilution-info": "1/500 - 1/1000", "WB-species-notes": "<p></p>", "IHCP-species-checked": "testedAndGuaranteed", "IHCP-species-dilution-info": "", "IHCP-species-notes": "<p></p>" } } }

性能和储存信息

形式
Liquid
纯化工艺
Affinity purification Immunogen
纯化说明
The antibody was affinity purified from rabbit antiserum by affinity chromatography using epitope specific phosphopeptide. The antibody against non phosphopeptide was removed by chromatography using non phosphopeptide corresponding to the phosphorylation site.
存储溶液
pH: 7.4 Preservative: 0.02% Sodium azide Constituents: 50% Glycerol (glycerin, glycerine), 0.87% Sodium chloride
运输条件
Blue Ice
推荐的短期储存时间
1-2 weeks
推荐的短期储存条件
+4°C
推荐的长期储存条件
-20°C
分装信息
Upon delivery aliquot

补充信息

This supplementary information is collated from multiple sources and compiled automatically.

The Bad protein also known as Bcl-2-associated death promoter plays a critical role in apoptosis regulation. It possesses a molecular weight of approximately 23 kDa. Bad is expressed widely in tissues and is a member of the Bcl-2 family of proteins. This family is well-known for its involvement in the regulation of cell death both promoting and inhibiting depending on the protein’s interactions.
Biological function summary

Its main role is to promote apoptosis by binding to anti-apoptotic proteins like Bcl-2 and Bcl-XL displacing pro-apoptotic Bax and Bak proteins to trigger cell death. Bad functions as part of the mitochondrial apoptosis pathway and is known to form complexes with phosphorylated proteins. Phosphorylation of Bad by kinases can lead to its sequestration to the cytoplasm reducing apoptosis.

Pathways

Its action is pivotal in the PI3K/Akt signaling pathway. This pathway involves growth factors and cell survival signals where phosphorylation of Bad inhibits its pro-apoptotic activity. Bad interacts with proteins like Akt and 14-3-3 to modulate cell survival. Disruption in its regulation through these pathways may lead to abnormal cell survival or death.

Bad has implications in cancer and neurodegenerative diseases. Cancer cells often exhibit impaired apoptotic pathways where overexpression of Bad can ameliorate responsiveness to therapy. In neurodegenerative diseases such as Alzheimer's dysregulation of its function can contribute to cell death. The protein’s interaction with Bcl-2 and Bcl-XL is significant in these contexts influencing disease propagation and severity.

产品实验方案

For this product, it's our understanding that no specific protocols are required. You can visit:

靶点信息

Promotes cell death. Successfully competes for the binding to Bcl-X(L), Bcl-2 and Bcl-W, thereby affecting the level of heterodimerization of these proteins with BAX. Can reverse the death repressor activity of Bcl-X(L), but not that of Bcl-2 (By similarity). Appears to act as a link between growth factor receptor signaling and the apoptotic pathways.
See full target information BAD phospho S155

文献 (6)

Recent publications for all applications. Explore the full list and refine your search

Journal of cellular and molecular medicine 29:e70403 PubMed39929746

2025

Iloprost Concentration-Dependently Attenuates Platelet Function and Apoptosis by Elevating PKA Activity.

Applications

Unspecified application

Species

Unspecified reactive species

Xuexiang Wang,Shuang Chen,Jun Wan,Chunliang Liu,Yan Yan,Muhammad Shoaib Khan,Ziyu Zhao,Kang Sun,Renping Hu,Mengnan Yang,Yue Xia,Kesheng Dai

Molecular medicine (Cambridge, Mass.) 25:54 PubMed31829167

2019

Edaravone reduces oxidative stress and intestinal cell apoptosis after burn through up-regulating miR-320 expression.

Applications

Unspecified application

Species

Unspecified reactive species

Jiaxiang Ke,Xi Bian,Hu Liu,Bei Li,Ran Huo

Scientific reports 9:17496 PubMed31767884

2019

Expression of the BAD pathway is a marker of triple-negative status and poor outcome.

Applications

Unspecified application

Species

Unspecified reactive species

Bernadette M Boac,Forough Abbasi,Roohi Ismail-Khan,Yin Xiong,Atif Siddique,Hannah Park,Mingda Han,Daryoush Saeed-Vafa,Hatem Soliman,Brendon Henry,M Juliana Pena,E Clair McClung,Sharon E Robertson,Sarah L Todd,Alex Lopez,Weihong Sun,Susmitha Apuri,Johnathan M Lancaster,Anders E Berglund,Anthony M Magliocco,Douglas C Marchion

The Journal of clinical investigation 127:4338-4351 PubMed29083324

2017

Protein kinase A determines platelet life span and survival by regulating apoptosis.

Applications

Unspecified application

Species

Unspecified reactive species

Lili Zhao,Jun Liu,Chunyan He,Rong Yan,Kangxi Zhou,Qingya Cui,Xingjun Meng,Xiaodong Li,Yang Zhang,Yumei Nie,Yang Zhang,Renping Hu,Yancai Liu,Lian Zhao,Mengxing Chen,Weiling Xiao,Jingluan Tian,Yunxiao Zhao,Lijuan Cao,Ling Zhou,Anning Lin,Changgeng Ruan,Kesheng Dai

Neoplasma 59:541-50 PubMed22668020

2012

Knockdown of RhoGDIα induces apoptosis and increases lung cancer cell chemosensitivity to paclitaxel.

Applications

Unspecified application

Species

Unspecified reactive species

F Rong,W Li,K Chen,D M Li,W M Duan,Y Z Feng,F Li,X W Zhou,S J Fan,Y Liu,M Tao

Nature medicine 14:144-53 PubMed18223655

2008

Dual role of proapoptotic BAD in insulin secretion and beta cell survival.

Applications

Unspecified application

Species

Unspecified reactive species

Nika N Danial,Loren D Walensky,Chen-Yu Zhang,Cheol Soo Choi,Jill K Fisher,Anthony J A Molina,Sandeep Robert Datta,Kenneth L Pitter,Gregory H Bird,Jakob D Wikstrom,Jude T Deeney,Kirsten Robertson,Joel Morash,Ameya Kulkarni,Susanne Neschen,Sheene Kim,Michael E Greenberg,Barbara E Corkey,Orian S Shirihai,Gerald I Shulman,Bradford B Lowell,Stanley J Korsmeyer
View all publications

Abcam Product Promise

我们致力于为您的研究提供高质量的试剂,为您科研的每一步提供支持。若我们的产品未能达到预期性能,我们向您提供 Abcam Product Promise 保障。
详情请参阅我们的条款与条件。

Please note: All products are 'FOR RESEARCH USE ONLY. NOT FOR USE IN DIAGNOSTIC OR THERAPEUTIC PROCEDURES'.

For licensing inquiries, please contact partnerships@abcam.com