JavaScript is disabled in your browser. Please enable JavaScript to view this website.
AB45145

重组Anti-Aurora B抗体[EP1009Y]

Anti-Aurora B antibody [EP1009Y]

4

(1 Review)

|

(26 Publications)

Rabbit Recombinant Monoclonal Aurora B antibody. Suitable for ICC/IF, IP, WB, IHC-P, Flow Cyt (Intra) and reacts with Human samples. Cited in 26 publications.

查看别名

AIK2, AIM1, AIRK2, ARK2, STK1, STK12, STK5, AURKB, Aurora kinase B, Aurora 1, Aurora- and IPL1-like midbody-associated protein 1, Aurora/IPL1-related kinase 2, STK-1, Serine/threonine-protein kinase 12, Serine/threonine-protein kinase 5, Serine/threonine-protein kinase aurora-B, AIM-1, ARK-2, Aurora-related kinase 2

7 Images
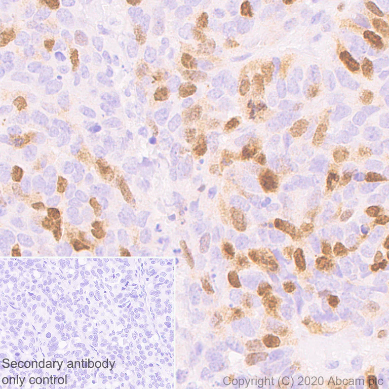
Immunohistochemistry (Formalin/PFA-fixed paraffin-embedded sections) - Anti-Aurora B antibody [EP1009Y] (AB45145)
  • IHC-P

Lab

Immunohistochemistry (Formalin/PFA-fixed paraffin-embedded sections) - Anti-Aurora B antibody [EP1009Y] (AB45145)

Immunohistochemistry (Formalin/PFA-fixed paraffin-embedded sections) analysis of Human endometrium carcinoma tissue sections labeling Aurora B with purified ab45145 at 1/200 dilution (1.35 µg/mL). Heat mediated antigen retrieval using Bond™ Epitope Retrieval Solution 2 (pH 9.0). The immunostaining was performed on a Leica Biosystems BOND® RX instrument. Rabbit specific IHC polymer detection kit HRP/DAB (ab209101) was used as the secondary antibody. Negative control : PBS instead of the primary antibody. Hematoxylin was used as a counterstain.

Flow Cytometry (Intracellular) - Anti-Aurora B antibody [EP1009Y] (AB45145)
  • Flow Cyt (Intra)

Lab

Flow Cytometry (Intracellular) - Anti-Aurora B antibody [EP1009Y] (AB45145)

Intracellular Flow Cytometry analysis of HeLa (Human cervix adenocarcinoma epithelial cell) cells labeling Aurora B with Purified ab45145 at 1/300 dilution (0.1 μg/ml) (Red). Cells were fixed with 4% Paraformaldehyde and permeabilised with 90% Methanol. A Goat anti rabbit IgG (Alexa Fluor® 488 ,ab150077) secondary antibody was used at 1/2000. Isotype control - Rabbit monoclonal IgG (Left). Unlabeled control - /.

Immunocytochemistry/ Immunofluorescence - Anti-Aurora B antibody [EP1009Y] (AB45145)
  • ICC/IF

Lab

Immunocytochemistry/ Immunofluorescence - Anti-Aurora B antibody [EP1009Y] (AB45145)

Immunocytochemistry analysis of HeLa (Human cervix adenocarcinoma epithelial cell) cells labeling Aurora B with Purified ab45145 at 1 : 50 dilution (5.4 µg/ml). Cells were fixed in 4% Paraformaldehyde and permeabilized with 0.1% tritonX-100. Cells were counterstained with ab195889 Anti-alpha Tubulin antibody [DM1A] - Microtubule Marker (Alexa Fluor® 594) 1 : 200 (2.5 µg/ml). Goat anti rabbit IgG (Alexa Fluor® 488,ab150077) was used as the secondary antibody at 1 : 1000 (2 µg/ml) dilution. DAPI (blue) was used as nuclear counterstain. PBS instead of the primary antibody was used as the secondary antibody only control.

Immunoprecipitation - Anti-Aurora B antibody [EP1009Y] (AB45145)
  • IP

Lab

Immunoprecipitation - Anti-Aurora B antibody [EP1009Y] (AB45145)

Purified ab45145 at 1/20 dilution (1μg) immunoprecipitating Aurora B in HeLa whole cell lysate.
Lane 1 (input) : HeLa (Human cervix adenocarcinoma epithelial cell) whole cell lysate 10μg
Lane 2 (+) : ab45145 + HeLa whole cell lysate.
Lane 3 (-) : Rabbit monoclonal IgG (ab172730) instead of ab45145 in HeLa whole cell lysate.
VeriBlot for IP Detection Reagent (HRP) (ab131366) (1/1000 dilution) was used for Western blotting.
Blocking Buffer and concentration : 5% NFDM/TBST.
Diluting buffer and concentration : 5% NFDM/TBST.
Observed band size : 39 kDa

All lanes:

Immunoprecipitation - Anti-Aurora B antibody [EP1009Y] (ab45145)

Predicted band size: 39 kDa

false

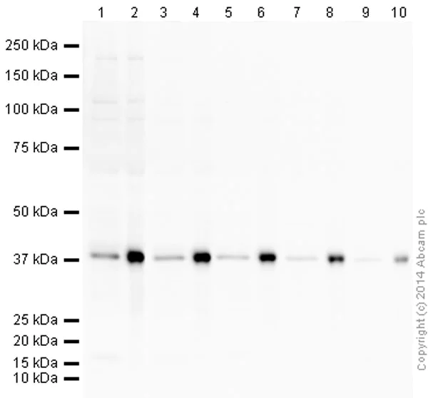
Western blot - Anti-Aurora B antibody [EP1009Y] (AB45145)
  • WB

Lab

Western blot - Anti-Aurora B antibody [EP1009Y] (AB45145)

This blot was produced using a 4-12% Bis-tris gel under the MOPS buffer system. The gel was run at 200V for 50 minutes before being transferred onto a Nitrocellulose membrane at 30V for 70 minutes. The membrane was then blocked for an hour using 2% Bovine Serum Albumin before being incubated with ab45145 overnight at 4°C. Antibody binding was detected using an anti-rabbit antibody conjugated to HRP, and visualised using ECL development solution ab133406

Lanes 1 - 2:

Western blot - Anti-Aurora B antibody [EP1009Y] (ab45145) at 1/1000 dilution

Lanes 3 - 4:

Western blot - Anti-Aurora B antibody [EP1009Y] (ab45145) at 1/5000 dilution

Lanes 5 - 6:

Western blot - Anti-Aurora B antibody [EP1009Y] (ab45145) at 1/10000 dilution

Lanes 7 - 8:

Western blot - Anti-Aurora B antibody [EP1009Y] (ab45145) at 1/50000 dilution

Lanes 9 - 10:

Western blot - Anti-Aurora B antibody [EP1009Y] (ab45145) at 1/75000 dilution

Lanes 1, 3, 5, 7 and 9:

HeLa (Human epithelial carcinoma cell line) Whole Cell Lysate at 10 µg

Lanes 2, 4, 6, 8 and 10:

HeLa (Human epithelial carcinoma cell line) Whole Cell Lysate Nocodozole Stimulated at 10 µg

Secondary

All lanes:

Western blot - VHH Single Domain Anti-Rabbit IgG Fc (HRP) (<a href='/products/secondary-antibodies/vhh-single-domain-rabbit-igg-fc-hrp-ab191866'>ab191866</a>) at 1/10000 dilution

Predicted band size: 39 kDa

Observed band size: 39 kDa

true

Exposure time: 8min

OI-RD Scanning - Anti-Aurora B antibody [EP1009Y] (AB45145)
  • OI-RD Scanning

Unknown

OI-RD Scanning - Anti-Aurora B antibody [EP1009Y] (AB45145)

We have systematically measured KD (the equilibrium dissociation constant between the antibody and its antigen), of more than 840 recombinant antibodies to assess not only their individual KD values but also to see the average affinity of antibody. Based on the comparison with published literature values for mouse monoclonal antibodies, Recombinant antibodies appear to be on average 1-2 order of magnitude higher affinity.

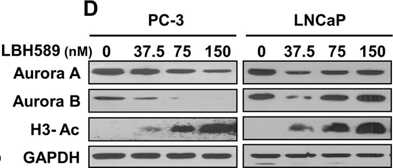
Western blot - Anti-Aurora B antibody [EP1009Y] (AB45145)
  • WB

CiteAb

Western blot - Anti-Aurora B antibody [EP1009Y] (AB45145)

Aurora B western blot using anti-Aurora B antibody [EP1009Y] ab45145. Publication image and figure legend from Chuang, M. J., Wu, S. T., et al., 2013, PLoS One, PubMed 24023871.

ab45145 was used in this publication in western blot. This may not be the same as the application(s) guaranteed by Abcam. For a full list of applications guaranteed by Abcam for ab45145 please see the product overview.

HDACI induced G2/M phase cell cycle and growth inhibition in prostate cancer cells via distinct mechanisms.(A) LBH589 had a dose-dependent effect on growth inhibition in prostate cancer cell lines. The cell lines were treated with 50, 75, 100, and 150 nM of LBH589. Cell survival was measured using MTT assay as described in the Materials and Methods section. Graphs compared the percentage of growth inhibition to vehicle control at 24 (upper) and 48 (lower) hours. (B) LBH589 induced G2/M cell cycle arrest. All cell lines were treated with LBH589 or vehicle control for 24 h. The cell cycles were analyzed by PI-staining and flow cytometry according to DNA content. The increased percentages of G2/M cells were compared to that of vehicle control. (C) LBH589 induced apoptosis in PC-3 and LNCaP cells. Both cell lines were treated with 75nM LBH589 or vehicle control for 24 (upper) and 48 (lower) h. The percentages of apoptotic cells were analyzed by counting the population of DNA fragmentation by flow cytometry. (D–E) HDACIs induced Aurora kinase degradation found in PC-3 but not in LNCaP. PC-3 and LNCaP cells were treated with different HDACIs at indicated concentrations of LBH589, SAHA and SBHA for 24 h and cell lysates were analyzed by western blot using the indicated antibodies. (F) Profile of proteins regarding progression of G2/M cell cycle. The cells were treated with different dosages of LBH589 for 24 h. The lysate was analyzed by western blot.

false

不同偶联物与剂型 (10)

  • Carrier free

    Anti-Aurora B antibody [EP1009Y] - BSA and Azide free

  • 578 PE

    PE Anti-Aurora B antibody [EP1009Y]

  • 660 APC

    APC Anti-Aurora B antibody [EP1009Y]

  • 617 Alexa Fluor® 594

    Alexa Fluor® 594 Anti-Aurora B antibody [EP1009Y]

  • 519 Alexa Fluor® 488

    Alexa Fluor® 488 Anti-Aurora B antibody [EP1009Y]

  • 603 Alexa Fluor® 568

    Alexa Fluor® 568 Anti-Aurora B antibody [EP1009Y]

  • 665 Alexa Fluor® 647

    Alexa Fluor® 647 Anti-Aurora B antibody [EP1009Y]

  • HRP

    HRP Anti-Aurora B antibody [EP1009Y]

  • 565 Alexa Fluor® 555

    Alexa Fluor® 555 Anti-Aurora B antibody [EP1009Y]

  • 775 Alexa Fluor® 750

    Alexa Fluor® 750 Anti-Aurora B antibody [EP1009Y]

关键信息

宿主种属

Rabbit

克隆

Monoclonal

克隆号

EP1009Y

亚型

IgG

不含载体蛋白

No

反应种属

Human

应用

WB, IP, Flow Cyt (Intra), IHC-P, ICC/IF

applications

免疫原

The exact immunogen used to generate this antibody is proprietary information.

反应性数据

{ "title": "Reactivity Data", "filters": { "stats": ["", "Species", "Dilution Info", "Notes"], "tabs": { "all-applications": {"fullname" : "All Applications", "shortname": "All Applications"}, "ICCIF" : {"fullname" : "Immunocytochemistry/ Immunofluorescence", "shortname":"ICC/IF"}, "IP" : {"fullname" : "Immunoprecipitation", "shortname":"IP"}, "WB" : {"fullname" : "Western blot", "shortname":"WB"}, "IHCP" : {"fullname" : "Immunohistochemistry (Formalin/PFA-fixed paraffin-embedded sections)", "shortname":"IHC-P"}, "FlowCytIntra" : {"fullname" : "Flow Cytometry (Intracellular)", "shortname":"Flow Cyt (Intra)"} }, "product-promise": { "all": "all", "testedAndGuaranteed": "tested", "guaranteed": "expected", "predicted": "predicted", "notRecommended": "not-recommended" } }, "values": { "Human": { "ICCIF-species-checked": "testedAndGuaranteed", "ICCIF-species-dilution-info": "1/20", "ICCIF-species-notes": "<p>For unpurified version use 1/100 - 1/150 dilution</p>", "IP-species-checked": "testedAndGuaranteed", "IP-species-dilution-info": "", "IP-species-notes": "<p>For unpurified version use at 1/20 dilution</p>", "WB-species-checked": "testedAndGuaranteed", "WB-species-dilution-info": "", "WB-species-notes": "<p>For unpurified version use at 1/50000 dilution</p>", "IHCP-species-checked": "testedAndGuaranteed", "IHCP-species-dilution-info": "1/200", "IHCP-species-notes": "<p>For unpurified version use at 1/250-500</p> Perform heat-mediated antigen retrieval with citrate buffer pH 6 before commencing with IHC staining protocol.", "FlowCytIntra-species-checked": "testedAndGuaranteed", "FlowCytIntra-species-dilution-info": "1/300", "FlowCytIntra-species-notes": "<p></p>" } } }

产品详情

性能和储存信息

形式
Liquid
纯化工艺
Affinity purification Protein A
存储溶液
pH: 7.2 - 7.4 Preservative: 0.01% Sodium azide Constituents: 59% PBS, 40% Glycerol (glycerin, glycerine), 0.05% BSA
运输条件
Blue Ice
推荐的短期储存条件
+4°C
推荐的长期储存条件
-20°C
分装信息
Upon delivery aliquot
储存信息
Avoid freeze / thaw cycle

补充信息

This supplementary information is collated from multiple sources and compiled automatically.

Aurora B also known as Aurora kinase B or AURKB is a serine/threonine protein kinase with a molecular mass of approximately 39 kDa. This protein expresses across various cell types and tissues playing a critical role during cell division. It localizes to the centromeres during early mitosis and later associates with the central spindle and midbody. Aurora B is a component of the chromosomal passenger complex (CPC) which includes other proteins such as INCENP survivin and borealin essential for its function.
Biological function summary

Aurora B kinase functions to ensure proper chromosome alignment segregation and cytokinesis during mitosis and meiosis. It phosphorylates various substrates to facilitate processes like correction of kinetochore-microtubule attachments and regulation of the mitotic checkpoint. As a part of the CPC Aurora B acts in coordination with other proteins to control these cellular events ensuring that cells divide accurately and safely.

Pathways

Aurora B integrates into the cell cycle and mitotic pathways operating closely with the spindle assembly checkpoint. It interacts with proteins like CENP-A and CENP-E ensuring error-free chromosome segregation. Aurora B's activity within these pathways is critical for maintaining genomic stability and preventing aneuploidy a condition linked to improper chromosome number.

Aurora B's malfunction associates with cancer and chromosomal instability. Overexpression or dysregulation of Aurora B kinase frequently occurs in several types of cancer contributing to tumorigenesis by promoting abnormal cell division. Proteins such as p53 a well-known tumor suppressor often become functionally compromised when Aurora B activity is altered further advancing disease progression. Aurora B also holds implications in other disorders marked by faulty cell cycle regulation emphasizing its potential as a therapeutic target.

产品实验方案

For this product, it's our understanding that no specific protocols are required. You can visit:

靶点信息

Serine/threonine-protein kinase component of the chromosomal passenger complex (CPC), a complex that acts as a key regulator of mitosis (PubMed : 11516652, PubMed : 12925766, PubMed : 14610074, PubMed : 14722118, PubMed : 29449677). The CPC complex has essential functions at the centromere in ensuring correct chromosome alignment and segregation and is required for chromatin-induced microtubule stabilization and spindle assembly (PubMed : 11516652, PubMed : 12925766, PubMed : 14610074, PubMed : 14722118, PubMed : 26829474). Involved in the bipolar attachment of spindle microtubules to kinetochores and is a key regulator for the onset of cytokinesis during mitosis (PubMed : 15249581). Required for central/midzone spindle assembly and cleavage furrow formation (PubMed : 12458200, PubMed : 12686604). Key component of the cytokinesis checkpoint, a process required to delay abscission to prevent both premature resolution of intercellular chromosome bridges and accumulation of DNA damage : phosphorylates CHMP4C, leading to retain abscission-competent VPS4 (VPS4A and/or VPS4B) at the midbody ring until abscission checkpoint signaling is terminated at late cytokinesis (PubMed : 22422861, PubMed : 24814515). AURKB phosphorylates the CPC complex subunits BIRC5/survivin, CDCA8/borealin and INCENP (PubMed : 11516652, PubMed : 12925766, PubMed : 14610074). Phosphorylation of INCENP leads to increased AURKB activity (PubMed : 11516652, PubMed : 12925766, PubMed : 14610074). Other known AURKB substrates involved in centromeric functions and mitosis are CENPA, DES/desmin, GPAF, KIF2C, NSUN2, RACGAP1, SEPTIN1, VIM/vimentin, HASPIN, and histone H3 (PubMed : 11756469, PubMed : 11784863, PubMed : 11856369, PubMed : 12689593, PubMed : 14602875, PubMed : 16103226, PubMed : 21658950). A positive feedback loop involving HASPIN and AURKB contributes to localization of CPC to centromeres (PubMed : 21658950). Phosphorylation of VIM controls vimentin filament segregation in cytokinetic process, whereas histone H3 is phosphorylated at 'Ser-10' and 'Ser-28' during mitosis (H3S10ph and H3S28ph, respectively) (PubMed : 11784863, PubMed : 11856369). AURKB is also required for kinetochore localization of BUB1 and SGO1 (PubMed : 15020684, PubMed : 17617734). Phosphorylation of p53/TP53 negatively regulates its transcriptional activity (PubMed : 20959462). Key regulator of active promoters in resting B- and T-lymphocytes : acts by mediating phosphorylation of H3S28ph at active promoters in resting B-cells, inhibiting RNF2/RING1B-mediated ubiquitination of histone H2A and enhancing binding and activity of the USP16 deubiquitinase at transcribed genes (By similarity). Acts as an inhibitor of CGAS during mitosis : catalyzes phosphorylation of the N-terminus of CGAS during the G2-M transition, blocking CGAS liquid phase separation and activation, and thereby preventing CGAS-induced autoimmunity (PubMed : 33542149). Phosphorylates KRT5 during anaphase and telophase (By similarity). Phosphorylates ATXN10 which promotes phosphorylation of ATXN10 by PLK1 and may play a role in the regulation of cytokinesis and stimulating the proteasomal degradation of ATXN10 (PubMed : 25666058).
See full target information AURKB

文献 (26)

Recent publications for all applications. Explore the full list and refine your search

The EMBO journal 42:e111500 PubMed36530167

2022

Adaptation to high rates of chromosomal instability and aneuploidy through multiple pathways in budding yeast.

Applications

Unspecified application

Species

Unspecified reactive species

Matthew N Clarke,Theodor Marsoner,Manuel Alonso Y Adell,Madhwesh C Ravichandran,Christopher S Campbell

Oncology letters 24:317 PubMed35949592

2022

Non-SMC condensin I complex subunit H promotes the malignant progression and cisplatin resistance of breast cancer MCF-7 cells.

Applications

Unspecified application

Species

Unspecified reactive species

Linhong Liao,Hui Cheng,Shusong Liu

BMC cancer 22:666 PubMed35715760

2022

CKAP2L, a crucial target of miR-326, promotes prostate cancer progression.

Applications

Unspecified application

Species

Unspecified reactive species

Qi Li,Mo Yan,Chunhui Wang,Kaibin Wang,Guochang Bao

Human cell 35:678-693 PubMed35088239

2022

Role of aurora kinase B in regulating resistance to paclitaxel in breast cancer cells.

Applications

Unspecified application

Species

Unspecified reactive species

Min Liu,Yinan Li,Cui Zhang,Qing Zhang

Experimental and therapeutic medicine 23:164 PubMed35069845

2022

Roles of ERRα and TGF-β signaling in stemness enhancement induced by 1 µM bisphenol A exposure via human neural stem cells.

Applications

Unspecified application

Species

Unspecified reactive species

Panpan Dong,Ganghui Ye,Xinzhuo Tu,Ying Luo,Weitong Cui,Yuxin Ma,Lei Wei,Xuewen Tian,Qinglu Wang

Proteomics 22:e2100141 PubMed34932872

2022

Comprehensive kinomic study via a chemical proteomic approach reveals kinome reprogramming in hepatocellular carcinoma tissues.

Applications

Unspecified application

Species

Unspecified reactive species

Shufeng Wang,Xinzheng Wang,Xin Yang,Feng Liu,Jin Li,Weihua Li,Zhaofang Bai,Hongbo Wang,Jie Mao,Tingting Li,Kun He,Hongxia Wang

Journal of cell science 133: PubMed32934012

2020

APC/C is required for the termination of chromosomal passenger complex activity upon mitotic exit.

Applications

Unspecified application

Species

Unspecified reactive species

Takaaki Tsunematsu,Rieko Arakaki,Hidehiko Kawai,Jan Ruppert,Koichi Tsuneyama,Naozumi Ishimaru,William C Earnshaw,Michele Pagano,Yasusei Kudo

Communications biology 2:477 PubMed31886415

2019

aurora kinase phosphorylates evolutionarily conserved sites on its target to regulate mitochondrial division.

Applications

Unspecified application

Species

Unspecified reactive species

Shoichi Kato,Erika Okamura,Tomoko M Matsunaga,Minami Nakayama,Yuki Kawanishi,Takako Ichinose,Atsuko H Iwane,Takuya Sakamoto,Yuuta Imoto,Mio Ohnuma,Yuko Nomura,Hirofumi Nakagami,Haruko Kuroiwa,Tsuneyoshi Kuroiwa,Sachihiro Matsunaga

Cancer science 109:1001-1011 PubMed29427543

2018

FBW7 is associated with prognosis, inhibits malignancies and enhances temozolomide sensitivity in glioblastoma cells.

Applications

WB

Species

Human

Jing Lin,Aihui Ji,Guanzhong Qiu,Huaizhi Feng,Jian Li,Shuo Li,Yongxiang Zou,Yong Cui,Chaoli Song,Hua He,Yicheng Lu

Oncotarget 9:13783-13795 PubMed29568394

2018

Cardiac glycoside bufalin blocks cancer cell growth by inhibition of Aurora A and Aurora B activation via PI3K-Akt pathway.

Applications

Unspecified application

Species

Unspecified reactive species

Chuan-Ming Xie,Xiao-Tong Lin,Di Wu,Ye Tan,Christopher H K Cheng,Jun Zhang
View all publications

Abcam Product Promise

我们致力于为您的研究提供高质量的试剂,为您科研的每一步提供支持。若我们的产品未能达到预期性能,我们向您提供 Abcam Product Promise 保障。
详情请参阅我们的条款与条件。

关联产品

Select an associated product type
Alternative Product
Primary Antibodies

AB218339

Anti-Aurora B antibody [AURKB/1521]

primary-antibodies

aurora-b-antibody-aurkb-1521-ab218339

0

(0 reviews)

Alternative Product
Primary Antibodies

AB115793

Anti-Aurora B (phospho T232) antibody

primary-antibodies

aurora-b-phospho-t232-antibody-ab115793

0

(3 reviews)

Alternative Product
Primary Antibodies

AB3609

Anti-Aurora B antibody [mAbcam 3609]

primary-antibodies

aurora-b-antibody-mabcam-3609-ab3609

5

(5 reviews)

Alternative Product
Primary Antibodies

AB2254

Anti-Aurora B antibody

primary-antibodies

aurora-b-antibody-ab2254

4

(36 reviews)

Alternative Product
Primary Antibodies

AB210706

Anti-Aurora B (phospho S227) antibody [EPR20389]

primary-antibodies

aurora-b-phospho-s227-antibody-epr20389-ab210706

4

(1 reviews)

Alternative Product
Primary Antibodies

AB269754

Anti-Aurora B antibody [AURKB/1521] - BSA and Azide free

primary-antibodies

aurora-b-antibody-aurkb-1521-bsa-and-azide-free-ab269754

0

(0 reviews)

Alternative Product
Primary Antibodies

AB70238

Anti-Aurora B antibody

primary-antibodies

aurora-b-antibody-ab70238

0

(0 reviews)

Please note: All products are 'FOR RESEARCH USE ONLY. NOT FOR USE IN DIAGNOSTIC OR THERAPEUTIC PROCEDURES'.

For licensing inquiries, please contact partnerships@abcam.com