JavaScript is disabled in your browser. Please enable JavaScript to view this website.
AB200839

重组Anti-ATP6V1B1 + ATP6V1B2抗体[EPR16401]

Anti-ATP6V1B1 + ATP6V1B2 antibody [EPR16401]

Be the first to review this product! Submit a review

|

(16 Publications)

Rabbit Recombinant Monoclonal ATP6V1B1 antibody. Suitable for WB, ICC/IF, IHC-P and reacts with Mouse, Human, Rat samples. Cited in 16 publications.

查看别名

ATP6B1, VATB, VPP3, ATP6V1B1, V-ATPase subunit B 1, Endomembrane proton pump 58 kDa subunit, Vacuolar proton pump subunit B 1

9 Images
Immunocytochemistry/ Immunofluorescence - Anti-ATP6V1B1 + ATP6V1B2 antibody [EPR16401] (AB200839)
  • ICC/IF

Lab

Immunocytochemistry/ Immunofluorescence - Anti-ATP6V1B1 + ATP6V1B2 antibody [EPR16401] (AB200839)

Immunofluorescent analysis of 100% methanol-fixed, 0.1% Triton X-100 permeabilized HEK293 (Human embryonic kidney) cells labeling ATP6V1B1 + ATP6V1B2 with ab200839 at 1/250 dilution, followed by Goat anti-rabbit IgG (Alexa Fluor® 488) (ab150077) secondary antibody at 1/500 dilution (green). Cytoplasmic staining on HEK293 cell line was observed. The nuclear counter stain is DAPI (blue). Tubulin is detected with ab7291 (anti-Tubulin mouse mAb) at 1/1000 dilution and ab150120 (AlexaFluor®594 Goat anti-Mouse secondary) at 1/500 dilution (red).

The negative controls are as follows :
-ve control 1 : ab200839 at 1/250 dilution followed by ab150120 (AlexaFluor®594 Goat anti-Mouse secondary) at 1/500 dilution.
-ve control 2 : ab7291 (anti-Tubulin mouse mAb) at 1/1000 dilution followed by ab150077 (Alexa Fluor®488 Goat Anti-Rabbit IgG H&L) at 1/500 dilution.

Immunocytochemistry/ Immunofluorescence - Anti-ATP6V1B1 + ATP6V1B2 antibody [EPR16401] (AB200839)
  • ICC/IF

Lab

Immunocytochemistry/ Immunofluorescence - Anti-ATP6V1B1 + ATP6V1B2 antibody [EPR16401] (AB200839)

Immunofluorescent analysis of 100% methanol-fixed, 0.1% Triton X-100 permeabilized JAR (Human placenta choriocarcinoma cell line) cells labeling ATP6V1B1 + ATP6V1B2 with ab200839 at 1/250 dilution, followed by Goat anti-rabbit IgG (Alexa Fluor® 488) (ab150077) secondary antibody at 1/500 dilution (green). Cytoplasmic staining on JAR cell line was observed. The nuclear counter stain is DAPI (blue). Tubulin is detected with ab7291 (anti-Tubulin mouse mAb) at 1/1000 dilution and ab150120 (AlexaFluor®594 Goat anti-Mouse secondary) at 1/500 dilution (red).

The negative controls are as follows :
-ve control 1 : ab200839 at 1/250 dilution followed by ab150120 (AlexaFluor®594 Goat anti-Mouse secondary) at 1/500 dilution.
-ve control 2 : ab7291 (anti-Tubulin mouse mAb) at 1/1000 dilution followed by ab150077 (Alexa Fluor®488 Goat Anti-Rabbit IgG H&L) at 1/500 dilution.

Immunohistochemistry (Formalin/PFA-fixed paraffin-embedded sections) - Anti-ATP6V1B1 + ATP6V1B2 antibody [EPR16401] (AB200839)
  • IHC-P

Supplier Data

Immunohistochemistry (Formalin/PFA-fixed paraffin-embedded sections) - Anti-ATP6V1B1 + ATP6V1B2 antibody [EPR16401] (AB200839)

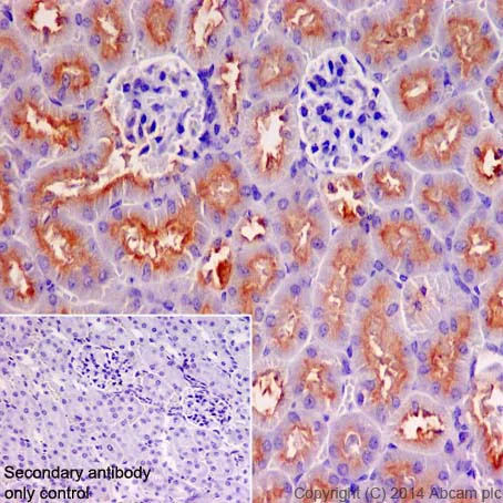
Immunohistochemical analysis of paraffin-embedded Human kidney tissue labeling ATP6V1B1 + ATP6V1B2 with ab200839 at 1/5000 dilution, followed by Goat Anti-Rabbit IgG H&L (HRP) (ab97051) secondary antibody at 1/500 dilution. Cytoplasmic staining on Human kidney tissue is observed. Counter stained with Hematoxylin.

Secondary antibody only control : Used PBS instead of primary antibody, secondary antibody is Goat Anti-Rabbit IgG H&L (HRP) (ab97051) at 1/500 dilution.

Perform heat mediated antigen retrieval with Tris/EDTA buffer pH 9.0 before commencing with IHC staining protocol.

Immunohistochemistry (Formalin/PFA-fixed paraffin-embedded sections) - Anti-ATP6V1B1 + ATP6V1B2 antibody [EPR16401] (AB200839)
  • IHC-P

Supplier Data

Immunohistochemistry (Formalin/PFA-fixed paraffin-embedded sections) - Anti-ATP6V1B1 + ATP6V1B2 antibody [EPR16401] (AB200839)

Immunohistochemical analysis of paraffin-embedded Human cardiac muscle tissue labeling ATP6V1B1 + ATP6V1B2 with ab200839 at 1/5000 dilution, followed by Goat Anti-Rabbit IgG H&L (HRP) (ab97051) secondary antibody at 1/500 dilution. Human cardiac muscle tissue represents a negative control for ATP6V1B1 + ATP6V1B2. Counter stained with Hematoxylin.

Secondary antibody only control : Used PBS instead of primary antibody, secondary antibody is Goat Anti-Rabbit IgG H&L (HRP) (ab97051) at 1/500 dilution.

Perform heat mediated antigen retrieval with Tris/EDTA buffer pH 9.0 before commencing with IHC staining protocol.

Immunohistochemistry (Formalin/PFA-fixed paraffin-embedded sections) - Anti-ATP6V1B1 + ATP6V1B2 antibody [EPR16401] (AB200839)
  • IHC-P

Supplier Data

Immunohistochemistry (Formalin/PFA-fixed paraffin-embedded sections) - Anti-ATP6V1B1 + ATP6V1B2 antibody [EPR16401] (AB200839)

Immunohistochemical analysis of paraffin-embedded Mouse kidney tissue labeling ATP6V1B1 + ATP6V1B2 with ab200839 at 1/5000 dilution, followed by Goat Anti-Rabbit IgG H&L (HRP) (ab97051) secondary antibody at 1/500 dilution. Cytoplasmic staining on mouse kidney tissue is observed. Counter stained with Hematoxylin.

Secondary antibody only control : Used PBS instead of primary antibody, secondary antibody is Goat Anti-Rabbit IgG H&L (HRP) (ab97051) at 1/500 dilution.

Perform heat mediated antigen retrieval with Tris/EDTA buffer pH 9.0 before commencing with IHC staining protocol.

Immunohistochemistry (Formalin/PFA-fixed paraffin-embedded sections) - Anti-ATP6V1B1 + ATP6V1B2 antibody [EPR16401] (AB200839)
  • IHC-P

Supplier Data

Immunohistochemistry (Formalin/PFA-fixed paraffin-embedded sections) - Anti-ATP6V1B1 + ATP6V1B2 antibody [EPR16401] (AB200839)

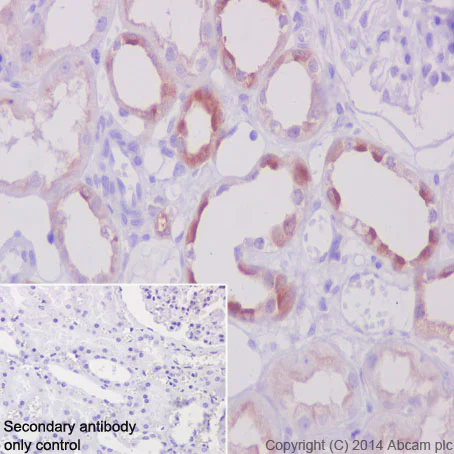
Immunohistochemical analysis of paraffin-embedded Rat kidney tissue labeling ATP6V1B1 + ATP6V1B2 with ab200839 at 1/5000 dilution, followed by Goat Anti-Rabbit IgG H&L (HRP) (ab97051) secondary antibody at 1/500 dilution. Cytoplasmic staining on rat kidney tissue is observed. Counter stained with Hematoxylin.

Secondary antibody only control : Used PBS instead of primary antibody, secondary antibody is Goat Anti-Rabbit IgG H&L (HRP) (ab97051) at 1/500 dilution.

Perform heat mediated antigen retrieval with Tris/EDTA buffer pH 9.0 before commencing with IHC staining protocol.

Western blot - Anti-ATP6V1B1 + ATP6V1B2 antibody [EPR16401] (AB200839)
  • WB

Supplier Data

Western blot - Anti-ATP6V1B1 + ATP6V1B2 antibody [EPR16401] (AB200839)

Blocking/Dilution buffer : 5% NFDM/TBST.

All lanes:

Western blot - Anti-ATP6V1B1 + ATP6V1B2 antibody [EPR16401] (ab200839) at 1/1000 dilution

Lane 1:

JAR (Human placenta choriocarcinoma cell line) cell lysate at 10 µg

Lane 2:

JAR (Human placenta choriocarcinoma cell line) cell lysate at 10 µg with immunizing peptide

Lane 3:

JAR (Human placenta choriocarcinoma cell line) cell lysate at 10 µg with ATP6V1B2 peptide

Secondary

All lanes:

Goat Anti-Rabbit IgG, (H+L), Peroxidase conjugated at 1/1000 dilution

Predicted band size: 57 kDa

Observed band size: 57 kDa

false

Exposure time: 3min

Western blot - Anti-ATP6V1B1 + ATP6V1B2 antibody [EPR16401] (AB200839)
  • WB

Supplier Data

Western blot - Anti-ATP6V1B1 + ATP6V1B2 antibody [EPR16401] (AB200839)

Blocking/Dilution buffer : 5% NFDM/TBST.

All lanes:

Western blot - Anti-ATP6V1B1 + ATP6V1B2 antibody [EPR16401] (ab200839) at 1/5000 dilution

All lanes:

JAR (Human placenta choriocarcinoma cell line) cell lysate at 10 µg

Secondary

All lanes:

Goat Anti-Rabbit IgG, (H+L), Peroxidase conjugated at 1/1000 dilution

Predicted band size: 57 kDa

Observed band size: 57 kDa

false

Exposure time: 3min

Western blot - Anti-ATP6V1B1 + ATP6V1B2 antibody [EPR16401] (AB200839)
  • WB

Supplier Data

Western blot - Anti-ATP6V1B1 + ATP6V1B2 antibody [EPR16401] (AB200839)

Blocking/Dilution buffer : 5% NFDM/TBST.

All lanes:

Western blot - Anti-ATP6V1B1 + ATP6V1B2 antibody [EPR16401] (ab200839) at 1/1000 dilution

Lane 1:

Mouse brain lysate at 10 µg

Lane 2:

Mouse kidney lysate at 10 µg

Lane 3:

Rat kidney lysate at 10 µg

Lane 4:

RAW 264.7 (Mouse macrophage cells transformed with Abelson murine leukemia virus) cell lysate at 10 µg

Secondary

All lanes:

Goat Anti-Rabbit IgG, (H+L), Peroxidase conjugated at 1/1000 dilution

Predicted band size: 57 kDa

Observed band size: 57 kDa

false

Exposure time: 3min

不同偶联物与剂型 (2)

  • Carrier free

    Anti-ATP6V1B1 + ATP6V1B2 antibody [EPR16401] - BSA and Azide free

  • 665 Alexa Fluor® 647

    Alexa Fluor® 647 Anti-ATP6V1B1 + ATP6V1B2 antibody [EPR16401]

关键信息

宿主种属

Rabbit

克隆

Monoclonal

克隆号

EPR16401

亚型

IgG

不含载体蛋白

No

反应种属

Mouse, Rat, Human

应用

ICC/IF, WB, IHC-P

applications

免疫原

The exact immunogen used to generate this antibody is proprietary information.

反应性数据

{ "title": "Reactivity Data", "filters": { "stats": ["", "Species", "Dilution Info", "Notes"], "tabs": { "all-applications": {"fullname" : "All Applications", "shortname": "All Applications"}, "WB" : {"fullname" : "Western blot", "shortname":"WB"}, "ICCIF" : {"fullname" : "Immunocytochemistry/ Immunofluorescence", "shortname":"ICC/IF"}, "IHCP" : {"fullname" : "Immunohistochemistry (Formalin/PFA-fixed paraffin-embedded sections)", "shortname":"IHC-P"} }, "product-promise": { "all": "all", "testedAndGuaranteed": "tested", "guaranteed": "expected", "predicted": "predicted", "notRecommended": "not-recommended" } }, "values": { "Human": { "WB-species-checked": "testedAndGuaranteed", "WB-species-dilution-info": "1/1000", "WB-species-notes": "<p></p>", "ICCIF-species-checked": "testedAndGuaranteed", "ICCIF-species-dilution-info": "1/250", "ICCIF-species-notes": "<p></p>", "IHCP-species-checked": "testedAndGuaranteed", "IHCP-species-dilution-info": "1/2500", "IHCP-species-notes": "<p></p>" }, "Mouse": { "WB-species-checked": "testedAndGuaranteed", "WB-species-dilution-info": "1/1000", "WB-species-notes": "<p></p>", "ICCIF-species-checked": "guaranteed", "ICCIF-species-dilution-info": "", "ICCIF-species-notes": "", "IHCP-species-checked": "testedAndGuaranteed", "IHCP-species-dilution-info": "1/2500", "IHCP-species-notes": "<p></p>" }, "Rat": { "WB-species-checked": "guaranteed", "WB-species-dilution-info": "", "WB-species-notes": "", "ICCIF-species-checked": "guaranteed", "ICCIF-species-dilution-info": "", "ICCIF-species-notes": "", "IHCP-species-checked": "testedAndGuaranteed", "IHCP-species-dilution-info": "1/2500", "IHCP-species-notes": "<p></p>" } } }

产品详情

Patented technology
Our RabMAb® technology is a patented hybridoma-based technology for making rabbit monoclonal antibodies. For details on our patents, please refer to RabMAb® patents.

What are the advantages of a recombinant monoclonal antibody?
This product is a recombinant monoclonal antibody, which offers several advantages including:

  • - High batch-to-batch consistency and reproducibility
  • - Improved sensitivity and specificity
  • - Long-term security of supply
  • - Animal-free batch production

For more information, read more on recombinant antibodies.

性能和储存信息

形式
Liquid
纯化工艺
Affinity purification Protein A
存储溶液
pH: 7.2 - 7.4 Preservative: 0.01% Sodium azide Constituents: PBS, 40% Glycerol (glycerin, glycerine), 0.05% BSA
运输条件
Blue Ice
推荐的短期储存时间
1-2 weeks
推荐的短期储存条件
+4°C
推荐的长期储存条件
-20°C
分装信息
Upon delivery aliquot
储存信息
Avoid freeze / thaw cycle

补充信息

This supplementary information is collated from multiple sources and compiled automatically.

ATP6V1B1 and ATP6V1B2 are subunits of the V-type proton ATPase (vacuolar ATPase V-ATPase) important for proton translocation across intracellular membranes. Known also as ATP synthase subunits B1 and B2 these proteins together with other subunits form part of the cytoplasmic V1 domain of the enzyme. ATP6V1B1 has a molecular mass of approximately 56 kDa while ATP6V1B2 is slightly larger at around 57 kDa. Both subunits are widely expressed in various tissues but are specifically abundant in the kidney and inner ear.
Biological function summary

ATP6V1B1 and ATP6V1B2 participate in acidification of intracellular environments a fundamental process for cellular homeostasis and function. They are integral components of the V-ATPase complex which actively transports protons into lysosomes endosomes and other vesicles generating acidic conditions essential for protein degradation vesicular trafficking and hormone activation. This acidification is also important for maintaining the optimal pH necessary for various enzymatic activities within organelles.

Pathways

These subunits play an important role in the regulation of the mTOR signaling pathway and endocytosis pathway both critical for cell growth proliferation and nutrient sensing. The activity of V-ATPase influences these pathways by affecting pH-dependent processes required for receptor-mediated endocytosis and nutrient availability. ATP6V1B1 and ATP6V1B2 interact with other V-ATPase subunits such as ATP6V1A and ATP6V1C to modulate their function in these pathways.

Mutations and dysfunctions in ATP6V1B1 and ATP6V1B2 are linked to distal renal tubular acidosis (dRTA) and sensorineural hearing loss. These conditions result from altered proton transport and subsequent disruptions in acid-base balance. The relationship with dRTA involves the defective acidification of urine a process dependent on V-ATPase activity. Additionally altered function of these subunits has implications for their interaction with other proton pumps and transport proteins such as the carbonic anhydrase II which work together in maintaining pH equilibrium in the kidney and inner ear.

产品实验方案

For this product, it's our understanding that no specific protocols are required. You can visit:

靶点信息

Non-catalytic subunit of the V1 complex of vacuolar(H+)-ATPase (V-ATPase), a multisubunit enzyme composed of a peripheral complex (V1) that hydrolyzes ATP and a membrane integral complex (V0) that translocates protons (PubMed : 16769747). V-ATPase is responsible for acidifying and maintaining the pH of intracellular compartments and in some cell types, is targeted to the plasma membrane, where it is responsible for acidifying the extracellular environment (PubMed : 32001091). Essential for the proper assembly and activity of V-ATPase (PubMed : 16769747). In renal intercalated cells, mediates secretion of protons (H+) into the urine thereby ensuring correct urinary acidification (PubMed : 16769747). Required for optimal olfactory function by mediating the acidification of the nasal olfactory epithelium (By similarity).
See full target information ATP6V1B1

其他靶点

ATP6V1B2

文献 (16)

Recent publications for all applications. Explore the full list and refine your search

Nature cell biology 26:2020-2034 PubMed39528700

2024

Specialized post-arterial capillaries facilitate adult bone remodelling.

Applications

Unspecified application

Species

Unspecified reactive species

Vishal Mohanakrishnan,Kishor K Sivaraj,Hyun-Woo Jeong,Esther Bovay,Backialakshmi Dharmalingam,M Gabriele Bixel,Van Vuong Dinh,Milena Petkova,Isidora Paredes Ugarte,Yi-Tong Kuo,Malarvizhi Gurusamy,Brian Raftrey,Nelson Tsz Long Chu,Soumyashree Das,Pamela E Rios Coronado,Martin Stehling,Lars Sävendahl,Andrei S Chagin,Taija Mäkinen,Kristy Red-Horse,Ralf H Adams

Cell reports 42:113529 PubMed38060380

2023

Molecular determinants of the crosstalk between endosomal microautophagy and chaperone-mediated autophagy.

Applications

Unspecified application

Species

Unspecified reactive species

Gregory J Krause,Philipp Kirchner,Barbara Stiller,Kateryna Morozova,Antonio Diaz,Kuei-Ho Chen,Nevan J Krogan,Esperanza Agullo-Pascual,Cristina C Clement,Kristen Lindenau,Danielle L Swaney,Shilpa Dilipkumar,Jose Javier Bravo-Cordero,Laura Santambrogio,Ana Maria Cuervo

Nature communications 14:7783 PubMed38012166

2023

Local H release remodels senescence microenvironment for improved repair of injured bone.

Applications

Unspecified application

Species

Unspecified reactive species

Shengqiang Chen,Yuanman Yu,Songqing Xie,Danna Liang,Wei Shi,Sizhen Chen,Guanglin Li,Wei Tang,Changsheng Liu,Qianjun He

Journal of virology 97:e0133823 PubMed38009916

2023

The role of lysosomes as intermediates in betacoronavirus PHEV egress from nerve cells.

Applications

Unspecified application

Species

Unspecified reactive species

Zhenzhen Wang,Wenqi He,Caili Li,Yuzhu Chen,Zi Li,Yubo Jiao,Jing Zhang,Junchao Shi,Gaili Wang,Jiyu Guan,Kui Zhao,Deguang Song,Feng Gao,Yungang Lan

The Journal of cell biology 222: PubMed36880731

2023

Proteolytic regulation of a galectin-3/Lrp1 axis controls osteoclast-mediated bone resorption.

Applications

Unspecified application

Species

Unspecified reactive species

Lingxin Zhu,Yi Tang,Xiao-Yan Li,Samuel A Kerk,Costas A Lyssiotis,Xiaoyue Sun,Zijun Wang,Jung-Sun Cho,Jun Ma,Stephen J Weiss

Nature metabolism 5:111-128 PubMed36658400

2023

Humoral regulation of iron metabolism by extracellular vesicles drives antibacterial response.

Applications

Unspecified application

Species

Unspecified reactive species

Huijuan Kuang,Geng Dou,Linfeng Cheng,Xiangdong Wang,Haokun Xu,Xuemei Liu,Feng Ding,Xiaoshan Yang,Siying Liu,Lili Bao,Huan Liu,Yao Liu,Bei Li,Yan Jin,Shiyu Liu

Life science alliance 6: PubMed36650057

2023

Vasopressin V1a receptor and oxytocin receptor regulate murine sperm motility differently.

Applications

Unspecified application

Species

Unspecified reactive species

Hiroyoshi Tsuchiya,Masakatsu Fujinoki,Morio Azuma,Taka-Aki Koshimizu

eLife 11: PubMed35119364

2022

Induction of osteogenesis by bone-targeted Notch activation.

Applications

Unspecified application

Species

Unspecified reactive species

Cong Xu,Van Vuong Dinh,Kai Kruse,Hyun-Woo Jeong,Emma C Watson,Susanne Adams,Frank Berkenfeld,Martin Stehling,Seyed Javad Rasouli,Rui Fan,Rui Chen,Ivan Bedzhov,Qi Chen,Katsuhiro Kato,Mara E Pitulescu,Ralf H Adams

Nature communications 13:571 PubMed35091558

2022

Mesenchymal stromal cell-derived septoclasts resorb cartilage during developmental ossification and fracture healing.

Applications

Unspecified application

Species

Unspecified reactive species

Kishor K Sivaraj,Paul-Georg Majev,Hyun-Woo Jeong,Backialakshmi Dharmalingam,Dagmar Zeuschner,Silke Schröder,M Gabriele Bixel,Melanie Timmen,Richard Stange,Ralf H Adams

Bone research 9:36 PubMed34334792

2021

PGE2/EP4 skeleton interoception activity reduces vertebral endplate porosity and spinal pain with low-dose celecoxib.

Applications

Unspecified application

Species

Unspecified reactive species

Peng Xue,Shenyu Wang,Xiao Lyu,Mei Wan,Xialin Li,Lei Ma,Neil C Ford,Yukun Li,Yun Guan,Wenyuan Ding,Xu Cao
View all publications

Abcam Product Promise

我们致力于为您的研究提供高质量的试剂,为您科研的每一步提供支持。若我们的产品未能达到预期性能,我们向您提供 Abcam Product Promise 保障。
详情请参阅我们的条款与条件。

Please note: All products are 'FOR RESEARCH USE ONLY. NOT FOR USE IN DIAGNOSTIC OR THERAPEUTIC PROCEDURES'.

For licensing inquiries, please contact partnerships@abcam.com