JavaScript is disabled in your browser. Please enable JavaScript to view this website.
AB199326

重组Anti-ATP6V1A抗体[EPR19270]

Anti-ATP6V1A antibody [EPR19270]

4

(2 Reviews)

|

(32 Publications)

Anti-ATP6V1A antibody [EPR19270] (ab199326) is a rabbit monoclonal antibody detecting ATP6V1A in Western Blot, Flow Cytometry (Intra), Flow Cytometry, IP, IHC-P, ICC/IF. Suitable for Human, Mouse, Rat.

- Biophysical QC for unrivalled batch-batch consistency
- Over 10 publications

查看别名

ATP6A1, ATP6V1A1, VPP2, ATP6V1A, V-type proton ATPase catalytic subunit A, V-ATPase subunit A, V-ATPase 69 kDa subunit, Vacuolar ATPase isoform VA68, Vacuolar proton pump subunit alpha

12 Images
Flow Cytometry (Intracellular) - Anti-ATP6V1A antibody [EPR19270] (AB199326)
  • Flow Cyt (Intra)

Supplier Data

Flow Cytometry (Intracellular) - Anti-ATP6V1A antibody [EPR19270] (AB199326)

Intracellular flow cytometric analysis of 4% paraformaldehyde-fixed HeLa (Human epithelial cell line from cervix adenocarcinoma) cells labeling ATP6V1A with ab199326 at 1/120 dilution (red) compared with a Rabbit IgG,monoclonal -Isotype Control (ab172730; black) and an unlabelled control (cells without incubation with primary antibody and secondary antibody; blue). Goat anti rabbit IgG (FITC) at 1/500 dilution was used as the secondary antibody.

Immunocytochemistry/ Immunofluorescence - Anti-ATP6V1A antibody [EPR19270] (AB199326)
  • ICC/IF

Supplier Data

Immunocytochemistry/ Immunofluorescence - Anti-ATP6V1A antibody [EPR19270] (AB199326)

Immunofluorescent analysis of 100% methanol-fixed 0.1% Triton X-100 permeabilized HeLa (Human epithelial cell line from cervix adenocarcinoma) cells labeling ATP6V1A with ab199326 at 1/250 dilution followed by Goat Anti-Rabbit IgG (Alexa Fluor® 488) (ab150077) secondary antibody at 1/1000 dilution (green).

Confocal image showing cytoplasmic staining on HeLa cell line.

The nuclear counterstain is DAPI (blue).

Tubulin is detected with Anti-alpha Tubulin antibody [EPR19270]- Loading Control (ab7291) at 1/1000 dilution and Goat Anti-Mouse IgG H&L (Alexa Fluor® 594) preadsorbed (ab150120) at 1/1000 dilution (red).

The negative controls are as follows : -

-ve control 1 : ab199326 at 1/250 dilution followed by ab150120 at 1/1000 dilution.

-ve control 2 : ab7291 at 1/1000 dilution followed by ab150077 at 1/1000 dilution.

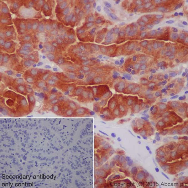
Immunohistochemistry (Formalin/PFA-fixed paraffin-embedded sections) - Anti-ATP6V1A antibody [EPR19270] (AB199326)
  • IHC-P

Supplier Data

Immunohistochemistry (Formalin/PFA-fixed paraffin-embedded sections) - Anti-ATP6V1A antibody [EPR19270] (AB199326)

Immunohistochemical analysis of paraffin-embedded Human thyroid cancer tissue labeling ATP6V1A with ab199326 at 1/1000 dilution followed by Goat Anti-Rabbit IgG H&L (HRP) (ab97051) at 1/500 dilution.

Cytoplasm staining on tumor cells of the Human thyroid cancer is observed.

Counter stained with Hematoxylin.

Secondary antibody only control : Used PBS instead of primary antibody secondary antibody is Goat Anti-Rabbit IgG H&L (HRP) (ab97051) at 1/500 dilution.

Perform heat mediated antigen retrieval with Tris/EDTA buffer pH 9.0 before commencing with IHC staining protocol.

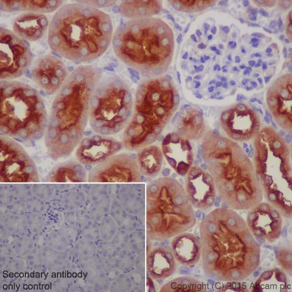
Immunohistochemistry (Formalin/PFA-fixed paraffin-embedded sections) - Anti-ATP6V1A antibody [EPR19270] (AB199326)
  • IHC-P

Supplier Data

Immunohistochemistry (Formalin/PFA-fixed paraffin-embedded sections) - Anti-ATP6V1A antibody [EPR19270] (AB199326)

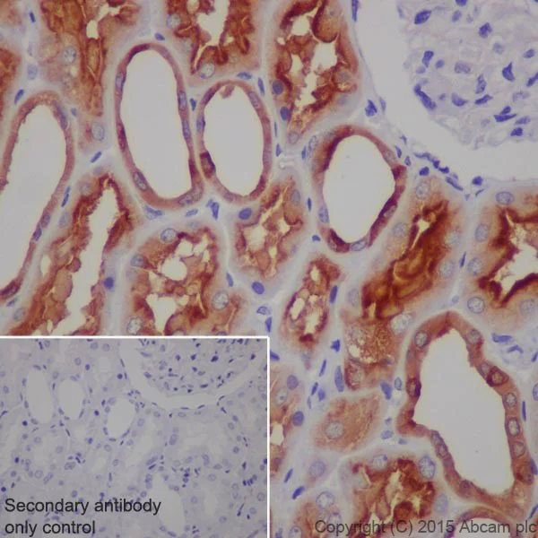
Immunohistochemical analysis of paraffin-embedded Human kidney tissue labeling ATP6V1A with ab199326 at 1/1000 dilution followed by Goat Anti-Rabbit IgG H&L (HRP) (ab97051) at 1/500 dilution.

Cytoplasm staining on kidney tubules of the normal Human kidney is observed.

Counter stained with Hematoxylin.

Secondary antibody only control : Used PBS instead of primary antibody secondary antibody is Goat Anti-Rabbit IgG H&L (HRP) (ab97051) at 1/500 dilution.

Perform heat mediated antigen retrieval with Tris/EDTA buffer pH 9.0 before commencing with IHC staining protocol.

Immunoprecipitation - Anti-ATP6V1A antibody [EPR19270] (AB199326)
  • IP

Supplier Data

Immunoprecipitation - Anti-ATP6V1A antibody [EPR19270] (AB199326)

ATP6V1A was immunoprecipitated from 1mg of HeLa (Human epithelial cell line from cervix adenocarcinoma) whole cell lysate with ab199326 at 1/40 dilution.

Western blot was performed from the immunoprecipitate using ab199326 at 1/1000 dilution.

VeriBlot for IP Detection Reagent (HRP) (ab131366), was used for detection at 1/10000 dilution.

Lane 1 : HeLa whole cell lysate 10μg (Input).

Lane 2 : ab199326 IP in HeLa whole cell lysate.

Lane 3 : Rabbit IgG,monoclonal [EPR19270] - Isotype Control (ab172730) instead of ab199326 in HeLa whole cell lysate.

Blocking and dilution buffer and concentration : 5% NFDM/TBST.

Exposure time : 5 seconds.

All lanes:

Immunoprecipitation - Anti-ATP6V1A antibody [EPR19270] (ab199326)

Predicted band size: 68 kDa

false

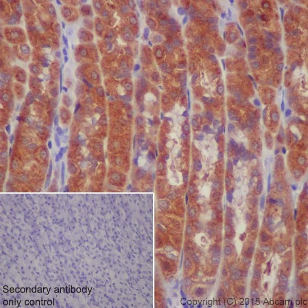
Immunohistochemistry (Formalin/PFA-fixed paraffin-embedded sections) - Anti-ATP6V1A antibody [EPR19270] (AB199326)
  • IHC-P

Supplier Data

Immunohistochemistry (Formalin/PFA-fixed paraffin-embedded sections) - Anti-ATP6V1A antibody [EPR19270] (AB199326)

Immunohistochemical analysis of paraffin-embedded mouse kidney tissue labeling ATP6V1A with ab199326 at 1/1000 dilution followed by Goat Anti-Rabbit IgG H&L (HRP) (ab97051) at 1/500 dilution.

Cytoplasm staining on kidney tubules of the mouse kidney is observed.

Counter stained with Hematoxylin.

Secondary antibody only control : Used PBS instead of primary antibody secondary antibody is Goat Anti-Rabbit IgG H&L (HRP) (ab97051) at 1/500 dilution.

Perform heat mediated antigen retrieval with Tris/EDTA buffer pH 9.0 before commencing with IHC staining protocol.

Immunocytochemistry/ Immunofluorescence - Anti-ATP6V1A antibody [EPR19270] (AB199326)
  • ICC/IF

Supplier Data

Immunocytochemistry/ Immunofluorescence - Anti-ATP6V1A antibody [EPR19270] (AB199326)

Immunofluorescent analysis of 100% methanol-fixed 0.1% Triton X-100 permeabilized NIH/3T3 (Mouse embryonic fibroblast cell line) cells labeling ATP6V1A with ab199326 at 1/250 dilution followed by Goat Anti-Rabbit IgG (Alexa Fluor® 488) (ab150077) secondary antibody at 1/1000 dilution (green).

Confocal image showing cytoplasmic staining on NIH/3T3 cell line.

The nuclear counterstain is DAPI (blue).

Tubulin is detected with Anti-alpha Tubulin antibody [EPR19270] - Loading Control (ab7291) at 1/1000 dilution and Goat Anti-Mouse IgG H&L (Alexa Fluor® 594) preadsorbed (ab150120) at 1/1000 dilution (red).

The negative controls are as follows : -

-ve control 1 : ab199326 at 1/250 dilution followed by ab150120 at 1/1000 dilution.

-ve control 2 : ab7291 at 1/1000 dilution followed by ab150077 at 1/1000 dilution.

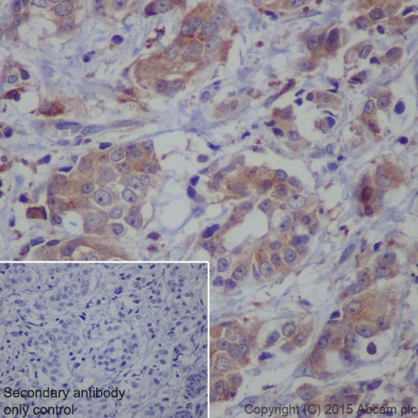
Immunohistochemistry (Formalin/PFA-fixed paraffin-embedded sections) - Anti-ATP6V1A antibody [EPR19270] (AB199326)
  • IHC-P

Supplier Data

Immunohistochemistry (Formalin/PFA-fixed paraffin-embedded sections) - Anti-ATP6V1A antibody [EPR19270] (AB199326)

Immunohistochemical analysis of paraffin-embedded rat stomach tissue labeling ATP6V1A with ab199326 at 1/1000 dilution followed by Goat Anti-Rabbit IgG H&L (HRP) (ab97051) at 1/500 dilution.

Cytoplasm staining on rat stomach tissue is observed.

Counter stained with Hematoxylin.

Secondary antibody only control : Used PBS instead of primary antibody secondary antibody is Goat Anti-Rabbit IgG H&L (HRP) (ab97051) at 1/500 dilution.

Perform heat mediated antigen retrieval with Tris/EDTA buffer pH 9.0 before commencing with IHC staining protocol.

Immunoprecipitation - Anti-ATP6V1A antibody [EPR19270] (AB199326)
  • IP

Supplier Data

Immunoprecipitation - Anti-ATP6V1A antibody [EPR19270] (AB199326)

ATP6V1A was immunoprecipitated from 1mg of NIH/3T3 (Mouse embryonic fibroblast cell line) whole cell lysate with ab199326 at 1/40 dilution.

Western blot was performed from the immunoprecipitate using ab199326 at 1/1000 dilution.

VeriBlot for IP Detection Reagent (HRP) (ab131366), was used for detection at 1/10000 dilution.

Lane 1 : NIH/3T3 whole cell lysate 10μg (Input).

Lane 2 : ab199326 IP in NIH/3T3 whole cell lysate.

Lane 3 : Rabbit IgG,monoclonal [EPR19270] - Isotype Control (ab172730) instead of ab199326 in NIH/3T3 whole cell lysate.

Blocking and dilution buffer and concentration : 5% NFDM/TBST.

Exposure time : 5 seconds.

All lanes:

Immunoprecipitation - Anti-ATP6V1A antibody [EPR19270] (ab199326)

Predicted band size: 56 kDa,68 kDa

false

Western blot - Anti-ATP6V1A antibody [EPR19270] (AB199326)
  • WB

Supplier Data

Western blot - Anti-ATP6V1A antibody [EPR19270] (AB199326)

Blocking/Dilution buffer : 5% NFDM/TBST.

All lanes:

Western blot - Anti-ATP6V1A antibody [EPR19270] (ab199326) at 1/2000 dilution

Lane 1:

HeLa (Human epithelial cell line from cervix adenocarcinoma) whole cell lysate at 20 µg

Lane 2:

K562 (Human chronic myelogenous leukemia cell line from bone marrow) whole cell lysate at 20 µg

Lane 3:

HEK-293 (Human epithelial cell line from embryonic kidney) whole cell lysate at 20 µg

Secondary

All lanes:

Western blot - Goat Anti-Rabbit IgG H&L (HRP) (<a href='/products/secondary-antibodies/goat-rabbit-igg-h-l-hrp-ab97051'>ab97051</a>) at 1/100000 dilution

Predicted band size: 68 kDa

Observed band size: 68 kDa

false

Exposure time: 8s

Western blot - Anti-ATP6V1A antibody [EPR19270] (AB199326)
  • WB

Supplier Data

Western blot - Anti-ATP6V1A antibody [EPR19270] (AB199326)

Blocking/Dilution buffer : 5% NFDM/TBST.

Exposure time : Lane 1 : 3 minutes; Lane 2 and 3 : 8 seconds.

All lanes:

Western blot - Anti-ATP6V1A antibody [EPR19270] (ab199326) at 1/2000 dilution

Lane 1:

Human fetal heart lysate at 10 µg

Lane 2:

Human fetal liver lysate at 10 µg

Lane 3:

Human fetal kidney lysate at 10 µg

Secondary

All lanes:

Goat Anti-Rabbit IgG Peroxidase Conjugate, specific to the non-reduced form of IgG at 1/10000 dilution

Predicted band size: 68 kDa

Observed band size: 68 kDa

false

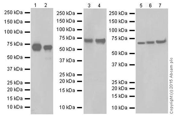
Western blot - Anti-ATP6V1A antibody [EPR19270] (AB199326)
  • WB

Supplier Data

Western blot - Anti-ATP6V1A antibody [EPR19270] (AB199326)

Blocking/Dilution buffer : 5% NFDM/TBST.

Exposure time : Lane 1 and 2 : 4 seconds; Lane 3 and 4 : 1 second; Lane 5,6 and 7 : 4 seconds.

All lanes:

Western blot - Anti-ATP6V1A antibody [EPR19270] (ab199326) at 1/2000 dilution

Lane 1:

Mouse brain lysate at 10 µg

Lane 2:

Mouse kidney lysate at 10 µg

Lane 3:

Rat brain lysate at 10 µg

Lane 4:

Rat kidney lysate at 10 µg

Lane 5:

C6 (Rat glial tumor cell line) whole cell lysate at 10 µg

Lane 6:

PC-12 (Rat adrenal gland pheochromocytoma cell line) whole cell lysate at 10 µg

Lane 7:

NIH/3T3 (Mouse embryo fibroblast cell line) whole cell lysate at 10 µg

Secondary

All lanes:

Western blot - Goat Anti-Rabbit IgG H&L (HRP) (<a href='/products/secondary-antibodies/goat-rabbit-igg-h-l-hrp-ab97051'>ab97051</a>) at 1/100000 dilution

Predicted band size: 68 kDa

Observed band size: 68 kDa

false

不同偶联物与剂型 (1)

  • Carrier free

    Anti-ATP6V1A antibody [EPR19270] - BSA and Azide free

关键信息

宿主种属

Rabbit

克隆

Monoclonal

克隆号

EPR19270

亚型

IgG

不含载体蛋白

No

反应种属

Mouse, Rat, Human

应用

Flow Cyt (Intra), IP, WB, IHC-P, ICC/IF

applications

免疫原

The exact immunogen used to generate this antibody is proprietary information.

反应性数据

{ "title": "Reactivity Data", "filters": { "stats": ["", "Species", "Dilution Info", "Notes"], "tabs": { "all-applications": {"fullname" : "All Applications", "shortname": "All Applications"}, "IP" : {"fullname" : "Immunoprecipitation", "shortname":"IP"}, "WB" : {"fullname" : "Western blot", "shortname":"WB"}, "ICCIF" : {"fullname" : "Immunocytochemistry/ Immunofluorescence", "shortname":"ICC/IF"}, "FlowCytIntra" : {"fullname" : "Flow Cytometry (Intracellular)", "shortname":"Flow Cyt (Intra)"}, "IHCP" : {"fullname" : "Immunohistochemistry (Formalin/PFA-fixed paraffin-embedded sections)", "shortname":"IHC-P"} }, "product-promise": { "all": "all", "testedAndGuaranteed": "tested", "guaranteed": "expected", "predicted": "predicted", "notRecommended": "not-recommended" } }, "values": { "Human": { "IP-species-checked": "testedAndGuaranteed", "IP-species-dilution-info": "1/40", "IP-species-notes": "<p></p>", "WB-species-checked": "testedAndGuaranteed", "WB-species-dilution-info": "1/2000", "WB-species-notes": "<p></p>", "ICCIF-species-checked": "testedAndGuaranteed", "ICCIF-species-dilution-info": "1/250", "ICCIF-species-notes": "<p></p>", "FlowCytIntra-species-checked": "testedAndGuaranteed", "FlowCytIntra-species-dilution-info": "1/120", "FlowCytIntra-species-notes": "<p></p>", "IHCP-species-checked": "testedAndGuaranteed", "IHCP-species-dilution-info": "1/1000", "IHCP-species-notes": "<p></p>" }, "Mouse": { "IP-species-checked": "testedAndGuaranteed", "IP-species-dilution-info": "1/40", "IP-species-notes": "<p></p>", "WB-species-checked": "testedAndGuaranteed", "WB-species-dilution-info": "1/2000", "WB-species-notes": "<p></p>", "ICCIF-species-checked": "testedAndGuaranteed", "ICCIF-species-dilution-info": "1/250", "ICCIF-species-notes": "<p></p>", "FlowCytIntra-species-checked": "guaranteed", "FlowCytIntra-species-dilution-info": "", "FlowCytIntra-species-notes": "", "IHCP-species-checked": "testedAndGuaranteed", "IHCP-species-dilution-info": "1/1000", "IHCP-species-notes": "<p></p>" }, "Rat": { "IP-species-checked": "guaranteed", "IP-species-dilution-info": "", "IP-species-notes": "", "WB-species-checked": "testedAndGuaranteed", "WB-species-dilution-info": "1/2000", "WB-species-notes": "<p></p>", "ICCIF-species-checked": "guaranteed", "ICCIF-species-dilution-info": "", "ICCIF-species-notes": "", "FlowCytIntra-species-checked": "guaranteed", "FlowCytIntra-species-dilution-info": "", "FlowCytIntra-species-notes": "", "IHCP-species-checked": "testedAndGuaranteed", "IHCP-species-dilution-info": "1/1000", "IHCP-species-notes": "<p></p>" } } }

产品详情

What is this antibody validated in?
Anti-ATP6V1A antibody [EPR19270] (ab199326) is a rabbit recombinant monoclonal antibody and is validated for use in Western Blot (WB), Flow Cytometry (Intra), Flow Cytometry (Flow Cyt), Immunoprecipitation (IP), Immunohistochemistry (IHC-P), Immunocytochemistry/immunofluorescence (ICC/IF) in Human, Mouse, Rat samples.

What is the molecular weight of ATP6V1A?
Anti-ATP6V1A [EPR19270] (ab199326) specifically detects a band for ATP6V1A (UniProt: P38606) at a molecular weight of 68kDa.

Trusted by the scientific community
Anti-ATP6V1A [EPR19270] (ab199326) was first used in a scientific publication in 2015 and has been cited over 10 times in peer-reviewed journals.

Trial sizes available!
Test your antibody or perform pre-screening before committing to a larger quantity. Sold in 10µl. Discover our selection of trial-size antibodies.

Other related products
We have a range of other formats of antibody clone [EPR19270] also available for your convenience: ab199326, Carrier free - ab251267

Patented technology
Our RabMAb® technology is a patented hybridoma-based technology for making rabbit monoclonal antibodies. For details on our patents, please refer to RabMAb® patents.

What are the advantages of a recombinant monoclonal antibody?
This product is a recombinant monoclonal antibody, which offers several advantages including:

  • - High batch-to-batch consistency and reproducibility
  • - Improved sensitivity and specificity
  • - Long-term security of supply
  • - Animal-free batch production

For more information, read more on recombinant antibodies.

性能和储存信息

形式
Liquid
纯化工艺
Affinity purification Protein A
存储溶液
pH: 7.2 - 7.4 Preservative: 0.01% Sodium azide Constituents: PBS, 40% Glycerol (glycerin, glycerine), 0.05% BSA
运输条件
Blue Ice
推荐的短期储存时间
1-2 weeks
推荐的短期储存条件
+4°C
推荐的长期储存条件
-20°C
分装信息
Upon delivery aliquot
储存信息
Avoid freeze / thaw cycle

补充信息

This supplementary information is collated from multiple sources and compiled automatically.

ATP6V1A also known as V-ATPase subunit A is a component of the V1 domain of the vacuolar ATPase (V-ATPase) which is a large enzyme responsible for acidifying intracellular compartments. This protein has a mass of approximately 70 kDa and operates in cellular processes by hydrolyzing ATP to drive protons across membranes. ATP6V1A displays significant expression in several cell types including neurons epithelial cells and osteoclasts. The protein enables V-ATPase functionality important for maintaining the pH balance inside cells and organelles facilitating various physiological processes.
Biological function summary

ATP6V1A is an integral part of the V1 domain of the V-ATPase complex a multi-subunit assembly critical for the acidification of intracellular organelles such as lysosomes endosomes and the Golgi apparatus. This activity supports processes like protein degradation receptor-mediated endocytosis and membrane trafficking. The V-ATPase containing ATP6V1A uses energy from ATP hydrolysis to pump protons which is essential for cellular homeostasis and ion transport.

Pathways

ATP6V1A plays an important role in the endocytosis and autophagy pathways. These pathways depend on the acidification of intracellular compartments enabling processes such as the breakdown and recycling of cellular components. ATP6V1A is related to proteins like V-ATPase subunit c (ATP6V1C) and other subunits that form the V-ATPase enzyme. These protein interactions allow the modulation and execution of cellular transport and hormone regulation pathways.

Mutations or dysregulation of ATP6V1A have been linked to renal tubular acidosis and osteoporosis where improper acidification impacts bone resorption and kidney function. The protein connections include its interaction with other V-ATPase subunits like ATP6V0A3 which can also result in osteopetrosis when defective. Such conditions demonstrate how ATP6V1A's role in acidification processes is important for normal physiological function and how its dysfunction leads to disease.

产品实验方案

For this product, it's our understanding that no specific protocols are required. You can visit:

靶点信息

Catalytic subunit of the V1 complex of vacuolar(H+)-ATPase (V-ATPase), a multisubunit enzyme composed of a peripheral complex (V1) that hydrolyzes ATP and a membrane integral complex (V0) that translocates protons (PubMed : 8463241). V-ATPase is responsible for acidifying and maintaining the pH of intracellular compartments and in some cell types, is targeted to the plasma membrane, where it is responsible for acidifying the extracellular environment (PubMed : 32001091). In aerobic conditions, involved in intracellular iron homeostasis, thus triggering the activity of Fe(2+) prolyl hydroxylase (PHD) enzymes, and leading to HIF1A hydroxylation and subsequent proteasomal degradation (PubMed : 28296633). May play a role in neurite development and synaptic connectivity (PubMed : 29668857).. (Microbial infection) Plays an important role in virion uncoating during Rabies virus replication after membrane fusion. Specifically, participates in the dissociation of incoming viral matrix M proteins uncoating through direct interaction.
See full target information ATP6V1A

文献 (32)

Recent publications for all applications. Explore the full list and refine your search

Nature communications 16:7808 PubMed40841558

2025

Control of Golgi- V-ATPase through Sac1-dependent co-regulation of PI(4)P and cholesterol.

Applications

Unspecified application

Species

Unspecified reactive species

Xin Zhou,Miesje M van der Stoel,Shreyas Kaptan,Haoran Li,Shiqian Li,Maarit Hölttä,Helena Vihinen,Eija Jokitalo,Christoph Thiele,Olli Pietiläinen,Shin Morioka,Junko Sasaki,Takehiko Sasaki,Ilpo Vattulainen,Elina Ikonen

Nature structural & molecular biology 32:2060-2075 PubMed40527988

2025

DMXL1 promotes recruitment of V1-ATPase to lysosomes upon TRPML1 activation.

Applications

Unspecified application

Species

Unspecified reactive species

Chan Lee,Matthew J G Eldridge,Miguel A Gonzalez-Lozano,Thomas Bresnahan,Zachary Niday,Donato Del Camino,Tao Fu,Joao A Paulo,Magdalene M Moran,Sophie Helaine,J Wade Harper

Bioactive materials 52:63-72 PubMed40530412

2025

Real-time magnetic resonance visualization of tumor acidosis as a precognition indicator of therapeutic efficacy.

Applications

Unspecified application

Species

Unspecified reactive species

Mengyao Mu,Mengmeng Zhang,Jie Liu,Ke Ren,Hui Liu,Lixian Yip,Kai Guo,Feifei Teng,Jian Dong,Xueli Xu,David Tai Leong,Xiao Sun

Proceedings of the National Academy of Sciences of the United States of America 122:e2415422122 PubMed39982740

2025

STING-induced noncanonical autophagy regulates endolysosomal homeostasis.

Applications

Unspecified application

Species

Unspecified reactive species

Tuozhi Huang,Chenglong Sun,Fenghe Du,Zhijian J Chen

Cellular and molecular life sciences : CMLS 82:4 PubMed39680136

2024

Golgi pH elevation due to loss of V-ATPase subunit V0a2 function correlates with tissue-specific glycosylation changes and globozoospermia.

Applications

Unspecified application

Species

Unspecified reactive species

Johannes Kopp,Denise Jahn,Guido Vogt,Anthi Psoma,Edoardo Ratto,Willy Morelle,Nina Stelzer,Ingrid Hausser,Anne Hoffmann,Miguel Rodriguez de Los Santos,Leonard A Koch,Björn Fischer-Zirnsak,Christian Thiel,Wilhelm Palm,David Meierhofer,Geert van den Bogaart,François Foulquier,Andreas Meinhardt,Uwe Kornak

Translational neurodegeneration 13:54 PubMed39497162

2024

Critical role of ROCK1 in AD pathogenesis via controlling lysosomal biogenesis and acidification.

Applications

Unspecified application

Species

Unspecified reactive species

Chenghuan Song,Wanying Huang,Pingao Zhang,Jiyun Shi,Ting Yu,Jing Wang,Yongbo Hu,Lanxue Zhao,Rui Zhang,Gang Wang,Yongfang Zhang,Hongzhuan Chen,Hao Wang

eLife 12: PubMed38994733

2024

Vacuolar H-ATPase determines daughter cell fates through asymmetric segregation of the nucleosome remodeling and deacetylase complex.

Applications

Unspecified application

Species

Unspecified reactive species

Zhongyun Xie,Yongping Chai,Zhiwen Zhu,Zijie Shen,Zhengyang Guo,Zhiguang Zhao,Long Xiao,Zhuo Du,Guangshuo Ou,Wei Li

Acta physiologica (Oxford, England) 240:e14186 PubMed38837572

2024

ATP6V1A is required for synaptic rearrangements and plasticity in murine hippocampal neurons.

Applications

Unspecified application

Species

Unspecified reactive species

Alessandro Esposito,Sara Pepe,Maria Sabina Cerullo,Katia Cortese,Hanako Tsushima Semini,Silvia Giovedì,Renzo Guerrini,Fabio Benfenati,Antonio Falace,Anna Fassio

Advanced science (Weinheim, Baden-Wurttemberg, Germany) 11:e2400790 PubMed38741381

2024

Exploring the Link Between Autophagy-Lysosomal Dysfunction and Early Heterotopic Ossification in Tendons.

Applications

Unspecified application

Species

Unspecified reactive species

Chang-He Gao,Qian-Qian Wan,Jan-Fei Yan,Yi-Na Zhu,Lei Tian,Jian-Hua Wei,Bin Feng,Li-Na Niu,Kai Jiao

Advanced science (Weinheim, Baden-Wurttemberg, Germany) 11:e2305339 PubMed38044319

2023

Astrocyte-Derived Extracellular Vesicular miR-143-3p Dampens Autophagic Degradation of Endothelial Adhesion Molecules and Promotes Neutrophil Transendothelial Migration after Acute Brain Injury.

Applications

Unspecified application

Species

Unspecified reactive species

Xun Wu,Haixiao Liu,Qing Hu,Jin Wang,Shenghao Zhang,Wenxing Cui,Yingwu Shi,Hao Bai,Jinpeng Zhou,Liying Han,Leiyang Li,Yang Wu,Jianing Luo,Tinghao Wang,Chengxuan Guo,Qiang Wang,Shunnan Ge,Yan Qu
View all publications

Abcam Product Promise

我们致力于为您的研究提供高质量的试剂,为您科研的每一步提供支持。若我们的产品未能达到预期性能,我们向您提供 Abcam Product Promise 保障。
详情请参阅我们的条款与条件。

Please note: All products are 'FOR RESEARCH USE ONLY. NOT FOR USE IN DIAGNOSTIC OR THERAPEUTIC PROCEDURES'.

For licensing inquiries, please contact partnerships@abcam.com