JavaScript is disabled in your browser. Please enable JavaScript to view this website.
AB202899

重组Anti-ATP6V0D1/P39抗体[EPR18320-38]

Anti-ATP6V0D1/P39 antibody [EPR18320-38]

Be the first to review this product! Submit a review

|

(10 Publications)

Rabbit Recombinant Monoclonal ATP6V0D1/P39 antibody. Suitable for IP, WB, ICC/IF, Flow Cyt (Intra), IHC-P and reacts with Human, Mouse, Rat samples. Cited in 10 publications.

查看别名

ATP6D, VPATPD, ATP6V0D1, V-type proton ATPase subunit d 1, V-ATPase subunit d 1, 32 kDa accessory protein, V-ATPase 40 kDa accessory protein, V-ATPase AC39 subunit, Vacuolar proton pump subunit d 1, p39

11 Images
Flow Cytometry (Intracellular) - Anti-ATP6V0D1/P39 antibody [EPR18320-38] (AB202899)
  • Flow Cyt (Intra)

Unknown

Flow Cytometry (Intracellular) - Anti-ATP6V0D1/P39 antibody [EPR18320-38] (AB202899)

Intracellular Flow Cytometry analysis of HeLa cells labelling ATP6V0D1/P39 with ab202899 at 1/800 (red). Cells were fixed with 4% paraformaldehyde and permeabilized with 90% methanol. An Alexa Fluorr® 488-conjugated goat anti-rabbit IgG (1/2000) was used as the secondary antibody. Black - Isotype control, rabbit monoclonal IgG. Blue - Unlabelled control, cells without incubation with primary and secondary antibodies.

Immunocytochemistry/ Immunofluorescence - Anti-ATP6V0D1/P39 antibody [EPR18320-38] (AB202899)
  • ICC/IF

Supplier Data

Immunocytochemistry/ Immunofluorescence - Anti-ATP6V0D1/P39 antibody [EPR18320-38] (AB202899)

Immunofluorescent analysis of 4% paraformaldehyde-fixed 0.1% Triton X-100 permeabilized HeLa (Human epithelial cells from cervix adenocarcinoma) cells labeling ATP6V0D1/P39 with ab202899 at 1/500 dilution followed by Goat anti-rabbit IgG (Alexa Fluor® 488) (ab150077) secondary antibody at 1/1000 dilution (green). Cytoplasm staining on HeLa cell line is observed. The nuclear counterstain is DAPI (blue). Tubulin is detected with ab7291 (anti-Tubulin mouse mAb) at 1/1000 dilution and ab150120 (Alexa Fluor® 594 Goat anti-Mouse secondary) at 1/1000 dilution (red).
The negative controls are as follows : -
-ve control 1 - ab202899 at 1/500 dilution followed by ab150120 (Alexa Fluor® 594 Goat anti-Mouse secondary) at 1/1000 dilution.
-ve control 2. - ab7291 (anti-Tubulin mouse mAb) at 1/1000 dilution followed by ab150077 (Alexa Fluor® 488 Goat Anti-Rabbit IgG H&L) at 1/1000 dilution.

Immunohistochemistry (Formalin/PFA-fixed paraffin-embedded sections) - Anti-ATP6V0D1/P39 antibody [EPR18320-38] (AB202899)
  • IHC-P

Supplier Data

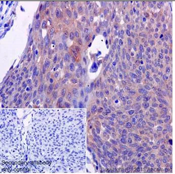
Immunohistochemistry (Formalin/PFA-fixed paraffin-embedded sections) - Anti-ATP6V0D1/P39 antibody [EPR18320-38] (AB202899)

Immunohistochemical analysis of paraffin-embedded Human breast carcinoma tissue labeling ATP6V0D1/P39 with ab202899 at 1/250 dilution followed by Goat Anti-Rabbit IgG H&L (HRP) (ab97051) at 1/500 dilution. Cytoplasmic staining on Human breast carcinoma tissue is observed. Counter stained with Hematoxylin.
Negative control : Used PBS instead of primary antibody secondary antibody is Goat Anti-Rabbit IgG H&L (HRP) (ab97051).

Perform heat mediated antigen retrieval with Tris/EDTA buffer pH 9.0 before commencing with IHC staining protocol.

Immunocytochemistry/ Immunofluorescence - Anti-ATP6V0D1/P39 antibody [EPR18320-38] (AB202899)
  • ICC/IF

Supplier Data

Immunocytochemistry/ Immunofluorescence - Anti-ATP6V0D1/P39 antibody [EPR18320-38] (AB202899)

Immunofluorescent analysis of 4% paraformaldehyde-fixed 0.1% Triton X-100 permeabilized MCF-7 (Human breast adenocarcinoma) cells labeling ATP6V0D1/P39 with ab202899 at 1/500 dilution followed by Goat anti-rabbit IgG (Alexa Fluor® 488) (ab150077) secondary antibody at 1/1000 dilution (green). Cytoplasm staining on MCF-7 cell line is observed. The nuclear counterstain is DAPI (blue). Tubulin is detected with ab7291 (anti-Tubulin mouse mAb) at 1/1000 dilution and ab150120 (Alexa Fluor® 594 Goat anti-Mouse secondary) at 1/1000 dilution (red).
The negative controls are as follows : -
-ve control 1 - ab202899 at 1/500 dilution followed byab150120 (Alexa Fluor® 594 Goat anti-Mouse secondary) at 1/1000 dilution.
-ve control 2 - ab7291 (anti-Tubulin mouse mAb) at 1/1000 dilution followed by ab150077 (Alexa Fluor® 488 Goat Anti-Rabbit IgG H&L) at 1/1000 dilution.

Immunohistochemistry (Formalin/PFA-fixed paraffin-embedded sections) - Anti-ATP6V0D1/P39 antibody [EPR18320-38] (AB202899)
  • IHC-P

Supplier Data

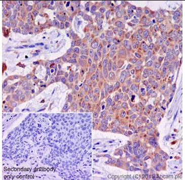
Immunohistochemistry (Formalin/PFA-fixed paraffin-embedded sections) - Anti-ATP6V0D1/P39 antibody [EPR18320-38] (AB202899)

Immunohistochemical analysis of paraffin-embedded Human cervix carcinoma tissue labeling ATP6V0D1/P39 with ab202899 at 1/250 dilution followed by Goat Anti-Rabbit IgG H&L (HRP) (ab97051) at 1/500 dilution. Cytoplasmic staining on Human cervix carcinoma tissue is observed. Counter stained with Hematoxylin.
Negative control : Used PBS instead of primary antibody secondary antibody is Goat Anti-Rabbit IgG H&L (HRP) (ab97051).

Perform heat mediated antigen retrieval with Tris/EDTA buffer pH 9.0 before commencing with IHC staining protocol.

Immunoprecipitation - Anti-ATP6V0D1/P39 antibody [EPR18320-38] (AB202899)
  • IP

Supplier Data

Immunoprecipitation - Anti-ATP6V0D1/P39 antibody [EPR18320-38] (AB202899)

ATP6V0D1/P39 was immunoprecipitated from 1mg of MCF-7 (Human breast adenocarcinoma cell line) whole cell lysate with ab202899 at 1/50 dilution. Western blot was performed from the immunoprecipitate using ab202899 at 1/5000 dilution. Anti-Rabbit IgG (HRP), specific to the non-reduced form of IgG, was used as secondary antibody at 1/1500 dilution. Lane 1 : Input MCF-7 whole cell lysate (10 μg). Lane 2 : MCF-7 whole cell lysate following precipitation. Lane 3 : Rabbit monoclonal IgG (ab172730) instead of ab202899 in MCF-7 whole cell lysate.
Blocking and dilution buffer and concentration : 5% NFDM/TBST.10 second exposure.

All lanes:

Immunoprecipitation - Anti-ATP6V0D1/P39 antibody [EPR18320-38] (ab202899)

Predicted band size: 40 kDa

Observed band size: 40 kDa

false

Immunohistochemistry (Formalin/PFA-fixed paraffin-embedded sections) - Anti-ATP6V0D1/P39 antibody [EPR18320-38] (AB202899)
  • IHC-P

Supplier Data

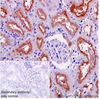
Immunohistochemistry (Formalin/PFA-fixed paraffin-embedded sections) - Anti-ATP6V0D1/P39 antibody [EPR18320-38] (AB202899)

Immunohistochemical analysis of paraffin-embedded Mouse kidney tissue labeling ATP6V0D1/P39 with ab202899 at 1/250 dilution followed by Goat Anti-Rabbit IgG H&L (HRP) (ab97051) at 1/500 dilution. Cytoplasmic staining on Mouse kidney tissue is observed. Counter stained with Hematoxylin.
Negative control : Used PBS instead of primary antibody secondary antibody is Goat Anti-Rabbit IgG H&L (HRP) (ab97051).

Perform heat mediated antigen retrieval with Tris/EDTA buffer pH 9.0 before commencing with IHC staining protocol.

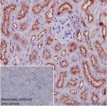
Immunohistochemistry (Formalin/PFA-fixed paraffin-embedded sections) - Anti-ATP6V0D1/P39 antibody [EPR18320-38] (AB202899)
  • IHC-P

Supplier Data

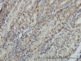
Immunohistochemistry (Formalin/PFA-fixed paraffin-embedded sections) - Anti-ATP6V0D1/P39 antibody [EPR18320-38] (AB202899)

Immunohistochemical analysis of paraffin-embedded Rat kidney tissue labeling ATP6V0D1/P39 with ab202899 at 1/250 dilution followed by Goat Anti-Rabbit IgG H&L (HRP) (ab97051) at 1/500 dilution. Cytoplasmic staining on Rat kidney tissue is observed. Counter stained with Hematoxylin.
Negative control : Used PBS instead of primary antibody secondary antibody is Goat Anti-Rabbit IgG H&L (HRP) (ab97051).

Perform heat mediated antigen retrieval with Tris/EDTA buffer pH 9.0 before commencing with IHC staining protocol.

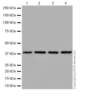
Western blot - Anti-ATP6V0D1/P39 antibody [EPR18320-38] (AB202899)
  • WB

Supplier Data

Western blot - Anti-ATP6V0D1/P39 antibody [EPR18320-38] (AB202899)

Blocking/dilution buffer : 5% NFDM/TBST.

All lanes:

Western blot - Anti-ATP6V0D1/P39 antibody [EPR18320-38] (ab202899) at 1/10000 dilution

Lane 1:

Human fetal kidney at 20 µg

Lane 2:

HeLa (Human epithelial cells from cervix adenocarcinoma) at 20 µg

Lane 3:

MCF-7 (Human breast adenocarcinoma cell line) at 20 µg

Lane 4:

A431 (Human epidermoid carcinoma) at 20 µg

Secondary

Lanes 1 - 4:

Goat Anti-Rabbit IgG, (H+L), Peroxidase conjugated at 1/50000 dilution

Lanes 1 - 4:

Western blot - Goat Anti-Rabbit IgG H&L (HRP) (<a href='/products/secondary-antibodies/goat-rabbit-igg-h-l-hrp-ab97051'>ab97051</a>) at 1/50000 dilution

Predicted band size: 40 kDa

Observed band size: 40 kDa

false

Exposure time: 1min

Western blot - Anti-ATP6V0D1/P39 antibody [EPR18320-38] (AB202899)
  • WB

Supplier Data

Western blot - Anti-ATP6V0D1/P39 antibody [EPR18320-38] (AB202899)

Blocking/dilution buffer : 5% NFDM/TBST.

All lanes:

Western blot - Anti-ATP6V0D1/P39 antibody [EPR18320-38] (ab202899) at 1/2000 dilution

All lanes:

Human fetal brain at 10 µg

Secondary

All lanes:

Anti-Rabbit IgG (HRP), specific to the non-reduced form of IgG at 1/1000 dilution

Predicted band size: 40 kDa

Observed band size: 40 kDa

false

Exposure time: 5s

Western blot - Anti-ATP6V0D1/P39 antibody [EPR18320-38] (AB202899)
  • WB

Supplier Data

Western blot - Anti-ATP6V0D1/P39 antibody [EPR18320-38] (AB202899)

Blocking/dilution buffer : 5% NFDM/TBST.

All lanes:

Western blot - Anti-ATP6V0D1/P39 antibody [EPR18320-38] (ab202899) at 1/2000 dilution

Lane 1:

Mouse kidney at 10 µg

Lane 2:

Mouse spleen at 10 µg

Lane 3:

Rat spleen at 10 µg

Lane 4:

C6 (Rat glial tumor cells) at 10 µg

Lane 5:

PC-12 (Rat adrenal gland pheochromocytoma) at 10 µg

Lane 6:

NIH/3T3 (mouse embryo fibroblast cells) at 10 µg

Secondary

All lanes:

Goat Anti-Rabbit IgG, (H+L), Peroxidase conjugated (<a href='/products/secondary-antibodies/goat-rabbit-igg-h-l-hrp-ab97051'>ab97051</a>) at 1/50000 dilution

Predicted band size: 40 kDa

Observed band size: 40 kDa

false

Exposure time: 5s

不同偶联物与剂型 (1)

  • Carrier free

    Anti-ATP6V0D1/P39 antibody [EPR18320-38] - BSA and Azide free

关键信息

宿主种属

Rabbit

克隆

Monoclonal

克隆号

EPR18320-38

亚型

IgG

不含载体蛋白

No

反应种属

Mouse, Rat, Human

应用

IP, WB, Flow Cyt (Intra), ICC/IF, IHC-P

applications

免疫原

The exact immunogen used to generate this antibody is proprietary information.

反应性数据

{ "title": "Reactivity Data", "filters": { "stats": ["", "Species", "Dilution Info", "Notes"], "tabs": { "all-applications": {"fullname" : "All Applications", "shortname": "All Applications"}, "IP" : {"fullname" : "Immunoprecipitation", "shortname":"IP"}, "WB" : {"fullname" : "Western blot", "shortname":"WB"}, "ICCIF" : {"fullname" : "Immunocytochemistry/ Immunofluorescence", "shortname":"ICC/IF"}, "FlowCytIntra" : {"fullname" : "Flow Cytometry (Intracellular)", "shortname":"Flow Cyt (Intra)"}, "IHCP" : {"fullname" : "Immunohistochemistry (Formalin/PFA-fixed paraffin-embedded sections)", "shortname":"IHC-P"} }, "product-promise": { "all": "all", "testedAndGuaranteed": "tested", "guaranteed": "expected", "predicted": "predicted", "notRecommended": "not-recommended" } }, "values": { "Human": { "IP-species-checked": "testedAndGuaranteed", "IP-species-dilution-info": "1/50", "IP-species-notes": "<p></p>", "WB-species-checked": "testedAndGuaranteed", "WB-species-dilution-info": "1/2000", "WB-species-notes": "<p></p>", "ICCIF-species-checked": "testedAndGuaranteed", "ICCIF-species-dilution-info": "1/500", "ICCIF-species-notes": "<p></p>", "FlowCytIntra-species-checked": "testedAndGuaranteed", "FlowCytIntra-species-dilution-info": "1/800", "FlowCytIntra-species-notes": "<p></p>", "IHCP-species-checked": "testedAndGuaranteed", "IHCP-species-dilution-info": "1/250", "IHCP-species-notes": "<p></p>" }, "Mouse": { "IP-species-checked": "guaranteed", "IP-species-dilution-info": "", "IP-species-notes": "", "WB-species-checked": "testedAndGuaranteed", "WB-species-dilution-info": "1/2000", "WB-species-notes": "<p></p>", "ICCIF-species-checked": "guaranteed", "ICCIF-species-dilution-info": "", "ICCIF-species-notes": "", "FlowCytIntra-species-checked": "guaranteed", "FlowCytIntra-species-dilution-info": "", "FlowCytIntra-species-notes": "", "IHCP-species-checked": "testedAndGuaranteed", "IHCP-species-dilution-info": "1/250", "IHCP-species-notes": "<p></p>" }, "Rat": { "IP-species-checked": "guaranteed", "IP-species-dilution-info": "", "IP-species-notes": "", "WB-species-checked": "testedAndGuaranteed", "WB-species-dilution-info": "1/2000", "WB-species-notes": "<p></p>", "ICCIF-species-checked": "guaranteed", "ICCIF-species-dilution-info": "", "ICCIF-species-notes": "", "FlowCytIntra-species-checked": "guaranteed", "FlowCytIntra-species-dilution-info": "", "FlowCytIntra-species-notes": "", "IHCP-species-checked": "testedAndGuaranteed", "IHCP-species-dilution-info": "1/250", "IHCP-species-notes": "<p></p>" } } }

产品详情

Patented technology
Our RabMAb® technology is a patented hybridoma-based technology for making rabbit monoclonal antibodies. For details on our patents, please refer to RabMAb® patents.

What are the advantages of a recombinant monoclonal antibody?
This product is a recombinant monoclonal antibody, which offers several advantages including:

  • - High batch-to-batch consistency and reproducibility
  • - Improved sensitivity and specificity
  • - Long-term security of supply
  • - Animal-free batch production

For more information, read more on recombinant antibodies.

性能和储存信息

形式
Liquid
纯化工艺
Affinity purification Protein A
存储溶液
pH: 7.2 - 7.4 Preservative: 0.01% Sodium azide Constituents: PBS, 40% Glycerol (glycerin, glycerine), 0.05% BSA
运输条件
Blue Ice
推荐的短期储存时间
1-2 weeks
推荐的短期储存条件
+4°C
推荐的长期储存条件
-20°C
分装信息
Upon delivery aliquot
储存信息
Avoid freeze / thaw cycle

补充信息

This supplementary information is collated from multiple sources and compiled automatically.

ATP6V0D1 also known as P39 is a subunit of the V0 domain of the vacuolar ATPase (V-ATPase) complex. This protein has an approximate mass of 39 kDa. ATP6V0D1 is broadly expressed in various tissues with higher levels in metabolically active cells such as kidney and liver cells. The V-ATPase complex is essential for acidifying intracellular compartments which aids in numerous cellular processes including protein degradation and receptor-mediated endocytosis.
Biological function summary

ATP6V0D1 impacts the acidification necessary for intracellular processes by being a component of the V-ATPase complex. This complex functions as a proton pump moving protons across membranes to regulate pH in cellular compartments like lysosomes and endosomes. Proper function of V-ATPase and thereby of ATP6V0D1 is important for cellular homeostasis and energy metabolism. Disruption of these processes could impair critical functions such as protein degradation and nutrient processing.

Pathways

ATP6V0D1 plays roles in key cellular pathways such as the glucose metabolism pathway and protein processing in the endoplasmic reticulum. In these pathways ATP6V0D1 works closely with other proteins like ATP6V1 subunits within the V-ATPase complex. Its involvement in these pathways highlights not only its importance in cellular energy balance but also in maintaining the structural integrity of cells under varying metabolic conditions.

ATP6V0D1 is linked to conditions such as osteopetrosis and renal tubular acidosis. These disorders relate to the malfunction of acidification in cells where ATP6V0D1 expression is important highlighting the connection between disrupted ATP6V0D1 function and impaired cellular processes. Proteins like ATP6V0A1 another subunit of the V-ATPase complex also play a role in these conditions emphasizing the need for functional cooperation among these proteins to maintain normal physiological states.

产品实验方案

For this product, it's our understanding that no specific protocols are required. You can visit:

靶点信息

Subunit of the V0 complex of vacuolar(H+)-ATPase (V-ATPase), a multisubunit enzyme composed of a peripheral complex (V1) that hydrolyzes ATP and a membrane integral complex (V0) that translocates protons (PubMed : 28296633, PubMed : 30374053, PubMed : 33065002). V-ATPase is responsible for acidifying and maintaining the pH of intracellular compartments and in some cell types, is targeted to the plasma membrane, where it is responsible for acidifying the extracellular environment (PubMed : 30374053). May play a role in coupling of proton transport and ATP hydrolysis (By similarity). In aerobic conditions, involved in intracellular iron homeostasis, thus triggering the activity of Fe(2+) prolyl hydroxylase (PHD) enzymes, and leading to HIF1A hydroxylation and subsequent proteasomal degradation (PubMed : 28296633). May play a role in cilium biogenesis through regulation of the transport and the localization of proteins to the cilium (By similarity).
See full target information ATP6V0D1

文献 (10)

Recent publications for all applications. Explore the full list and refine your search

Nature structural & molecular biology 32:2060-2075 PubMed40527988

2025

DMXL1 promotes recruitment of V1-ATPase to lysosomes upon TRPML1 activation.

Applications

Unspecified application

Species

Unspecified reactive species

Chan Lee,Matthew J G Eldridge,Miguel A Gonzalez-Lozano,Thomas Bresnahan,Zachary Niday,Donato Del Camino,Tao Fu,Joao A Paulo,Magdalene M Moran,Sophie Helaine,J Wade Harper

Autophagy 21:1192-1211 PubMed39757940

2025

Nonreceptor tyrosine kinase ABL1 regulates lysosomal acidification by phosphorylating the ATP6V1B2 subunit of the vacuolar-type H-ATPase.

Applications

Unspecified application

Species

Unspecified reactive species

Caiwei Song,Qincai Dong,Yi Yao,Yan Cui,Chunmei Zhang,Lijun Lin,Lin Zhu,Yong Hu,Hainan Liu,Yanwen Jin,Ping Li,Xuan Liu,Cheng Cao

Cellular and molecular life sciences : CMLS 82:4 PubMed39680136

2024

Golgi pH elevation due to loss of V-ATPase subunit V0a2 function correlates with tissue-specific glycosylation changes and globozoospermia.

Applications

Unspecified application

Species

Unspecified reactive species

Johannes Kopp,Denise Jahn,Guido Vogt,Anthi Psoma,Edoardo Ratto,Willy Morelle,Nina Stelzer,Ingrid Hausser,Anne Hoffmann,Miguel Rodriguez de Los Santos,Leonard A Koch,Björn Fischer-Zirnsak,Christian Thiel,Wilhelm Palm,David Meierhofer,Geert van den Bogaart,François Foulquier,Andreas Meinhardt,Uwe Kornak

Proceedings of the National Academy of Sciences of the United States of America 121:e2322755121 PubMed39163330

2024

Rag-Ragulator is the central organizer of the physical architecture of the mTORC1 nutrient-sensing pathway.

Applications

Unspecified application

Species

Unspecified reactive species

Max L Valenstein,Pranav V Lalgudi,Xin Gu,Jibril F Kedir,Martin S Taylor,Raghu R Chivukula,David M Sabatini

Cell discovery 9:92 PubMed37679337

2023

Lysosomes mediate the mitochondrial UPR via mTORC1-dependent ATF4 phosphorylation.

Applications

Unspecified application

Species

Unspecified reactive species

Terytty Yang Li,Qi Wang,Arwen W Gao,Xiaoxu Li,Yu Sun,Adrienne Mottis,Minho Shong,Johan Auwerx

Nature communications 13:4848 PubMed35977928

2022

Direct control of lysosomal catabolic activity by mTORC1 through regulation of V-ATPase assembly.

Applications

Unspecified application

Species

Unspecified reactive species

Edoardo Ratto,S Roy Chowdhury,Nora S Siefert,Martin Schneider,Marten Wittmann,Dominic Helm,Wilhelm Palm

Frontiers in cell and developmental biology 9:743124 PubMed35252216

2022

HPS6 Regulates the Biogenesis of Weibel-Palade Body in Endothelial Cells Through Trafficking v-ATPase to Its Limiting Membrane.

Applications

Unspecified application

Species

Unspecified reactive species

Jiran Lu,Jing Ma,Zhenhua Hao,Wei Li

Autophagy 16:1871-1888 PubMed31983282

2020

DNA-dependent protein kinase regulates lysosomal AMP-dependent protein kinase activation and autophagy.

Applications

Unspecified application

Species

Unspecified reactive species

Pietri Puustinen,Anne Keldsbo,Elisabeth Corcelle-Termeau,Kevin Ngoei,Stine L Sønder,Thomas Farkas,Klaus Kaae Andersen,Jon S Oakhill,Marja Jäättelä

Biochemical and biophysical research communications 521:414-419 PubMed31672277

2019

Lysosome-associated membrane protein-2 deficiency increases the risk of reactive oxygen species-induced ferroptosis in retinal pigment epithelial cells.

Applications

Unspecified application

Species

Unspecified reactive species

Jong-Jer Lee,Kenji Ishihara,Shoji Notomi,Nikolaos E Efstathiou,Takashi Ueta,Daniel Maidana,Xiaohong Chen,Yasuhiro Iesato,Alberto Caligiana,Demetrios G Vavvas

Cell 178:552-566.e20 PubMed31327526

2019

A Bacterial Effector Reveals the V-ATPase-ATG16L1 Axis that Initiates Xenophagy.

Applications

Unspecified application

Species

Unspecified reactive species

Yue Xu,Ping Zhou,Sen Cheng,Qiuhe Lu,Kathrin Nowak,Ann-Katrin Hopp,Lin Li,Xuyan Shi,Zhiwei Zhou,Wenqing Gao,Da Li,Huabin He,Xiaoyun Liu,Jingjin Ding,Michael O Hottiger,Feng Shao
View all publications

Abcam Product Promise

我们致力于为您的研究提供高质量的试剂,为您科研的每一步提供支持。若我们的产品未能达到预期性能,我们向您提供 Abcam Product Promise 保障。
详情请参阅我们的条款与条件。

Please note: All products are 'FOR RESEARCH USE ONLY. NOT FOR USE IN DIAGNOSTIC OR THERAPEUTIC PROCEDURES'.

For licensing inquiries, please contact partnerships@abcam.com