JavaScript is disabled in your browser. Please enable JavaScript to view this website.
AB204737

Anti-ATP6V0A4抗体

Anti-ATP6V0A4 antibody

Be the first to review this product! Submit a review

|

(4 Publications)

Rabbit Polyclonal ATP6V0A4 antibody. Suitable for IHC-P and reacts with Human samples. Cited in 4 publications. Immunogen corresponding to Recombinant Fragment Protein within Human ATP6V0A4 aa 100-200.

查看别名

ATP6N1B, ATP6N2, ATP6V0A4, V-type proton ATPase 116 kDa subunit a 4, V-ATPase 116 kDa isoform a 4, Vacuolar proton translocating ATPase 116 kDa subunit a isoform 4, Vacuolar proton translocating ATPase 116 kDa subunit a kidney isoform

1 Images
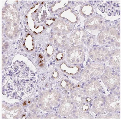
Immunohistochemistry (Formalin/PFA-fixed paraffin-embedded sections) - Anti-ATP6V0A4 antibody (AB204737)
  • IHC-P

Supplier Data

Immunohistochemistry (Formalin/PFA-fixed paraffin-embedded sections) - Anti-ATP6V0A4 antibody (AB204737)

Immunohistochemical analysis of paraffin-embedded Human kidney tissue labeling ATP6V0A4 with ab204737 at a dilution of 1/2500.

关键信息

宿主种属

Rabbit

克隆

Polyclonal

亚型

IgG

不含载体蛋白

No

反应种属

Human

应用

IHC-P

applications

免疫原

Recombinant Fragment Protein within Human ATP6V0A4 aa 100-200. The exact immunogen used to generate this antibody is proprietary information.

Q9HBG4

反应性数据

{ "title": "Reactivity Data", "filters": { "stats": ["", "Species", "Dilution Info", "Notes"], "tabs": { "all-applications": {"fullname" : "All Applications", "shortname": "All Applications"}, "IHCP" : {"fullname" : "Immunohistochemistry (Formalin/PFA-fixed paraffin-embedded sections)", "shortname":"IHC-P"} }, "product-promise": { "all": "all", "testedAndGuaranteed": "tested", "guaranteed": "expected", "predicted": "predicted", "notRecommended": "not-recommended" } }, "values": { "Human": { "IHCP-species-checked": "testedAndGuaranteed", "IHCP-species-dilution-info": "1/2500 - 1/5000", "IHCP-species-notes": "<p></p> Perform heat-mediated antigen retrieval with citrate buffer pH 6 before commencing with IHC staining protocol." } } }

性能和储存信息

形式
Liquid
纯化工艺
Affinity purification Immunogen
存储溶液
pH: 7.2 Preservative: 0.02% Sodium azide Constituents: PBS, 40% Glycerol (glycerin, glycerine)
运输条件
Blue Ice
推荐的短期储存时间
1-2 weeks
推荐的短期储存条件
+4°C
推荐的长期储存条件
-20°C
分装信息
Upon delivery aliquot
储存信息
Avoid freeze / thaw cycle

补充信息

This supplementary information is collated from multiple sources and compiled automatically.

ATP6V0A4 also known by its alternate name V-ATPase 116 kDa subunit a isoform 4 plays a significant role in acidifying intracellular compartments. This protein is part of the vacuolar ATPase (V-ATPase) complex a proton pump that utilizes ATP hydrolysis to translocate protons across cellular membranes. ATP6V0A4 possesses a mass of approximately 116 kDa and sees expression mainly in the kidney particularly in the intercalated cells of the renal collecting duct. Its expression ensures efficient acid-base homeostasis by aiding the secretion of protons into the urinary space.
Biological function summary

ATP6V0A4 is essential for maintaining proper ion balance and pH regulation in the kidney. It is a component of the V-ATPase complex which comprises multiple subunits working together to pump protons. By participating in intracellular acidification this protein facilitates various processes like protein degradation receptor-mediated endocytosis and coupled transport. The function of the V-ATPase complex in which ATP6V0A4 resides ensures cell survival in acidic environments and supports cellular homeostasis.

Pathways

ATP6V0A4 plays a role in renal acidification and the regulation of systemic blood pH levels. It functions within the context of ion transport pathways in the kidney contributing to the bicarbonate reabsorption process. In these pathways ATP6V0A4 interacts with other components of the V-ATPase complex and associates with proteins like anion exchanger 1 (AE1) to help maintain electrolyte balance and acid-base equilibrium in the body.

Mutations in ATP6V0A4 connect to distal renal tubular acidosis (dRTA) a condition characterized by an inability to effectively acidify urine due to renal tubular dysfunction. This disorder can lead to metabolic acidosis failure to thrive and nephrocalcinosis. Additionally ATP6V0A4 may relate to autosomal recessive inheritance patterns indirectly involving various proteins in acid-base regulation pathways. Understanding these interactions provides potential avenues for therapeutic intervention in dRTA and related conditions.

产品实验方案

For this product, it's our understanding that no specific protocols are required. You can visit:

靶点信息

Subunit of the V0 complex of vacuolar(H+)-ATPase (V-ATPase), a multisubunit enzyme composed of a peripheral complex (V1) that hydrolyzes ATP and a membrane integral complex (V0) that translocates protons (By similarity). V-ATPase is responsible for acidifying and maintaining the pH of intracellular compartments and in some cell types, is targeted to the plasma membrane, where it is responsible for acidifying the extracellular environment (By similarity). Involved in normal vectorial acid transport into the urine by the kidney (PubMed : 10973252, PubMed : 12414817).
See full target information ATP6V0A4

文献 (4)

Recent publications for all applications. Explore the full list and refine your search

Renal failure 47:2536729 PubMed40775604

2025

Identification of novel pathogenic mutations in associated with distal renal tubular acidosis and analysis of wild-type expression in glomerular disease.

Applications

Unspecified application

Species

Unspecified reactive species

Yaru Jiang,Menglu Ren,Chun Gan,Qing Yang,Huimin Jiang,Han Xiao,Xindi Zhou,Wanbing Chen,Xuejun Yang,Baohui Yang,Yaxi Chen,Mo Wang,Haiping Yang,Wei Jiang,Qiu Li

iScience 25:104995 PubMed36097618

2022

Cyclophosphamide depletes tumor infiltrating T regulatory cells and combined with anti-PD-1 therapy improves survival in murine neuroblastoma.

Applications

Unspecified application

Species

Unspecified reactive species

Emily R Webb,Julia Moreno-Vincente,Alistair Easton,Silvia Lanati,Martin Taylor,Sonya James,Emily L Williams,Vikki English,Chris Penfold,Stephen A Beers,Juliet C Gray

Journal of lipid research 63:100210 PubMed35439525

2022

Sulfatide with ceramide composed of phytosphingosine (t18:0) and 2-hydroxy FAs in renal intercalated cells.

Applications

Unspecified application

Species

Unspecified reactive species

Keiko Nakashima,Yukie Hirahara,Taro Koike,Susumu Tanaka,Keizo Gamo,Souichi Oe,Shinichi Hayashi,Ryohei Seki-Omura,Yousuke Nakano,Chisato Ohe,Takashi Yoshida,Yosky Kataoka,Masayuki Tsuda,Tatsuyuki Yamashita,Koichi Honke,Masaaki Kitada

Journal of Cancer 13:1611-1622 PubMed35371305

2022

Identification and analysis of a prognostic ferroptosis and iron-metabolism signature for esophageal squamous cell carcinoma.

Applications

Unspecified application

Species

Unspecified reactive species

Mengnan Zhao,Ming Li,Yuansheng Zheng,Zhengyang Hu,Jiaqi Liang,Guoshu Bi,Yunyi Bian,Qihai Sui,Cheng Zhan,Miao Lin,Qun Wang
View all publications

Abcam Product Promise

我们致力于为您的研究提供高质量的试剂,为您科研的每一步提供支持。若我们的产品未能达到预期性能,我们向您提供 Abcam Product Promise 保障。
详情请参阅我们的条款与条件。

Please note: All products are 'FOR RESEARCH USE ONLY. NOT FOR USE IN DIAGNOSTIC OR THERAPEUTIC PROCEDURES'.

For licensing inquiries, please contact partnerships@abcam.com