JavaScript is disabled in your browser. Please enable JavaScript to view this website.
AB126181

Anti-ATP5L抗体

Anti-ATP5L antibody

Be the first to review this product! Submit a review

|

(6 Publications)

Rabbit Polyclonal ATP5L antibody. Suitable for WB, IHC-P and reacts with Human, Mouse samples. Cited in 6 publications. Immunogen corresponding to Recombinant Fragment Protein within Human ATP5MG aa 1-100.

查看别名

ATP5L, ATP5MG, ATPase subunit g, ATP synthase membrane subunit g

2 Images
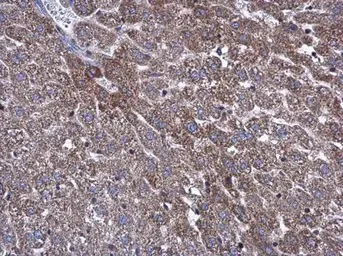
Immunohistochemistry (Formalin/PFA-fixed paraffin-embedded sections) - Anti-ATP5L antibody (AB126181)
  • IHC-P

Supplier Data

Immunohistochemistry (Formalin/PFA-fixed paraffin-embedded sections) - Anti-ATP5L antibody (AB126181)

Immunohistochemical analysis of paraffin-embedded mouse liver tissue labelling ATP5L protein at mitochondria with ab126181 at a 1/500 dilution.
Antigen retrieval : Citrate buffer, pH 6.0, 15 min

Western blot - Anti-ATP5L antibody (AB126181)
  • WB

Unknown

Western blot - Anti-ATP5L antibody (AB126181)

15% SDS PAGE

All lanes:

Western blot - Anti-ATP5L antibody (ab126181) at 1/1000 dilution

All lanes:

HepG2 whole cell lysate at 30 µg

Predicted band size: 11 kDa

false

关键信息

宿主种属

Rabbit

克隆

Polyclonal

亚型

IgG

不含载体蛋白

No

反应种属

Human, Mouse

应用

WB, IHC-P

applications

免疫原

Recombinant Fragment Protein within Human ATP5MG aa 1-100. The exact immunogen used to generate this antibody is proprietary information.

O75964

反应性数据

{ "title": "Reactivity Data", "filters": { "stats": ["", "Species", "Dilution Info", "Notes"], "tabs": { "all-applications": {"fullname" : "All Applications", "shortname": "All Applications"}, "WB" : {"fullname" : "Western blot", "shortname":"WB"}, "IHCP" : {"fullname" : "Immunohistochemistry (Formalin/PFA-fixed paraffin-embedded sections)", "shortname":"IHC-P"} }, "product-promise": { "all": "all", "testedAndGuaranteed": "tested", "guaranteed": "expected", "predicted": "predicted", "notRecommended": "not-recommended" } }, "values": { "Human": { "WB-species-checked": "testedAndGuaranteed", "WB-species-dilution-info": "1/500 - 1/3000", "WB-species-notes": "<p></p>", "IHCP-species-checked": "guaranteed", "IHCP-species-dilution-info": "", "IHCP-species-notes": "" }, "Mouse": { "WB-species-checked": "guaranteed", "WB-species-dilution-info": "", "WB-species-notes": "", "IHCP-species-checked": "testedAndGuaranteed", "IHCP-species-dilution-info": "1/100 - 1/1000", "IHCP-species-notes": "<p></p>" } } }

性能和储存信息

形式
Liquid
纯化工艺
Affinity purification Immunogen
存储溶液
pH: 7 Preservative: 0.01% Thimerosal (merthiolate) Constituents: 20% Glycerol (glycerin, glycerine), 1.21% Tris, 0.75% Glycine
运输条件
Blue Ice
推荐的短期储存条件
+4°C
推荐的长期储存条件
-20°C
分装信息
Upon delivery aliquot
储存信息
Avoid freeze / thaw cycle

补充信息

This supplementary information is collated from multiple sources and compiled automatically.

ATP5L also known as ATP synthase subunit f is a component of the mitochondrial ATP synthase complex. This protein is involved in the production of ATP the primary energy carrier within cells. The precise mass of human ATP5L is approximately 16 kDa. ATP5L is highly expressed in tissues with high energy demand such as the heart liver and skeletal muscle indicating its role in energy metabolism and mitochondrial functionality.
Biological function summary

ATP5L plays an essential part in ATP synthesis by facilitating the proton translocation across the mitochondrial membrane. It is a component of the F1F0 ATP synthase complex also known as Complex V of the electron transport chain. This complex synthesizes ATP from ADP and inorganic phosphate during oxidative phosphorylation an important process for cellular energy supply. Through its involvement in this complex ATP5L contributes to maintaining adequate levels of ATP within the cell.

Pathways

ATP5L acts within the oxidative phosphorylation and cellular respiration pathways. It collaborates with closely associated proteins like ATP5O and ATP5B in the energy production process. These pathways critically support cellular energy homeostasis and provide the energy required for various metabolic processes. ATP5L's function is thereby directly linked to the electron transport chain's efficient operation enabling the conversion of nutrient-derived energy into a usable cellular form.

Dysfunction in ATP5L has implications in metabolic-related disorders such as mitochondrial diseases and energy metabolism imbalances. ATP5L mutations or dysregulation can contribute to conditions like mitochondrial encephalomyopathy which affects the nervous system and muscles. Additionally the interaction of ATP5L with related proteins such as ATP5A1 can influence cardiac diseases where energy deficiencies lead to compromised heart function. Understanding these links offers insight into potential therapeutic targets for disorders related to energy metabolism.

产品实验方案

For this product, it's our understanding that no specific protocols are required. You can visit:

靶点信息

Mitochondrial membrane ATP synthase (F(1)F(0) ATP synthase or Complex V) produces ATP from ADP in the presence of a proton gradient across the membrane which is generated by electron transport complexes of the respiratory chain. F-type ATPases consist of two structural domains, F(1) - containing the extramembraneous catalytic core, and F(0) - containing the membrane proton channel, linked together by a central stalk and a peripheral stalk. During catalysis, ATP synthesis in the catalytic domain of F(1) is coupled via a rotary mechanism of the central stalk subunits to proton translocation. Part of the complex F(0) domain. Minor subunit located with subunit a in the membrane.
See full target information ATP5MG

文献 (6)

Recent publications for all applications. Explore the full list and refine your search

Cell reports. Medicine 5:101647 PubMed39019006

2024

Dysregulation of FLVCR1a-dependent mitochondrial calcium handling in neural progenitors causes congenital hydrocephalus.

Applications

Unspecified application

Species

Unspecified reactive species

Francesca Bertino,Dibyanti Mukherjee,Massimo Bonora,Christoph Bagowski,Jeannette Nardelli,Livia Metani,Diletta Isabella Zanin Venturini,Diego Chianese,Nicolas Santander,Iris Chiara Salaroglio,Andreas Hentschel,Elisa Quarta,Tullio Genova,Arpana Arjun McKinney,Anna Lucia Allocco,Veronica Fiorito,Sara Petrillo,Giorgia Ammirata,Francesco De Giorgio,Evan Dennis,Garrett Allington,Felicitas Maier,Moneef Shoukier,Karl-Philipp Gloning,Luca Munaron,Federico Mussano,Ettore Salsano,Davide Pareyson,Maja di Rocco,Fiorella Altruda,Georgia Panagiotakos,Kristopher T Kahle,Pierre Gressens,Chiara Riganti,Paolo P Pinton,Andreas Roos,Thomas Arnold,Emanuela Tolosano,Deborah Chiabrando

Nature communications 12:4835 PubMed34376679

2021

Defining the molecular mechanisms of the mitochondrial permeability transition through genetic manipulation of F-ATP synthase.

Applications

Unspecified application

Species

Unspecified reactive species

Andrea Carrer,Ludovica Tommasin,Justina Šileikytė,Francesco Ciscato,Riccardo Filadi,Andrea Urbani,Michael Forte,Andrea Rasola,Ildikò Szabò,Michela Carraro,Paolo Bernardi

Cell reports 35:108983 PubMed33852870

2021

A naturally occurring mutation in ATP synthase subunit c is associated with increased damage following hypoxia/reoxygenation in STEMI patients.

Applications

Unspecified application

Species

Unspecified reactive species

Giampaolo Morciano,Gaia Pedriali,Massimo Bonora,Rita Pavasini,Elisa Mikus,Simone Calvi,Matteo Bovolenta,Magdalena Lebiedzinska-Arciszewska,Mirko Pinotti,Alberto Albertini,Mariusz R Wieckowski,Carlotta Giorgi,Roberto Ferrari,Lorenzo Galluzzi,Gianluca Campo,Paolo Pinton

Cell reports 32:108095 PubMed32877677

2020

The Unique Cysteine of F-ATP Synthase OSCP Subunit Participates in Modulation of the Permeability Transition Pore.

Applications

Unspecified application

Species

Unspecified reactive species

Michela Carraro,Kristen Jones,Geppo Sartori,Marco Schiavone,Salvatore Antonucci,Roza Kucharczyk,Jean-Paul di Rago,Cinzia Franchin,Giorgio Arrigoni,Michael Forte,Paolo Bernardi

Nature communications 10:5823 PubMed31862883

2019

A mitochondrial megachannel resides in monomeric FF ATP synthase.

Applications

Unspecified application

Species

Unspecified reactive species

Nelli Mnatsakanyan,Marc C Llaguno,Youshan Yang,Yangyang Yan,Joachim Weber,Fred J Sigworth,Elizabeth A Jonas

Oncogene 35:5000-9 PubMed26923328

2016

RNA-binding motif protein 47 inhibits Nrf2 activity to suppress tumor growth in lung adenocarcinoma.

Applications

Unspecified application

Species

Unspecified reactive species

T Sakurai,K Isogaya,S Sakai,M Morikawa,Y Morishita,S Ehata,K Miyazono,D Koinuma
View all publications

Abcam Product Promise

我们致力于为您的研究提供高质量的试剂,为您科研的每一步提供支持。若我们的产品未能达到预期性能,我们向您提供 Abcam Product Promise 保障。
详情请参阅我们的条款与条件。

Please note: All products are 'FOR RESEARCH USE ONLY. NOT FOR USE IN DIAGNOSTIC OR THERAPEUTIC PROCEDURES'.

For licensing inquiries, please contact partnerships@abcam.com