JavaScript is disabled in your browser. Please enable JavaScript to view this website.
AB176993

Anti-ATOX1抗体

Anti-ATOX1 antibody

Be the first to review this product! Submit a review

|

(1 Publication)

Rabbit Polyclonal ATOX1 antibody. Suitable for WB, IHC-P and reacts with Human samples. Cited in 1 publication. Immunogen corresponding to Recombinant Full Length Protein corresponding to Human ATOX1.

查看别名

HAH1, ATOX1, Copper transport protein ATOX1, Metal transport protein ATX1

2 Images
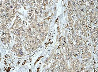
Immunohistochemistry (Formalin/PFA-fixed paraffin-embedded sections) - Anti-ATOX1 antibody (AB176993)
  • IHC-P

Supplier Data

Immunohistochemistry (Formalin/PFA-fixed paraffin-embedded sections) - Anti-ATOX1 antibody (AB176993)

Immunohistochemical staining of formalin-fixed paraffin-embedded Human liver carcinoma tissue labeling ATOX1 with ab176993 at 1/100 dilution showing cytoplasmic staining

Western blot - Anti-ATOX1 antibody (AB176993)
  • WB

Supplier Data

Western blot - Anti-ATOX1 antibody (AB176993)

All lanes:

Western blot - Anti-ATOX1 antibody (ab176993) at 1/500 dilution

Lane 1:

7721 cell lysate

Lane 2:

Jurkat cell lysate

Predicted band size: 7 kDa

false

关键信息

宿主种属

Rabbit

克隆

Polyclonal

亚型

IgG

不含载体蛋白

No

反应种属

Human

应用

IHC-P, WB

applications

免疫原

Recombinant Full Length Protein corresponding to Human ATOX1.

O00244

反应性数据

{ "title": "Reactivity Data", "filters": { "stats": ["", "Species", "Dilution Info", "Notes"], "tabs": { "all-applications": {"fullname" : "All Applications", "shortname": "All Applications"}, "WB" : {"fullname" : "Western blot", "shortname":"WB"}, "IHCP" : {"fullname" : "Immunohistochemistry (Formalin/PFA-fixed paraffin-embedded sections)", "shortname":"IHC-P"} }, "product-promise": { "all": "all", "testedAndGuaranteed": "tested", "guaranteed": "expected", "predicted": "predicted", "notRecommended": "not-recommended" } }, "values": { "Human": { "WB-species-checked": "testedAndGuaranteed", "WB-species-dilution-info": "1/200 - 1/1000", "WB-species-notes": "<p></p>", "IHCP-species-checked": "testedAndGuaranteed", "IHCP-species-dilution-info": "1/100 - 1/500", "IHCP-species-notes": "<p></p>" } } }

性能和储存信息

形式
Lyophilized
复溶
reconstitute with water at 200µL
纯化工艺
Affinity purification Immunogen
存储溶液
pH: 7.2 Preservative: 0.02% Sodium azide Constituents: PBS, 1% BSA
运输条件
Blue Ice
推荐的短期储存时间
1-2 weeks
推荐的短期储存条件
+4°C
推荐的长期储存条件
-20°C
分装信息
Upon delivery aliquot
储存信息
Avoid freeze / thaw cycle

补充信息

This supplementary information is collated from multiple sources and compiled automatically.

ATOX1 also known as Antioxidant 1 Copper Chaperone is a small copper-binding protein with a molecular mass of approximately 7 kDa. It plays an essential mechanical role in the transport of copper ions within the cell. ATOX1 helps deliver copper to key enzymes involved in cellular processes. It is expressed in various tissue types including the liver and the brain facilitating copper homeostasis at a cellular level.
Biological function summary

ATOX1 serves as a chaperone that transports copper ions to ATPase proteins like ATP7A and ATP7B in the secretory pathway. ATOX1 works individually rather than as part of a larger protein complex handling copper metabolism effectively. By facilitating the delivery of copper to essential enzymes ATOX1 assists in maintaining critical cellular functions such as oxidative stress response and energy production.

Pathways

Copper ion transport involving ATOX1 plays an important role in the regulation of metal ion homeostasis pathways. ATOX1 interacts closely with ATP7A and ATP7B transporting copper ions necessary for redox reactions and enzyme activities in these pathways. ATOX1's role in copper regulation also aligns with antioxidant defense processes helping protect cells from damage due to reactive oxygen species.

Disruption in ATOX1 function can be linked to disorders such as Wilson's disease and Menkes disease both of which involve copper metabolism impairment. Wilson's disease involves the protein ATP7B where the absence of proper copper transport leads to toxicity. Menkes disease involves ATP7A mutations leading to a shortage of copper delivery to necessary enzymes. ATOX1's activity is important for delivering copper to these associated ATPases highlighting its importance in related pathologies.

产品实验方案

For this product, it's our understanding that no specific protocols are required. You can visit:

靶点信息

Binds and deliver cytosolic copper to the copper ATPase proteins. May be important in cellular antioxidant defense.
See full target information ATOX1

文献 (1)

Recent publications for all applications. Explore the full list and refine your search

Cellular and molecular gastroenterology and hepatology 16:325-339 PubMed37270061

2023

SOX9 Governs Gastric Mucous Neck Cell Identity and Is Required for Injury-Induced Metaplasia.

Applications

Unspecified application

Species

Unspecified reactive species

Spencer G Willet,Nattapon Thanintorn,Helen McNeill,Sung-Ho Huh,David M Ornitz,Won Jae Huh,Stella G Hoft,Richard J DiPaolo,Jason C Mills
View all publications

Abcam Product Promise

我们致力于为您的研究提供高质量的试剂,为您科研的每一步提供支持。若我们的产品未能达到预期性能,我们向您提供 Abcam Product Promise 保障。
详情请参阅我们的条款与条件。

Please note: All products are 'FOR RESEARCH USE ONLY. NOT FOR USE IN DIAGNOSTIC OR THERAPEUTIC PROCEDURES'.

For licensing inquiries, please contact partnerships@abcam.com