JavaScript is disabled in your browser. Please enable JavaScript to view this website.
AB81292

Anti-ATM (phospho S1981) 抗体 [EP1890Y]

Anti-ATM (phospho S1981) antibody [EP1890Y]

5

(18 Reviews)

|

(398 Publications)

Anti-ATM (phospho S1981) antibody [EP1890Y] (ab81292) is a rabbit monoclonal antibody detecting ATM in Western Blot, Flow Cytometry (Intra), Flow Cytometry, IP, IHC-P, Dot Blot. Suitable for Human.

- Biophysical QC for unrivalled batch-batch consistency
- Over 320 publications
- Trusted since 2009

查看别名

Serine-protein kinase ATM, Ataxia telangiectasia mutated, A-T mutated, ATM

10 Images
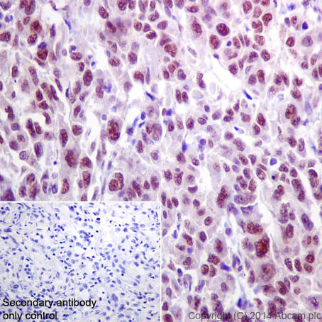
Immunohistochemistry (Formalin/PFA-fixed paraffin-embedded sections) - Anti-ATM (phospho S1981) antibody [EP1890Y] (AB81292)
  • IHC-P

Unknown

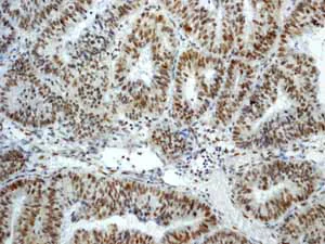
Immunohistochemistry (Formalin/PFA-fixed paraffin-embedded sections) - Anti-ATM (phospho S1981) antibody [EP1890Y] (AB81292)

Immunohistochemistry (Formalin/PFA-fixed paraffin-embedded sections) analysis of human hepatocellular carcinoma tissue labelling ATM (phospho S1981) with purified ab81292 at 1/70. Heat mediated antigen retrieval was performed using Tris/EDTA buffer pH 9. ab97051, an HRP-conjugated goat anti-rabbit IgG (H+L) was used as the secondary antibody (1/500).

Negative control using PBS instead of primary antibody.

Counterstained with hematoxylin.

Immunohistochemistry (Formalin/PFA-fixed paraffin-embedded sections) - Anti-ATM (phospho S1981) antibody [EP1890Y] (AB81292)
  • IHC-P

Unknown

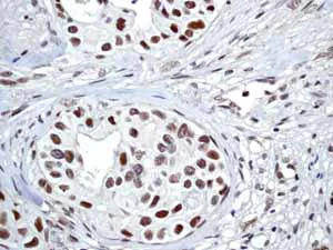
Immunohistochemistry (Formalin/PFA-fixed paraffin-embedded sections) - Anti-ATM (phospho S1981) antibody [EP1890Y] (AB81292)

Immunohistochemistry (Formalin/PFA-fixed paraffin-embedded sections) analysis of human cervical carcinoma tissue labeling ATM with unpurified ab81292.

Perform heat mediated antigen retrieval with Tris/EDTA buffer pH 9.0 before commencing with IHC staining protocol.

Immunohistochemistry (Formalin/PFA-fixed paraffin-embedded sections) - Anti-ATM (phospho S1981) antibody [EP1890Y] (AB81292)
  • IHC-P

Unknown

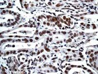
Immunohistochemistry (Formalin/PFA-fixed paraffin-embedded sections) - Anti-ATM (phospho S1981) antibody [EP1890Y] (AB81292)

Immunohistochemistry (Formalin/PFA-fixed paraffin-embedded sections) analysis of human breast carcinoma tissue labeling ATM with unpurified ab81292.

Perform heat mediated antigen retrieval with Tris/EDTA buffer pH 9.0 before commencing with IHC staining protocol.

Immunohistochemistry (Formalin/PFA-fixed paraffin-embedded sections) - Anti-ATM (phospho S1981) antibody [EP1890Y] (AB81292)
  • IHC-P

Unknown

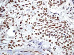
Immunohistochemistry (Formalin/PFA-fixed paraffin-embedded sections) - Anti-ATM (phospho S1981) antibody [EP1890Y] (AB81292)

Immunohistochemistry (Formalin/PFA-fixed paraffin-embedded sections) analysis of human endometrial carcinoma tissue labeling ATM with unpurified ab81292.

Perform heat mediated antigen retrieval with Tris/EDTA buffer pH 9.0 before commencing with IHC staining protocol.

Flow Cytometry (Intracellular) - Anti-ATM (phospho S1981) antibody [EP1890Y] (AB81292)
  • Flow Cyt (Intra)

Unknown

Flow Cytometry (Intracellular) - Anti-ATM (phospho S1981) antibody [EP1890Y] (AB81292)

Intracellular Flow Cytometry analysis of HepG2 (Human hepatocellular carcinoma) cells labeling ATM (phospho S1981) with purified ab81292 at 1/60 dilution (10μg/mL) (red).

Cells were fixed with 4% paraformaldehyde and permeabilized with 90% methanol. A Goat anti rabbit IgG (Alexa Fluorr®488) at 1/2000 dilution was used as the secondary antibody. Rabbit monoclonal IgG (Black) was used as the isotype control, cells without incubation with primary antibody and secondary antibody (Blue) was used as the unlabeled control.

Immunohistochemistry (Formalin/PFA-fixed paraffin-embedded sections) - Anti-ATM (phospho S1981) antibody [EP1890Y] (AB81292)
  • IHC-P

Unknown

Immunohistochemistry (Formalin/PFA-fixed paraffin-embedded sections) - Anti-ATM (phospho S1981) antibody [EP1890Y] (AB81292)

Immunohistochemistry (Formalin/PFA-fixed paraffin-embedded sections) analysis of human gastric carcinoma tissue labeling ATM with unpurified ab81292 at a 1/100 dilution.

Perform heat mediated antigen retrieval with Tris/EDTA buffer pH 9.0 before commencing with IHC staining protocol.

Immunohistochemistry (Formalin/PFA-fixed paraffin-embedded sections) - Anti-ATM (phospho S1981) antibody [EP1890Y] (AB81292)
  • IHC-P

Unknown

Immunohistochemistry (Formalin/PFA-fixed paraffin-embedded sections) - Anti-ATM (phospho S1981) antibody [EP1890Y] (AB81292)

Immunohistochemistry (Formalin/PFA-fixed paraffin-embedded sections) analysis of normal human tonsil tissue labeling ATM with unpurified ab81292.

Perform heat mediated antigen retrieval with Tris/EDTA buffer pH 9.0 before commencing with IHC staining protocol.

Immunoprecipitation - Anti-ATM (phospho S1981) antibody [EP1890Y] (AB81292)
  • IP

Unknown

Immunoprecipitation - Anti-ATM (phospho S1981) antibody [EP1890Y] (AB81292)

ATM was immunoprecipitated from HEK-293 (Human embryonic kidney epithelial cell) treated with Doxorubicin whole cell lysate with ab81292 at 1/30 dilution (5 μg in 1 mg lysates). Western blot was performed from the immunoprecipitate using ab81292 at 1/2000 dilution. An anti-Rabbit IgG (HRP), specific to the non-reduced form of IgG was used as secondary antibody at 1/1500 dilution.
Lane 1 : HEK-293 treated with Doxorubicin whole cell lysate 10 μg (Input).
Lane 2 : ab81292 IP in HEK-293 treated with Doxorubicin whole cell lysate.
Lane 3 : Rabbit monoclonal IgG (ab172730) instead of ab81292 in HEK-293 treated with Doxorubicin whole cell lysate.
Blocking/Dilution buffer : 5% NFDM/TBST.
Exposure time : 3 minutes.

All lanes:

Immunoprecipitation - Anti-ATM (phospho S1981) antibody [EP1890Y] (ab81292)

Predicted band size: 351 kDa

false

Western blot - Anti-ATM (phospho S1981) antibody [EP1890Y] (AB81292)
  • WB

Unknown

Western blot - Anti-ATM (phospho S1981) antibody [EP1890Y] (AB81292)

Blocking and dilution buffer : 5% NFDM/TBST.

All lanes:

Western blot - Anti-ATM (phospho S1981) antibody [EP1890Y] (ab81292) at 1/50000 dilution

Lane 1:

HEK-293 (Human epithelial cell line from embryonic kidney) cell lysate, untreated at 10 µg

Lane 2:

HEK-293 cell lysate, treated with Doxorubicin at 10 µg

Secondary

All lanes:

Peroxidase conjugated goat anti-rabbit IgG (H+L) at 1/1000 dilution

Predicted band size: 351 kDa

Observed band size: 370 kDa

false

Dot Blot - Anti-ATM (phospho S1981) antibody [EP1890Y] (AB81292)
  • Dot

Unknown

Dot Blot - Anti-ATM (phospho S1981) antibody [EP1890Y] (AB81292)

Dot blot analysis of ATM peptides using ab81292 at 1/000 dilution followed by Goat Anti-Rabbit IgG, (H+L), Peroxidase conjugated secondary antibody (ab97051) at 1/100,000 dilution.

Blocking and diluting buffer was 5% NFDM/TBST, exposure time 3 minutes.

Lane 1 : ATM (pS1981) phospho peptide

Lane 2 : ATM non-phospho peptide

Lane 3 : ATM (pS428) phospho peptide

不同偶联物与剂型 (10)

  • Carrier free

    Anti-ATM (phospho S1981) antibody [EP1890Y] - BSA and Azide free

  • 578 PE

    PE Anti-ATM (phospho S1981) antibody [EP1890Y]

  • 660 APC

    APC Anti-ATM (phospho S1981) antibody [EP1890Y]

  • 617 Alexa Fluor® 594

    Alexa Fluor® 594 Anti-ATM (phospho S1981) antibody [EP1890Y]

  • 519 Alexa Fluor® 488

    Alexa Fluor® 488 Anti-ATM (phospho S1981) antibody [EP1890Y]

  • 665 Alexa Fluor® 647

    Alexa Fluor® 647 Anti-ATM (phospho S1981) antibody [EP1890Y]

  • 565 Alexa Fluor® 555

    Alexa Fluor® 555 Anti-ATM (phospho S1981) antibody [EP1890Y]

  • HRP

    HRP Anti-ATM (phospho S1981) antibody [EP1890Y]

  • 603 Alexa Fluor® 568

    Alexa Fluor® 568 Anti-ATM (phospho S1981) antibody [EP1890Y]

  • 775 Alexa Fluor® 750

    Alexa Fluor® 750 Anti-ATM (phospho S1981) antibody [EP1890Y]

关键信息

宿主种属

Rabbit

克隆

Monoclonal

克隆号

EP1890Y

亚型

IgG

不含载体蛋白

No

反应种属

Human

应用

IHC-P, IP, Flow Cyt (Intra), WB, Dot

applications

免疫原

The exact immunogen used to generate this antibody is proprietary information.

反应性数据

{ "title": "Reactivity Data", "filters": { "stats": ["", "Species", "Dilution Info", "Notes"], "tabs": { "all-applications": {"fullname" : "All Applications", "shortname": "All Applications"}, "IP" : {"fullname" : "Immunoprecipitation", "shortname":"IP"}, "Dot" : {"fullname" : "Dot Blot", "shortname":"Dot"}, "WB" : {"fullname" : "Western blot", "shortname":"WB"}, "ICCIF" : {"fullname" : "Immunocytochemistry/ Immunofluorescence", "shortname":"ICC/IF"}, "FlowCytIntra" : {"fullname" : "Flow Cytometry (Intracellular)", "shortname":"Flow Cyt (Intra)"}, "IHCP" : {"fullname" : "Immunohistochemistry (Formalin/PFA-fixed paraffin-embedded sections)", "shortname":"IHC-P"} }, "product-promise": { "all": "all", "testedAndGuaranteed": "tested", "guaranteed": "expected", "predicted": "predicted", "notRecommended": "not-recommended" } }, "values": { "Human": { "IP-species-checked": "testedAndGuaranteed", "IP-species-dilution-info": "1/30 - 1/40", "IP-species-notes": "<p></p>", "Dot-species-checked": "guaranteed", "Dot-species-dilution-info": "", "Dot-species-notes": "", "WB-species-checked": "testedAndGuaranteed", "WB-species-dilution-info": "1/50000", "WB-species-notes": "<p><strong>We highly recommend using a positive control such as HEK293 cells treated with 10uM doxorubicin for 24 hours.</strong></p>", "ICCIF-species-checked": "notRecommended", "ICCIF-species-dilution-info": "1/70 - 1/250", "ICCIF-species-notes": "<p></p>", "FlowCytIntra-species-checked": "testedAndGuaranteed", "FlowCytIntra-species-dilution-info": "1/60", "FlowCytIntra-species-notes": "<p></p>", "IHCP-species-checked": "testedAndGuaranteed", "IHCP-species-dilution-info": "1/70 - 1/250", "IHCP-species-notes": "<p></p> Perform heat-mediated antigen retrieval with Tris/EDTA buffer pH 9.0 before commencing with IHC staining protocol." }, "Synthetic peptide": { "IP-species-checked": "notRecommended", "IP-species-dilution-info": "", "IP-species-notes": "", "Dot-species-checked": "testedAndGuaranteed", "Dot-species-dilution-info": "1/100000", "Dot-species-notes": "<p></p>", "WB-species-checked": "notRecommended", "WB-species-dilution-info": "", "WB-species-notes": "", "ICCIF-species-checked": "notRecommended", "ICCIF-species-dilution-info": "", "ICCIF-species-notes": "", "FlowCytIntra-species-checked": "notRecommended", "FlowCytIntra-species-dilution-info": "", "FlowCytIntra-species-notes": "", "IHCP-species-checked": "notRecommended", "IHCP-species-dilution-info": "", "IHCP-species-notes": "" } } }

产品详情

Anti-ATM (phospho S1981) antibody [EP1890Y] (ab81292) was developed by Abcam using patented rabbit monoclonal antibody technology and is validated for use in Dot blot, Flow Cyt (Intra), IHC-P, IP, WB in human samples.

Anti-ATM (phospho S1981) antibody [EP1890Y] (ab81292) has been cited over 328 times in peer reviewed journals and is trusted by the scientific community.

Abcam's high quality manufacturing and validation processes ensure Anti-ATM (phospho S1981) antibody [EP1890Y] (ab81292) has high sensitivity and specificity alongside high lot-to-lot consistency and reproducibility.

Anti-ATM (phospho S1981) antibody [EP1890Y] (ab81292) has 17 independent reviews from customers.

Anti-ATM (phospho S1981) antibody [EP1890Y] (ab81292) specifically detects ATM Phospho-S1981 (UniProt ID: Q13315; Molecular weight: 351kDa) and is sold in 100 µL and 1 mL selling sizes.

Conjugation-ready, carrier free format available for antibody clone EP1890Y - ab208775.

Antibody clone EP1890Y is also available pre-conjugated to a variety of labels for your convenience - PE, APC, HRP, Alkaline Phosphatase, Alexa Fluor® 488, Alexa Fluor® 647, Alexa Fluor® 594, Alexa Fluor® 555 (ab305629, ab305630, ab305631, ab308654, ab309629, ab309995, ab310358, ab311880).

ATM is a significant target in oncology due to its role in DNA repair and maintaining genomic stability. Mutations in the ATM gene can lead to defective DNA repair, resulting in increased cancer risk and chemotherapy resistance.

Patented technology
Our RabMAb® technology is a patented hybridoma-based technology for making rabbit monoclonal antibodies. For details on our patents, please refer to RabMAb® patents.

What are the advantages of a recombinant monoclonal antibody?
This product is a recombinant monoclonal antibody, which offers several advantages including:

  • - High batch-to-batch consistency and reproducibility
  • - Improved sensitivity and specificity
  • - Long-term security of supply
  • - Animal-free batch production

For more information, read more on recombinant antibodies.

Species reactivity
Rat: We have preliminary internal testing data to indicate this antibody may not react with this species.
Please contact us for more information.

性能和储存信息

形式
Liquid
纯化工艺
Affinity purification Protein A
存储溶液
pH: 7.2 - 7.4 Preservative: 0.01% Sodium azide Constituents: PBS, 40% Glycerol (glycerin, glycerine), 0.05% BSA
运输条件
Blue Ice
推荐的短期储存时间
1-2 weeks
推荐的短期储存条件
+4°C
推荐的长期储存条件
-20°C
分装信息
Upon delivery aliquot
储存信息
Avoid freeze / thaw cycle

补充信息

This supplementary information is collated from multiple sources and compiled automatically.

ATM also known as Ataxia Telangiectasia Mutated is a protein kinase with a molecular weight of approximately 370 kDa. ATM protein primarily resides in the cell nucleus and functions as a critical regulator of the cell cycle. It plays a significant role in the detection of DNA damage and initiation of repair processes. As part of its mechanical functions ATM phosphorylates serine and threonine residues on various substrates most notably in response to double-strand breaks in DNA. This activity is important for maintaining genomic stability.
Biological function summary

ATM acts as a coordinator in cellular response to DNA damage highly interacting with multiple components of the DNA repair machinery. It forms a complex with proteins like NBS1 and MRN complex facilitating repair by recruiting and activating other proteins involved in homologous recombination and non-homologous end joining pathways. ATM also modulates p53 activity a primary response factor in cellular stress management linking ATM to control of cell cycle arrest and apoptosis. This positions ATM as an integral part of maintaining cellular integrity in face of genomic insult.

Pathways

ATM integrates neatly within the DNA damage response and cell cycle control pathways. ATM's operative relationship with the MRN complex and its role in the PI3K-related protein kinase family helps initiate appropriate repair processes upon DNA damage detection. Additionally ATM regulates the activity of proteins such as Chk2 which further propagates signals to p53 influencing decisions between cell cycle arrest and apoptosis. These interactions link ATM closely to essential processes like DNA repair and cell survival highlighting its role in genomic maintenance.

ATM mutations or dysregulation leads to Ataxia Telangiectasia an autosomal recessive disorder characterized by neurodegeneration immune deficiencies and cancer predisposition. ATM dysfunction also connects to cancer development particularly breast cancer where it transmits signals involving BRCA1 contributing to DNA repair through homologous recombination. Understanding ATM dynamics and related pathways has important implications for developing therapeutic strategies to manage or mitigate effects associated with its dysfunction.

产品实验方案

For this product, it's our understanding that no specific protocols are required. You can visit:

靶点信息

Serine/threonine protein kinase which activates checkpoint signaling upon double strand breaks (DSBs), apoptosis and genotoxic stresses such as ionizing ultraviolet A light (UVA), thereby acting as a DNA damage sensor (PubMed : 10550055, PubMed : 10839545, PubMed : 10910365, PubMed : 12556884, PubMed : 14871926, PubMed : 15064416, PubMed : 15448695, PubMed : 15456891, PubMed : 15790808, PubMed : 15916964, PubMed : 17923702, PubMed : 21757780, PubMed : 24534091, PubMed : 35076389, PubMed : 9733514). Recognizes the substrate consensus sequence [ST]-Q (PubMed : 10550055, PubMed : 10839545, PubMed : 10910365, PubMed : 12556884, PubMed : 14871926, PubMed : 15448695, PubMed : 15456891, PubMed : 15916964, PubMed : 17923702, PubMed : 24534091, PubMed : 9733514). Phosphorylates 'Ser-139' of histone variant H2AX at double strand breaks (DSBs), thereby regulating DNA damage response mechanism (By similarity). Also plays a role in pre-B cell allelic exclusion, a process leading to expression of a single immunoglobulin heavy chain allele to enforce clonality and monospecific recognition by the B-cell antigen receptor (BCR) expressed on individual B-lymphocytes. After the introduction of DNA breaks by the RAG complex on one immunoglobulin allele, acts by mediating a repositioning of the second allele to pericentromeric heterochromatin, preventing accessibility to the RAG complex and recombination of the second allele. Also involved in signal transduction and cell cycle control. May function as a tumor suppressor. Necessary for activation of ABL1 and SAPK. Phosphorylates DYRK2, CHEK2, p53/TP53, FBXW7, FANCD2, NFKBIA, BRCA1, CREBBP/CBP, RBBP8/CTIP, MRE11, nibrin (NBN), RAD50, RAD17, PELI1, TERF1, UFL1, RAD9, UBQLN4 and DCLRE1C (PubMed : 10550055, PubMed : 10766245, PubMed : 10802669, PubMed : 10839545, PubMed : 10910365, PubMed : 10973490, PubMed : 11375976, PubMed : 12086603, PubMed : 15456891, PubMed : 19965871, PubMed : 21757780, PubMed : 24534091, PubMed : 26240375, PubMed : 26774286, PubMed : 30612738, PubMed : 30886146, PubMed : 30952868, PubMed : 38128537, PubMed : 9733515, PubMed : 9843217). May play a role in vesicle and/or protein transport. Could play a role in T-cell development, gonad and neurological function. Plays a role in replication-dependent histone mRNA degradation. Binds DNA ends. Phosphorylation of DYRK2 in nucleus in response to genotoxic stress prevents its MDM2-mediated ubiquitination and subsequent proteasome degradation (PubMed : 19965871). Phosphorylates ATF2 which stimulates its function in DNA damage response (PubMed : 15916964). Phosphorylates ERCC6 which is essential for its chromatin remodeling activity at DNA double-strand breaks (PubMed : 29203878). Phosphorylates TTC5/STRAP at 'Ser-203' in the cytoplasm in response to DNA damage, which promotes TTC5/STRAP nuclear localization (PubMed : 15448695). Also involved in pexophagy by mediating phosphorylation of PEX5 : translocated to peroxisomes in response to reactive oxygen species (ROS), and catalyzes phosphorylation of PEX5, promoting PEX5 ubiquitination and induction of pexophagy (PubMed : 26344566).
See full target information ATM phospho S1981

文献 (398)

Recent publications for all applications. Explore the full list and refine your search

NAR cancer 7:zcaf035 PubMed41064809

2025

Androgen receptor inhibition extends PARP inhibitor activity in prostate cancer models beyond BRCA mutations and defects in homologous recombination repair.

Applications

Unspecified application

Species

Unspecified reactive species

Giuditta Illuzzi,Alessandro Galbiati,Anna D Staniszewska,Robert Hanson,Chrysiis Michaloglou,Sophie L Cooke,Karolina Uznańska,Maja Białecka,Kamil Solarczyk,Harveer S Dev,Charlie E Massie,Mark R Albertella,Elisabetta Leo,Josep V Forment,Mark J O'Connor

Cell death discovery 11:451 PubMed41057309

2025

Targeting ESR1 restores SQSTM1-dependent autophagy and sensitizes ER-positive breast cancer to oxidative and radiation stress.

Applications

Unspecified application

Species

Unspecified reactive species

Yi-Fang Yang,Zhao-Jing He,Han-Hsi Kuo,Yu-Yu Lin,Cheorl-Ho Kim,Huei-Yu Cai,Chi-Long Chen,Michael Hsiao,Ying-Chung Chen,Peter Mu-Hsin Chang,Yu-Chan Chang

International journal of molecular sciences 26: PubMed40806549

2025

Assessing Determinants of Response to PARP Inhibition in Germline Mutant Melanoma.

Applications

Unspecified application

Species

Unspecified reactive species

Eleonora Allavena,Michela Croce,Bruna Dalmasso,Cecilia Profumo,Valentina Rigo,Virginia Andreotti,Irene Vanni,Benedetta Pellegrino,Antonino Musolino,Nicoletta Campanini,William Bruno,Luca Mastracci,Gabriele Zoppoli,Enrica Teresa Tanda,Francesco Spagnolo,Paola Ghiorzo,Lorenza Pastorino

Cell death & disease 16:583 PubMed40750758

2025

Valproic acid improves the efficacy of oxaliplatin/fluoropyrimidine-based chemotherapy by targeting cancer stem cell via β-Catenin modulation in colorectal cancer.

Applications

Unspecified application

Species

Unspecified reactive species

Maria Serena Roca,Rita Lombardi,Cristina Testa,Federica Iannelli,Laura Grumetti,Tania Moccia,Veronica Barile,Laura Addi,Domenico Memoli,Alessandra Leone,Simone Di Franco,Giorgio Stassi,Antonio Avallone,Francesca Bruzzese,Biagio Pucci,Alfredo Budillon,Elena Di Gennaro

International journal of molecular sciences 26: PubMed40565327

2025

Long Non-Coding RNA LOC401312 Induces Radiosensitivity Through Upregulation of CPS1 in Non-Small Cell Lung Cancer.

Applications

Unspecified application

Species

Unspecified reactive species

Zhengyue Cao,Tiantian Wang,Fumin Tai,Rui Zhai,Hujie Li,Jingjing Li,Shensi Xiang,Huiying Gao,Xiaofei Zheng,Changyan Li

Aging cell 24:e70105 PubMed40371663

2025

hTERT Increases TRF2 to Induce Telomere Compaction and Extend Cell Replicative Lifespan.

Applications

Unspecified application

Species

Unspecified reactive species

Nancy Adam,Yang Yang,Mahbod Djamshidi,Sara Seifan,Nicholas S Y Ting,Joel Glover,Nicolas Touret,Paul M K Gordon,K V Vineetha Warriyar,Hokan Krowicki,Christine Kim Garcia,Sharon A Savage,Aaron A Goodarzi,Duncan M Baird,Tara L Beattie,Karl Riabowol

Drug development research 86:e70087 PubMed40233258

2025

FOXA1 Targets NEK2 to Mediate Cisplatin Resistance in Lung Adenocarcinoma Cells by Activating DNA Damage Repair.

Applications

Unspecified application

Species

Unspecified reactive species

Junhong Yang,Guangcheng Yue,Zhiguo Fan,Ning Zhang,Shiwei Nie,Jing Li,Yuanyuan Ji

Genome biology 26:89 PubMed40200339

2025

The histone acetyltransferase CBP participates in regulating the DNA damage response through ATM after double-strand breaks.

Applications

Unspecified application

Species

Unspecified reactive species

Wafaa S Ramadan,Samrein B M Ahmed,Iman M Talaat,Lama Lozon,Soraya Mouffak,Timo Gemoll,Wael Y Mansour,Raafat El-Awady

Journal of experimental & clinical cancer research : CR 44:112 PubMed40181456

2025

TRAF7 knockdown induces cellular senescence and synergizes with lomustine to inhibit glioma progression and recurrence.

Applications

Unspecified application

Species

Unspecified reactive species

Yu Chen,Tongyu Zhou,Rongrong Zhou,Wen Sun,Yan Li,Qiyi Zhou,Dongcheng Xu,Yuxin Zhao,Peihao Hu,Jingrui Liang,Yumeng Zhang,Bin Zhong,Juncheng Yao,Di Jing

American journal of cancer research 15:452-469 PubMed40084368

2025

GDF15 promotes the resistance of epithelial ovarian cancer cells to gemcitabine via DHCR24-mediated cholesterol metabolism to elevate ABCB1 and ABCC1 levels in lipid rafts.

Applications

Unspecified application

Species

Unspecified reactive species

Linlin Guo,Yan He,Huang Xin
View all publications

Abcam Product Promise

我们致力于为您的研究提供高质量的试剂,为您科研的每一步提供支持。若我们的产品未能达到预期性能,我们向您提供 Abcam Product Promise 保障。
详情请参阅我们的条款与条件。

Please note: All products are 'FOR RESEARCH USE ONLY. NOT FOR USE IN DIAGNOSTIC OR THERAPEUTIC PROCEDURES'.

For licensing inquiries, please contact partnerships@abcam.com