JavaScript is disabled in your browser. Please enable JavaScript to view this website.
AB309518

重组Anti-ATG9A抗体[EPR2450(2)] -小鼠IgG1 (Chimeric)

Anti-ATG9A antibody [EPR2450(2)] - Mouse IgG1 (Chimeric)

  • BOND RX™ Validated
  • 20ul selling size
  • Recombinant
  • 了解详情

Be the first to review this product! Submit a review

|

(0 Publication)

Mouse Recombinant Monoclonal ATG9A antibody. Suitable for WB, IHC-P and reacts with Human samples.

查看别名

APG9L1, ATG9A, Autophagy-related protein 9A, APG9-like 1, mATG9

5 Images
Immunohistochemistry (Formalin/PFA-fixed paraffin-embedded sections) - Anti-ATG9A antibody [EPR2450(2)] - Mouse IgG1 (Chimeric) (AB309518)
  • IHC-P

Supplier Data

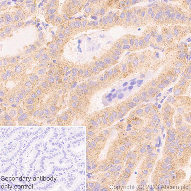
Immunohistochemistry (Formalin/PFA-fixed paraffin-embedded sections) - Anti-ATG9A antibody [EPR2450(2)] - Mouse IgG1 (Chimeric) (AB309518)

Immunohistochemical analysis of paraffin-embedded Human thyroid cancer tissue labeling ATG9A with ab309518 at 1/1000 (0.996 ug/ml) dilution followed by a ready to use LeicaDS9800 (Bond™ Polymer Refine Detection). Cytoplasmic staining on human thyroid cancer.The section was incubated with ab309518 for 30 mins at room temperature, followed by anti-mouse IgG1 antibody (ab125913) for 8 mins during the LeicaDS9800 kit staining procedure.The immunostaining was performed on a Leica Biosystems BOND® RX instrument Counterstained with Hematoxylin. antibody only control : Secondary antibody is a ready to use LeicaDS9800 (Bond™ Polymer Refine Detection). Heat mediated antigen retrieval was performed with Tris-EDTA buffer (pH 9.0, Epitope Retrieval Solution2) for 20 mins

Immunohistochemistry (Formalin/PFA-fixed paraffin-embedded sections) - Anti-ATG9A antibody [EPR2450(2)] - Mouse IgG1 (Chimeric) (AB309518)
  • IHC-P

Supplier Data

Immunohistochemistry (Formalin/PFA-fixed paraffin-embedded sections) - Anti-ATG9A antibody [EPR2450(2)] - Mouse IgG1 (Chimeric) (AB309518)

Immunohistochemical analysis of paraffin-embedded Human cerebrum tissue labeling ATG9A with ab309518 at 1/1000 (0.996 ug/ml) dilution followed by a ready to use LeicaDS9800 (Bond™ Polymer Refine Detection). Cytoplasmic staining on human cerebrum.The section was incubated with ab309518 for 30 mins at room temperature, followed by anti-mouse IgG1 antibody (ab125913) for 8 mins during the LeicaDS9800 kit staining procedure.The immunostaining was performed on a Leica Biosystems BOND® RX instrument Counterstained with Hematoxylin. antibody only control : Secondary antibody is a ready to use LeicaDS9800 (Bond™ Polymer Refine Detection). Heat mediated antigen retrieval was performed with Tris-EDTA buffer (pH 9.0, Epitope Retrieval Solution2) for 20 mins

Western blot - Anti-ATG9A antibody [EPR2450(2)] - Mouse IgG1 (Chimeric) (AB309518)
  • WB

Supplier Data

Western blot - Anti-ATG9A antibody [EPR2450(2)] - Mouse IgG1 (Chimeric) (AB309518)

Blocking and diluting buffer and concentration : 5% NFDM/TBST Samples are non-boiled as boiling may cause protein aggregation. Exposure time : 136 Seconds

All lanes:

Western blot - Anti-ATG9A antibody [EPR2450(2)] - Mouse IgG1 (Chimeric) (ab309518) at 1/1000 dilution

Lane 1:

U-87 MG (human glioblastoma-astrocytoma epithelial cell) whole cell lysate at 20 µg

Lane 2:

SH-SY5Y (human neuroblastoma epithelial cell) whole cell lysate at 20 µg

Secondary

All lanes:

Peroxidase-Conjugated Goat anti-Mouse IgG (H+L) (ZB-2305) at 1/10000 dilution

Observed band size: 110 kDa

false

Exposure time: 136s

Western blot - Anti-ATG9A antibody [EPR2450(2)] - Mouse IgG1 (Chimeric) (AB309518)
  • WB

Supplier Data

Western blot - Anti-ATG9A antibody [EPR2450(2)] - Mouse IgG1 (Chimeric) (AB309518)

Blocking and diluting buffer and concentration : 5% NFDM/TBSTSamples are non-boiled as boiling may cause protein aggregation. Exposure time : 3 minutes

All lanes:

Western blot - Anti-ATG9A antibody [EPR2450(2)] - Mouse IgG1 (Chimeric) (ab309518) at 1/1000 dilution

Lane 1:

HeLa (human cervical adenocarcinoma epithelial cell) whole cell lysate at 20 µg

Lane 2:

A375 (human malignant melanoma epithelial cell) whole cell lysate at 20 µg

Secondary

All lanes:

Peroxidase-Conjugated Goat anti-Mouse IgG (H+L) (ZB-2305) at 1/10000 dilution

Observed band size: 110 kDa

false

Exposure time: 3min

Western blot - Anti-ATG9A antibody [EPR2450(2)] - Mouse IgG1 (Chimeric) (AB309518)
  • WB

Supplier Data

Western blot - Anti-ATG9A antibody [EPR2450(2)] - Mouse IgG1 (Chimeric) (AB309518)

Blocking and diluting buffer and concentration : 5% NFDM/TBSTSamples are non-boiled as boiling may cause protein aggregation. In Western blot, anti-GAPDH antibody (ab181602) loading control staining at 1/200000 dilution. Exposure time : 125 seconds

All lanes:

Western blot - Anti-ATG9A antibody [EPR2450(2)] - Mouse IgG1 (Chimeric) (ab309518) at 1/1000 dilution

Lane 1:

293T (human embryonic kidney epithelial cell) transfected with scrambled siRNA control whole cell lysate at 20 µg

Lane 2:

293T transfected with siRNA specifically targeting ATG9A whole cell lysate at 20 µg

Secondary

All lanes:

Peroxidase-Conjugated Goat anti-Mouse IgG (H+L) (ZB-2305) at 1/10000 dilution

Observed band size: 110 kDa

false

Exposure time: 125s

关键信息

宿主种属

Mouse

克隆

Monoclonal

克隆号

EPR2450(2)

亚型

IgG1

不含载体蛋白

No

反应种属

Human

应用

WB, IHC-P

applications

免疫原

The exact immunogen used to generate this antibody is proprietary information.

反应性数据

{ "title": "Reactivity Data", "filters": { "stats": ["", "Species", "Dilution Info", "Notes"], "tabs": { "all-applications": {"fullname" : "All Applications", "shortname": "All Applications"}, "WB" : {"fullname" : "Western blot", "shortname":"WB"}, "IHCP" : {"fullname" : "Immunohistochemistry (Formalin/PFA-fixed paraffin-embedded sections)", "shortname":"IHC-P"}, "ICCIF" : {"fullname" : "Immunocytochemistry/ Immunofluorescence", "shortname":"ICC/IF"} }, "product-promise": { "all": "all", "testedAndGuaranteed": "tested", "guaranteed": "expected", "predicted": "predicted", "notRecommended": "not-recommended" } }, "values": { "Human": { "WB-species-checked": "testedAndGuaranteed", "WB-species-dilution-info": "1/1000", "WB-species-notes": "<p></p>", "IHCP-species-checked": "testedAndGuaranteed", "IHCP-species-dilution-info": "1/1000", "IHCP-species-notes": "<p></p> Perform heat-mediated antigen retrieval with Tris/EDTA buffer pH 9.0 before commencing with IHC staining protocol.", "ICCIF-species-checked": "notRecommended", "ICCIF-species-dilution-info": "", "ICCIF-species-notes": "<p></p>" }, "Mouse": { "WB-species-checked": "notRecommended", "WB-species-dilution-info": "", "WB-species-notes": "<p></p>", "IHCP-species-checked": "notRecommended", "IHCP-species-dilution-info": "", "IHCP-species-notes": "<p></p>", "ICCIF-species-checked": "notRecommended", "ICCIF-species-dilution-info": "", "ICCIF-species-notes": "<p></p>" }, "Rat": { "WB-species-checked": "notRecommended", "WB-species-dilution-info": "", "WB-species-notes": "<p></p>", "IHCP-species-checked": "notRecommended", "IHCP-species-dilution-info": "", "IHCP-species-notes": "<p></p>", "ICCIF-species-checked": "notRecommended", "ICCIF-species-dilution-info": "", "ICCIF-species-notes": "<p></p>" } } }

产品详情

This mouse monoclonal chimeric antibody has been engineered from a RabMAb parent antibody (ab108338). By design, some rabbit sequence is retained as part of the variable domain. When multiplexing with other rabbit-derived antibodies, using cross absorbed FC-reactive secondary antibodies are recommended.

Want a custom formulation?
This antibody clone is manufactured by Abcam. If you require a custom buffer formulation or conjugation for your experiments, please contact orders@abcam.com

What are the advantages of a recombinant monoclonal antibody?
This product is a recombinant monoclonal antibody, which offers several advantages including:

  • - High batch-to-batch consistency and reproducibility
  • - Improved sensitivity and specificity
  • - Long-term security of supply
  • - Animal-free batch production

For more information, read more on recombinant antibodies.

性能和储存信息

形式
Liquid
纯化工艺
Affinity purification Protein A
存储溶液
pH: 7.2 - 7.4 Preservative: 0.01% Sodium azide Constituents: PBS, 40% Glycerol (glycerin, glycerine), 0.05% BSA
运输条件
Blue Ice
推荐的短期储存时间
1-2 weeks
推荐的短期储存条件
+4°C
推荐的长期储存条件
-20°C
分装信息
Upon delivery aliquot
储存信息
Avoid freeze / thaw cycle

补充信息

This supplementary information is collated from multiple sources and compiled automatically.

ATG9A also known as APG9-like 1 or ATG9 autophagy related 9A is an important component in the autophagy machinery. This protein has a molecular weight of approximately 93 kDa. It is ubiquitously expressed in various tissues with higher expression seen in the heart and skeletal muscle. Mechanically ATG9A is essential for the trafficking of membranes necessary for autophagosome formation. It actively participates in membrane lipids' delivery from donor organelles which are critical for constructing autophagosomes.
Biological function summary

ATG9A facilitates the recycling of cellular materials through a process called autophagy. This protein acts with other autophagy-related proteins to form a complex essential for autophagosome elongation and closure. The ATG9A protein's dynamic movements between the Golgi apparatus and endosomes ensure proper membrane supply for autophagy. It coordinates with the ULK1 complex and various phospholipid-modifying enzymes which are necessary to regulate autophagic flux.

Pathways

ATG9A plays an integral role in the mTOR signaling and MAPK pathways. Both pathways are essential for cellular responses to stress and nutrient availability. In these pathways ATG9A works closely with proteins like beclin 1 and ATG5. Inhibiting mTOR actively induces autophagy where ATG9A contributes to membrane recruitment and elongation of the autophagosomes facilitating the clearance of damaged organelles and proteins.

ATG9A shows a significant link to neurodegenerative diseases such as Parkinson's and Alzheimer's disease. The dysfunction of autophagic pathways due to altered ATG9A function leads to the accumulation of damaged proteins and organelles. This event contributes to the pathogenesis of such neurodegenerative diseases. Moreover ATG9A closely associates with proteins like LAMP2 whose mutations similarly lead to defective autophagic processes resulting in the accumulation of unprocessed cellular debris in these disorders.

产品实验方案

For this product, it's our understanding that no specific protocols are required. You can visit:

靶点信息

Phospholipid scramblase involved in autophagy by mediating autophagosomal membrane expansion (PubMed : 22456507, PubMed : 27510922, PubMed : 29437695, PubMed : 32513819, PubMed : 32610138, PubMed : 33106659, PubMed : 33468622, PubMed : 33850023). Cycles between the preautophagosomal structure/phagophore assembly site (PAS) and the cytoplasmic vesicle pool and supplies membrane for the growing autophagosome (PubMed : 16940348, PubMed : 22456507, PubMed : 33106659). Lipid scramblase activity plays a key role in preautophagosomal structure/phagophore assembly by distributing the phospholipids that arrive through ATG2 (ATG2A or ATG2B) from the cytoplasmic to the luminal leaflet of the bilayer, thereby driving autophagosomal membrane expansion (PubMed : 33106659). Also required to supply phosphatidylinositol 4-phosphate to the autophagosome initiation site by recruiting the phosphatidylinositol 4-kinase beta (PI4KB) in a process dependent on ARFIP2, but not ARFIP1 (PubMed : 30917996). In addition to autophagy, also plays a role in necrotic cell death (By similarity).
See full target information ATG9A

Abcam Product Promise

我们致力于为您的研究提供高质量的试剂,为您科研的每一步提供支持。若我们的产品未能达到预期性能,我们向您提供 Abcam Product Promise 保障。
详情请参阅我们的条款与条件。

Please note: All products are 'FOR RESEARCH USE ONLY. NOT FOR USE IN DIAGNOSTIC OR THERAPEUTIC PROCEDURES'.

For licensing inquiries, please contact partnerships@abcam.com