JavaScript is disabled in your browser. Please enable JavaScript to view this website.
AB108322

重组Anti-ATG4A抗体[EPR4122]

Anti-ATG4A antibody [EPR4122]

Be the first to review this product! Submit a review

|

(13 Publications)

Rabbit Recombinant Monoclonal ATG4A antibody. Suitable for IHC-P, WB and reacts with Human samples. Cited in 13 publications.

查看别名

APG4A, AUTL2, ATG4A, Cysteine protease ATG4A, AUT-like 2 cysteine endopeptidase, Autophagy-related cysteine endopeptidase 2, Autophagy-related protein 4 homolog A, Autophagin-2, HsAPG4A, hAPG4A

5 Images
Immunohistochemistry (Formalin/PFA-fixed paraffin-embedded sections) - Anti-ATG4A antibody [EPR4122] (AB108322)
  • IHC-P

Unknown

Immunohistochemistry (Formalin/PFA-fixed paraffin-embedded sections) - Anti-ATG4A antibody [EPR4122] (AB108322)

Immunohistochemical analysis of paraffin-embedded Human skeletal muscle tissue using ab108322 at 1/100 dilution.

Perform heat mediated antigen retrieval with citrate buffer pH 6 before commencing with IHC staining protocol.

Immunohistochemistry (Formalin/PFA-fixed paraffin-embedded sections) - Anti-ATG4A antibody [EPR4122] (AB108322)
  • IHC-P

Unknown

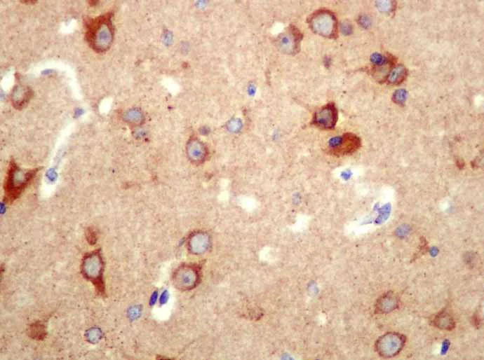
Immunohistochemistry (Formalin/PFA-fixed paraffin-embedded sections) - Anti-ATG4A antibody [EPR4122] (AB108322)

Immunohistochemical analysis of paraffin-embedded Human brain tissue using ab108322 at 1/100 dilution.

Perform heat mediated antigen retrieval with citrate buffer pH 6 before commencing with IHC staining protocol.

Western blot - Anti-ATG4A antibody [EPR4122] (AB108322)
  • WB

Unknown

Western blot - Anti-ATG4A antibody [EPR4122] (AB108322)

All lanes:

Western blot - Anti-ATG4A antibody [EPR4122] (ab108322) at 1/1000 dilution

Lane 1:

Fetal liver tissue lysate at 10 µg

Lane 2:

HepG2 cell lysate at 10 µg

Lane 3:

Jurkat cell lysate at 10 µg

Lane 4:

Fetal brain tissue lysate at 10 µg

Secondary

All lanes:

Standard HRP labelled goat anti-rabbit at 1/2000 dilution

Predicted band size: 45 kDa

false

Western blot - Anti-ATG4A antibody [EPR4122] (AB108322)
  • WB

Lab

Western blot - Anti-ATG4A antibody [EPR4122] (AB108322)

Lanes 1 - 4 : Merged signal (red and green). Green - ab108322 observed at 45 kDa. Red - loading control ab8245 (Mouse anti-GAPDH antibody [6C5]) observed at 37 kDa.

ab108322 was shown to react with ATG4A in wild-type HeLa cells in Western blot with loss of signal observed in ATG4A knockout cell line ab265738 (ATG4A knockout cell lysate ab257846). Wild-type HeLa and ATG4A knockout cell lysates were subjected to SDS-PAGE. Membranes were blocked in 3 % milk in TBS-T (0.1 % Tween®) before incubation with ab108322 and ab8245 (Mouse anti-GAPDH antibody [6C5]) overnight at 4 °C at a 1 in 1000 dilution and a 1 in 20000 dilution respectively. Blots were incubated with Goat anti-Rabbit IgG H&L (IRDye® 800CW) preabsorbed (ab216773) and Goat anti-Mouse IgG H&L (IRDye® 680RD) preabsorbed (ab216776) secondary antibodies at 1 in 20000 dilution for 1 h at room temperature before imaging.

All lanes:

Western blot - Anti-ATG4A antibody [EPR4122] (ab108322) at 1/1000 dilution

Lane 1:

Wild-type HeLa cell lysate at 20 µg

Lane 2:

ATG4A knockout HeLa cell lysate at 20 µg

Lane 2:

Western blot - Human ATG4A knockout HeLa cell line (<a href='/products/cell-lines/human-atg4a-knockout-hela-cell-line-ab265738'>ab265738</a>)

Lane 3:

HepG2 cell lysate at 20 µg

Lane 4:

Daudi cell lysate at 20 µg

Predicted band size: 45 kDa

Observed band size: 45 kDa

false

Western blot - Anti-ATG4A antibody [EPR4122] (AB108322)
  • WB

CiteAb

Western blot - Anti-ATG4A antibody [EPR4122] (AB108322)

ATG4A western blot using anti-ATG4A antibody [EPR4122] ab108322. Publication image and figure legend from Zhu, K., Yuan, Y., et al., 2020, Aging (Albany NY), PubMed 32302291.

ab108322 was used in this publication in western blot. This may not be the same as the application(s) guaranteed by Abcam. For a full list of applications guaranteed by Abcam for ab108322 please see the product overview.

miR-22/miR-142 targets the key autophagy proteins ATG5, ATG4A and ULK1. (A) Predicted miR-142 binding sites in the ULK1, ATG4A, and ATG5 3'UTR. Wild-type and mutant-type ULK1, ATG4A, and ATG5 3'UTR reporter vectors containing wild-type or mutant-type miR-142 binding sites were constructed. (B–D) These vectors were co-transfected into HEK293 cells with miR-142 mimics or inhibitor, and the luciferase activity was determined. (E) Predicted miR-22 binding sites in ULK1. Wild-type and mutant-type ULK1 3'UTR reporter vectors containing wild- or mutant-type miR-22 binding sites were constructed. (F) These vectors were cotransfected into HEK293 cells with miR-22 mimics or inhibitor, and the luciferase activity was determined. (G, H) U2OS cells were transfected with miR-142 mimics in the presence or absence of Dox and examined for the protein levels of ULK1, ATG4A, and ATG5 were examined. (I, J) U2OS cells were transfected with miR-22 mimics in the presence or absence of Dox (5 μM), and the protein levels of ULK1 were examined. The data are presented as the mean ± SD of three independent experiments. *p<0.05, **p<0.01, compared to the control group; ##p<0.01, compared to the Dox group.

false

不同偶联物与剂型 (1)

  • Carrier free

    Anti-ATG4A antibody [EPR4122] - BSA and Azide free

关键信息

宿主种属

Rabbit

克隆

Monoclonal

克隆号

EPR4122

亚型

IgG

不含载体蛋白

No

反应种属

Human

应用

WB, IHC-P

applications

免疫原

The exact immunogen used to generate this antibody is proprietary information.

反应性数据

{ "title": "Reactivity Data", "filters": { "stats": ["", "Species", "Dilution Info", "Notes"], "tabs": { "all-applications": {"fullname" : "All Applications", "shortname": "All Applications"}, "IHCP" : {"fullname" : "Immunohistochemistry (Formalin/PFA-fixed paraffin-embedded sections)", "shortname":"IHC-P"}, "ICCIF" : {"fullname" : "Immunocytochemistry/ Immunofluorescence", "shortname":"ICC/IF"}, "FlowCyt" : {"fullname" : "Flow Cytometry", "shortname":"Flow Cyt"}, "WB" : {"fullname" : "Western blot", "shortname":"WB"} }, "product-promise": { "all": "all", "testedAndGuaranteed": "tested", "guaranteed": "expected", "predicted": "predicted", "notRecommended": "not-recommended" } }, "values": { "Human": { "IHCP-species-checked": "testedAndGuaranteed", "IHCP-species-dilution-info": "1/100 - 1/250", "IHCP-species-notes": "<p>Perform antigen retrieval.</p>", "ICCIF-species-checked": "notRecommended", "ICCIF-species-dilution-info": "", "ICCIF-species-notes": "<p></p>", "FlowCyt-species-checked": "notRecommended", "FlowCyt-species-dilution-info": "", "FlowCyt-species-notes": "<p></p>", "WB-species-checked": "testedAndGuaranteed", "WB-species-dilution-info": "1/1000 - 1/10000", "WB-species-notes": "<p></p>" }, "Mouse": { "IHCP-species-checked": "predicted", "IHCP-species-dilution-info": "", "IHCP-species-notes": "", "ICCIF-species-checked": "notRecommended", "ICCIF-species-dilution-info": "", "ICCIF-species-notes": "", "FlowCyt-species-checked": "notRecommended", "FlowCyt-species-dilution-info": "", "FlowCyt-species-notes": "", "WB-species-checked": "predicted", "WB-species-dilution-info": "", "WB-species-notes": "" }, "Rat": { "IHCP-species-checked": "predicted", "IHCP-species-dilution-info": "", "IHCP-species-notes": "", "ICCIF-species-checked": "notRecommended", "ICCIF-species-dilution-info": "", "ICCIF-species-notes": "", "FlowCyt-species-checked": "notRecommended", "FlowCyt-species-dilution-info": "", "FlowCyt-species-notes": "", "WB-species-checked": "predicted", "WB-species-dilution-info": "", "WB-species-notes": "" } } }

产品详情

Patented technology
Our RabMAb® technology is a patented hybridoma-based technology for making rabbit monoclonal antibodies. For details on our patents, please refer to RabMAb® patents.

What are the advantages of a recombinant monoclonal antibody?
This product is a recombinant monoclonal antibody, which offers several advantages including:

  • - High batch-to-batch consistency and reproducibility
  • - Improved sensitivity and specificity
  • - Long-term security of supply
  • - Animal-free batch production

For more information, read more on recombinant antibodies.

性能和储存信息

形式
Liquid
纯度
Tissue culture supernatant
存储溶液
pH: 7.2 - 7.4 Preservative: 0.01% Sodium azide Constituents: PBS, 50% Tissue culture supernatant, 40% Glycerol (glycerin, glycerine), 0.05% BSA
运输条件
Blue Ice
推荐的短期储存条件
+4°C
推荐的长期储存条件
-20°C
储存信息
Stable for 12 months at -20°C

补充信息

This supplementary information is collated from multiple sources and compiled automatically.

ATG4A also known as Autophagin 1 is a cysteine protease with a mass of approximately 52 kDa. It plays a critical role in the autophagy pathway by cleaving LC3 and other Atg8 homologs facilitating their conjugation to phosphatidylethanolamine on the autophagosome membrane. This protein is expressed in various tissues including the liver and skeletal muscle indicating its involvement in diverse physiological processes.
Biological function summary

ATG4A contributes essential functions to cellular homeostasis by participating in autophagosome formation. As part of the group of Atg proteins it collaborates with other members to modulate the autophagy machinery. ATG4A's enzymatic activity provides the necessary steps for processing LC3 transforming it into a form that allows lipidation and incorporation into autophagic vesicles.

Pathways

ATG4A is integral to the autophagy pathway a catabolic process important for cell survival under stress conditions. It interacts with proteins such as ATG7 and ATG3 within this pathway playing a significant role in the early stages of autophagosome maturation. The interactions ensure proper recycling of cellular materials and its efficient function impact cellular metabolism and stress responses.

Disruptions in ATG4A function have been linked to neurodegenerative diseases and cancer. Aberrant autophagy processes involving ATG4A can lead to protein aggregation disorders such as Alzheimer’s disease where proper proteostasis is compromised. Also in certain cancers altered ATG4A activity can influence tumor growth often through modulation of metabolic pathways and interactions with proteins like Beclin 1 which regulate autophagic responses.

产品实验方案

For this product, it's our understanding that no specific protocols are required. You can visit:

靶点信息

Cysteine protease that plays a key role in autophagy by mediating both proteolytic activation and delipidation of ATG8 family proteins (PubMed : 12473658, PubMed : 15169837, PubMed : 17347651, PubMed : 21177865, PubMed : 21245471, PubMed : 22302004, PubMed : 32732290). The protease activity is required for proteolytic activation of ATG8 family proteins : cleaves the C-terminal amino acid of ATG8 proteins to reveal a C-terminal glycine (PubMed : 12473658, PubMed : 15169837, PubMed : 17347651, PubMed : 21177865, PubMed : 21245471, PubMed : 22302004). Exposure of the glycine at the C-terminus is essential for ATG8 proteins conjugation to phosphatidylethanolamine (PE) and insertion to membranes, which is necessary for autophagy (PubMed : 12473658, PubMed : 15169837, PubMed : 17347651, PubMed : 21177865, PubMed : 21245471, PubMed : 22302004). Preferred substrate is GABARAPL2 followed by MAP1LC3A and GABARAP (PubMed : 12473658, PubMed : 15169837, PubMed : 17347651, PubMed : 21177865, PubMed : 21245471, PubMed : 22302004). Protease activity is also required to counteract formation of high-molecular weight conjugates of ATG8 proteins (ATG8ylation) : acts as a deubiquitinating-like enzyme that removes ATG8 conjugated to other proteins, such as ATG3 (PubMed : 31315929, PubMed : 33773106). In addition to the protease activity, also mediates delipidation of ATG8 family proteins (PubMed : 29458288, PubMed : 33909989). Catalyzes delipidation of PE-conjugated forms of ATG8 proteins during macroautophagy (PubMed : 29458288, PubMed : 33909989). Compared to ATG4B, the major protein for proteolytic activation of ATG8 proteins, shows weaker ability to cleave the C-terminal amino acid of ATG8 proteins, while it displays stronger delipidation activity (PubMed : 29458288). Involved in phagophore growth during mitophagy independently of its protease activity and of ATG8 proteins : acts by regulating ATG9A trafficking to mitochondria and promoting phagophore-endoplasmic reticulum contacts during the lipid transfer phase of mitophagy (PubMed : 33773106).
See full target information ATG4A

文献 (13)

Recent publications for all applications. Explore the full list and refine your search

PloS one 20:e0322708 PubMed40367036

2025

Overexpression of LINC00672 promotes autophagy in Alzheimer's disease by upregulating GPNMB.

Applications

Unspecified application

Species

Unspecified reactive species

Lingyi Gao,Shijun Hu,Yan Lv,Guoxian Zheng,Zhichuan Lin

International journal of molecular sciences 24: PubMed38003226

2023

WISP1 Is Involved in the Pathogenesis of Kashin-Beck Disease via the Autophagy Pathway.

Applications

Unspecified application

Species

Unspecified reactive species

Ping Li,Bolun Cheng,Yao Yao,Wenxing Yu,Li Liu,Shiqiang Cheng,Lu Zhang,Mei Ma,Xin Qi,Chujun Liang,Xiaomeng Chu,Jing Ye,Shiquan Sun,Yumeng Jia,Xiong Guo,Yan Wen,Feng Zhang

Science advances 8:eabo0412 PubMed35921421

2022

Deacetylation of ATG4B promotes autophagy initiation under starvation.

Applications

Unspecified application

Species

Unspecified reactive species

Liangbo Sun,Haojun Xiong,Lingxi Chen,Xufang Dai,Xiaojing Yan,Yaran Wu,Mingzhen Yang,Meihua Shan,Tao Li,Jie Yao,Wenbin Jiang,Haiyan He,Fengtian He,Jiqin Lian

Molecular medicine reports 25: PubMed35088889

2022

Knockdown of ATG4A inhibits breast cancer progression and promotes tamoxifen chemosensitivity by suppressing autophagy.

Applications

Unspecified application

Species

Unspecified reactive species

Qingfang Li,Lingling Zan

iScience 24:103271 PubMed34761190

2021

miR-1307 promotes hepatocarcinogenesis by CALR-OSTC-endoplasmic reticulum protein folding pathway.

Applications

Unspecified application

Species

Unspecified reactive species

Sijie Xie,Xiaoxue Jiang,Rushi Qin,Shuting Song,Yanan Lu,Liyan Wang,Yingjie Chen,Dongdong Lu

Frontiers in pharmacology 11:536913 PubMed33381022

2020

miR-433 Inhibits Neuronal Growth and Promotes Autophagy in Mouse Hippocampal HT-22 Cell Line.

Applications

Unspecified application

Species

Unspecified reactive species

Chunli Xu,Qingke Bai,Chen Wang,Qiuyu Meng,Yuming Gu,Qiwei Wang,Wenjie Xu,Ying Han,Yong Qin,Song Jia,Junfang Zhang,Jie Xu,Jiao Li,Miao Chen,Feng Wang

Aging 12:6644-6666 PubMed32302291

2020

LncRNA Sox2OT-V7 promotes doxorubicin-induced autophagy and chemoresistance in osteosarcoma via tumor-suppressive miR-142/miR-22.

Applications

Unspecified application

Species

Unspecified reactive species

Kewei Zhu,Yang Yuan,Jie Wen,Ding Chen,Weihong Zhu,Zhengxiao Ouyang,Wanchun Wang

Autophagy 16:1482-1505 PubMed31679460

2019

RNA-binding protein ZFP36/TTP protects against ferroptosis by regulating autophagy signaling pathway in hepatic stellate cells.

Applications

Unspecified application

Species

Unspecified reactive species

Zili Zhang,Mei Guo,Yujia Li,Min Shen,Desong Kong,Jiangjuan Shao,Hai Ding,Shanzhong Tan,Anping Chen,Feng Zhang,Shizhong Zheng

Cell death & disease 10:94 PubMed30700698

2019

Downregulation of G2/mitotic-specific cyclinB1 triggers autophagy via AMPK-ULK1-dependent signal pathway in nasopharyngeal carcinoma cells.

Applications

Unspecified application

Species

Unspecified reactive species

Xianhe Xie,Wanzun Lin,Weili Zheng,Ting Chen,Haitao Yang,Lijun Sun,Fei Huang,Zili Wang,Heng Lin,Long Chen,Jun Liu,Liyan Yang

Cell death & disease 9:938 PubMed30224697

2018

Chaperonin 60 sustains osteoblast autophagy and counteracts glucocorticoid aggravation of osteoporosis by chaperoning RPTOR.

Applications

Unspecified application

Species

Unspecified reactive species

Wei-Shiung Lian,Jih-Yang Ko,Yu-Shan Chen,Huei-Ching Ke,Shin-Long Wu,Chung-Wen Kuo,Feng-Sheng Wang
View all publications

Abcam Product Promise

我们致力于为您的研究提供高质量的试剂,为您科研的每一步提供支持。若我们的产品未能达到预期性能,我们向您提供 Abcam Product Promise 保障。
详情请参阅我们的条款与条件。

Please note: All products are 'FOR RESEARCH USE ONLY. NOT FOR USE IN DIAGNOSTIC OR THERAPEUTIC PROCEDURES'.

For licensing inquiries, please contact partnerships@abcam.com