JavaScript is disabled in your browser. Please enable JavaScript to view this website.
AB187671

Anti-ATG16L1 抗体 [EPR15638] - N-terminal

Anti-ATG16L1 antibody [EPR15638] - N-terminal

5

(5 Reviews)

|

(28 Publications)

Rabbit Recombinant Monoclonal ATG16L1 antibody. N-terminal. Suitable for WB, IHC-P and reacts with Rat, Human, Mouse samples. Cited in 28 publications.

查看别名

APG16L, UNQ9393/PRO34307, ATG16L1, Autophagy-related protein 16-1, APG16-like 1

12 Images
Immunohistochemistry (Formalin/PFA-fixed paraffin-embedded sections) - Anti-ATG16L1 antibody [EPR15638] - N-terminal (AB187671)
  • IHC-P

Supplier Data

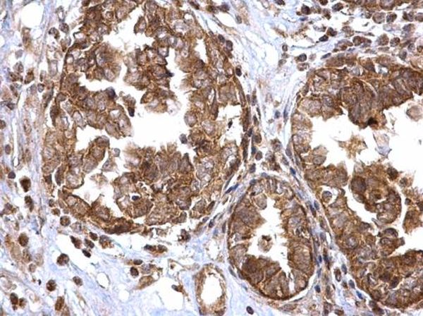
Immunohistochemistry (Formalin/PFA-fixed paraffin-embedded sections) - Anti-ATG16L1 antibody [EPR15638] - N-terminal (AB187671)

Immunohistochemical analysis of paraffin-embedded Human prostatic hyperplasia tissue labeling ATG16L1 with ab187671 at 1/100 dilution followed by pre-diluted HRP Polymer for Rabbit IgG secondary antibody and counter-stained with Hematoxylin.

Perform heat mediated antigen retrieval with EDTA buffer pH 9 before commencing with IHC staining protocol.

Immunohistochemistry (Formalin/PFA-fixed paraffin-embedded sections) - Anti-ATG16L1 antibody [EPR15638] - N-terminal (AB187671)
  • IHC-P

Supplier Data

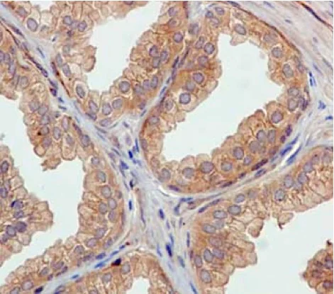
Immunohistochemistry (Formalin/PFA-fixed paraffin-embedded sections) - Anti-ATG16L1 antibody [EPR15638] - N-terminal (AB187671)

Immunohistochemical analysis of paraffin-embedded Mouse colon tissue labeling ATG16L1 with ab187671 at 1/100 dilution followed by pre-diluted HRP Polymer for Rabbit IgG secondary antibody and counter-stained with Hematoxylin.

Perform heat mediated antigen retrieval with EDTA buffer pH 9 before commencing with IHC staining protocol.

Western blot - Anti-ATG16L1 antibody [EPR15638] - N-terminal (AB187671)
  • WB

Supplier Data

Western blot - Anti-ATG16L1 antibody [EPR15638] - N-terminal (AB187671)

Blocking and diluting buffer and concentration : 5% NFDM/TBST. This blot was developed using a high sensitivity ECL substrate. In Western blot, Anti-ATG16L1 antibody [EPR15638] - N-terminal (ab187671) staining at 1/1000 dilution. anti-GAPDH antibody (ab181602) loading control staining at 1/200000 dilution. Exposure time : 3 minutes.

All lanes:

Western blot - Anti-ATG16L1 (phospho S278) antibody [EPR19016] - Rat IgG1 (Chimeric) (<a href='/products/primary-antibodies/atg16l1-phospho-s278-antibody-epr19016-rat-igg1-chimeric-ab309495'>ab309495</a>) at 1/1000 dilution

Lane 1:

HCT116 (human colorectal carcinoma epithelial cell) whole cell lysate (untreated membrane) at 20 µg

Lane 2:

HCT116 amino acid and serum starved in EBSS(HBSS) for 2h whole cell lysate (untreated membrane) at 20 µg

Lane 3:

HCT116 whole cell lysate (Alkaline phosphatase treated membrane) at 20 µg

Lane 4:

HCT116 amino acid and serum starved in EBSS(HBSS) for 2h whole cell lysate (Alkaline phosphatase treated membrane) at 20 µg

Secondary

All lanes:

Western blot - Goat Anti-Rat IgG H&L (HRP) (<a href='/products/secondary-antibodies/goat-rat-igg-h-l-hrp-ab205720'>ab205720</a>) at 1/1000 dilution

Observed band size: 68 kDa

false

Western blot - Anti-ATG16L1 antibody [EPR15638] - N-terminal (AB187671)
  • WB

Lab

Western blot - Anti-ATG16L1 antibody [EPR15638] - N-terminal (AB187671)

Lanes 1 - 4 : Merged signal (red and green). Green - ab187671 observed at 68 and 70 kDa. Red - loading control, ab8245, observed at 37 kDa.
ab187671 was shown to recognize ATG16L1 when ATG16L1 knockout samples were used, along with additional cross-reactive bands. Wild-type and ATG16L1 knockout samples were subjected to SDS-PAGE. ab187671 and ab8245 (loading control to GAPDH) were diluted 1/2000 and 10000 respectively and incubated overnight at 4°C. Blots were developed with Goat anti-Rabbit IgG H&L (IRDye® 800CW) preadsorbed (ab216773) and Goat anti-Mouse IgG H&L (IRDye® 680RD) preadsorbed (ab216776) secondary antibodies at 1/10000 dilution for 1 h at room temperature before imaging.

All lanes:

Western blot - Anti-ATG16L1 antibody [EPR15638] - N-terminal (ab187671) at 1/2000 dilution

Lane 1:

Wild-type HAP1 cell lysate at 20 µg

Lane 2:

ATG16L1 knockout HAP1 cell lysate at 20 µg

Lane 3:

HeLa cell lysate at 20 µg

Lane 4:

Jurkat cell lysate at 20 µg

Predicted band size: 68 kDa

false

Western blot - Anti-ATG16L1 antibody [EPR15638] - N-terminal (AB187671)
  • WB

Supplier Data

Western blot - Anti-ATG16L1 antibody [EPR15638] - N-terminal (AB187671)

All lanes:

Western blot - Anti-ATG16L1 antibody [EPR15638] - N-terminal (ab187671) at 1/5000 dilution

Lane 1:

HeLa cell lysate at 20 µg

Lane 2:

Raji cell lysate at 20 µg

Lane 3:

Jurkat cell lysate at 20 µg

Secondary

All lanes:

Goat Anti-Rabbit IgG, (H+L), Peroxidase conjugated at 1/1000 dilution

Predicted band size: 68 kDa

false

Western blot - Anti-ATG16L1 antibody [EPR15638] - N-terminal (AB187671)
  • WB

Supplier Data

Western blot - Anti-ATG16L1 antibody [EPR15638] - N-terminal (AB187671)

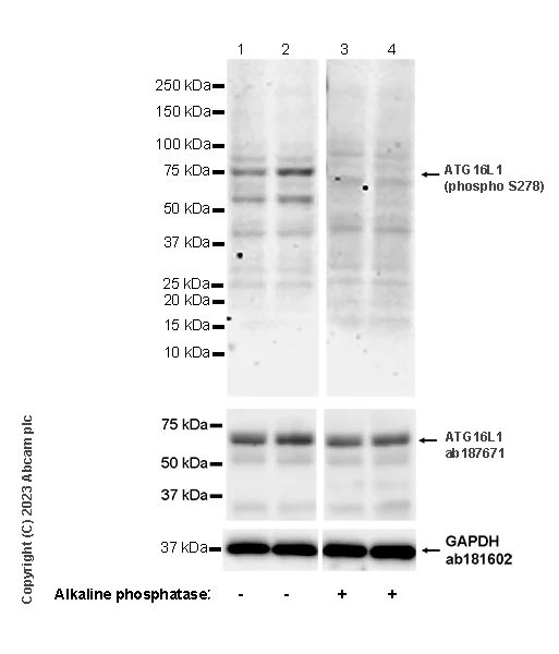
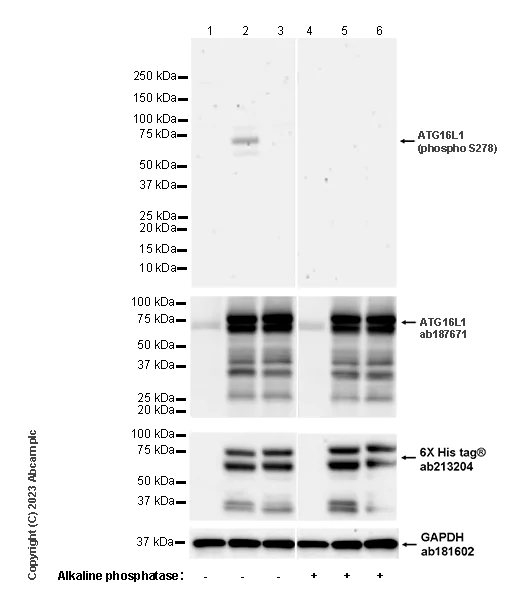
Blocking and diluting buffer and concentration : 5% NFDM/TBST. This blot was developed using a high sensitivity ECL substrate. In Western blot, Anti-ATG16L1 antibody [EPR15638] - N-terminal (ab187671) staining at 1/1000 dilution. Anti-GAPDH antibody (ab181602) loading control staining at 1/200000 dilution.Anti-His antibody (ab213204) staining at 1/5000 dilution. Exposure time : 3 minutes.

All lanes:

Western blot - Anti-ATG16L1 (phospho S278) antibody [EPR19016] - Rat IgG1 (Chimeric) (<a href='/products/primary-antibodies/atg16l1-phospho-s278-antibody-epr19016-rat-igg1-chimeric-ab309495'>ab309495</a>) at 1/1000 dilution

Lane 1:

293T (human embryonic kidney epithelial cell) transfected with an empty vector (vector control) containing a myc-His-tag whole cell lysate (untreated membrane) at 20 µg

Lane 2:

293T cells transfected with a human ATG16L1 expression vector containing a myc-His-tag whole cell lysate (untreated membrane) at 20 µg

Lane 3:

293T cells transfected with a human ATG16L1 (mutation S278A) expression vector containing a myc-His-tag whole cell lysate (untreated membrane) at 20 µg

Lane 4:

293T (human embryonic kidney epithelial cell) transfected with an empty vector (vector control) containing a myc-His-tag whole cell lysate (Alkaline phosphatase treated membrane) at 20 µg

Lane 5:

293T cells transfected with a human ATG16L1 expression vector containing a myc-His-tag whole cell lysate (Alkaline phosphatase treated membrane) at 20 µg

Lane 6:

293T cells transfected with a human ATG16L1 (mutation S278A) expression vector containing a myc-His-tag whole cell lysate (Alkaline phosphatase treated membrane) at 20 µg

Secondary

All lanes:

Western blot - Goat Anti-Rat IgG H&L (HRP) (<a href='/products/secondary-antibodies/goat-rat-igg-h-l-hrp-ab205720'>ab205720</a>) at 1/5000 dilution

Observed band size: 68 kDa

false

Western blot - Anti-ATG16L1 antibody [EPR15638] - N-terminal (AB187671)
  • WB

Lab

Western blot - Anti-ATG16L1 antibody [EPR15638] - N-terminal (AB187671)

Lanes 1-4 : Merged signal (red and green). Green - ab187671 observed at 68 and 72 kDa. Red - loading control ab8245 observed at 37 kDa.

ab187671 Anti-ATG16L1 antibody [EPR15638] - N-terminal was shown to specifically react with ATG16L1 in wild-type HeLa cells. Loss of signal was observed when knockout cell line ab261773 (knockout cell lysate ab256844) was used. Wild-type and ATG16L1 knockout samples were subjected to SDS-PAGE. ab187671 and Anti-GAPDH antibody [6C5] - Loading Control (ab8245) were incubated overnight at 4°C at 1 in 1000 dilution and 1 in 20000 dilution respectively. Blots were developed with Goat anti-Rabbit IgG H&L (IRDye® 800CW) preadsorbed (ab216773) and Goat anti-Mouse IgG H&L (IRDye® 680RD) preadsorbed (ab216776) secondary antibodies at 1 in 20000 dilution for 1 hour at room temperature before imaging.

All lanes:

Western blot - Anti-ATG16L1 antibody [EPR15638] - N-terminal (ab187671) at 1/1000 dilution

Lane 1:

Wild-type HeLa cell lysate at 20 µg

Lane 2:

ATG16L1 knockout HeLa cell lysate at 20 µg

Lane 2:

Western blot - Human ATG16L1 knockout HeLa cell line (<a href='/products/cell-lines/human-atg16l1-knockout-hela-cell-line-ab261773'>ab261773</a>)

Lane 3:

Jurkat cell lysate at 20 µg

Lane 4:

Daudi cell lysate at 20 µg

Secondary

All lanes:

Western blot - Goat anti-Rabbit IgG H&L (IRDye® 800CW) preadsorbed (<a href='/products/secondary-antibodies/goat-rabbit-igg-h-l-irdye-800cw-preadsorbed-ab216773'>ab216773</a>) at 1/20000 dilution

Predicted band size: 68 kDa

Observed band size: 68 kDa,72 kDa

false

Western blot - Anti-ATG16L1 antibody [EPR15638] - N-terminal (AB187671)
  • WB

Supplier Data

Western blot - Anti-ATG16L1 antibody [EPR15638] - N-terminal (AB187671)

All lanes:

Western blot - Anti-ATG16L1 antibody [EPR15638] - N-terminal (ab187671) at 1/1000 dilution

Lane 1:

PC12 cell lysate at 10 µg

Lane 2:

NIH 3T3 cell lysate at 10 µg

Secondary

All lanes:

Goat Anti-Rabbit IgG, (H+L), Peroxidase conjugated at 1/1000 dilution

Predicted band size: 68 kDa

false

Western blot - Anti-ATG16L1 antibody [EPR15638] - N-terminal (AB187671)
  • WB

Lab

Western blot - Anti-ATG16L1 antibody [EPR15638] - N-terminal (AB187671)

Lanes 1-4 : Merged signal (red and green). Green - ab187671 observed at 75 kDa. Red - loading control ab8245 observed at 36 kDa.

ab187671 Anti-ATG16L1 antibody [EPR15638] was shown to specifically react with ATG16L1 in wild-type HeLa cells. Loss of signal was observed when knockout cell line ab265263 (knockout cell lysate ab256842) was used. Wild-type and ATG16L1 knockout samples were subjected to SDS-PAGE. ab187671 and Anti-GAPDH antibody [6C5] - Loading Control (ab8245) were incubated at room temperature for 2.5 hours at 1 in 1000 dilution and 1 in 20000 dilution respectively. Blots were developed with Goat anti-Rabbit IgG H&L (IRDye® 800CW) preadsorbed (ab216773) and Goat anti-Mouse IgG H&L (IRDye® 680RD) preadsorbed (ab216776) secondary antibodies at 1 in 20000 dilution for 1 hour at room temperature before imaging.

All lanes:

Western blot - Anti-ATG16L1 antibody [EPR15638] - N-terminal (ab187671) at 1/1000 dilution

Lane 1:

Wild-type HeLa cell lysate at 20 µg

Lane 2:

ATG16L1 knockout HeLa cell lysate at 20 µg

Lane 2:

Western blot - Human ATG16L1 knockout HeLa cell line (<a href='/products/cell-lines/human-atg16l1-knockout-hela-cell-line-ab265263'>ab265263</a>)

Lane 3:

Jurkat cell lysate at 20 µg

Lane 4:

Daudi cell lysate at 20 µg

Secondary

All lanes:

Western blot - Goat anti-Rabbit IgG H&L (IRDye® 800CW) preadsorbed (<a href='/products/secondary-antibodies/goat-rabbit-igg-h-l-irdye-800cw-preadsorbed-ab216773'>ab216773</a>) at 1/10000 dilution

Predicted band size: 68 kDa

Observed band size: 75 kDa

false

Western blot - Anti-ATG16L1 antibody [EPR15638] - N-terminal (AB187671)
  • WB

Supplier Data

Western blot - Anti-ATG16L1 antibody [EPR15638] - N-terminal (AB187671)

Lanes 1-4 : Merged signal (red and green). Green - ab187671 observed at 68 and 72 kDa. Red - loading control ab8245 observed at 37 kDa.

ab187671 Anti-ATG16L1 antibody [EPR15638] - N-terminal was shown to specifically react with ATG16L1 in wild-type HeLa cells. Loss of signal was observed when knockout cell line ab261772 (knockout cell lysate ab256843) was used. Wild-type and ATG16L1 knockout samples were subjected to SDS-PAGE. ab187671 and Anti-GAPDH antibody [6C5] - Loading Control (ab8245) were incubated overnight at 4°C at 1 in 1000 dilution and 1 in 20000 dilution respectively. Blots were developed with Goat anti-Rabbit IgG H&L (IRDye® 800CW) preadsorbed (ab216773) and Goat anti-Mouse IgG H&L (IRDye® 680RD) preadsorbed (ab216776) secondary antibodies at 1 in 20000 dilution for 1 hour at room temperature before imaging.

All lanes:

Western blot - Anti-ATG16L1 antibody [EPR15638] - N-terminal (ab187671) at 1/1000 dilution

Lane 1:

Wild-type HeLa cell lysate at 20 µg

Lane 2:

ATG16L1 knockout HeLa cell lysate at 20 µg

Lane 2:

Western blot - Human ATG16L1 knockout HeLa cell line (<a href='/products/cell-lines/human-atg16l1-knockout-hela-cell-line-ab261772'>ab261772</a>)

Lane 3:

Jurkat cell lysate at 20 µg

Lane 4:

Daudi cell lysate at 20 µg

Secondary

All lanes:

Western blot - Goat anti-Rabbit IgG H&L (IRDye® 800CW) preadsorbed (<a href='/products/secondary-antibodies/goat-rabbit-igg-h-l-irdye-800cw-preadsorbed-ab216773'>ab216773</a>) at 1/20000 dilution

Predicted band size: 68 kDa

Observed band size: 68 kDa,72 kDa

false

Western blot - Anti-ATG16L1 antibody [EPR15638] - N-terminal (AB187671)
  • WB

Lab

Western blot - Anti-ATG16L1 antibody [EPR15638] - N-terminal (AB187671)

False colour image of Western blot : Anti-ATG16L1 antibody [EPR15638] - N-terminal staining at 1/1000 dilution, shown in green; Mouse anti-GAPDH antibody [6C5] (ab8245) loading control staining at 1/20000 dilution, shown in red. In Western blot, ab187671 was shown to bind specifically to ATG16L1. A band was observed at 68/70 kDa in wild-type THP-1 cell lysates with no signal observed at this size in ATG16L1 knockout cell line ab277834 (knockout cell lysate ab278184). To generate this image, wild-type and ATG16L1 knockout THP-1 cell lysates were analysed. First, samples were run on an SDS-PAGE gel then transferred onto a nitrocellulose membrane. Membranes were blocked in 3 % milk in TBS-0.1 % Tween® 20 (TBS-T) before incubation with primary antibodies overnight at 4 °C. Blots were washed four times in TBS-T, incubated with secondary antibodies for 1 h at room temperature, washed again four times then imaged. Secondary antibodies used were Goat anti-Rabbit IgG H&L (IRDye® 800CW) preabsorbed (ab216773) and Goat anti-Mouse IgG H&L (IRDye® 680RD) preabsorbed (ab216776) at 1/20000 dilution.

All lanes:

Western blot - Anti-ATG16L1 antibody [EPR15638] - N-terminal (ab187671) at 1/1000 dilution

Lane 1:

Wild-type THP-1 cell lysate at 20 µg

Lane 2:

ATG16L1 knockout THP-1 cell lysate at 20 µg

Lane 2:

Western blot - Human ATG16L1 knockout THP-1 cell line (<a href='/products/cell-lines/human-atg16l1-knockout-thp-1-cell-line-ab277834'>ab277834</a>)

Lane 3:

Wild type HeLa cell lysate at 20 µg

Lane 4:

ATG16L1 knockout HeLa cell lysate at 20 µg

Predicted band size: 68 kDa

Observed band size: 68 kDa,70 kDa

false

Western blot - Anti-ATG16L1 antibody [EPR15638] - N-terminal (AB187671)
  • WB

Unknown

Western blot - Anti-ATG16L1 antibody [EPR15638] - N-terminal (AB187671)

Lanes 1- 4 : Merged signal (red and green). Green - ab187671 observed at 68 kDa. Red - Anti-GAPDH antibody [6C5] - Loading Control (ab8245) observed at 37 kDa.

ab187671 was shown to react with ATG16L1 in wild-type HeLa cells in western blot. Loss of signal was observed when knockout cell line ab265263 (knockout cell lysate ab256842) was used. Wild-type HeLa and ATG16L1 knockout HeLa cell lysates were subjected to SDS-PAGE. Membrane was blocked for 1 hour at room temperature in 0.1% TBST with 3% non-fat dried milk. ab187671 and Anti-GAPDH antibody [6C5] - Loading Control (ab8245) overnight at 4°C at a 1 in 1000 dilution and a 1 in 20000 dilution respectively. Blots were developed with Goat anti-Rabbit IgG H&L (IRDye®800CW) preadsorbed (ab216773) and Goat anti-Mouse IgG H&L (IRDye®680RD) preadsorbed (ab216776) secondary antibodies at 1 in 20000 dilution for 1 hour at room temperature before imaging.

All lanes:

Western blot - Anti-ATG16L1 antibody [EPR15638] - N-terminal (ab187671) at 1/1000 dilution

Lane 1:

Wild-type HeLa cell lysate at 20 µg

Lane 2:

ATG16L1 knockout HeLa cell lysate at 20 µg

Lane 2:

Western blot - Human ATG16L1 knockout HeLa cell line (<a href='/products/cell-lines/human-atg16l1-knockout-hela-cell-line-ab265263'>ab265263</a>)

Lane 3:

Jurkat cell lysate at 20 µg

Lane 4:

Daudi cell lysate at 20 µg

Predicted band size: 68 kDa

Observed band size: 68 kDa

false

关键信息

宿主种属

Rabbit

克隆

Monoclonal

克隆号

EPR15638

亚型

IgG

不含载体蛋白

No

反应种属

Mouse, Rat, Human

应用

WB, IHC-P

applications

免疫原

The exact immunogen used to generate this antibody is proprietary information.

反应性数据

{ "title": "Reactivity Data", "filters": { "stats": ["", "Species", "Dilution Info", "Notes"], "tabs": { "all-applications": {"fullname" : "All Applications", "shortname": "All Applications"}, "WB" : {"fullname" : "Western blot", "shortname":"WB"}, "IHCP" : {"fullname" : "Immunohistochemistry (Formalin/PFA-fixed paraffin-embedded sections)", "shortname":"IHC-P"} }, "product-promise": { "all": "all", "testedAndGuaranteed": "tested", "guaranteed": "expected", "predicted": "predicted", "notRecommended": "not-recommended" } }, "values": { "Human": { "WB-species-checked": "testedAndGuaranteed", "WB-species-dilution-info": "1/1000 - 1/10000", "WB-species-notes": "<p></p>", "IHCP-species-checked": "testedAndGuaranteed", "IHCP-species-dilution-info": "1/50 - 1/100", "IHCP-species-notes": "<p></p> Perform heat-mediated antigen retrieval with Tris/EDTA buffer pH 9.0 before commencing with IHC staining protocol." }, "Mouse": { "WB-species-checked": "guaranteed", "WB-species-dilution-info": "", "WB-species-notes": "", "IHCP-species-checked": "testedAndGuaranteed", "IHCP-species-dilution-info": "1/50 - 1/100", "IHCP-species-notes": "<p></p> Perform heat-mediated antigen retrieval with Tris/EDTA buffer pH 9.0 before commencing with IHC staining protocol." }, "Rat": { "WB-species-checked": "testedAndGuaranteed", "WB-species-dilution-info": "1/1000 - 1/10000", "WB-species-notes": "<p></p>", "IHCP-species-checked": "guaranteed", "IHCP-species-dilution-info": "", "IHCP-species-notes": "" } } }

产品详情

Patented technology
Our RabMAb® technology is a patented hybridoma-based technology for making rabbit monoclonal antibodies. For details on our patents, please refer to RabMAb® patents.

What are the advantages of a recombinant monoclonal antibody?
This product is a recombinant monoclonal antibody, which offers several advantages including:

  • - High batch-to-batch consistency and reproducibility
  • - Improved sensitivity and specificity
  • - Long-term security of supply
  • - Animal-free batch production

For more information, read more on recombinant antibodies.

性能和储存信息

形式
Liquid
纯化工艺
Affinity purification Protein A
存储溶液
pH: 7.2 - 7.4 Preservative: 0.01% Sodium azide Constituents: PBS, 40% Glycerol (glycerin, glycerine), 0.05% BSA
运输条件
Blue Ice
推荐的短期储存时间
1-2 weeks
推荐的短期储存条件
+4°C
推荐的长期储存条件
-20°C
分装信息
Upon delivery aliquot
储存信息
Avoid freeze / thaw cycle

补充信息

This supplementary information is collated from multiple sources and compiled automatically.

ATG16L1 also known as Autophagy Related 16 Like 1 is a protein involved in the autophagy process. It functions as part of a complex that includes ATG12 and ATG5. The molecular weight of ATG16L1 is approximately 66 kDa. It is highly expressed in various tissues including the immune cells highlighting its involvement in essential cellular processes. The protein interacts with other autophagy-related proteins to facilitate the elongation and maturation of autophagosomes.
Biological function summary

ATG16L1 plays a role in mediating autophagy a vital cellular degradation process. It forms a complex with ATG5 and ATG12 necessary for the elongation of the autophagosome membrane. Apart from its role in autophagy ATG16L1 contributes to the regulation of innate immunity by influencing the secretion of inflammatory cytokines. Its presence is essential for maintaining cellular homeostasis and proper immune responses.

Pathways

ATG16L1 is important in pathways like autophagy and immunity. In the autophagy pathway it works alongside ATG5 and ATG12 to ensure the proper formation of autophagosomes which are structures that engulf and degrade unwanted cellular components. Furthermore in the immune response pathway it helps regulate inflammation by managing cytokine production and secretion showing interaction with proteins like NOD2.

ATG16L1 has connections with inflammatory bowel diseases particularly Crohn's disease and various cancers. Mutations in ATG16L1 can lead to impaired autophagy contributing to the development of Crohn's disease. In cancer dysregulation of autophagy involving ATG16L1 may affect tumor progression and response to therapy. The protein associates with NOD2 in Crohn's disease demonstrating that changes in their interaction can influence disease susceptibility and severity.

产品实验方案

For this product, it's our understanding that no specific protocols are required. You can visit:

靶点信息

Plays an essential role in both canonical and non-canonical autophagy : interacts with ATG12-ATG5 to mediate the lipidation to ATG8 family proteins (MAP1LC3A, MAP1LC3B, MAP1LC3C, GABARAPL1, GABARAPL2 and GABARAP) (PubMed : 23376921, PubMed : 23392225, PubMed : 24553140, PubMed : 24954904, PubMed : 27273576, PubMed : 29317426, PubMed : 30778222, PubMed : 33909989). Acts as a molecular hub, coordinating autophagy pathways via distinct domains that support either canonical or non-canonical signaling (PubMed : 29317426, PubMed : 30778222). During canonical autophagy, interacts with ATG12-ATG5 to mediate the conjugation of phosphatidylethanolamine (PE) to ATG8 proteins, to produce a membrane-bound activated form of ATG8 (PubMed : 23376921, PubMed : 23392225, PubMed : 24553140, PubMed : 24954904, PubMed : 27273576). Thereby, controls the elongation of the nascent autophagosomal membrane (PubMed : 23376921, PubMed : 23392225, PubMed : 24553140, PubMed : 24954904, PubMed : 27273576). As part of the ATG8 conjugation system with ATG5 and ATG12, required for recruitment of LRRK2 to stressed lysosomes and induction of LRRK2 kinase activity in response to lysosomal stress (By similarity). Also involved in non-canonical autophagy, a parallel pathway involving conjugation of ATG8 proteins to single membranes at endolysosomal compartments, probably by catalyzing conjugation of phosphatidylserine (PS) to ATG8 (PubMed : 33909989). Non-canonical autophagy plays a key role in epithelial cells to limit lethal infection by influenza A (IAV) virus (By similarity). Regulates mitochondrial antiviral signaling (MAVS)-dependent type I interferon (IFN-I) production (PubMed : 22749352, PubMed : 25645662). Negatively regulates NOD1- and NOD2-driven inflammatory cytokine response (PubMed : 24238340). Instead, promotes an autophagy-dependent antibacterial pathway together with NOD1 or NOD2 (PubMed : 20637199). Plays a role in regulating morphology and function of Paneth cell (PubMed : 18849966).
See full target information ATG16L1

文献 (28)

Recent publications for all applications. Explore the full list and refine your search

Nature communications 16:9035 PubMed41073433

2025

Molecular bases of the interactions of ATG16L1 with FIP200 and ATG8 family proteins.

Applications

Unspecified application

Species

Unspecified reactive species

Xinyu Gong,Yuqian Zhou,Yingli Wang,Yubin Tang,Haobo Liu,Xindi Zhou,Yuchao Zhang,Hanbo Guo,Zhenpeng Guo,Lifeng Pan

Scientific reports 15:31244 PubMed40855209

2025

Two specific interactions of GATE16 with TRPML3 and RAB33B regulate autophagy.

Applications

Unspecified application

Species

Unspecified reactive species

Jiwoo Park,Areum Choi,Jin Kwon,Suzi Choi,Yun Min Park,Hyun Jin Kim

Joint diseases and related surgery 35:513-520 PubMed39189559

2024

Estrogen receptor is involved in the osteoarthritis mediated by Atg16L1-NLRP3 activation.

Applications

Unspecified application

Species

Unspecified reactive species

Fa-Xue Liao,Shuo Yang,Zhi-Hong Liu,Kai-Da Bo,Peng-Fei Xu,Jun Chang

Journal of neurochemistry 168:2762-2774 PubMed38837406

2024

FoxO1 silencing in Atp7b neural stem cells attenuates high copper-induced apoptosis via regulation of autophagy.

Applications

Unspecified application

Species

Unspecified reactive species

Yu Zhang,Meixia Wang,Lulu Tang,Wenming Yang,Jing Zhang

Autophagy 20:2017-2040 PubMed38744665

2024

Unexpected roles for AMPK in the suppression of autophagy and the reactivation of MTORC1 signaling during prolonged amino acid deprivation.

Applications

Unspecified application

Species

Unspecified reactive species

Dubek Kazyken,Sydney G Dame,Claudia Wang,Maxwell Wadley,Diane C Fingar

International journal of molecular sciences 24: PubMed37240354

2023

The Autophagy Nucleation Factor ATG9 Forms Nanoclusters with the HIV-1 Receptor DC-SIGN and Regulates Early Antiviral Autophagy in Human Dendritic Cells.

Applications

Unspecified application

Species

Unspecified reactive species

Laure Papin,Martin Lehmann,Justine Lagisquet,Ghizlane Maarifi,Véronique Robert-Hebmann,Christophe Mariller,Yann Guerardel,Lucile Espert,Volker Haucke,Fabien P Blanchet

Alzheimer's & dementia : the journal of the Alzheimer's Association 19:5355-5370 PubMed37191183

2023

Preserved autophagy in cognitively intact non-demented individuals with Alzheimer's neuropathology.

Applications

Unspecified application

Species

Unspecified reactive species

Batbayar Tumurbaatar,Anna Fracassi,Pietro Scaduto,Jutatip Guptarak,Randall Woltjer,Daniel Jupiter,Giulio Taglialatela

Cell cycle (Georgetown, Tex.) 22:1232-1245 PubMed37088992

2023

METTL3 affects FLT3-ITD+ acute myeloid leukemia by mediating autophagy by regulating PSMA3-AS1 stability.

Applications

Unspecified application

Species

Unspecified reactive species

Shenghao Wu,Shanshan Weng,Wenjin Zhou,Yuemiao Chen,Zhen Liu

Science advances 9:eadf0824 PubMed36857448

2023

ATG16L1 adopts a dual-binding site mode to interact with WIPI2b in autophagy.

Applications

Unspecified application

Species

Unspecified reactive species

Xinyu Gong,Yingli Wang,Yubin Tang,Yaru Wang,Mingfang Zhang,Miao Li,Yuchao Zhang,Lifeng Pan

Autophagy 19:805-821 PubMed35920704

2022

TOLLIP-mediated autophagic degradation pathway links the VCP-TMEM63A-DERL1 signaling axis to triple-negative breast cancer progression.

Applications

Unspecified application

Species

Unspecified reactive species

Tai-Mei Zhang,Li Liao,Shao-Ying Yang,Min-Ying Huang,Yin-Ling Zhang,Ling Deng,Shu-Yuan Hu,Fan Yang,Fang-Lin Zhang,Zhi-Min Shao,Da-Qiang Li
View all publications

Abcam Product Promise

我们致力于为您的研究提供高质量的试剂,为您科研的每一步提供支持。若我们的产品未能达到预期性能,我们向您提供 Abcam Product Promise 保障。
详情请参阅我们的条款与条件。

Please note: All products are 'FOR RESEARCH USE ONLY. NOT FOR USE IN DIAGNOSTIC OR THERAPEUTIC PROCEDURES'.

For licensing inquiries, please contact partnerships@abcam.com