JavaScript is disabled in your browser. Please enable JavaScript to view this website.
AB247876

重组Anti-ATG12抗体[EPR4800] - BSA and Azide free

Anti-ATG12 antibody [EPR4800] - BSA and Azide free

Be the first to review this product! Submit a review

|

(0 Publication)

Rabbit Recombinant Monoclonal ATG12 antibody. Carrier free. Suitable for IHC-P, WB and reacts with Human, Mouse, Rat samples.

查看别名

APG12, APG12L, ATG12, Ubiquitin-like protein ATG12, Autophagy-related protein 12, APG12-like

5 Images
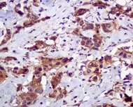
Immunohistochemistry (Formalin/PFA-fixed paraffin-embedded sections) - Anti-ATG12 antibody [EPR4800] - BSA and Azide free (AB247876)
  • IHC-P

Unknown

Immunohistochemistry (Formalin/PFA-fixed paraffin-embedded sections) - Anti-ATG12 antibody [EPR4800] - BSA and Azide free (AB247876)

This data was developed using ab109491, the same antibody clone in a different buffer formulation.

ab109491, at 1/250 dilution, staining ATG12 in paraffin-embedded Human breast carcinoma by Immunohistochemistry.

Perform heat mediated antigen retrieval with citrate buffer pH 6 before commencing with IHC staining protocol.

Western blot - Anti-ATG12 antibody [EPR4800] - BSA and Azide free (AB247876)
  • WB

Lab

Western blot - Anti-ATG12 antibody [EPR4800] - BSA and Azide free (AB247876)

This data was developed using ab109491, the same antibody clone in a different buffer formulation.

Lane 1 : Wild-type HAP1 whole cell lysate (20 μg)

Lane 2 : ATG12 knockout HAP1 whole cell lysate (20 μg)

Lane 3 : HeLa whole cell lysate (20 μg)

Lane 4 : HCT116 whole cell lysate (20 μg)

Lanes 1 - 4 : Merged signal (red and green). Green - ab109491 observed at 55 kDa. Observed band shows ATG12-ATG5 conjugation. Red - loading control, ab8245, observed at 37 kDa.

ab109491 was shown to specifically react with ATG12 in wild-type cells along with additional cross-reactive bands. The band was not seen in ATG12 knockout HAP1 cells. Wild-type and ATG12 knockout samples were subjected to SDS-PAGE. ab109491 and ab8245 (Mouse anti-GAPDH loading control) were incubated overnight at 4°C at 1/1000 dilution and 1/10000 dilution respectively. Blots were developed with Goat anti-Rabbit IgG H&L (IRDye® 800CW) preabsorbed ab216773 and Goat anti-Mouse IgG H&L (IRDye® 680RD) preabsorbed ab216776 secondary antibodies at 1/10000 dilution for 1 hour at room temperature before imaging.

All lanes:

Western blot - Anti-ATG12 antibody [EPR4800] (<a href='/products/primary-antibodies/atg12-antibody-epr4800-ab109491'>ab109491</a>)

Predicted band size: 15 kDa

Observed band size: 55 kDa

false

Western blot - Anti-ATG12 antibody [EPR4800] - BSA and Azide free (AB247876)
  • WB

Lab

Western blot - Anti-ATG12 antibody [EPR4800] - BSA and Azide free (AB247876)

False colour image of Western blot : Anti-ATG12 antibody [EPR4800] staining at 1/1000 dilution, shown in green; Mouse anti-Alpha Tubulin [DM1A] (ab7291) loading control staining at 1/20000 dilution, shown in red. In Western blot, ab109491 was shown to bind specifically to ATG12. A band likely to be the unfunctional complex with ATG5 was observed at 52 kDa in wild-type THP-1 cell lysates with no signal observed at this size in Atg12 knockout cell line ab277831 (knockout cell lysate ab278183) - unconjugated functional form not observed at 15 kDa. To generate this image, wild-type and Atg12 knockout THP-1 cell lysates were analysed. First, samples were run on an SDS-PAGE gel then transferred onto a nitrocellulose membrane. Membranes were blocked in 3 % milk in TBS-0.1 % Tween® 20 (TBS-T) before incubation with primary antibodies overnight at 4 °C. Blots were washed four times in TBS-T, incubated with secondary antibodies for 1 h at room temperature, washed again four times then imaged. Secondary antibodies used were Goat anti-Rabbit IgG H&L (IRDye® 800CW) preabsorbed (ab216773) and Goat anti-Mouse IgG H&L (IRDye® 680RD) preabsorbed (ab216776) at 1/20000 dilution.

All lanes:

Western blot - Anti-ATG12 antibody [EPR4800] (<a href='/products/primary-antibodies/atg12-antibody-epr4800-ab109491'>ab109491</a>) at 1/1000 dilution

Lane 1:

Wild-type THP-1 cell lysate at 20 µg

Lane 2:

ATG12 knockout THP-1 cell lysate at 20 µg

Lane 2:

Western blot - Human ATG12 knockout THP-1 cell line (<a href='/products/cell-lines/human-atg12-knockout-thp-1-cell-line-ab277831'>ab277831</a>)

Lane 3:

HCT 116 cell lysate at 20 µg

Lane 4:

HeLa cell lysate at 20 µg

Predicted band size: 15 kDa

Observed band size: 52 kDa

false

Western blot - Anti-ATG12 antibody [EPR4800] - BSA and Azide free (AB247876)
  • WB

Unknown

Western blot - Anti-ATG12 antibody [EPR4800] - BSA and Azide free (AB247876)

This data was developed using ab109491, the same antibody clone in a different buffer formulation.

Observed band shows ATG12-ATG5 conjugation.

All lanes:

Western blot - Anti-ATG12 antibody [EPR4800] (<a href='/products/primary-antibodies/atg12-antibody-epr4800-ab109491'>ab109491</a>) at 1/1000 dilution

Lane 1:

Human fetal kidney tissue lysate at 10 µg

Lane 2:

HepG2 cell lysate at 10 µg

Lane 3:

Raji lysate at 10 µg

Predicted band size: 15 kDa

false

Western blot - Anti-ATG12 antibody [EPR4800] - BSA and Azide free (AB247876)
  • WB

Unknown

Western blot - Anti-ATG12 antibody [EPR4800] - BSA and Azide free (AB247876)

This data was developed using ab109491, the same antibody clone in a different buffer formulation.

All lanes:

Western blot - Anti-ATG12 antibody [EPR4800] (<a href='/products/primary-antibodies/atg12-antibody-epr4800-ab109491'>ab109491</a>) at 1/1000 dilution

Lane 1:

ATG12 transfected 293T lysate at 10 µg

Lane 2:

Non-transfected 293T lysate at 10 µg

Predicted band size: 15 kDa

false

不同偶联物与剂型 (1)

关键信息

宿主种属

Rabbit

克隆

Monoclonal

克隆号

EPR4800

亚型

IgG

不含载体蛋白

Yes

反应种属

Human

应用

WB, IHC-P

applications

免疫原

The exact immunogen used to generate this antibody is proprietary information.

反应性数据

{ "title": "Reactivity Data", "filters": { "stats": ["", "Species", "Dilution Info", "Notes"], "tabs": { "all-applications": {"fullname" : "All Applications", "shortname": "All Applications"}, "IHCP" : {"fullname" : "Immunohistochemistry (Formalin/PFA-fixed paraffin-embedded sections)", "shortname":"IHC-P"}, "ICCIF" : {"fullname" : "Immunocytochemistry/ Immunofluorescence", "shortname":"ICC/IF"}, "IP" : {"fullname" : "Immunoprecipitation", "shortname":"IP"}, "FlowCyt" : {"fullname" : "Flow Cytometry", "shortname":"Flow Cyt"}, "WB" : {"fullname" : "Western blot", "shortname":"WB"} }, "product-promise": { "all": "all", "testedAndGuaranteed": "tested", "guaranteed": "expected", "predicted": "predicted", "notRecommended": "not-recommended" } }, "values": { "Human": { "IHCP-species-checked": "testedAndGuaranteed", "IHCP-species-dilution-info": "", "IHCP-species-notes": "<p></p>", "ICCIF-species-checked": "notRecommended", "ICCIF-species-dilution-info": "", "ICCIF-species-notes": "<p></p>", "IP-species-checked": "notRecommended", "IP-species-dilution-info": "", "IP-species-notes": "<p></p>", "FlowCyt-species-checked": "notRecommended", "FlowCyt-species-dilution-info": "", "FlowCyt-species-notes": "<p></p>", "WB-species-checked": "testedAndGuaranteed", "WB-species-dilution-info": "", "WB-species-notes": "<p></p>" }, "Mouse": { "IHCP-species-checked": "predicted", "IHCP-species-dilution-info": "", "IHCP-species-notes": "", "ICCIF-species-checked": "notRecommended", "ICCIF-species-dilution-info": "", "ICCIF-species-notes": "", "IP-species-checked": "notRecommended", "IP-species-dilution-info": "", "IP-species-notes": "", "FlowCyt-species-checked": "notRecommended", "FlowCyt-species-dilution-info": "", "FlowCyt-species-notes": "", "WB-species-checked": "guaranteed", "WB-species-dilution-info": "", "WB-species-notes": "<p></p>" }, "Rat": { "IHCP-species-checked": "predicted", "IHCP-species-dilution-info": "", "IHCP-species-notes": "", "ICCIF-species-checked": "notRecommended", "ICCIF-species-dilution-info": "", "ICCIF-species-notes": "", "IP-species-checked": "notRecommended", "IP-species-dilution-info": "", "IP-species-notes": "", "FlowCyt-species-checked": "notRecommended", "FlowCyt-species-dilution-info": "", "FlowCyt-species-notes": "", "WB-species-checked": "guaranteed", "WB-species-dilution-info": "", "WB-species-notes": "<p></p>" } } }

产品详情

ab247876 is the carrier-free version of ab109491.

Patented technology
Our RabMAb® technology is a patented hybridoma-based technology for making rabbit monoclonal antibodies. For details on our patents, please refer to RabMAb® patents.

What are the advantages of a recombinant monoclonal antibody?
This product is a recombinant monoclonal antibody, which offers several advantages including:

  • - High batch-to-batch consistency and reproducibility
  • - Improved sensitivity and specificity
  • - Long-term security of supply
  • - Animal-free batch production

For more information, read more on recombinant antibodies.

Conjugation ready
Our carrier-free antibodies are typically supplied in a PBS-only formulation, purified and free of BSA, sodium azide and glycerol. This conjugation-ready format is designed for use with fluorochromes, metal isotopes, oligonucleotides, and enzymes, which makes them ideal for antibody labelling, functional and cell-based assays, flow-based assays (e.g. mass cytometry) and Multiplex Imaging applications.

Use our conjugation kits for antibody conjugates that are ready-to-use in as little as 20 minutes with 1 minute hands-on-time and 100% antibody recovery: available for fluorescent dyes, HRP, biotin and gold.

Compatibility
This product is compatible with the Maxpar® Antibody Labeling Kit from Fluidigm, without the need for antibody preparation. Maxpar® is a trademark of Fluidigm Canada Inc.

性能和储存信息

形式
Liquid
纯化工艺
Affinity purification Protein A
存储溶液
pH: 7.2 - 7.4 Constituents: PBS
运输条件
Blue Ice
推荐的短期储存条件
+4°C
推荐的长期储存条件
+4°C
储存信息
Do Not Freeze

补充信息

This supplementary information is collated from multiple sources and compiled automatically.

ATG12 also known as Autophagy-related protein 12 plays a critical role in autophagy an essential cellular process for degrading and recycling cellular components. The molecular weight of ATG12 is around 14 kDa. It is part of the ATG12-conjugation system and is invariably expressed in various tissues with notable presence in the liver brain and heart. ATG12 forms a covalent bond with ATG5 in a ubiquitin-like conjugation pathway which is significant for this mechanism.
Biological function summary

ATG12 is vital for the formation of autophagosomes which are double-membraned vesicles that sequester cellular components for degradation. It functions as part of a complex by binding to ATG5 and further associates with ATG16L1 to form a larger ATG12-ATG5-ATG16 complex. This complex localizes to the outer membrane of the growing autophagosome facilitating elongation and closure of the vesicle making it effective in the regulation of autophagy.

Pathways

ATG12's interaction with other proteins like ATG5 places it in the macroautophagy pathway an important process maintaining cellular homeostasis and turnover of cellular components. In addition to this ATG12 also contributes to cellular responses to stress conditions via this pathway. Furthermore it has connections with signaling pathways involving proteins such as LC3 which marks autophagosomal membranes and interacts with ATG12-conjugated complexes enhancing the autophagic flux.

Researchers associate dysregulated expression of ATG12 with neurodegenerative diseases such as Parkinson’s disease where impaired autophagy leads to toxic protein accumulation. Additionally alterations in ATG12 expression have links to cancer as enhanced autophagy in some tumor cells supports survival under metabolic stress. Both disorders demonstrate connections to proteins involved in the autophagy pathway suggesting therapeutic potential in modulating ATG12 activity.

产品实验方案

For this product, it's our understanding that no specific protocols are required. You can visit:

靶点信息

Ubiquitin-like protein involved in autophagy vesicles formation. Conjugation with ATG5 through a ubiquitin-like conjugating system involving also ATG7 as an E1-like activating enzyme and ATG10 as an E2-like conjugating enzyme, is essential for its function. The ATG12-ATG5 conjugate acts as an E3-like enzyme which is required for lipidation of ATG8 family proteins and their association to the vesicle membranes. As part of the ATG8 conjugation system with ATG5 and ATG16L1, required for recruitment of LRRK2 to stressed lysosomes and induction of LRRK2 kinase activity in response to lysosomal stress (By similarity).. (Microbial infection) May act as a proviral factor. In association with ATG5, negatively regulates the innate antiviral immune response by impairing the type I IFN production pathway upon vesicular stomatitis virus (VSV) infection (PubMed : 17709747). Required for the translation of incoming hepatitis C virus (HCV) RNA and, thereby, for the initiation of HCV replication, but not required once infection is established (PubMed : 19666601).
See full target information ATG12

Abcam Product Promise

我们致力于为您的研究提供高质量的试剂,为您科研的每一步提供支持。若我们的产品未能达到预期性能,我们向您提供 Abcam Product Promise 保障。
详情请参阅我们的条款与条件。

Please note: All products are 'FOR RESEARCH USE ONLY. NOT FOR USE IN DIAGNOSTIC OR THERAPEUTIC PROCEDURES'.

For licensing inquiries, please contact partnerships@abcam.com