JavaScript is disabled in your browser. Please enable JavaScript to view this website.
AB201037

Anti-Ataxin 1 抗体 [EPR19613]

Anti-Ataxin 1 antibody [EPR19613]

Be the first to review this product! Submit a review

|

(1 Publication)

Rabbit Recombinant Monoclonal Ataxin 1 antibody. Suitable for IP, WB and reacts with Human, Transfected cell line - Human samples. Cited in 1 publication.

查看别名

ATX1, SCA1, ATXN1, Ataxin-1, Spinocerebellar ataxia type 1 protein

5 Images
Immunoprecipitation - Anti-Ataxin 1 antibody [EPR19613] (AB201037)
  • IP

Supplier Data

Immunoprecipitation - Anti-Ataxin 1 antibody [EPR19613] (AB201037)

Ataxin 1 was immunoprecipitated from 0.35 mg of human brain lysate with ab201037 at 1/30 dilution. Western blot was performed from the immunoprecipitate using ab201037 at 1/1000 dilution. VeriBlot for IP Detection Reagent (HRP) (ab131366), was used for detection at 1/1000 dilution.

Lane 1 : Human brain lysate 10 μg (Input).

Lane 2 : ab201037 IP in human brain lysate.

Lane 3 : Rabbit monoclonal IgG (ab172730) instead of ab201037 in human brain lysate.

Blocking and dilution buffer and concentration : 5% NFDM/TBST.

Exposure time : 1 second.

All lanes:

Immunoprecipitation - Anti-Ataxin 1 antibody [EPR19613] (ab201037)

Predicted band size: 86 kDa

Observed band size: 105 kDa

false

Western blot - Anti-Ataxin 1 antibody [EPR19613] (AB201037)
  • WB

Supplier Data

Western blot - Anti-Ataxin 1 antibody [EPR19613] (AB201037)

Blocking/Dilution buffer : 5% NFDM/TBST.

Exposure time : Lane 1 : 3 minutes; Lane 2 : 8 seconds.

The molecular weight observed is consistent with what has been described in the literature (PMID : 7647801).

All lanes:

Western blot - Anti-Ataxin 1 antibody [EPR19613] (ab201037) at 1/1000 dilution

Lane 1:

Human fetal kidney lysate at 10 µg

Lane 2:

Human fetal heart lysate at 10 µg

Secondary

All lanes:

Western blot - VeriBlot for IP Detection Reagent (HRP) (<a href='/products/reagents/veriblot-for-ip-detection-reagent-hrp-ab131366'>ab131366</a>) at 1/4000 dilution

Predicted band size: 86 kDa

Observed band size: 105 kDa

true

Western blot - Anti-Ataxin 1 antibody [EPR19613] (AB201037)
  • WB

Lab

Western blot - Anti-Ataxin 1 antibody [EPR19613] (AB201037)

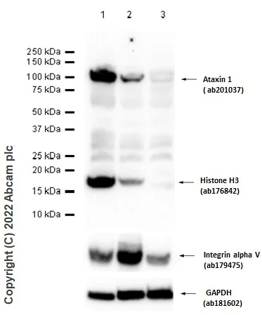
Blocking buffer and concentration : 5% NFDM/TBST Diluting buffer and concentration : 5% NFDM /TBST Ataxin1 is mainly expressed in nuclear (PMID : 23760502, PMID : 9778246, PMID : 21384195 PMID : 32620905).

Lanes 1 - 3:

Western blot - Anti-Ataxin 1 antibody [EPR19613] - BSA and Azide free (<a href='/products/primary-antibodies/ataxin-1-antibody-epr19613-bsa-and-azide-free-ab225895'>ab225895</a>) at 1/1000 dilution

Lanes 1 - 3:

Western blot - Anti-Ataxin 1 antibody [EPR19613] (ab201037) at 1/1000 dilution

Lane 1:

HeLa (Human cervix adenocarcinoma epithelial cell) nuclear fraction lysate at 20 µg

Lane 2:

HeLa (Human cervix adenocarcinoma epithelial cell) membrane fraction lysate at 20 µg

Lane 3:

HeLa (Human cervix adenocarcinoma epithelial cell) cytoplasm fraction lysate at 20 µg

Secondary

All lanes:

Western blot - Goat Anti-Rabbit IgG H&L (HRP) (<a href='/products/secondary-antibodies/goat-rabbit-igg-h-l-hrp-ab97051'>ab97051</a>) at 1/20000 dilution

Predicted band size: 86 kDa

false

Exposure time: 60s

Western blot - Anti-Ataxin 1 antibody [EPR19613] (AB201037)
  • WB

Supplier Data

Western blot - Anti-Ataxin 1 antibody [EPR19613] (AB201037)

Blocking/Dilution buffer : 5% NFDM/TBST.

Exposure time : Lane 1,2,6 : 3 minutes; Lane 3-5 : 15 seconds.

The molecular weight observed is consistent with what has been described in the literature (PMID : 7647801).

Lanes 1 - 5:

Western blot - Anti-Ataxin 1 antibody [EPR19613] (ab201037) at 1/1000 dilution

Lane 6:

Western blot - Anti-Ataxin 1 antibody [EPR19613] (ab201037) at 1/10000 dilution

Lane 1:

SH-SY5Y (human neuroblastoma cell line from bone marrow), whole cell lysate at 20 µg

Lane 2:

HeLa (human epithelial cell line from cervix adenocarcinoma), whole cell lysate at 20 µg

Lane 3:

Neuro-2a (mouse neuroblastoma cell line), whole cell lysate at 20 µg

Lane 4:

Human cerebellum tissue lysate at 20 µg

Lane 5:

Human fetal brain tissue lysate at 20 µg

Lane 6:

U-87 MG (human glioblastoma-astrocytoma epithelial cell line), whole cell lysate at 20 µg

Secondary

All lanes:

Western blot - Goat Anti-Rabbit IgG H&L (HRP) (<a href='/products/secondary-antibodies/goat-rabbit-igg-h-l-hrp-ab97051'>ab97051</a>) at 1/100000 dilution

Predicted band size: 22 kDa,51 kDa,78 kDa,86 kDa

Observed band size: 105 kDa

true

Western blot - Anti-Ataxin 1 antibody [EPR19613] (AB201037)
  • WB

Lab

Western blot - Anti-Ataxin 1 antibody [EPR19613] (AB201037)

Blocking buffer and concentration : 5% NFDM/TBST Diluting buffer and concentration : 5% NFDM /TBST

Lanes 1 - 2:

Western blot - Anti-Ataxin 1 antibody [EPR19613] - BSA and Azide free (<a href='/products/primary-antibodies/ataxin-1-antibody-epr19613-bsa-and-azide-free-ab225895'>ab225895</a>) at 1/10000 dilution

Lanes 1 - 2:

Western blot - Anti-Ataxin 1 antibody [EPR19613] (ab201037) at 1/10000 dilution

Lane 1:

293T (Human embryonic kidney epithelial cell) transfected with an empty vector whole cell lysate at 20 µg

Lane 2:

293T transfected with full length human ATXN1 expression vector containing a myc-His-tag® whole cell lysate at 20 µg

Secondary

All lanes:

Western blot - Goat Anti-Rabbit IgG H&L (HRP) (<a href='/products/secondary-antibodies/goat-rabbit-igg-h-l-hrp-ab97051'>ab97051</a>) at 1/20000 dilution

Predicted band size: 86 kDa

false

Exposure time: 1s

不同偶联物与剂型 (1)

  • Carrier free

    Anti-Ataxin 1 antibody [EPR19613] - BSA and Azide free

关键信息

宿主种属

Rabbit

克隆

Monoclonal

克隆号

EPR19613

亚型

IgG

不含载体蛋白

No

反应种属

Human

应用

IP, WB

applications

免疫原

The exact immunogen used to generate this antibody is proprietary information.

反应性数据

{ "title": "Reactivity Data", "filters": { "stats": ["", "Species", "Dilution Info", "Notes"], "tabs": { "all-applications": {"fullname" : "All Applications", "shortname": "All Applications"}, "IP" : {"fullname" : "Immunoprecipitation", "shortname":"IP"}, "WB" : {"fullname" : "Western blot", "shortname":"WB"} }, "product-promise": { "all": "all", "testedAndGuaranteed": "tested", "guaranteed": "expected", "predicted": "predicted", "notRecommended": "not-recommended" } }, "values": { "Human": { "IP-species-checked": "testedAndGuaranteed", "IP-species-dilution-info": "1/30", "IP-species-notes": "<p></p>", "WB-species-checked": "testedAndGuaranteed", "WB-species-dilution-info": "1/1000 - 1/10000", "WB-species-notes": "<p></p>" }, "Transfected cell line - Human": { "IP-species-checked": "notRecommended", "IP-species-dilution-info": "", "IP-species-notes": "", "WB-species-checked": "testedAndGuaranteed", "WB-species-dilution-info": "1/1000 - 1/10000", "WB-species-notes": "<p></p>" } } }

产品详情

Patented technology
Our RabMAb® technology is a patented hybridoma-based technology for making rabbit monoclonal antibodies. For details on our patents, please refer to RabMAb® patents.

What are the advantages of a recombinant monoclonal antibody?
This product is a recombinant monoclonal antibody, which offers several advantages including:

  • - High batch-to-batch consistency and reproducibility
  • - Improved sensitivity and specificity
  • - Long-term security of supply
  • - Animal-free batch production

For more information, read more on recombinant antibodies.

性能和储存信息

形式
Liquid
纯化工艺
Affinity purification Protein A
存储溶液
pH: 7.2 - 7.4 Preservative: 0.01% Sodium azide Constituents: PBS, 40% Glycerol (glycerin, glycerine), 0.05% BSA
运输条件
Blue Ice
推荐的短期储存时间
1-2 weeks
推荐的短期储存条件
+4°C
推荐的长期储存条件
-20°C
分装信息
Upon delivery aliquot
储存信息
Avoid freeze / thaw cycle

补充信息

This supplementary information is collated from multiple sources and compiled automatically.

Ataxin-1 sometimes referred to as 'ATXN1' is a protein encoded by the ATXN1 gene. It forms a part of the polyglutamine protein family and typically weighs around 85 kDa. Ataxin-1 appears in various tissues with the highest expression levels in the brain particularly in neurons of the cerebellum and other areas involved in coordination and motor control. This protein consists of multiple domains that contribute to its diverse range of functions including a highly conserved AXH domain involved in protein-protein interactions.
Biological function summary

Ataxin-1 plays a critical role in gene expression regulation and is also implicated in RNA binding. It often associates with large protein complexes such as those involved in RNA metabolism and transcriptional regulation. Ataxin-1 contributes to transcriptional repression through its interaction with transcriptional co-repressors and other proteins involved in gene expression control. This interaction helps maintain normal cellular functions critical for neuronal homeostasis and development.

Pathways

Ataxin-1 interacts with various cellular mechanisms important for normal physiological function. It operates in the Notch signaling pathway influencing cell fate decisions during development. Ataxin-1 is functionally linked to proteins such as RBPJ which cooperates in the regulation of gene expression through these pathways. Additionally it has connections to the Wnt signaling pathway affecting processes that govern cell growth and division alongside beta-catenin an important player in the Wnt signaling pathways.

Ataxin-1 has strong associations with neurodegenerative conditions most notably spinocerebellar ataxia type 1 (SCA1). Variations in the ataxin-1 gene lead to expanded polyglutamine tracts which cause protein misfolding and aggregation contributing to neuronal dysfunction and degeneration. The protein also has potential links to Alzheimer's disease where altered ataxin-1 expression and interaction with amyloid precursor protein (APP) may exacerbate disease progression.

产品实验方案

For this product, it's our understanding that no specific protocols are required. You can visit:

靶点信息

Chromatin-binding factor that repress Notch signaling in the absence of Notch intracellular domain by acting as a CBF1 corepressor. Binds to the HEY promoter and might assist, along with NCOR2, RBPJ-mediated repression. Binds RNA in vitro. May be involved in RNA metabolism (PubMed : 21475249). In concert with CIC and ATXN1L, involved in brain development (By similarity).
See full target information ATXN1

文献 (1)

Recent publications for all applications. Explore the full list and refine your search

EMBO molecular medicine 13:e13158 PubMed33369168

2020

Beclin-1-mediated activation of autophagy improves proximal and distal urea cycle disorders.

Applications

Unspecified application

Species

Unspecified reactive species

Leandro R Soria,Sonam Gurung,Giulia De Sabbata,Dany P Perocheau,Angela De Angelis,Gemma Bruno,Elena Polishchuk,Debora Paris,Paola Cuomo,Andrea Motta,Michael Orford,Youssef Khalil,Simon Eaton,Philippa B Mills,Simon N Waddington,Carmine Settembre,Andrés F Muro,Julien Baruteau,Nicola Brunetti-Pierri
View all publications

Abcam Product Promise

我们致力于为您的研究提供高质量的试剂,为您科研的每一步提供支持。若我们的产品未能达到预期性能,我们向您提供 Abcam Product Promise 保障。
详情请参阅我们的条款与条件。

Please note: All products are 'FOR RESEARCH USE ONLY. NOT FOR USE IN DIAGNOSTIC OR THERAPEUTIC PROCEDURES'.

For licensing inquiries, please contact partnerships@abcam.com