JavaScript is disabled in your browser. Please enable JavaScript to view this website.
AB282586

重组Anti-Aquaporin 4抗体[EPR24281-65] - BSA and Azide free

Anti-Aquaporin 4 antibody [EPR24281-65] - BSA and Azide free

  • BOND RX™ Validated
  • KO Validated
  • RabMAb
  • Recombinant
  • 了解详情

5

(2 Reviews)

|

(1 Publication)

Anti-Aquaporin 4 antibody [EPR24281-65] - BSA and Azide free (ab282586) is a rabbit recombinant monoclonal antibody provided in a PBS only buffer for easy conjugation. Suitable for Western Blot, Flow Cytometry, IHC-P, IHC-Fr, ICC/IF in Human, Mouse, Rat.

- KO validated for confirmed specificity
- BSA, sodium azide, and glycerol-free for easy conjugation
- Biophysical QC for unrivalled batch-batch consistency

查看别名

Aquaporin-4, AQP-4, Mercurial-insensitive water channel, WCH4, MIWC, AQP4

24 Images
Immunohistochemistry (Formalin/PFA-fixed paraffin-embedded sections) - Anti-Aquaporin 4 antibody [EPR24281-65] - BSA and Azide free (AB282586)
  • IHC-P

Supplier Data

Immunohistochemistry (Formalin/PFA-fixed paraffin-embedded sections) - Anti-Aquaporin 4 antibody [EPR24281-65] - BSA and Azide free (AB282586)

This data was developed using ab259318, the same antibody clone in a different buffer formulation.

Immunohistochemical analysis of paraffin-embedded Human cerebrum tissue labelling Aquaporin-4 with ab259318 at 1/2000 (0.299 ug/ml) followed by a ready to use LeicaDS9800 (Bond™ Polymer Refine Detection). Strong membrane and cytoplasm staining on human cerebrum. (PMID : 7559426, 19170255) The section was incubated with ab259318 for 30 mins at room temperature. The immunostaining was performed on a Leica Biosystems BOND® RX instrument Counterstained with Hematoxylin.

Secondary antibody only control : Secondary antibody is a ready to use LeicaDS9800 (Bond™ Polymer Refine Detection).

Heat mediated antigen retrieval with Tris-EDTA buffer (pH 9.0, epitope retrieval solution2) for 20 mins

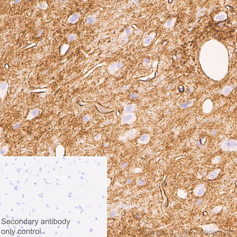
Immunohistochemistry (Formalin/PFA-fixed paraffin-embedded sections) - Anti-Aquaporin 4 antibody [EPR24281-65] - BSA and Azide free (AB282586)
  • IHC-P

Supplier Data

Immunohistochemistry (Formalin/PFA-fixed paraffin-embedded sections) - Anti-Aquaporin 4 antibody [EPR24281-65] - BSA and Azide free (AB282586)

This data was developed using ab259318, the same antibody clone in a different buffer formulation.

Immunohistochemical analysis of paraffin-embedded Human skeletal muscle tissue labelling Aquaporin-4 with ab259318 at 1/2000 (0.299 ug/ml) followed by a ready to use LeicaDS9800 (Bond™ Polymer Refine Detection). Positive staining on human skeletal muscle. The section was incubated with ab259318 for 30 mins at room temperature. The immunostaining was performed on a Leica Biosystems BOND® RX instrument Counterstained with Hematoxylin.

Secondary antibody only control : Secondary antibody is a ready to use LeicaDS9800 (Bond™ Polymer Refine Detection).

Heat mediated antigen retrieval with Tris-EDTA buffer (pH 9.0, epitope retrieval solution2) for 20 mins

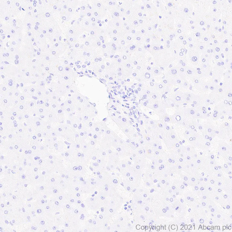
Immunohistochemistry (Formalin/PFA-fixed paraffin-embedded sections) - Anti-Aquaporin 4 antibody [EPR24281-65] - BSA and Azide free (AB282586)
  • IHC-P

Supplier Data

Immunohistochemistry (Formalin/PFA-fixed paraffin-embedded sections) - Anti-Aquaporin 4 antibody [EPR24281-65] - BSA and Azide free (AB282586)

This data was developed using ab259318, the same antibody clone in a different buffer formulation.

Immunohistochemical analysis of paraffin-embedded Human liver tissue labelling Aquaporin-4 with ab259318 at 1/2000 (0.299 ug/ml) followed by a ready to use LeicaDS9800 (Bond™ Polymer Refine Detection). Negative control : no staining on human liver. (PMID : 19170255) The section was incubated with ab259318 for 30 mins at room temperature. The immunostaining was performed on a Leica Biosystems BOND® RX instrument Counterstained with Hematoxylin.

Secondary antibody only control : Secondary antibody is a ready to use LeicaDS9800 (Bond™ Polymer Refine Detection).

Heat mediated antigen retrieval with Tris-EDTA buffer (pH 9.0, epitope retrieval solution2) for 20 mins

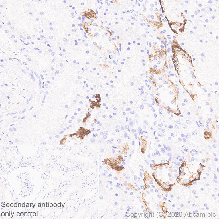
Immunohistochemistry (Formalin/PFA-fixed paraffin-embedded sections) - Anti-Aquaporin 4 antibody [EPR24281-65] - BSA and Azide free (AB282586)
  • IHC-P

Supplier Data

Immunohistochemistry (Formalin/PFA-fixed paraffin-embedded sections) - Anti-Aquaporin 4 antibody [EPR24281-65] - BSA and Azide free (AB282586)

This data was developed using ab259318, the same antibody clone in a different buffer formulation.

Immunohistochemical analysis of paraffin-embedded Human kidney tissue labelling Aquaporin-4 with ab259318 at 1/2000 (0.299 ug/ml) followed by a ready to use LeicaDS9800 (Bond™ Polymer Refine Detection). Positive staining on human kidney. (PMID : 19170255) The section was incubated with ab259318 for 30 mins at room temperature. The immunostaining was performed on a Leica Biosystems BOND® RX instrument Counterstained with Hematoxylin.

Secondary antibody only control : Secondary antibody is a ready to use LeicaDS9800 (Bond™ Polymer Refine Detection).

Heat mediated antigen retrieval with Tris-EDTA buffer (pH 9.0, epitope retrieval solution2) for 20 mins

Immunohistochemistry (Frozen sections) - Anti-Aquaporin 4 antibody [EPR24281-65] - BSA and Azide free (AB282586)
  • IHC-Fr

Supplier Data

Immunohistochemistry (Frozen sections) - Anti-Aquaporin 4 antibody [EPR24281-65] - BSA and Azide free (AB282586)

This data was developed using ab259318, the same antibody clone in a different buffer formulation.

Immunohistochemical analysis of 4% PFA-fixed, 0.2% Triton X-100 permeabilized frozen Rat kidney (fresh) tissue labeling Aquaporin-4 with ab259318 at 1/500 (1.196 ug/ml) dilution followed by ab150077 Goat Anti-Rabbit IgG H&L (Alexa Fluor® 488) at 1/1000 dilution (Green). Cytoplasmic and membranous staining on rat kidney (PMID : 17442782) is observed. The nuclear counterstain was DAPI (Blue).

Secondary antibody control : Secondary antibody is ab150077 Goat Anti-Rabbit IgG H&L (Alexa Fluor® 488)at 1/1000 dilution.

Immunohistochemistry (Frozen sections) - Anti-Aquaporin 4 antibody [EPR24281-65] - BSA and Azide free (AB282586)
  • IHC-Fr

Supplier Data

Immunohistochemistry (Frozen sections) - Anti-Aquaporin 4 antibody [EPR24281-65] - BSA and Azide free (AB282586)

This data was developed using ab259318, the same antibody clone in a different buffer formulation.

Immunohistochemical analysis of 4% PFA-fixed, 0.2% Triton X-100 permeabilized frozen Mouse cerebrum (fresh) tissue labeling Aquaporin-4 with ab259318 at 1/500 (1.196 ug/ml) dilution followed by ab150077 Goat Anti-Rabbit IgG H&L (Alexa Fluor® 488) at 1/1000 dilution (Green). Positive staining on mouse cerebrum (PMID : 21990350) is observed. The nuclear counterstain was DAPI (Blue).

Secondary antibody control : Secondary antibody is ab150077 Goat Anti-Rabbit IgG H&L (Alexa Fluor® 488)at 1/1000 dilution.

Flow Cytometry (Intracellular) - Anti-Aquaporin 4 antibody [EPR24281-65] - BSA and Azide free (AB282586)
  • Flow Cyt (Intra)

Lab

Flow Cytometry (Intracellular) - Anti-Aquaporin 4 antibody [EPR24281-65] - BSA and Azide free (AB282586)

This data was developed using ab259318, the same antibody clone in a different buffer formulation.

Flow cytometric analysis of 4% paraformaldehyde fixed 0.1% Tween-20 permeabilized Rat primary neural/glia cell cells labelling Aquaporin-4 with ab259318 at 1/500 dilution (0.1ug)/ Right (Red) compared with a Rabbit monoclonal IgG (ab172730) / Left isotype control. A Goat anti rabbit IgG (Alexa Fluor® 488, ab150077) at 1/2000 dilution was used as the secondary antibody.

Immunohistochemistry (Frozen sections) - Anti-Aquaporin 4 antibody [EPR24281-65] - BSA and Azide free (AB282586)
  • IHC-Fr

Supplier Data

Immunohistochemistry (Frozen sections) - Anti-Aquaporin 4 antibody [EPR24281-65] - BSA and Azide free (AB282586)

This data was developed using ab259318, the same antibody clone in a different buffer formulation.

Immunohistochemical analysis of 4% PFA-fixed, 0.2% Triton X-100 permeabilized frozen Mouse testis (fresh) tissue labeling Aquaporin-4 with ab259318 at 1/500 (1.196 ug/ml) dilution followed by ab150077 Goat Anti-Rabbit IgG H&L (Alexa Fluor® 488) at 1/1000 dilution (Green). Negative control : No staining on mouse testis testis (PMID : 16840793) is observed. The nuclear counterstain was DAPI (Blue).

Secondary antibody control : Secondary antibody is ab150077 Goat Anti-Rabbit IgG H&L (Alexa Fluor® 488)at 1/1000 dilution.

Immunohistochemistry (Formalin/PFA-fixed paraffin-embedded sections) - Anti-Aquaporin 4 antibody [EPR24281-65] - BSA and Azide free (AB282586)
  • IHC-P

Supplier Data

Immunohistochemistry (Formalin/PFA-fixed paraffin-embedded sections) - Anti-Aquaporin 4 antibody [EPR24281-65] - BSA and Azide free (AB282586)

This data was developed using ab259318, the same antibody clone in a different buffer formulation.

Immunohistochemical analysis of paraffin-embedded Rat cerebrum tissue labelling Aquaporin-4 with ab259318 at 1/5000 (0.299 ug/ml) followed by a ready to use LeicaDS9800 (Bond™ Polymer Refine Detection). Positive staining on rat cerebrum. The section was incubated with ab259318 for 30 mins at room temperature. The immunostaining was performed on a Leica Biosystems BOND® RX instrument Counterstained with Hematoxylin.

Secondary antibody only control : Secondary antibody is a ready to use LeicaDS9800 (Bond™ Polymer Refine Detection).

Heat mediated antigen retrieval with Tris-EDTA buffer (pH 9.0, epitope retrieval solution2) for 20 mins

Immunohistochemistry (Frozen sections) - Anti-Aquaporin 4 antibody [EPR24281-65] - BSA and Azide free (AB282586)
  • IHC-Fr

Supplier Data

Immunohistochemistry (Frozen sections) - Anti-Aquaporin 4 antibody [EPR24281-65] - BSA and Azide free (AB282586)

This data was developed using ab259318, the same antibody clone in a different buffer formulation.

Immunohistochemical analysis of 4% PFA-fixed, 0.2% Triton X-100 permeabilized frozen Rat cerebrum (fresh) tissue labeling Aquaporin-4 with ab259318 at 1/500 (1.196 ug/ml) dilution followed by ab150077 Goat Anti-Rabbit IgG H&L (Alexa Fluor® 488) at 1/1000 dilution (Green). Positive staining on rat cerebrum (PMID : 21990350) is observed. The nuclear counterstain was DAPI (Blue).

Secondary antibody control : Secondary antibody is ab150077 Goat Anti-Rabbit IgG H&L (Alexa Fluor® 488)at 1/1000 dilution.

Immunocytochemistry/ Immunofluorescence - Anti-Aquaporin 4 antibody [EPR24281-65] - BSA and Azide free (AB282586)
  • ICC/IF

Supplier Data

Immunocytochemistry/ Immunofluorescence - Anti-Aquaporin 4 antibody [EPR24281-65] - BSA and Azide free (AB282586)

This data was developed using ab259318, the same antibody clone in a different buffer formulation.

Immunofluorescent analysis of 4% Paraformaldehyde-fixed, 0.1% TritonX-100 permeabilized rat primary neural/glia cell cells labelling Aquaporin-4 with ab259318 at 1/200 (2.99 ug/ml) dilution, followed by ab150081 Goat Anti-Rabbit IgG H&L (Alexa Fluor® 488) preadsorbed antibody at 1/1000 dilution (Green). Confocal image showing cytoplasmic staining in rat astrocyte cells. Confocal scanning Z step was set as 0.3 μm followed by image processing with maximum Z projection is observed. ab10062 Anti-GFAP mouse monoclonal antibody was used to counterstain tubulin at 1/50 dilution (Red). The Nuclear counterstain was DAPI (Blue).

Secondary antibody only control : Secondary antibody is ab150081 Goat Anti-Rabbit IgG H&L (Alexa Fluor® 488) preadsorbed at 1/1000 dilution.

Immunocytochemistry/ Immunofluorescence - Anti-Aquaporin 4 antibody [EPR24281-65] - BSA and Azide free (AB282586)
  • ICC/IF

Supplier Data

Immunocytochemistry/ Immunofluorescence - Anti-Aquaporin 4 antibody [EPR24281-65] - BSA and Azide free (AB282586)

This data was developed using ab259318, the same antibody clone in a different buffer formulation.

Immunofluorescent analysis of 4% Paraformaldehyde-fixed, 0.1% TritonX-100 permeabilized mouse primary neural/glia cell cells labelling Aquaporin-4 with ab259318 at 1/200 (2.99 ug/ml) dilution, followed by ab150081 Goat Anti-Rabbit IgG H&L (Alexa Fluor® 488) preadsorbed antibody at 1/1000 dilution (Green). Confocal image showing cytoplasmic staining in mouse astrocyte cells.Confocal scanning Z step was set as 0.3 μm followed by image processing with maximum Z projection is observed. ab10062 Anti-GFAP mouse monoclonal antibody was used to counterstain tubulin at 1/50 dilution (Red). The Nuclear counterstain was DAPI (Blue).

Secondary antibody only control : Secondary antibody is ab150081 Goat Anti-Rabbit IgG H&L (Alexa Fluor® 488) preadsorbed at 1/1000 dilution.

Immunohistochemistry (Formalin/PFA-fixed paraffin-embedded sections) - Anti-Aquaporin 4 antibody [EPR24281-65] - BSA and Azide free (AB282586)
  • IHC-P

Lab

Immunohistochemistry (Formalin/PFA-fixed paraffin-embedded sections) - Anti-Aquaporin 4 antibody [EPR24281-65] - BSA and Azide free (AB282586)

This data was developed using ab259318, the same antibody clone in a different buffer formulation. Immunohistochemical analysis of paraffin-embedded (A) Skeletal muscle tissue from wild-type C57BL/6JGpt mice (B) Skeletal muscle tissue from AQP4 knockout mice labelling Aquaporin-4 with ab259318 at 1/5000 followed by a ready to use LeicaDS9800 (Bond™ Polymer Refine Detection). Counterstained with Hematoxylin. Antigen retrieval was heat mediated with Citrate buffer (pH 6.0, Epitope Retrieval Solution 1) for 20 mins. Positive staining on (A) Skeletal muscle tissue from wild-type C57BL/6JGpt mice and no staining on (B) Skeletal muscle tissue from AQP4 knockout mice. The section was incubated with ab259318 for 30 mins at room temperature. The immunostaining was performed on a Leica Biosystems BOND® RX instrument. The tissue samples were kindly provided by GemPharmatech. C57BL/6JGpt wildtype mice and Aqp4-KO homozygous mice (Strain ID : T011901).

Immunohistochemistry (Formalin/PFA-fixed paraffin-embedded sections) - Anti-Aquaporin 4 antibody [EPR24281-65] - BSA and Azide free (AB282586)
  • IHC-P

Supplier Data

Immunohistochemistry (Formalin/PFA-fixed paraffin-embedded sections) - Anti-Aquaporin 4 antibody [EPR24281-65] - BSA and Azide free (AB282586)

This data was developed using ab259318, the same antibody clone in a different buffer formulation.

Immunohistochemical analysis of paraffin-embedded Mouse testis tissue labelling Aquaporin-4 with ab259318 at 1/5000 (0.299 ug/ml) followed by a ready to use LeicaDS9800 (Bond™ Polymer Refine Detection). Negative control : no staining on mouse testis. The section was incubated with ab259318 for 30 mins at room temperature. The immunostaining was performed on a Leica Biosystems BOND® RX instrument Counterstained with Hematoxylin.

Secondary antibody only control : Secondary antibody is a ready to use LeicaDS9800 (Bond™ Polymer Refine Detection).

Heat mediated antigen retrieval with Tris-EDTA buffer (pH 9.0, epitope retrieval solution2) for 20 mins

Immunohistochemistry (Formalin/PFA-fixed paraffin-embedded sections) - Anti-Aquaporin 4 antibody [EPR24281-65] - BSA and Azide free (AB282586)
  • IHC-P

Supplier Data

Immunohistochemistry (Formalin/PFA-fixed paraffin-embedded sections) - Anti-Aquaporin 4 antibody [EPR24281-65] - BSA and Azide free (AB282586)

This data was developed using ab259318, the same antibody clone in a different buffer formulation.

Immunohistochemical analysis of paraffin-embedded Mouse cerebrum tissue labelling Aquaporin-4 with ab259318 at 1/5000 (0.299 ug/ml) followed by a ready to use LeicaDS9800 (Bond™ Polymer Refine Detection). Positive staining on mouse cerebrum. The section was incubated with ab259318 for 30 mins at room temperature. The immunostaining was performed on a Leica Biosystems BOND® RX instrument Counterstained with Hematoxylin.

Secondary antibody only control : Secondary antibody is a ready to use LeicaDS9800 (Bond™ Polymer Refine Detection).

Heat mediated antigen retrieval with Tris-EDTA buffer (pH 9.0, epitope retrieval solution2) for 20 mins

Flow Cytometry (Intracellular) - Anti-Aquaporin 4 antibody [EPR24281-65] - BSA and Azide free (AB282586)
  • Flow Cyt (Intra)

Lab

Flow Cytometry (Intracellular) - Anti-Aquaporin 4 antibody [EPR24281-65] - BSA and Azide free (AB282586)

This data was developed using ab259318, the same antibody clone in a different buffer formulation.

Flow cytometric analysis of 4% paraformaldehyde fixed 0.1% Tween-20 permeabilized Mouse primary neural/glia cell cells labelling Aquaporin-4 with ab259318 at 1/500 dilution (0.1ug)/ Right (Red) compared with a Rabbit monoclonal IgG (ab172730) / Left isotype control. A Goat anti rabbit IgG (Alexa Fluor® 488, ab150077) at 1/2000 dilution was used as the secondary antibody.

Immunohistochemistry (Frozen sections) - Anti-Aquaporin 4 antibody [EPR24281-65] - BSA and Azide free (AB282586)
  • IHC-Fr

Supplier Data

Immunohistochemistry (Frozen sections) - Anti-Aquaporin 4 antibody [EPR24281-65] - BSA and Azide free (AB282586)

This data was developed using ab259318, the same antibody clone in a different buffer formulation.

Immunohistochemical analysis of 4% PFA-fixed, 0.2% Triton X-100 permeabilized frozen Mouse kidney (fresh) tissue labeling Aquaporin-4 with ab259318 at 1/500 (1.196 ug/ml) dilution followed by ab150077 Goat Anti-Rabbit IgG H&L (Alexa Fluor® 488) at 1/1000 dilution (Green). Cytoplasmic and membranous staining on mouse kidney (PMID : 17442782) is observed. The nuclear counterstain was DAPI (Blue).

Secondary antibody control : Secondary antibody is ab150077 Goat Anti-Rabbit IgG H&L (Alexa Fluor® 488)at 1/1000 dilution.

Immunohistochemistry (Frozen sections) - Anti-Aquaporin 4 antibody [EPR24281-65] - BSA and Azide free (AB282586)
  • IHC-Fr

Supplier Data

Immunohistochemistry (Frozen sections) - Anti-Aquaporin 4 antibody [EPR24281-65] - BSA and Azide free (AB282586)

This data was developed using ab259318, the same antibody clone in a different buffer formulation.

Immunohistochemical analysis of 4% PFA-fixed, 0.2% Triton X-100 permeabilized frozen Rat testis (fresh) tissue labeling Aquaporin-4 with ab259318 at 1/500 (1.196 ug/ml) dilution followed by ab150077 Goat Anti-Rabbit IgG H&L (Alexa Fluor® 488) at 1/1000 dilution (Green). Negative control : No staining on rat testis testis (PMID : 16840793) is observed. The nuclear counterstain was DAPI (Blue).

Secondary antibody control : Secondary antibody is ab150077 Goat Anti-Rabbit IgG H&L (Alexa Fluor® 488)at 1/1000 dilution.

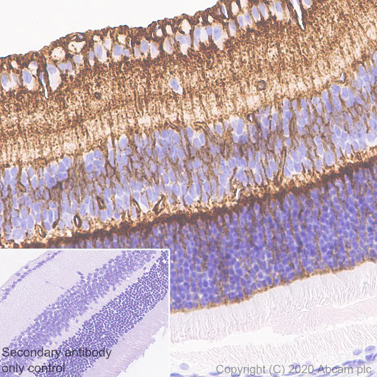
Immunohistochemistry (Formalin/PFA-fixed paraffin-embedded sections) - Anti-Aquaporin 4 antibody [EPR24281-65] - BSA and Azide free (AB282586)
  • IHC-P

Supplier Data

Immunohistochemistry (Formalin/PFA-fixed paraffin-embedded sections) - Anti-Aquaporin 4 antibody [EPR24281-65] - BSA and Azide free (AB282586)

This data was developed using ab259318, the same antibody clone in a different buffer formulation.

Immunohistochemical analysis of paraffin-embedded Mouse retina tissue labelling Aquaporin-4 with ab259318 at 1/5000 (0.299 ug/ml) followed by a ready to use LeicaDS9800 (Bond™ Polymer Refine Detection). Positive staining on mouse retina. (PMID : 17525153) The section was incubated with ab259318 for 30 mins at room temperature. The immunostaining was performed on a Leica Biosystems BOND® RX instrument Counterstained with Hematoxylin.

Secondary antibody only control : Secondary antibody is a ready to use LeicaDS9800 (Bond™ Polymer Refine Detection).

Heat mediated antigen retrieval with Tris-EDTA buffer (pH 9.0, epitope retrieval solution2) for 20 mins

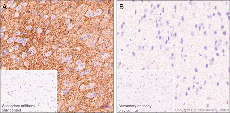
Immunohistochemistry (Formalin/PFA-fixed paraffin-embedded sections) - Anti-Aquaporin 4 antibody [EPR24281-65] - BSA and Azide free (AB282586)
  • IHC-P

Lab

Immunohistochemistry (Formalin/PFA-fixed paraffin-embedded sections) - Anti-Aquaporin 4 antibody [EPR24281-65] - BSA and Azide free (AB282586)

This data was developed using ab259318, the same antibody clone in a different buffer formulation. Immunohistochemical analysis of paraffin-embedded (A) Brain tissue from wild-type C57BL/6JGpt mice (B) Brain tissue from AQP4 knockout mice labelling Aquaporin-4 with ab259318 at 1/5000 followed by a ready to use LeicaDS9800 (Bond™ Polymer Refine Detection). Counterstained with Hematoxylin.  Antigen retrieval was heat mediated with Citrate buffer (pH 6.0, Epitope Retrieval Solution 1) for 20 mins Positive staining on (A) Brain tissue from wild-type C57BL/6JGpt mice and no staining on (B) Brain tissue from AQP4 knockout mice. The section was incubated with ab259318 for 30 mins at room temperature. The immunostaining was performed on a Leica Biosystems BOND® RX instrument. The tissue samples were kindly provided by GemPharmatech. C57BL/6JGpt wildtype mice and Aqp4-KO homozygous mice (Strain ID : T011901).

Western blot - Anti-Aquaporin 4 antibody [EPR24281-65] - BSA and Azide free (AB282586)
  • WB

Lab

Western blot - Anti-Aquaporin 4 antibody [EPR24281-65] - BSA and Azide free (AB282586)

This data was developed using ab259318, the same antibody clone in a different buffer formulation.

Blocking and diluting buffer and concentration : 5% NFDM/TBST

The molecular weight is consistent with what has been described in the literature. Bands observed at 52 kDa may represent the glycosylated form of AQP4 and the lower band may be the nonglycosylated form (PMID : 26786101, 8594871).

The expression profile observed in the human liver is consistent with the literature (PMID : 19170255).

Lysate were made unboil. We recommend not to boil the samples after lysis to get desired WB results.

All lanes:

Western blot - Anti-Aquaporin 4 antibody [EPR24281-65] (<a href='/products/primary-antibodies/aquaporin-4-antibody-epr24281-65-ab259318'>ab259318</a>) at 1/1000 dilution

Lane 1:

Human skeletal muscle tissue lysate at 20 µg

Lane 2:

Human liver tissue lysate at 20 µg

Lane 3:

Human testis tissue lysate at 20 µg

Secondary

All lanes:

Western blot - Goat Anti-Rabbit IgG H&L (HRP) (<a href='/products/secondary-antibodies/goat-rabbit-igg-h-l-hrp-ab97051'>ab97051</a>) at 1/100000 dilution

Predicted band size: 35 kDa

Observed band size: 28 kDa,52 kDa

false

Exposure time: 3min

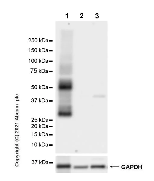
Western blot - Anti-Aquaporin 4 antibody [EPR24281-65] - BSA and Azide free (AB282586)
  • WB

Lab

Western blot - Anti-Aquaporin 4 antibody [EPR24281-65] - BSA and Azide free (AB282586)

This data was developed using ab259318, the same antibody clone in a different buffer formulation.

Blocking and diluting buffer and concentration : 5% NFDM/TBST

The molecular weight is consistent with what has been described in the literature. Bands observed at 100 kDa relate to a tetramer of AQP4 (PMID : 18334967, 11742978)

The expression profile observed in mouse testis is consistent with the literature (PMID : 16840793, 23712968).

Lysate were made unboil. We recommend not to boil the samples after lysis to get desired WB results.

All lanes:

Western blot - Anti-Aquaporin 4 antibody [EPR24281-65] (<a href='/products/primary-antibodies/aquaporin-4-antibody-epr24281-65-ab259318'>ab259318</a>) at 1/1000 dilution

Lane 1:

Mouse brain tissue lysate at 20 µg

Lane 2:

Mouse skeletal muscle tissue lysate at 20 µg

Lane 3:

Mouse stomach tissue lysate at 20 µg

Lane 4:

Mouse testis tissue lysate at 20 µg

Secondary

All lanes:

Western blot - Goat Anti-Rabbit IgG H&L (HRP) (<a href='/products/secondary-antibodies/goat-rabbit-igg-h-l-hrp-ab97051'>ab97051</a>) at 1/100000 dilution

Predicted band size: 35 kDa

Observed band size: 100 kDa,28 kDa

false

Exposure time: 3min

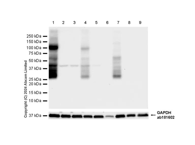
Western blot - Anti-Aquaporin 4 antibody [EPR24281-65] - BSA and Azide free (AB282586)
  • WB

Lab

Western blot - Anti-Aquaporin 4 antibody [EPR24281-65] - BSA and Azide free (AB282586)

This data was developed using ab259318, the same antibody clone in a different buffer formulation. In Western Blot, Anti-GAPDH antibody [EPR16891] - Loading Control (ab181602) used at 1/200000 dilution.

Blocking and diluting buffer and concentration : 5% NFDM/TBST.

Boiling leads to the formation of aggregates of membrane proteins, leading to unsuccessful migration in the gel. We recommend to to run unboiled lysate samples when testing for Aqp4 expression by western blot.

The tissue samples were kindly provided by GemPharmatech. C57BL/6JGpt wildtype mice and Aqp4-KO homozygous mice (Strain ID : T011901).

All lanes:

Western blot - Anti-Aquaporin 4 antibody [EPR24281-65] (<a href='/products/primary-antibodies/aquaporin-4-antibody-epr24281-65-ab259318'>ab259318</a>) at 1/1000 dilution

Lane 1:

Wild-type mouse brain tissue lysate (female)

Lanes 2 - 3:

AQP4 knockout brain tissue lysate (female)

Lane 4:

Wild-type mouse kidney tissue lysate (female)

Lanes 5 - 6:

AQP4 knockout kidney tissue lysate (female)

Lane 7:

Wild-type mouse skeletal muscle tissue lysate (female)

Lanes 8 - 9:

AQP4 knockout skeletal muscle tissue lysate (female)

Secondary

All lanes:

Western blot - Goat Anti-Rabbit IgG H&L (HRP) (<a href='/products/secondary-antibodies/goat-rabbit-igg-h-l-hrp-ab97051'>ab97051</a>) at 1/20000 dilution

Observed band size: 28 kDa,52 kDa

false

Exposure time: 4s

Western blot - Anti-Aquaporin 4 antibody [EPR24281-65] - BSA and Azide free (AB282586)
  • WB

Lab

Western blot - Anti-Aquaporin 4 antibody [EPR24281-65] - BSA and Azide free (AB282586)

This data was developed using ab259318, the same antibody clone in a different buffer formulation.

Blocking and diluting buffer and concentration : 5% NFDM/TBST

The molecular weight is consistent with what has been described in the literature (PMID : 18334967, 11742978).

The expression profile observed in rat testis is consistent with the literature (PMID : 16840793, 23712968).

Lysate were made unboil. We recommend not to boil the samples after lysis to get desired WB results.

All lanes:

Western blot - Anti-Aquaporin 4 antibody [EPR24281-65] (<a href='/products/primary-antibodies/aquaporin-4-antibody-epr24281-65-ab259318'>ab259318</a>) at 1/1000 dilution

Lane 1:

Rat brain tissue lysate at 20 µg

Lane 2:

Rat skeletal muscle tissue lysate at 20 µg

Lane 3:

Rat stomach tissue lysate at 20 µg

Lane 4:

Rat testis tissue lysate at 20 µg

Secondary

All lanes:

Western blot - Goat Anti-Rabbit IgG H&L (HRP) (<a href='/products/secondary-antibodies/goat-rabbit-igg-h-l-hrp-ab97051'>ab97051</a>) at 1/100000 dilution

Predicted band size: 35 kDa

Observed band size: 28 kDa

false

Exposure time: 3min

不同偶联物与剂型 (4)

  • Unconjugated

    Anti-Aquaporin 4 antibody [EPR24281-65]

  • 519 Alexa Fluor® 488

    Alexa Fluor® 488 Anti-Aquaporin 4 antibody [EPR24281-65]

  • 665 Alexa Fluor® 647

    Alexa Fluor® 647 Anti-Aquaporin 4 antibody [EPR24281-65]

  • Carrier free

    Anti-Aquaporin 4 antibody [EPR24281-85] - BSA and Azide free (Detector)

关键信息

宿主种属

Rabbit

克隆

Monoclonal

克隆号

EPR24281-65

亚型

IgG

不含载体蛋白

Yes

反应种属

Mouse, Rat, Human

应用

Flow Cyt (Intra), WB, ICC/IF, IHC-P, IHC-Fr

applications

免疫原

The exact immunogen used to generate this antibody is proprietary information.

反应性数据

{ "title": "Reactivity Data", "filters": { "stats": ["", "Species", "Dilution Info", "Notes"], "tabs": { "all-applications": {"fullname" : "All Applications", "shortname": "All Applications"}, "ICCIF" : {"fullname" : "Immunocytochemistry/ Immunofluorescence", "shortname":"ICC/IF"}, "IP" : {"fullname" : "Immunoprecipitation", "shortname":"IP"}, "WB" : {"fullname" : "Western blot", "shortname":"WB"}, "IHCP" : {"fullname" : "Immunohistochemistry (Formalin/PFA-fixed paraffin-embedded sections)", "shortname":"IHC-P"}, "IHCFr" : {"fullname" : "Immunohistochemistry (Frozen sections)", "shortname":"IHC-Fr"}, "FlowCytIntra" : {"fullname" : "Flow Cytometry (Intracellular)", "shortname":"Flow Cyt (Intra)"} }, "product-promise": { "all": "all", "testedAndGuaranteed": "tested", "guaranteed": "expected", "predicted": "predicted", "notRecommended": "not-recommended" } }, "values": { "Human": { "ICCIF-species-checked": "guaranteed", "ICCIF-species-dilution-info": "", "ICCIF-species-notes": "", "IP-species-checked": "notRecommended", "IP-species-dilution-info": "", "IP-species-notes": "<p></p>", "WB-species-checked": "testedAndGuaranteed", "WB-species-dilution-info": "", "WB-species-notes": "<p></p>", "IHCP-species-checked": "testedAndGuaranteed", "IHCP-species-dilution-info": "", "IHCP-species-notes": "<p></p>", "IHCFr-species-checked": "guaranteed", "IHCFr-species-dilution-info": "", "IHCFr-species-notes": "", "FlowCytIntra-species-checked": "guaranteed", "FlowCytIntra-species-dilution-info": "", "FlowCytIntra-species-notes": "" }, "Mouse": { "ICCIF-species-checked": "testedAndGuaranteed", "ICCIF-species-dilution-info": "", "ICCIF-species-notes": "<p></p>", "IP-species-checked": "notRecommended", "IP-species-dilution-info": "", "IP-species-notes": "", "WB-species-checked": "testedAndGuaranteed", "WB-species-dilution-info": "", "WB-species-notes": "<p></p>", "IHCP-species-checked": "testedAndGuaranteed", "IHCP-species-dilution-info": "", "IHCP-species-notes": "<p></p>", "IHCFr-species-checked": "testedAndGuaranteed", "IHCFr-species-dilution-info": "", "IHCFr-species-notes": "<p></p>", "FlowCytIntra-species-checked": "testedAndGuaranteed", "FlowCytIntra-species-dilution-info": "", "FlowCytIntra-species-notes": "<p></p>" }, "Rat": { "ICCIF-species-checked": "testedAndGuaranteed", "ICCIF-species-dilution-info": "", "ICCIF-species-notes": "<p></p>", "IP-species-checked": "notRecommended", "IP-species-dilution-info": "", "IP-species-notes": "", "WB-species-checked": "testedAndGuaranteed", "WB-species-dilution-info": "", "WB-species-notes": "<p></p>", "IHCP-species-checked": "testedAndGuaranteed", "IHCP-species-dilution-info": "", "IHCP-species-notes": "<p></p>", "IHCFr-species-checked": "testedAndGuaranteed", "IHCFr-species-dilution-info": "", "IHCFr-species-notes": "<p></p>", "FlowCytIntra-species-checked": "testedAndGuaranteed", "FlowCytIntra-species-dilution-info": "", "FlowCytIntra-species-notes": "<p></p>" } } }

产品详情

What is this antibody validated in?
Anti-Aquaporin 4 antibody [EPR24281-65] - BSA and Azide free (ab282586) is a rabbit recombinant monoclonal antibody and is validated for use in Western Blot (WB), Flow Cytometry (Intra), Flow Cytometry (Flow Cyt), Immunohistochemistry (IHC-P), Immunohistochemistry (IHC-Fr), Immunocytochemistry/immunofluorescence (ICC/IF) in Human, Mouse, Rat samples.

What is the molecular weight of Aquaporin 4?
Anti-Aquaporin 4 [EPR24281-65] - BSA and Azide free (ab282586) specifically detects a band for Aquaporin 4 (UniProt: P55087) at a molecular weight of 34kDa.

Specificity confirmed
The specificity of Anti-Aquaporin 4 antibody [EPR24281-65] - BSA and Azide free (ab282586) has been confirmed by Western blot testing in AQP4 Knockout Mouse Brain, Kidney and Skeletal Muscle samples.

Other related products
We have a range of other formats of antibody clone [EPR24281-65] also available for your convenience: ab259318, Carrier free - ab282586, Alexa Fluor® 488 - ab284135, Carrier free - ab290689, Alexa Fluor® 647 - ab290986

Patented technology
Our RabMAb® technology is a patented hybridoma-based technology for making rabbit monoclonal antibodies. For details on our patents, please refer to RabMAb® patents.

What are the advantages of a recombinant monoclonal antibody?
This product is a recombinant monoclonal antibody, which offers several advantages including:

  • - High batch-to-batch consistency and reproducibility
  • - Improved sensitivity and specificity
  • - Long-term security of supply
  • - Animal-free batch production

For more information, read more on recombinant antibodies.

Conjugation ready
Our carrier-free antibodies are typically supplied in a PBS-only formulation, purified and free of BSA, sodium azide and glycerol. This conjugation-ready format is designed for use with fluorochromes, metal isotopes, oligonucleotides, and enzymes, which makes them ideal for antibody labelling, functional and cell-based assays, flow-based assays (e.g. mass cytometry) and Multiplex Imaging applications.

Use our conjugation kits for antibody conjugates that are ready-to-use in as little as 20 minutes with 1 minute hands-on-time and 100% antibody recovery: available for fluorescent dyes, HRP, biotin and gold.

Compatibility
This product is compatible with the Maxpar® Antibody Labeling Kit from Fluidigm, without the need for antibody preparation. Maxpar® is a trademark of Fluidigm Canada Inc.

性能和储存信息

形式
Liquid
纯化工艺
Affinity purification Protein A
存储溶液
Constituents: PBS
运输条件
Blue Ice
推荐的短期储存条件
+4°C
推荐的长期储存条件
+4°C

补充信息

This supplementary information is collated from multiple sources and compiled automatically.

Aquaporin 4 also known as AQP4 functions as a water channel protein that facilitates the transport of water across cell membranes. It is composed of approximately 323 amino acids resulting in a molecular mass of around 34-38 kDa. This target expresses most in the central nervous system especially in the astrocytes of the brain and spinal cord. Other expression sites include skeletal muscle kidneys and lungs. AQP4 is often studied using various tools including anti-aquaporin 4 antibodies and specific reagents like AQP4 Ab and anti-AQP4.
Biological function summary

Water balance and neural activity regulation are significantly influenced by aquaporin 4. This protein forms a part of the orthogonal array of particles (OAPs) in the plasma membrane which enhances its water permeability function. Through its concentration at the blood-brain barrier AQP4 contributes to maintaining brain homeostasis by regulating osmotic gradients and extracellular space ion concentrations. Its expression and activity may affect critical processes like neuroexcitation and neuroprotection.

Pathways

Aquaporin 4 actively engages in critical water transport and blood-brain barrier integrity pathways. The passive yet selective water transport facilitated by AQP4 impacts pathways including the transcellular pathway that helps in maintaining the homeostatic and osmotic balance important for brain function. Furthermore AQP4 acts in relation to other proteins such as aquaporin 1 and connexin 43 indicating its role in gap junction communication within the brain.

Aquaporin 4 is intricately linked to conditions like neuromyelitis optica (NMO) and cerebral edema. In NMO autoantibodies such as anti-AQP4 target the protein causing demyelination and inflammation of the optic nerve and spinal cord. In cases of cerebral edema an imbalance in AQP4 expression can disrupt water homeostasis leading to exacerbated swelling. AQP4's interaction with proteins like myelin basic protein in these diseases underlines its significance in neurodegeneration and inflammatory processes.

产品实验方案

For this product, it's our understanding that no specific protocols are required. You can visit:

靶点信息

Forms a water-specific channel (PubMed : 19383790, PubMed : 7559426, PubMed : 8601457). Plays an important role in brain water homeostasis (PubMed : 37143309). It is involved in glymphatic solute transport and is required for a normal rate of water exchange across the blood brain interface. Required for normal levels of cerebrospinal fluid influx into the brain cortex and parenchyma along paravascular spaces that surround penetrating arteries, and for normal drainage of interstitial fluid along paravenous drainage pathways. Thereby, it is required for normal clearance of solutes from the brain interstitial fluid, including soluble beta-amyloid peptides derived from APP. Plays a redundant role in urinary water homeostasis and urinary concentrating ability (By similarity).
See full target information AQP4

文献 (1)

Recent publications for all applications. Explore the full list and refine your search

Communications biology 8:296 PubMed40033126

2025

Maternal immune activation followed by peripubertal stress combinedly produce reactive microglia and confine cerebellar cognition.

Applications

Unspecified application

Species

Unspecified reactive species

Momoka Hikosaka,Md Sorwer Alam Parvez,Yuki Yamawaki,Souichi Oe,Yuan Liang,Yayoi Wada,Yukie Hirahara,Taro Koike,Hirohiko Imai,Naoya Oishi,Sina M Schalbetter,Asuka Kumagai,Mari Yoshida,Takeshi Sakurai,Masaaki Kitada,Urs Meyer,Shuh Narumiya,Gen Ohtsuki
View all publications

Abcam Product Promise

我们致力于为您的研究提供高质量的试剂,为您科研的每一步提供支持。若我们的产品未能达到预期性能,我们向您提供 Abcam Product Promise 保障。
详情请参阅我们的条款与条件。

Please note: All products are 'FOR RESEARCH USE ONLY. NOT FOR USE IN DIAGNOSTIC OR THERAPEUTIC PROCEDURES'.

For licensing inquiries, please contact partnerships@abcam.com