JavaScript is disabled in your browser. Please enable JavaScript to view this website.
AB324045

Anti-AP2 gamma/TFAP2C antibody [EPR29851-13]

Anti-AP2 gamma/TFAP2C antibody [EPR29851-13]

  • BOND RX™ Validated
  • RabMAb
  • Recombinant
  • 20ul selling size
  • Advanced Validation
  • 了解详情

Be the first to review this product! Submit a review

|

(0 Publication)

Rabbit Recombinant Monoclonal AP2 gamma/TFAP2C antibody. Suitable for IP, ICC/IF, IHC-P, WB, ChIP-seq, ChIC/CUT&RUN-seq, mIHC and reacts with Mouse, Rat samples.

查看别名

Tcfap2c, Transcription factor AP-2 gamma, AP2-gamma, AP-2.2, Activating enhancer-binding protein 2 gamma

19 Images
Immunohistochemistry (Formalin/PFA-fixed paraffin-embedded sections) - Anti-AP2 gamma/TFAP2C antibody [EPR29851-13] (AB324045)
  • IHC-P

Supplier Data

Immunohistochemistry (Formalin/PFA-fixed paraffin-embedded sections) - Anti-AP2 gamma/TFAP2C antibody [EPR29851-13] (AB324045)

Immunohistochemical analysis of paraffin-embedded Rat kidney tissue labeling AP2 gamma/TFAP2C with ab324045 at 1/500 (1.026 ug/ml) dilution, followed by a ready to use LeicaDS9800 (Bond™ Polymer Refine Detection).

Negative control : no staining on rat kidney. The section was incubated with ab324045 for 30 mins at room temperature.
The immunostaining was performed on a Leica Biosystems BOND® RX instrument

Counterstained with Hematoxylin.

Secondary antibody only control : Secondary antibody is a ready to use LeicaDS9800 (Bond™ Polymer Refine Detection).

Heat mediated antigen retrieval was performed with Citrate buffer (pH 6.0, Epitope Retrieval Solution 1) for 20 mins

Immunohistochemistry (Formalin/PFA-fixed paraffin-embedded sections) - Anti-AP2 gamma/TFAP2C antibody [EPR29851-13] (AB324045)
  • IHC-P

Supplier Data

Immunohistochemistry (Formalin/PFA-fixed paraffin-embedded sections) - Anti-AP2 gamma/TFAP2C antibody [EPR29851-13] (AB324045)

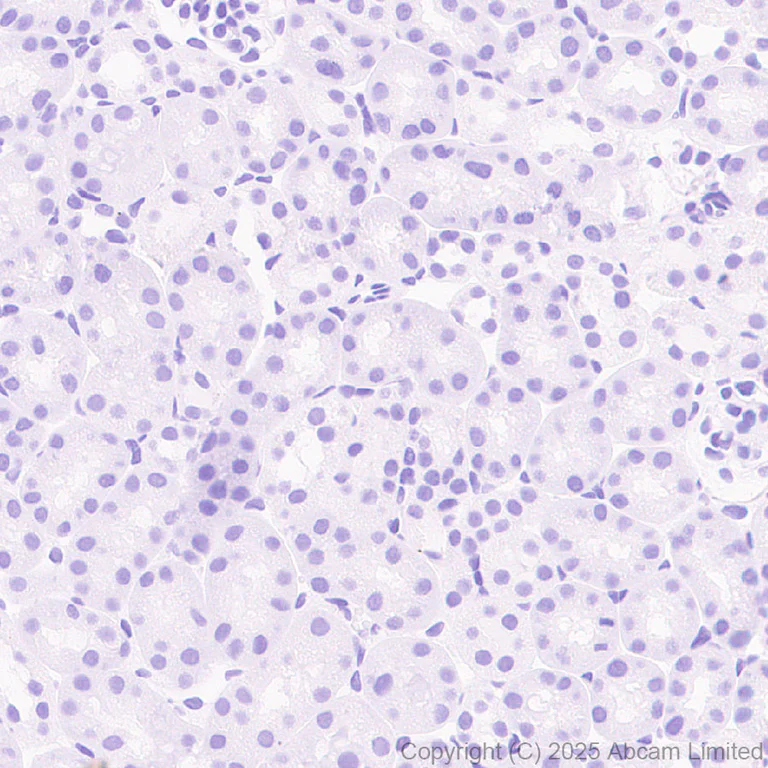
Immunohistochemical analysis of paraffin-embedded Mouse kidney tissue labeling AP2 gamma/TFAP2C with ab324045 at 1/500 (1.026 ug/ml) dilution, followed by a ready to use LeicaDS9800 (Bond™ Polymer Refine Detection).

Negative control : no staining on mouse kidney (PMID : 9765260). The section was incubated with ab324045 for 30 mins at room temperature.
The immunostaining was performed on a Leica Biosystems BOND® RX instrument

Counterstained with Hematoxylin.

Secondary antibody only control : Secondary antibody is a ready to use LeicaDS9800 (Bond™ Polymer Refine Detection).

Heat mediated antigen retrieval was performed with Citrate buffer (pH 6.0, Epitope Retrieval Solution 1) for 20 mins

Multiplex immunohistochemistry - Anti-AP2 gamma/TFAP2C antibody [EPR29851-13] (AB324045)
  • mIHC

Lab

Multiplex immunohistochemistry - Anti-AP2 gamma/TFAP2C antibody [EPR29851-13] (AB324045)

Multiplex immunohistochemistry analysis of formalin/PFA-fixed paraffin-embedded mouse placenta tissue staining PLGF with ab322267 at a 1/2000 dilution, ab324045 anti-AP2 gamma/TFAP2C used at 1/500 dilution and ab182981 anti-CD31 used at a 1/5000 dilution.

Panel A : merged staining of anti-PLGF (green; Opal™520), anti-AP2 gamma/TFAP2C (magenta; Opal™690) and anti-CD31 (gray; Opal™570) on mouse placenta.

Panel B : anti-PLGF showed positive staining in mouse placenta.

Panel C : anti-AP2 gamma/TFAP2C staining trophoblast stem cells in mouse placenta.

Panel D : anti-CD31 staining endothelium in mouse placenta.

Nuclear DNA was labeled with DAPI (shown in blue).

The section was incubated in three rounds of staining : in the order of ab322267, ab324045 and ab182981 for 30 mins at room temperature. Each round was followed by a separate fluorescent tyramide signal amplification system.

The immunostaining was performed on a Leica Biosystems BOND® RX instrument with an Opal™ 4-color kit. Image acquisition was performed with Leica SP8 confocal microscope.

Heat mediated antigen retrieval with Tris-EDTA buffer (pH 9.0, epitope retrieval solution2) for 20 mins.

Multiplex immunohistochemistry - Anti-AP2 gamma/TFAP2C antibody [EPR29851-13] (AB324045)
  • mIHC

Lab

Multiplex immunohistochemistry - Anti-AP2 gamma/TFAP2C antibody [EPR29851-13] (AB324045)

Multiplex immunohistochemistry analysis of formalin/PFA-fixed paraffin-embedded mouse placenta tissue staining LOX 1 with ab317689 at a 1/2000 dilution, ab324045 anti-AP2 gamma used at 1/500 dilution and ab182981 anti-CD31 used at a 1/5000 dilution.

Panel A : merged staining of anti-LOX 1 (green; Opal™520), anti-AP2 gamma (magenta; Opal™690) and anti-CD31 (gray; Opal™570) on mouse placenta.

Panel B : anti-LOX 1 staining trophoblast in mouse placenta.

Panel C : ant-AP2 gamma staining trophoblast stem cell in mouse placenta.

Panel D : ant-CD31 staining endothelium in mouse placenta.

Nuclear DNA was labeled with DAPI (shown in blue).

The section was incubated in three rounds of staining : in the order of ab317689, ab324045 and ab182981 for 30 mins at room temperature. Each round was followed by a separate fluorescent tyramide signal amplification system.

The immunostaining was performed on a Leica Biosystems BOND® RX instrument with an Opal™ 4-color kit. Image acquisition was performed with Leica SP8 confocal microscope.

Heat mediated antigen retrieval was performed with Tris-EDTA buffer (pH 9.0, Epitope Retrieval Solution 2) for 20 mins.

Multiplex immunohistochemistry - Anti-AP2 gamma/TFAP2C antibody [EPR29851-13] (AB324045)
  • mIHC

Lab

Multiplex immunohistochemistry - Anti-AP2 gamma/TFAP2C antibody [EPR29851-13] (AB324045)

Multiplex immunohistochemistry analysis of formalin/PFA-fixed paraffin-embedded mouse placenta tissue staining LOX 1 with ab317689 at a 1/2000 dilution, ab324045 anti-AP2 gamma used at 1/500 dilution and ab182981 anti-CD31 used at a 1/5000 dilution.

Panel A : merged staining of anti-LOX 1 (green; Opal™520), anti-AP2 gamma (magenta; Opal™690) and anti-CD31 (gray; Opal™570) on mouse placenta.

Panel B : anti-LOX 1 staining trophoblast in mouse placenta.

Panel C : ant-AP2 gamma staining trophoblast stem cell in mouse placenta.

Panel D : ant-CD31 staining endothelium in mouse placenta.

Nuclear DNA was labeled with DAPI (shown in blue).

The section was incubated in three rounds of staining : in the order of ab317689, ab324045 and ab182981 for 30 mins at room temperature. Each round was followed by a separate fluorescent tyramide signal amplification system.

The immunostaining was performed on a Leica Biosystems BOND® RX instrument with an Opal™ 4-color kit. Image acquisition was performed with Leica SP8 confocal microscope.

Heat mediated antigen retrieval was performed with Tris-EDTA buffer (pH 9.0, Epitope Retrieval Solution 2) for 20 mins.

Multiplex immunohistochemistry - Anti-AP2 gamma/TFAP2C antibody [EPR29851-13] (AB324045)
  • mIHC

Lab

Multiplex immunohistochemistry - Anti-AP2 gamma/TFAP2C antibody [EPR29851-13] (AB324045)

Multiplex immunohistochemistry analysis of formalin/PFA-fixed paraffin-embedded mouse placenta tissue staining LOX 1 with ab317689 at a 1/2000 dilution, ab324045 anti-AP2 gamma used at 1/500 dilution and ab320823 anti-Trophoblast specific protein alpha used at a 1/1000 dilution.

Panel A : merged staining of anti-LOX 1 (green; Opal™520), anti-AP2 gamma (magenta; Opal™690) and anti-Trophoblast specific protein alpha (gray; Opal™570) on mouse placenta.

Panel B : anti-LOX 1 staining trophoblast in mouse placenta.

Panel C : ant-AP2 gamma staining trophoblast stem cell in mouse placenta.

Panel D : ant-Trophoblast specific protein alpha staining junctional zone in mouse placenta.

Nuclear DNA was labeled with DAPI (shown in blue).

The section was incubated in three rounds of staining : in the order of ab317689, ab324045 and ab320823 for 30 mins at room temperature. Each round was followed by a separate fluorescent tyramide signal amplification system.

The immunostaining was performed on a Leica Biosystems BOND® RX instrument with an Opal™ 4-color kit. Image acquisition was performed with Leica SP8 confocal microscope.

Heat mediated antigen retrieval was performed with Tris-EDTA buffer (pH 9.0, Epitope Retrieval Solution2) for 20 mins.

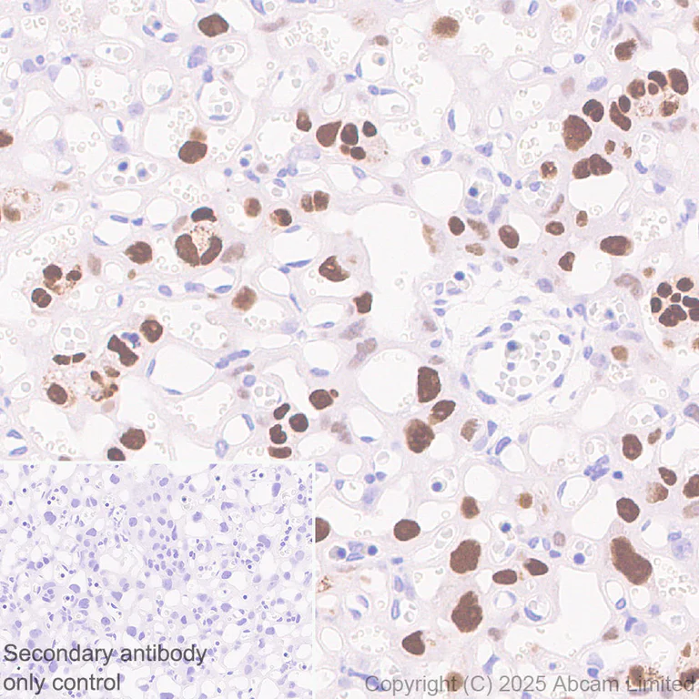
Immunohistochemistry (Formalin/PFA-fixed paraffin-embedded sections) - Anti-AP2 gamma/TFAP2C antibody [EPR29851-13] (AB324045)
  • IHC-P

Supplier Data

Immunohistochemistry (Formalin/PFA-fixed paraffin-embedded sections) - Anti-AP2 gamma/TFAP2C antibody [EPR29851-13] (AB324045)

Immunohistochemical analysis of paraffin-embedded Mouse placenta tissue labeling AP2 gamma/TFAP2C with ab324045 at 1/500 (1.026 ug/ml) dilution, followed by a ready to use LeicaDS9800 (Bond™ Polymer Refine Detection).

Positive staining on mouse placenta (PMID : 9765260). The section was incubated with ab324045 for 30 mins at room temperature.
The immunostaining was performed on a Leica Biosystems BOND® RX instrument

Counterstained with Hematoxylin.

Secondary antibody only control : Secondary antibody is a ready to use LeicaDS9800 (Bond™ Polymer Refine Detection).

Heat mediated antigen retrieval was performed with Citrate buffer (pH 6.0, Epitope Retrieval Solution 1) for 20 mins

Immunocytochemistry/ Immunofluorescence - Anti-AP2 gamma/TFAP2C antibody [EPR29851-13] (AB324045)
  • ICC/IF

Supplier Data

Immunocytochemistry/ Immunofluorescence - Anti-AP2 gamma/TFAP2C antibody [EPR29851-13] (AB324045)

Immunofluorescent analysis of 4% Paraformaldehyde-fixed, 0.1% TritonX-100 permeabilized Rat-1 (rat embryonic fibroblast) cells labelling AP2 gamma/TFAP2C with ab324045 at 1/500 (1.026 ug/ml) dilution, followed by ab150081 Goat Anti-Rabbit IgG H&L (Alexa Fluor® 488) preadsorbed antibody at 1/1000 (2ug/ml) dilution (Green).

Confocal image showing nuclear staining in Rat-1 cell line (shown in green). The counterstain was observed in magenta. Nuclear DNA was labelled with DAPI (shown in blue). Image was taken with a confocal microscope (Leica-Microsystems, TCS SP8).

ab195889 Anti-alpha Tubulin mouse monoclonal antibody - Microtubule Marker (Alexa Fluor® 594) was used to counterstain tubulin at 1/200 (2.5ug/ml) dilution (Magenta).

Secondary antibody only control : Secondary antibody is ab150081 Goat Anti-Rabbit IgG H&L (Alexa Fluor® 488) preadsorbed at 1/1000 (2ug/ml) dilution.

Immunocytochemistry/ Immunofluorescence - Anti-AP2 gamma/TFAP2C antibody [EPR29851-13] (AB324045)
  • ICC/IF

Supplier Data

Immunocytochemistry/ Immunofluorescence - Anti-AP2 gamma/TFAP2C antibody [EPR29851-13] (AB324045)

Immunofluorescent analysis of 4% Paraformaldehyde-fixed, 0.1% TritonX-100 permeabilized ES-D3 [D3] (mouse blastocyst-derived embryonic stem cell) cells labelling AP2 gamma/TFAP2C with ab324045 at 1/500 (1.026 ug/ml) dilution, followed by ab150081 Goat Anti-Rabbit IgG H&L (Alexa Fluor® 488) preadsorbed antibody at 1/1000 (2ug/ml) dilution (Green).

Confocal image showing nuclear staining in ES-D3 [D3] cell line (shown in green). The counterstain was observed in magenta. Nuclear DNA was labelled with DAPI (shown in blue). Image was taken with a confocal microscope (Leica-Microsystems, TCS SP8).
Low expression : MEF (PMID : 32587258)

ab195889 Anti-alpha Tubulin mouse monoclonal antibody - Microtubule Marker (Alexa Fluor® 594) was used to counterstain tubulin at 1/200 (2.5ug/ml) dilution (Magenta).

Secondary antibody only control : Secondary antibody is ab150081 Goat Anti-Rabbit IgG H&L (Alexa Fluor® 488) preadsorbed at 1/1000 (2ug/ml) dilution.

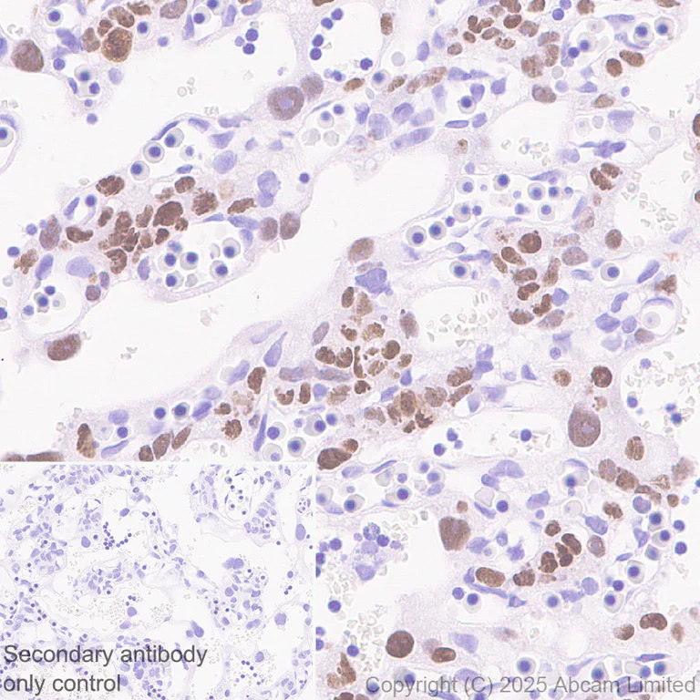
Immunohistochemistry (Formalin/PFA-fixed paraffin-embedded sections) - Anti-AP2 gamma/TFAP2C antibody [EPR29851-13] (AB324045)
  • IHC-P

Supplier Data

Immunohistochemistry (Formalin/PFA-fixed paraffin-embedded sections) - Anti-AP2 gamma/TFAP2C antibody [EPR29851-13] (AB324045)

Immunohistochemical analysis of paraffin-embedded Rat placenta tissue labeling AP2 gamma/TFAP2C with ab324045 at 1/500 (1.026 ug/ml) dilution, followed by a ready to use LeicaDS9800 (Bond™ Polymer Refine Detection).

Positive staining on rat placenta. The section was incubated with ab324045 for 30 mins at room temperature.
The immunostaining was performed on a Leica Biosystems BOND® RX instrument

Counterstained with Hematoxylin.

Secondary antibody only control : Secondary antibody is a ready to use LeicaDS9800 (Bond™ Polymer Refine Detection).

Heat mediated antigen retrieval was performed with Citrate buffer (pH 6.0, Epitope Retrieval Solution 1) for 20 mins

ChIP-sequencing - Anti-AP2 gamma/TFAP2C antibody [EPR29851-13] (AB324045)
  • ChIP-seq

Supplier Data

ChIP-sequencing - Anti-AP2 gamma/TFAP2C antibody [EPR29851-13] (AB324045)

Chromatin was prepared from ES-D3 cells. Cells were fixed with 1% formaldehyde for 10 minutes. ChIP was performed with 5x106 cells and 4 µg of ab324045 [EPR29851-13]. ChIP DNA was sequenced on the Illumina NovaSeq 6000 to a depth of 30 million reads. The Input control is also shown.

Immunoprecipitation - Anti-AP2 gamma/TFAP2C antibody [EPR29851-13] (AB324045)
  • IP

Supplier Data

Immunoprecipitation - Anti-AP2 gamma/TFAP2C antibody [EPR29851-13] (AB324045)

AP2 gamma/TFAP2C was immunoprecipitated from 0.35 mg ES-D3 [D3] (mouse blastocyst-derived embryonic stem cell) whole cell lysate with ab324045 at 1/30 dilution (2ug in 0.35mg lysates). Western blot was performed on the immunoprecipitate using ab324045 at 1000 dilution.

Blocking and dilution buffer and concentration : 5% NFDM/TBST

To minimize protein degradation, cells were lysed immediately after harvest and then applied to a gel and transfer membrane for Western blotting as soon as possible.

All lanes:

Immunoprecipitation - Anti-AP2 gamma/TFAP2C antibody [EPR29851-13] (ab324045) at 1/1000 dilution

Lane 1:

ES-D3 [D3] (mouse blastocyst-derived embryonic stem cell) whole cell lysate at 10 µg

Lane 2:

ab324045 at 1/30 IP in ES-D3 [D3] whole cell lysate at 10 µg

Lane 3:

Rabbit monoclonal IgG (<a href='/products/primary-antibodies/rabbit-igg-monoclonal-epr25a-isotype-control-ab172730'>ab172730</a>) instead of ab324045 in ES-D3 [D3] whole cell lysate at 10 µg

Secondary

All lanes:

Immunoprecipitation - VeriBlot for IP Detection Reagent (HRP) (<a href='/products/reagents/veriblot-for-ip-detection-reagent-hrp-ab131366'>ab131366</a>) at 1/5000 dilution

Observed band size: 49 kDa,51 kDa

false

Exposure time: 180s

ChIP-sequencing - Anti-AP2 gamma/TFAP2C antibody [EPR29851-13] (AB324045)
  • ChIP-seq

Supplier Data

ChIP-sequencing - Anti-AP2 gamma/TFAP2C antibody [EPR29851-13] (AB324045)

Chromatin was prepared from ES-D3 cells. Cells were fixed with 1% formaldehyde for 10 minutes. ChIP was performed with 5x106 cells and 4 µg of ab324045 [EPR29851-13]. ChIP DNA was sequenced on the Illumina NovaSeq 6000 to a depth of 30 million reads. The Input control is also shown.

ChIP-sequencing - Anti-AP2 gamma/TFAP2C antibody [EPR29851-13] (AB324045)
  • ChIP-seq

Supplier Data

ChIP-sequencing - Anti-AP2 gamma/TFAP2C antibody [EPR29851-13] (AB324045)

Chromatin was prepared from ES-D3 cells. Cells were fixed with 1% formaldehyde for 10 minutes. ChIP was performed with 5x106 cells and 4 µg of ab324045 [EPR29851-13]. ChIP DNA was sequenced on the Illumina NovaSeq 6000 to a depth of 30 million reads. The Input control is also shown.

Western blot - Anti-AP2 gamma/TFAP2C antibody [EPR29851-13] (AB324045)
  • WB

Supplier Data

Western blot - Anti-AP2 gamma/TFAP2C antibody [EPR29851-13] (AB324045)

Blocking and diluting buffer and concentration : 5% NFDM/TBST.

Low expression : MEF (PMID : 32587258).

The expression profile/ molecular weight observed is consistent with what has been described in the literature (PMID : 32587258, PMID : 29695788).

In lanes 3-4, the lysates were stored at -80degC prior to Western Blotting. The bands beneath the target band (51 kDa) are likely to be degradation products. In lanes 1-2, To minimize protein degradation, cells were lysed immediately after harvest and then applied to a gel and transfer membrane for Western blotting as soon as possible.

The identity of the bands higher than 75kDa are unknown.

In Western blot, Anti-GAPDH antibody [EPR16891] - Loading Control (ab181602) staining at 1/200000 dilution.

All lanes:

Western blot - Anti-AP2 gamma/TFAP2C antibody [EPR29851-13] (ab324045) at 1/1000 dilution

Lane 1:

ES-D3 D3  (mouse blastocyst-derived embryonic stem cell) fresh whole cell lysate at 50 µg

Lane 2:

MEF (mouse embryo fibroblast) fresh whole cell lysate at 50 µg

Lane 3:

ES-D3 D3  (mouse blastocyst-derived embryonic stem cell) frozen whole cell lysate at 50 µg

Lane 4:

MEF (mouse embryo fibroblast) frozen whole cell lysate at 50 µg

Secondary

All lanes:

Western blot - Goat Anti-Rabbit IgG H&L (HRP) (<a href='/products/secondary-antibodies/goat-rabbit-igg-h-l-hrp-ab97051'>ab97051</a>) at 1/20000 dilution

Observed band size: 49 kDa,51 kDa,36 kDa

false

Exposure time: 8s

Western blot - Anti-AP2 gamma/TFAP2C antibody [EPR29851-13] (AB324045)
  • WB

Supplier Data

Western blot - Anti-AP2 gamma/TFAP2C antibody [EPR29851-13] (AB324045)

Blocking and diluting buffer and concentration : 5% NFDM/TBST.

Negative control : kidney (PMID : 9765260).

The expression profile/ molecular weight observed is consistent with what has been described in the literature (PMID : 32587258, PMID : 29695788).

The identity of the bands higher than 75kDa are unknown.

In Western blot, Anti-GAPDH antibody [EPR16891] - Loading Control (ab181602) staining at 1/200000 dilution.

All lanes:

Western blot - Anti-AP2 gamma/TFAP2C antibody [EPR29851-13] (ab324045) at 1/1000 dilution

Lane 1:

Rat-1 (rat embryonic fibroblast) whole cell lysate at 50 µg

Lane 2:

Mouse placenta tissue lysate at 50 µg

Lane 3:

Mouse kidney tissue lysate at 50 µg

Lane 4:

Rat placenta tissue lysate at 50 µg

Lane 5:

Rat kidney tissue lysate at 50 µg

Secondary

All lanes:

Western blot - Goat Anti-Rabbit IgG H&L (HRP) (<a href='/products/secondary-antibodies/goat-rabbit-igg-h-l-hrp-ab97051'>ab97051</a>) at 1/20000 dilution

Observed band size: 49 kDa,51 kDa,36 kDa

false

Exposure time: 180s

ChIC/CUT&RUN sequencing - Anti-AP2 gamma/TFAP2C antibody [EPR29851-13] (AB324045)
  • ChIC/CUT&RUN-seq

Supplier Data

ChIC/CUT&RUN sequencing - Anti-AP2 gamma/TFAP2C antibody [EPR29851-13] (AB324045)

ChIC/CUT&RUN was performed using a pAG-MNase at a final concentration of 700 ng/mL, 2.5 x 105 ES-D3 [D3] (mouse blastocyst-derived embryonic stem cell) cells and 5 µg of ab324045 [EPR29851-13]. The resulting DNA was sequenced on the Illumina NovaSeq 6000 to a depth of 10 million reads. The negative IgG control ab172730 is also shown.

The University of Geneva owns patents relevant to ChIC (Chromatin Immuno-Cleavage) methods.

ChIC/CUT&RUN sequencing - Anti-AP2 gamma/TFAP2C antibody [EPR29851-13] (AB324045)
  • ChIC/CUT&RUN-seq

Supplier Data

ChIC/CUT&RUN sequencing - Anti-AP2 gamma/TFAP2C antibody [EPR29851-13] (AB324045)

ChIC/CUT&RUN was performed using a pAG-MNase at a final concentration of 700 ng/mL, 2.5 x 105 ES-D3 [D3] (mouse blastocyst-derived embryonic stem cell) cells and 5 µg of ab324045 [EPR29851-13]. The resulting DNA was sequenced on the Illumina NovaSeq 6000 to a depth of 10 million reads. The negative IgG control ab172730 is also shown.

The University of Geneva owns patents relevant to ChIC (Chromatin Immuno-Cleavage) methods.

ChIC/CUT&RUN sequencing - Anti-AP2 gamma/TFAP2C antibody [EPR29851-13] (AB324045)
  • ChIC/CUT&RUN-seq

Supplier Data

ChIC/CUT&RUN sequencing - Anti-AP2 gamma/TFAP2C antibody [EPR29851-13] (AB324045)

ChIC/CUT&RUN was performed using a pAG-MNase at a final concentration of 700 ng/mL, 2.5 x 105 ES-D3 [D3] (mouse blastocyst-derived embryonic stem cell) cells and 5 µg of ab324045 [EPR29851-13]. The resulting DNA was sequenced on the Illumina NovaSeq 6000 to a depth of 10 million reads. The negative IgG control ab172730 is also shown.

The University of Geneva owns patents relevant to ChIC (Chromatin Immuno-Cleavage) methods.

关键信息

宿主种属

Rabbit

克隆

Monoclonal

克隆号

EPR29851-13

亚型

IgG

不含载体蛋白

No

反应种属

Mouse, Rat

应用

ChIP-seq, IP, ICC/IF, mIHC, ChIC/CUT&RUN-seq, IHC-P, WB

applications

免疫原

The exact immunogen used to generate this antibody is proprietary information.

反应性数据

{ "title": "Reactivity Data", "filters": { "stats": ["", "Species", "Dilution Info", "Notes"], "tabs": { "all-applications": {"fullname" : "All Applications", "shortname": "All Applications"}, "IP" : {"fullname" : "Immunoprecipitation", "shortname":"IP"}, "ICCIF" : {"fullname" : "Immunocytochemistry/ Immunofluorescence", "shortname":"ICC/IF"}, "IHCP" : {"fullname" : "Immunohistochemistry (Formalin/PFA-fixed paraffin-embedded sections)", "shortname":"IHC-P"}, "WB" : {"fullname" : "Western blot", "shortname":"WB"}, "ChIPseq" : {"fullname" : "ChIP-sequencing", "shortname":"ChIP-seq"}, "ChICCUTRUNseq" : {"fullname" : "ChIC/CUT&RUN sequencing", "shortname":"ChIC/CUT&RUN-seq"}, "mIHC" : {"fullname" : "Multiplex immunohistochemistry", "shortname":"mIHC"} }, "product-promise": { "all": "all", "testedAndGuaranteed": "tested", "guaranteed": "expected", "predicted": "predicted", "notRecommended": "not-recommended" } }, "values": { "Mouse": { "IP-species-checked": "testedAndGuaranteed", "IP-species-dilution-info": "1/30", "IP-species-notes": "<p></p>", "ICCIF-species-checked": "testedAndGuaranteed", "ICCIF-species-dilution-info": "1/500", "ICCIF-species-notes": "<p></p>", "IHCP-species-checked": "testedAndGuaranteed", "IHCP-species-dilution-info": "1/500", "IHCP-species-notes": "<p></p> Perform heat-mediated antigen retrieval with citrate buffer pH 6 before commencing with IHC staining protocol.", "WB-species-checked": "testedAndGuaranteed", "WB-species-dilution-info": "1/1000", "WB-species-notes": "<p></p>", "ChIPseq-species-checked": "testedAndGuaranteed", "ChIPseq-species-dilution-info": "4 µg", "ChIPseq-species-notes": "<p></p>", "ChICCUTRUNseq-species-checked": "testedAndGuaranteed", "ChICCUTRUNseq-species-dilution-info": "5 µg", "ChICCUTRUNseq-species-notes": "<p></p>", "mIHC-species-checked": "testedAndGuaranteed", "mIHC-species-dilution-info": "1/500", "mIHC-species-notes": "<p></p> Perform heat-mediated antigen retrieval with Tris/EDTA buffer pH 9.0 before commencing with IHC staining protocol." }, "Rat": { "IP-species-checked": "guaranteed", "IP-species-dilution-info": "", "IP-species-notes": "", "ICCIF-species-checked": "testedAndGuaranteed", "ICCIF-species-dilution-info": "1/500", "ICCIF-species-notes": "<p></p>", "IHCP-species-checked": "testedAndGuaranteed", "IHCP-species-dilution-info": "1/500", "IHCP-species-notes": "<p></p> Perform heat-mediated antigen retrieval with citrate buffer pH 6 before commencing with IHC staining protocol.", "WB-species-checked": "testedAndGuaranteed", "WB-species-dilution-info": "1/1000", "WB-species-notes": "<p></p>", "ChIPseq-species-checked": "guaranteed", "ChIPseq-species-dilution-info": "", "ChIPseq-species-notes": "", "ChICCUTRUNseq-species-checked": "guaranteed", "ChICCUTRUNseq-species-dilution-info": "", "ChICCUTRUNseq-species-notes": "", "mIHC-species-checked": "testedAndGuaranteed", "mIHC-species-dilution-info": "1/500", "mIHC-species-notes": "<p></p> Perform heat-mediated antigen retrieval with Tris/EDTA buffer pH 9.0 before commencing with IHC staining protocol." } } }

产品详情

Patented technology
Our RabMAb® technology is a patented hybridoma-based technology for making rabbit monoclonal antibodies. For details on our patents, please refer to RabMAb® patents.

What are the advantages of a recombinant monoclonal antibody?
This product is a recombinant monoclonal antibody, which offers several advantages including:

  • - High batch-to-batch consistency and reproducibility
  • - Improved sensitivity and specificity
  • - Long-term security of supply
  • - Animal-free batch production

For more information, read more on recombinant antibodies.

性能和储存信息

形式
Liquid
纯化工艺
Affinity purification Protein A
存储溶液
pH: 7.2 - 7.4 Preservative: 0.01% Sodium azide Constituents: PBS, 40% Glycerol (glycerin, glycerine), 0.05% BSA
运输条件
Blue Ice
推荐的短期储存时间
1-2 weeks
推荐的短期储存条件
+4°C
推荐的长期储存条件
-20°C
分装信息
Upon delivery aliquot
储存信息
Avoid freeze / thaw cycle

产品实验方案

For this product, it's our understanding that no specific protocols are required. You can visit:

靶点信息

Sequence-specific DNA-binding transcription factor that interacts with cellular enhancer elements to regulate transcription of selected genes, and which plays a key role in early embryonic development (PubMed : 38243114, PubMed : 8660922). AP-2 factors bind to the consensus sequence 5'-GCCNNNGGC-3' and activate genes involved in a large spectrum of important biological functions (PubMed : 38243114, PubMed : 8660922). TFAP2C plays a key role in early embryonic development by regulating both inner cell mass (ICM) and trophectoderm differentiation (PubMed : 38243114). At the 8-cell stage, during morula development, controls expression of cell-polarity genes (PubMed : 38243114). Upon trophoblast commitment, binds to late trophectoderm genes in blastocysts together with CDX2, and later to extra-embryonic ectoderm genes together with SOX2 (PubMed : 38243114). Binds to both closed and open chromatin with other transcription factors (PubMed : 38243114).
See full target information Tfap2c

Abcam Product Promise

我们致力于为您的研究提供高质量的试剂,为您科研的每一步提供支持。若我们的产品未能达到预期性能,我们向您提供 Abcam Product Promise 保障。
详情请参阅我们的条款与条件。

Please note: All products are 'FOR RESEARCH USE ONLY. NOT FOR USE IN DIAGNOSTIC OR THERAPEUTIC PROCEDURES'.

For licensing inquiries, please contact partnerships@abcam.com