JavaScript is disabled in your browser. Please enable JavaScript to view this website.
AB181829

重组Anti-Anterior Gradient 2抗体[EPR3278] - BSA and Azide free

Anti-Anterior Gradient 2 antibody [EPR3278] - BSA and Azide free

Be the first to review this product! Submit a review

|

(1 Publication)

Rabbit Recombinant Monoclonal Anterior Gradient 2 antibody. Carrier free. Suitable for IHC-P, IP, WB, ICC/IF, Flow Cyt (Intra) and reacts with Human samples. Cited in 1 publication.

查看别名

AG2, UNQ515/PRO1030, AGR2, Anterior gradient protein 2 homolog, AG-2, hAG-2, HPC8, Secreted cement gland protein XAG-2 homolog

5 Images
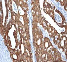
Immunohistochemistry (Formalin/PFA-fixed paraffin-embedded sections) - Anti-Anterior Gradient 2 antibody [EPR3278] - BSA and Azide free (AB181829)
  • IHC-P

Unknown

Immunohistochemistry (Formalin/PFA-fixed paraffin-embedded sections) - Anti-Anterior Gradient 2 antibody [EPR3278] - BSA and Azide free (AB181829)

ab76473, at 1/500 dilution, staining Anterior Gradient 2 in paraffin-embedded human colon tissue by Immunohistochemistry.

This data was developed using the same antibody clone in a different buffer formulation containing PBS, BSA, glycerol, and sodium azide (ab76473).

Perform heat mediated antigen retrieval before commencing with IHC staining protocol.

Immunocytochemistry/ Immunofluorescence - Anti-Anterior Gradient 2 antibody [EPR3278] - BSA and Azide free (AB181829)
  • ICC/IF

Lab

Immunocytochemistry/ Immunofluorescence - Anti-Anterior Gradient 2 antibody [EPR3278] - BSA and Azide free (AB181829)

Immunocytochemistry/ Immunofluorescence analysis of MCF7 (human breast adenocarcinoma epithelial cell) cells labeling Anterior Gradient 2 with purified ab76473 at 1/100 dilution (3.5 μg/mL). Cells were fixed in 100% Methanol. Cells were counterstained with ab195889 Anti-alpha Tubulin antibody [DM1A] - Microtubule Marker (Alexa Fluor® 594) 1/200 (2.5 μg/mL). Goat anti rabbit IgG (Alexa Fluor® 488, ab150077) was used as the secondary antibody at 1/1000 (2 μg/mL) dilution. DAPI (blue) was used as nuclear counterstain. ab195889 Anti-alpha Tubulin antibody [DM1A] - Microtubule Marker (Alexa Fluor® 594) 1/200 (2.5 μg/mL) was used as the secondary antibody only control.

This data was developed using the same antibody clone in a different buffer formulation containing PBS, BSA, glycerol, and sodium azide (ab76473).

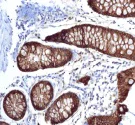
Immunohistochemistry (Formalin/PFA-fixed paraffin-embedded sections) - Anti-Anterior Gradient 2 antibody [EPR3278] - BSA and Azide free (AB181829)
  • IHC-P

Unknown

Immunohistochemistry (Formalin/PFA-fixed paraffin-embedded sections) - Anti-Anterior Gradient 2 antibody [EPR3278] - BSA and Azide free (AB181829)

ab76473, at 1/500 dilution, staining Anterior Gradient 2 in paraffin-embedded human endometrium adenocarcinoma by Immunohistochemistry.

This data was developed using the same antibody clone in a different buffer formulation containing PBS, BSA, glycerol, and sodium azide (ab76473).

Perform heat mediated antigen retrieval before commencing with IHC staining protocol.

Flow Cytometry (Intracellular) - Anti-Anterior Gradient 2 antibody [EPR3278] - BSA and Azide free (AB181829)
  • Flow Cyt (Intra)

Lab

Flow Cytometry (Intracellular) - Anti-Anterior Gradient 2 antibody [EPR3278] - BSA and Azide free (AB181829)

This data was developed using ab76473, the same antibody clone in a different buffer formulation. Intracellular Flow Cytometry analysis of HT-29 (Human colorectal adenocarcinoma epithelial cell) cells labeling Anterior Gradient 2 with purified ab76473 at 1/40 dilution (10 μg/mL) (Red). Cells were fixed with 4% Paraformaldehyde and permeabilised with 90% Methanol. A Goat anti rabbit IgG (Alexa Fluor® 488, ab150077) secondary antibody was used at 1/2000. Isotype control - Rabbit monoclonal IgG (Black). Unlabeled control - Cells without incubation with primary antibody and secondary antibody (Blue).

Immunoprecipitation - Anti-Anterior Gradient 2 antibody [EPR3278] - BSA and Azide free (AB181829)
  • IP

Lab

Immunoprecipitation - Anti-Anterior Gradient 2 antibody [EPR3278] - BSA and Azide free (AB181829)

This data was developed using ab76473, the same antibody clone in a different buffer formulation.
Purified ab76473 at 1/20 dilution (2μg) immunoprecipitating Anterior Gradient 2 in HT-29 whole cell lysate.
Lane 1 (input) : HT-29 (Human colorectal adenocarcinoma epithelial cell) whole cell lysate 10μg
Lane 2 (+) : ab76473 + HT-29 whole cell lysate.
Lane 3 (-) : Rabbit monoclonal IgG (ab172730) instead of ab76473 in HT-29 whole cell lysate.
VeriBlot for IP Detection Reagent (HRP) (ab131366) (1/1000 dilution) was used for Western blotting.
Blocking Buffer and concentration : 5% NFDM/TBST.
Diluting buffer and concentration : 5% NFDM/TBST.
Observed band size : 17 kDa

All lanes:

Immunoprecipitation - Anti-Anterior Gradient 2 antibody [EPR3278] (<a href='/products/primary-antibodies/anterior-gradient-2-antibody-epr3278-ab76473'>ab76473</a>)

Predicted band size: 19 kDa

false

不同偶联物与剂型 (9)

  • Unconjugated

    Anti-Anterior Gradient 2 antibody [EPR3278]

  • 775 Alexa Fluor® 750

    Alexa Fluor® 750 Anti-Anterior Gradient 2 antibody [EPR3278]

  • 519 Alexa Fluor® 488

    Alexa Fluor® 488 Anti-Anterior Gradient 2 antibody [EPR3278]

  • 660 APC

    APC Anti-Anterior Gradient 2 antibody [EPR3278]

  • HRP

    HRP Anti-Anterior Gradient 2 antibody [EPR3278]

  • 603 Alexa Fluor® 568

    Alexa Fluor® 568 Anti-Anterior Gradient 2 antibody [EPR3278]

  • 578 PE

    PE Anti-Anterior Gradient 2 antibody [EPR3278]

  • 617 Alexa Fluor® 594

    Alexa Fluor® 594 Anti-Anterior Gradient 2 antibody [EPR3278]

  • 665 Alexa Fluor® 647

    Alexa Fluor® 647 Anti-Anterior Gradient 2 antibody [EPR3278]

关键信息

宿主种属

Rabbit

克隆

Monoclonal

克隆号

EPR3278

亚型

IgG

不含载体蛋白

Yes

反应种属

Human

应用

IP, WB, ICC/IF, IHC-P, Flow Cyt (Intra)

applications

免疫原

The exact immunogen used to generate this antibody is proprietary information.

反应性数据

{ "title": "Reactivity Data", "filters": { "stats": ["", "Species", "Dilution Info", "Notes"], "tabs": { "all-applications": {"fullname" : "All Applications", "shortname": "All Applications"}, "IHCP" : {"fullname" : "Immunohistochemistry (Formalin/PFA-fixed paraffin-embedded sections)", "shortname":"IHC-P"}, "IP" : {"fullname" : "Immunoprecipitation", "shortname":"IP"}, "WB" : {"fullname" : "Western blot", "shortname":"WB"}, "ICCIF" : {"fullname" : "Immunocytochemistry/ Immunofluorescence", "shortname":"ICC/IF"}, "FlowCytIntra" : {"fullname" : "Flow Cytometry (Intracellular)", "shortname":"Flow Cyt (Intra)"} }, "product-promise": { "all": "all", "testedAndGuaranteed": "tested", "guaranteed": "expected", "predicted": "predicted", "notRecommended": "not-recommended" } }, "values": { "Human": { "IHCP-species-checked": "testedAndGuaranteed", "IHCP-species-dilution-info": "", "IHCP-species-notes": "<p></p>", "IP-species-checked": "testedAndGuaranteed", "IP-species-dilution-info": "", "IP-species-notes": "<p></p>", "WB-species-checked": "guaranteed", "WB-species-dilution-info": "", "WB-species-notes": "<p></p>", "ICCIF-species-checked": "testedAndGuaranteed", "ICCIF-species-dilution-info": "", "ICCIF-species-notes": "<p></p>", "FlowCytIntra-species-checked": "testedAndGuaranteed", "FlowCytIntra-species-dilution-info": "", "FlowCytIntra-species-notes": "<p><a href='/products/primary-antibodies/rabbit-igg-monoclonal-epr25a-isotype-control-low-endotoxin-azide-free-ab199376'>ab199376</a> - Rabbit monoclonal IgG, is suitable for use as an isotype control with this antibody.</p>" } } }

产品详情

ab181829 is the carrier-free version of ab76473.

Species reactivity
Mouse, Rat: We have preliminary internal testing data to indicate this antibody may not react with these species.
Please contact us for more information.

Patented technology
Our RabMAb® technology is a patented hybridoma-based technology for making rabbit monoclonal antibodies. For details on our patents, please refer to RabMAb® patents.

What are the advantages of a recombinant monoclonal antibody?
This product is a recombinant monoclonal antibody, which offers several advantages including:

  • - High batch-to-batch consistency and reproducibility
  • - Improved sensitivity and specificity
  • - Long-term security of supply
  • - Animal-free batch production

For more information, read more on recombinant antibodies.

Conjugation ready
Our carrier-free antibodies are typically supplied in a PBS-only formulation, purified and free of BSA, sodium azide and glycerol. This conjugation-ready format is designed for use with fluorochromes, metal isotopes, oligonucleotides, and enzymes, which makes them ideal for antibody labelling, functional and cell-based assays, flow-based assays (e.g. mass cytometry) and Multiplex Imaging applications.

Use our conjugation kits for antibody conjugates that are ready-to-use in as little as 20 minutes with 1 minute hands-on-time and 100% antibody recovery: available for fluorescent dyes, HRP, biotin and gold.

Compatibility
This product is compatible with the Maxpar® Antibody Labeling Kit from Fluidigm, without the need for antibody preparation. Maxpar® is a trademark of Fluidigm Canada Inc.

性能和储存信息

形式
Liquid
纯化工艺
Affinity purification Protein A
存储溶液
Constituents: PBS
运输条件
Blue Ice
推荐的短期储存条件
+4°C
推荐的长期储存条件
+4°C
储存信息
Do Not Freeze

补充信息

This supplementary information is collated from multiple sources and compiled automatically.

Anterior Gradient 2 (AG2) also known as AGR2 is a protein with a molecular weight of approximately 20 kDa. This protein is a member of the protein disulfide isomerase family and has an important mechanical role in facilitating protein folding within the endoplasmic reticulum. The protein exists mainly in epithelial tissues and notably in the gastrointestinal tract with high expression also found in the pancreas and lungs. AG2 is characterized by its interaction with various client proteins assisting in their proper folding and stability.
Biological function summary

The anterior gradient protein influences cellular processes such as proliferation and differentiation often playing a role in cellular adhesion and migration. This protein does not work alone but instead can form complexes with other molecules enhancing its functional capabilities. Such interactions highlight its significance in maintaining normal cell physiology and response to external stimuli.

Pathways

Anterior gradient protein participates in key signaling pathways including the Wnt signaling pathway and the unfolded protein response (UPR). Through these pathways AG2 associates with proteins like β-catenin influencing gene transcription and cellular outcomes. In the UPR its role is important in managing cellular stress and maintaining homeostasis by regulating protein folding and quality control mechanisms.

Anterior gradient protein shows strong associations with cancer particularly in tumors such as breast and lung cancer where it is often overexpressed. Its involvement links closely with proteins like MUC1 which is found in tumors suggesting a role in promoting cancer progression and metastasis. Additionally AG2 can be related to inflammatory bowel diseases where its dysregulation may result in epithelial barrier dysfunction and contribute to the pathology.

产品实验方案

For this product, it's our understanding that no specific protocols are required. You can visit:

靶点信息

Required for MUC2 post-transcriptional synthesis and secretion. May play a role in the production of mucus by intestinal cells (By similarity). Proto-oncogene that may play a role in cell migration, cell differentiation and cell growth. Promotes cell adhesion (PubMed : 23274113).
See full target information AGR2

文献 (1)

Recent publications for all applications. Explore the full list and refine your search

PLoS pathogens 15:e1007963 PubMed31381610

2019

The alpha-1 subunit of the Na+,K+-ATPase (ATP1A1) is required for macropinocytic entry of respiratory syncytial virus (RSV) in human respiratory epithelial cells.

Applications

Unspecified application

Species

Unspecified reactive species

Matthias Lingemann,Thomas McCarty,Xueqiao Liu,Ursula J Buchholz,Sonja Surman,Scott E Martin,Peter L Collins,Shirin Munir
View all publications

Abcam Product Promise

我们致力于为您的研究提供高质量的试剂,为您科研的每一步提供支持。若我们的产品未能达到预期性能,我们向您提供 Abcam Product Promise 保障。
详情请参阅我们的条款与条件。

Please note: All products are 'FOR RESEARCH USE ONLY. NOT FOR USE IN DIAGNOSTIC OR THERAPEUTIC PROCEDURES'.

For licensing inquiries, please contact partnerships@abcam.com