JavaScript is disabled in your browser. Please enable JavaScript to view this website.
AB32136

Anti-Amyloid Precursor Protein 抗体 [Y188]

Anti-Amyloid Precursor Protein antibody [Y188]

  • BOND RX™ Validated
  • 20ul selling size
  • RabMAb
  • Recombinant
  • KO Validated
  • 了解详情

4

(9 Reviews)

|

(329 Publications)

Anti-Amyloid Precursor Protein antibody [Y188] (ab32136) is a rabbit monoclonal antibody detecting Amyloid Precursor Protein in Western Blot, IP, IHC-P, ICC/IF. Suitable for Human, Mouse, Rat.

- KO validated for confirmed specificity
- Biophysical QC for unrivalled batch-batch consistency
- Over 240 publications
- Trusted since 2006

查看别名

A4, AD1, APP, Amyloid-beta precursor protein, ABPP, APPI, Alzheimer disease amyloid A4 protein homolog, Alzheimer disease amyloid protein, Amyloid precursor protein, Amyloid-beta (A4) precursor protein, Amyloid-beta A4 protein, Cerebral vascular amyloid peptide, PreA4, Protease nexin-II, CVAP, PN-II

13 Images
Immunohistochemistry (Formalin/PFA-fixed paraffin-embedded sections) - Anti-Amyloid Precursor Protein antibody [Y188] (AB32136)
  • IHC-P

Lab

Immunohistochemistry (Formalin/PFA-fixed paraffin-embedded sections) - Anti-Amyloid Precursor Protein antibody [Y188] (AB32136)

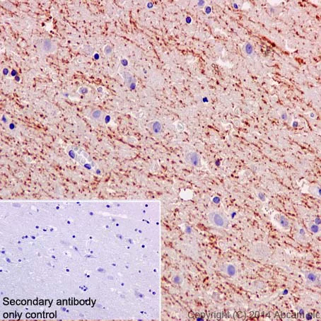
Immunohistochemical analysis of formalin fixed paraffin embedded human cerebral cortex labelling Amyloid Precursor Protein with ab32136 at a concentration of 0.5µg/ml. The immunostaining was performed on a Ventana DISCOVERY ULTRA (Roche Tissue Diagnostics) instrument with a OptiView DAB IHC Detection Kit. Heat mediated antigen retrieval was performed with DISCOVERY cell conditioning solution (CC1) 100°C, pH8.5 for 32mins.

ab32136 anti-Amyloid Precursor Protein antibody [Y188] was incubated for 16mins at 37°C. Sections were counterstained with Hematoxylin II. Image inset shows absence of staining in secondary antibody only control.

Customers are encouraged to optimise antigen retrieval conditions, antibody concentration, incubation times and temperature for best results in their own IHC assay workflow (automated and manual)

Immunohistochemistry (Formalin/PFA-fixed paraffin-embedded sections) - Anti-Amyloid Precursor Protein antibody [Y188] (AB32136)
  • IHC-P

Lab

Immunohistochemistry (Formalin/PFA-fixed paraffin-embedded sections) - Anti-Amyloid Precursor Protein antibody [Y188] (AB32136)

Immunohistochemical analysis of paraffin-embedded human Alzheimer's brain tissue* labelling APP with ab32136 at 1ug/ml followed by a ready to use LeicaDS9800 (Bond Polymer Refine Detection).

Positive staining in human Alzheimer's brain.

The section was incubated with ab32136 for 30 mins at room temperature. The immunostaining was performed on a Leica Biosystems BOND® RX instrument. Counterstained with Hematoxylin.

Secondary antibody only control : Secondary antibody is a ready to use LeicaDS9800 (Bond Polymer Refine Detection).

Heat mediated antigen retrieval with sodium citrate buffer (pH 6.0 epitope retrieval solution1) for 20 mins.

*Tissue obtained from the Human Research Tissue Bank, supported by the NIHR Cambridge Biomedical Research Centre.

Immunohistochemistry (Formalin/PFA-fixed paraffin-embedded sections) - Anti-Amyloid Precursor Protein antibody [Y188] (AB32136)
  • IHC-P

Lab

Immunohistochemistry (Formalin/PFA-fixed paraffin-embedded sections) - Anti-Amyloid Precursor Protein antibody [Y188] (AB32136)

Immunohistochemical analysis of formalin fixed paraffin embedded human cerebral cortex labelling Amyloid Precursor Protein with ab32136 at a concentration of 0.025µg/ml. The immunostaining was performed on a Leica Biosystems BOND® RX instrument with a Bond™ Polymer Refine Detection kit. Heat mediated antigen retrieval was performed with Tris-EDTA buffer (pH 9.0, Epitope Retrieval Solution 2) for 20mins.

ab32136 anti-Amyloid Precursor Protein antibody [Y188] was incubated for 15mins at room temperature. Sections were counterstained with Hematoxylin. Image inset shows absence of staining in secondary antibody only control.

Customers are encouraged to optimise antigen retrieval conditions, antibody concentration, incubation times and temperature for best results in their own IHC assay workflow (automated and manual)

Immunocytochemistry/ Immunofluorescence - Anti-Amyloid Precursor Protein antibody [Y188] (AB32136)
  • ICC/IF

Unknown

Immunocytochemistry/ Immunofluorescence - Anti-Amyloid Precursor Protein antibody [Y188] (AB32136)

Immunofluorescence staining of SH-SY5Y cells with purified ab32136 at a working dilution of 1 in 100, counter-stained with DAPI. Tubulin was stained with mouse anti-tubulin at a dilution of 1/1000 (ab7291) and Alexa Fluor® 594 goat anti-mouse at a dilution of 1/500 (ab150120) . The secondary antibody was ab150077 Alexa Fluor® 488 goat anti rabbit, used at a dilution of 1 in 500. The cells were fixed in 4% PFA and permeabilized using 0.1% Triton X 100. The negative controls are shown in the bottom middle and right hand panels - for the first negative control, purified ab32136 was used at a dilution of 1/200 followed by an Alexa Fluor® 555 goat anti-mouse antibody at a dilution of 1/500 and for the second negative control mouse primary antibody (ab7291) and anti-rabbit secondary antibody (ab15007) were used.

Immunohistochemistry (Formalin/PFA-fixed paraffin-embedded sections) - Anti-Amyloid Precursor Protein antibody [Y188] (AB32136)
  • IHC-P

Unknown

Immunohistochemistry (Formalin/PFA-fixed paraffin-embedded sections) - Anti-Amyloid Precursor Protein antibody [Y188] (AB32136)

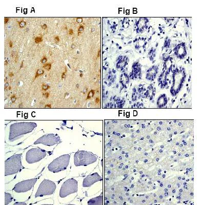
Unpurified ab32136, at a 1/250 dilution, staining Amyloid beta precursor protein by immunohistochemistry.
Positive immunohistochemical staining, using paraffin embedded human brain tissue (A).
Negative immunohistochemical staining, using human breast (B), skeletal muscle (C) and liver (D) tissues.
Tissues were stained in parallel on the same Normal Tissue Array.

Perform heat mediated antigen retrieval before commencing with IHC staining protocol.

Immunohistochemistry (Formalin/PFA-fixed paraffin-embedded sections) - Anti-Amyloid Precursor Protein antibody [Y188] (AB32136)
  • IHC-P

Unknown

Immunohistochemistry (Formalin/PFA-fixed paraffin-embedded sections) - Anti-Amyloid Precursor Protein antibody [Y188] (AB32136)

Immunohistochemical staining of paraffin embedded human gliocytoma with purified ab32136 at a working dilution of 1/500. The secondary antibody used is ab97051, a HRP-conjugated goat anti-rabbit IgG (H+L), at a dilution of 1/500. The sample is counter-stained with hematoxylin. Antigen retrieval was perfomed using Tris-EDTA buffer, pH 9.0. PBS was used instead of the primary antibody as the negative control, and is shown in the inset.

Immunocytochemistry/ Immunofluorescence - Anti-Amyloid Precursor Protein antibody [Y188] (AB32136)
  • ICC/IF

Unknown

Immunocytochemistry/ Immunofluorescence - Anti-Amyloid Precursor Protein antibody [Y188] (AB32136)

ab32136 staining Amyloid Precursor Protein in wild-type HEK293 cells (top panel) and APP knockout HEK293 cells (ab255362) (bottom panel). The cells were fixed with 100% methanol (5 min) then permeabilized with 0.1% Triton X-100 for 5 minutes and then blocked with 1% BSA/10% normal goat serum/0.3M glycine in 0.1% PBS-Tween for 1h. The cells were then incubated with ab32136 at 1/500 dilution and ab7291 (Mouse monoclonal to alpha Tubulin) at 1/1000 dilution overnight at 4°C followed by a further incubation at room temperature for 1h with a goat secondary antibody to rabbit IgG (Alexa Fluor® 488) (ab150081) at 2 μg/ml (shown in green) and a goat secondary antibody to mouse IgG (Alexa Fluor® 594) (ab150120) at 2 μg/ml (shown in red). Nuclear DNA was labelled in blue with DAPI.
Image was taken with a confocal microscope (Leica-Microsystems TCS SP8).

Immunoprecipitation - Anti-Amyloid Precursor Protein antibody [Y188] (AB32136)
  • IP

Unknown

Immunoprecipitation - Anti-Amyloid Precursor Protein antibody [Y188] (AB32136)

ab32136 (purified) at 1/30 immunoprecipitating amyloid beta precursor protein in A431 (Lane 1). Lane 2 - PBS. For western blotting a HRP-conjugated anti-rabbit IgG specific to the non-reduced form of IgG was used as the secondary antibody (1/1500). Blocking buffer and concentration : 5% NFDM/TBST. Diluting buffer and concentration : 5% NFDM /TBST.

All lanes:

Immunoprecipitation - Anti-Amyloid Precursor Protein antibody [Y188] (ab32136)

Predicted band size: 86 kDa

false

Western blot - Anti-Amyloid Precursor Protein antibody [Y188] (AB32136)
  • WB

Unknown

Western blot - Anti-Amyloid Precursor Protein antibody [Y188] (AB32136)

Blocking buffer : 5% NFDM/TBST

Dilution buffer : 5% NFDM/TBST

All lanes:

Western blot - Anti-Amyloid Precursor Protein antibody [Y188] (ab32136) at 1/20000 dilution

Lane 1:

HeLa cell lysate at 20 µg

Lane 2:

Human fetal brain tissue lysate at 20 µg

Lane 3:

HEK293 cell lysate at 20 µg

Secondary

All lanes:

HRP goat anti-rabbit (H+L) at 1/1000 dilution

Predicted band size: 86 kDa

Observed band size: 95 kDa

false

Western blot - Anti-Amyloid Precursor Protein antibody [Y188] (AB32136)
  • WB

Unknown

Western blot - Anti-Amyloid Precursor Protein antibody [Y188] (AB32136)

All lanes:

Western blot - Anti-Amyloid Precursor Protein antibody [Y188] (ab32136) at 1/20000 dilution

All lanes:

Hela cell lysate

Predicted band size: 86 kDa

Observed band size: 110 kDa,95 kDa

false

Western blot - Anti-Amyloid Precursor Protein antibody [Y188] (AB32136)
  • WB

Lab

Western blot - Anti-Amyloid Precursor Protein antibody [Y188] (AB32136)

Western blot : Anti-APP antibody [Y188] (ab32136) staining at 1/20000 dilution, shown in green; Mouse anti-Alpha Tubulin [DM1A] (ab7291) loading control staining at 1/20000 dilution, shown in red. In Western blot, ab32136 was shown to bind specifically to APP. A band was observed at 80-130 kDa in wild-type HAP1 and HEK-293T cell lysates with no signal observed at this size in both APP knockout cell lines. To generate this image, wild-type and APP knockout HAP1 and HEK-293T cell lysates were analysed. First, samples were run on an SDS-PAGE gel then transferred onto a nitrocellulose membrane. Membranes were blocked in 5% milk in TBS-0.1% Tween® 20 (TBS-T) before incubation with primary antibodies overnight at 4°C. Blots were washed four times in TBS-T, incubated with secondary antibodies for 1 h at room temperature, washed again four times then imaged. Secondary antibodies used were Goat anti-Rabbit IgG H&L 800CW and Goat anti-Mouse IgG H&L 680RD at 1/20000 dilution.

Lanes 1 - 7:

Western blot - Anti-Amyloid Precursor Protein antibody [Y188] (ab32136) at 1/20000 dilution

Lanes 1 - 7:

Western blot - Anti-Amyloid Precursor Protein antibody [Y188] - BSA and Azide free (<a href='/products/primary-antibodies/amyloid-precursor-protein-antibody-y188-bsa-and-azide-free-ab256586'>ab256586</a>)

Lane 1:

Wild-type HAP1 cell lysate at 20 µg

Lane 2:

APP knockout HAP1 cell lysate at 20 µg

Lane 3:

Wild-type HEK-293T cell lysate at 20 µg

Lane 4:

APP knockout HEK-293T cell lysate at 20 µg

Lane 5:

Human Hippocampus cell lysate at 20 µg

Lane 6:

U-87 MG cell lysate at 20 µg

Lane 7:

K562 cell lysate at 20 µg

Observed band size: 80-130 kDa

false

Western blot - Anti-Amyloid Precursor Protein antibody [Y188] (AB32136)
  • WB

AbReview32570****

Western blot - Anti-Amyloid Precursor Protein antibody [Y188] (AB32136)

Blocked with 5% milk

All lanes:

Western blot - Anti-Amyloid Precursor Protein antibody [Y188] (ab32136) at 1/1000 dilution

All lanes:

Mouse spleen whole cell lysate at 100 µg

Secondary

All lanes:

HRP-conjugated goat anti-rabbit polyclonal IgG at 1/4000 dilution

Predicted band size: 86 kDa

Observed band size: 125 kDa,95 kDa

true

Exposure time: 10min

This image is courtesy of an anonymous Abreview

Western blot - Anti-Amyloid Precursor Protein antibody [Y188] (AB32136)
  • WB

Unknown

Western blot - Anti-Amyloid Precursor Protein antibody [Y188] (AB32136)

Blocking buffer : 5% NFDM/TBST

Dilution buffer : 5% NFDM/TBST

All lanes:

Western blot - Anti-Amyloid Precursor Protein antibody [Y188] (ab32136) at 1/20000 dilution

Lane 1:

Mouse brain tissue lysate at 20 µg

Lane 2:

Rat brain tissue lysate at 20 µg

Secondary

All lanes:

HRP goat anti-rabbit (H+L) at 1/1000 dilution

Predicted band size: 86 kDa

Observed band size: 95 kDa

false

不同偶联物与剂型 (9)

  • HRP

    HRP Anti-Amyloid Precursor Protein antibody [Y188]

  • 578 PE

    PE Anti-Amyloid Precursor Protein antibody [Y188]

  • Carrier free

    Anti-Amyloid Precursor Protein antibody [Y188] - BSA and Azide free

  • 603 Alexa Fluor® 568

    Alexa Fluor® 568 Anti-Amyloid Precursor Protein antibody [Y188]

  • 519 Alexa Fluor® 488

    Alexa Fluor® 488 Anti-Amyloid Precursor Protein antibody [Y188]

  • 665 Alexa Fluor® 647

    Alexa Fluor® 647 Anti-Amyloid Precursor Protein antibody [Y188]

  • 565 Alexa Fluor® 555

    Alexa Fluor® 555 Anti-Amyloid Precursor Protein antibody [Y188]

  • 617 Alexa Fluor® 594

    Alexa Fluor® 594 Anti-Amyloid Precursor Protein antibody [Y188]

  • 775 Alexa Fluor® 750

    Alexa Fluor® 750 Anti-Amyloid Precursor Protein antibody [Y188]

关键信息

宿主种属

Rabbit

克隆

Monoclonal

克隆号

Y188

亚型

IgG

不含载体蛋白

No

反应种属

Mouse, Rat, Human

应用

IP, WB, IHC-P, ICC/IF

applications

免疫原

The exact immunogen used to generate this antibody is proprietary information.

特异性

The antibody detects the C-terminal fragment of APP (APP-CTF).

The immunogen used for this product is within Human Amyloid Precursor Protein aa 750 to the C-terminus and therefore may detect gamma secretase fragments 50, 57 and 59 in addition to fragments C31, C80, C83 and C99. Cross-reactivity with these fragments has not been confirmed experimentally.

反应性数据

{ "title": "Reactivity Data", "filters": { "stats": ["", "Species", "Dilution Info", "Notes"], "tabs": { "all-applications": {"fullname" : "All Applications", "shortname": "All Applications"}, "IHCP" : {"fullname" : "Immunohistochemistry (Formalin/PFA-fixed paraffin-embedded sections)", "shortname":"IHC-P"}, "IP" : {"fullname" : "Immunoprecipitation", "shortname":"IP"}, "FlowCytIntra" : {"fullname" : "Flow Cytometry (Intracellular)", "shortname":"Flow Cyt (Intra)"}, "FlowCyt" : {"fullname" : "Flow Cytometry", "shortname":"Flow Cyt"}, "WB" : {"fullname" : "Western blot", "shortname":"WB"}, "ICCIF" : {"fullname" : "Immunocytochemistry/ Immunofluorescence", "shortname":"ICC/IF"} }, "product-promise": { "all": "all", "testedAndGuaranteed": "tested", "guaranteed": "expected", "predicted": "predicted", "notRecommended": "not-recommended" } }, "values": { "Human": { "IHCP-species-checked": "testedAndGuaranteed", "IHCP-species-dilution-info": "1/500", "IHCP-species-notes": "<p></p> Perform heat-mediated antigen retrieval before commencing with IHC staining protocol.", "IP-species-checked": "testedAndGuaranteed", "IP-species-dilution-info": "1/30", "IP-species-notes": "<p></p>", "FlowCytIntra-species-checked": "notRecommended", "FlowCytIntra-species-dilution-info": "", "FlowCytIntra-species-notes": "", "FlowCyt-species-checked": "notRecommended", "FlowCyt-species-dilution-info": "", "FlowCyt-species-notes": "<p></p>", "WB-species-checked": "testedAndGuaranteed", "WB-species-dilution-info": "1/20000", "WB-species-notes": "<p><strong>For unpurified, use 1/100 - 1/10000.</strong></p>", "ICCIF-species-checked": "testedAndGuaranteed", "ICCIF-species-dilution-info": "1/100 - 1/500", "ICCIF-species-notes": "<p></p>" }, "Mouse": { "IHCP-species-checked": "guaranteed", "IHCP-species-dilution-info": "", "IHCP-species-notes": "", "IP-species-checked": "guaranteed", "IP-species-dilution-info": "", "IP-species-notes": "", "FlowCytIntra-species-checked": "notRecommended", "FlowCytIntra-species-dilution-info": "", "FlowCytIntra-species-notes": "<p></p>", "FlowCyt-species-checked": "notRecommended", "FlowCyt-species-dilution-info": "", "FlowCyt-species-notes": "", "WB-species-checked": "testedAndGuaranteed", "WB-species-dilution-info": "1/20000", "WB-species-notes": "<p><strong>For unpurified, use 1/100 - 1/10000.</strong></p>", "ICCIF-species-checked": "guaranteed", "ICCIF-species-dilution-info": "", "ICCIF-species-notes": "" }, "Rat": { "IHCP-species-checked": "guaranteed", "IHCP-species-dilution-info": "", "IHCP-species-notes": "", "IP-species-checked": "guaranteed", "IP-species-dilution-info": "", "IP-species-notes": "", "FlowCytIntra-species-checked": "notRecommended", "FlowCytIntra-species-dilution-info": "", "FlowCytIntra-species-notes": "", "FlowCyt-species-checked": "notRecommended", "FlowCyt-species-dilution-info": "", "FlowCyt-species-notes": "<p></p>", "WB-species-checked": "testedAndGuaranteed", "WB-species-dilution-info": "1/20000", "WB-species-notes": "<p><strong>For unpurified, use 1/100 - 1/10000.</strong></p>", "ICCIF-species-checked": "guaranteed", "ICCIF-species-dilution-info": "", "ICCIF-species-notes": "" } } }

产品详情

Anti-Amyloid Precursor Protein antibody [Y188] (ab32136) was developed by Abcam using patented rabbit monoclonal antibody technology and is validated for use in ICC/IF, IHC-P, IP and WB.

Anti-Amyloid Precursor Protein antibody [Y188] (ab32136) was first used in a scientific publication in 1984 and has been cited over 242 times in peer reviewed journals. It's performance in Western Blot in human, mouse and rat samples is trusted by the scientific community.

Abcam's high quality manufacturing and validation processes ensure Anti-Amyloid Precursor Protein antibody [Y188] (ab32136) has high sensitivity and specificity alongside high lot-to-lot consistency and reproducibility.

The specificity of Anti-Amyloid Precursor Protein antibody [Y188] (ab32136) has been confirmed by Western Blot testing in Amyloid Precursor Protein knockout HEK-293T cells.

Anti-Amyloid Precursor Protein antibody [Y188] (ab32136) has 8 independent reviews from customers.

Anti-Amyloid Precursor Protein antibody [Y188] (ab32136) specifically detects Amyloid Precursor Protein (UniProt ID: P05067; Molecular weight: 86kDa) and is sold in a convenient trial size to enable initial testing (20 µL) and larger sizes for subsequent scaling up experiments (100 µL and 1 mL).

Conjugation-ready, carrier free format available for antibody clone Y188 - ab220793.

Antibody clone Y188 is also available pre-conjugated to a variety of labels for your convenience - HRP, PE, Alexa Fluor® 488, Alexa Fluor® 647, Alexa Fluor® 594, Alexa Fluor® 568, Alexa Fluor® 555, Alexa Fluor® 750 (ab199550, ab208744, ab310994, ab311119, ab311748, ab313028, ab313229, ab321579).

APP (Amyloid Precursor Protein) is a critical protein in neuro research, particularly for its role in the pathogenesis of Alzheimer's disease (AD). It is cleaved to produce amyloid-beta (beta-Amyloid, A-beta) peptides, which aggregate to form plaques, a hallmark of AD pathology. Researchers use APP to study the mechanisms of amyloid-beta production, aggregation and its effects on neuronal function and survival, making it essential for understanding and developing treatments for AD. Its expression and processing are key factors in the progression of neurodegenerative conditions.

Patented technology
Our RabMAb® technology is a patented hybridoma-based technology for making rabbit monoclonal antibodies. For details on our patents, please refer to RabMAb® patents.

What are the advantages of a recombinant monoclonal antibody?
This product is a recombinant monoclonal antibody, which offers several advantages including:

  • - High batch-to-batch consistency and reproducibility
  • - Improved sensitivity and specificity
  • - Long-term security of supply
  • - Animal-free batch production

For more information, read more on recombinant antibodies.

性能和储存信息

形式
Liquid
纯化工艺
Affinity purification Protein A
存储溶液
pH: 7.2 - 7.4 Preservative: 0.01% Sodium azide Constituents: PBS, 40% Glycerol (glycerin, glycerine), 0.05% BSA
运输条件
Blue Ice
推荐的短期储存条件
+4°C
推荐的长期储存条件
-20°C
分装信息
Upon delivery aliquot
储存信息
Avoid freeze / thaw cycle

补充信息

This supplementary information is collated from multiple sources and compiled automatically.

The Amyloid Precursor Protein (APP) also known as amyloid protein is a transmembrane protein that is approximately 695 to 770 amino acids in length depending on the isoform. The molecular mass of APP can vary but typically falls around 100 to 140 kDa. It is heavily expressed in the central nervous system particularly in neurons but also in other tissues like muscle and kidney. The APP undergoes proteolytic processing which leads to the generation of various fragments including beta-amyloid peptides.
Biological function summary

The processing of APP plays a fundamental role in neuronal growth survival and repair. APP is cleaved into fragments that can regulate synaptic function and plasticity. It does not operate as a part of a complex but interacts with various cellular components. The protein participates in signaling pathways influencing cellular adhesion motility and neurite outgrowth. APP’s numerous interaction partners facilitate its involvement in different cellular processes highlighting its critical role in normal cell function.

Pathways

The APP is a central component in the amyloidogenic pathway where its cleavage by beta-secretase and gamma-secretase yields beta-amyloid. This pathway is one of two primary metabolic routes for APP—alternative enzymatic processing through the non-amyloidogenic pathway precludes beta-amyloid formation releasing peptides that do not aggregate. Enzymes like BACE1 (beta-secretase 1) and presenilin are important in the amyloidogenic pathway directly resulting in the production of the neurotoxic amyloid beta-peptide.

APP is intensely linked to Alzheimer's disease and cerebral amyloid angiopathy. Accumulation of beta-amyloid peptides formed from APP cleavage is a hallmark of Alzheimer's disease leading to plaque formation in the brain. This aggregation impacts neuronal function and is associated with neurodegenerative processes. Interactions with proteins like tau are significant as tau also plays an essential role in Alzheimer's disease pathology. Misprocessing of APP and the resulting beta-amyloid aggregates are also contributors to cerebral amyloid angiopathy where deposits within cerebrovascular walls compromise vascular integrity.

产品实验方案

For this product, it's our understanding that no specific protocols are required. You can visit:

靶点信息

Functions as a cell surface receptor and performs physiological functions on the surface of neurons relevant to neurite growth, neuronal adhesion and axonogenesis. Interaction between APP molecules on neighboring cells promotes synaptogenesis (PubMed : 25122912). Involved in cell mobility and transcription regulation through protein-protein interactions. Can promote transcription activation through binding to APBB1-KAT5 and inhibits Notch signaling through interaction with Numb. Couples to apoptosis-inducing pathways such as those mediated by G(o) and JIP. Inhibits G(o) alpha ATPase activity (By similarity). Acts as a kinesin I membrane receptor, mediating the axonal transport of beta-secretase and presenilin 1 (By similarity). By acting as a kinesin I membrane receptor, plays a role in axonal anterograde transport of cargo towards synapses in axons (PubMed : 17062754, PubMed : 23011729). Involved in copper homeostasis/oxidative stress through copper ion reduction. In vitro, copper-metallated APP induces neuronal death directly or is potentiated through Cu(2+)-mediated low-density lipoprotein oxidation. Can regulate neurite outgrowth through binding to components of the extracellular matrix such as heparin and collagen I and IV. The splice isoforms that contain the BPTI domain possess protease inhibitor activity. Induces a AGER-dependent pathway that involves activation of p38 MAPK, resulting in internalization of amyloid-beta peptide and leading to mitochondrial dysfunction in cultured cortical neurons. Provides Cu(2+) ions for GPC1 which are required for release of nitric oxide (NO) and subsequent degradation of the heparan sulfate chains on GPC1.. Amyloid-beta peptides are lipophilic metal chelators with metal-reducing activity. Bind transient metals such as copper, zinc and iron. In vitro, can reduce Cu(2+) and Fe(3+) to Cu(+) and Fe(2+), respectively. Amyloid-beta protein 42 is a more effective reductant than amyloid-beta protein 40. Amyloid-beta peptides bind to lipoproteins and apolipoproteins E and J in the CSF and to HDL particles in plasma, inhibiting metal-catalyzed oxidation of lipoproteins. APP42-beta may activate mononuclear phagocytes in the brain and elicit inflammatory responses. Promotes both tau aggregation and TPK II-mediated phosphorylation. Interaction with overexpressed HADH2 leads to oxidative stress and neurotoxicity. Also binds GPC1 in lipid rafts.. Appicans elicit adhesion of neural cells to the extracellular matrix and may regulate neurite outgrowth in the brain.. The gamma-CTF peptides as well as the caspase-cleaved peptides, including C31, are potent enhancers of neuronal apoptosis.
See full target information APP

文献 (329)

Recent publications for all applications. Explore the full list and refine your search

Journal of neuroinflammation 22:209 PubMed40883774

2025

Circulatory extracellular vesicles transport complement C1q for promoting neuronal amyloid-β production in Alzheimer's disease.

Applications

Unspecified application

Species

Unspecified reactive species

Yang Yu,Wenjun Xiao,Zhixin Ma,Xiaomei Yi,Tianyu Zhong,Zhigang Li

Proceedings of the National Academy of Sciences of the United States of America 122:e2503988122 PubMed40838881

2025

Negative interplay between HIV-1 Gag and amyloid precursor protein centers around competition for VPS4A and TSG101.

Applications

Unspecified application

Species

Unspecified reactive species

Feng Gu,Mojgan H Naghavi

Molecular neurodegeneration 20:92 PubMed40830489

2025

Early intervention anti-Aβ immunotherapy attenuates microglial activation without inducing exhaustion at residual plaques.

Applications

Unspecified application

Species

Unspecified reactive species

Lis de Weerd,Selina Hummel,Stephan A Müller,Iñaki Paris,Thomas Sandmann,Marie Eichholtz,Robin Gröger,Amelie L Englert,Stephan Wagner,Connie Ha,Sonnet S Davis,Valerie Warkins,Dan Xia,Brigitte Nuscher,Anna Berghofer,Marvin Reich,Astrid F Feiten,Kai Schlepckow,Michael Willem,Stefan F Lichtenthaler,Joseph W Lewcock,Kathryn M Monroe,Matthias Brendel,Christian Haass

Aging brain 8:100148 PubMed40823654

2025

Lipofuscin autofluorescence confounds intracellular amyloid β detection in the aged mouse brain.

Applications

Unspecified application

Species

Unspecified reactive species

Godfried Dougnon,Hideaki Matsui

Alzheimer's research & therapy 17:170 PubMed40702546

2025

New insights into the 17β-hydroxysteroid dehydrogenase type 10 and amyloid-β 42 derived cytotoxicity relevant to Alzheimer's disease.

Applications

Unspecified application

Species

Unspecified reactive species

Aneta Houfková,Monika Schmidt,Ondřej Benek,Ivo Fabrik,Rudolf Andrýs,Lucie Zemanová,Ondřej Soukup,Kamil Musílek

Extracellular vesicle 5: PubMed40642206

2025

Engineering ARMMs for improved intracellular delivery of CRISPR-Cas9.

Applications

Unspecified application

Species

Unspecified reactive species

Zunwei Chen,Qiyu Wang,Quan Lu

World journal of psychiatry 15:105751 PubMed40574756

2025

Increased expression of the neuroplastin 65 protein is involved in neurofibrillary tangles and amyloid beta plaques in Alzheimer's disease.

Applications

Unspecified application

Species

Unspecified reactive species

Ya-Ni Zheng,Yan Wang,Ling Chen,Li-Zhang Xu,Lei Zhang,Jia-Lu Wang,Juan Liu,Qi-Lei Zhang,Qiong-Lan Yuan

Acta neuropathologica 149:51 PubMed40411591

2025

Annexin A6 membrane repair protein protects against amyloid-induced dystrophic neurites and tau phosphorylation in Alzheimer's disease model mice.

Applications

Unspecified application

Species

Unspecified reactive species

Katherine R Sadleir,Karen P Gomez,Abigail E Edwards,Armana J Patel,Makenna L Ley,Ammaarah W Khatri,Joanna Guo,Shreya Mahesh,Elyse A Watkins,Jelena Popovic,Devi Krishna Priya Karunakaran,Dmitry Prokopenko,Rudolph E Tanzi,Bernabe Bustos,Steven J Lubbe,Alexis R Demonbruen,Elizabeth M McNally,Robert Vassar

Alzheimer's research & therapy 17:95 PubMed40301979

2025

The autocrine motility factor receptor delays the pathological progression of Alzheimer's disease via regulating the ubiquitination-mediated degradation of APP.

Applications

Unspecified application

Species

Unspecified reactive species

Jingjing Zhang,Congcong Liu,Jing Liu,Yuting Cui,Yuli Hou,Qiao Song,Xiaomin Zhang,Xiaoling Wang,Qian Zhang,Min Cao,Wenchao Wang,Peichang Wang,Yaqi Wang

eLife 13: PubMed40266681

2025

APP β-CTF triggers cell-autonomous synaptic toxicity independent of Aβ.

Applications

Unspecified application

Species

Unspecified reactive species

Mengxun Luo,Jia Zhou,Cailu Sun,Wanjia Chen,Chaoying Fu,Chenfang Si,Yaoyang Zhang,Yang Geng,Yelin Chen
View all publications

Abcam Product Promise

我们致力于为您的研究提供高质量的试剂,为您科研的每一步提供支持。若我们的产品未能达到预期性能,我们向您提供 Abcam Product Promise 保障。
详情请参阅我们的条款与条件。

Please note: All products are 'FOR RESEARCH USE ONLY. NOT FOR USE IN DIAGNOSTIC OR THERAPEUTIC PROCEDURES'.

For licensing inquiries, please contact partnerships@abcam.com