JavaScript is disabled in your browser. Please enable JavaScript to view this website.
AB210714

重组Anti-AMPK alpha 1抗体[Y365] - BSA and Azide free

Anti-AMPK alpha 1 antibody [Y365] - BSA and Azide free

Be the first to review this product! Submit a review

|

(1 Publication)

Rabbit Recombinant Monoclonal AMPK alpha 1 antibody. Carrier free. Suitable for IP, WB, ICC/IF, Flow Cyt (Intra), IHC-P and reacts with Human, Mouse, Rat samples. Cited in 1 publication.

查看别名

AMPK1, PRKAA1, 5'-AMP-activated protein kinase catalytic subunit alpha-1, AMPK subunit alpha-1, Acetyl-CoA carboxylase kinase, Hydroxymethylglutaryl-CoA reductase kinase, Tau-protein kinase PRKAA1, ACACA kinase, HMGCR kinase

11 Images
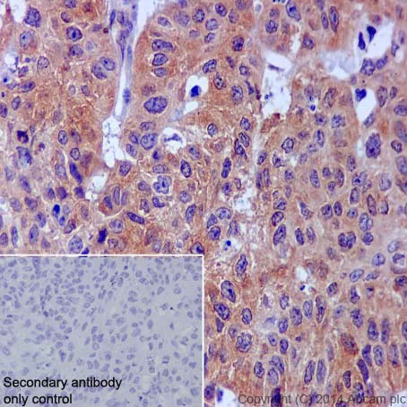
Immunohistochemistry (Formalin/PFA-fixed paraffin-embedded sections) - Anti-AMPK alpha 1 antibody [Y365] - BSA and Azide free (AB210714)
  • IHC-P

Unknown

Immunohistochemistry (Formalin/PFA-fixed paraffin-embedded sections) - Anti-AMPK alpha 1 antibody [Y365] - BSA and Azide free (AB210714)

Immunohistochemistry (Formalin/PFA-fixed paraffin-embedded sections) analaysis of human cervical carcinoma tissue labelling AMPK alpha 1 with unpurified ab32047 at a dilution of 1/100.

This data was developed using the same antibody clone in a different buffer formulation containing PBS, BSA, glycerol, and sodium azide (ab32047).

Perform heat mediated antigen retrieval with Tris/EDTA buffer pH 9.0 before commencing with IHC staining protocol.

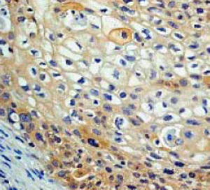
Immunohistochemistry (Formalin/PFA-fixed paraffin-embedded sections) - Anti-AMPK alpha 1 antibody [Y365] - BSA and Azide free (AB210714)
  • IHC-P

Unknown

Immunohistochemistry (Formalin/PFA-fixed paraffin-embedded sections) - Anti-AMPK alpha 1 antibody [Y365] - BSA and Azide free (AB210714)

Immunohistochemistry (Formalin/PFA-fixed paraffin-embedded sections) analysis of human lung carcinoma tissue labelling AMPK alpha 1 with purified ab32047 at 1/100. Heat mediated antigen retrieval was performed using Tris/EDTA buffer pH 9. ab97051, a HRP-conjugated goat anti-rabbit IgG (H+L) was used as the secondary antibody (1/500). Negative control using PBS instead of primary antibody. Counterstained with hematoxylin.

This data was developed using the same antibody clone in a different buffer formulation containing PBS, BSA, glycerol, and sodium azide (ab32047).

Immunocytochemistry/ Immunofluorescence - Anti-AMPK alpha 1 antibody [Y365] - BSA and Azide free (AB210714)
  • ICC/IF

Unknown

Immunocytochemistry/ Immunofluorescence - Anti-AMPK alpha 1 antibody [Y365] - BSA and Azide free (AB210714)

Immunocytochemistry/Immunofluorescence analysis of MCF7 cells labelling AMPK alpha 1 with purified ab32047 at 1/250. Cells were fixed with 4% paraformaldehyde and permeabilized with 0.1% Triton X-100. ab150077, an Alexa Fluor® 488-conjugated goat anti-rabbit IgG (1/500) was used as the secondary antibody. DAPI (blue) was used as the nuclear counterstain. ab7291, a mouse anti-tubulin (1/1000) and ab150120, an Alexa Fluor® 594-conjugated goat anti-mouse IgG (1/500) were also used.

Control 1 : primary antibody (1/250) and secondary antibody, ab150120, an Alexa Fluor® 594-conjugated goat anti-mouse IgG (1/500).

Control 2 : ab7291 (1/1000) and secondary antibody, ab150077, an Alexa Fluor® 488-conjugated goat anti-rabbit IgG (1/500).

This data was developed using the same antibody clone in a different buffer formulation containing PBS, BSA, glycerol, and sodium azide (ab32047).

Flow Cytometry (Intracellular) - Anti-AMPK alpha 1 antibody [Y365] - BSA and Azide free (AB210714)
  • Flow Cyt (Intra)

Unknown

Flow Cytometry (Intracellular) - Anti-AMPK alpha 1 antibody [Y365] - BSA and Azide free (AB210714)

Overlay histogram showing HeLa cells stained with unpurified ab32047 (red line). The cells were fixed with 80% methanol (5 min) and then permeabilized with 0.1% PBS-Tween for 20 min. The cells were then incubated in 1x PBS / 10% normal goat serum / 0.3M glycine to block non-specific protein-protein interactions followed by the antibody (unpurified ab32047, 1/100 dilution) for 30 min at 22°C. The secondary antibody used was DyLight® 488 goat anti-rabbit IgG (H+L) (ab96899) at 1/500 dilution for 30 min at 22°C. Isotype control antibody (black line) was rabbit IgG (monoclonal) (1μg/1x106 cells) used under the same conditions. Unlabelled sample (blue line) was also used as a control. Acquisition of >5,000 events were collected using a 20mW Argon ion laser (488nm) and 525/30 bandpass filter.

This data was developed using the same antibody clone in a different buffer formulation containing PBS, BSA, glycerol, and sodium azide (ab32047).

Flow Cytometry (Intracellular) - Anti-AMPK alpha 1 antibody [Y365] - BSA and Azide free (AB210714)
  • Flow Cyt (Intra)

Unknown

Flow Cytometry (Intracellular) - Anti-AMPK alpha 1 antibody [Y365] - BSA and Azide free (AB210714)

Intracellular Flow Cytometry analysis of HeLa cells labelling AMPK alpha 1 with purified ab32047 at 1/150 (red). Cells were fixed with 2% paraformaldehyde. A FITC-conjugated goat anti-rabbit IgG (1/150) was used as the secondary antibody. Black - Isotype control, rabbit monoclonal IgG. Blue - Unlabelled control, cells without incubation with primary and secondary antibodies.

This data was developed using the same antibody clone in a different buffer formulation containing PBS, BSA, glycerol, and sodium azide (ab32047).

Immunoprecipitation - Anti-AMPK alpha 1 antibody [Y365] - BSA and Azide free (AB210714)
  • IP

Unknown

Immunoprecipitation - Anti-AMPK alpha 1 antibody [Y365] - BSA and Azide free (AB210714)

ab32047 (purified) at 1/40 immunoprecipitating AMPK alpha 1 in HeLa whole cell lysate.

Lane 1 (input) : HeLa whole cell lysate (10μg)

Lane 2 (+) : ab32047 + HeLa whole cell lysate (10μg).

Lane 3 (-) : Rabbit monoclonal IgG (ab172730) instead of ab32047 in HeLa whole cell lysate.

For western blotting, VeriBlot for IP Detection Reagent (HRP) (ab131366), was used for detection at 1/1500 dilution.

Blocking buffer and concentration : 5% NFDM/TBST.

Diluting buffer and concentration : 5% NFDM /TBST.

This data was developed using the same antibody clone in a different buffer formulation containing PBS, BSA, glycerol, and sodium azide (ab32047).

All lanes:

Immunoprecipitation - Anti-AMPK alpha 1 antibody [Y365] (<a href='/products/primary-antibodies/ampk-alpha-1-antibody-y365-ab32047'>ab32047</a>)

Predicted band size: 64 kDa

Observed band size: 63 kDa

false

Western blot - Anti-AMPK alpha 1 antibody [Y365] - BSA and Azide free (AB210714)
  • WB

Lab

Western blot - Anti-AMPK alpha 1 antibody [Y365] - BSA and Azide free (AB210714)

Blocking/Diluting buffer and concentration : 5% NFDM/TBST.

This antibody shows low sensitivity in mouse samples.
This data was developed using the same antibody clone in a different buffer formulation containing PBS, BSA, glycerol, and sodium azide (ab32047).

All lanes:

Western blot - Anti-AMPK alpha 1 antibody [Y365] (<a href='/products/primary-antibodies/ampk-alpha-1-antibody-y365-ab32047'>ab32047</a>) at 1/500 dilution

Lane 1:

HepG2 (human liver hepatocellular carcinoma cell line) whole cell lysate at 20 µg

Lane 2:

NIH/3T3 (Mouse embryonic fibroblast) whole cell lysate at 20 µg

Lane 3:

Mouse liver tissue lysate at 20 µg

Lane 4:

Mouse brain tissue lysate at 20 µg

Lane 5:

Mouse kidney tissue lysate at 20 µg

Lane 6:

Mouse retina tissue lysate at 20 µg

Lane 7:

Mouse skeletal muscle tissue lysate at 20 µg

Secondary

All lanes:

Western blot - Goat Anti-Rabbit IgG H&L (HRP) (<a href='/products/secondary-antibodies/goat-rabbit-igg-h-l-hrp-ab97051'>ab97051</a>) at 1/20000 dilution

Predicted band size: 64 kDa

Observed band size: 40 kDa,63 kDa

false

Exposure time: 3min

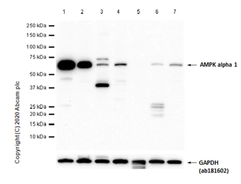
Western blot - Anti-AMPK alpha 1 antibody [Y365] - BSA and Azide free (AB210714)
  • WB

Lab

Western blot - Anti-AMPK alpha 1 antibody [Y365] - BSA and Azide free (AB210714)

Blocking and dilution buffer and concentration : 5% NFDM/TBST.

This antibody shows low sensitivity in mouse and rat samples.

This data was developed using the same antibody clone in a different buffer formulation containing PBS, BSA, glycerol, and sodium azide (ab32047).

All lanes:

Western blot - Anti-AMPK alpha 1 antibody [Y365] (<a href='/products/primary-antibodies/ampk-alpha-1-antibody-y365-ab32047'>ab32047</a>) at 1/20000 dilution

Lane 1:

MCF7 (Human breast adenocarcinoma epithelial cell) whole cell lysate at 20 µg

Lane 2:

HepG2 (Human hepatocellular carcinoma epithelial cell) whole cell lysate at 20 µg

Lane 3:

HeLa (Human cervix adenocarcinoma epithelial cell) whole cell lysate at 20 µg

Lane 4:

K-562 (Human chronic myelogenous leukemia lymphoblast) whole cell lysate at 20 µg

Lane 5:

C6 (Rat glial tumor glial cell) whole cell lysate at 20 µg

Lane 6:

Neuro-2a (Mouse neuroblastoma neuroblast) whole cell lysate at 20 µg

Lane 7:

NIH/3T3 (Mouse embryonic fibroblast) whole cell lysate at 20 µg

Secondary

All lanes:

Western blot - Goat Anti-Rabbit IgG H&L (HRP) (<a href='/products/secondary-antibodies/goat-rabbit-igg-h-l-hrp-ab97051'>ab97051</a>) at 1/20000 dilution

Predicted band size: 64 kDa

Observed band size: 63 kDa

false

Exposure time: 180s

Western blot - Anti-AMPK alpha 1 antibody [Y365] - BSA and Azide free (AB210714)
  • WB

Lab

Western blot - Anti-AMPK alpha 1 antibody [Y365] - BSA and Azide free (AB210714)

This data was developed using the same antibody clone in a different buffer formulation containing PBS, BSA, glycerol, and sodium azide (ab32047).

Blocking and diluting buffer and concentration : 5% NFDM /TBST.

ab181602 was used as a GAPDH loading control at 1/1000000 dilution.

This blot was developed using a higher sensitivity ECL substrate.

Compared with ab32047, ab271188 has higher sensitivity, we recommend ab271188 as an alternative for testing AMPK alpha 1 in mouse and rat samples in western blot.

Lanes 1 - 8:

Western blot - Anti-AMPK alpha 1 antibody [Y365] (<a href='/products/primary-antibodies/ampk-alpha-1-antibody-y365-ab32047'>ab32047</a>) at 1/1000 dilution

Lanes 1 - 8:

Western blot - Anti-AMPK alpha 1 antibody [EPR24413-70] (<a href='/products/primary-antibodies/ampk-alpha-1-antibody-epr24413-70-ab271188'>ab271188</a>) at 1/1000 dilution

Lane 1:

NIH/3T3 (mouse embryonic fibroblast) whole cell lysate at 20 µg

Lane 2:

Neuro-2a (mouse neuroblastoma neuroblast) whole cell lysate at 20 µg

Lane 3:

C6 (rat glial tumor glial cell) whole cell lysate at 20 µg

Lane 4:

Mouse brain tissue lysate at 20 µg

Lane 5:

Mouse heart tissue lysate at 20 µg

Lane 6:

Mouse skeletal muscle tissue lysate at 20 µg

Lane 7:

Rat brain tissue lysate at 20 µg

Lane 8:

Rat heart tissue lysate at 20 µg

Secondary

All lanes:

Western blot - Goat Anti-Rabbit IgG H&L (HRP) (<a href='/products/secondary-antibodies/goat-rabbit-igg-h-l-hrp-ab97051'>ab97051</a>) at 1/100000 dilution

Observed band size: 64 kDa

true

Exposure time: 180s

Western blot - Anti-AMPK alpha 1 antibody [Y365] - BSA and Azide free (AB210714)
  • WB

Lab

Western blot - Anti-AMPK alpha 1 antibody [Y365] - BSA and Azide free (AB210714)

False colour image of Western blot : Anti-AMPK alpha 1 antibody [Y365] staining at 1/1000 dilution, shown in green; Mouse anti-GAPDH antibody [6C5] (ab8245) loading control staining at 1/20000 dilution, shown in red. In Western blot, ab32047 was shown to bind specifically to AMPK alpha 1. A band was observed at 64 kDa in wild-type RAW 264.7 cell lysates with no signal observed at this size in PRKAA1 knockout cell line ab280055 (knockout cell lysate ab280114). To generate this image, wild-type and PRKAA1 knockout RAW 264.7 cell lysates were analysed. First, samples were run on an SDS-PAGE gel then transferred onto a nitrocellulose membrane. Membranes were blocked in 3 % milk in TBS-0.1 % Tween$®$ 20 (TBS-T) before incubation with primary antibodies overnight at 4 °C. Blots were washed four times in TBS-T, incubated with secondary antibodies for 1 h at room temperature, washed again four times then imaged.Secondary antibodies used were Goat anti-Rabbit IgG H&L (IRDye$®$ 800CW) preabsorbed (ab216773) and Goat anti-Mouse IgG H&L (IRDye$®$ 680RD) preabsorbed (ab216776) at 1/20000 dilution.

All lanes:

Western blot - Anti-AMPK alpha 1 antibody [Y365] (<a href='/products/primary-antibodies/ampk-alpha-1-antibody-y365-ab32047'>ab32047</a>) at 1/1000 dilution

Lane 1:

Wild-type RAW 264.7 cell lysate at 20 µg

Lane 2:

PRKAA1 knockout RAW 264.7 cell lysate at 20 µg

Lane 2:

Western blot - Mouse PRKAA1 knockout RAW 264.7 cell line (<a href='/products/cell-lines/mouse-prkaa1-knockout-raw-2647-cell-line-ab280055'>ab280055</a>)

Lane 3:

Mouse Liver cell lysate at 20 µg

Lane 4:

Neuro2A cell lysate at 20 µg

Predicted band size: 64 kDa

Observed band size: 64 kDa

false

Western blot - Anti-AMPK alpha 1 antibody [Y365] - BSA and Azide free (AB210714)
  • WB

Lab

Western blot - Anti-AMPK alpha 1 antibody [Y365] - BSA and Azide free (AB210714)

Blocking and dilution buffer : 5% NFDM/TBST.
This antibody shows low sensitivity in mouse and rat samples.
This data was developed using the same antibody clone in a different buffer formulation containing PBS, BSA, glycerol, and sodium azide (ab32047).

All lanes:

Western blot - Anti-AMPK alpha 1 antibody [Y365] (<a href='/products/primary-antibodies/ampk-alpha-1-antibody-y365-ab32047'>ab32047</a>) at 1/2000 dilution

Lane 1:

C6 cell lysate at 20 µg

Lane 2:

NIH/3T3 cell lysate at 20 µg

Secondary

All lanes:

Peroxidase-conjugated goat anti-rabbit IgG, (H+L) at 1/1000 dilution

Predicted band size: 64 kDa

Observed band size: 63 kDa

false

不同偶联物与剂型 (10)

  • Unconjugated

    Anti-AMPK alpha 1 antibody [Y365]

  • 775 Alexa Fluor® 750

    Alexa Fluor® 750 Anti-AMPK alpha 1 antibody [Y365]

  • 578 PE

    PE Anti-AMPK alpha 1 antibody [Y365]

  • 660 APC

    APC Anti-AMPK alpha 1 antibody [Y365]

  • HRP

    HRP Anti-AMPK alpha 1 antibody [Y365]

  • 519 Alexa Fluor® 488

    Alexa Fluor® 488 Anti-AMPK alpha 1 antibody [Y365]

  • 665 Alexa Fluor® 647

    Alexa Fluor® 647 Anti-AMPK alpha 1 antibody [Y365]

  • 617 Alexa Fluor® 594

    Alexa Fluor® 594 Anti-AMPK alpha 1 antibody [Y365]

  • 565 Alexa Fluor® 555

    Alexa Fluor® 555 Anti-AMPK alpha 1 antibody [Y365]

  • 603 Alexa Fluor® 568

    Alexa Fluor® 568 Anti-AMPK alpha 1 antibody [Y365]

关键信息

宿主种属

Rabbit

克隆

Monoclonal

克隆号

Y365

亚型

IgG

不含载体蛋白

Yes

反应种属

Mouse, Rat, Human

应用

ICC/IF, IHC-P, Flow Cyt (Intra), WB, IP

applications

免疫原

The exact immunogen used to generate this antibody is proprietary information.

特异性

This antibody is specific for human AMPK alpha 1. This antibody shows low sensitivity in mouse and rat samples.

反应性数据

{ "title": "Reactivity Data", "filters": { "stats": ["", "Species", "Dilution Info", "Notes"], "tabs": { "all-applications": {"fullname" : "All Applications", "shortname": "All Applications"}, "IP" : {"fullname" : "Immunoprecipitation", "shortname":"IP"}, "WB" : {"fullname" : "Western blot", "shortname":"WB"}, "ICCIF" : {"fullname" : "Immunocytochemistry/ Immunofluorescence", "shortname":"ICC/IF"}, "FlowCytIntra" : {"fullname" : "Flow Cytometry (Intracellular)", "shortname":"Flow Cyt (Intra)"}, "IHCP" : {"fullname" : "Immunohistochemistry (Formalin/PFA-fixed paraffin-embedded sections)", "shortname":"IHC-P"} }, "product-promise": { "all": "all", "testedAndGuaranteed": "tested", "guaranteed": "expected", "predicted": "predicted", "notRecommended": "not-recommended" } }, "values": { "Human": { "IP-species-checked": "testedAndGuaranteed", "IP-species-dilution-info": "", "IP-species-notes": "<p></p>", "WB-species-checked": "testedAndGuaranteed", "WB-species-dilution-info": "", "WB-species-notes": "<p>This antibody shows low sensitivity in mouse and rat samples.</p>", "ICCIF-species-checked": "testedAndGuaranteed", "ICCIF-species-dilution-info": "", "ICCIF-species-notes": "<p></p>", "FlowCytIntra-species-checked": "testedAndGuaranteed", "FlowCytIntra-species-dilution-info": "", "FlowCytIntra-species-notes": "<p><a href='/products/primary-antibodies/rabbit-igg-monoclonal-epr25a-isotype-control-low-endotoxin-azide-free-ab199376'>ab199376</a> - Rabbit monoclonal IgG, is suitable for use as an isotype control with this antibody.</p>", "IHCP-species-checked": "testedAndGuaranteed", "IHCP-species-dilution-info": "", "IHCP-species-notes": "<p></p>" }, "Mouse": { "IP-species-checked": "guaranteed", "IP-species-dilution-info": "", "IP-species-notes": "", "WB-species-checked": "testedAndGuaranteed", "WB-species-dilution-info": "", "WB-species-notes": "<p>This antibody shows low sensitivity in mouse and rat samples.</p>", "ICCIF-species-checked": "guaranteed", "ICCIF-species-dilution-info": "", "ICCIF-species-notes": "", "FlowCytIntra-species-checked": "guaranteed", "FlowCytIntra-species-dilution-info": "", "FlowCytIntra-species-notes": "", "IHCP-species-checked": "guaranteed", "IHCP-species-dilution-info": "", "IHCP-species-notes": "" }, "Rat": { "IP-species-checked": "guaranteed", "IP-species-dilution-info": "", "IP-species-notes": "", "WB-species-checked": "testedAndGuaranteed", "WB-species-dilution-info": "", "WB-species-notes": "<p>This antibody shows low sensitivity in mouse and rat samples.</p>", "ICCIF-species-checked": "guaranteed", "ICCIF-species-dilution-info": "", "ICCIF-species-notes": "", "FlowCytIntra-species-checked": "guaranteed", "FlowCytIntra-species-dilution-info": "", "FlowCytIntra-species-notes": "", "IHCP-species-checked": "guaranteed", "IHCP-species-dilution-info": "", "IHCP-species-notes": "" } } }

产品详情

ab210714 is the carrier-free version of ab32047.

Patented technology
Our RabMAb® technology is a patented hybridoma-based technology for making rabbit monoclonal antibodies. For details on our patents, please refer to RabMAb® patents.

Conjugation ready
Our carrier-free antibodies are typically supplied in a PBS-only formulation, purified and free of BSA, sodium azide and glycerol. This conjugation-ready format is designed for use with fluorochromes, metal isotopes, oligonucleotides, and enzymes, which makes them ideal for antibody labelling, functional and cell-based assays, flow-based assays (e.g. mass cytometry) and Multiplex Imaging applications.

Use our conjugation kits for antibody conjugates that are ready-to-use in as little as 20 minutes with 1 minute hands-on-time and 100% antibody recovery: available for fluorescent dyes, HRP, biotin and gold.

Compatibility
This product is compatible with the Maxpar® Antibody Labeling Kit from Fluidigm, without the need for antibody preparation. Maxpar® is a trademark of Fluidigm Canada Inc.

性能和储存信息

形式
Liquid
纯化工艺
Affinity purification Protein A
存储溶液
pH: 7.2 - 7.4 Constituents: PBS
运输条件
Blue Ice
推荐的短期储存条件
+4°C
推荐的长期储存条件
+4°C
储存信息
Do Not Freeze

产品实验方案

For this product, it's our understanding that no specific protocols are required. You can visit:

靶点信息

Catalytic subunit of AMP-activated protein kinase (AMPK), an energy sensor protein kinase that plays a key role in regulating cellular energy metabolism (PubMed : 17307971, PubMed : 17712357, PubMed : 24563466, PubMed : 37821951). In response to reduction of intracellular ATP levels, AMPK activates energy-producing pathways and inhibits energy-consuming processes : inhibits protein, carbohydrate and lipid biosynthesis, as well as cell growth and proliferation (PubMed : 17307971, PubMed : 17712357). AMPK acts via direct phosphorylation of metabolic enzymes, and by longer-term effects via phosphorylation of transcription regulators (PubMed : 17307971, PubMed : 17712357). Regulates lipid synthesis by phosphorylating and inactivating lipid metabolic enzymes such as ACACA, ACACB, GYS1, HMGCR and LIPE; regulates fatty acid and cholesterol synthesis by phosphorylating acetyl-CoA carboxylase (ACACA and ACACB) and hormone-sensitive lipase (LIPE) enzymes, respectively (By similarity). Promotes lipolysis of lipid droplets by mediating phosphorylation of isoform 1 of CHKA (CHKalpha2) (PubMed : 34077757). Regulates insulin-signaling and glycolysis by phosphorylating IRS1, PFKFB2 and PFKFB3 (By similarity). AMPK stimulates glucose uptake in muscle by increasing the translocation of the glucose transporter SLC2A4/GLUT4 to the plasma membrane, possibly by mediating phosphorylation of TBC1D4/AS160 (By similarity). Regulates transcription and chromatin structure by phosphorylating transcription regulators involved in energy metabolism such as CRTC2/TORC2, FOXO3, histone H2B, HDAC5, MEF2C, MLXIPL/ChREBP, EP300, HNF4A, p53/TP53, SREBF1, SREBF2 and PPARGC1A (PubMed : 11518699, PubMed : 11554766, PubMed : 15866171, PubMed : 17711846, PubMed : 18184930). Acts as a key regulator of glucose homeostasis in liver by phosphorylating CRTC2/TORC2, leading to CRTC2/TORC2 sequestration in the cytoplasm (By similarity). In response to stress, phosphorylates 'Ser-36' of histone H2B (H2BS36ph), leading to promote transcription (By similarity). Acts as a key regulator of cell growth and proliferation by phosphorylating FNIP1, TSC2, RPTOR, WDR24 and ATG1/ULK1 : in response to nutrient limitation, negatively regulates the mTORC1 complex by phosphorylating RPTOR component of the mTORC1 complex and by phosphorylating and activating TSC2 (PubMed : 14651849, PubMed : 18439900, PubMed : 20160076, PubMed : 21205641). Also phosphorylates and inhibits GATOR2 subunit WDR24 in response to nutrient limitation, leading to suppress glucose-mediated mTORC1 activation (PubMed : 36732624). In response to energetic stress, phosphorylates FNIP1, inactivating the non-canonical mTORC1 signaling, thereby promoting nuclear translocation of TFEB and TFE3, and inducing transcription of lysosomal or autophagy genes (PubMed : 37079666). In response to nutrient limitation, promotes autophagy by phosphorylating and activating ATG1/ULK1 (PubMed : 21205641). In that process also activates WDR45/WIPI4 (PubMed : 28561066). Phosphorylates CASP6, thereby preventing its autoprocessing and subsequent activation (PubMed : 32029622). In response to nutrient limitation, phosphorylates transcription factor FOXO3 promoting FOXO3 mitochondrial import (By similarity). Also acts as a regulator of cellular polarity by remodeling the actin cytoskeleton; probably by indirectly activating myosin (PubMed : 17486097). AMPK also acts as a regulator of circadian rhythm by mediating phosphorylation of CRY1, leading to destabilize it (By similarity). May regulate the Wnt signaling pathway by phosphorylating CTNNB1, leading to stabilize it (By similarity). Also has tau-protein kinase activity : in response to amyloid beta A4 protein (APP) exposure, activated by CAMKK2, leading to phosphorylation of MAPT/TAU; however the relevance of such data remains unclear in vivo (By similarity). Also phosphorylates CFTR, EEF2K, KLC1, NOS3 and SLC12A1 (PubMed : 12519745, PubMed : 20074060). Regulates hepatic lipogenesis. Activated via SIRT3, represses sterol regulatory element-binding protein (SREBP) transcriptional activities and ATP-consuming lipogenesis to restore cellular energy balance. Upon stress, regulates mitochondrial fragmentation through phosphorylation of MTFR1L (PubMed : 36367943).
See full target information PRKAA1

文献 (1)

Recent publications for all applications. Explore the full list and refine your search

Human cell 35:678-693 PubMed35088239

2022

Role of aurora kinase B in regulating resistance to paclitaxel in breast cancer cells.

Applications

Unspecified application

Species

Unspecified reactive species

Min Liu,Yinan Li,Cui Zhang,Qing Zhang
View all publications

Abcam Product Promise

我们致力于为您的研究提供高质量的试剂,为您科研的每一步提供支持。若我们的产品未能达到预期性能,我们向您提供 Abcam Product Promise 保障。
详情请参阅我们的条款与条件。

Please note: All products are 'FOR RESEARCH USE ONLY. NOT FOR USE IN DIAGNOSTIC OR THERAPEUTIC PROCEDURES'.

For licensing inquiries, please contact partnerships@abcam.com