JavaScript is disabled in your browser. Please enable JavaScript to view this website.
AB313767

重组Anti-AMH抗体[EPR25835-27]

Anti-AMH antibody [EPR25835-27]

  • BOND RX™ Validated
  • 20ul selling size
  • RabMAb
  • Recombinant
  • 了解详情

Be the first to review this product! Submit a review

|

(0 Publication)

Rabbit Recombinant Monoclonal AMH antibody. Suitable for IHC-P, WB, IP and reacts with Mouse, Rat, Human samples.

查看别名

Muellerian-inhibiting factor, Anti-Muellerian hormone, Muellerian-inhibiting substance, AMH, MIS, Amh

10 Images
Immunohistochemistry (Formalin/PFA-fixed paraffin-embedded sections) - Anti-AMH antibody [EPR25835-27] (AB313767)
  • IHC-P

Supplier Data

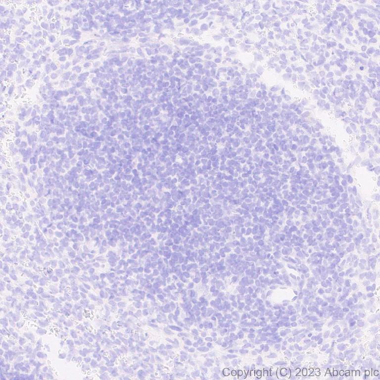
Immunohistochemistry (Formalin/PFA-fixed paraffin-embedded sections) - Anti-AMH antibody [EPR25835-27] (AB313767)

Immunohistochemical analysis of paraffin-embedded mouse spleen tissue labeling AMH with ab313767 at 1/2000 (0.252 ug/ml) followed by a ready to use LeicaDS9800 (Bond™ Polymer Refine Detection). Negative control : no staining on mouse spleen. The section was incubated with ab313767 for 30 mins at room temperature. The immunostaining was performed on a Leica Biosystems BOND® RX instrument. Counterstained with Hematoxylin. Secondary antibody only control : Secondary antibody is a ready to use LeicaDS9800 (Bond™ Polymer Refine Detection). Heat mediated antigen retrieval was performed with Tris-EDTA buffer (pH 9.0, Epitope Retrieval Solution2) for 20 mins.

Immunohistochemistry (Formalin/PFA-fixed paraffin-embedded sections) - Anti-AMH antibody [EPR25835-27] (AB313767)
  • IHC-P

Supplier Data

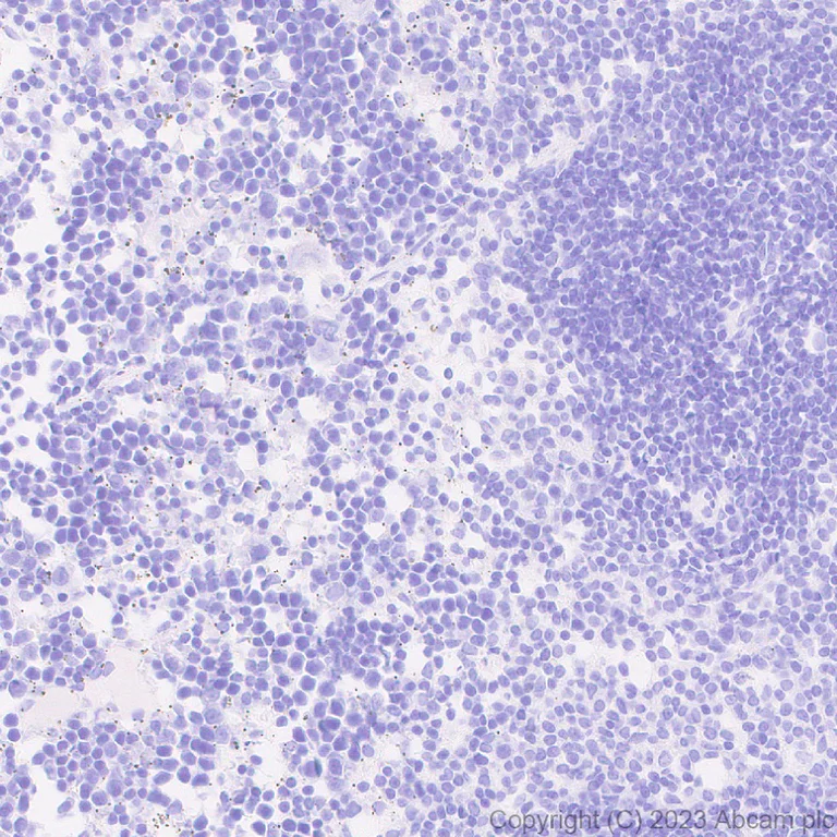
Immunohistochemistry (Formalin/PFA-fixed paraffin-embedded sections) - Anti-AMH antibody [EPR25835-27] (AB313767)

Immunohistochemical analysis of paraffin-embedded rat spleen tissue labeling AMH with ab313767 at 1/2000 (0.252 ug/ml) followed by a ready to use LeicaDS9800 (Bond™ Polymer Refine Detection). Negative control : no staining on rat spleen. The section was incubated with ab313767 for 30 mins at room temperature. The immunostaining was performed on a Leica Biosystems BOND® RX instrument. Counterstained with Hematoxylin. Secondary antibody only control : Secondary antibody is a ready to use LeicaDS9800 (Bond™ Polymer Refine Detection). Heat mediated antigen retrieval was performed with Tris-EDTA buffer (pH 9.0, Epitope Retrieval Solution2) for 20 mins.

Immunohistochemistry (Formalin/PFA-fixed paraffin-embedded sections) - Anti-AMH antibody [EPR25835-27] (AB313767)
  • IHC-P

Supplier Data

Immunohistochemistry (Formalin/PFA-fixed paraffin-embedded sections) - Anti-AMH antibody [EPR25835-27] (AB313767)

Immunohistochemical analysis of paraffin-embedded rat skin tissue labeling AMH with ab313767 at 1/2000 (0.252 ug/ml) followed by a ready to use LeicaDS9800 (Bond™ Polymer Refine Detection). Negative control : no staining on rat skin. The section was incubated with ab313767 for 30 mins at room temperature. The immunostaining was performed on a Leica Biosystems BOND® RX instrument. Counterstained with Hematoxylin. Secondary antibody only control : Secondary antibody is a ready to use LeicaDS9800 (Bond™ Polymer Refine Detection). Heat mediated antigen retrieval was performed with Tris-EDTA buffer (pH 9.0, Epitope Retrieval Solution2) for 20 mins.

Immunohistochemistry (Formalin/PFA-fixed paraffin-embedded sections) - Anti-AMH antibody [EPR25835-27] (AB313767)
  • IHC-P

Supplier Data

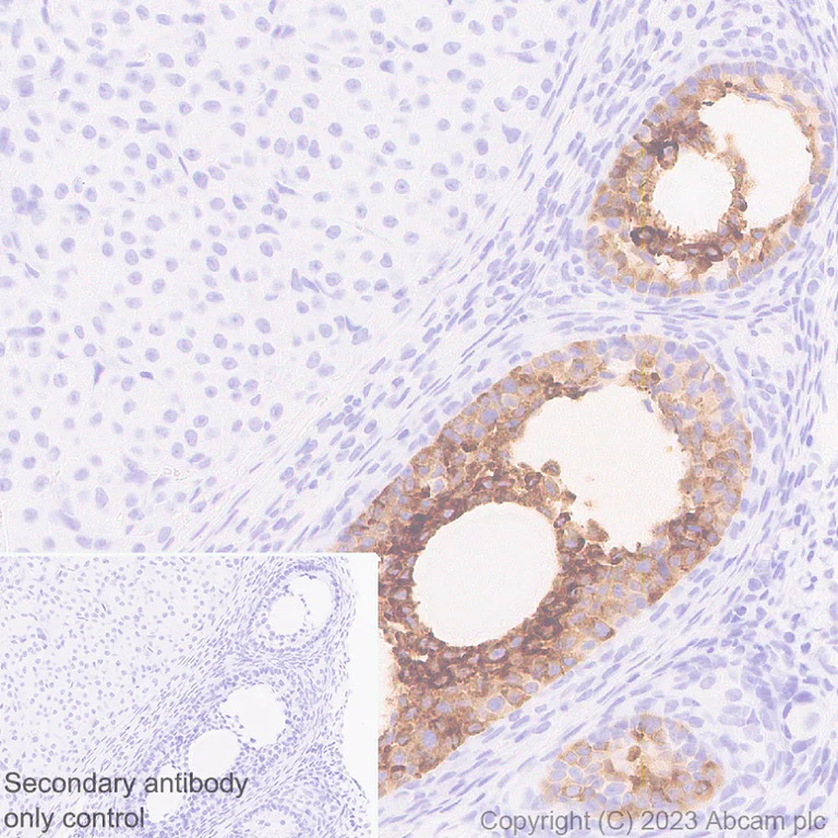
Immunohistochemistry (Formalin/PFA-fixed paraffin-embedded sections) - Anti-AMH antibody [EPR25835-27] (AB313767)

Immunohistochemical analysis of paraffin-embedded rat E14.5 testis tissue labeling AMH with ab313767 at 1/2000 (0.252 ug/ml) followed by a ready to use LeicaDS9800 (Bond™ Polymer Refine Detection). Positive staining on rat E14.5 testis. The section was incubated with ab313767 for 30 mins at room temperature. The immunostaining was performed on a Leica Biosystems BOND® RX instrument. Counterstained with Hematoxylin. Secondary antibody only control : Secondary antibody is a ready to use LeicaDS9800 (Bond™ Polymer Refine Detection). Heat mediated antigen retrieval was performed with Tris-EDTA buffer (pH 9.0, Epitope Retrieval Solution2) for 20 mins.

Immunohistochemistry (Formalin/PFA-fixed paraffin-embedded sections) - Anti-AMH antibody [EPR25835-27] (AB313767)
  • IHC-P

Supplier Data

Immunohistochemistry (Formalin/PFA-fixed paraffin-embedded sections) - Anti-AMH antibody [EPR25835-27] (AB313767)

Immunohistochemical analysis of paraffin-embedded mouse ovary tissue labeling AMH with ab313767 at 1/2000 (0.252 ug/ml) followed by a ready to use LeicaDS9800 (Bond™ Polymer Refine Detection). Positive staining on mouse ovarian granulosa cells (PMID : 16556768). The section was incubated with ab313767 for 30 mins at room temperature. The immunostaining was performed on a Leica Biosystems BOND® RX instrument. Counterstained with Hematoxylin. Secondary antibody only control : Secondary antibody is a ready to use LeicaDS9800 (Bond™ Polymer Refine Detection). Heat mediated antigen retrieval was performed with Tris-EDTA buffer (pH 9.0, Epitope Retrieval Solution2) for 20 mins.

Immunohistochemistry (Formalin/PFA-fixed paraffin-embedded sections) - Anti-AMH antibody [EPR25835-27] (AB313767)
  • IHC-P

Supplier Data

Immunohistochemistry (Formalin/PFA-fixed paraffin-embedded sections) - Anti-AMH antibody [EPR25835-27] (AB313767)

Immunohistochemical analysis of paraffin-embedded rat ovary tissue labeling AMH with ab313767 at 1/2000 (0.252 ug/ml) followed by a ready to use LeicaDS9800 (Bond™ Polymer Refine Detection). Positive staining on rat ovarian granulosa cells. The section was incubated with ab313767 for 30 mins at room temperature. The immunostaining was performed on a Leica Biosystems BOND® RX instrument. Counterstained with Hematoxylin. Secondary antibody only control : Secondary antibody is a ready to use LeicaDS9800 (Bond™ Polymer Refine Detection). Heat mediated antigen retrieval was performed with Tris-EDTA buffer (pH 9.0, Epitope Retrieval Solution2) for 20 mins.

Immunohistochemistry (Formalin/PFA-fixed paraffin-embedded sections) - Anti-AMH antibody [EPR25835-27] (AB313767)
  • IHC-P

Supplier Data

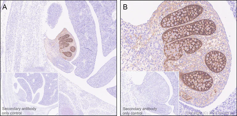
Immunohistochemistry (Formalin/PFA-fixed paraffin-embedded sections) - Anti-AMH antibody [EPR25835-27] (AB313767)

Immunohistochemical analysis of paraffin-embedded mouse E14.5 testis tissue labeling AMH with ab313767 at 1/2000 (0.252 ug/ml) followed by a ready to use LeicaDS9800 (Bond™ Polymer Refine Detection). Positive staining on mouse E14.5 testis. (A) Low‑powered (magnification, x4) and (B) high‑powered (magnification, x20) microscopic images. The section was incubated with ab313767 for 30 mins at room temperature. The immunostaining was performed on a Leica Biosystems BOND® RX instrument. Counterstained with Hematoxylin. Secondary antibody only control : Secondary antibody is a ready to use LeicaDS9800 (Bond™ Polymer Refine Detection). Heat mediated antigen retrieval was performed with Tris-EDTA buffer (pH 9.0, Epitope Retrieval Solution2) for 20 mins.

Immunoprecipitation - Anti-AMH antibody [EPR25835-27] (AB313767)
  • IP

Supplier Data

Immunoprecipitation - Anti-AMH antibody [EPR25835-27] (AB313767)

AMH was immunoprecipitated from 0.35 mg mouse testis tissue lysate with ab313767 at 1/30 dilution (2ug in 0.35mg lysates). Western blot was performed on the immunoprecipitate using ab313767 at 1/1000 dilution. VeriBlot for IP secondary antibody(HRP)(ab131366) was used at 1/5000 dilution. Lane 1 : Mouse testis tissue lysate Lane 2 : Mouse testis tissue lysate Lane 3 : Rabbit monoclonal IgG (ab172730) instead of ab313767 in mouse testis tissue lysate Blocking and dilution buffer and concentration : 5% NFDM/TBST. Exposure time : 180 seconds

All lanes:

Immunoprecipitation - Anti-AMH antibody [EPR25835-27] (ab313767) at 1/30 dilution

All lanes:

Mouse testis tissue lysate

Secondary

All lanes:

Immunoprecipitation - VeriBlot for IP Detection Reagent (HRP) (<a href='/products/reagents/veriblot-for-ip-detection-reagent-hrp-ab131366'>ab131366</a>) at 1/5000 dilution

false

Exposure time: 180s

Western blot - Anti-AMH antibody [EPR25835-27] (AB313767)
  • WB

Supplier Data

Western blot - Anti-AMH antibody [EPR25835-27] (AB313767)

Blocking and dilution buffer and concentration : 5% NFDM/TBST

Negative control : spleen (PMID : 1782869).

This blot was developed using a high sensitivity ECL substrate. The high-sensitivity ECL substrate used allows for the detection of proteins in the mid-femtogram range.

In Western blot, Anti-GAPDH antibody [EPR16891] - Loading Control (ab181602) staining at 1/200000 dilution.

All lanes:

Western blot - Anti-AMH antibody [EPR25835-27] (ab313767) at 1/1000 dilution

Lane 1:

Human testis tissue lysate at 20 µg

Lane 2:

Human ovary tissue lysate at 20 µg

Lane 3:

Human spleen tissue lysate at 20 µg

Secondary

All lanes:

Goat Anti-Rabbit IgG (HRP) with minimal cross-reactivity with human IgG at 1/2000 dilution

Observed band size: 59 kDa

true

Exposure time: 136s

Western blot - Anti-AMH antibody [EPR25835-27] (AB313767)
  • WB

Supplier Data

Western blot - Anti-AMH antibody [EPR25835-27] (AB313767)

Blocking and diluting buffer and concentration : 5% NFDM/TBST Negative control : spleen, skin (PMID : 1782869). In Western blot, Anti-GAPDH antibody [EPR16891] - Loading Control (ab181602) staining at 1/200000 dilution. Exposure time : 10 seconds

All lanes:

Western blot - Anti-AMH antibody [EPR25835-27] (ab313767) at 1/1000 dilution

Lane 1:

Mouse testis tissue lysate at 20 µg

Lane 2:

Mouse ovary tissue lysate at 20 µg

Lane 3:

Mouse spleen tissue lysate at 20 µg

Lane 4:

Mouse skin tissue lysate at 20 µg

Secondary

All lanes:

Western blot - Goat Anti-Rabbit IgG H&L (HRP) (<a href='/products/secondary-antibodies/goat-rabbit-igg-h-l-hrp-ab97051'>ab97051</a>) at 1/20000 dilution

Observed band size: 59 kDa

false

Exposure time: 10s

不同偶联物与剂型 (1)

  • Carrier free

    Anti-AMH antibody [EPR25835-27] - BSA and Azide free

关键信息

宿主种属

Rabbit

克隆

Monoclonal

克隆号

EPR25835-27

亚型

IgG

不含载体蛋白

No

反应种属

Mouse, Rat, Human

应用

IP, IHC-P, WB

applications

免疫原

The exact immunogen used to generate this antibody is proprietary information.

特异性

Unsuitable for human IHC-P.
Unsuitable for rat WB.

反应性数据

{ "title": "Reactivity Data", "filters": { "stats": ["", "Species", "Dilution Info", "Notes"], "tabs": { "all-applications": {"fullname" : "All Applications", "shortname": "All Applications"}, "IHCP" : {"fullname" : "Immunohistochemistry (Formalin/PFA-fixed paraffin-embedded sections)", "shortname":"IHC-P"}, "WB" : {"fullname" : "Western blot", "shortname":"WB"}, "IP" : {"fullname" : "Immunoprecipitation", "shortname":"IP"} }, "product-promise": { "all": "all", "testedAndGuaranteed": "tested", "guaranteed": "expected", "predicted": "predicted", "notRecommended": "not-recommended" } }, "values": { "Human": { "IHCP-species-checked": "notRecommended", "IHCP-species-dilution-info": "", "IHCP-species-notes": "<p></p>", "WB-species-checked": "testedAndGuaranteed", "WB-species-dilution-info": "1/1000", "WB-species-notes": "<p></p>", "IP-species-checked": "guaranteed", "IP-species-dilution-info": "", "IP-species-notes": "" }, "Mouse": { "IHCP-species-checked": "testedAndGuaranteed", "IHCP-species-dilution-info": "1/2000", "IHCP-species-notes": "<p></p>", "WB-species-checked": "testedAndGuaranteed", "WB-species-dilution-info": "1/1000", "WB-species-notes": "<p></p>", "IP-species-checked": "testedAndGuaranteed", "IP-species-dilution-info": "1/30", "IP-species-notes": "<p></p>" }, "Rat": { "IHCP-species-checked": "testedAndGuaranteed", "IHCP-species-dilution-info": "1/2000", "IHCP-species-notes": "<p></p>", "WB-species-checked": "notRecommended", "WB-species-dilution-info": "", "WB-species-notes": "<p></p>", "IP-species-checked": "guaranteed", "IP-species-dilution-info": "", "IP-species-notes": "" } } }

产品详情

Patented technology
Our RabMAb® technology is a patented hybridoma-based technology for making rabbit monoclonal antibodies. For details on our patents, please refer to RabMAb® patents.

What are the advantages of a recombinant monoclonal antibody?
This product is a recombinant monoclonal antibody, which offers several advantages including:

  • - High batch-to-batch consistency and reproducibility
  • - Improved sensitivity and specificity
  • - Long-term security of supply
  • - Animal-free batch production

For more information, read more on recombinant antibodies.

性能和储存信息

形式
Liquid
纯化工艺
Affinity purification Protein A
存储溶液
pH: 7.2 - 7.4 Preservative: 0.01% Sodium azide Constituents: PBS, 40% Glycerol (glycerin, glycerine), 0.05% BSA
运输条件
Blue Ice
推荐的短期储存时间
1-2 weeks
推荐的短期储存条件
+4°C
推荐的长期储存条件
-20°C
分装信息
Upon delivery aliquot
储存信息
Avoid freeze / thaw cycle

产品实验方案

For this product, it's our understanding that no specific protocols are required. You can visit:

靶点信息

Plays an important role in several reproductive functions, including Muellerian duct regression during male fetal sexua,l differentiation and in the adult plays a role in Leydig cell differentiation and function (PubMed : 1782869, PubMed : 9435237). In female acts as a negative regulator of the primordial to primary follicle transition and decreases FSH sensitivity of growing follicles (PubMed : 11606457, PubMed : 11861535). Binds to its sole type II receptor, AMHR2 that recruits type I receptors ACVR1 and BMPR1A which subsequently activates the Smad pathway (By similarity).
See full target information Amh

Abcam Product Promise

我们致力于为您的研究提供高质量的试剂,为您科研的每一步提供支持。若我们的产品未能达到预期性能,我们向您提供 Abcam Product Promise 保障。
详情请参阅我们的条款与条件。

Please note: All products are 'FOR RESEARCH USE ONLY. NOT FOR USE IN DIAGNOSTIC OR THERAPEUTIC PROCEDURES'.

For licensing inquiries, please contact partnerships@abcam.com