JavaScript is disabled in your browser. Please enable JavaScript to view this website.
AB207169

重组Anti-AMCase抗体[EPR19984]

Anti-AMCase antibody [EPR19984]

Be the first to review this product! Submit a review

|

(3 Publications)

Rabbit Recombinant Monoclonal AMCase antibody. Suitable for WB, IHC-Fr, IHC-P and reacts with Mouse samples. Cited in 3 publications.

查看别名

Acidic mammalian chitinase, AMCase, Lung-specific protein TSA1902, CHIA

6 Images
Immunohistochemistry (Formalin/PFA-fixed paraffin-embedded sections) - Anti-AMCase antibody [EPR19984] (AB207169)
  • IHC-P

Supplier Data

Immunohistochemistry (Formalin/PFA-fixed paraffin-embedded sections) - Anti-AMCase antibody [EPR19984] (AB207169)

Immunohistochemical analysis of paraffin-embedded Mouse stomach tissue labeling AMCase with ab207169 at 1/8000 dilution followed by Goat Anti-Rabbit IgG H&L (HRP) (ab97051) at 1/500 dilution.

Negative control : no staining on mouse liver. [PMID : 11085997]

Counter stained with Hematoxylin.

Perform heat mediated antigen retrieval with Tris/EDTA buffer pH 9.0 before commencing with IHC staining protocol.

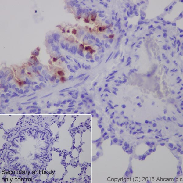
Immunohistochemistry (Formalin/PFA-fixed paraffin-embedded sections) - Anti-AMCase antibody [EPR19984] (AB207169)
  • IHC-P

Supplier Data

Immunohistochemistry (Formalin/PFA-fixed paraffin-embedded sections) - Anti-AMCase antibody [EPR19984] (AB207169)

Immunohistochemical analysis of paraffin-embedded Mouse lung tissue labeling AMCase with ab207169 at 1/8000 dilution followed by Goat Anti-Rabbit IgG H&L (HRP) (ab97051) at 1/500 dilution.

Cytoplasm staining on alveolar epithelium cells of mouse lung is observed.

Counter stained with Hematoxylin.

Secondary antibody only control : Used PBS instead of primary antibody secondary antibody is Goat Anti-Rabbit IgG H&L (HRP) (ab97051) at 1/500 dilution.

Perform heat mediated antigen retrieval with Tris/EDTA buffer pH 9.0 before commencing with IHC staining protocol.

Immunohistochemistry (Frozen sections) - Anti-AMCase antibody [EPR19984] (AB207169)
  • IHC-Fr

Lab

Immunohistochemistry (Frozen sections) - Anti-AMCase antibody [EPR19984] (AB207169)

Immunohistochemical analysis of 4% paraformaldehyde-fixed, 0.2% Triton X-100 permeabilized mouse frozen stomach tissue labeling AMCase with ab207169 at 1/500 dilution, followed by Goat Anti-Rabbit IgG H&L (Alexa Fluor® 488) (ab150077) secondary antibody at 1/1000 dilution (green).

Strong cytoplasm staining on bottom gastric glands of mouse stomach is observed [PMID : 12971947].

Nuclear counterstain : DAPI (Blue).

Secondary antibody only control : Used PBS instead of primary antibody, secondary antibody is Goat Anti-Rabbit IgG H&L (Alexa Fluor® 488) (ab150077) secondary antibody at 1/1000 dilution.

Perform heat mediated antigen retrieval with Tris/EDTA buffer pH 9.0 before commencing with IHC staining protocol.

Immunohistochemistry (Formalin/PFA-fixed paraffin-embedded sections) - Anti-AMCase antibody [EPR19984] (AB207169)
  • IHC-P

Supplier Data

Immunohistochemistry (Formalin/PFA-fixed paraffin-embedded sections) - Anti-AMCase antibody [EPR19984] (AB207169)

Immunohistochemical analysis of paraffin-embedded Mouse stomach tissue labeling AMCase with ab207169 at 1/8000 dilution followed by Goat Anti-Rabbit IgG H&L (HRP) (ab97051) at 1/500 dilution.

Strong positive staining on bottom gastric glands of mouse stomach is observed [PMID : 12971947].

Counter stained with Hematoxylin.

Secondary antibody only control : Used PBS instead of primary antibody secondary antibody is Goat Anti-Rabbit IgG H&L (HRP) (ab97051) at 1/500 dilution.

Perform heat mediated antigen retrieval with Tris/EDTA buffer pH 9.0 before commencing with IHC staining protocol.

Western blot - Anti-AMCase antibody [EPR19984] (AB207169)
  • WB

Supplier Data

Western blot - Anti-AMCase antibody [EPR19984] (AB207169)

Blocking/Dilution buffer : 5% NFDM/TBST.

Mouse AMCase mRNA is predominantly found in stomach and salivary gland, but not found in small intestine, liver and colon [PMID : 11085997; PMID : 12971947].

All lanes:

Western blot - Anti-AMCase antibody [EPR19984] (ab207169) at 1/2000 dilution

All lanes:

Mouse salivary gland tissue lysate at 10 µg

Secondary

All lanes:

Western blot - Goat Anti-Rabbit IgG H&L (HRP) (<a href='/products/secondary-antibodies/goat-rabbit-igg-h-l-hrp-ab97051'>ab97051</a>) at 1/100000 dilution

Predicted band size: 52 kDa

Observed band size: 50 kDa

false

Exposure time: 30s

Western blot - Anti-AMCase antibody [EPR19984] (AB207169)
  • WB

Supplier Data

Western blot - Anti-AMCase antibody [EPR19984] (AB207169)

Blocking/Dilution buffer : 5% NFDM/TBST.

Exposure time : Lane 1 : 5 seconds; Lane 2 : 30 seconds.

Mouse AMCase mRNA is predominantly found in stomach and salivary gland, but not found in small intestine, liver and colon [PMID : 11085997; PMID : 12971947].

Negative control : Mouse liver

Lane 1:

Western blot - Anti-AMCase antibody [EPR19984] (ab207169) at 1/5000 dilution

Lane 2:

Western blot - Anti-AMCase antibody [EPR19984] (ab207169) at 1/2000 dilution

Lane 1:

Mouse stomach lysate at 10 µg

Lane 2:

Mouse liver lysate at 10 µg

Secondary

All lanes:

Western blot - Goat Anti-Rabbit IgG H&L (HRP) (<a href='/products/secondary-antibodies/goat-rabbit-igg-h-l-hrp-ab97051'>ab97051</a>) at 1/100000 dilution

Predicted band size: 52 kDa

Observed band size: 50 kDa

false

不同偶联物与剂型 (1)

  • Carrier free

    Anti-AMCase antibody [EPR19984] - BSA and Azide free

关键信息

宿主种属

Rabbit

克隆

Monoclonal

克隆号

EPR19984

亚型

IgG

不含载体蛋白

No

反应种属

Mouse

应用

IHC-P, IHC-Fr, WB

applications

免疫原

The exact immunogen used to generate this antibody is proprietary information.

反应性数据

{ "title": "Reactivity Data", "filters": { "stats": ["", "Species", "Dilution Info", "Notes"], "tabs": { "all-applications": {"fullname" : "All Applications", "shortname": "All Applications"}, "WB" : {"fullname" : "Western blot", "shortname":"WB"}, "IHCFr" : {"fullname" : "Immunohistochemistry (Frozen sections)", "shortname":"IHC-Fr"}, "IHCP" : {"fullname" : "Immunohistochemistry (Formalin/PFA-fixed paraffin-embedded sections)", "shortname":"IHC-P"} }, "product-promise": { "all": "all", "testedAndGuaranteed": "tested", "guaranteed": "expected", "predicted": "predicted", "notRecommended": "not-recommended" } }, "values": { "Mouse": { "WB-species-checked": "testedAndGuaranteed", "WB-species-dilution-info": "1/2000", "WB-species-notes": "<p></p>", "IHCFr-species-checked": "testedAndGuaranteed", "IHCFr-species-dilution-info": "1/500", "IHCFr-species-notes": "<p>Antigen retrieval: Heated citrate solution (10mM citrate PH 6.0 + 0.05% Tween-20).</p>", "IHCP-species-checked": "testedAndGuaranteed", "IHCP-species-dilution-info": "1/8000", "IHCP-species-notes": "<p>Use <a href='/products/buffers/antigen-retrieval-buffer-100x-tris-edta-buffer-ph-90-ab93684'>ab93684</a> as antigen retrieval buffer.</p>" } } }

产品详情

Patented technology
Our RabMAb® technology is a patented hybridoma-based technology for making rabbit monoclonal antibodies. For details on our patents, please refer to RabMAb® patents.

What are the advantages of a recombinant monoclonal antibody?
This product is a recombinant monoclonal antibody, which offers several advantages including:

  • - High batch-to-batch consistency and reproducibility
  • - Improved sensitivity and specificity
  • - Long-term security of supply
  • - Animal-free batch production

For more information, read more on recombinant antibodies.

性能和储存信息

形式
Liquid
纯化工艺
Affinity purification Protein A
存储溶液
pH: 7.2 - 7.4 Preservative: 0.01% Sodium azide Constituents: PBS, 40% Glycerol (glycerin, glycerine), 0.05% BSA
运输条件
Blue Ice
推荐的短期储存时间
1-2 weeks
推荐的短期储存条件
+4°C
推荐的长期储存条件
-20°C
分装信息
Upon delivery aliquot
储存信息
Avoid freeze / thaw cycle

产品实验方案

For this product, it's our understanding that no specific protocols are required. You can visit:

靶点信息

Degrades chitin and chitotriose. May participate in the defense against nematodes, fungi and other pathogens. Plays a role in T-helper cell type 2 (Th2) immune response. Contributes to the response to IL-13 and inflammation in response to IL-13. Stimulates chemokine production by pulmonary epithelial cells. Protects lung epithelial cells against apoptosis and promotes phosphorylation of AKT1. Its function in the inflammatory response and in protecting cells against apoptosis is inhibited by allosamidin, suggesting that the function of this protein depends on carbohydrate binding.
See full target information CHIA

文献 (3)

Recent publications for all applications. Explore the full list and refine your search

Cell reports. Medicine 6:102319 PubMed40882623

2025

Selenized neural stem cell-derived exosomes: A neotype therapeutic agent for traumatic injuries of the central nervous system.

Applications

Unspecified application

Species

Unspecified reactive species

Wenjing Wang,Guihong Lu,Peilin Guo,Haochong Zhang,Yan Wang,Diwei Zheng,Chengliang Lyu,Dongfang Wang,Shang Li,Feng Li,Jiawei Zhao,Meng Qin,Weiping Li,Hui Tan,Guanghui Ma,Wei Wei

PLoS neglected tropical diseases 19:e0013141 PubMed40446069

2025

Repeat Ascaris challenge reduces worm intensity through gastric cellular reprograming.

Applications

Unspecified application

Species

Unspecified reactive species

Yifan Wu,Charlie Suarez-Reyes,Nina L Tang,Alexander R Kneubehl,Jill E Weatherhead

European journal of pharmacology 919:174792 PubMed35122869

2022

Inhibition of CHIT1 as a novel therapeutic approach in idiopathic pulmonary fibrosis.

Applications

Unspecified application

Species

Unspecified reactive species

Piotr Sklepkiewicz,Barbara A Dymek,Michal Mlacki,Robert Koralewski,Marzena Mazur,Patrycja Nejman-Gryz,Serdar Korur,Agnieszka Zagozdzon,Aleksandra Rymaszewska,Jan H von der Thüsen,Anna M Siwińska,Nazan Cemre Güner,Łukasz Cheda,Magdalena Paplinska-Goryca,Małgorzata Proboszcz,Thierry P P van den Bosch,Katarzyna Górska,Jakub Golab,Rafał M Kamiński,Rafał Krenke,Adam Golebiowski,Karolina Dzwonek,Pawel Dobrzanski
View all publications

Abcam Product Promise

我们致力于为您的研究提供高质量的试剂,为您科研的每一步提供支持。若我们的产品未能达到预期性能,我们向您提供 Abcam Product Promise 保障。
详情请参阅我们的条款与条件。

Please note: All products are 'FOR RESEARCH USE ONLY. NOT FOR USE IN DIAGNOSTIC OR THERAPEUTIC PROCEDURES'.

For licensing inquiries, please contact partnerships@abcam.com