JavaScript is disabled in your browser. Please enable JavaScript to view this website.
AB52866

Anti-alpha Tubulin 抗体 [EP1332Y] - Microtubule Marker

Anti-alpha Tubulin antibody [EP1332Y] - Loading Control

  • BOND RX™ Validated
  • RabMAb
  • Recombinant
  • Lab Essentials
  • 20ul selling size
  • 了解详情

5

(31 Reviews)

|

(324 Publications)

Anti-alpha Tubulin antibody [EP1332Y] - Microtubule Marker (ab52866) is a rabbit monoclonal antibody detecting alpha Tubulin in Western Blot, Flow Cytometry, IHC-P, ICC/IF. Suitable for Drosophila melanogaster, Human, Mouse, Pig, Rat.

- Biophysical QC for unrivalled batch-batch consistency
- Over 240 publications
- Trusted since 2007

查看别名

TUBA1, TUBA4A, Tubulin alpha-4A chain, Alpha-tubulin 1, Testis-specific alpha-tubulin, Tubulin H2-alpha, Tubulin alpha-1 chain

28 Images
Immunocytochemistry/ Immunofluorescence - Anti-alpha Tubulin antibody [EP1332Y] - Loading Control (AB52866)
  • ICC/IF

Unknown

Immunocytochemistry/ Immunofluorescence - Anti-alpha Tubulin antibody [EP1332Y] - Loading Control (AB52866)

Immunofluorescent analysis of 4% paraformaldehyde-fixed HeLa (human epithelial cell line from cervix adenocarcinoma) cells labeling alpha Tubulin with ab52866 at 1/500 dilution. The cells were permeabilised with 0.1% Triton X-100. Anti-rabbit Alexa Fluor® 488 (ab150077) at 1/400 dilution was used as the secondary antibody (green). The confocal image shows microtubules staining on HeLa cell line. The nuclear counter stain is DAPI (blue). Tubulin is detected with ab7291 (anti-Tubulin mouse mAb) at 1/500 and anti-mouse AlexaFluor® 594 (ab150120) at 1/500 dilution (red).
The negative controls are as follows :
1. ab52866 at 1/500 dilution followed by anti-mouse AlexaFluor® 594 (ab150120) at 1/500 dilution.
2. ab7291 (anti-Tubulin mouse mAb) at 1/500 dilution followed by anti-rabbit Alexa Fluor® 488 (ab150077) at 1/400 dilution.

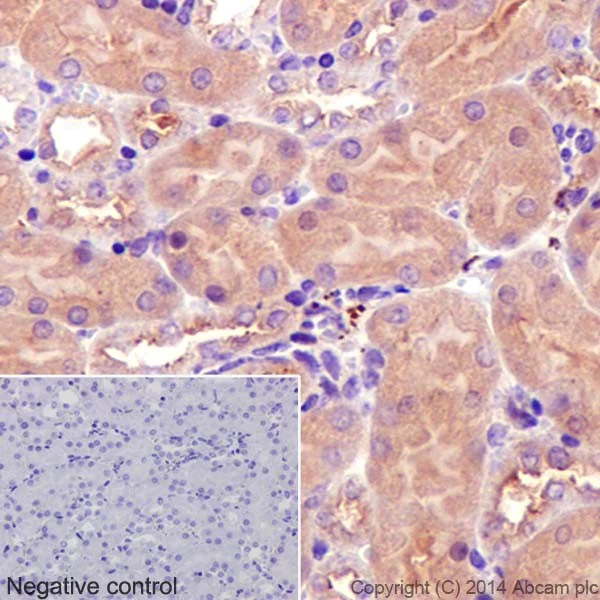
Immunohistochemistry (Formalin/PFA-fixed paraffin-embedded sections) - Anti-alpha Tubulin antibody [EP1332Y] - Loading Control (AB52866)
  • IHC-P

Lab

Immunohistochemistry (Formalin/PFA-fixed paraffin-embedded sections) - Anti-alpha Tubulin antibody [EP1332Y] - Loading Control (AB52866)

Immunohistochemical analysis of formalin fixed paraffin embedded human kidney staining alpha Tubulin with ab52866 at a concentration of 0.01 µg/ml. The immunostaining was performed on a Ventana DISCOVERY ULTRA (Roche Tissue Diagnostics) instrument with a OptiView DAB IHC Detection Kit. Heat mediated antigen retrieval was performed with DISCOVERY cell conditioning solution (CC1) 100°C, pH8.5 for 32mins.

ab52866 anti- alpha Tubulin [EP1332Y] was incubated for 16mins at 37°C. Sections were counterstained with Hematoxylin II. Image inset shows absence of staining in secondary antibody only control.

Customers are encouraged to optimise antigen retrieval conditions, antibody concentration, incubation times and temperature for best results in their own IHC assay workflow (automated and manual)

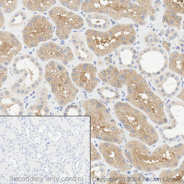
Immunohistochemistry (Formalin/PFA-fixed paraffin-embedded sections) - Anti-alpha Tubulin antibody [EP1332Y] - Loading Control (AB52866)
  • IHC-P

Lab

Immunohistochemistry (Formalin/PFA-fixed paraffin-embedded sections) - Anti-alpha Tubulin antibody [EP1332Y] - Loading Control (AB52866)

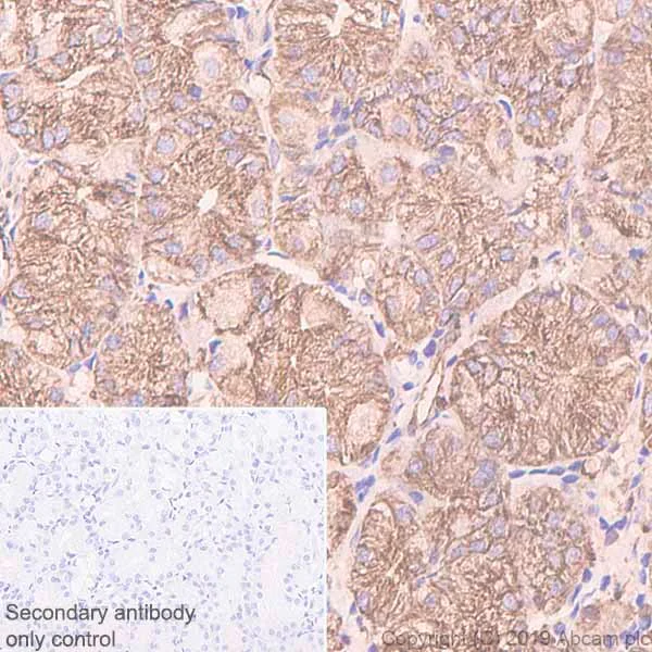
Immunohistochemical analysis of paraffin-embedded Human stomach tissue labeling alpha Tubulin with ab52866 at followed by a ready to use Goat Anti-Rabbit IgG H&L (HRP). Cytoplasmic staining on human stomach.The section was incubated with ab229902 for 30 mins at room temperature. The immunostaining was performed on a Leica Biosystems BOND® RX instrument. Counterstained with Hematoxylin. Heat mediated antigen retrieval using ab93684 (Tris/EDTA buffer, pH 9.0).

Secondary antibody only control : Used PBS instead of primary antibody, secondary antibody is a ready to use Goat Anti-Rabbit IgG H&L (HRP).

Immunocytochemistry/ Immunofluorescence - Anti-alpha Tubulin antibody [EP1332Y] - Loading Control (AB52866)
  • ICC/IF

AbReview20358****

Immunocytochemistry/ Immunofluorescence - Anti-alpha Tubulin antibody [EP1332Y] - Loading Control (AB52866)

ab52866 staining alpha Tubulin in 293 Human embryonic kidney cells by ICC/IF (Immunocytochemistry/immunofluorescence). Cells were fixed with paraformaldehyde and blocked with 10% serum for 2 hours at 23°C. Samples were incubated with primary antibody (1/200 in 0.5% saponin) for 2 hours at 23°C. An Alexa Fluor®555-conjugated Goat anti-rabbit IgG polyclonal (1/500) was used as the secondary antibody. Nuclei were counterstained with DAPI.

This image is courtesy of an anonymous Abreview.

Flow Cytometry (Intracellular) - Anti-alpha Tubulin antibody [EP1332Y] - Loading Control (AB52866)
  • Flow Cyt (Intra)

Lab

Flow Cytometry (Intracellular) - Anti-alpha Tubulin antibody [EP1332Y] - Loading Control (AB52866)

Intracellular flow cytometric analysis of 4% paraformaldehyde fixed 90% methanol permeabilized HepG2 (Human hepatocellular carcinoma epithelial cell)cells labelling alpha Tubulin with ab52866 at 1/2000 dilution (Red) compared with a Rabbit monoclonal IgG (ab172730)isotype control (black) and an unlabelled control (cells without incubation with primary antibody and secondary antibody) (Blue). A Goat anti rabbit IgG (Alexa Fluor® 488, ab150077) at 1/2000 dilution was used as the secondary antibody.

Flow Cytometry (Intracellular) - Anti-alpha Tubulin antibody [EP1332Y] - Loading Control (AB52866)
  • Flow Cyt (Intra)

Unknown

Flow Cytometry (Intracellular) - Anti-alpha Tubulin antibody [EP1332Y] - Loading Control (AB52866)

Intracellular Flow Cytometry analysis of 2% paraformaldehyde fixed HepG2 (human liver hepatocellular carcinoma cell line) cells labeling alpha Tubulin with ab52866 at 1/130 dilution (red line). Secondary antibody used is a goat anti rabbit IgG (FITC) at 1/150 dilution. The isotype control is rabbit monoclonal IgG (black line). The unlabeled control is cells without incubation with primary and secondary antibodies (blue line).

Immunohistochemistry (Formalin/PFA-fixed paraffin-embedded sections) - Anti-alpha Tubulin antibody [EP1332Y] - Loading Control (AB52866)
  • IHC-P

Unknown

Immunohistochemistry (Formalin/PFA-fixed paraffin-embedded sections) - Anti-alpha Tubulin antibody [EP1332Y] - Loading Control (AB52866)

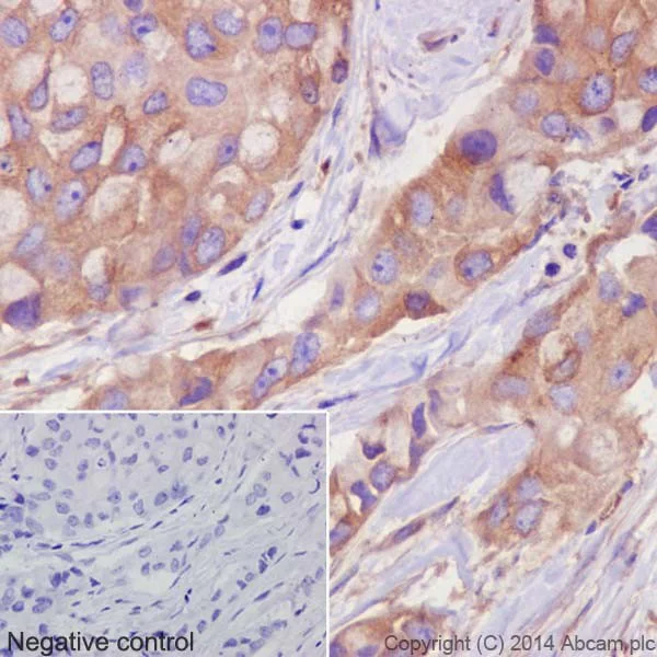
Immunohistochemistry analysis of paraffin-embedded Human breast cancer labeling alpha Tubulin with ab52866 at a 1/1000 dilution. Cytoplasmic staining on cancer cells shown. Secondary antibody ab97051 Goat Anti-Rabbit IgG H&L (HRP) used at a 1/500 dilution. Counter stained with Hematoxylin.

Inset image : negative control obtained using PBS instead of ab52866, secondary antibody is Anti-Rabbit HRP (ab97051) at 1/500 dilution.

Perform heat mediated antigen retrieval with citrate buffer pH 6 before commencing with IHC staining protocol.

Immunocytochemistry/ Immunofluorescence - Anti-alpha Tubulin antibody [EP1332Y] - Loading Control (AB52866)
  • ICC/IF

PubMed

Immunocytochemistry/ Immunofluorescence - Anti-alpha Tubulin antibody [EP1332Y] - Loading Control (AB52866)

AJAP1 co-localizes with microtubules in HUVECs

The association of AJAP1 with microtubules in HUVECs is lost upon microtubule destruction. Treatment with 12.5 μM nocodazole for 24 h shows destruction of the microtubule network and loss of AJAP1 tubular localization. For a negative control, HUVECs are treated with DMSO for 24 h. Cell nuclei were counterstained with DAPI (cyan). Microscope : Zeiss LSM 780; objective lens : 63×/1.40 oil; scale bar : 25 μm.

Incubated overnight at 4°C with ab52866.

(From Figure 3E of Hotte et al)

Image from Hotte K. et al Biol Open. 2017 Jun 15;6(6):723-731. doi: 10.1242/bio.022335.

Immunohistochemistry (Formalin/PFA-fixed paraffin-embedded sections) - Anti-alpha Tubulin antibody [EP1332Y] - Loading Control (AB52866)
  • IHC-P

Unknown

Immunohistochemistry (Formalin/PFA-fixed paraffin-embedded sections) - Anti-alpha Tubulin antibody [EP1332Y] - Loading Control (AB52866)

Immunohistochemistry analysis of paraffin-embedded Mouse kidney tissue labeling alpha Tubulin with ab52866 at a 1/1000 dilution. Cytoplasmic staining on Mouse kidney tubule shown. Secondary antibody Anti-Rabbit HRP (ab97051) used at a 1/500 dilution. Counter stained with Hematoxylin.

Inset image : negative control obtained using PBS instead of ab52866, secondary antibody is Anti-Rabbit HRP (ab97051) at 1/500 dilution.

Perform heat mediated antigen retrieval with citrate buffer pH 6 before commencing with IHC staining protocol.

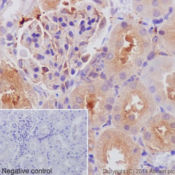
Immunohistochemistry (Formalin/PFA-fixed paraffin-embedded sections) - Anti-alpha Tubulin antibody [EP1332Y] - Loading Control (AB52866)
  • IHC-P

Unknown

Immunohistochemistry (Formalin/PFA-fixed paraffin-embedded sections) - Anti-alpha Tubulin antibody [EP1332Y] - Loading Control (AB52866)

Immunohistochemistry analysis of paraffin-embedded Rat kidney tissue labeling alpha Tubulin with ab52866 at a 1/1000 dilution. Cytoplasmic staining on Rat kidney tubule and weak on glomerulus shown. Secondary antibody Anti-Rabbit HRP (ab97051) used at a 1/500 dilution. Counter stained with Hematoxylin.

Inset image : negative control obtained using PBS instead of ab52866, secondary antibody is Anti-Rabbit HRP (ab97051) at 1/500 dilution.

Perform heat mediated antigen retrieval with citrate buffer pH 6 before commencing with IHC staining protocol.

Western blot - Anti-alpha Tubulin antibody [EP1332Y] - Loading Control (AB52866)
  • WB

Lab

Western blot - Anti-alpha Tubulin antibody [EP1332Y] - Loading Control (AB52866)

False colour image of Western blot : Anti-MAGEA4 antibody [OTI1F9] staining at 1/4000 dilution, shown in green; Rabbit anti-alpha Tubulin antibody [EP1332Y] (ab52866) loading control staining at 1/20000 dilution, shown in red. In Western blot, ab139297 was shown to bind specifically to MAGEA4. A band was observed at 40 kDa in wild-type A431 cell lysates with no signal observed at this size in MAGEA4 knockout cell line ab273857 (knockout cell lysate ab273811). To generate this image, wild-type and MAGEA4 knockout A431 cell lysates were analysed. First, samples were run on an SDS-PAGE gel then transferred onto a nitrocellulose membrane. Membranes were blocked in 5 % milk in TBS-0.1 % Tween® 20 (TBS-T) before incubation with primary antibodies overnight at 4 °C. Blots were washed four times in TBS-T, incubated with secondary antibodies for 1 h at room temperature, washed again four times then imaged. Secondary antibodies used were Goat anti-Mouse IgG H&L 800CW and Goat anti-Rabbit IgG H&L 680RD at 1/20000 dilution.

All lanes:

Western blot - Anti-MAGEA4 antibody [OTI1F9] (<a href='/products/primary-antibodies/magea4-antibody-oti1f9-ab139297'>ab139297</a>) at 1/4000 dilution

Lane 1:

Wild-type A431 cell lysate at 20 µg

Lane 2:

Western blot - Human MAGEA4 knockout A-431 cell lysate (ab273811) at 20 µg

Lane 3:

U-2 OS cell lysate at 20 µg

Lane 4:

SH-SY5Y cell lysate at 20 µg

Secondary

All lanes:

Goat anti-Mouse IgG H&L 800CW and Goat anti-Rabbit IgG H&L 680RD at 1/20000 dilution

Predicted band size: 35 kDa

Observed band size: 40 kDa

false

Western blot - Anti-alpha Tubulin antibody [EP1332Y] - Loading Control (AB52866)
  • WB

Lab

Western blot - Anti-alpha Tubulin antibody [EP1332Y] - Loading Control (AB52866)

Western blot : Anti-SEMA4D antibody [30/CD100] (ab307685) staining at 1/1000 dilution, shown in green; Rabbit anti-alpha Tubulin antibody [EP1332Y] (ab52866) loading control staining at 1/20000 dilution, shown in magenta. In Western blot, ab307685 was shown to bind specifically to SEMA4D. A band was observed at 90-120 kDa in wild-type HCT 116 cell lysates with no signal observed at this size in SEMA4D knockout cell line. To generate this image, wild-type and SEMA4D knockout HCT 116 cell lysates were analysed. First, samples were run on an SDS-PAGE gel then transferred onto a nitrocellulose membrane. Membranes were blocked in fluorescent western blot (TBS-based) blocking solution before incubation with primary antibodies overnight at 4 °C. Blots were washed four times in TBS-T, incubated with secondary antibodies for 1 h at room temperature, washed again four times then imaged. Secondary antibodies used were Goat anti-Mouse IgG H&L 800CW and Goat anti-Rabbit IgG H&L 680RD at 1/20000 dilution.

All lanes:

Western blot - Anti-Semaphorin 4D/CD100 antibody [30/CD100] (<a href='/products/primary-antibodies/semaphorin-4d-cd100-antibody-30-cd100-ab307685'>ab307685</a>) at 1/1000 dilution

Lane 1:

Wild-type HCT 116 cell lysate at 20 µg

Lane 2:

Western blot - Human SEMA4D knockout HCT116 cell line (<a href='/products/cell-lines/human-sema4d-knockout-hct116-cell-line-ab289144'>ab289144</a>)

Lane 2:

SEMA4D knockout HCT 116 cell lysate at 20 µg

Lane 3:

HDLM-2 UNBOILED cell lysate at 20 µg

Lane 4:

PC-3 UNBOILED cell lysate at 20 µg

Secondary

Lanes 1 - 4:

Goat anti-Mouse IgG H&L 800CW at 1/20000 dilution

Lanes 1 - 4:

Goat anti-Rabbit IgG H&L 680RD at 1/20000 dilution

Observed band size: 90-120 kDa

false

Western blot - Anti-alpha Tubulin antibody [EP1332Y] - Loading Control (AB52866)
  • WB

Lab

Western blot - Anti-alpha Tubulin antibody [EP1332Y] - Loading Control (AB52866)

This blot was produced using a 4-12% Bis-tris gel under the MOPS buffer system. The gel was run at 200V for 50 minutes before being transferred onto a Nitrocellulose membrane at 30V for 70 minutes. The membrane was then blocked for an hour using Licor blocking buffer before being incubated with ab52866 overnight at 4°C. Antibody binding was detected using Anti-Rabbit Alexa Fluor® 790 (ab175781) at a 1 : 10,000 dilution for 1hr at room temperature and then imaged using the Licor Odyssey CLx.

All lanes:

Western blot - Anti-alpha Tubulin antibody [EP1332Y] - Loading Control (ab52866) at 1/1000 dilution

Lane 1:

HeLa (Human epithelial carcinoma cell line) Whole Cell Lysate at 20 µg

Lane 2:

HEK293 (Human embryonic kidney cell line) Whole Cell Lysate at 20 µg

Lane 3:

HepG2 (Human hepatocellular liver carcinoma cell line) Whole Cell Lysate at 20 µg

Lane 4:

Caco 2 (Human colonic carcinoma cell line) Whole Cell Lysate at 20 µg

Lane 5:

NIH/3T3 (Mouse embryonic fibroblast cell line) Whole Cell Lysate at 20 µg

Lane 6:

PC-12 (Rat adrenal pheochromocytoma cell line) Whole Cell Lysate at 20 µg

Secondary

All lanes:

Western blot - Goat Anti-Rabbit IgG H&L (Alexa Fluor® 790) (<a href='/products/secondary-antibodies/goat-rabbit-igg-h-l-alexa-fluor-790-ab175781'>ab175781</a>) at 1/10000 dilution

Predicted band size: 50 kDa

Observed band size: 52 kDa

false

Western blot - Anti-alpha Tubulin antibody [EP1332Y] - Loading Control (AB52866)
  • WB

Lab

Western blot - Anti-alpha Tubulin antibody [EP1332Y] - Loading Control (AB52866)

Western blot : Anti-HEF1/NEDD-9 antibody [2G9] ab18056 staining at 0.1 µg/mL, shown in green; Rabbit anti alpha Tubulin (ab52866) loading control staining at 1/20,000 dilution, shown in magenta. A band was observed at 100 kDa in Wild-type A549 cell lysates with no signal observed at this size in NEDD9 knockout A549 cell line.

To generate this image, samples were run on an SDS-PAGE gel then transferred onto a nitrocellulose membrane. Membranes were blocked in 3pc Milk in TBS-0.1 % Tween® 20 (TBS-T) before incubation with primary antibodies overnight at 4 °C. Blots were washed four times in TBS-T, incubated with secondary antibodies for 1 h at room temperature, washed again four times then imaged. Secondary antibodies used were Goat anti-Mouse 800CW & Goat anti-Rabbit 680RD at 1/20,000 dilution.

All lanes:

Western blot - Anti-HEF1/NEDD-9 antibody [2G9] (<a href='/products/primary-antibodies/hef1-nedd-9-antibody-2g9-ab18056'>ab18056</a>) at 0.1 µg/mL

Lane 1:

Wild-type A549 at 20 µg

Lane 2:

NEDD9 knockout A549 at 20 µg

Lane 3:

HepG2 at 20 µg

Lane 4:

PANC-1 at 20 µg

Secondary

All lanes:

Goat anti-Mouse 800CW & Goat anti-Rabbit 680RD at 1/20000 dilution

Predicted band size: 93 kDa

Observed band size: 100 kDa

false

Western blot - Anti-alpha Tubulin antibody [EP1332Y] - Loading Control (AB52866)
  • WB

Lab

Western blot - Anti-alpha Tubulin antibody [EP1332Y] - Loading Control (AB52866)

Western blot : Anti-SLP-2 antibody ab89025 staining at 1 µg/mL, shown in green; Rabbit anti alpha Tubulin (ab52866) loading control staining at 1/20,000 dilution, shown in magenta. A band was observed at 40 kDa in Wild-type A549 cell lysates with no signal observed at this size in STOML2 knockout A549 cell line.

To generate this image, samples were run on an SDS-PAGE gel then transferred onto a nitrocellulose membrane. Membranes were blocked in 3pc Milk in TBS-0.1 % Tween® 20 (TBS-T) before incubation with primary antibodies overnight at 4 °C. Blots were washed four times in TBS-T, incubated with secondary antibodies for 1 h at room temperature, washed again four times then imaged. Secondary antibodies used were Goat anti-Mouse 800CW & Goat anti-Rabbit 680RD at 1/20,000 dilution.

All lanes:

Western blot - Anti-SLP-2 antibody (<a href='/products/primary-antibodies/slp-2-antibody-ab89025'>ab89025</a>) at 1 µg/mL

Lane 1:

Wild-type A549 at 20 µg

Lane 2:

STOML2 knockout A549 at 20 µg

Lane 3:

HeLa at 20 µg

Lane 4:

PC-3 at 20 µg

Secondary

All lanes:

Goat anti-Mouse 800CW & Goat anti-Rabbit 680RD at 1/20000 dilution

Predicted band size: 40 kDa

Observed band size: 40 kDa

false

Western blot - Anti-alpha Tubulin antibody [EP1332Y] - Loading Control (AB52866)
  • WB

Lab

Western blot - Anti-alpha Tubulin antibody [EP1332Y] - Loading Control (AB52866)

Western blot : anti-ACK antibody staining at 1/1000 dilution, shown in green; Rabbit anti alpha Tubulin (ab52866) loading control staining at 1/20,000 dilution, shown in magenta. A band was observed at 118 kDa in Wild-type HCT 116 cell lysates with no signal observed at this size in TNK2 knockout HCT 116 cell line. To generate this image, samples were run on an SDS-PAGE gel then transferred onto a nitrocellulose membrane. Membranes were blocked in 5pc Milk in TBS-0.1 % Tween® 20 (TBS-T) before incubation with primary antibodies overnight at 4°C. Blots were washed four times in TBS-T, incubated with secondary antibodies for 1 h at room temperature, washed again four times then imaged. Secondary antibodies used were Goat anti-Mouse 800CW & Goat anti-Rabbit 680RD at 1/20,000 dilution.

All lanes:

Western blot at 1/1000 dilution

Lane 1:

Wild-type HCT 116 at 20 µg

Lane 2:

Western blot - Human TNK2 knockout HCT116 cell line (ab301274) at 20 µg

Lane 3:

HeLa at 20 µg

Lane 4:

PC-3

Secondary

All lanes:

Goat anti-Mouse 800CW & Goat anti-Rabbit 680RD at 1/20000 dilution

false

Western blot - Anti-alpha Tubulin antibody [EP1332Y] - Loading Control (AB52866)
  • WB

Lab

Western blot - Anti-alpha Tubulin antibody [EP1332Y] - Loading Control (AB52866)

Western blot : Anti-TIGAR antibody staining at 1/1000 dilution, shown in green; Rabbit anti alpha Tubulin (ab52866) loading control staining at 1/20,000 dilution, shown in magenta. A band was observed at 30 kDa in Wild-type A549 cell lysates with no signal observed at this size in TIGAR knockout A549 cell line. To generate this image, samples were run on an SDS-PAGE gel then transferred onto a nitrocellulose membrane. Membranes were blocked in 3pc Milk in TBS-0.1 % Tween® 20 (TBS-T) before incubation with primary antibodies overnight at 4°C. Blots were washed four times in TBS-T, incubated with secondary antibodies for 1 h at room temperature, washed again four times then imaged. Secondary antibodies used were Goat anti-Mouse 800CW & Goat anti-Rabbit 680RD at 1/20,000 dilution.

All lanes:

Anti-TIGAR antibody at 1/1000 dilution

Lane 1:

Wild-type A549 at 20 µg

Lane 2:

TIGAR knockout A549 at 20 µg

Lane 3:

HepG2 at 20 µg

Lane 4:

SK-OV-3 at 20 µg

Secondary

All lanes:

Goat anti-Mouse 800CW & Goat anti-Rabbit 680RD at 1/20000 dilution

false

Western blot - Anti-alpha Tubulin antibody [EP1332Y] - Loading Control (AB52866)
  • WB

Lab

Western blot - Anti-alpha Tubulin antibody [EP1332Y] - Loading Control (AB52866)

Western blot : Mouse Monoclonal[2D2] to ARID1B ab57461 staining at 1/1000 dilution, shown in green; Rabbit anti alpha Tubulin (ab52866) loading control staining at 1/20,000 dilution, shown in magenta. A band was observed at 200 kDa in Wild-type HCT 116 Nuclear cell lysates with no signal observed at this size in ARID1B knockout HCT 116 Nuclear cell line. To generate this image, samples were run on an SDS-PAGE gel then transferred onto a nitrocellulose membrane. Membranes were blocked in 5pc Milk in TBS-0.1 % Tween® 20 (TBS-T) before incubation with primary antibodies overnight at 4°C. Blots were washed four times in TBS-T, incubated with secondary antibodies for 1 h at room temperature, washed again four times then imaged. Secondary antibodies used were Goat anti-Mouse 800CW & Goat anti-Rabbit 680RD at 1/20,000 dilution.

All lanes:

Western blot - Anti-ARID1B antibody [2D2] (<a href='/products/primary-antibodies/arid1b-antibody-2d2-ab57461'>ab57461</a>) at 1/1000 dilution

Lane 1:

Wild-type HCT 116 Nuclear at 20 µg

Lane 2:

Western blot - Human ARID1B knockout HCT116 cell line (<a href='/products/cell-lines/human-arid1b-knockout-hct116-cell-line-ab287219'>ab287219</a>) at 20 µg

Lane 3:

RKO at 20 µg

Lane 4:

PC-3 Membrane at 20 µg

Secondary

All lanes:

Goat anti-Mouse 800CW & Goat anti-Rabbit 680RD at 1/20000 dilution

Predicted band size: 244 kDa

Observed band size: 200 kDa

false

Western blot - Anti-alpha Tubulin antibody [EP1332Y] - Loading Control (AB52866)
  • WB

Supplier Data

Western blot - Anti-alpha Tubulin antibody [EP1332Y] - Loading Control (AB52866)

All lanes:

Western blot - Anti-alpha Tubulin antibody [EP1332Y] - Loading Control (ab52866) at 1/20000 dilution

Lane 1:

HeLa (human epithelial cell line from cervix adenocarcinoma) whole cell lysate at 20 µg

Lane 2:

HepG2 (human liver hepatocellular carcinoma cell line) whole cell lysate at 20 µg

Lane 3:

Jurkat (human T cell leukemia cell line from peripheral blood) whole cell lysate at 20 µg

Lane 4:

HEK-293T (human epithelial cell line from embryonic kidney transformed with large T antigen) whole cell lysate at 20 µg

Secondary

All lanes:

Goat Anti-Rabbit IgG, (H+L),Peroxidase conjugated at 1/1000 dilution

Predicted band size: 50 kDa

false

Western blot - Anti-alpha Tubulin antibody [EP1332Y] - Loading Control (AB52866)
  • WB

Lab

Western blot - Anti-alpha Tubulin antibody [EP1332Y] - Loading Control (AB52866)

Western blot : Anti-MGMT antibody [MT3.1] (ab39253) staining at 1/500 dilution, shown in green; Rabbit anti-alpha Tubulin antibody [EP1332Y] (ab52866) loading control staining at 1/20000 dilution, shown in magenta. In Western blot, ab39253 was shown to bind specifically to MGMT. A band was observed at 22 kDa in wild-type HCT 116 cell lysates with no signal observed at this size in MGMT knockout cell line ab286541. The band observed in the knockout lysate lane below 22 kDa is likely to represent a truncated form of MGMT. This has not been investigated further and the functional properties of the gene product have not been determined. To generate this image, wild-type and MGMT knockout HCT 116 cell lysates were analysed.First, samples were run on an SDS-PAGE gel then transferred onto a nitrocellulose membrane. Membranes were blocked in 3 % milk in TBS-0.1 % Tween® 20 (TBS-T) before incubation with primary antibodies overnight at 4 °C. Blots were washed four times in TBS-T, incubated with secondary antibodies for 1 h at room temperature, washed again four times then imaged. Secondary antibodies used were Goat anti-Mouse IgG H&L 800CW and Goat anti-Rabbit IgG H&L 680RD at 1/20000 dilution.

All lanes:

Western blot - Anti-MGMT antibody [MT3.1] (<a href='/products/primary-antibodies/mgmt-antibody-mt31-ab39253'>ab39253</a>) at 1/500 dilution

Lane 1:

Wild-type HCT 116 cell lysate at 20 µg

Lane 2:

Western blot - Human MGMT knockout HCT116 cell line (<a href='/products/cell-lines/human-mgmt-knockout-hct116-cell-line-ab286541'>ab286541</a>)

Lane 2:

MGMT knockout HCT 116 cell lysate at 20 µg

Secondary

Lanes 1 - 2:

Goat anti-Mouse IgG H&L 800CW at 1/20000 dilution

Lanes 1 - 2:

Goat anti-Rabbit IgG H&L 680RD at 1/20000 dilution

Observed band size: 22 kDa

false

Western blot - Anti-alpha Tubulin antibody [EP1332Y] - Loading Control (AB52866)
  • WB

Lab

Western blot - Anti-alpha Tubulin antibody [EP1332Y] - Loading Control (AB52866)

False colour image of Western blot : Anti-PVRIG/CD112R antibody staining at 1 ug/ml, shown in green; Rabbit anti-alpha Tubulin antibody [EP1332Y] (ab52866) loading control staining at 1/20000 dilution, shown in red.In Western blot, ab168153 was found to be non-specific. A band was observed at 38 kDa in wild-type Jurkat cell lysates with no change observed in the PVRIG knockout cell line ab274900 (knockout cell lysate ab274958). To generate this image, wild-type and PVRIG knockout Jurkat cell lysates were analysed. First, samples were run on an SDS-PAGE gel then transferred onto a nitrocellulose membrane. Membranes were blocked in 5 % milk in TBS-0.1 % Tween® 20 (TBS-T) before incubation with primary antibodies overnight at 4 °C. Blots were washed four times in TBS-T, incubated with secondary antibodies for 1 h at room temperature, washed again four times then imaged. Secondary antibodies used were Goat anti-Mouse IgG H&L (IRDye® 800CW) preabsorbed (ab216772) and Goat anti-Rabbit IgG H&L (IRDye® 680RD) preabsorbed (ab216777) at 1/20000 dilution.

All lanes:

Western blot - Anti-PVRIG/CD112R antibody (<a href='/products/primary-antibodies/pvrig-cd112r-antibody-ab168153'>ab168153</a>) at 1 µg/mL

Lane 1:

Wild-type Jurkat cell lysate at 20 µg

Lane 2:

PVRIG knockout Jurkat cell lysate at 20 µg

Lane 3:

Daudi cell lysate at 20 µg

Lane 4:

Daudi cell lysate at 10 µg

Lane 5:

HeLa cell lysate at 20 µg

Secondary

Lanes 1 - 5:

Western blot - Goat Anti-Rabbit IgG H&L (IRDye® 680RD) preadsorbed (<a href='/products/secondary-antibodies/goat-rabbit-igg-h-l-irdye-680rd-preadsorbed-ab216777'>ab216777</a>) at 1/20000 dilution

Lanes 1 - 5:

Western blot - Goat anti-Mouse IgG H&L (IRDye® 800CW) preadsorbed (<a href='/products/secondary-antibodies/goat-mouse-igg-h-l-irdye-800cw-preadsorbed-ab216772'>ab216772</a>) at 1/20000 dilution

Predicted band size: 34 kDa

false

Western blot - Anti-alpha Tubulin antibody [EP1332Y] - Loading Control (AB52866)
  • WB

Lab

Western blot - Anti-alpha Tubulin antibody [EP1332Y] - Loading Control (AB52866)

Anti-THY1 antibody [7E1B11] (ab181469) staining at 1/1000 dilution, shown in green; Rabbit anti-alpha Tubulin antibody [EP1332Y] (ab52866) loading control staining at 1/20000 dilution, shown in red. In Western blot, ab181469 was shown to bind specifically to THY1. A band was observed at 25-37 kDa in wild-type U-2 OS cell lysates with no signal observed at this size in THY1 knockout cell line ab262490 (knockout cell lysate ab263925). To generate this image, wild-type and THY1 knockout U-2 OS cell lysates were analysed. First, samples were run on an SDS-PAGE gel then transferred onto a nitrocellulose membrane. Membranes were blocked in 3 % milk in TBS-0.1 % Tween® 20 (TBS-T) before incubation with primary antibodies overnight at 4 °C. Blots were washed four times in TBS-T, incubated with secondary antibodies for 1 h at room temperature, washed again four times then imaged. Secondary antibodies used were Goat anti-Mouse IgG H&L 800CW and Goat anti-Rabbit IgG H&L 680RD at 1/20000 dilution.

All lanes:

Western blot - Anti-CD90 / Thy1 antibody [7E1B11] (<a href='/products/primary-antibodies/cd90-thy1-antibody-7e1b11-ab181469'>ab181469</a>) at 1/1000 dilution

Lanes 1 - 5:

Western blot at 20 µg

Lane 2:

Western blot - Human THY1 (CD90) knockout U-2 OS cell lysate (<a href='/products/cell-lysates/human-thy1-cd90-knockout-u-2-os-cell-lysate-ab263925'>ab263925</a>)

Lane 2:

Western blot - Human THY1 (CD90) knockout U-2 OS cell line (<a href='/products/cell-lines/human-thy1-cd90-knockout-u-2-os-cell-line-ab262490'>ab262490</a>)

Secondary

All lanes:

Goat anti-Mouse IgG H&L 800CW and Goat anti-Rabbit IgG H&L 680RD at 1/20000 dilution

Predicted band size: 17 kDa

false

Western blot - Anti-alpha Tubulin antibody [EP1332Y] - Loading Control (AB52866)
  • WB

Supplier Data

Western blot - Anti-alpha Tubulin antibody [EP1332Y] - Loading Control (AB52866)

All lanes:

Western blot - Anti-alpha Tubulin antibody [EP1332Y] - Loading Control (ab52866) at 1/5000 dilution

Lane 1:

Mouse brain lysates at 10 µg

Lane 2:

C6 (Rat glial tumor cell line) whole cell lysates at 10 µg

Lane 3:

RAW 264.7 (Mouse macrophage cell line transformed with Abelson murine leukemia virus) whole cell lysates at 10 µg

Lane 4:

PC-12 (Rat adrenal gland pheochromocytoma cell line) whole cell lysates at 10 µg

Lane 5:

NIH/3T3 (Mouse embryonic fibroblast cell line) whole cell lysates at 10 µg

Secondary

All lanes:

Anti-Rabbit IgG (HRP), specific to the non-reduced form of IgG at 1/1000 dilution

Predicted band size: 50 kDa

false

Western blot - Anti-alpha Tubulin antibody [EP1332Y] - Loading Control (AB52866)
  • WB

Supplier Data

Western blot - Anti-alpha Tubulin antibody [EP1332Y] - Loading Control (AB52866)

All lanes:

Western blot - Anti-alpha Tubulin antibody [EP1332Y] - Loading Control (ab52866) at 1/50000 dilution

All lanes:

Rat brain lysates at 10 µg

Secondary

All lanes:

Anti-Rabbit IgG (HRP), specific to the non-reduced form of IgG at 1/1000 dilution

Predicted band size: 50 kDa

false

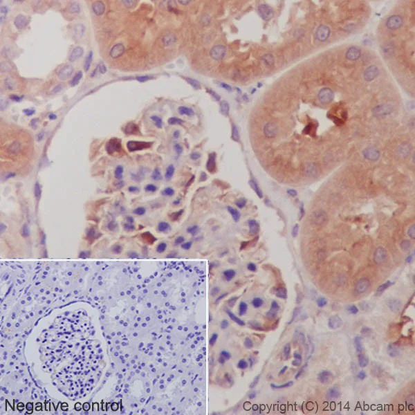
Immunohistochemistry (Formalin/PFA-fixed paraffin-embedded sections) - Anti-alpha Tubulin antibody [EP1332Y] - Loading Control (AB52866)
  • IHC-P

Unknown

Immunohistochemistry (Formalin/PFA-fixed paraffin-embedded sections) - Anti-alpha Tubulin antibody [EP1332Y] - Loading Control (AB52866)

Immunohistochemistry analysis of paraffin-embedded Pig kidney tissue labeling alpha Tubulin with ab52866 at a 1/1000 dilution. Cytoplasmic staining on Pig kidney tubule and weak on glomerulus shown. Anti-Rabbit HRP (ab97051) used at a 1/100 dilution. Counter stained with Hematoxylin.

Inset image : negative control obtained using PBS instead of ab52866, secondary antibody is Anti-Rabbit HRP (ab97051) at 1/100 dilution.

Perform heat mediated antigen retrieval with citrate buffer pH 6 before commencing with IHC staining protocol.

Western blot - Anti-alpha Tubulin antibody [EP1332Y] - Loading Control (AB52866)
  • WB

Lab

Western blot - Anti-alpha Tubulin antibody [EP1332Y] - Loading Control (AB52866)

Blocking/Diluting buffer and concentration : 5% NFDM/TBST

All lanes:

Western blot - Anti-alpha Tubulin antibody [EP1332Y] - Loading Control (ab52866) at 1/10000 dilution

Lane 1:

HeLa (Human cervix adenocarcinoma epithelial cell) Whole cell lysates at 15 µg

Lane 2:

PC-12 (Rat adrenal gland heochromocytoma) whole cell lysates at 15 µg

Lane 3:

NIH/3T3( Mouse embryonic fibroblast)whole cell lysates at 15 µg

Secondary

All lanes:

Western blot - Goat Anti-Rabbit IgG H&L (HRP) (<a href='/products/secondary-antibodies/goat-rabbit-igg-h-l-hrp-ab97051'>ab97051</a>) at 1/20000 dilution

Predicted band size: 50 kDa

Observed band size: 52 kDa

false

Exposure time: 1s

Western blot - Anti-alpha Tubulin antibody [EP1332Y] - Loading Control (AB52866)
  • WB

Supplier Data

Western blot - Anti-alpha Tubulin antibody [EP1332Y] - Loading Control (AB52866)

All lanes:

Western blot - Anti-alpha Tubulin antibody [EP1332Y] - Loading Control (ab52866) at 1/5000 dilution

All lanes:

Pig skeletal muscle lysates at 20 µg

Secondary

All lanes:

Anti-Rabbit IgG (HRP), specific to the non-reduced form of IgG at 1/1000 dilution

Predicted band size: 50 kDa

false

Western blot - Anti-alpha Tubulin antibody [EP1332Y] - Loading Control (AB52866)
  • WB

Supplier Data

Western blot - Anti-alpha Tubulin antibody [EP1332Y] - Loading Control (AB52866)

All lanes:

Western blot - Anti-alpha Tubulin antibody [EP1332Y] - Loading Control (ab52866) at 1/50000 dilution

All lanes:

Human fetal kidney lysates at 10 µg

Secondary

All lanes:

Anti-Rabbit IgG (HRP), specific to the non-reduced form of IgG at 1/1000 dilution

Predicted band size: 50 kDa

false

不同偶联物与剂型 (6)

  • 578 PE

    PE Anti-alpha Tubulin antibody [EP1332Y] - Microtubule Marker

  • Carrier free

    Anti-alpha Tubulin antibody [EP1332Y] - BSA and Azide free

  • 617 Alexa Fluor® 594

    Alexa Fluor® 594 Anti-alpha Tubulin antibody [EP1332Y] - Microtubule Marker

  • 565 Alexa Fluor® 555

    Alexa Fluor® 555 Anti-alpha Tubulin antibody [EP1332Y] - Microtubule Marker

  • 519 Alexa Fluor® 488

    Alexa Fluor® 488 Anti-alpha Tubulin antibody [EP1332Y] - Microtubule Marker

  • 665 Alexa Fluor® 647

    Alexa Fluor® 647 Anti-alpha Tubulin antibody [EP1332Y] - Microtubule Marker

关键信息

宿主种属

Rabbit

克隆

Monoclonal

克隆号

EP1332Y

亚型

IgG

不含载体蛋白

No

反应种属

Mouse, Rat, Human, Pig, Drosophila melanogaster

应用

WB, Flow Cyt (Intra), ICC/IF, IHC-P

applications

免疫原

The exact immunogen used to generate this antibody is proprietary information.

特异性

This antibody is expected to recognise most alpha tubulin proteins and not only TUBA4A.

反应性数据

{ "title": "Reactivity Data", "filters": { "stats": ["", "Species", "Dilution Info", "Notes"], "tabs": { "all-applications": {"fullname" : "All Applications", "shortname": "All Applications"}, "IHCP" : {"fullname" : "Immunohistochemistry (Formalin/PFA-fixed paraffin-embedded sections)", "shortname":"IHC-P"}, "WB" : {"fullname" : "Western blot", "shortname":"WB"}, "ICCIF" : {"fullname" : "Immunocytochemistry/ Immunofluorescence", "shortname":"ICC/IF"}, "FlowCytIntra" : {"fullname" : "Flow Cytometry (Intracellular)", "shortname":"Flow Cyt (Intra)"} }, "product-promise": { "all": "all", "testedAndGuaranteed": "tested", "guaranteed": "expected", "predicted": "predicted", "notRecommended": "not-recommended" } }, "values": { "Human": { "IHCP-species-checked": "testedAndGuaranteed", "IHCP-species-dilution-info": "", "IHCP-species-notes": "<p></p> Perform heat-mediated antigen retrieval with citrate buffer pH 6 before commencing with IHC staining protocol.", "WB-species-checked": "testedAndGuaranteed", "WB-species-dilution-info": "1/1000 - 1/50000", "WB-species-notes": "<p></p>", "ICCIF-species-checked": "testedAndGuaranteed", "ICCIF-species-dilution-info": "1/250 - 1/500", "ICCIF-species-notes": "<p></p>", "FlowCytIntra-species-checked": "testedAndGuaranteed", "FlowCytIntra-species-dilution-info": "1/20 - 1/50", "FlowCytIntra-species-notes": "<p><a href='/products/primary-antibodies/rabbit-igg-monoclonal-epr25a-isotype-control-ab172730'>ab172730</a> - Rabbit monoclonal IgG, is suitable for use as an isotype control with this antibody.</p>" }, "Mouse": { "IHCP-species-checked": "testedAndGuaranteed", "IHCP-species-dilution-info": "", "IHCP-species-notes": "<p></p> Perform heat-mediated antigen retrieval with citrate buffer pH 6 before commencing with IHC staining protocol.", "WB-species-checked": "testedAndGuaranteed", "WB-species-dilution-info": "1/1000 - 1/50000", "WB-species-notes": "<p></p>", "ICCIF-species-checked": "guaranteed", "ICCIF-species-dilution-info": "", "ICCIF-species-notes": "", "FlowCytIntra-species-checked": "guaranteed", "FlowCytIntra-species-dilution-info": "", "FlowCytIntra-species-notes": "" }, "Rat": { "IHCP-species-checked": "testedAndGuaranteed", "IHCP-species-dilution-info": "", "IHCP-species-notes": "<p></p> Perform heat-mediated antigen retrieval with citrate buffer pH 6 before commencing with IHC staining protocol.", "WB-species-checked": "testedAndGuaranteed", "WB-species-dilution-info": "1/1000 - 1/50000", "WB-species-notes": "<p></p>", "ICCIF-species-checked": "guaranteed", "ICCIF-species-dilution-info": "", "ICCIF-species-notes": "", "FlowCytIntra-species-checked": "guaranteed", "FlowCytIntra-species-dilution-info": "", "FlowCytIntra-species-notes": "" }, "Drosophila melanogaster": { "IHCP-species-checked": "guaranteed", "IHCP-species-dilution-info": "", "IHCP-species-notes": "<p></p> Perform heat-mediated antigen retrieval with citrate buffer pH 6 before commencing with IHC staining protocol.", "WB-species-checked": "guaranteed", "WB-species-dilution-info": "1/1000 - 1/50000", "WB-species-notes": "<p></p>", "ICCIF-species-checked": "guaranteed", "ICCIF-species-dilution-info": "1/250 - 1/500", "ICCIF-species-notes": "<p></p>", "FlowCytIntra-species-checked": "guaranteed", "FlowCytIntra-species-dilution-info": "1/20 - 1/50", "FlowCytIntra-species-notes": "<p><a href='/products/primary-antibodies/rabbit-igg-monoclonal-epr25a-isotype-control-ab172730'>ab172730</a> - Rabbit monoclonal IgG, is suitable for use as an isotype control with this antibody.</p>" }, "Pig": { "IHCP-species-checked": "testedAndGuaranteed", "IHCP-species-dilution-info": "", "IHCP-species-notes": "<p></p> Perform heat-mediated antigen retrieval with citrate buffer pH 6 before commencing with IHC staining protocol.", "WB-species-checked": "testedAndGuaranteed", "WB-species-dilution-info": "1/1000 - 1/50000", "WB-species-notes": "<p></p>", "ICCIF-species-checked": "guaranteed", "ICCIF-species-dilution-info": "", "ICCIF-species-notes": "", "FlowCytIntra-species-checked": "guaranteed", "FlowCytIntra-species-dilution-info": "", "FlowCytIntra-species-notes": "" } } }

产品详情

Anti-alpha Tubulin antibody [EP1332Y] - Microtubule Marker (ab52866) was developed by Abcam using patented rabbit monoclonal antibody technology and is validated for use in Flow Cyt (Intra), ICC/IF, IHC-P, WB in drosophila melanogaster, human, mouse, pig, rat samples.

Anti-alpha Tubulin antibody [EP1332Y] - Microtubule Marker (ab52866) has been cited over 240 times in peer reviewed journals and is trusted by the scientific community.

Abcam's high quality manufacturing and validation processes ensure Anti-alpha Tubulin antibody [EP1332Y] - Microtubule Marker (ab52866) has high sensitivity and specificity alongside high lot-to-lot consistency and reproducibility.

Anti-alpha Tubulin antibody [EP1332Y] - Microtubule Marker (Anti-TUBA4A antibody) (ab52866) has 28 independent reviews from customers.

alpha Tubulin antibodies are often used as loading controls in Western Blot. Anti-alpha Tubulin antibody [EP1332Y] - Microtubule Marker has been verified in Western Blot samples and detects a band at 50kDa Molecular weight.

Anti-alpha Tubulin antibody [EP1332Y] - Microtubule Marker (ab52866) specifically detects alpha Tubulin (UniProt ID: P68366; Molecular weight: 50kDa) and is sold in a convenient trial size to enable initial testing (20 µL) and larger sizes for subsequent scaling up experiments (100 µL and 1 mL).

Conjugation-ready, carrier free format available for antibody clone EP1332Y - ab216650.

Antibody clone EP1332Y is also available pre-conjugated to a variety of labels for your convenience - Alexa Fluor® 488, Alexa Fluor® 647, Alexa Fluor® 594, PE, Alexa Fluor® 555 (ab185031, ab190573, ab202272, ab208752, ab275113).

Alpha Tubulin (TUBA4A) is a fundamental component of microtubules, which are crucial for maintaining the cytoskeleton and facilitating cell division. Abnormalities in alpha Tubulin are linked to neurodegenerative diseases such as Alzheimer's Disease, Parkinson's Disease, Amyotrophic Lateral Sclerosis, and Huntington's Disease, as well as cancer, highlighting its disease relevance. Post-translational modifications of alpha Tubulin play a significant role in cellular functions and disease mechanisms. Our TUBA4A antibody is a valuable tool for studying these pathways and understanding the molecular basis of these conditions.

Patented technology
Our RabMAb® technology is a patented hybridoma-based technology for making rabbit monoclonal antibodies. For details on our patents, please refer to RabMAb® patents.

What are the advantages of a recombinant monoclonal antibody?
This product is a recombinant monoclonal antibody, which offers several advantages including:

  • - High batch-to-batch consistency and reproducibility
  • - Improved sensitivity and specificity
  • - Long-term security of supply
  • - Animal-free batch production

For more information, read more on recombinant antibodies.

性能和储存信息

形式
Liquid
纯化工艺
Affinity purification Protein A
存储溶液
pH: 7.2 - 7.4 Preservative: 0.01% Sodium azide Constituents: PBS, 40% Glycerol (glycerin, glycerine), 0.05% BSA
运输条件
Blue Ice
推荐的短期储存条件
+4°C
推荐的长期储存条件
-20°C
分装信息
Upon delivery aliquot
储存信息
Avoid freeze / thaw cycle

补充信息

This supplementary information is collated from multiple sources and compiled automatically.

Alpha tubulin also known as DM1A is an important component of the structural unit called microtubules. This protein weighs approximately 50 kDa and acts as a building block in the cytoskeleton. Alpha tubulin is expressed in various cell types across many organisms playing a fundamental role in maintaining cell shape and enabling intracellular transport. Researchers often acetylate alpha tubulin to study post-translational modifications and its effects on microtubule dynamics.
Biological function summary

Alpha tubulin combines with beta tubulin to form the tubulin dimer which is the basic unit of microtubule polymerization. These dimers assemble into microtubule filaments integral in numerous cellular processes. As part of the cytoskeleton network alpha tubulin facilitates roles in mitosis and meiosis providing spindle structures necessary for chromosome separation. Its participation in cell signaling pathways is noteworthy as it interacts with motor proteins like kinesins and dyneins to aid cellular activities.

Pathways

Alpha tubulin holds critical roles in microtubule-associated processes within the cytoskeleton and intracellular transport pathways. It interacts with the MAP (microtubule-associated protein) family which modulates microtubule stability and impacts cell division and trafficking. Moreover the microtubule pathway involves proteins like tau which bind to stabilize microtubules and are implicated in cellular dynamics and signaling.

Alpha tubulin is relevant in neurodegenerative diseases such as Alzheimer's disease and cancer. Aberrant modifications or mutations in alpha tubulin or associated proteins like tau can disrupt microtubule stability contributing to pathological conditions. In cancer altered expression of alpha tubulin affects cell division leading to tumor progression and chemoresistance. Researchers study alpha tubulin using techniques such as immunofluorescence with Alexa fluor 555 to understand its role in disease better.

产品实验方案

For this product, it's our understanding that no specific protocols are required. You can visit:

靶点信息

Tubulin is the major constituent of microtubules, a cylinder consisting of laterally associated linear protofilaments composed of alpha- and beta-tubulin heterodimers. Microtubules grow by the addition of GTP-tubulin dimers to the microtubule end, where a stabilizing cap forms. Below the cap, tubulin dimers are in GDP-bound state, owing to GTPase activity of alpha-tubulin.
See full target information TUBA4A

文献 (324)

Recent publications for all applications. Explore the full list and refine your search

Scientific reports 15:30611 PubMed40835706

2025

Tumor treating fields suppress tumor cell growth and induce immunogenic cell death biomarkers in biliary tract cancer cell lines.

Applications

Unspecified application

Species

Unspecified reactive species

Ying Yue,Yingying Wang,Jingjing Feng,Min Yao,Yuanzhen Suo

Journal of translational medicine 23:872 PubMed40770345

2025

GPD1L as a potential biomarker associated with Treg cell infiltration and lipid metabolism in clear cell renal cell carcinoma.

Applications

Unspecified application

Species

Unspecified reactive species

Ming Yang,Dejiang Pang,Chuhui Gong,Kangping Song,Hongbo Ma,Yu Yang,Shujin Guo,Liqiong Wang

Nucleic acids research 53: PubMed40705924

2025

SARS-CoV-2 Nsp2 recruits GIGYF2 near viral replication sites and supports viral protein production.

Applications

Unspecified application

Species

Unspecified reactive species

Jimi Kim,Youngran Park,Doil Yoon,Sunghan Lee,Haedong Kim,Ka-Yun Ban,Jihye Yang,Da-Eun Choi,Jeesoo Kim,Jong-Seo Kim,V Narry Kim

eLife 13: PubMed40663062

2025

Female-germline specific protein Sakura interacts with Otu and is crucial for germline stem cell renewal and differentiation and oogenesis.

Applications

Unspecified application

Species

Unspecified reactive species

Azali Azlan,Li Zhu,Ryuya Fukunaga

PloS one 20:e0325016 PubMed40440343

2025

Two cancer cell lines utilize Myosin 10 and the kinesin HSET differentially to maintain mitotic spindle bipolarity.

Applications

Unspecified application

Species

Unspecified reactive species

Yang-In Yim,Xufeng Wu,Anjelika Gasilina,John A Hammer

Frontiers in cell and developmental biology 13:1523593 PubMed40213390

2025

KIF2C is essential for meiosis and manchette dynamics in male mice.

Applications

Unspecified application

Species

Unspecified reactive species

Ryua Harima,Mayu Kishinami,Kenshiro Hara,Kentaro Tanemura

Nature 641:465-475 PubMed40108458

2025

Dynamic cytoskeletal regulation of cell shape supports resilience of lymphatic endothelium.

Applications

Unspecified application

Species

Unspecified reactive species

Hans Schoofs,Nina Daubel,Sarah Schnabellehner,Max L B Grönloh,Sebastián Palacios Martínez,Aleksi Halme,Amanda M Marks,Marie Jeansson,Sara Barcos,Cord Brakebusch,Rui Benedito,Britta Engelhardt,Dietmar Vestweber,Konstantin Gaengel,Fabian Linsenmeier,Sebastian Schürmann,Pipsa Saharinen,Jaap D van Buul,Oliver Friedrich,Richard S Smith,Mateusz Majda,Taija Mäkinen

Human cell 38:70 PubMed40100482

2025

Role of hepatocellular senescence in the development of hepatocellular carcinoma and the potential for therapeutic manipulation.

Applications

Unspecified application

Species

Unspecified reactive species

Pramudi Wijayasiri,Stuart Astbury,Grace Needham,Philip Kaye,Mamatha Bhat,Anna M Piccinini,Aloysious D Aravinthan

Advanced science (Weinheim, Baden-Wurttemberg, Germany) 12:e2414325 PubMed40091686

2025

Sperm-Derived CircRNA-1572 Regulates Embryogenesis and Zygotic Genome Activation by Targeting CCNB2 via Bta-miR-2478-L-2.

Applications

Unspecified application

Species

Unspecified reactive species

Yanfang Wu,Yaochang Wei,Yuelin Li,Yiming Dou,YongQiang Yang,Hanghang Liu,Xiaoyan Wang,Zheng Wang,Jianmin Su,Yong Zhang,Yongsheng Wang

Nature communications 16:2579 PubMed40089461

2025

High resolution profiling of cell cycle-dependent protein and phosphorylation abundance changes in non-transformed cells.

Applications

Unspecified application

Species

Unspecified reactive species

Camilla Rega,Ifigenia Tsitsa,Theodoros I Roumeliotis,Izabella Krystkowiak,Maria Portillo,Lu Yu,Julia Vorhauser,Jonathon Pines,Jörg Mansfeld,Jyoti Choudhary,Norman E Davey
View all publications

Abcam Product Promise

我们致力于为您的研究提供高质量的试剂,为您科研的每一步提供支持。若我们的产品未能达到预期性能,我们向您提供 Abcam Product Promise 保障。
详情请参阅我们的条款与条件。

Please note: All products are 'FOR RESEARCH USE ONLY. NOT FOR USE IN DIAGNOSTIC OR THERAPEUTIC PROCEDURES'.

For licensing inquiries, please contact partnerships@abcam.com