JavaScript is disabled in your browser. Please enable JavaScript to view this website.
AB280377

重组Anti-Alpha-synuclein抗体[42/a-Synuclein]

Anti-Alpha-synuclein antibody [42/a-Synuclein]

Be the first to review this product! Submit a review

|

(5 Publications)

Mouse Recombinant Monoclonal Alpha-synuclein antibody. Suitable for WB, IHC-P and reacts with Mouse, Rat, Human samples. Cited in 5 publications.

查看别名

NACP, PARK1, SNCA, Alpha-synuclein, Non-A beta component of AD amyloid, Non-A4 component of amyloid precursor

4 Images
Immunohistochemistry (Formalin/PFA-fixed paraffin-embedded sections) - Anti-Alpha-synuclein antibody [42/a-Synuclein] (AB280377)
  • IHC-P

Supplier Data

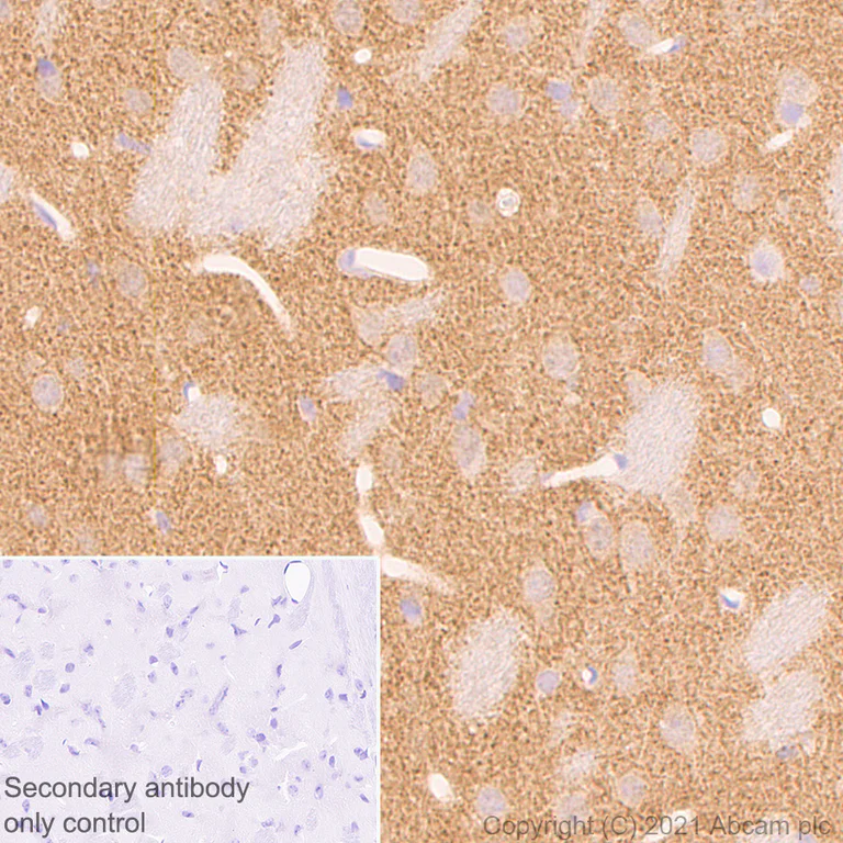
Immunohistochemistry (Formalin/PFA-fixed paraffin-embedded sections) - Anti-Alpha-synuclein antibody [42/a-Synuclein] (AB280377)

Immunohistochemical analysis of paraffin-embedded Human cerebrum tissue labeling Alpha-synuclein with ab280377 at 1/5000 (0.221 ug/ml) dilution followed by a ready to use LeicaDS9800 (Bond™ Polymer Refine Detection) was used. Cytoplasmic staining in human cerebrum.The section was incubated with ab280377 for 10 mins at room temperature.The immunostaining was performed on a Leica Biosystems BOND® RX instrument Counterstained with Hematoxylin.

Secondary antibody only control : Secondary antibody is a ready to use LeicaDS9800 (Bond™ Polymer Refine Detection) was used.

Heat mediated antigen retrieval with Citrate buffer (pH 6.0, epitope retrieval solution 1) for 20 mins

Immunohistochemistry (Formalin/PFA-fixed paraffin-embedded sections) - Anti-Alpha-synuclein antibody [42/a-Synuclein] (AB280377)
  • IHC-P

Supplier Data

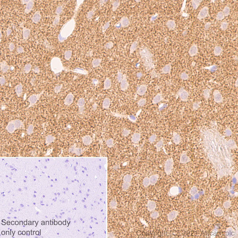
Immunohistochemistry (Formalin/PFA-fixed paraffin-embedded sections) - Anti-Alpha-synuclein antibody [42/a-Synuclein] (AB280377)

Immunohistochemical analysis of paraffin-embedded Mouse cerebrum tissue labeling Alpha-synuclein with ab280377 at 1/5000 (0.221 ug/ml) dilution followed by a ready to use LeicaDS9800 (Bond™ Polymer Refine Detection) was used. Cytoplasmic staining in mouse cerebrum.The section was incubated with ab280377 for 10 mins at room temperature.The immunostaining was performed on a Leica Biosystems BOND® RX instrument Counterstained with Hematoxylin.

Secondary antibody only control : Secondary antibody is a ready to use LeicaDS9800 (Bond™ Polymer Refine Detection) was used.

Heat mediated antigen retrieval with Citrate buffer (pH 6.0, epitope retrieval solution 1) for 20 mins

Immunohistochemistry (Formalin/PFA-fixed paraffin-embedded sections) - Anti-Alpha-synuclein antibody [42/a-Synuclein] (AB280377)
  • IHC-P

Supplier Data

Immunohistochemistry (Formalin/PFA-fixed paraffin-embedded sections) - Anti-Alpha-synuclein antibody [42/a-Synuclein] (AB280377)

Immunohistochemical analysis of paraffin-embedded Rat cerebrum tissue labeling Alpha-synuclein with ab280377 at 1/5000 (0.221 ug/ml) dilution followed by a ready to use LeicaDS9800 (Bond™ Polymer Refine Detection) was used. Cytoplasmic staining in rat cerebrum.The section was incubated with ab280377 for 10 mins at room temperature.The immunostaining was performed on a Leica Biosystems BOND® RX instrument Counterstained with Hematoxylin.

Secondary antibody only control : Secondary antibody is a ready to use LeicaDS9800 (Bond™ Polymer Refine Detection) was used.

Heat mediated antigen retrieval with Citrate buffer (pH 6.0, epitope retrieval solution 1) for 20 mins

Western blot - Anti-Alpha-synuclein antibody [42/a-Synuclein] (AB280377)
  • WB

Supplier Data

Western blot - Anti-Alpha-synuclein antibody [42/a-Synuclein] (AB280377)

Blocking and Diluting buffer and concentration : 5% NFDM/TBST

Negative control : mouse kidney, human kidney, rat kidney (PMID : 14997013)

The expression profile/ molecular weight observed is consistent with what has been described in the literature (PMID : 14997013, 30553024).

Exposure time 15 seconds

All lanes:

Western blot - Anti-Alpha-synuclein antibody [42/a-Synuclein] (ab280377) at 1/1000 dilution

Lane 1:

Mouse cerebellum lysate at 10 µg

Lane 2:

Mouse kidney lysate at 10 µg

Lane 3:

Human cerebellum lysate at 10 µg

Lane 4:

Human kidney lysate at 10 µg

Lane 5:

Rat hippocampus lysate at 10 µg

Lane 6:

Rat kidney lysate at 10 µg

Secondary

All lanes:

Peroxidase-Conjugated Goat anti-Mouse IgG (H+L) at 1/1000 dilution

Predicted band size: 14 kDa

Observed band size: 18 kDa

false

不同偶联物与剂型 (1)

  • Carrier free

    Anti-Alpha-synuclein antibody [42/a-Synuclein] - BSA and Azide free

关键信息

宿主种属

Mouse

克隆

Monoclonal

克隆号

42/a-Synuclein

亚型

IgG1

不含载体蛋白

No

反应种属

Mouse, Rat, Human

应用

WB, IHC-P

applications

反应性数据

{ "title": "Reactivity Data", "filters": { "stats": ["", "Species", "Dilution Info", "Notes"], "tabs": { "all-applications": {"fullname" : "All Applications", "shortname": "All Applications"}, "WB" : {"fullname" : "Western blot", "shortname":"WB"}, "IHCP" : {"fullname" : "Immunohistochemistry (Formalin/PFA-fixed paraffin-embedded sections)", "shortname":"IHC-P"}, "IHCFr" : {"fullname" : "Immunohistochemistry (Frozen sections)", "shortname":"IHC-Fr"}, "ICCIF" : {"fullname" : "Immunocytochemistry/ Immunofluorescence", "shortname":"ICC/IF"} }, "product-promise": { "all": "all", "testedAndGuaranteed": "tested", "guaranteed": "expected", "predicted": "predicted", "notRecommended": "not-recommended" } }, "values": { "Human": { "WB-species-checked": "testedAndGuaranteed", "WB-species-dilution-info": "1/1000", "WB-species-notes": "<p></p>", "IHCP-species-checked": "testedAndGuaranteed", "IHCP-species-dilution-info": "1/5000", "IHCP-species-notes": "<p></p>", "IHCFr-species-checked": "notRecommended", "IHCFr-species-dilution-info": "", "IHCFr-species-notes": "<p></p>", "ICCIF-species-checked": "notRecommended", "ICCIF-species-dilution-info": "", "ICCIF-species-notes": "" }, "Mouse": { "WB-species-checked": "testedAndGuaranteed", "WB-species-dilution-info": "1/1000", "WB-species-notes": "<p></p>", "IHCP-species-checked": "testedAndGuaranteed", "IHCP-species-dilution-info": "1/5000", "IHCP-species-notes": "<p></p>", "IHCFr-species-checked": "notRecommended", "IHCFr-species-dilution-info": "", "IHCFr-species-notes": "<p></p>", "ICCIF-species-checked": "notRecommended", "ICCIF-species-dilution-info": "", "ICCIF-species-notes": "<p></p>" }, "Rat": { "WB-species-checked": "testedAndGuaranteed", "WB-species-dilution-info": "1/1000", "WB-species-notes": "<p></p>", "IHCP-species-checked": "testedAndGuaranteed", "IHCP-species-dilution-info": "1/5000", "IHCP-species-notes": "<p></p>", "IHCFr-species-checked": "notRecommended", "IHCFr-species-dilution-info": "", "IHCFr-species-notes": "<p></p>", "ICCIF-species-checked": "notRecommended", "ICCIF-species-dilution-info": "", "ICCIF-species-notes": "<p></p>" } } }

产品详情

What are the advantages of a recombinant monoclonal antibody?
This product is a recombinant monoclonal antibody, which offers several advantages including:

  • - High batch-to-batch consistency and reproducibility
  • - Improved sensitivity and specificity
  • - Long-term security of supply
  • - Animal-free batch production

For more information, read more on recombinant antibodies.

性能和储存信息

形式
Liquid
纯化工艺
Affinity purification Protein A
存储溶液
Preservative: 0.01% Sodium azide Constituents: PBS, 40% Glycerol (glycerin, glycerine), 0.05% BSA
运输条件
Blue Ice
推荐的短期储存时间
1-2 weeks
推荐的短期储存条件
+4°C
推荐的长期储存条件
-20°C
分装信息
Upon delivery aliquot
储存信息
Avoid freeze / thaw cycle

补充信息

This supplementary information is collated from multiple sources and compiled automatically.

Alpha-synuclein often referred to by alternate names such as SNCA is a protein of around 14 kDa mass. It mainly expresses in the brain particularly in presynaptic nerve terminals. This protein functions mechanically by stabilizing synaptic vesicles and maintaining synaptic function. It exists both in soluble monomer forms and as aggregates in protein filaments. Antibodies like 4D6 and EP1536Y target monomer forms of protein for more detailed studies.
Biological function summary

The alpha-synuclein protein plays critical roles in neuronal activity. It contributes to neurotransmitter release regulation by acting in the formation and plasticity of the presynaptic neuronal network. Alpha-synuclein doesn't usually form parts of large protein complexes but it may associate transiently with membranes and vesicular structures. The protein's monomer form has also been observed in alpha lines and related neuronal processes operating alongside various cellular functions.

Pathways

Synaptic vesicle trafficking and dopamine neurotransmitter release are significant areas involving the alpha-synuclein protein. In these pathways alpha-synuclein interacts with other proteins like synaptophysin and protein monomer monomerizations are intrinsic to these processes. Altered function or aggregation of alpha-synuclein disrupts these pathways influencing broader neurological functions.

Alterations or accumulations of alpha-synuclein are strongly linked to Parkinson's disease and Lewy body dementia. In these conditions alpha-synuclein forms abnormal protein filaments known as Lewy bodies within neurons. These formations disrupt cellular processes and neuron health. Synucleinopathies such as these show connections with proteins like parkin and DJ-1 which also have key roles in these neurodegenerative diseases.

产品实验方案

For this product, it's our understanding that no specific protocols are required. You can visit:

靶点信息

The protein expressed by the SNCA gene is involved in various synaptic activities, including the regulation of synaptic vesicle trafficking and neurotransmitter release. As a monomer, it enhances synaptic vesicle exocytosis through vesicle priming, fusion, and dilation of exocytotic fusion pores. Mechanistically, it increases local Ca(2+) release, which is crucial for ATP-induced exocytosis. In its multimeric membrane-bound form, SNCA acts as a molecular chaperone, assisting in the folding of synaptic fusion components known as SNAREs at the presynaptic plasma membrane, in conjunction with cysteine string protein-alpha/DNAJC5, a function that is vital for maintaining normal SNARE-complex assembly during aging. Additionally, SNCA plays a role in dopamine neurotransmission regulation by associating with the dopamine transporter (DAT1) and modulating its activity. This supplementary information is collated from multiple sources and compiled automatically.
See full target information SNCA

文献 (5)

Recent publications for all applications. Explore the full list and refine your search

Alzheimer's & dementia : the journal of the Alzheimer's Association 21:e70730 PubMed40990068

2025

PINK1 deficiency permits the development of Lewy body dementia with coexisting Aβ pathology.

Applications

Unspecified application

Species

Unspecified reactive species

Tong-Yao Gao,Xu-Zheng Wang,Yu-Han Xie,Tong Wang,Yun-Bi Lu,Lu-Long Huang,Cong Chen,Ming Zhang,Xin Ma,Ya-Ling Chen,Fu-Xiang Liang,Zhi-Ling Lou,Jin-Sheng Li,Yi-Fan Yu,Jian-Bin Wu,Xiao-Ru Ma,Hua-Li Wang,Chun Tang,Wei-Ping Zhang

International journal of molecular sciences 25: PubMed39273333

2024

The Bifunctional Dimer Caffeine-Indan Attenuates α-Synuclein Misfolding, Neurodegeneration and Behavioral Deficits after Chronic Stimulation of Adenosine A1 Receptors.

Applications

Unspecified application

Species

Unspecified reactive species

Elisabet Jakova,Omozojie P Aigbogun,Mohamed Taha Moutaoufik,Kevin J H Allen,Omer Munir,Devin Brown,Changiz Taghibiglou,Mohan Babu,Chris P Phenix,Ed S Krol,Francisco S Cayabyab

Nature communications 15:7712 PubMed39231947

2024

10-hydroxy-2-decenoic acid prevents osteoarthritis by targeting aspartyl β hydroxylase and inhibiting chondrocyte senescence in male mice preclinically.

Applications

Unspecified application

Species

Unspecified reactive species

Nana Geng,Mengtian Fan,Biao Kuang,Fengmei Zhang,Menglin Xian,Lin Deng,Cheng Chen,Yiming Pan,Jianqiang Chen,Naibo Feng,Li Liang,Yuanlan Ye,Kaiwen Liu,Xiaoli Li,Yu Du,Fengjin Guo

Journal of neuroinflammation 20:36 PubMed36788559

2023

α-Synuclein induces prodromal symptoms of Parkinson's disease via activating TLR2/MyD88/NF-κB pathway in Schwann cells of vagus nerve in a rat model.

Applications

Unspecified application

Species

Unspecified reactive species

Yue Cheng,Qing Tong,Yongsheng Yuan,Xinna Song,Wenwen Jiang,Yueping Wang,Wenjie Li,Yangxia Li,Kezhong Zhang

Evidence-based complementary and alternative medicine : eCAM 2022:9191284 PubMed36437828

2022

Therapeutic and Neuroprotective Effects of Bushen Jianpi Decoction on a Rotenone-Induced Rat Model of Parkinson's Disease.

Applications

Unspecified application

Species

Unspecified reactive species

Wei Liang,Lulu Yao,Jiahao Chen,Zhiying Chen,Xiling Wu,Xiaobo Huang
View all publications

Abcam Product Promise

我们致力于为您的研究提供高质量的试剂,为您科研的每一步提供支持。若我们的产品未能达到预期性能,我们向您提供 Abcam Product Promise 保障。
详情请参阅我们的条款与条件。

Please note: All products are 'FOR RESEARCH USE ONLY. NOT FOR USE IN DIAGNOSTIC OR THERAPEUTIC PROCEDURES'.

For licensing inquiries, please contact partnerships@abcam.com