JavaScript is disabled in your browser. Please enable JavaScript to view this website.
AB214033

重组Anti-Alpha-synuclein aggregate抗体[MJFR-14-6-4-2] - BSA and Azide free

Anti-Alpha-synuclein aggregate antibody [MJFR-14-6-4-2] - BSA and Azide free

Be the first to review this product! Submit a review

|

(8 Publications)

Rabbit Recombinant Monoclonal Alpha-synuclein antibody. Carrier free. Suitable for Dot, IHC-P, ICC/IF and reacts with Recombinant fragment - Human, Mouse, Rat, Human samples. Cited in 8 publications.

查看别名

NACP, PARK1, SNCA, Alpha-synuclein, Non-A beta component of AD amyloid, Non-A4 component of amyloid precursor

9 Images
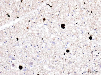
Immunohistochemistry (Formalin/PFA-fixed paraffin-embedded sections) - Anti-Alpha-synuclein aggregate antibody [MJFR-14-6-4-2] - BSA and Azide free (AB214033)
  • IHC-P

Unknown

Immunohistochemistry (Formalin/PFA-fixed paraffin-embedded sections) - Anti-Alpha-synuclein aggregate antibody [MJFR-14-6-4-2] - BSA and Azide free (AB214033)

Clone MJFR-14-6-4-2 (ab214033) has been successfully conjugated by Abcam. This image was generated using Anti-Alpha-synuclein aggregate antibody [MJFR-14-6-4-2] - Conformation-Specific (Alexa Fluor® 647). Please refer to ab216309 for protocol details.

IHC image of alpha-synuclein aggregate staining in a section of formalin-fixed paraffin-embedded Parkinson human substantia nigra*.

The section was pre-treated using heat mediated antigen retrieval with sodium citrate buffer (pH6) in a Biocare Medical NxGen pressure cooker using retrieval settings of 110oC for 8 minutes. Non-specific protein-protein interactions were then blocked in TBS containing 0.025% (v/v) Triton X-100, 0.3M (w/v) glycine and 1% (w/v) BSA for 1h at room temperature. The section was then incubated overnight at +4°C in TBS containing 0.025% (v/v) Triton X-100 and 1% (w/v) BSA with ab216309 at 1/5000 dilution (shown in red) and counterstained using ab195887, Mouse monoclonal to alpha Tubulin (Alexa Fluor® 488), at 1/250 dilution (shown in green). Nuclear DNA was labelled with DAPI (shown in blue). The section was then mounted using Fluoromount®.

Image was taken with a confocal microscope (Leica-Microsystems, TCS SP8).

For other IHC staining systems (automated and non-automated), customers should optimize variable parameters such as antigen retrieval conditions, antibody concentrations and incubation times.

*Tissue obtained from the Human Research Tissue Bank, supported by the NIHR Cambridge Biomedical Research Centre.

Immunohistochemistry (Frozen sections) - Anti-Alpha-synuclein aggregate antibody [MJFR-14-6-4-2] - BSA and Azide free (AB214033)
  • IHC-Fr

Unknown

Immunohistochemistry (Frozen sections) - Anti-Alpha-synuclein aggregate antibody [MJFR-14-6-4-2] - BSA and Azide free (AB214033)

Clone MJFR-14-6-4-2 (ab214033) has been successfully conjugated by Abcam. This image was generated using Anti-Alpha-synuclein aggregate antibody [MJFR-14-6-4-2] - Conformation-Specific (Alexa Fluor® 488). Please refer to ab216124 for protocol details.

IHC image of alpha-synuclein aggregate staining in a section of frozen Parkinson human substantia nigra*.

The section was fixed using 10% formaldehyde in 1XPBS for 10 minutes. No antigen retrieval step was performed prior to staining. Non-specific protein-protein interactions were then blocked in TBS containing 0.025% (v/v) Triton X-100, 0.3M (w/v) glycine and 1% (w/v) BSA for 1h at room temperature.  The section was then incubated overnight at +4°C in TBS containing 0.025% (v/v) Triton X-100 and 1% (w/v) BSA with ab216124 at 1/100 dilution (shown in green) and counterstained using ab195884, Rat monoclonal to Tubulin (Alexa Fluor® 647), at 1/250 dilution (shown in red). Nuclear DNA was labelled with DAPI (shown in blue). The section was then mounted using Fluoromount®.

Image was taken with a confocal microscope (Leica-Microsystems, TCS SP8).

For other IHC staining systems (automated and non-automated), customers should optimize variable parameters such as antigen retrieval conditions, antibody concentrations and incubation times.

*Tissue obtained from the Human Research Tissue Bank, supported by the NIHR Cambridge Biomedical Research Centre.

Immunohistochemistry (Formalin/PFA-fixed paraffin-embedded sections) - Anti-Alpha-synuclein aggregate antibody [MJFR-14-6-4-2] - BSA and Azide free (AB214033)
  • IHC-P

Collaborator

Immunohistochemistry (Formalin/PFA-fixed paraffin-embedded sections) - Anti-Alpha-synuclein aggregate antibody [MJFR-14-6-4-2] - BSA and Azide free (AB214033)

ab209538 staining Alpha-synuclein aggregate in Human DLB brain tissue sections by Immunohistochemistry (Formalin/PFA fixed paraffin embedded sections). Tissue was fixed with paraformaldehyde and blocked with 2% BSA for 10 minutes at 21°C; antigen retrieval was by heat mediation in Citric acid. Samples were incubated with primary antibody (1/10,000 in TBS) for 2 hours at 21°C. A biotin conjugated anti-rabbit IgG Goat polyclonal was used as the secondary antibody at 1/300 dilution.

This data was developed using the same antibody clone in a different buffer formulation containing PBS, BSA, glycerol, and sodium azide (ab209538).

This image is courtesy of an Abreview submitted by Carl Hobbs

Immunocytochemistry/ Immunofluorescence - Anti-Alpha-synuclein aggregate antibody [MJFR-14-6-4-2] - BSA and Azide free (AB214033)
  • ICC/IF

Supplier Data

Immunocytochemistry/ Immunofluorescence - Anti-Alpha-synuclein aggregate antibody [MJFR-14-6-4-2] - BSA and Azide free (AB214033)

This ICC/IF data was generated using the same anti-alpha synuclein aggregate antibody clone, MJFR-14-6-4-2, in a different buffer formulation (cat# ab209538).

Immunofluorescent analysis of 4% paraformaldehyde-fixed, 0.2% Triton X-100 permeabilized ReNcell VM (Human neural progenitor) cells labeling Alpha-synuclein aggregate with ab209538 at 1/5000 dilution, followed by Alexa Fluor® 647 Donkey anti-Rabbit IgG (H+L) secondary antibody at 1/400 dilution (red).

Blocking buffer : 3% bovine serum albumin and 2% fetal bovine serum.

ReNcell VM cells were differentiated in media containing cAMP and GDNF (without bFGF or EGF) and transduced with Ad5C01 viral vector encoding human alpha-synuclein filament (Left image). Right image show control vector cells.

Images were reproduced courtesy of Charles River.

Immunocytochemistry/ Immunofluorescence - Anti-Alpha-synuclein aggregate antibody [MJFR-14-6-4-2] - BSA and Azide free (AB214033)
  • ICC/IF

Supplier Data

Immunocytochemistry/ Immunofluorescence - Anti-Alpha-synuclein aggregate antibody [MJFR-14-6-4-2] - BSA and Azide free (AB214033)

Immunofluorescent analysis of 4% paraformaldehyde-fixed, 0.2% Triton X-100 permeabilized ReNcell VM (Human neural progenitor) cells labeling Alpha-synuclein aggregate with ab209538 at 1/5000 dilution, followed by Alexa Fluor® 647 Donkey anti-Rabbit IgG (H+L) secondary antibody at 1/400 dilution (red).

Upper panel counterstain : Anti-aggregated alpha-synuclein antibody clone 5G4 at 1/400 dilution, followed by AlexaFluor®488 secondary detection (green).

Lower panel counterstain : Anti-alpha/beta-synculein antibody at 1/200 dilution, followed by Alexa Fluor® 488 secondary detection (green).

Blocking buffer : 3% bovine serum albumin and 2% fetal bovine serum.

ReNcell VM cells were differentiated in media containing cAMP and GDNF (without bFGF or EGF) and transduced with Ad5C01 viral vector encoding human WT alpha-synuclein filament.

Images were reproduced courtesy of Charles River.

This data was developed using the same antibody clone in a different buffer formulation containing PBS, BSA, glycerol, and sodium azide (ab209538).

Immunohistochemistry (Formalin/PFA-fixed paraffin-embedded sections) - Anti-Alpha-synuclein aggregate antibody [MJFR-14-6-4-2] - BSA and Azide free (AB214033)
  • IHC-P

Collaborator

Immunohistochemistry (Formalin/PFA-fixed paraffin-embedded sections) - Anti-Alpha-synuclein aggregate antibody [MJFR-14-6-4-2] - BSA and Azide free (AB214033)

This IHC data was generated using the same anti-alpha synuclein aggregate antibody clone, MJFR-14-6-4-2, in a different buffer formulation (cat# ab209538).

ab209538 staining Alpha-synuclein aggregate in rat dorsal root ganglian (DRG) tissue sections by Immunohistochemistry (PFA perfusion fixed frozen sections). Tissue samples were fixed by perfusion with formaldehyde, cut into 20 micron slices and blocked with 2% BSA for 10 minutes at 21°C and antigen retrieval was by heat mediation in citrate buffer. The sample was incubated with primary antibody (1/2000 in TBS/BSA/azide) at 21°C for 2 hours. An Alexa Fluor® 555-conjugated Goat anti-rabbit polyclonal (1/300) was used as the secondary antibody.

This image is courtesy of an Abreview by Carl Hobbs.

Immunohistochemistry (Formalin/PFA-fixed paraffin-embedded sections) - Anti-Alpha-synuclein aggregate antibody [MJFR-14-6-4-2] - BSA and Azide free (AB214033)
  • IHC-P

AbReview53483****

Immunohistochemistry (Formalin/PFA-fixed paraffin-embedded sections) - Anti-Alpha-synuclein aggregate antibody [MJFR-14-6-4-2] - BSA and Azide free (AB214033)

ab209538 staining Alpha-synuclein aggregate in mouse colon tissue sections by Immunohistochemistry (PFA perfusion fixed frozen sections). Tissue samples were fixed by perfusion with formaldehyde, cut into 20 micron slices, blocked with 2% BSA for 10 minutes at 21°C and antigen retrieval was by heat mediation in citrate buffer. The sample was incubated with primary antibody (1/2000 in TBS/BSA/azide) at 21°C for 2 hours. A biotin-conjugated goat anti-rabbit polyclonal (1/300) was used as the secondary antibody.

This data was developed using the same antibody clone in a different buffer formulation containing PBS, BSA, glycerol, and sodium azide (ab209538).

This image is courtesy of an Abreview submitted by Carl Hobbs.

Dot Blot - Anti-Alpha-synuclein aggregate antibody [MJFR-14-6-4-2] - BSA and Azide free (AB214033)
  • Dot

Supplier Data

Dot Blot - Anti-Alpha-synuclein aggregate antibody [MJFR-14-6-4-2] - BSA and Azide free (AB214033)

Dot blot analysis of alpha-synuclein filament labeled with ab209538 at 2.2 ng/ml.

Lane 1 : Recombinant alpha-synuclein filament treated with 70% formic acid.

Lane 2 : Recombinant alpha-synuclein filament treated with 70% formic acid.

Lane 3 : Untreated recombinant alpha-synuclein filament.

Lane 4 : Untreated recombinant alpha-synuclein filament.

Alpha Synuclein filaments were generated using full length recombinant alpha-synuclein (aa1-140) by incubation in 20mM TRIS, pH 7.2 at 37 °C with agitation.

Denaturation of filaments with 70% formic acid reduces antibody recognition by 30-100 fold, demonstrating conformation specificity.

Data is provided by Professor Poul Henning Jensen, Aarhus University, Denmark.

This data was developed using the same antibody clone in a different buffer formulation containing PBS, BSA, glycerol, and sodium azide (ab209538).

Dot Blot - Anti-Alpha-synuclein aggregate antibody [MJFR-14-6-4-2] - BSA and Azide free (AB214033)
  • Dot

Collaborator180918****

Dot Blot - Anti-Alpha-synuclein aggregate antibody [MJFR-14-6-4-2] - BSA and Azide free (AB214033)

Dot Blot showing the reactivity of ab209538 (2 ng/ml) with

F : alpha synuclein Filament

F+FA : alpha synuclein Filament treated in 50% formic acid for 1 h 37oC prior to application to the dot blot.

M+FA : alpha synuclein Monomer treated in 50% formic acid for 1 h 37oC prior to application to the dot blot.

Loading control antibody (1 : 1000) reacts with Alpha-synuclein irrespectively of it being in a filament, oligomer or a monomer.

This data was developed using the same antibody clone in a different buffer formulation containing PBS, BSA, glycerol, and sodium azide (ab209538).

Data is provided by Professor Poul Henning Jensen, Aarhus University, Denmark.

不同偶联物与剂型 (7)

  • Unconjugated

    Anti-Alpha-synuclein aggregate antibody [MJFR-14-6-4-2] - Conformation-Specific

  • 665 Alexa Fluor® 647

    Alexa Fluor® 647 Anti-Alpha-synuclein aggregate antibody [MJFR-14-6-4-2] - Conformation-Specific

  • 565 Alexa Fluor® 555

    Alexa Fluor® 555 Anti-Alpha-synuclein aggregate antibody [MJFR-14-6-4-2]

  • 519 Alexa Fluor® 488

    Alexa Fluor® 488 Anti-Alpha-synuclein aggregate antibody [MJFR-14-6-4-2] - Conformation-Specific

  • 617 Alexa Fluor® 594

    Alexa Fluor® 594 Anti-Alpha-synuclein aggregate antibody [MJFR-14-6-4-2]

  • Biotin

    Biotin Anti-Alpha-synuclein aggregate antibody [MJFR-14-6-4-2] - Conformation-Specific

  • Carrier free

    Anti-Alpha-synuclein antibody [MJFR-14-6-4-2] - BSA and Azide free (Capture)

关键信息

宿主种属

Rabbit

克隆

Monoclonal

克隆号

MJFR-14-6-4-2

亚型

IgG

不含载体蛋白

Yes

反应种属

Mouse, Rat, Human

应用

IHC-P, ICC/IF, Dot

applications

免疫原

The exact immunogen used to generate this antibody is proprietary information.

特异性

This antibody mainly recognizes alpha synuclein Filament, but also has weak cross-reactivity with alpha synuclein Monomer.

反应性数据

{ "title": "Reactivity Data", "filters": { "stats": ["", "Species", "Dilution Info", "Notes"], "tabs": { "all-applications": {"fullname" : "All Applications", "shortname": "All Applications"}, "Dot" : {"fullname" : "Dot Blot", "shortname":"Dot"}, "WB" : {"fullname" : "Western blot", "shortname":"WB"}, "IHCP" : {"fullname" : "Immunohistochemistry (Formalin/PFA-fixed paraffin-embedded sections)", "shortname":"IHC-P"}, "ICCIF" : {"fullname" : "Immunocytochemistry/ Immunofluorescence", "shortname":"ICC/IF"} }, "product-promise": { "all": "all", "testedAndGuaranteed": "tested", "guaranteed": "expected", "predicted": "predicted", "notRecommended": "not-recommended" } }, "values": { "Human": { "Dot-species-checked": "guaranteed", "Dot-species-dilution-info": "", "Dot-species-notes": "", "WB-species-checked": "notRecommended", "WB-species-dilution-info": "", "WB-species-notes": "<p></p>", "IHCP-species-checked": "testedAndGuaranteed", "IHCP-species-dilution-info": "", "IHCP-species-notes": "<p></p>", "ICCIF-species-checked": "testedAndGuaranteed", "ICCIF-species-dilution-info": "", "ICCIF-species-notes": "<p></p>" }, "Mouse": { "Dot-species-checked": "guaranteed", "Dot-species-dilution-info": "", "Dot-species-notes": "", "WB-species-checked": "notRecommended", "WB-species-dilution-info": "", "WB-species-notes": "<p></p>", "IHCP-species-checked": "testedAndGuaranteed", "IHCP-species-dilution-info": "", "IHCP-species-notes": "<p></p>", "ICCIF-species-checked": "guaranteed", "ICCIF-species-dilution-info": "", "ICCIF-species-notes": "" }, "Rat": { "Dot-species-checked": "guaranteed", "Dot-species-dilution-info": "", "Dot-species-notes": "", "WB-species-checked": "notRecommended", "WB-species-dilution-info": "", "WB-species-notes": "<p></p>", "IHCP-species-checked": "testedAndGuaranteed", "IHCP-species-dilution-info": "", "IHCP-species-notes": "<p></p>", "ICCIF-species-checked": "guaranteed", "ICCIF-species-dilution-info": "", "ICCIF-species-notes": "" }, "Recombinant fragment - Human": { "Dot-species-checked": "testedAndGuaranteed", "Dot-species-dilution-info": "", "Dot-species-notes": "<p></p>", "WB-species-checked": "notRecommended", "WB-species-dilution-info": "", "WB-species-notes": "", "IHCP-species-checked": "notRecommended", "IHCP-species-dilution-info": "", "IHCP-species-notes": "", "ICCIF-species-checked": "notRecommended", "ICCIF-species-dilution-info": "", "ICCIF-species-notes": "" } } }

产品详情

ab214033 is the carrier-free version of ab209538.

ab214033 is not suitable for WB or other denaturing conditions, as it is conformation-specific.

This antibody is useful for studying Parkinson's disease and other synucleinopathies including dementia with Lewy bodies and multiple system atrophy.

Patented technology
Our RabMAb® technology is a patented hybridoma-based technology for making rabbit monoclonal antibodies. For details on our patents, please refer to RabMAb® patents.

What are the advantages of a recombinant monoclonal antibody?
This product is a recombinant monoclonal antibody, which offers several advantages including:

  • - High batch-to-batch consistency and reproducibility
  • - Improved sensitivity and specificity
  • - Long-term security of supply
  • - Animal-free batch production

For more information, read more on recombinant antibodies.

Conjugation ready
Our carrier-free antibodies are typically supplied in a PBS-only formulation, purified and free of BSA, sodium azide and glycerol. This conjugation-ready format is designed for use with fluorochromes, metal isotopes, oligonucleotides, and enzymes, which makes them ideal for antibody labelling, functional and cell-based assays, flow-based assays (e.g. mass cytometry) and Multiplex Imaging applications.

Use our conjugation kits for antibody conjugates that are ready-to-use in as little as 20 minutes with 1 minute hands-on-time and 100% antibody recovery: available for fluorescent dyes, HRP, biotin and gold.

Compatibility
This product is compatible with the Maxpar® Antibody Labeling Kit from Fluidigm, without the need for antibody preparation. Maxpar® is a trademark of Fluidigm Canada Inc.

Collaborations
This antibody was developed with support from The Michael J. Fox Foundation.

性能和储存信息

形式
Liquid
纯化工艺
Affinity purification Protein A
存储溶液
pH: 7.2 - 7.4 Constituents: PBS
运输条件
Blue Ice
推荐的短期储存条件
+4°C
推荐的长期储存条件
+4°C
储存信息
Do Not Freeze

补充信息

This supplementary information is collated from multiple sources and compiled automatically.

Alpha-synuclein aggregates are critical in the study of neurobiology. These aggregates form by accumulation of alpha-synuclein a protein that exists mostly in neural tissues. Also known as SNCA this protein has a mass of approximately 14 kDa. Researchers frequently find alpha-synuclein in presynaptic terminals of neurons but expression also occurs in the nucleus and cytoplasm of neuronal cells. This protein has a notable interaction with lipid membranes indicating its role in synaptic vesicle regulation.
Biological function summary

Alpha-synuclein manages several cellular processes most notably in neurotransmitter release and vesicle recycling. It does not work alone; it often forms complexes with other proteins like synaptobrevin-2 of the SNARE complex. The formation of these complexes allows for the proper functioning of synaptic vesicles. Alteration in alpha-synuclein's normal function through aggregation disrupts these processes which underlies many neural complications.

Pathways

Many neuronal functions depend on alpha-synuclein's participation in synaptic vesicle pathways. Key pathways include the dopamine metabolic pathway where alpha-synuclein regulates dopamine release. The protein interacts with other synaptic proteins like the SNARE proteins potentially affecting protein kinase pathways. Abnormal aggregation impacts these pathways which can propagate cellular stress and contribute to cellular degeneration.

Alpha-synuclein aggregation correlates strongly with Parkinson's disease and Lewy body dementia. In these conditions aggregates form Lewy bodies protein clusters within neurons that impair their function and encourage neural degradation. The protein interacts with structural proteins like ubiquitin. Ubiquitin involvement highlights the importance of degradation pathways in these disorders as impaired proteostasis due to aggregated alpha-synuclein exacerbates disease progression.

产品实验方案

For this product, it's our understanding that no specific protocols are required. You can visit:

靶点信息

The protein expressed by the SNCA gene is involved in various synaptic activities, including the regulation of synaptic vesicle trafficking and neurotransmitter release. As a monomer, it enhances synaptic vesicle exocytosis through vesicle priming, fusion, and dilation of exocytotic fusion pores. Mechanistically, it increases local Ca(2+) release, which is crucial for ATP-induced exocytosis. In its multimeric membrane-bound form, SNCA acts as a molecular chaperone, assisting in the folding of synaptic fusion components known as SNAREs at the presynaptic plasma membrane, in conjunction with cysteine string protein-alpha/DNAJC5, a function that is vital for maintaining normal SNARE-complex assembly during aging. Additionally, SNCA plays a role in dopamine neurotransmission regulation by associating with the dopamine transporter (DAT1) and modulating its activity. This supplementary information is collated from multiple sources and compiled automatically.
See full target information SNCA

文献 (8)

Recent publications for all applications. Explore the full list and refine your search

Acta pharmaceutica Sinica. B 15:3092-3106 PubMed40654364

2025

ALKBH3-regulated mA of ALDOA potentiates glycolysis and doxorubicin resistance of triple negative breast cancer cells.

Applications

Unspecified application

Species

Unspecified reactive species

Yuhua Deng,Zhiyan Chen,Peixian Chen,Yaming Xiong,Chuling Zhang,Qiuyuan Wu,Huiqi Huang,Shuqing Yang,Kun Zhang,Tiancheng He,Wei Li,Guolin Ye,Wei Luo,Hongsheng Wang,Dan Zhou

Acta neuropathologica 149:41 PubMed40314782

2025

Abundant non-inclusion α-synuclein pathology in Lewy body-negative LRRK2-mutant cases.

Applications

Unspecified application

Species

Unspecified reactive species

Nanna Møller Jensen,Zagorka Vitic,Mia R Antorini,Tobias Bruun Viftrup,Laura Parkkinen,Poul Henning Jensen

Advanced science (Weinheim, Baden-Wurttemberg, Germany) 12:e2410229 PubMed39804980

2025

Molecular Determinants of Protein Pathogenicity at the Single-Aggregate Level.

Applications

Unspecified application

Species

Unspecified reactive species

Agnieszka Urbanek,Emma F Garland,Emily E Prescott,Marianne C King,Anna Olerinyova,Hollie E Wareing,Nia Georgieva,Ellie L Bradshaw,Svetomir B Tzokov,Alexander Knight,Alexander I Tartakovskii,Tarja Malm,J Robin Highley,Suman De

NPJ Parkinson's disease 10:227 PubMed39613827

2024

MJF-14 proximity ligation assay detects early non-inclusion alpha-synuclein pathology with enhanced specificity and sensitivity.

Applications

Unspecified application

Species

Unspecified reactive species

Nanna Møller Jensen,YuHong Fu,Cristine Betzer,Hongyun Li,Sara Elfarrash,Ali H Shaib,Donatus Krah,Zagorka Vitic,Lasse Reimer,Hjalte Gram,Vladimir Buchman,Mark Denham,Silvio O Rizzoli,Glenda M Halliday,Poul Henning Jensen

Translational neurodegeneration 12:40 PubMed37620916

2023

α-Synuclein-carrying astrocytic extracellular vesicles in Parkinson pathogenesis and diagnosis.

Applications

Unspecified application

Species

Unspecified reactive species

Pan Wang,Guoyu Lan,Bin Xu,Zhenwei Yu,Chen Tian,Xia Lei,Wassilios G Meissner,Tao Feng,Ying Yang,Jing Zhang

Annals of neurology 92:230-245 PubMed35596947

2022

Parkinson's Disease Derived Exosomes Aggravate Neuropathology in SNCA*A53T Mice.

Applications

Unspecified application

Species

Unspecified reactive species

Yang Huang,Zongran Liu,Na Li,Chen Tian,Han Yang,Yanfei Huo,Yang Li,Jing Zhang,Zhenwei Yu

Neurobiology of disease 161:105543 PubMed34737044

2021

ABBV-0805, a novel antibody selective for soluble aggregated α-synuclein, prolongs lifespan and prevents buildup of α-synuclein pathology in mouse models of Parkinson's disease.

Applications

Unspecified application

Species

Unspecified reactive species

Eva Nordström,Fredrik Eriksson,Jessica Sigvardson,Malin Johannesson,Alex Kasrayan,Martina Jones-Kostalla,Paulina Appelkvist,Linda Söderberg,Patrik Nygren,Magdalena Blom,Adeline Rachalski,Karin Nordenankar,Olof Zachrisson,Ebba Amandius,Gunilla Osswald,Mikael Moge,Martin Ingelsson,Joakim Bergström,Lars Lannfelt,Christer Möller,Marco Giorgetti,Johanna Fälting

Communications biology 4:613 PubMed34021258

2021

Super-resolution imaging reveals α-synuclein seeded aggregation in SH-SY5Y cells.

Applications

Unspecified application

Species

Unspecified reactive species

Jason C Sang,Eric Hidari,Georg Meisl,Rohan T Ranasinghe,Maria Grazia Spillantini,David Klenerman
View all publications

Abcam Product Promise

我们致力于为您的研究提供高质量的试剂,为您科研的每一步提供支持。若我们的产品未能达到预期性能,我们向您提供 Abcam Product Promise 保障。
详情请参阅我们的条款与条件。

Please note: All products are 'FOR RESEARCH USE ONLY. NOT FOR USE IN DIAGNOSTIC OR THERAPEUTIC PROCEDURES'.

For licensing inquiries, please contact partnerships@abcam.com