JavaScript is disabled in your browser. Please enable JavaScript to view this website.
AB133673

重组Anti-Alpha SNAP抗体[EPR7372]

Anti-Alpha SNAP antibody [EPR7372]

Be the first to review this product! Submit a review

|

(3 Publications)

Rabbit Recombinant Monoclonal Alpha SNAP antibody. Suitable for IHC-P, WB, ICC/IF and reacts with Human, Mouse, Rat samples. Cited in 3 publications.

查看别名

SNAPA, NAPA, Alpha-soluble NSF attachment protein, SNAP-alpha, N-ethylmaleimide-sensitive factor attachment protein alpha

4 Images
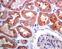
Immunohistochemistry (Formalin/PFA-fixed paraffin-embedded sections) - Anti-Alpha SNAP antibody [EPR7372] (AB133673)
  • IHC-P

Unknown

Immunohistochemistry (Formalin/PFA-fixed paraffin-embedded sections) - Anti-Alpha SNAP antibody [EPR7372] (AB133673)

Immunohistochemical analysis of paraffin embedded Human kidney tissue labelling Alpha SNAP with ab133673 at 1/50.

Perform heat mediated antigen retrieval with citrate buffer pH 6 before commencing with IHC staining protocol.

Immunocytochemistry/ Immunofluorescence - Anti-Alpha SNAP antibody [EPR7372] (AB133673)
  • ICC/IF

Unknown

Immunocytochemistry/ Immunofluorescence - Anti-Alpha SNAP antibody [EPR7372] (AB133673)

Immunofluorescent staining of HepG2 cells labelling Alpha SNAP with ab133673 at 1/100.

Western blot - Anti-Alpha SNAP antibody [EPR7372] (AB133673)
  • WB

Unknown

Western blot - Anti-Alpha SNAP antibody [EPR7372] (AB133673)

All lanes:

Western blot - Anti-Alpha SNAP antibody [EPR7372] (ab133673) at 1/1000 dilution

Lane 1:

HeLa cell lysate at 10 µg

Lane 2:

Molt4 cell lysate at 10 µg

Lane 3:

HepG2 cell lysate at 10 µg

Secondary

All lanes:

Goat anti-rabbit HRP conjugated antibody at 1/2000 dilution

Predicted band size: 33 kDa

false

OI-RD Scanning - Anti-Alpha SNAP antibody [EPR7372] (AB133673)
  • OI-RD Scanning

Unknown

OI-RD Scanning - Anti-Alpha SNAP antibody [EPR7372] (AB133673)

We have systematically measured KD (the equilibrium dissociation constant between the antibody and its antigen), of more than 840 recombinant antibodies to assess not only their individual KD values but also to see the average affinity of antibody. Based on the comparison with published literature values for mouse monoclonal antibodies, Recombinant antibodies appear to be on average 1-2 order of magnitude higher affinity.

不同偶联物与剂型 (1)

  • Carrier free

    Anti-Alpha SNAP antibody [EPR7372] - BSA and Azide free

关键信息

宿主种属

Rabbit

克隆

Monoclonal

克隆号

EPR7372

亚型

IgG

不含载体蛋白

No

反应种属

Human

应用

ICC/IF, WB, IHC-P

applications

免疫原

The exact immunogen used to generate this antibody is proprietary information.

反应性数据

{ "title": "Reactivity Data", "filters": { "stats": ["", "Species", "Dilution Info", "Notes"], "tabs": { "all-applications": {"fullname" : "All Applications", "shortname": "All Applications"}, "IHCP" : {"fullname" : "Immunohistochemistry (Formalin/PFA-fixed paraffin-embedded sections)", "shortname":"IHC-P"}, "IP" : {"fullname" : "Immunoprecipitation", "shortname":"IP"}, "FlowCyt" : {"fullname" : "Flow Cytometry", "shortname":"Flow Cyt"}, "WB" : {"fullname" : "Western blot", "shortname":"WB"}, "ICCIF" : {"fullname" : "Immunocytochemistry/ Immunofluorescence", "shortname":"ICC/IF"} }, "product-promise": { "all": "all", "testedAndGuaranteed": "tested", "guaranteed": "expected", "predicted": "predicted", "notRecommended": "not-recommended" } }, "values": { "Human": { "IHCP-species-checked": "testedAndGuaranteed", "IHCP-species-dilution-info": "1/50 - 1/100", "IHCP-species-notes": "<p>Perform antigen retrieval before commencing with IHC staining protocol</p>", "IP-species-checked": "notRecommended", "IP-species-dilution-info": "", "IP-species-notes": "<p></p>", "FlowCyt-species-checked": "notRecommended", "FlowCyt-species-dilution-info": "", "FlowCyt-species-notes": "<p></p>", "WB-species-checked": "testedAndGuaranteed", "WB-species-dilution-info": "1/1000 - 1/10000", "WB-species-notes": "<p></p>", "ICCIF-species-checked": "testedAndGuaranteed", "ICCIF-species-dilution-info": "1/100 - 1/250", "ICCIF-species-notes": "<p></p>" }, "Mouse": { "IHCP-species-checked": "predicted", "IHCP-species-dilution-info": "", "IHCP-species-notes": "", "IP-species-checked": "notRecommended", "IP-species-dilution-info": "", "IP-species-notes": "", "FlowCyt-species-checked": "notRecommended", "FlowCyt-species-dilution-info": "", "FlowCyt-species-notes": "", "WB-species-checked": "guaranteed", "WB-species-dilution-info": "", "WB-species-notes": "<p></p>", "ICCIF-species-checked": "predicted", "ICCIF-species-dilution-info": "", "ICCIF-species-notes": "" }, "Rat": { "IHCP-species-checked": "predicted", "IHCP-species-dilution-info": "", "IHCP-species-notes": "", "IP-species-checked": "notRecommended", "IP-species-dilution-info": "", "IP-species-notes": "", "FlowCyt-species-checked": "notRecommended", "FlowCyt-species-dilution-info": "", "FlowCyt-species-notes": "", "WB-species-checked": "guaranteed", "WB-species-dilution-info": "", "WB-species-notes": "<p></p>", "ICCIF-species-checked": "predicted", "ICCIF-species-dilution-info": "", "ICCIF-species-notes": "" } } }

产品详情

Patented technology
Our RabMAb® technology is a patented hybridoma-based technology for making rabbit monoclonal antibodies. For details on our patents, please refer to RabMAb® patents.

What are the advantages of a recombinant monoclonal antibody?
This product is a recombinant monoclonal antibody, which offers several advantages including:

  • - High batch-to-batch consistency and reproducibility
  • - Improved sensitivity and specificity
  • - Long-term security of supply
  • - Animal-free batch production

For more information, read more on recombinant antibodies.

性能和储存信息

形式
Liquid
纯化工艺
Affinity purification Protein A
存储溶液
pH: 7.2 - 7.4 Preservative: 0.01% Sodium azide Constituents: PBS, 50% Tissue culture supernatant, 40% Glycerol (glycerin, glycerine), 0.05% BSA
运输条件
Blue Ice
推荐的短期储存条件
+4°C
推荐的长期储存条件
-20°C
储存信息
Stable for 12 months at -20°C

补充信息

This supplementary information is collated from multiple sources and compiled automatically.

Alpha SNAP also known as NSF attachment protein alpha is an important component of cellular machinery. This protein weighs approximately 33 kDa and facilitates membrane trafficking processes. It is expressed ubiquitously meaning it is found throughout various tissues in the body. Alpha SNAP is essential for the proper function of membrane fusion events playing a significant role in exocytosis and endocytosis.
Biological function summary

Alpha SNAP works as a part of the SNARE complex. It acts as a mediator that helps recycle SNARE proteins which are key components in vesicle fusion processes. The protein binds to the SNARE complex allowing NSF (N-ethylmaleimide-sensitive factor) to disassemble it enabling the components to be reused. This recycling is critical for continuous vesicular transport aiding in the maintenance of cellular function.

Pathways

Alpha SNAP functions mainly in the vesicular transport and membrane trafficking pathways. It interacts with NSF and other SNARE proteins to facilitate these processes. Within the cellular transport pathway Alpha SNAP ensures efficient neurotransmitter release and hormone secretion. It is involved in the endocytic and exocytic pathways both vital for proper cellular communication and function.

Mutations or dysfunctions in Alpha SNAP have been linked to neurological disorders such as epilepsy due to its role in neurotransmitter release. Its malfunction can disrupt synaptic communication leading to abnormal neural activity. Additionally Alpha SNAP may be implicated in some types of neurodegenerative diseases interacting with proteins such as NSF which are important for synaptic maintenance and plasticity.

产品实验方案

For this product, it's our understanding that no specific protocols are required. You can visit:

靶点信息

Required for vesicular transport between the endoplasmic reticulum and the Golgi apparatus (Probable). Together with GNA12 promotes CDH5 localization to plasma membrane (PubMed : 15980433).
See full target information NAPA

文献 (3)

Recent publications for all applications. Explore the full list and refine your search

Heliyon 10:e32802 PubMed38994045

2024

Investigating the potential role of α-SNAP in preventing chemotherapy-induced ovarian dysfunction: Insights from cellular and animal models.

Applications

Unspecified application

Species

Unspecified reactive species

Ying Qin,Canliang Wen,Bilan Hu,Huijiao Wu

Science advances 5:eaau8164 PubMed30989110

2019

Mechanistic insights into the SNARE complex disassembly.

Applications

Unspecified application

Species

Unspecified reactive species

Xuan Huang,Shan Sun,Xiaojing Wang,Fenghui Fan,Qiang Zhou,Shan Lu,Yong Cao,Qiu-Wen Wang,Meng-Qiu Dong,Jun Yao,Sen-Fang Sui

Molecular endocrinology (Baltimore, Md.) 30:234-47 PubMed26771535

2016

SNARE-Mediated Cholesterol Movement to Mitochondria Supports Steroidogenesis in Rodent Cells.

Applications

Unspecified application

Species

Unspecified reactive species

Ye Lin,Xiaoming Hou,Wen-Jun Shen,Ruth Hanssen,Victor K Khor,Yuan Cortez,Ann N Roseman,Salman Azhar,Fredric B Kraemer
View all publications

Abcam Product Promise

我们致力于为您的研究提供高质量的试剂,为您科研的每一步提供支持。若我们的产品未能达到预期性能,我们向您提供 Abcam Product Promise 保障。
详情请参阅我们的条款与条件。

Please note: All products are 'FOR RESEARCH USE ONLY. NOT FOR USE IN DIAGNOSTIC OR THERAPEUTIC PROCEDURES'.

For licensing inquiries, please contact partnerships@abcam.com