JavaScript is disabled in your browser. Please enable JavaScript to view this website.
AB242395

重组Anti-alpha smooth muscle Actin抗体[SP171] - BSA and Azide free

Anti-alpha smooth muscle Actin antibody [SP171] - BSA and Azide free

  • BOND RX™ Validated
  • RabMAb
  • Advanced Validation
  • Recombinant
  • KO Validated
  • 了解详情

5

(2 Reviews)

|

(7 Publications)

Rabbit Recombinant Monoclonal alpha smooth muscle Actin antibody. Carrier free. Suitable for mIHC, IHC-P, ICC/IF, Flow Cyt (Intra) and reacts with Human, Mouse, Rat samples. Cited in 7 publications.

查看别名

ACTSA, ACTVS, GIG46, ACTA2, Alpha-actin-2, Cell growth-inhibiting gene 46 protein

11 Images
Multiplex immunohistochemistry - Anti-alpha smooth muscle Actin antibody [SP171] - BSA and Azide free (AB242395)
  • mIHC

Supplier Data

Multiplex immunohistochemistry - Anti-alpha smooth muscle Actin antibody [SP171] - BSA and Azide free (AB242395)

Fluorescence multiplex immunohistochemical analysis of human liver tissue (formalin-fixed paraffin-embedded section). Panel A shows merged staining of ab195872 anti-Cytokeratin 19 stained on branch of bile ducts (magenta; Opal™690) at 1 : 8000 ( 0.127 μg/ml) [Panel B], ab275376 anti-Factor VIII stained on endothelial cells (red; Opal™570) at 1 : 1000 ( 0.457 μg/ml) [Panel C], and ab150301 anti-alpha smooth muscle Actin stained on smooth muscles (green; Opal™520) at 1 : 200 ( 0.14 μg/ml) [Panel C] on human liver. DAPI was used as a nuclear counter stain. Followed by Opal Polymer HRP Ms + Rb secondary. The immunostaining was performed on a Leica Biosystems BOND® RX instrument with an Opal™ 4-color kit. Image acquisition was performed with Leica SP8 confocal microscope. The section was incubated in three rounds of staining : in the order of ab195872 for 30 mins, ab275376 for 30 mins and ab150301 for 10 mins at room temperature. Each round was followed by a separate fluorescent tyramide signal amplification system. Heat mediated antigen retrieval with Tris-EDTA buffer (pH 9.0, epitope retrieval solution2) for 20 mins was used.  This data was developed using ab150301, the same antibody clone in a different buffer formulation.

Immunohistochemistry (Formalin/PFA-fixed paraffin-embedded sections) - Anti-alpha smooth muscle Actin antibody [SP171] - BSA and Azide free (AB242395)
  • IHC-P

Unknown

Immunohistochemistry (Formalin/PFA-fixed paraffin-embedded sections) - Anti-alpha smooth muscle Actin antibody [SP171] - BSA and Azide free (AB242395)

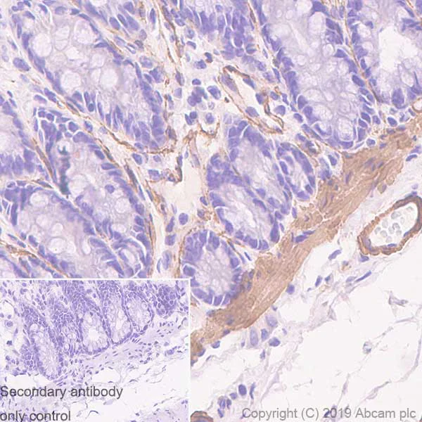
Immunohistochemical analysis of formalin fixed, paraffin embedded human colon tissue labeling alpha smooth muscle Actin with ab150301 at 1/200 dilution.

This data was developed using the same antibody clone in a different buffer formulation containing PBS, BSA and sodium azide (ab150301)

Flow Cytometry (Intracellular) - Anti-alpha smooth muscle Actin antibody [SP171] - BSA and Azide free (AB242395)
  • Flow Cyt (Intra)

Unknown

Flow Cytometry (Intracellular) - Anti-alpha smooth muscle Actin antibody [SP171] - BSA and Azide free (AB242395)

Intracellular Flow Cytometry analysis of HeLa (human cervix adenocarcinoma epithelial cell) cells labeling alpha smooth muscle Actin with purified ab150301 at 1/200 dilution (0.825μg/ml) (red). Cells were fixed with 4% paraformaldehyde and permeabilised with 90% methanol. A Goat anti rabbit IgG (Alexa Fluor® 488, ab150077) secondary antibody was used at 1/2000 dilution. Isotype control - Rabbit monoclonal IgG (ab172730) / Black. Unlabeled control - Unlabelled cells / blue. This data was developed using the same antibody clone in a different buffer formulation containing PBS, BSA, glycerol, and sodium azide (ab150301).

Immunohistochemistry (Formalin/PFA-fixed paraffin-embedded sections) - Anti-alpha smooth muscle Actin antibody [SP171] - BSA and Azide free (AB242395)
  • IHC-P

Unknown

Immunohistochemistry (Formalin/PFA-fixed paraffin-embedded sections) - Anti-alpha smooth muscle Actin antibody [SP171] - BSA and Azide free (AB242395)

Immunohistochemistry (Formalin/PFA-fixed paraffin-embedded sections) analysis of Human colon tissue sections labeling alpha smooth muscle Actin with ab150301 at 1/200 dilution (0.26 µg/ml). Heat mediated antigen retrieval was performed Heat mediated antigen retrieval with Tris-EDTA buffer (pH 9.0, epitope retrieval solution 2) for 10 mins. Goat Anti-Rabbit & Mouse IgG (HRP) was used as the secondary antibody. Negative control : PBS instead of the primary antibody. Hematoxylin was used as a counterstain.
This data was developed using the same antibody clone in a different buffer formulation containing PBS, BSA, glycerol, and sodium azide (ab150301)

Immunocytochemistry/ Immunofluorescence - Anti-alpha smooth muscle Actin antibody [SP171] - BSA and Azide free (AB242395)
  • ICC/IF

Unknown

Immunocytochemistry/ Immunofluorescence - Anti-alpha smooth muscle Actin antibody [SP171] - BSA and Azide free (AB242395)

This data was developed using the same antibody clone in a different buffer formulation (ab150301). ab150301 staining alpha smooth muscle Actin in wild-type HeLa cells (top panel) and ACTA2 knockout HeLa cells (bottom panel). The cells were fixed with 100% methanol (5 min) then permeabilized with 0.1% Triton X-100 for 5 minutes and then blocked with 1% BSA/10% normal goat serum/0.3M glycine in 0.1% PBS-Tween for 1h. The cells were then incubated with ab150301 at 5μg/ml concentration and ab7291 (Mouse monoclonal to alpha Tubulin) at 1/1000 dilution overnight at 4°C followed by a further incubation at room temperature for 1h with a goat secondary antibody to rabbit IgG (Alexa Fluor® 488) (ab150081) at 2 μg/ml (shown in green) and a goat secondary antibody to mouse IgG (Alexa Fluor® 594) (ab150120) at 2 μg/ml (shown in red). Nuclear DNA was labelled in blue with DAPI.
Image was taken with a confocal microscope (Leica-Microsystems TCS SP8).

Immunohistochemistry (Formalin/PFA-fixed paraffin-embedded sections) - Anti-alpha smooth muscle Actin antibody [SP171] - BSA and Azide free (AB242395)
  • IHC-P

Unknown

Immunohistochemistry (Formalin/PFA-fixed paraffin-embedded sections) - Anti-alpha smooth muscle Actin antibody [SP171] - BSA and Azide free (AB242395)

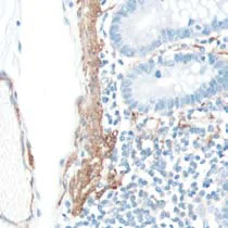
Immunohistochemistry (Formalin/PFA-fixed paraffin-embedded sections) analysis of Mouse colon tissue sections labeling alpha smooth muscle Actin with ab150301 at 1/200 dilution (0.26 µg/ml). Heat mediated antigen retrieval was performed Heat mediated antigen retrieval with Tris-EDTA buffer (pH 9.0, epitope retrieval solution 2) for 10 mins. Goat Anti-Rabbit & Mouse IgG (HRP) was used as the secondary antibody. Negative control : PBS instead of the primary antibody. Hematoxylin was used as a counterstain.
This data was developed using the same antibody clone in a different buffer formulation containing PBS, BSA, glycerol, and sodium azide (ab150301)

Immunohistochemistry (Formalin/PFA-fixed paraffin-embedded sections) - Anti-alpha smooth muscle Actin antibody [SP171] - BSA and Azide free (AB242395)
  • IHC-P

Unknown

Immunohistochemistry (Formalin/PFA-fixed paraffin-embedded sections) - Anti-alpha smooth muscle Actin antibody [SP171] - BSA and Azide free (AB242395)

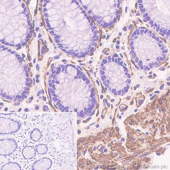
Immunohistochemistry (Formalin/PFA-fixed paraffin-embedded sections) analysis of Rat colon tissue sections labeling alpha smooth muscle Actin with ab150301 at 1/200 dilution (0.26 µg/ml). Heat mediated antigen retrieval was performed Heat mediated antigen retrieval with Tris-EDTA buffer (pH 9.0, epitope retrieval solution 2) for 10 mins. Goat Anti-Rabbit & Mouse IgG (HRP) was used as the secondary antibody. Negative control : PBS instead of the primary antibody. Hematoxylin was used as a counterstain.
This data was developed using the same antibody clone in a different buffer formulation containing PBS, BSA, glycerol, and sodium azide (ab150301)

Flow Cytometry (Intracellular) - Anti-alpha smooth muscle Actin antibody [SP171] - BSA and Azide free (AB242395)
  • Flow Cyt (Intra)

Unknown

Flow Cytometry (Intracellular) - Anti-alpha smooth muscle Actin antibody [SP171] - BSA and Azide free (AB242395)

Intracellular Flow Cytometry analysis of C6 (Rat glial tumor glial cell) cells labeling alpha smooth muscle Actin with purified ab150301 at 1/200 dilution (0.825μg/ml) (red). Cells were fixed with 4% paraformaldehyde and permeabilised with 90% methanol. A Goat anti rabbit IgG (Alexa Fluor® 488, ab150077) secondary antibody was used at 1/2000 dilution. Isotype control - Rabbit monoclonal IgG (ab172730) / Black. Unlabeled control - Unlabelled cells / blue. This data was developed using the same antibody clone in a different buffer formulation containing PBS, BSA, glycerol, and sodium azide (ab150301).

Immunocytochemistry/ Immunofluorescence - Anti-alpha smooth muscle Actin antibody [SP171] - BSA and Azide free (AB242395)
  • ICC/IF

Unknown

Immunocytochemistry/ Immunofluorescence - Anti-alpha smooth muscle Actin antibody [SP171] - BSA and Azide free (AB242395)

Immunocytochemistry/ Immunofluorescence analysis of NIH/3T3 (mouse embryonic fibroblast) cells labeling alpha smooth muscle Actin with purified ab150301 at 1/100(1.65 μg/ml). Cells were fixed in 4% paraformaldehyde and permeabilized with 0.1% Triton X-100. Cells were counterstained with ab195889 Anti-alpha Tubulin antibody [DM1A] - Microtubule Marker (Alexa Fluor® 594) 1/200 (2.5 μg/ml). Goat anti rabbit IgG (Alexa Fluor® 488, ab150077) was used as the secondary antibody at 1/1000 (2 μg/ml) dilution. DAPI (blue) was used as nuclear counterstain. PBS instead of the primary antibody was used as the secondary antibody only control.
This data was developed using the same antibody clone in a different buffer formulation containing PBS, BSA, glycerol, and sodium azide (ab150301).

Flow Cytometry (Intracellular) - Anti-alpha smooth muscle Actin antibody [SP171] - BSA and Azide free (AB242395)
  • Flow Cyt (Intra)

Unknown

Flow Cytometry (Intracellular) - Anti-alpha smooth muscle Actin antibody [SP171] - BSA and Azide free (AB242395)

Intracellular Flow Cytometry analysis of NIH/3T3 (Mouse embryonic fibroblast) cells labeling alpha smooth muscle Actin with purified ab150301 at 1/200 dilution (0.825μg/ml) (red). Cells were fixed with 4% paraformaldehyde and permeabilised with 90% methanol. A Goat anti rabbit IgG (Alexa Fluor® 488, ab150077) secondary antibody was used at 1/2000 dilution. Isotype control - Rabbit monoclonal IgG (ab172730) / Black. Unlabeled control - Unlabelled cells / blue. This data was developed using the same antibody clone in a different buffer formulation containing PBS, BSA, glycerol, and sodium azide (ab150301).

Immunocytochemistry/ Immunofluorescence - Anti-alpha smooth muscle Actin antibody [SP171] - BSA and Azide free (AB242395)
  • ICC/IF

Lab

Immunocytochemistry/ Immunofluorescence - Anti-alpha smooth muscle Actin antibody [SP171] - BSA and Azide free (AB242395)

This data was developed using the same antibody clone in a different buffer formulation (ab150301). ab150301 staining alpha smooth muscle Actin in SV40LT-SMC cells (positive control, top panel) and A431 cells (negative control, bottom panel). The cells were fixed with 100% methanol (5 min) then permeabilized with 0.1% Triton X-100 for 5 minutes and then blocked with 1% BSA/10% normal goat serum/0.3M glycine in 0.1% PBS-Tween for 1h. The cells were then incubated with ab150301 at 1μg/ml concentration and ab7291 (Mouse monoclonal to alpha Tubulin) at 1/1000 dilution overnight at 4°C followed by a further incubation at room temperature for 1h with a goat secondary antibody to rabbit IgG (Alexa Fluor® 488) (ab150081) at 2 μg/ml (shown in green) and a goat secondary antibody to mouse IgG (Alexa Fluor® 594) (ab150120) at 2 μg/ml (shown in red). Nuclear DNA was labelled in blue with DAPI.
Image was taken with a confocal microscope (Leica-Microsystems TCS SP8).

不同偶联物与剂型 (9)

  • Unconjugated

    Anti-alpha smooth muscle Actin antibody [SP171]

  • 603 Alexa Fluor® 568

    Alexa Fluor® 568 Anti-alpha smooth muscle Actin antibody [SP171]

  • 775 Alexa Fluor® 750

    Alexa Fluor® 750 Anti-alpha smooth muscle Actin antibody [SP171]

  • 665 Alexa Fluor® 647

    Alexa Fluor® 647 Anti-alpha smooth muscle Actin antibody [SP171]

  • 519 Alexa Fluor® 488

    Alexa Fluor® 488 Anti-alpha smooth muscle Actin antibody [SP171]

  • 660 APC

    APC Anti-alpha smooth muscle Actin antibody [SP171]

  • 578 PE

    PE Anti-alpha smooth muscle Actin antibody [SP171]

  • 617 Alexa Fluor® 594

    Alexa Fluor® 594 Anti-alpha smooth muscle Actin antibody [SP171]

  • 565 Alexa Fluor® 555

    Alexa Fluor® 555 Anti-alpha smooth muscle Actin antibody [SP171]

关键信息

宿主种属

Rabbit

克隆

Monoclonal

克隆号

SP171

亚型

IgG

不含载体蛋白

Yes

反应种属

Mouse, Rat, Human

应用

IHC-P, mIHC, ICC/IF, Flow Cyt (Intra)

applications

免疫原

The exact immunogen used to generate this antibody is proprietary information.

反应性数据

{ "title": "Reactivity Data", "filters": { "stats": ["", "Species", "Dilution Info", "Notes"], "tabs": { "all-applications": {"fullname" : "All Applications", "shortname": "All Applications"}, "mIHC" : {"fullname" : "Multiplex immunohistochemistry", "shortname":"mIHC"}, "WB" : {"fullname" : "Western blot", "shortname":"WB"}, "IHCP" : {"fullname" : "Immunohistochemistry (Formalin/PFA-fixed paraffin-embedded sections)", "shortname":"IHC-P"}, "ICCIF" : {"fullname" : "Immunocytochemistry/ Immunofluorescence", "shortname":"ICC/IF"}, "FlowCytIntra" : {"fullname" : "Flow Cytometry (Intracellular)", "shortname":"Flow Cyt (Intra)"} }, "product-promise": { "all": "all", "testedAndGuaranteed": "tested", "guaranteed": "expected", "predicted": "predicted", "notRecommended": "not-recommended" } }, "values": { "Human": { "mIHC-species-checked": "testedAndGuaranteed", "mIHC-species-dilution-info": "", "mIHC-species-notes": "<p></p>", "WB-species-checked": "notRecommended", "WB-species-dilution-info": "", "WB-species-notes": "<p>Compared with <a href='/products/primary-antibodies/alpha-smooth-muscle-actin-antibody-sp171-ab150301'>ab150301</a>, <a href='/products/primary-antibodies/alpha-smooth-muscle-actin-antibody-epr5368-ab124964'>ab124964</a> has higher sensitivity, we recommend <a href='/products/primary-antibodies/alpha-smooth-muscle-actin-antibody-epr5368-ab124964'>ab124964</a> as an alternative for testing alpha smooth muscle Actin in western blot.</p>", "IHCP-species-checked": "guaranteed", "IHCP-species-dilution-info": "", "IHCP-species-notes": "", "ICCIF-species-checked": "testedAndGuaranteed", "ICCIF-species-dilution-info": "", "ICCIF-species-notes": "<p></p>", "FlowCytIntra-species-checked": "guaranteed", "FlowCytIntra-species-dilution-info": "", "FlowCytIntra-species-notes": "" }, "Mouse": { "mIHC-species-checked": "guaranteed", "mIHC-species-dilution-info": "", "mIHC-species-notes": "", "WB-species-checked": "notRecommended", "WB-species-dilution-info": "", "WB-species-notes": "", "IHCP-species-checked": "testedAndGuaranteed", "IHCP-species-dilution-info": "", "IHCP-species-notes": "<p></p>", "ICCIF-species-checked": "testedAndGuaranteed", "ICCIF-species-dilution-info": "", "ICCIF-species-notes": "<p></p>", "FlowCytIntra-species-checked": "guaranteed", "FlowCytIntra-species-dilution-info": "", "FlowCytIntra-species-notes": "" }, "Rat": { "mIHC-species-checked": "guaranteed", "mIHC-species-dilution-info": "", "mIHC-species-notes": "", "WB-species-checked": "notRecommended", "WB-species-dilution-info": "", "WB-species-notes": "", "IHCP-species-checked": "guaranteed", "IHCP-species-dilution-info": "", "IHCP-species-notes": "", "ICCIF-species-checked": "guaranteed", "ICCIF-species-dilution-info": "", "ICCIF-species-notes": "", "FlowCytIntra-species-checked": "testedAndGuaranteed", "FlowCytIntra-species-dilution-info": "", "FlowCytIntra-species-notes": "<p></p>" }, "Chicken": { "mIHC-species-checked": "predicted", "mIHC-species-dilution-info": "", "mIHC-species-notes": "", "WB-species-checked": "notRecommended", "WB-species-dilution-info": "", "WB-species-notes": "", "IHCP-species-checked": "predicted", "IHCP-species-dilution-info": "", "IHCP-species-notes": "", "ICCIF-species-checked": "predicted", "ICCIF-species-dilution-info": "", "ICCIF-species-notes": "", "FlowCytIntra-species-checked": "predicted", "FlowCytIntra-species-dilution-info": "", "FlowCytIntra-species-notes": "" }, "Cow": { "mIHC-species-checked": "predicted", "mIHC-species-dilution-info": "", "mIHC-species-notes": "", "WB-species-checked": "notRecommended", "WB-species-dilution-info": "", "WB-species-notes": "", "IHCP-species-checked": "predicted", "IHCP-species-dilution-info": "", "IHCP-species-notes": "", "ICCIF-species-checked": "predicted", "ICCIF-species-dilution-info": "", "ICCIF-species-notes": "", "FlowCytIntra-species-checked": "predicted", "FlowCytIntra-species-dilution-info": "", "FlowCytIntra-species-notes": "" }, "Pig": { "mIHC-species-checked": "predicted", "mIHC-species-dilution-info": "", "mIHC-species-notes": "", "WB-species-checked": "notRecommended", "WB-species-dilution-info": "", "WB-species-notes": "", "IHCP-species-checked": "predicted", "IHCP-species-dilution-info": "", "IHCP-species-notes": "", "ICCIF-species-checked": "predicted", "ICCIF-species-dilution-info": "", "ICCIF-species-notes": "", "FlowCytIntra-species-checked": "predicted", "FlowCytIntra-species-dilution-info": "", "FlowCytIntra-species-notes": "" }, "Rabbit": { "mIHC-species-checked": "predicted", "mIHC-species-dilution-info": "", "mIHC-species-notes": "", "WB-species-checked": "notRecommended", "WB-species-dilution-info": "", "WB-species-notes": "", "IHCP-species-checked": "predicted", "IHCP-species-dilution-info": "", "IHCP-species-notes": "", "ICCIF-species-checked": "predicted", "ICCIF-species-dilution-info": "", "ICCIF-species-notes": "", "FlowCytIntra-species-checked": "predicted", "FlowCytIntra-species-dilution-info": "", "FlowCytIntra-species-notes": "" } } }

产品详情

ab242395 is the carrier-free version of ab150301.

What are the advantages of a recombinant monoclonal antibody?
This product is a recombinant monoclonal antibody, which offers several advantages including:

  • - High batch-to-batch consistency and reproducibility
  • - Improved sensitivity and specificity
  • - Long-term security of supply
  • - Animal-free batch production

For more information, read more on recombinant antibodies.

Conjugation ready
Our carrier-free antibodies are typically supplied in a PBS-only formulation, purified and free of BSA, sodium azide and glycerol. This conjugation-ready format is designed for use with fluorochromes, metal isotopes, oligonucleotides, and enzymes, which makes them ideal for antibody labelling, functional and cell-based assays, flow-based assays (e.g. mass cytometry) and Multiplex Imaging applications.

Use our conjugation kits for antibody conjugates that are ready-to-use in as little as 20 minutes with 1 minute hands-on-time and 100% antibody recovery: available for fluorescent dyes, HRP, biotin and gold.

Compatibility
This product is compatible with the Maxpar® Antibody Labeling Kit from Fluidigm, without the need for antibody preparation. Maxpar® is a trademark of Fluidigm Canada Inc.

性能和储存信息

形式
Liquid
纯化工艺
Affinity purification
纯化说明
Purified from TCS by protein A/G.
存储溶液
pH: 7.2 - 7.4 Constituents: PBS
运输条件
Blue Ice
推荐的短期储存条件
+4°C
推荐的长期储存条件
+4°C
储存信息
Do Not Freeze

补充信息

This supplementary information is collated from multiple sources and compiled automatically.

Alpha smooth muscle actin (α-SMA) also known as ACTA2 is an actin isoform with a specific role in the contractile function of smooth muscle cells. The molecular weight of α-SMA is approximately 42 kDa. This protein is expressed widely in vascular smooth muscle cells the peritoneal lining and myofibroblasts. It often serves as a marker for these cell types. The expression of α-SMA is critical for the mechanical attributes of cells contributing to the rigidity and contractility of tissues where it is present.
Biological function summary

Alpha smooth muscle actin aids in maintaining the structural integrity of tissues by forming part of the actin cytoskeleton an important element in cellular support. It exists in high concentration in stress fibers contributing to cellular movements and shape maintenance. These actions are essential in various dynamic cellular processes such as cell migration and adhesion. Alpha smooth muscle actin does not typically form complexes but it associates with other components of the actin cytoskeleton to ensure cell stability and function.

Pathways

Alpha smooth muscle actin functions significantly within the TGF-beta signaling pathway which influences cell proliferation differentiation and apoptosis. It interacts closely with proteins such as myosin to facilitate cellular contractility and motility. Additionally α-SMA plays a part in the RhoA/Rho kinase (ROCK) pathway connecting with regulators of actin filament organization. These pathways are essential for modulation of smooth muscle contraction and actin filament assembly contributing to vascular development and wound healing.

Alpha smooth muscle actin is importantly involved in fibrotic diseases and vascular diseases like arteriosclerosis. Increased expression of α-SMA is often observed in fibrotic tissues contributing to pathogenesis due to excessive extracellular matrix deposition. In the context of vascular disorders overexpression of α-SMA can lead to abnormal vascular remodeling often seen in diseases like hypertension. Interactions with proteins such as fibronectin and collagens facilitate these pathological changes highlighting the importance of α-SMA in disease development.

产品实验方案

For this product, it's our understanding that no specific protocols are required. You can visit:

靶点信息

Actins are highly conserved proteins that are involved in various types of cell motility and are ubiquitously expressed in all eukaryotic cells.
See full target information ACTA2

文献 (7)

Recent publications for all applications. Explore the full list and refine your search

Nephrology, dialysis, transplantation : official publication of the European Dialysis and Transplant Association - European Renal Association 40:133-150 PubMed38794880

2024

Propionate and butyrate counteract renal damage and progression to chronic kidney disease.

Applications

Unspecified application

Species

Unspecified reactive species

Viviana Corte-Iglesias,Maria Laura Saiz,Ana Cristina Andrade-Lopez,Nuria Salazar,Cristian Ruiz Bernet,Cristina Martin-Martin,Jesús Martinez Borra,Juan-Jose Lozano,Ana M Aransay,Carmen Diaz-Corte,Carlos Lopez-Larrea,Beatriz Suarez-Alvarez

Frontiers in cardiovascular medicine 11:1360364 PubMed38576426

2024

SARS-CoV-2 infection of endothelial cells, dependent on flow-induced ACE2 expression, drives hypercytokinemia in a vascularized microphysiological system.

Applications

Unspecified application

Species

Unspecified reactive species

Christopher J Hatch,Sebastian D Piombo,Jennifer S Fang,Johannes S Gach,Makena L Ewald,William K Van Trigt,Brian G Coon,Jay M Tong,Donald N Forthal,Christopher C W Hughes

Biomedicine & pharmacotherapy = Biomedecine & pharmacotherapie 174:116492 PubMed38537579

2024

BET inhibitor nanotherapy halts kidney damage and reduces chronic kidney disease progression after ischemia-reperfusion injury.

Applications

Unspecified application

Species

Unspecified reactive species

Maria Laura Saiz,Laura Lozano-Chamizo,Aida Bernardo Florez,Marzia Marciello,Paula Diaz-Bulnes,Viviana Corte-Iglesias,Cristian Ruiz Bernet,Raul R Rodrigues-Diez,Cristina Martin-Martin,Mar Rodriguez-Santamaria,Ivan Fernandez-Vega,Ramon M Rodriguez,Carmen Diaz-Corte,Beatriz Suarez-Alvarez,Marco Filice,Carlos Lopez-Larrea

Advanced healthcare materials 12:e2301247 PubMed37440681

2023

3D Elastomeric Stent Functionalized with Antioxidative and Perivascular Tissue Regenerative Activities Ameliorated PVT Deprivation-Induced Vein Graft Failure.

Applications

Unspecified application

Species

Unspecified reactive species

Yinggang Wang,Mingdi Fu,Weiwei Xiao,Yajing Zhao,Pingping Yuan,Xinchi Zhang,Wei Wu

Cellular and molecular life sciences : CMLS 80:186 PubMed37344704

2023

Omentin-1 drives cardiomyocyte cell cycle arrest and metabolic maturation by interacting with BMP7.

Applications

Unspecified application

Species

Unspecified reactive species

Huijun Yang,Shen Song,Jiacheng Li,Yandong Li,Jie Feng,Quan Sun,Xueting Qiu,Ziwei Chen,Xue Bai,Xinchang Liu,Hong Lian,Lihui Liu,Yongping Bai,Guogang Zhang,Yu Nie

Cancer cell 40:1521-1536.e7 PubMed36400020

2022

Molecular classification and biomarkers of clinical outcome in breast ductal carcinoma in situ: Analysis of TBCRC 038 and RAHBT cohorts.

Applications

Unspecified application

Species

Unspecified reactive species

Siri H Strand,Belén Rivero-Gutiérrez,Kathleen E Houlahan,Jose A Seoane,Lorraine M King,Tyler Risom,Lunden A Simpson,Sujay Vennam,Aziz Khan,Luis Cisneros,Timothy Hardman,Bryan Harmon,Fergus Couch,Kristalyn Gallagher,Mark Kilgore,Shi Wei,Angela DeMichele,Tari King,Priscilla F McAuliffe,Julie Nangia,Joanna Lee,Jennifer Tseng,Anna Maria Storniolo,Alastair M Thompson,Gaorav P Gupta,Robyn Burns,Deborah J Veis,Katherine DeSchryver,Chunfang Zhu,Magdalena Matusiak,Jason Wang,Shirley X Zhu,Jen Tappenden,Daisy Yi Ding,Dadong Zhang,Jingqin Luo,Shu Jiang,Sushama Varma,Lauren Anderson,Cody Straub,Sucheta Srivastava,Christina Curtis,Rob Tibshirani,Robert Michael Angelo,Allison Hall,Kouros Owzar,Kornelia Polyak,Carlo Maley,Jeffrey R Marks,Graham A Colditz,E Shelley Hwang,Robert B West

Science advances 8:eabn1958 PubMed35857526

2022

Recombinant DTβ4-inspired porous 3D vascular graft enhanced antithrombogenicity and recruited circulating CD93/CD34 cells for endothelialization.

Applications

Unspecified application

Species

Unspecified reactive species

Weiwei Xiao,Wanli Chen,Yinggang Wang,Cun Zhang,Xinchi Zhang,Siqian Zhang,Wei Wu
View all publications

Abcam Product Promise

我们致力于为您的研究提供高质量的试剂,为您科研的每一步提供支持。若我们的产品未能达到预期性能,我们向您提供 Abcam Product Promise 保障。
详情请参阅我们的条款与条件。

Please note: All products are 'FOR RESEARCH USE ONLY. NOT FOR USE IN DIAGNOSTIC OR THERAPEUTIC PROCEDURES'.

For licensing inquiries, please contact partnerships@abcam.com