JavaScript is disabled in your browser. Please enable JavaScript to view this website.
AB108198

重组Anti-alpha Actinin 4抗体[EPR2533(2)]

Anti-alpha Actinin 4 antibody [EPR2533(2)] - Loading Control

  • RabMAb
  • Recombinant
  • KO Validated
  • Lab Essentials
  • 了解详情

5

(9 Reviews)

|

(51 Publications)

Rabbit Recombinant Monoclonal alpha Actinin 4 antibody. Suitable for IHC-P, IP, WB, ICC/IF, Flow Cyt (Intra) and reacts with Rat, Mouse, Human samples. Cited in 51 publications.

查看别名

Alpha-actinin-4, Non-muscle alpha-actinin 4, ACTN4

22 Images
Flow Cytometry (Intracellular) - Anti-alpha Actinin 4 antibody [EPR2533(2)] - Loading Control (AB108198)
  • Flow Cyt (Intra)

Supplier Data

Flow Cytometry (Intracellular) - Anti-alpha Actinin 4 antibody [EPR2533(2)] - Loading Control (AB108198)

Flow Cytometry analysis of HeLa (Human cervix adenocarcinoma epithelial cell) cells labelling alpha Actinin 4 with Purified ab108198 at 1 : 50 dilution (10 µg/ml) (Red). Cells were fixed with 4% Paraformaldehyde and permeabilised with 90% Methanol. A Goat anti rabbit IgG (Alexa Fluor® 488, ab150077) secondary antibody was used at 1 : 2000. Isotype control - Rabbit monoclonal IgG (Black). Unlabelled control - Cell without incubation with primary antibody and secondary antibody (Blue).

Immunocytochemistry/ Immunofluorescence - Anti-alpha Actinin 4 antibody [EPR2533(2)] - Loading Control (AB108198)
  • ICC/IF

Lab

Immunocytochemistry/ Immunofluorescence - Anti-alpha Actinin 4 antibody [EPR2533(2)] - Loading Control (AB108198)

ab108198 staining ACTN4 in wild-type HAP1 cells (top panel) and ACTN4 knockout HAP1 cells (bottom panel). The cells were fixed with PFA (10min), permeabilized with 0.1% Triton X-100 for 5 minutes and then blocked with 1% BSA/10% normal goat serum/0.3M glycine in 0.1% PBS-Tween for 1h. The cells were then incubated with ab108198 at 1/100 dilution and ab7291 (Tubulin) at 1/1000 dilution overnight at +4°C, followed by a further incubation at room temperature for 1h with a goat secondary antibody to rabbit IgG (Alexa Fluor® 488) (ab150081) at 2 μg/ml (shown in green) and a goat secondary antibody to mouse IgG (Alexa Fluor® 594) (ab150120) at 2 μg/ml (shown in pseudo color red). Nuclear DNA was labelled in blue with DAPI.

Image was taken with a confocal microscope (Leica-Microsystems, TCS SP8).

Immunocytochemistry/ Immunofluorescence - Anti-alpha Actinin 4 antibody [EPR2533(2)] - Loading Control (AB108198)
  • ICC/IF

Supplier Data

Immunocytochemistry/ Immunofluorescence - Anti-alpha Actinin 4 antibody [EPR2533(2)] - Loading Control (AB108198)

Immunocytochemistry analysis of MCF7 (Human breast adenocarcinoma epithelial cell) cells labeling alpha Actinin 4 with Purified ab108198 at 1 : 250 dilution (2.0 µg/ml). Cells were fixed in 4% Paraformaldehyde and permeabilized with 0.1% tritonX-100. Cells were counterstained with ab195889 Anti-alpha Tubulin antibody [DM1A] - Microtubule Marker (Alexa Fluor® 594) 1 : 200 (2.5 µg/ml). Goat anti rabbit IgG (Alexa Fluor® 488, ab150077) was used as the secondary antibody at 1 : 1000 (2 µg/ml) dilution. DAPI (blue) was used as nuclear counterstain. PBS instead of the primary antibody was used as the secondary antibody only control.

Immunohistochemistry (Formalin/PFA-fixed paraffin-embedded sections) - Anti-alpha Actinin 4 antibody [EPR2533(2)] - Loading Control (AB108198)
  • IHC-P

Supplier Data

Immunohistochemistry (Formalin/PFA-fixed paraffin-embedded sections) - Anti-alpha Actinin 4 antibody [EPR2533(2)] - Loading Control (AB108198)

Immunohistochemistry (Formalin/PFA-fixed paraffin-embedded sections) analysis of human breast carcinoma tissue sections labeling alpha Actinin 4 with Purified ab108198 at 1 : 150 dilution (3.29 µg/mL). Heat mediated antigen retrieval was performed using Perform heat mediated antigen retrieval using ab93684 (Tris/EDTA buffer, pH 9.0). Tissue was counterstained with Hematoxylin. ImmunoHistoProbe one step HRP Polymer (ready to use) secondary antibody was used. PBS instead of the primary antibody was used as the negative control.

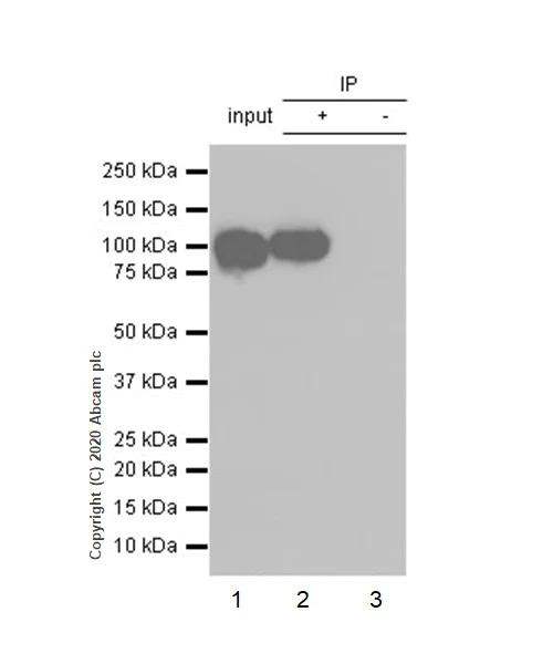
Immunoprecipitation - Anti-alpha Actinin 4 antibody [EPR2533(2)] - Loading Control (AB108198)
  • IP

Unknown

Immunoprecipitation - Anti-alpha Actinin 4 antibody [EPR2533(2)] - Loading Control (AB108198)

Purified ab108198 at 1/50 dilution (2μg) immunoprecipitating alpha Actinin 4 in HeLa whole cell lysate.
Lane 1 (input) : HeLa (Human cervix adenocarcinoma epithelial cell) whole cell lysate 10μg
Lane 2 (+) : ab108198 + HeLa whole cell lysate.
Lane 3 (-) : Rabbit monoclonal IgG (ab172730) instead of ab108198 in HeLa whole cell lysate.
VeriBlot for IP Detection Reagent (HRP) (ab131366) (1/1000 dilution) was used for Western blotting.
Blocking Buffer and concentration : 5% NFDM/TBST.
Diluting buffer and concentration : 5% NFDM/TBST.
Observed band size : 105 kDa

All lanes:

Immunoprecipitation - Anti-alpha Actinin 4 antibody [EPR2533(2)] - Loading Control (ab108198)

Predicted band size: 105 kDa

false

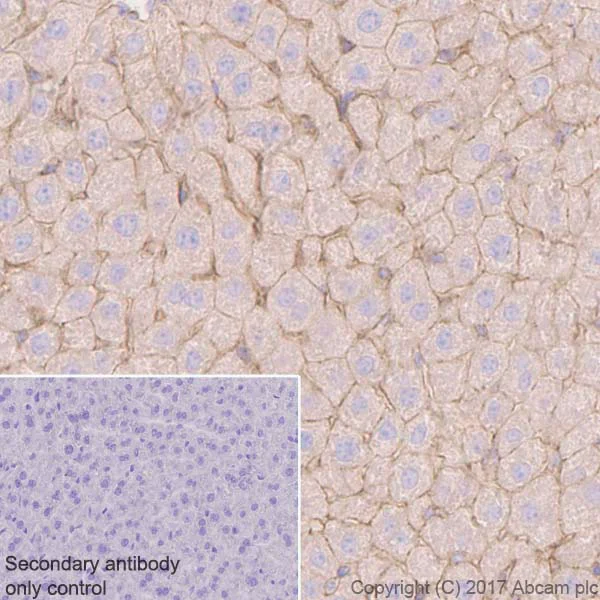
Immunohistochemistry (Formalin/PFA-fixed paraffin-embedded sections) - Anti-alpha Actinin 4 antibody [EPR2533(2)] - Loading Control (AB108198)
  • IHC-P

Supplier Data

Immunohistochemistry (Formalin/PFA-fixed paraffin-embedded sections) - Anti-alpha Actinin 4 antibody [EPR2533(2)] - Loading Control (AB108198)

Immunohistochemistry (Formalin/PFA-fixed paraffin-embedded sections) analysis of mouse liver tissue sections labeling alpha Actinin 4 with Purified ab108198 at 1 : 150 dilution (3.29 µg/mL). Heat mediated antigen retrieval was performed using Perform heat mediated antigen retrieval using ab93684 (Tris/EDTA buffer, pH 9.0). Tissue was counterstained with Hematoxylin. ImmunoHistoProbe one step HRP Polymer (ready to use) secondary antibody was used. PBS instead of the primary antibody was used as the negative control.

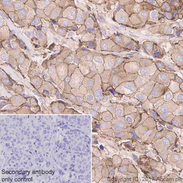
Immunohistochemistry (Formalin/PFA-fixed paraffin-embedded sections) - Anti-alpha Actinin 4 antibody [EPR2533(2)] - Loading Control (AB108198)
  • IHC-P

Supplier Data

Immunohistochemistry (Formalin/PFA-fixed paraffin-embedded sections) - Anti-alpha Actinin 4 antibody [EPR2533(2)] - Loading Control (AB108198)

Immunohistochemistry (Formalin/PFA-fixed paraffin-embedded sections) analysis of rat liver tissue sections labeling alpha Actinin 4 with Purified ab108198 at 1 : 150 dilution (3.29 µg/mL). Heat mediated antigen retrieval was performed using Perform heat mediated antigen retrieval using ab93684 (Tris/EDTA buffer, pH 9.0). Tissue was counterstained with Hematoxylin. ImmunoHistoProbe one step HRP Polymer (ready to use) secondary antibody was used. PBS instead of the primary antibody was used as the negative control.

Western blot - Anti-alpha Actinin 4 antibody [EPR2533(2)] - Loading Control (AB108198)
  • WB

Supplier Data

Western blot - Anti-alpha Actinin 4 antibody [EPR2533(2)] - Loading Control (AB108198)

Negative control : 293T (PMID : 20444890). The expression profile is consistent with what has been described in the literature (PMID : 20444890). This blot was produced using a 4-12% Bis-Tris gel and MOPS buffer. The gel was run at 200V for 54 minutes and then transferred to a Nitrocellulose membrane at 25V for 10 minutes. The membrane was blocked for an hour using 3% milk and incubated overnight at 4°C with Mouse monoclonal [CM2B4] to Polyoma virus, Large T antigen ( ab307450) and Rabbit anti-ACTN4 (loading control, ab108198) at a 1/1000 and 1/20 000 dilution, respectively. Antibody binding was detected using Goat Anti-Mouse IgG H&L (IRDye® 800CW, green) and Goat Anti-Rabbit IgG H&L (IRDye® 680RD, red) secondary antibodies at a 1/20 000 dilution (1h at room temperature) before imaging. Blocking/Dilution buffer : 3% NFDM/TBST.

All lanes:

Western blot - Anti-Polyoma virus, Large T antigen antibody [CM2B4] (<a href='/products/primary-antibodies/polyoma-virus-large-t-antigen-antibody-cm2b4-ab307450'>ab307450</a>) at 1/1000 dilution

Lane 1:

MKL-1 whole cell lysate at 20 µg

Lane 2:

293T whole cell lysate at 20 µg

Secondary

All lanes:

Western blot - Goat anti-Mouse IgG H&L (IRDye® 800CW) preadsorbed (<a href='/products/secondary-antibodies/goat-mouse-igg-h-l-irdye-800cw-preadsorbed-ab216772'>ab216772</a>) at 1/20000 dilution

Observed band size: 48 kDa

false

Western blot - Anti-alpha Actinin 4 antibody [EPR2533(2)] - Loading Control (AB108198)
  • WB

Lab

Western blot - Anti-alpha Actinin 4 antibody [EPR2533(2)] - Loading Control (AB108198)

Western blot : Mouse Monoclonal[AMACR/1864] to AMACR ab268062 staining at 2 µg/mL, shown in green; Rabbit anti-ACTN4 (ab108198) loading control staining at 1/20,000 dilution, shown in magenta. A band was observed at 40 kDa in Wild-type U-87 MG cell lysates with no signal observed at this size in AMACR knockout U-87 MG cell line. To generate this image, samples were run on an SDS-PAGE gel then transferred onto a nitrocellulose membrane. Membranes were blocked in 3pc Milk in TBS-0.1 % Tween® 20 (TBS-T) before incubation with primary antibodies overnight at 4 °C. Blots were washed four times in TBS-T, incubated with secondary antibodies for 1 h at room temperature, washed again four times then imaged. Secondary antibodies used were Goat anti-Mouse 800CW & Goat anti-Rabbit 680RD at 1/20,000 dilution.

All lanes:

Western blot - Anti-AMACR antibody [AMACR/1864] (<a href='/products/primary-antibodies/amacr-antibody-amacr-1864-ab268062'>ab268062</a>) at 2 µg/mL

Lane 1:

Wild-type U-87 MG at 20 µg

Lane 2:

AMACR knockout U-87 MG at 20 µg

Lane 3:

LNCaP at 20 µg

Lane 4:

Raji at 20 µg

Secondary

Lanes 1 - 4:

Goat anti-Mouse 800CW at 1/20000 dilution

Lanes 1 - 4:

Goat anti-Rabbit 680RD at 1/20000 dilution

Predicted band size: 42 kDa

Observed band size: 40 kDa,100 kDa

false

Western blot - Anti-alpha Actinin 4 antibody [EPR2533(2)] - Loading Control (AB108198)
  • WB

Lab

Western blot - Anti-alpha Actinin 4 antibody [EPR2533(2)] - Loading Control (AB108198)

Anti-CD38 antibody [5C5C3] - Extracellular domain staining at 1/500 dilution, shown in green; Rabbit anti-ACTN4 [EPR2533(2)] (ab108198) loading control staining at 1/20000 dilution, shown in red. In Western blot, ab204940 was shown to bind specifically to CD38. A band was observed at 42 kDa in wild-type A549 cell lysates with no signal observed at this size in CD38 knockout cell line. To generate this image, wild-type and CD38 knockout A549 cell lysates were analysed. First, samples were run on an SDS-PAGE gel then transferred onto a nitrocellulose membrane. Membranes were blocked in 3 % milk in TBS-0.1 % Tween® 20 (TBS-T) before incubation with primary antibodies overnight at 4 °C. Blots were washed four times in TBS-T, incubated with secondary antibodies for 1 h at room temperature, washed again four times then imaged. Secondary antibodies used were Goat anti-Mouse IgG H&L 800CW and Goat anti-Rabbit IgG H&L 680RD at 1/20000 dilution.

All lanes:

Western blot - Anti-CD38 antibody [5C5C3] - Extracellular domain (<a href='/products/primary-antibodies/cd38-antibody-5c5c3-extracellular-domain-ab204940'>ab204940</a>) at 1/500 dilution

Lane 1:

Wild-type A549 cell lysate at 20 µg

Lane 2:

Western blot - Human CD38 knockout A549 cell line (<a href='/products/cell-lines/human-cd38-knockout-a549-cell-line-ab289025'>ab289025</a>)

Lane 2:

CD38 knockout A549 cell lysate at 20 µg

Lane 3:

Daudi cell lysate at 20 µg

Lane 4:

HCT 116 cell lysate at 20 µg

Secondary

All lanes:

Goat anti-Mouse IgG H&L 800CW and Goat anti-Rabbit IgG H&L 680RD at 1/20000 dilution

Predicted band size: 34 kDa

Observed band size: 42 kDa

false

Western blot - Anti-alpha Actinin 4 antibody [EPR2533(2)] - Loading Control (AB108198)
  • WB

Lab

Western blot - Anti-alpha Actinin 4 antibody [EPR2533(2)] - Loading Control (AB108198)

Western blot : Mouse Monoclonal[10/Fibronectin] to Fibronectin ab281575 staining at 1/500 dilution, shown in green; Rabbit anti-ACTN4 (ab108198) loading control staining at 1/20,000 dilution, shown in magenta.

A band was observed at 272 kDa in Wild-type A549 cell lysates with no signal observed at this size in FN1 knockout A549 cell line.

To generate this image, samples were run on an SDS-PAGE gel then transferred onto a nitrocellulose membrane. Membranes were blocked in 3pc Milk in TBS-0.1 % Tween® 20 (TBS-T) before incubation with primary antibodies overnight at 4 °C. Blots were washed four times in TBS-T, incubated with secondary antibodies for 1 h at room temperature, washed again four times then imaged.

Secondary antibodies used were Goat anti-Rabbit 800CW & Goat anti-Mouse 680RD at 1/20,000 dilution.

All lanes:

Western blot - Anti-Fibronectin antibody [10/Fibronectin] (<a href='/products/primary-antibodies/fibronectin-antibody-10-fibronectin-ab281575'>ab281575</a>) at 1/500 dilution

Lane 1:

Wild-type A549 at 20 µg

Lane 2:

FN1 knockout A549

Lane 2:

Western blot - Human FN1 knockout A549 cell line (<a href='/products/cell-lines/human-fn1-knockout-a549-cell-line-ab286514'>ab286514</a>) at 20 µg

Lane 3:

HepG2 at 20 µg

Secondary

All lanes:

Goat anti-Rabbit 800CW & Goat anti-Mouse 680RD at 1/20000 dilution

Predicted band size: 272 kDa

Observed band size: 272 kDa

false

Western blot - Anti-alpha Actinin 4 antibody [EPR2533(2)] - Loading Control (AB108198)
  • WB

Supplier Data

Western blot - Anti-alpha Actinin 4 antibody [EPR2533(2)] - Loading Control (AB108198)

Blocking and diluting buffer and concentration : 5% NFDM/TBST.

The expression profile/ molecular weight observed is consistent with what has been described in the literature (PMID : 16721827).

In Western blot, Anti-alpha Actinin 4 antibody [EPR2533 (2)] - Loading Control (ab108198) staining at 1/200000 dilution (104 kDa).

All lanes:

Western blot - Anti-CDK13 antibody [EPR29353-534] (<a href='/products/primary-antibodies/cdk13-antibody-epr29353-534-ab323865'>ab323865</a>) at 1/1000 dilution

Lane 1:

HeLa (human cervical adenocarcinoma epithelial cell) transfected with scrambled siRNA control whole cell lysate at 20 µg

Lane 2:

HeLa transfected with siRNA specifically targeting CDK13 whole cell lysate at 20 µg

Secondary

All lanes:

Goat Anti-Rabbit IgG (HRP) with minimal cross-reactivity with human IgG at 1/2000 dilution

Observed band size: 200 kDa,104 kDa

false

Exposure time: 10s

Western blot - Anti-alpha Actinin 4 antibody [EPR2533(2)] - Loading Control (AB108198)
  • WB

Supplier Data

Western blot - Anti-alpha Actinin 4 antibody [EPR2533(2)] - Loading Control (AB108198)

Blocking and diluting buffer and concentration : 5% NFDM/TBST.

Negative control : THP-1; MOLT-4

The molecular weight observed is consistent with what has been described in the literature (PMID : 33179593; PMID : 33179593).

In Western blot, Anti-alpha Actinin 4 antibody [EPR2533 (2)](ab108198) staining at 105KDa dilution.

All lanes:

Western blot - Anti-KIF13A antibody [EPR29130-81] (<a href='/products/primary-antibodies/kif13a-antibody-epr29130-81-ab323873'>ab323873</a>) at 1/1000 dilution

Lane 1:

K-562 (human chronic myelogenous leukemia lymphoblast) whole cell lysate at 40 µg

Lane 2:

TF-1 (human erythroleukemia erythroblast) whole cell lysate at 40 µg

Lane 3:

THP-1 (human monocytic leukemia monocyte) whole cell lysate at 40 µg

Lane 4:

MOLT-4 (human lymphoblastic leukemia T lymphoblast) whole cell lysate at 40 µg

Secondary

All lanes:

Western blot - Goat Anti-Rabbit IgG H&L (HRP) (<a href='/products/secondary-antibodies/goat-rabbit-igg-h-l-hrp-ab97051'>ab97051</a>) at 1/20000 dilution

Observed band size: 250 kDa,105 kDa

false

Exposure time: 180s

Western blot - Anti-alpha Actinin 4 antibody [EPR2533(2)] - Loading Control (AB108198)
  • WB

Supplier Data

Western blot - Anti-alpha Actinin 4 antibody [EPR2533(2)] - Loading Control (AB108198)

Blocking and diluting buffer and concentration : 5% NFDM/TBST.

Negative control : Daudi, Jurkat, U-937, HL-60.

The molecular weight observed is consistent with what has been described in the literature (PMID : 33179593; PMID : 33179593).

In Western blot, Anti-alpha Actinin 4 antibody [EPR2533 (2)](ab108198) staining at 105KDa dilution.

All lanes:

Western blot - Anti-KIF13A antibody [EPR29130-81] (<a href='/products/primary-antibodies/kif13a-antibody-epr29130-81-ab323873'>ab323873</a>) at 1/1000 dilution

Lane 1:

HeLa (human cervical adenocarcinoma epithelial cell) whole cell lysate at 40 µg

Lane 2:

LN-229 (human brain glioblastoma epithelial cell) whole cell lysate at 40 µg

Lane 3:

Daudi (human Burkitt's lymphoma lymphoblast) whole cell lysate at 40 µg

Lane 4:

U-937 (human histiocytic lymphoma monocyte) whole cell lysate at 40 µg

Lane 5:

Jurkat (human T cell leukemia T lymphocyte from peripheral blood) whole cell lysate at 40 µg

Lane 6:

HL-60 (human acute promyelocytic leukemia promyeloblast) whole cell lysate at 40 µg

Secondary

All lanes:

Western blot - Goat Anti-Rabbit IgG H&L (HRP) (<a href='/products/secondary-antibodies/goat-rabbit-igg-h-l-hrp-ab97051'>ab97051</a>) at 1/20000 dilution

Observed band size: 250 kDa,105 kDa

false

Exposure time: 180s

Western blot - Anti-alpha Actinin 4 antibody [EPR2533(2)] - Loading Control (AB108198)
  • WB

Lab

Western blot - Anti-alpha Actinin 4 antibody [EPR2533(2)] - Loading Control (AB108198)

Western blot : Anti-RAS antibody [18/Ras] ab307738 staining at 1/200 dilution, shown in green; Rabbit anti-ACTN4 ab108198 loading control staining at 1/20000 dilution, shown in magenta. A band was observed at 22 kDa in Wild-type MCF7 cell lysates with no signal observed at this size in HRAS knockout MCF7 cell line. To generate this image, samples were run on an SDS-PAGE gel then transferred onto a nitrocellulose membrane. Membranes were blocked in 3pc Milk in TBS-0.1 % Tween 20 (TBS-T) before incubation with primary antibodies overnight at 4 °C. Blots were washed four times in TBS-T, incubated with secondary antibodies for 1 h at room temperature, washed again four times then imaged. Secondary antibodies used were Goat anti-Mouse 800CW and Goat anti-Rabbit 680RD at 1/20,000 dilution.

All lanes:

Western blot - Anti-RAS antibody [18/Ras] (<a href='/products/primary-antibodies/ras-antibody-18-ras-ab307738'>ab307738</a>) at 1/200 dilution

Lane 1:

Wild-type MCF7 whole cell lysate at 20 µg

Lane 2:

HRAS knockout MCF7 whole cell lysate at 20 µg

Lane 3:

HEK-293 whole cell lysate at 20 µg

Lane 4:

HeLa whole cell lysate at 20 µg

Secondary

All lanes:

Goat anti-Mouse 800CW & Goat anti-Rabbit 680RD at 1/20000 dilution

Predicted band size: 21 kDa

Observed band size: 22 kDa

false

Western blot - Anti-alpha Actinin 4 antibody [EPR2533(2)] - Loading Control (AB108198)
  • WB

Lab

Western blot - Anti-alpha Actinin 4 antibody [EPR2533(2)] - Loading Control (AB108198)

Western blot : Anti-LIPA antibody [1F9] (ab219113) staining at 1/1000 dilution, shown in green; Rabbit anti-ACTN4 [EPR2533(2)] (ab108198) loading control staining at 1/20000 dilution, shown in magenta. In Western blot, ab219113 was shown to bind specifically to LIPA. A band was observed at 54 kDa in wild-type A549 cell lysates with no signal observed at this size in LIPA knockout cell line. To generate this image, wild-type and LIPA knockout A549 cell lysates were analysed. First, samples were run on an SDS-PAGE gel then transferred onto a nitrocellulose membrane. Membranes were blocked in 5 % milk in TBS-0.1 % Tween® 20 (TBS-T) before incubation with primary antibodies overnight at 4 °C. Blots were washed four times in TBS-T, incubated with secondary antibodies for 1 h at room temperature, washed again four times then imaged. Secondary antibodies used were Goat anti-Mouse IgG H&L 800CW and Goat anti-Rabbit IgG H&L 680RD at 1/20000 dilution.

All lanes:

Western blot - Anti-Lysosomal acid lipase/LAL antibody [1F9] (<a href='/products/primary-antibodies/lysosomal-acid-lipase-lal-antibody-1f9-ab219113'>ab219113</a>) at 1/1000 dilution

Lane 1:

Wild-type A549 cell lysate at 20 µg

Lane 2:

LIPA knockout A549 cell lysate at 20 µg

Secondary

Lanes 1 - 2:

Goat anti-Mouse IgG H&L 800CW at 1/20000 dilution

Lanes 1 - 2:

Goat anti-Rabbit IgG H&L 680RD at 1/20000 dilution

Observed band size: 54 kDa

false

Western blot - Anti-alpha Actinin 4 antibody [EPR2533(2)] - Loading Control (AB108198)
  • WB

Lab

Western blot - Anti-alpha Actinin 4 antibody [EPR2533(2)] - Loading Control (AB108198)

Western blot : Mouse Monoclonal[10/Fibronectin] to Fibronectin ab281575 staining at 1/500 dilution, shown in green; Rabbit anti-ACTN4 (ab108198) loading control staining at 1/20,000 dilution, shown in magenta. A band was observed at 238-268 kDa in Wild-type MCF7 cell lysates with no signal observed at this size in FN1 knockout MCF7 cell line. To generate this image, samples were run on an SDS-PAGE gel then transferred onto a nitrocellulose membrane. Membranes were blocked in 3 % Milk in TBS-0.1 % Tween® 20 (TBS-T) before incubation with primary antibodies overnight at 4 °C. Blots were washed four times in TBS-T, incubated with secondary antibodies for 1 h at room temperature, washed again four times then imaged. Secondary antibodies used were Goat anti-Mouse 800CW & Goat anti-Rabbit 680RD at 1/20,000 dilution.

All lanes:

Western blot - Anti-Fibronectin antibody [10/Fibronectin] (<a href='/products/primary-antibodies/fibronectin-antibody-10-fibronectin-ab281575'>ab281575</a>) at 1/500 dilution

Lane 1:

Wild-type MCF7 at 20 µg

Lane 2:

Western blot - Human FN1 knockout MCF7 cell line (ab286324) at 20 µg

Lane 3:

HepG2 at 20 µg

Lane 4:

PC-3 at 20 µg

Secondary

All lanes:

Goat anti-Mouse 800CW & Goat anti-Rabbit 680RD at 1/20000 dilution

Predicted band size: 272 kDa

Observed band size: 238-268 kDa

false

Western blot - Anti-alpha Actinin 4 antibody [EPR2533(2)] - Loading Control (AB108198)
  • WB

Unknown

Western blot - Anti-alpha Actinin 4 antibody [EPR2533(2)] - Loading Control (AB108198)

All lanes:

Western blot - Anti-alpha Actinin 4 antibody [EPR2533(2)] - Loading Control (ab108198) at 1/1000 dilution

Lane 1:

Human skeletal muscle lysate at 20 µg

Lane 2:

A431 (Human epidermoid carcinoma epithelial cell) whole cell lysate at 20 µg

Lane 3:

Mouse brain lysate at 20 µg

Lane 4:

Rat brain lysate at 20 µg

Lane 5:

Rat heart lysate at 20 µg

Secondary

All lanes:

Goat Anti-Rabbit IgG (HRP) with minimal cross-reactivity with human IgG at 1/2000 dilution

Predicted band size: 105 kDa

Observed band size: 105 kDa

false

Western blot - Anti-alpha Actinin 4 antibody [EPR2533(2)] - Loading Control (AB108198)
  • WB

Unknown

Western blot - Anti-alpha Actinin 4 antibody [EPR2533(2)] - Loading Control (AB108198)

All lanes:

Western blot - Anti-alpha Actinin 4 antibody [EPR2533(2)] - Loading Control (ab108198) at 1/10000 dilution

All lanes:

HeLa (Human cervix adenocarcinoma epithelial cell) whole cell lysate at 15 µg

Secondary

All lanes:

Western blot - Goat Anti-Rabbit IgG H&L (HRP) (<a href='/products/secondary-antibodies/goat-rabbit-igg-h-l-hrp-ab97051'>ab97051</a>) at 1/20000 dilution

Predicted band size: 105 kDa

Observed band size: 105 kDa

false

Western blot - Anti-alpha Actinin 4 antibody [EPR2533(2)] - Loading Control (AB108198)
  • WB

Lab

Western blot - Anti-alpha Actinin 4 antibody [EPR2533(2)] - Loading Control (AB108198)

Western blot : Anti-CK1 epsilon antibody [1/Casein Kinase Iepsilon] ab302638 staining at 1/1000 dilution, shown in green; Rabbit anti-ACTN4 ab108198 loading control staining at 1/20000 dilution, shown in magenta. A band was observed at 47 kDa in Wild-type A549 cell lysates with no signal observed at this size in CSNK1E knockout A549 cell line. To generate this image, samples were run on an SDS-PAGE gel then transferred onto a nitrocellulose membrane. Membranes were blocked in 5pc Milk in TBS-0.1 % Tween® 20 (TBS-T) before incubation with primary antibodies overnight at 4 °C. Blots were washed four times in TBS-T, incubated with secondary antibodies for 1 h at room temperature, washed again four times then imaged. Secondary antibodies used were Goat anti-Mouse 800CW and Goat anti-Rabbit 680RD at 1/20,000 dilution.

All lanes:

Western blot - Anti-CK1 epsilon antibody [1/Casein Kinase Iε] (<a href='/products/primary-antibodies/ck1-epsilon-antibody-1-casein-kinase-i-ab302638'>ab302638</a>) at 1/1000 dilution

Lane 1:

Wild-type A549 at 20 µg

Lane 2:

CSNK1E knockout A549 at 20 µg

Lane 3:

Jurkat at 20 µg

Lane 4:

PC-3 at 20 µg

Secondary

All lanes:

Goat anti-Mouse 800CW & Goat anti-Rabbit 680RD at 1/20000 dilution

Predicted band size: 47 kDa

Observed band size: 47 kDa,110 kDa

false

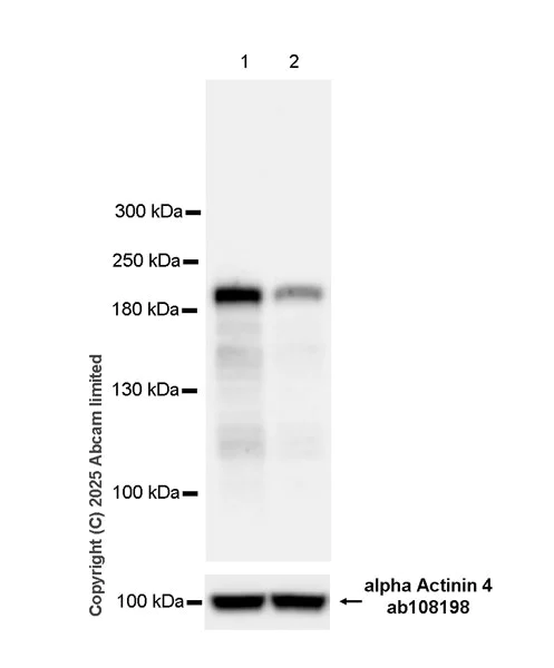
Western blot - Anti-alpha Actinin 4 antibody [EPR2533(2)] - Loading Control (AB108198)
  • WB

Lab

Western blot - Anti-alpha Actinin 4 antibody [EPR2533(2)] - Loading Control (AB108198)

Lane 1 : Wild-type HAP1 whole cell lysate (20 μg)
Lane 2 : ACTN4 (alpha Actinin 4) knockout HAP1 whole cell lysate (20 μg)
Lane 3 : HeLa whole cell lysate (20 μg)
Lane 4 : MCF7 whole cell lysate (20 μg)

Lanes 1 - 4 : Merged signal (red and green). Green - ab108198 observed at 105 kDa. Red - loading control, ab9484, observed at 37 kDa.

ab108198 was shown to specifically react with alpha Actinin 4 in wild-type HAP1 cells as signal was lost in ACTN4 (alpha Actinin 4) knockout cells. Wild-type and ACTN4 (alpha Actinin 4) knockout samples were subjected to SDS-PAGE. ab108198 and ab9484 (Mouse anti-GAPDH loading control) were incubated overnight at 4°C at 1/1000 dilution and 1/20000 dilution respectively. Blots were developed with Goat anti-Rabbit IgG H&L (IRDye® 800CW) preabsorbed ab216773 and Goat anti-Mouse IgG H&L (IRDye® 680RD) preabsorbed ab216776 secondary antibodies at 1/20000 dilution for 1 hour at room temperature before imaging.

All lanes:

Western blot - Anti-alpha Actinin 4 antibody [EPR2533(2)] - Loading Control (ab108198)

Predicted band size: 105 kDa

false

Western blot - Anti-alpha Actinin 4 antibody [EPR2533(2)] - Loading Control (AB108198)
  • WB

Supplier Data

Western blot - Anti-alpha Actinin 4 antibody [EPR2533(2)] - Loading Control (AB108198)

Blocking and diluting buffer and concentration : 5% NFDM/TBST.

Negative : HEL, 786-O.

PTCH1 is a glycosylated protein and can be deglycosylated by Protein Deglycosylation MIX II.

In Western blot, Anti-alpha Actinin 4 antibody [EPR2533 (2)] - Loading Control (ab108198) staining at 1/100,000 dilution.

All lanes:

Western blot - Anti-Patched / PTCH1 antibody [EPR26072-78] (<a href='/products/primary-antibodies/patched-ptch1-antibody-epr26072-78-ab325234'>ab325234</a>) at 1/1000 dilution

Lane 1:

Untreated 22Rv1 (human prostate carcinoma epithelial cell) whole cell lysate at 20 µg

Lane 2:

22Rv1 whole cell lysate treated with Protein Deglycosylation MIX II at 20 µg

Lane 3:

HEL (human erythroleukemia erythroblast) whole cell lysate at 20 µg

Lane 4:

786-O (human kidney epithelial cell) whole cell lysate at 20 µg

Lane 5:

IMR-32 (human neuroblastoma neuroblast) whole cell lysate at 20 µg

Secondary

All lanes:

Western blot - Goat Anti-Rabbit IgG H&L (HRP) (<a href='/products/secondary-antibodies/goat-rabbit-igg-h-l-hrp-ab97051'>ab97051</a>) at 1/20000 dilution

Observed band size: 160-180 kDa,105 kDa

false

Exposure time: 180s

不同偶联物与剂型 (5)

  • Carrier free

    Anti-alpha Actinin 4 antibody [EPR2533(2)] - BSA and Azide free

  • 578 PE

    PE Anti-alpha Actinin 4 antibody [EPR2533(2)] - Cytoskeleton Marker

  • HRP

    HRP Anti-alpha Actinin 4 antibody [EPR2533(2)] - Loading Control

  • 519 Alexa Fluor® 488

    Alexa Fluor® 488 Anti-alpha Actinin 4 antibody [EPR2533(2)] - Cytoskeleton Marker

  • 665 Alexa Fluor® 647

    Alexa Fluor® 647 Anti-alpha Actinin 4 antibody [EPR2533(2)] - Cytoskeleton Marker

关键信息

宿主种属

Rabbit

克隆

Monoclonal

克隆号

EPR2533(2)

亚型

IgG

不含载体蛋白

No

反应种属

Human, Mouse, Rat

应用

ICC/IF, WB, IP, Flow Cyt (Intra), IHC-P

applications

免疫原

The exact immunogen used to generate this antibody is proprietary information.

反应性数据

{ "title": "Reactivity Data", "filters": { "stats": ["", "Species", "Dilution Info", "Notes"], "tabs": { "all-applications": {"fullname" : "All Applications", "shortname": "All Applications"}, "IHCP" : {"fullname" : "Immunohistochemistry (Formalin/PFA-fixed paraffin-embedded sections)", "shortname":"IHC-P"}, "IP" : {"fullname" : "Immunoprecipitation", "shortname":"IP"}, "WB" : {"fullname" : "Western blot", "shortname":"WB"}, "ICCIF" : {"fullname" : "Immunocytochemistry/ Immunofluorescence", "shortname":"ICC/IF"}, "FlowCytIntra" : {"fullname" : "Flow Cytometry (Intracellular)", "shortname":"Flow Cyt (Intra)"} }, "product-promise": { "all": "all", "testedAndGuaranteed": "tested", "guaranteed": "expected", "predicted": "predicted", "notRecommended": "not-recommended" } }, "values": { "Human": { "IHCP-species-checked": "testedAndGuaranteed", "IHCP-species-dilution-info": "1/100 - 1/250", "IHCP-species-notes": "<p></p>", "IP-species-checked": "testedAndGuaranteed", "IP-species-dilution-info": "1/30", "IP-species-notes": "<p></p>", "WB-species-checked": "testedAndGuaranteed", "WB-species-dilution-info": "1/1000 - 1/10000", "WB-species-notes": "<p></p>", "ICCIF-species-checked": "testedAndGuaranteed", "ICCIF-species-dilution-info": "1/100 - 1/250", "ICCIF-species-notes": "<p></p>", "FlowCytIntra-species-checked": "testedAndGuaranteed", "FlowCytIntra-species-dilution-info": "", "FlowCytIntra-species-notes": "<p><a href='/products/primary-antibodies/rabbit-igg-monoclonal-epr25a-isotype-control-ab172730'>ab172730</a> - Rabbit monoclonal IgG, is suitable for use as an isotype control with this antibody.</p>" }, "Mouse": { "IHCP-species-checked": "testedAndGuaranteed", "IHCP-species-dilution-info": "1/100 - 1/250", "IHCP-species-notes": "<p></p>", "IP-species-checked": "guaranteed", "IP-species-dilution-info": "", "IP-species-notes": "", "WB-species-checked": "testedAndGuaranteed", "WB-species-dilution-info": "1/1000 - 1/10000", "WB-species-notes": "<p></p>", "ICCIF-species-checked": "guaranteed", "ICCIF-species-dilution-info": "", "ICCIF-species-notes": "", "FlowCytIntra-species-checked": "guaranteed", "FlowCytIntra-species-dilution-info": "", "FlowCytIntra-species-notes": "" }, "Rat": { "IHCP-species-checked": "testedAndGuaranteed", "IHCP-species-dilution-info": "1/100 - 1/250", "IHCP-species-notes": "<p></p>", "IP-species-checked": "guaranteed", "IP-species-dilution-info": "", "IP-species-notes": "", "WB-species-checked": "testedAndGuaranteed", "WB-species-dilution-info": "1/1000 - 1/10000", "WB-species-notes": "<p></p>", "ICCIF-species-checked": "guaranteed", "ICCIF-species-dilution-info": "", "ICCIF-species-notes": "", "FlowCytIntra-species-checked": "guaranteed", "FlowCytIntra-species-dilution-info": "", "FlowCytIntra-species-notes": "" } } }

产品详情

Patented technology
Our RabMAb® technology is a patented hybridoma-based technology for making rabbit monoclonal antibodies. For details on our patents, please refer to RabMAb® patents.

What are the advantages of a recombinant monoclonal antibody?
This product is a recombinant monoclonal antibody, which offers several advantages including:

  • - High batch-to-batch consistency and reproducibility
  • - Improved sensitivity and specificity
  • - Long-term security of supply
  • - Animal-free batch production

For more information, read more on recombinant antibodies.

性能和储存信息

形式
Liquid
纯化工艺
Affinity purification Protein A
存储溶液
pH: 7.2 - 7.4 Preservative: 0.01% Sodium azide Constituents: PBS, 40% Glycerol (glycerin, glycerine), 0.05% BSA
运输条件
Blue Ice
推荐的短期储存时间
1-2 weeks
推荐的短期储存条件
+4°C
推荐的长期储存条件
-20°C
分装信息
Upon delivery aliquot
储存信息
Stable for 12 months at -20°C

补充信息

This supplementary information is collated from multiple sources and compiled automatically.

Alpha Actinin 4 sometimes referred to as ACTN4 or alpha-actinin is a protein with a mass of approximately 100 kDa. It functions as an actin-binding protein particularly involved in the crosslinking of actin filaments. This protein is expressed widely with high levels found in muscle kidney and brain tissues. Alpha-actinin 4 also plays important roles in cellular structure and integrity by binding actin filaments in various cellular contexts.
Biological function summary

The role of alpha-actinin 4 extends to maintaining cytoskeletal structure and cell motility. It forms part of the larger actin-binding complex that supports cellular adhesion and mechanical stability. By linking actin filaments it allows cells to withstand mechanical stress and maintain their shape. Additionally alpha-actinin 4 contributes to cellular processes like cytokinesis and signal transduction by serving as a scaffold for signaling proteins.

Pathways

Alpha-actinin 4 interacts with diverse cellular signaling mechanisms. Key pathways include the actin cytoskeleton signaling and integrin-mediated cell adhesion. In these pathways alpha-actinin 4 works alongside proteins such as integrins and vinculin facilitating communication between the extracellular matrix and the cytoskeleton. These interactions are critical for cellular responses to environmental stimuli and adaptation during movement or development.

Alpha-actinin 4 has notable impacts on conditions like focal segmental glomerulosclerosis (FSGS) and cancer. In FSGS mutation or dysregulation of alpha-actinin 4 contributes to podocyte dysfunction leading to proteinuria and kidney damage. Its role in cancer often involves altered expression influencing cell migration and invasion. The interaction with other proteins like nephrin in FSGS or E-cadherin in cancer highlights the significance of alpha-actinin 4 in pathogenic processes.

产品实验方案

For this product, it's our understanding that no specific protocols are required. You can visit:

靶点信息

F-actin cross-linking protein which is thought to anchor actin to a variety of intracellular structures. This is a bundling protein (Probable). Probably involved in vesicular trafficking via its association with the CART complex. The CART complex is necessary for efficient transferrin receptor recycling but not for EGFR degradation (PubMed : 15772161). Involved in tight junction assembly in epithelial cells probably through interaction with MICALL2. Links MICALL2 to the actin cytoskeleton and recruits it to the tight junctions (By similarity). May also function as a transcriptional coactivator, stimulating transcription mediated by the nuclear hormone receptors PPARG and RARA (PubMed : 22351778). Association with IGSF8 regulates the immune synapse formation and is required for efficient T-cell activation (PubMed : 22689882).
See full target information ACTN4

文献 (51)

Recent publications for all applications. Explore the full list and refine your search

eLife 12: PubMed41025959

2025

Matrix-associated extracellular vesicles modulate human smooth muscle cell adhesion and directionality by presenting collagen VI.

Applications

Unspecified application

Species

Unspecified reactive species

Alexander N Kapustin,Sofia Serena Tsakali,Meredith Whitehead,George Chennell,Meng-Ying Wu,Chris Molenaar,Anton Kutikhin,Yimeng Chen,Sadia Ahmad,Leo Bogdanov,Maxim Sinitsky,Kseniya Rubina,Aled Clayton,Frederik J Verweij,Dirk Michiel Pegtel,Simona Zingaro,Arseniy Lobov,Bozhana Zainullina,Dylan Owen,Maddy Parsons,Richard E Cheney,Derek T Warren,Martin James Humphries,Thomas Iskratsch,Mark Holt,Catherine M Shanahan

Bioactive materials 54:159-178 PubMed40895235

2025

Injectable sustained-release danshensu sodium-loaded nanoparticle hydrogel targets macrophages to improve myocardial microenvironment for myocardial infarction treatment.

Applications

Unspecified application

Species

Unspecified reactive species

Jianqiu Yang,Jing Wang,Zhihua Zeng,Zhenyu Chen,Dingguo Wang,Yongbing Wu

International journal of molecular sciences 25: PubMed39684625

2024

Mef2c- and Nkx2-5-Divergent Transcriptional Regulation of Chick WT1_76127 and Mouse Gm14014 lncRNAs and Their Implication in Epicardial Cell Migration.

Applications

Unspecified application

Species

Unspecified reactive species

Sheila Caño-Carrillo,Carlos Garcia-Padilla,Amelia E Aranega,Estefania Lozano-Velasco,Diego Franco

Journal of cellular and molecular medicine 28:e70199 PubMed39527465

2024

Fibroblast-derived miR-425-5p alleviates cardiac remodelling in heart failure via inhibiting the TGF-β1/Smad signalling.

Applications

Unspecified application

Species

Unspecified reactive species

Haijia Zhou,Pengyun Liu,Xuelin Guo,Wei Fang,Chan Wu,Mingming Zhang,Zhaole Ji

Bioengineering (Basel, Switzerland) 11: PubMed39451413

2024

Mechanosensitive Differentiation of Human iPS Cell-Derived Podocytes.

Applications

Unspecified application

Species

Unspecified reactive species

Yize Zhang,Samira Musah

Chemical biology & drug design 104:e14628 PubMed39396917

2024

Apelin-13's Actions in Controlling Hypertension-Related Cardiac Hypertrophy and the Expressions of Inflammatory Cytokines.

Applications

Unspecified application

Species

Unspecified reactive species

Xiaoliang Wei,Liyun Luo,Huifang Lu,Songbiao Li,Xinlian Deng,Zhihui Li,Dong Gong,Bairong Chen

Cells 13: PubMed39273077

2024

Functional Insights in PLS3-Mediated Osteogenic Regulation.

Applications

Unspecified application

Species

Unspecified reactive species

Wenchao Zhong,Janine Neugebauer,Janak L Pathak,Xingyang Li,Gerard Pals,M Carola Zillikens,Elisabeth M W Eekhoff,Nathalie Bravenboer,Qingbin Zhang,Matthias Hammerschmidt,Brunhilde Wirth,Dimitra Micha

Cellular and molecular biology (Noisy-le-Grand, France) 70:116-120 PubMed39262254

2024

MiR-495-3p promotes cardiac hypertrophy by targeting Pum2.

Applications

Unspecified application

Species

Unspecified reactive species

Shushu Yu,Mingliang Wang,Yun Xie,Bo Wang,Yawei Xu

Cytoskeleton (Hoboken, N.J.) 82:145-157 PubMed39143850

2024

Nuclear α-actinin-4 regulates breast cancer invasiveness and EMT.

Applications

Unspecified application

Species

Unspecified reactive species

Sumon Kumar Saha,Madhurima Sarkar,Mahima Srivastava,Sarbajeet Dutta,Shamik Sen

Journal of materials science. Materials in medicine 35:43 PubMed39073623

2024

Identification of key genes involved in collagen hydrogel-induced chondrogenic differentiation of mesenchymal stem cells through transcriptome analysis: the role of m6A modification.

Applications

Unspecified application

Species

Unspecified reactive species

Chaotao Chen,Kai Xiong,Kanglu Li,Bo Zhou,Jianwen Cheng,Bo Zhu,Li Zheng,Jinmin Zhao
View all publications

Abcam Product Promise

我们致力于为您的研究提供高质量的试剂,为您科研的每一步提供支持。若我们的产品未能达到预期性能,我们向您提供 Abcam Product Promise 保障。
详情请参阅我们的条款与条件。

Please note: All products are 'FOR RESEARCH USE ONLY. NOT FOR USE IN DIAGNOSTIC OR THERAPEUTIC PROCEDURES'.

For licensing inquiries, please contact partnerships@abcam.com