JavaScript is disabled in your browser. Please enable JavaScript to view this website.
AB181256

重组Anti-ALDH4A1/P5CDH抗体[EPR14288(B)]

Anti-ALDH4A1/P5CDH antibody [EPR14288(B)]

Be the first to review this product! Submit a review

|

(1 Publication)

Rabbit Recombinant Monoclonal ALDH4A1/P5CDH antibody. Suitable for IHC-P, IP, WB, ICC/IF and reacts with Human samples. Cited in 1 publication.

查看别名

ALDH4, P5CDH, ALDH4A1, P5C dehydrogenase, Aldehyde dehydrogenase family 4 member A1, L-glutamate gamma-semialdehyde dehydrogenase

6 Images
Immunohistochemistry (Formalin/PFA-fixed paraffin-embedded sections) - Anti-ALDH4A1/P5CDH antibody [EPR14288(B)] (AB181256)
  • IHC-P

Supplier Data

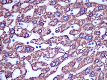
Immunohistochemistry (Formalin/PFA-fixed paraffin-embedded sections) - Anti-ALDH4A1/P5CDH antibody [EPR14288(B)] (AB181256)

Immunohistochemical analysis of paraffin-embedded Human liver tissue labeling ALDH4A1/P5CDH with ab181256 at a 1/250 dilution. Counter stained hematoxylin.

Perform heat mediated antigen retrieval with citrate buffer pH 6 before commencing with IHC staining protocol.

Immunocytochemistry/ Immunofluorescence - Anti-ALDH4A1/P5CDH antibody [EPR14288(B)] (AB181256)
  • ICC/IF

Supplier Data

Immunocytochemistry/ Immunofluorescence - Anti-ALDH4A1/P5CDH antibody [EPR14288(B)] (AB181256)

Immunofluorescence analysis of paraformaldehyde-fixed HepG2 cells labeling ALDH4A1/P5CDH with ab181256 at a 1/1000 dilution. As secondary antibody Goat anti rabbit IgG (Alexa Fluor®555) was used at a 1/200 dilution. In blue DAPI staining.

Immunohistochemistry (Formalin/PFA-fixed paraffin-embedded sections) - Anti-ALDH4A1/P5CDH antibody [EPR14288(B)] (AB181256)
  • IHC-P

Supplier Data

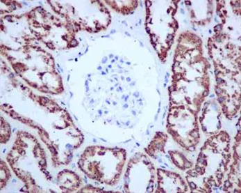
Immunohistochemistry (Formalin/PFA-fixed paraffin-embedded sections) - Anti-ALDH4A1/P5CDH antibody [EPR14288(B)] (AB181256)

Immunohistochemical analysis of paraffin-embedded Human kidney tissue labeling ALDH4A1/P5CDH with ab181256 at a 1/250 dilution. Counter stained hematoxylin.

Perform heat mediated antigen retrieval with citrate buffer pH 6 before commencing with IHC staining protocol.

Immunoprecipitation - Anti-ALDH4A1/P5CDH antibody [EPR14288(B)] (AB181256)
  • IP

Supplier Data

Immunoprecipitation - Anti-ALDH4A1/P5CDH antibody [EPR14288(B)] (AB181256)

Western blot analysis on Immunoprecipitation from HepG2 cell lysate; showing ALDH4A1/P5CDH, using ab181256 at 1/50 dilution and HRP-conjugated anti-rabbit IgG preferentially detecting the non-reduced form of rabbit IgG at a 1/1500 dilution.

All lanes:

Immunoprecipitation - Anti-ALDH4A1/P5CDH antibody [EPR14288(B)] (ab181256)

Predicted band size: 62 kDa

Observed band size: 62 kDa

true

Western blot - Anti-ALDH4A1/P5CDH antibody [EPR14288(B)] (AB181256)
  • WB

Supplier Data

Western blot - Anti-ALDH4A1/P5CDH antibody [EPR14288(B)] (AB181256)

All lanes:

Western blot - Anti-ALDH4A1/P5CDH antibody [EPR14288(B)] (ab181256) at 1/20000 dilution

All lanes:

Human fetal liver tissue lysate at 10 µg

Secondary

All lanes:

Western blot - Goat Anti-Rabbit IgG H&L (HRP) (<a href='/products/secondary-antibodies/goat-rabbit-igg-h-l-hrp-ab136636'>ab136636</a>) at 1/500 dilution

Predicted band size: 62 kDa

Observed band size: 62 kDa

true

Western blot - Anti-ALDH4A1/P5CDH antibody [EPR14288(B)] (AB181256)
  • WB

Supplier Data

Western blot - Anti-ALDH4A1/P5CDH antibody [EPR14288(B)] (AB181256)

All lanes:

Western blot - Anti-ALDH4A1/P5CDH antibody [EPR14288(B)] (ab181256) at 1/20000 dilution

Lane 1:

Human fetal heart lysate at 20 µg

Lane 2:

HepG2 cell lysate at 20 µg

Lane 3:

HeLa cell lysate at 20 µg

Lane 4:

K562 cell lysate at 20 µg

Secondary

All lanes:

goat anti-rabbit IgG, (H+L), peroxidase conjugated at 1/1000 dilution

Predicted band size: 62 kDa

Observed band size: 62 kDa

true

不同偶联物与剂型 (1)

  • Carrier free

    Anti-ALDH4A1/P5CDH antibody [EPR14288(B)] - BSA and Azide free

关键信息

宿主种属

Rabbit

克隆

Monoclonal

克隆号

EPR14288(B)

亚型

IgG

不含载体蛋白

No

反应种属

Human

应用

ICC/IF, IHC-P, WB, IP

applications

免疫原

The exact immunogen used to generate this antibody is proprietary information.

反应性数据

{ "title": "Reactivity Data", "filters": { "stats": ["", "Species", "Dilution Info", "Notes"], "tabs": { "all-applications": {"fullname" : "All Applications", "shortname": "All Applications"}, "IHCP" : {"fullname" : "Immunohistochemistry (Formalin/PFA-fixed paraffin-embedded sections)", "shortname":"IHC-P"}, "IP" : {"fullname" : "Immunoprecipitation", "shortname":"IP"}, "WB" : {"fullname" : "Western blot", "shortname":"WB"}, "ICCIF" : {"fullname" : "Immunocytochemistry/ Immunofluorescence", "shortname":"ICC/IF"} }, "product-promise": { "all": "all", "testedAndGuaranteed": "tested", "guaranteed": "expected", "predicted": "predicted", "notRecommended": "not-recommended" } }, "values": { "Human": { "IHCP-species-checked": "testedAndGuaranteed", "IHCP-species-dilution-info": "1/100 - 1/250", "IHCP-species-notes": "<p></p>", "IP-species-checked": "testedAndGuaranteed", "IP-species-dilution-info": "1/40 - 1/60", "IP-species-notes": "<p></p>", "WB-species-checked": "testedAndGuaranteed", "WB-species-dilution-info": "1/10000 - 1/50000", "WB-species-notes": "<p></p>", "ICCIF-species-checked": "testedAndGuaranteed", "ICCIF-species-dilution-info": "1/1000", "ICCIF-species-notes": "<p></p>" }, "Mouse": { "IHCP-species-checked": "predicted", "IHCP-species-dilution-info": "", "IHCP-species-notes": "", "IP-species-checked": "predicted", "IP-species-dilution-info": "", "IP-species-notes": "", "WB-species-checked": "predicted", "WB-species-dilution-info": "", "WB-species-notes": "", "ICCIF-species-checked": "predicted", "ICCIF-species-dilution-info": "", "ICCIF-species-notes": "" }, "Rat": { "IHCP-species-checked": "predicted", "IHCP-species-dilution-info": "", "IHCP-species-notes": "", "IP-species-checked": "predicted", "IP-species-dilution-info": "", "IP-species-notes": "", "WB-species-checked": "predicted", "WB-species-dilution-info": "", "WB-species-notes": "", "ICCIF-species-checked": "predicted", "ICCIF-species-dilution-info": "", "ICCIF-species-notes": "" } } }

您可能对以下产品感兴趣:

AB313505

Human ALDH4A1/P5CDH ELISA Kit

0

0 Reviews

查看产品
为什么推荐这个?

我们推荐这个产品,因为它经常被用于相同的实验或相关的研究。

我们建议您务必查阅产品说明书,以确认其是否符合您的实验需求;若有疑问,也可联系我们的技术团队获取协助。

产品详情

Patented technology
Our RabMAb® technology is a patented hybridoma-based technology for making rabbit monoclonal antibodies. For details on our patents, please refer to RabMAb® patents.

What are the advantages of a recombinant monoclonal antibody?
This product is a recombinant monoclonal antibody, which offers several advantages including:

  • - High batch-to-batch consistency and reproducibility
  • - Improved sensitivity and specificity
  • - Long-term security of supply
  • - Animal-free batch production

For more information, read more on recombinant antibodies.

性能和储存信息

形式
Liquid
纯化工艺
Affinity purification Protein A
存储溶液
Preservative: 0.01% Sodium azide Constituents: 59% PBS, 40% Glycerol (glycerin, glycerine), 0.05% BSA
运输条件
Blue Ice
推荐的短期储存时间
1-2 weeks
推荐的短期储存条件
+4°C
推荐的长期储存条件
-20°C
分装信息
Upon delivery aliquot
储存信息
Avoid freeze / thaw cycle

补充信息

This supplementary information is collated from multiple sources and compiled automatically.

ALDH4A1 also known as P5CDH is an enzyme responsible for catalyzing the conversion of pyrroline-5-carboxylate to glutamate in the mitochondria. It has a molecular mass of approximately 65 kDa and plays an essential role in the proline degradation pathway. The enzyme is primarily expressed in the liver kidney and muscle tissues where it supports the metabolism of amino acids and energy production.
Biological function summary

ALDH4A1 is involved in the L-proline degradation pathway converting substrates to downstream metabolic intermediates. While it operates mainly as an individual enzyme it facilitates the integration of amino acid metabolism with cellular energy cycles. A deficiency in ALDH4A1 activity disrupts normal nitrogen balance and mitochondrial function illustrating its relevance to cellular homeostasis.

Pathways

ALDH4A1 plays a significant role in the urea cycle and the proline degradation pathway. It interacts with enzymes like delta-1-pyrroline-5-carboxylate synthetase which provides substrates for its enzymatic activity. These interactions are important for maintaining nitrogen homeostasis and chemical energy balance within cells highlighting its contributions to metabolic circuits.

Mutations and deficiencies in ALDH4A1 lead to hyperprolinemia type II and can contribute to neurological issues. The protein interacts with other cellular components such as ALDH3A2 which also participates in detoxifying reactive aldehydes. Abnormal ALDH4A1 function can exacerbate proline accumulation and neurotoxic effects in affected individuals making it a significant focus for understanding metabolic disorders.

产品实验方案

For this product, it's our understanding that no specific protocols are required. You can visit:

靶点信息

Irreversible conversion of delta-1-pyrroline-5-carboxylate (P5C), derived either from proline or ornithine, to glutamate. This is a necessary step in the pathway interconnecting the urea and tricarboxylic acid cycles. The preferred substrate is glutamic gamma-semialdehyde, other substrates include succinic, glutaric and adipic semialdehydes.
See full target information ALDH4A1

文献 (1)

Recent publications for all applications. Explore the full list and refine your search

Aging cell 20:e13308 PubMed33480139

2021

Incomplete proline catabolism drives premature sperm aging.

Applications

Unspecified application

Species

Unspecified reactive species

Chia-An Yen,Sean P Curran
View all publications

Abcam Product Promise

我们致力于为您的研究提供高质量的试剂,为您科研的每一步提供支持。若我们的产品未能达到预期性能,我们向您提供 Abcam Product Promise 保障。
详情请参阅我们的条款与条件。

关联产品

Select an associated product type
Alternative Product
Primary Antibodies

AB185208

Anti-ALDH4A1/P5CDH antibody [EPR14287]

primary-antibodies

aldh4a1-p5cdh-antibody-epr14287-ab185208

0

(0 reviews)

Please note: All products are 'FOR RESEARCH USE ONLY. NOT FOR USE IN DIAGNOSTIC OR THERAPEUTIC PROCEDURES'.

For licensing inquiries, please contact partnerships@abcam.com