JavaScript is disabled in your browser. Please enable JavaScript to view this website.
AB81283

Anti-AKT1 (phospho S473) 抗体 [EP2109Y]

Anti-AKT1 (phospho S473) antibody [EP2109Y]

  • RabMAb
  • Recombinant
  • Lab Essentials
  • 20ul selling size
  • 了解详情

4

(10 Reviews)

|

(763 Publications)

Anti-AKT1 (phospho S473) antibody [EP2109Y] (ab81283) is a rabbit monoclonal antibody detecting AKT1 in Western Blot, IHC-P, ELISA, Dot Blot. Suitable for Human, Mouse, Rat,.

- Biophysical QC for unrivalled batch-batch consistency
- Over 610 publications
- Trusted since 2009

查看别名

PKB, RAC, AKT1, RAC-alpha serine/threonine-protein kinase, Protein kinase B, Protein kinase B alpha, Proto-oncogene c-Akt, RAC-PK-alpha, PKB alpha

12 Images
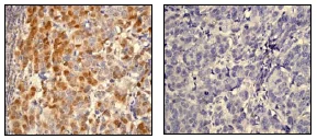
Immunohistochemistry (Formalin/PFA-fixed paraffin-embedded sections) - Anti-AKT1 (phospho S473) antibody [EP2109Y] (AB81283)
  • IHC-P

Unknown

Immunohistochemistry (Formalin/PFA-fixed paraffin-embedded sections) - Anti-AKT1 (phospho S473) antibody [EP2109Y] (AB81283)

ab81283, at 1/100 dilution, staining AKT1 in untreated (left panel) and Phosphatase-treated (right panel) human cervical carcinoma by Immunohistochemistry using formalin-fixed, paraffin-embedded tissue

Perform heat mediated antigen retrieval before commencing with IHC staining protocol.

Functional Studies - Anti-AKT1 (phospho S473) antibody [EP2109Y] (AB81283)
  • FuncS

Unknown

Functional Studies - Anti-AKT1 (phospho S473) antibody [EP2109Y] (AB81283)

MCF7 cells were incubated at 37°C for 2 hours with vehicle control (0 μM) and different concentrations of CCCP (ab141229). Increased expression of AKT1 (phospho S473) (ab81283) in MCF7 cells correlates with an increase in CCCP concentration, as described in literature.

Whole cell lysates were prepared with RIPA buffer (containing protease inhibitors and sodium orthovanadate), 10μg of each were loaded on the gel and the WB was run under reducing conditions. After transfer the membrane was blocked for an hour using 5% BSA before being incubated with ab81283 at 2 μg/ml and ab8227 at 1 μg/ml overnight at 4°C. Antibody binding was detected using an anti-rabbit antibody conjugated to HRP (ab97051) at 1/10000 and visualised using ECL development solution.

In-Cell ELISA - Anti-AKT1 (phospho S473) antibody [EP2109Y] (AB81283)
  • In-Cell ELISA

Unknown

In-Cell ELISA - Anti-AKT1 (phospho S473) antibody [EP2109Y] (AB81283)

NIH3T3 cells were starved overnight and treated with PDGF 50ng/mL or vehicle control for 1 hour prior to fixation with 4% paraformaldehyde. Levels of total Akt were measured using antibody ab81283 on an infrared in cell ELISA assay platform.

Western blot - Anti-AKT1 (phospho S473) antibody [EP2109Y] (AB81283)
  • WB

Lab

Western blot - Anti-AKT1 (phospho S473) antibody [EP2109Y] (AB81283)

Blocking and diluting buffer : 5% NFDM/TBST.

All lanes:

Western blot - Anti-AKT1 (phospho S473) antibody [EP2109Y] (ab81283) at 0.259 µg/mL

Lane 1:

HeLa (human cervix adenocarcinoma epithelial cell) grown in serum free media overnight, whole cell lysate at 10 µg

Lane 2:

HeLa grown in serum free media overnight, then treated with 150nM Insulin for 5min, whole cell lysate at 10 µg

Lane 3:

HeLa grown in serum free media overnight, then treated with 150nM Insulin for 5min, whole cell lysate. Then the membrane was incubated with alkaline phosphatase at 10 µg

Secondary

All lanes:

Western blot - Goat Anti-Rabbit IgG H&L (HRP) (<a href='/products/secondary-antibodies/goat-rabbit-igg-h-l-hrp-ab97051'>ab97051</a>) at 1/20000 dilution

Predicted band size: 55 kDa

false

Western blot - Anti-AKT1 (phospho S473) antibody [EP2109Y] (AB81283)
  • WB

Lab

Western blot - Anti-AKT1 (phospho S473) antibody [EP2109Y] (AB81283)

Insulin treatment : cells were starved overnight and then treated for 20 min (Insulin) at 100 ng/ml.

Phosphatase treatment : membrane strips were incubated with 200 ul of phosphatase (150 U/ml) at 37 degrees for 1 hour.

All lanes:

Western blot - Anti-AKT1 (phospho S473) antibody [EP2109Y] (ab81283) at 1/1000 dilution

All lanes:

HEK293 cell lysate

Predicted band size: 55 kDa

false

Western blot - Anti-AKT1 (phospho S473) antibody [EP2109Y] (AB81283)
  • WB

Lab

Western blot - Anti-AKT1 (phospho S473) antibody [EP2109Y] (AB81283)

Blocking and diluting buffer : 5% NFDM/TBST.

All lanes:

Western blot - Anti-AKT1 (phospho S473) antibody [EP2109Y] (ab81283) at 0.259 µg/mL

Lane 1:

LNCaP (human prostate carcinoma epithelial cell) whole cell lysate at 10 µg

Lane 2:

LNCaP treated with 100nM Cacyculin A for 30min whole cell lysate at 10 µg

Lane 3:

LNCaP treated with 100nM Cacyculin A for 30min whole cell lysate. Then the membrane was incubated with alkaline phosphatase at 10 µg

Secondary

All lanes:

Western blot - Goat Anti-Rabbit IgG H&L (HRP) (<a href='/products/secondary-antibodies/goat-rabbit-igg-h-l-hrp-ab97051'>ab97051</a>) at 1/20000 dilution

Predicted band size: 55 kDa

false

Western blot - Anti-AKT1 (phospho S473) antibody [EP2109Y] (AB81283)
  • WB

Unknown

Western blot - Anti-AKT1 (phospho S473) antibody [EP2109Y] (AB81283)

Primary : All Lanes : Anti AKT1 (phospho S473) antibody (ab81283) at 1 : 5000 dilution. Lane 1 = AKT1 (His tag) full length recombinant protein ab62279 - 50ng. Lane 2 = NIH3T3 serum starved overnight, 15ug. Lane 3 = NIH3T3 serum starved overnight and treated with PDGF-AB 50ng/mL for 1 hour, 15ug. Secondary : Lanes 1-3 : Goat polyclonal to Rabbit IgG H&L Pre-Adsorbed (HRP) at 1 : 5000 developed using the ECL technique. Performed under reducing conditions (50mM DTT, Sample heated at 60°C). Predicted band size : 56kDa. Observed band size : 56kDa. Blocking step : 5% Milk in 50mM Tris+0.05% Tween for 1 hour at RT. Primary antibody buffer : 5% BSA in 50mM Tris+0.05% Tween overnight. Secondary antibody buffer : 5% Milk in 50mM Tris+0.05% Tween for 2 hours at RT. Exposure time : 5 minutes

All lanes:

Western blot - Anti-AKT1 (phospho S473) antibody [EP2109Y] (ab81283)

Predicted band size: 55 kDa

false

Western blot - Anti-AKT1 (phospho S473) antibody [EP2109Y] (AB81283)
  • WB

Lab

Western blot - Anti-AKT1 (phospho S473) antibody [EP2109Y] (AB81283)

PDGF treatment : cells were starved overnight and then treated for 1 h with PDGF at 100 ng/ml.

Phosphatase treatment : membrane strips were incubated with 200 ul of phosphatase (150 U/ml) at 37 degrees for 1 hour.

All lanes:

Western blot - Anti-AKT1 (phospho S473) antibody [EP2109Y] (ab81283) at 1/1000 dilution

All lanes:

NIH/3T3 cell lysate

Predicted band size: 55 kDa

false

Western blot - Anti-AKT1 (phospho S473) antibody [EP2109Y] (AB81283)
  • WB

Supplier Data

Western blot - Anti-AKT1 (phospho S473) antibody [EP2109Y] (AB81283)

Blocking buffer and concentration : 5% NFDM/TBST

All lanes:

Western blot - Anti-AKT1 (phospho S473) antibody [EP2109Y] (ab81283) at 1/25000 dilution

Lane 1:

NIH/3T3 (Mouse embryonic fibroblast) treated with 100ng/ml PDGF for 1 hour whole cell lysates at 15 µg

Lane 2:

NIH/3T3 (Mouse embryonic fibroblast) whole cell lysates at 15 µg

Secondary

All lanes:

Western blot - Goat Anti-Rabbit IgG H&L (HRP) (<a href='/products/secondary-antibodies/goat-rabbit-igg-h-l-hrp-ab97051'>ab97051</a>) at 1/20000 dilution

Predicted band size: 55 kDa

Observed band size: 56 kDa

false

Exposure time: 3min

Western blot - Anti-AKT1 (phospho S473) antibody [EP2109Y] (AB81283)
  • WB

Lab

Western blot - Anti-AKT1 (phospho S473) antibody [EP2109Y] (AB81283)

PC12 cells were incubated at 37°C for 24 hours with vehicle control (0 nM) and 1 μM of Galanin (1-15) (porcine, rat) (ab 141152). Decreased expression of AKT1 (phospho S473) (ab81283) in PC12 cells correlates with an increase in Galanin (1-15) (porcine, rat) concentration, as described in literature.

Whole cell lysates were prepared with RIPA buffer (containing protease inhibitors and sodium orthovanadate), 30μg of each were loaded on the gel and the WB was run under reducing conditions. After transfer the membrane was blocked for an hour using 3% milk before being incubated withab81283at 1 μg/ml andab8227at 1 μg/ml overnight at 4°C. Antibody binding was detected using an anti-rabbit antibody conjugated to HRP (ab97051) at 1/10000 and visualised using ECL development solution.

All lanes:

Western blot - Anti-AKT1 (phospho S473) antibody [EP2109Y] (ab81283)

Predicted band size: 55 kDa

Observed band size: 60 kDa

true

Exposure time: 20min

Western blot - Anti-AKT1 (phospho S473) antibody [EP2109Y] (AB81283)
  • WB

Lab

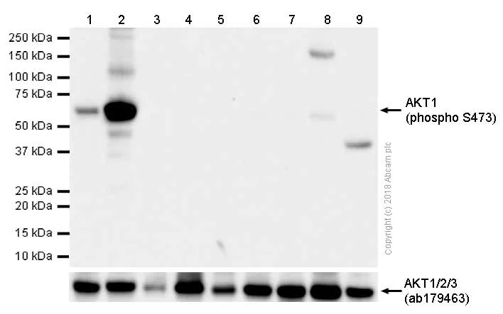
Western blot - Anti-AKT1 (phospho S473) antibody [EP2109Y] (AB81283)

The basal expression level of AKT1 (phospho S473) varies in different cell lines reported by PMID : 19372546. But to detect clear signal, treatment is strongly recommended when using this antibody.

Blocking and diluting buffer : 5% NFDM/TBST

All lanes:

Western blot - Anti-AKT1 (phospho S473) antibody [EP2109Y] (ab81283) at 1/1000 dilution

Lane 1:

LNCaP (Human prostate carcinoma epithelial cell) whole cell lysates at 20 µg

Lane 2:

LNCaP (Human prostate carcinoma epithelial cell) treated with 0.1 uM Calyculin A for 30 minutes whole cell lysates at 20 µg

Lane 3:

A549 (Human lung carcinoma epithelial cell) whole cell lysates at 20 µg

Lane 4:

MCF7 (Human breast adenocarcinoma epithelial cell) whole cell lysates at 20 µg

Lane 5:

HepG2 (Human hepatocellular carcinoma epithelial cell) whole cell lysates at 20 µg

Lane 6:

HUVEC (Human umbilical vein endothelial cell) whole cell lysates at 20 µg

Lane 7:

C2C12 (Mouse myoblasts myoblast) whole cell lysates at 20 µg

Lane 8:

Mouse brain lysates at 20 µg

Lane 9:

Rat heart lysates at 20 µg

Secondary

All lanes:

Western blot - Goat Anti-Rabbit IgG H&L (HRP) (<a href='/products/secondary-antibodies/goat-rabbit-igg-h-l-hrp-ab97051'>ab97051</a>) at 1/20000 dilution

Predicted band size: 55 kDa

false

Exposure time: 50s

Dot Blot - Anti-AKT1 (phospho S473) antibody [EP2109Y] (AB81283)
  • Dot

Unknown

Dot Blot - Anti-AKT1 (phospho S473) antibody [EP2109Y] (AB81283)

Dot blot analysis of AKT1 (phospho S473) phospho peptide (Lane 1) and AKT1 non-phospho peptide (Lane 2) labelling AKT1 (phospho S473) phospho peptide with ab81283 at a dilution of 1 : 1000 dilution (0.259μg/ml). A Goat Anti-Rabbit IgG, (H+L), Peroxidase conjugated (ab97051) was used as the secondary antibody at a dilution of 1 : 20,000 dilution.

Blocking buffer : 5% NFDM/TBST. Dilution buffer : 5% NFDM /TBST.

不同偶联物与剂型 (4)

  • HRP

    HRP Anti-AKT1 (phospho S473) antibody [EP2109Y]

  • Carrier free

    Anti-AKT1 (phospho S473) antibody [EP2109Y] - BSA and Azide free

  • 665 Alexa Fluor® 647

    Alexa Fluor® 647 Anti-AKT1 (phospho S473) antibody [EP2109Y]

  • 519 Alexa Fluor® 488

    Alexa Fluor® 488 Anti-AKT1 (phospho S473) antibody [EP2109Y]

关键信息

宿主种属

Rabbit

克隆

Monoclonal

克隆号

EP2109Y

亚型

IgG

不含载体蛋白

No

反应种属

Mouse, Rat, Human

应用

IHC-P, WB, Dot, In-Cell ELISA

applications

免疫原

The exact immunogen used to generate this antibody is proprietary information.

特异性

AKT1 (phospho S473) antibody detects AKT1 phosphorylated at Serine 473. The region surrounding S473 in AKT1 is highly similar to the corresponding regions in AKT2 and AKT3, and the immunogen used for this product shares 100% homology with these isoforms. Therefore, cross-reactivity with AKT2 and AKT3 phosphorylated at the equivalent serine residue is possible, although this has not been confirmed experimentally.

反应性数据

{ "title": "Reactivity Data", "filters": { "stats": ["", "Species", "Dilution Info", "Notes"], "tabs": { "all-applications": {"fullname" : "All Applications", "shortname": "All Applications"}, "IHCP" : {"fullname" : "Immunohistochemistry (Formalin/PFA-fixed paraffin-embedded sections)", "shortname":"IHC-P"}, "Dot" : {"fullname" : "Dot Blot", "shortname":"Dot"}, "WB" : {"fullname" : "Western blot", "shortname":"WB"}, "InCellELISA" : {"fullname" : "In-Cell ELISA", "shortname":"In-Cell ELISA"}, "ICCIF" : {"fullname" : "Immunocytochemistry/ Immunofluorescence", "shortname":"ICC/IF"}, "FlowCyt" : {"fullname" : "Flow Cytometry", "shortname":"Flow Cyt"}, "IP" : {"fullname" : "Immunoprecipitation", "shortname":"IP"} }, "product-promise": { "all": "all", "testedAndGuaranteed": "tested", "guaranteed": "expected", "predicted": "predicted", "notRecommended": "not-recommended" } }, "values": { "Human": { "IHCP-species-checked": "testedAndGuaranteed", "IHCP-species-dilution-info": "1/100 - 1/250", "IHCP-species-notes": "<p></p> Perform heat-mediated antigen retrieval before commencing with IHC staining protocol.", "Dot-species-checked": "guaranteed", "Dot-species-dilution-info": "", "Dot-species-notes": "", "WB-species-checked": "testedAndGuaranteed", "WB-species-dilution-info": "1/5000 - 1/10000", "WB-species-notes": "<p>Abcam recommends using BSA as the blocking agent.</p>", "InCellELISA-species-checked": "guaranteed", "InCellELISA-species-dilution-info": "", "InCellELISA-species-notes": "", "ICCIF-species-checked": "notRecommended", "ICCIF-species-dilution-info": "", "ICCIF-species-notes": "<p></p>", "FlowCyt-species-checked": "notRecommended", "FlowCyt-species-dilution-info": "", "FlowCyt-species-notes": "<p></p>", "IP-species-checked": "notRecommended", "IP-species-dilution-info": "", "IP-species-notes": "<p></p>" }, "Mouse": { "IHCP-species-checked": "guaranteed", "IHCP-species-dilution-info": "", "IHCP-species-notes": "", "Dot-species-checked": "guaranteed", "Dot-species-dilution-info": "", "Dot-species-notes": "", "WB-species-checked": "testedAndGuaranteed", "WB-species-dilution-info": "1/5000 - 1/10000", "WB-species-notes": "<p>Abcam recommends using BSA as the blocking agent.</p>", "InCellELISA-species-checked": "testedAndGuaranteed", "InCellELISA-species-dilution-info": "", "InCellELISA-species-notes": "<p></p>", "ICCIF-species-checked": "notRecommended", "ICCIF-species-dilution-info": "", "ICCIF-species-notes": "<p></p>", "FlowCyt-species-checked": "notRecommended", "FlowCyt-species-dilution-info": "", "FlowCyt-species-notes": "<p></p>", "IP-species-checked": "notRecommended", "IP-species-dilution-info": "", "IP-species-notes": "<p></p>" }, "Rat": { "IHCP-species-checked": "guaranteed", "IHCP-species-dilution-info": "", "IHCP-species-notes": "", "Dot-species-checked": "guaranteed", "Dot-species-dilution-info": "", "Dot-species-notes": "", "WB-species-checked": "testedAndGuaranteed", "WB-species-dilution-info": "1/5000 - 1/10000", "WB-species-notes": "<p>Abcam recommends using BSA as the blocking agent.</p>", "InCellELISA-species-checked": "guaranteed", "InCellELISA-species-dilution-info": "", "InCellELISA-species-notes": "", "ICCIF-species-checked": "notRecommended", "ICCIF-species-dilution-info": "", "ICCIF-species-notes": "<p></p>", "FlowCyt-species-checked": "notRecommended", "FlowCyt-species-dilution-info": "", "FlowCyt-species-notes": "<p></p>", "IP-species-checked": "notRecommended", "IP-species-dilution-info": "", "IP-species-notes": "<p></p>" }, "Synthetic peptide": { "IHCP-species-checked": "notRecommended", "IHCP-species-dilution-info": "", "IHCP-species-notes": "", "Dot-species-checked": "testedAndGuaranteed", "Dot-species-dilution-info": "1/1000", "Dot-species-notes": "<p></p>", "WB-species-checked": "notRecommended", "WB-species-dilution-info": "", "WB-species-notes": "", "InCellELISA-species-checked": "notRecommended", "InCellELISA-species-dilution-info": "", "InCellELISA-species-notes": "", "ICCIF-species-checked": "notRecommended", "ICCIF-species-dilution-info": "", "ICCIF-species-notes": "", "FlowCyt-species-checked": "notRecommended", "FlowCyt-species-dilution-info": "", "FlowCyt-species-notes": "", "IP-species-checked": "notRecommended", "IP-species-dilution-info": "", "IP-species-notes": "" } } }

产品详情

Anti-AKT1 (phospho S473) antibody [EP2109Y] (ab81283) was developed by Abcam using patented rabbit monoclonal antibody technology and is validated for use in Dot blot, IHC-P, In-Cell ELISA, WB in human, mouse, rat, recombinant fragment samples.

Anti-AKT1 (phospho S473) antibody [EP2109Y] (ab81283) has been cited over 612 times in peer reviewed journals and is trusted by the scientific community.

Abcam's high quality manufacturing and validation processes ensure Anti-phospho AKT antibody (Anti-RAC antibody; anti-pAKT antibody) [EP2109Y] (ab81283) has high sensitivity and specificity alongside high lot-to-lot consistency and reproducibility.

Anti-AKT1 (phospho S473) antibody [EP2109Y] (ab81283) has 10 independent reviews from customers.

Anti-AKT1 (phospho S473) antibody [EP2109Y] (ab81283) specifically detects AKT1 Phospho-S473 (UniProt ID: P31749; Molecular weight: 56kDa) and is sold in a convenient trial size to enable initial testing (20 µL) and larger sizes for subsequent scaling up experiments (100 µL and 1 mL).

Conjugation-ready, carrier free format available for antibody clone EP2109Y - ab215873.

Antibody clone EP2109Y is also available pre-conjugated to a variety of labels for your convenience - HRP, Alexa Fluor® 488, Alexa Fluor® 647 (ab194201, ab313593, ab313670).

AKT1 (RAC) also known as protein kinase B (PKB), is a crucial component of the PI3K/AKT signaling pathway, which regulates cell growth, survival, and metabolism. It interacts with key cell cycle proteins like p21, p27, and cyclin D1, and tumor suppressors such as p53. In oncology, AKT1 is a significant target due to its role in promoting tumor growth by enhancing cell proliferation and inhibiting apoptosis.

Abcam recommended secondaries - Goat Anti-Rabbit HRP (ab205718) and Goat Anti-Rabbit Alexa Fluor® 488 (ab150077). Or search our wide range of secondary antibodies for use with your experiment.

Patented technology
Our RabMAb® technology is a patented hybridoma-based technology for making rabbit monoclonal antibodies. For details on our patents, please refer to RabMAb® patents.

What are the advantages of a recombinant monoclonal antibody?
This product is a recombinant monoclonal antibody, which offers several advantages including:

  • - High batch-to-batch consistency and reproducibility
  • - Improved sensitivity and specificity
  • - Long-term security of supply
  • - Animal-free batch production

For more information, read more on recombinant antibodies.

性能和储存信息

形式
Liquid
纯化工艺
Affinity purification Protein A
存储溶液
pH: 7.2 - 7.4 Preservative: 0.01% Sodium azide Constituents: PBS, 40% Glycerol (glycerin, glycerine), 0.05% BSA
运输条件
Blue Ice
推荐的短期储存时间
1-2 weeks
推荐的短期储存条件
+4°C
推荐的长期储存条件
-20°C
分装信息
Upon delivery aliquot
储存信息
Avoid freeze / thaw cycle

补充信息

This supplementary information is collated from multiple sources and compiled automatically.

AKT1 also known as Protein Kinase B (PKB) is a serine/threonine kinase involved in various cellular processes. AKT1 plays an important role in mediating signals for cell survival growth and metabolism. This protein has a molecular weight of approximately 56 kDa. AKT1 is ubiquitously expressed in many tissues including the brain heart and lungs showing its importance in multiple physiological contexts. Phosphorylation of AKT1 at serine 473 denoted as p-AKT S473 is an important modification that regulates its activity.
Biological function summary

AKT1 regulates a broad spectrum of cellular functions through signaling pathways. It is an important player in the phosphatidylinositol 3-kinase (PI3K) and AKT pathway forming part of a complex involved in promoting cell survival and growth. AKT1 interacts closely with other proteins such as mTOR influencing cellular metabolism and autophagy. The phosphorylation state of AKT1 is critical for its activity with modifications like p-AKT S473 impacting its interaction with cellular substrates.

Pathways

AKT1 participates in the PI3K/AKT/mTOR signaling cascade instrumental in cell proliferation and metabolism. AKT1 integrates signals from insulin and growth factors modulating pathways that control cell growth and glucose uptake. This pathway involves proteins like mTOR and phospho-AKT which coordinate cellular responses to external stimuli. AKT1’s phosphorylation at serine 473 and the involvement of AKT1 E17K a gain-of-function mutation influence these pathways significantly.

AKT1 has associations with cancer and metabolic disorders. Dysregulation of the PI3K/AKT/mTOR pathway involving AKT1 and mTOR often results in oncogenic transformation and uncontrolled cellular proliferation. In cancer such as breast cancer AKT1 mutations including AKT1 E17K are implicated altering cell signals for growth. Additionally AKT1 is connected to metabolic disorders such as Type 2 diabetes where it affects insulin signaling and glucose metabolism highlighting its interaction with metabolic proteins like mTOR and phospho-AKT.

产品实验方案

For this product, it's our understanding that no specific protocols are required. You can visit:

靶点信息

AKT1 is one of 3 closely related serine/threonine-protein kinases (AKT1, AKT2 and AKT3) called the AKT kinase, and which regulate many processes including metabolism, proliferation, cell survival, growth and angiogenesis (PubMed : 11882383, PubMed : 15526160, PubMed : 15861136, PubMed : 21432781, PubMed : 21620960, PubMed : 31204173). This is mediated through serine and/or threonine phosphorylation of a range of downstream substrates (PubMed : 11882383, PubMed : 15526160, PubMed : 21432781, PubMed : 21620960, PubMed : 29343641, PubMed : 31204173). Over 100 substrate candidates have been reported so far, but for most of them, no isoform specificity has been reported (PubMed : 11882383, PubMed : 15526160, PubMed : 21432781, PubMed : 21620960). AKT is responsible of the regulation of glucose uptake by mediating insulin-induced translocation of the SLC2A4/GLUT4 glucose transporter to the cell surface (By similarity). Phosphorylation of PTPN1 at 'Ser-50' negatively modulates its phosphatase activity preventing dephosphorylation of the insulin receptor and the attenuation of insulin signaling (By similarity). Phosphorylation of TBC1D4 triggers the binding of this effector to inhibitory 14-3-3 proteins, which is required for insulin-stimulated glucose transport (PubMed : 11994271). AKT also regulates the storage of glucose in the form of glycogen by phosphorylating GSK3A at 'Ser-21' and GSK3B at 'Ser-9', resulting in inhibition of its kinase activity (By similarity). Phosphorylation of GSK3 isoforms by AKT is also thought to be one mechanism by which cell proliferation is driven (By similarity). AKT also regulates cell survival via the phosphorylation of MAP3K5 (apoptosis signal-related kinase) (PubMed : 11154276). Phosphorylation of 'Ser-83' decreases MAP3K5 kinase activity stimulated by oxidative stress and thereby prevents apoptosis (PubMed : 11154276). AKT mediates insulin-stimulated protein synthesis by phosphorylating TSC2 at 'Ser-939' and 'Thr-1462', thereby activating the mTORC1 signaling pathway, and leading to both phosphorylation of 4E-BP1 and in activation of RPS6KB1 (PubMed : 12150915, PubMed : 12172553). Also regulates the mTORC1 signaling pathway by catalyzing phosphorylation of CASTOR1 and DEPDC5 (PubMed : 31548394, PubMed : 33594058). AKT plays a role as key modulator of the AKT-mTOR signaling pathway controlling the tempo of the process of newborn neurons integration during adult neurogenesis, including correct neuron positioning, dendritic development and synapse formation (By similarity). Part of a positive feedback loop of mTORC2 signaling by mediating phosphorylation of MAPKAP1/SIN1, promoting mTORC2 activation (By similarity). AKT is involved in the phosphorylation of members of the FOXO factors (Forkhead family of transcription factors), leading to binding of 14-3-3 proteins and cytoplasmic localization (PubMed : 10358075). In particular, FOXO1 is phosphorylated at 'Thr-24', 'Ser-256' and 'Ser-319' (PubMed : 10358075). FOXO3 and FOXO4 are phosphorylated on equivalent sites (PubMed : 10358075). AKT has an important role in the regulation of NF-kappa-B-dependent gene transcription and positively regulates the activity of CREB1 (cyclic AMP (cAMP)-response element binding protein) (PubMed : 9829964). The phosphorylation of CREB1 induces the binding of accessory proteins that are necessary for the transcription of pro-survival genes such as BCL2 and MCL1 (PubMed : 9829964). AKT phosphorylates 'Ser-454' on ATP citrate lyase (ACLY), thereby potentially regulating ACLY activity and fatty acid synthesis (By similarity). Activates the 3B isoform of cyclic nucleotide phosphodiesterase (PDE3B) via phosphorylation of 'Ser-273', resulting in reduced cyclic AMP levels and inhibition of lipolysis (By similarity). Phosphorylates PIKFYVE on 'Ser-318', which results in increased PI(3)P-5 activity (By similarity). The Rho GTPase-activating protein DLC1 is another substrate and its phosphorylation is implicated in the regulation cell proliferation and cell growth (By similarity). Signals downstream of phosphatidylinositol 3-kinase (PI(3)K) to mediate the effects of various growth factors such as platelet-derived growth factor (PDGF), epidermal growth factor (EGF), insulin and insulin-like growth factor 1 (IGF1) (PubMed : 12176338, PubMed : 12964941). AKT mediates the antiapoptotic effects of IGF1 (By similarity). Essential for the SPATA13-mediated regulation of cell migration and adhesion assembly and disassembly (PubMed : 19934221). May be involved in the regulation of the placental development (By similarity). Phosphorylates STK4/MST1 at 'Thr-120' and 'Thr-387' leading to inhibition of its : kinase activity, nuclear translocation, autophosphorylation and ability to phosphorylate FOXO3 (PubMed : 17726016). Phosphorylates STK3/MST2 at 'Thr-117' and 'Thr-384' leading to inhibition of its : cleavage, kinase activity, autophosphorylation at Thr-180, binding to RASSF1 and nuclear translocation (PubMed : 20086174). Phosphorylates SRPK2 and enhances its kinase activity towards SRSF2 and ACIN1 and promotes its nuclear translocation (PubMed : 19592491). Phosphorylates RAF1 at 'Ser-259' and negatively regulates its activity (PubMed : 10576742). Phosphorylation of BAD stimulates its pro-apoptotic activity (PubMed : 10926925). Phosphorylates KAT6A at 'Thr-369' and this phosphorylation inhibits the interaction of KAT6A with PML and negatively regulates its acetylation activity towards p53/TP53 (PubMed : 23431171). Phosphorylates palladin (PALLD), modulating cytoskeletal organization and cell motility (PubMed : 20471940). Phosphorylates prohibitin (PHB), playing an important role in cell metabolism and proliferation (PubMed : 18507042). Phosphorylates CDKN1A, for which phosphorylation at 'Thr-145' induces its release from CDK2 and cytoplasmic relocalization (PubMed : 16982699). These recent findings indicate that the AKT1 isoform has a more specific role in cell motility and proliferation (PubMed : 16139227). Phosphorylates CLK2 thereby controlling cell survival to ionizing radiation (PubMed : 20682768). Phosphorylates PCK1 at 'Ser-90', reducing the binding affinity of PCK1 to oxaloacetate and changing PCK1 into an atypical protein kinase activity using GTP as donor (PubMed : 32322062). Also acts as an activator of TMEM175 potassium channel activity in response to growth factors : forms the lysoK(GF) complex together with TMEM175 and acts by promoting TMEM175 channel activation, independently of its protein kinase activity (PubMed : 32228865). Acts as a regulator of mitochondrial calcium uptake by mediating phosphorylation of MICU1 in the mitochondrial intermembrane space, impairing MICU1 maturation (PubMed : 30504268). Acts as an inhibitor of tRNA methylation by mediating phosphorylation of the N-terminus of METTL1, thereby inhibiting METTL1 methyltransferase activity (PubMed : 15861136). In response to LPAR1 receptor pathway activation, phosphorylates Rabin8/RAB3IP which alters its activity and phosphorylates WDR44 which induces WDR44 binding to Rab11, thereby switching Rab11 vesicular function from preciliary trafficking to endocytic recycling (PubMed : 31204173).
See full target information AKT1 phospho S473

文献 (763)

Recent publications for all applications. Explore the full list and refine your search

Journal of inflammation research 18:13575-13592 PubMed41054626

2025

Sirp-α Antibody Inhibits Renal Cell Carcinoma Progression via Akt1/Akt2 Modulation in Tumor-Associated Macrophages.

Applications

Unspecified application

Species

Unspecified reactive species

Junfeng Hao,Naiquan Liu,Xin Huang,Hanlei Zhou,Hanrong Li,Yizhou Zhang,Bing Yu,Ziqian Bi,Xinyuan Song,Shunan Li,Keyu Chen,Ning Li,Chao Zhu,Jiahe Wang

Physiological reports 13:e70553 PubMed40969143

2025

Midkine promotes PDGF-BB-induced proliferation, migration, and glycolysis of airway smooth muscle cells via the PI3K Akt pathway.

Applications

Unspecified application

Species

Unspecified reactive species

Yongtian Xu,Wenli Li,Jun Shi,Yanfang Guo

Frontiers in chemistry 13:1650197 PubMed40919243

2025

Natural product Erianin: mitigating FOLFOX toxicity and enhancing against colorectal cancer.

Applications

Unspecified application

Species

Unspecified reactive species

Fuqin Yang,Zeqiao Li,Haishan Zhang,Mingxiao Zhang,Zhenwei He,Xiaoqin Zheng,Yingru Zhu,Pei Long,Ruirui Ding,Zhengbin Lin,Lijuan Deng

Nature genetics 57:2192-2202 PubMed40846762

2025

Tamoxifen induces PI3K activation in uterine cancer.

Applications

Unspecified application

Species

Unspecified reactive species

Kirsten Kübler,Agostina Nardone,Shankara Anand,Daniel Gurevich,Jianjiong Gao,Marjolein Droog,Francisco Hermida-Prado,Tara Akhshi,Ariel Feiglin,Avery S Feit,Gabriella Cohen Feit,Gwen Dackus,Matthew Pun,Yanan Kuang,Justin Cha,Mendy Miller,Sebastian Gregoricchio,Mirthe Lanfermeijer,Sten Cornelissen,William J Gibson,Cloud P Paweletz,Eliezer M Van Allen,Flora E van Leeuwen,Petra M Nederlof,Quang-Dé Nguyen,Marian J E Mourits,Milan Radovich,Ignaty Leshchiner,Chip Stewart,Ursula A Matulonis,Wilbert Zwart,Yosef E Maruvka,Gad Getz,Rinath Jeselsohn

Bioactive materials 53:737-753 PubMed40801020

2025

Inhibition of ARH2 by pH/ROS-responsive nanosystem for improved lung adenocarcinoma immunochemotherapy.

Applications

Unspecified application

Species

Unspecified reactive species

Rui Cai,Meng Wang,Mengting Pan,Zhiwu Zhang,Qiang Jia,Longbao Feng,Zhongjian Yu,Lu Liu,Tongyu Zhu,Silin Cai,Han Tian,Jiangyu Zhang,Rui Guo,Yanfang Zheng

International neurourology journal 29:S44-S52 PubMed40776597

2025

High-Intensity Aerobic Exercise Prevents Angiotensin II-Induced Muscle Atrophy.

Applications

Unspecified application

Species

Unspecified reactive species

Jong-Hwa Won,Ying-Ying Xiang,Kyung-Wan Baek,Min-Jeong Kang,Ji-Seok Kim

Scientific reports 15:27739 PubMed40730854

2025

CIAPIN1 promotes survival, proliferation, migration and glycolysis of endometrial cancer cells through PI3K/Akt pathway.

Applications

Unspecified application

Species

Unspecified reactive species

Huanmei Sun,Juan Shao,Yingchun Duan,Jiashi Gu

Iranian journal of basic medical sciences 28:946-954 PubMed40703755

2025

Schisandrin B regulates the SIRT1/PI3K/Akt signaling pathway to ameliorate Ang II-infused cardiac fibrosis.

Applications

Unspecified application

Species

Unspecified reactive species

Xiaogang Zhang,Mengqing Shi,Zhongying Xing,Jie Su,Yuying Gu,Zhongping Ning

Toxics 13: PubMed40559960

2025

Intratracheal Administration of Polystyrene Micro(nano)plastics with a Mixed Particle Size Promote Pulmonary Fibrosis in Rats by Activating TGF-β1 Signaling and Destabilizing Mitochondrial Dynamics and Mitophagy in a Dose- and Time-Dependent Manner.

Applications

Unspecified application

Species

Unspecified reactive species

Shuang Xia,Chunli Yuan,Wei Long,Zongcheng Wu,Xiuqin Li,Nan Wang,Mumu Gao,Zhe Li,Peilun Li,Peng Liu,Xiaoxi Qu,Lina Sun

Reproductive biology and endocrinology : RB&E 23:91 PubMed40537830

2025

BEZ235-Mediated PI3K/mTOR dual inhibition improves ovarian follicle survival in a preclinical model.

Applications

Unspecified application

Species

Unspecified reactive species

Jules Bindels,Laëtitia Bernet,Marlyne Squatrito,Michelle Nisolle,Carine Munaut
View all publications

Abcam Product Promise

我们致力于为您的研究提供高质量的试剂,为您科研的每一步提供支持。若我们的产品未能达到预期性能,我们向您提供 Abcam Product Promise 保障。
详情请参阅我们的条款与条件。

Please note: All products are 'FOR RESEARCH USE ONLY. NOT FOR USE IN DIAGNOSTIC OR THERAPEUTIC PROCEDURES'.

For licensing inquiries, please contact partnerships@abcam.com