JavaScript is disabled in your browser. Please enable JavaScript to view this website.
AB32516

Anti-AIF 抗体 [E20] - Mitochondrial Marker

Anti-AIF antibody [E20] - Mitochondrial Marker

  • RabMAb
  • Recombinant
  • KO Validated
  • Lab Essentials
  • 20ul selling size
  • 了解详情

4

(5 Reviews)

|

(84 Publications)

Anti-AIF antibody [E20] - Mitochondrial Marker (ab32516) is a rabbit monoclonal antibody detecting AIF in Western Blot, Flow Cytometry (Intra), Flow Cytometry, IP, IHC-P, IHC-Fr, ICC/IF. Suitable for Human, Mouse, Rat.

- KO validated for confirmed specificity
- Biophysical QC for unrivalled batch-batch consistency
- Over 70 publications
- Trusted since 2006

查看别名

AIF, PDCD8, AIFM1, Programmed cell death protein 8

7 Images
Immunocytochemistry/ Immunofluorescence - Anti-AIF antibody [E20] - Mitochondrial Marker (AB32516)
  • ICC/IF

Unknown

Immunocytochemistry/ Immunofluorescence - Anti-AIF antibody [E20] - Mitochondrial Marker (AB32516)

ICC/IF image of ab32516 stained HeLa cells. The cells were 4% PFA fixed (10 min) and then incubated in 1%BSA / 10% normal goat serum / 0.3M glycine in 0.1% PBS-Tween for 1h to permeabilise the cells and block non-specific protein-protein interactions. The cells were then incubated with the antibody (ab32516, 1µg/ml) overnight at +4°C. The secondary antibody (green) was Alexa Fluor® 488 goat anti-rabbit IgG (H+L) used at a 1/1000 dilution for 1h. Alexa Fluor® 594 WGA was used to label plasma membranes (red) at a 1/200 dilution for 1h. DAPI was used to stain the cell nuclei (blue) at a concentration of 1.43µM.

Immunohistochemistry (Formalin/PFA-fixed paraffin-embedded sections) - Anti-AIF antibody [E20] - Mitochondrial Marker (AB32516)
  • IHC-P

Unknown

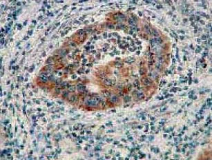
Immunohistochemistry (Formalin/PFA-fixed paraffin-embedded sections) - Anti-AIF antibody [E20] - Mitochondrial Marker (AB32516)

ab32516, at a 1/500 dilution, staining AIF in paraffin embedded human cervical carcinoma tissue by Immunohistochemistry.

Perform heat mediated antigen retrieval with citrate buffer pH 6 before commencing with IHC staining protocol.

Flow Cytometry (Intracellular) - Anti-AIF antibody [E20] - Mitochondrial Marker (AB32516)
  • Flow Cyt (Intra)

Unknown

Flow Cytometry (Intracellular) - Anti-AIF antibody [E20] - Mitochondrial Marker (AB32516)

Overlay histogram showing K562 cells stained with ab32516 (red line). The cells were fixed with 4% paraformaldehyde (10 min) and then permeabilized with 0.1% PBS-Tween for 20 min. The cells were then incubated in 1x PBS / 10% normal goat serum / 0.3M glycine to block non-specific protein-protein interactions followed by the antibody (ab32516, 1/50 dilution) for 30 min at 22°C. The secondary antibody used was DyLight® 488 goat anti-rabbit IgG (H+L) (ab96899) at 1/500 dilution for 30 min at 22°C. Isotype control antibody (black line) was rabbit monoclonal IgG (1μg/1x106 cells) used under the same conditions. Acquisition of >5,000 events was performed. This antibody gave a positive signal in K562 cells fixed with methanol (5 min)/permeabilized with 0.1% PBS-Tween used under the same conditions.

Western blot - Anti-AIF antibody [E20] - Mitochondrial Marker (AB32516)
  • WB

Supplier Data

Western blot - Anti-AIF antibody [E20] - Mitochondrial Marker (AB32516)

In Western blot, Anti-GAPDH antibody [EPR16891] - Loading Control (ab181602) staining at 1/200000 dilution.

In Western blot, Anti-AIF antibody [E20] (ab32516) staining at 1/1000 dilution.

All lanes:

Western blot - Anti-CISD1/MitoNEET antibody [EPR29116-27] (<a href='/products/primary-antibodies/cisd1-mitoneet-antibody-epr29116-27-ab318199'>ab318199</a>) at 1/1000 dilution

Lane 1:

HeLa (human cervical adenocarcinoma epithelial cell) cytoplasmic fraction at 20 µg with NFDM/TBST

Lane 2:

HeLa mitochondrial fraction at 20 µg with NFDM/TBST

Secondary

All lanes:

Goat Anti-Rabbit IgG (HRP) with minimal cross-reactivity with human IgG at 1/2000 dilution

Observed band size: 15 kDa,36 kDa,67 kDa

false

Exposure time: 10s

Immunoprecipitation - Anti-AIF antibody [E20] - Mitochondrial Marker (AB32516)
  • IP

Unknown

Immunoprecipitation - Anti-AIF antibody [E20] - Mitochondrial Marker (AB32516)

AIF was immunoprecipitated using 0.5mg K562 whole cell extract, 5µg of Rabbit monoclonal to AIF and 50µl of protein G magnetic beads (+). No antibody was added to the control (-).
The antibody was incubated under agitation with Protein G beads for 10min, K562 whole cell extract lysate diluted in RIPA buffer was added to each sample and incubated for a further 10min under agitation.
Proteins were eluted by addition of 40µl SDS loading buffer and incubated for 10min at 70oC; 10µl of each sample was separated on a SDS PAGE gel, transferred to a nitrocellulose membrane, blocked with 5% BSA and probed with ab32516.
Secondary : Mouse monoclonal [SB62a] Secondary Antibody to Rabbit IgG light chain (HRP) (ab99697).
Band : 67kDa : AIF

All lanes:

Immunoprecipitation - Anti-AIF antibody [E20] - Mitochondrial Marker (ab32516)

Predicted band size: 67 kDa

false

Western blot - Anti-AIF antibody [E20] - Mitochondrial Marker (AB32516)
  • WB

Unknown

Western blot - Anti-AIF antibody [E20] - Mitochondrial Marker (AB32516)

All lanes:

Western blot - Anti-AIF antibody [E20] - Mitochondrial Marker (ab32516) at 1/1000 dilution

All lanes:

K562 cell lysate

Predicted band size: 67 kDa

Observed band size: 67 kDa

false

Western blot - Anti-AIF antibody [E20] - Mitochondrial Marker (AB32516)
  • WB

Lab

Western blot - Anti-AIF antibody [E20] - Mitochondrial Marker (AB32516)

Lanes 1- 2 : Merged signal (red and green). Green - ab32516 observed at 67 kDa. Red - Anti-GAPDH antibody [6C5] - Loading Control (ab8245) observed at 37 kDa.

ab32516 was shown to react with AIF in wild-type HEK-293T cells in western blot. Loss of signal was observed when knockout cell line ab266347 (knockout cell lysate ab256834) was used. Wild-type HEK-293T and AIFM1 knockout HEK-293T cell lysates were subjected to SDS-PAGE. Membrane was blocked for 1 hour at room temperature in 0.1% TBST with 3% non-fat dried milk. ab32516 and Anti-GAPDH antibody [6C5] - Loading Control (ab8245) overnight at 4°C at a 1 in 1000 dilution and a 1 in 20000 dilution respectively. Blots were developed with Goat anti-Rabbit IgG H&L (IRDye®800CW) preadsorbed (ab216773) and Goat anti-Mouse IgG H&L (IRDye®680RD) preadsorbed (ab216776) secondary antibodies at 1 in 20000 dilution for 1 hour at room temperature before imaging.

All lanes:

Western blot - Anti-AIF antibody [E20] - Mitochondrial Marker (ab32516) at 1/1000 dilution

Lane 1:

Wild-type HEK-293T cell lysate at 20 µg

Lane 2:

AIFM1 knockout HEK-293T cell lysate at 20 µg

Lane 2:

Western blot - Human AIFM1 (AIF) knockout HEK-293T cell line (<a href='/products/cell-lines/human-aifm1-aif-knockout-hek-293t-cell-line-ab266347'>ab266347</a>)

Predicted band size: 67 kDa

Observed band size: 67 kDa

false

不同偶联物与剂型 (3)

  • 665 Alexa Fluor® 647

    Alexa Fluor® 647 Anti-AIF antibody [E20] - Mitochondrial Marker

  • Biotin

    Biotin Anti-AIF antibody [E20] - Mitochondrial Marker

  • Carrier free

    Anti-AIF antibody [E20] - BSA and Azide free

关键信息

宿主种属

Rabbit

克隆

Monoclonal

克隆号

E20

亚型

IgG

不含载体蛋白

No

反应种属

Human, Rat, Mouse

应用

IHC-P, IP, IHC-Fr, Flow Cyt (Intra), WB, ICC/IF

applications

免疫原

The exact immunogen used to generate this antibody is proprietary information.

反应性数据

{ "title": "Reactivity Data", "filters": { "stats": ["", "Species", "Dilution Info", "Notes"], "tabs": { "all-applications": {"fullname" : "All Applications", "shortname": "All Applications"}, "IHCP" : {"fullname" : "Immunohistochemistry (Formalin/PFA-fixed paraffin-embedded sections)", "shortname":"IHC-P"}, "IP" : {"fullname" : "Immunoprecipitation", "shortname":"IP"}, "WB" : {"fullname" : "Western blot", "shortname":"WB"}, "ICCIF" : {"fullname" : "Immunocytochemistry/ Immunofluorescence", "shortname":"ICC/IF"}, "IHCFr" : {"fullname" : "Immunohistochemistry (Frozen sections)", "shortname":"IHC-Fr"}, "FlowCytIntra" : {"fullname" : "Flow Cytometry (Intracellular)", "shortname":"Flow Cyt (Intra)"} }, "product-promise": { "all": "all", "testedAndGuaranteed": "tested", "guaranteed": "expected", "predicted": "predicted", "notRecommended": "not-recommended" } }, "values": { "Human": { "IHCP-species-checked": "testedAndGuaranteed", "IHCP-species-dilution-info": "", "IHCP-species-notes": "<p></p> Perform heat-mediated antigen retrieval with citrate buffer pH 6 before commencing with IHC staining protocol.", "IP-species-checked": "testedAndGuaranteed", "IP-species-dilution-info": "", "IP-species-notes": "<p></p>", "WB-species-checked": "testedAndGuaranteed", "WB-species-dilution-info": "1/1000", "WB-species-notes": "<p></p>", "ICCIF-species-checked": "testedAndGuaranteed", "ICCIF-species-dilution-info": "1/500", "ICCIF-species-notes": "<p></p>", "IHCFr-species-checked": "guaranteed", "IHCFr-species-dilution-info": "", "IHCFr-species-notes": "<p></p>", "FlowCytIntra-species-checked": "testedAndGuaranteed", "FlowCytIntra-species-dilution-info": "1/50", "FlowCytIntra-species-notes": "<p><a href='/products/primary-antibodies/rabbit-igg-monoclonal-epr25a-isotype-control-ab172730'>ab172730</a> - Rabbit monoclonal IgG, is suitable for use as an isotype control with this antibody.</p>" }, "Mouse": { "IHCP-species-checked": "predicted", "IHCP-species-dilution-info": "", "IHCP-species-notes": "", "IP-species-checked": "predicted", "IP-species-dilution-info": "", "IP-species-notes": "", "WB-species-checked": "guaranteed", "WB-species-dilution-info": "", "WB-species-notes": "<p></p>", "ICCIF-species-checked": "predicted", "ICCIF-species-dilution-info": "", "ICCIF-species-notes": "", "IHCFr-species-checked": "guaranteed", "IHCFr-species-dilution-info": "", "IHCFr-species-notes": "<p></p>", "FlowCytIntra-species-checked": "predicted", "FlowCytIntra-species-dilution-info": "", "FlowCytIntra-species-notes": "" }, "Rat": { "IHCP-species-checked": "predicted", "IHCP-species-dilution-info": "", "IHCP-species-notes": "", "IP-species-checked": "predicted", "IP-species-dilution-info": "", "IP-species-notes": "", "WB-species-checked": "guaranteed", "WB-species-dilution-info": "", "WB-species-notes": "<p></p>", "ICCIF-species-checked": "predicted", "ICCIF-species-dilution-info": "", "ICCIF-species-notes": "", "IHCFr-species-checked": "guaranteed", "IHCFr-species-dilution-info": "", "IHCFr-species-notes": "<p></p>", "FlowCytIntra-species-checked": "predicted", "FlowCytIntra-species-dilution-info": "", "FlowCytIntra-species-notes": "" } } }

产品详情

What is this antibody validated in?
Anti-AIF antibody [E20] - Mitochondrial Marker (ab32516) is a rabbit recombinant monoclonal antibody and is validated for use in Western Blot (WB), Flow Cytometry (Intra), Flow Cytometry (Flow Cyt), Immunoprecipitation (IP), Immunohistochemistry (IHC-P), Immunohistochemistry (IHC-Fr), Immunocytochemistry/immunofluorescence (ICC/IF) in Human, Mouse, Rat samples.

What is the molecular weight of AIF?
Anti-AIF [E20] - Mitochondrial Marker (ab32516) specifically detects a band for AIF (UniProt: O95831) at a molecular weight of 67kDa.

Trusted by the scientific community
Anti-AIF [E20] - Mitochondrial Marker (ab32516) was first used in a scientific publication in 2006 and has been cited over 70 times in peer-reviewed journals.

Reviewed by scientists
Anti-AIF [E20] - Mitochondrial Marker (ab32516) has over 5 independent reviews from customers.

Trial sizes available!
Test your antibody or perform pre-screening before committing to a larger quantity. Sold in 10µl. Discover our selection of trial-size antibodies.

Specificity confirmed
The specificity of Anti-AIF antibody [E20] - Mitochondrial Marker (ab32516) has been confirmed by Western blot testing in AIFM1 Knockout HEK-293 cells.

Other related products
We have a range of other formats of antibody clone [E20] also available for your convenience: ab32516, Alexa Fluor® 647 - ab196847, Biotin - ab197526, Carrier free - ab220215

Patented technology
Our RabMAb® technology is a patented hybridoma-based technology for making rabbit monoclonal antibodies. For details on our patents, please refer to RabMAb® patents.

What are the advantages of a recombinant monoclonal antibody?
This product is a recombinant monoclonal antibody, which offers several advantages including:

  • - High batch-to-batch consistency and reproducibility
  • - Improved sensitivity and specificity
  • - Long-term security of supply
  • - Animal-free batch production

For more information, read more on recombinant antibodies.

性能和储存信息

形式
Liquid
存储溶液
pH: 7.2 - 7.4 Preservative: 0.01% Sodium azide Constituents: 50% Glycerol (glycerin, glycerine), 49% PBS, 0.05% BSA
运输条件
Blue Ice
推荐的短期储存时间
1-2 weeks
推荐的短期储存条件
+4°C
推荐的长期储存条件
-20°C
分装信息
Upon delivery aliquot
储存信息
Avoid freeze / thaw cycle

补充信息

This supplementary information is collated from multiple sources and compiled automatically.

AIF short for Apoptosis-Inducing Factor is a flavoprotein characterized by its mass of approximately 57 kDa. It resides in the mitochondria of cells where it plays a decisive role in apoptosis. Under normal conditions AIF remains in the mitochondrial intermembrane space but when cells receive apoptotic signals AIF translocates to the nucleus leading to chromatin condensation and large-scale DNA fragmentation. The protein is also known as AIFM1 and performs functions beyond apoptosis including regulation of reactive oxygen species. Often analyzed using tools like a mitochondrial AB marker researchers use AIF as an important part of understanding cell death mechanisms.
Biological function summary

AIF functions as an important element in mitochondrial-mediated apoptosis. Once released from mitochondria AIF triggers a caspase-independent pathway of apoptosis making it distinct from other pathways where caspases are central. While not part of a larger protein complex AIF interacts closely with several mitochondrial and nuclear elements to execute its functions. Researchers often monitor AIF activity using apoptosis ELISA kits which help in precise detection and quantification of this protein within cellular systems.

Pathways

The presence and activity of AIF align with the broader apoptotic pathway and mitochondrial respiration. AIF links significantly with other molecules like cytochrome c released during apoptosis although cytochrome c follows a caspase-dependent pathway. It also shows involvement in various cellular injury and stress response pathways reinforcing its role as a major player in cellular fate decisions and intrinsic apoptotic mechanisms.

AIF holds relevance in neurodegenerative disorders such as Parkinson's disease and certain forms of cancer. Misregulation or mutations in AIF can lead to increased susceptibility to these conditions highlighting its importance in maintaining normal cellular and mitochondrial function. AIF also interacts with other proteins implicated in these disorders such as E2F1 in cancer which shares similar apoptotic regulatory roles. These interactions highlight the biological significance of AIF beyond its fundamental apoptosis function making it a potential target for therapeutic interventions.

产品实验方案

For this product, it's our understanding that no specific protocols are required. You can visit:

靶点信息

Functions both as NADH oxidoreductase and as regulator of apoptosis (PubMed : 17094969, PubMed : 20362274, PubMed : 23217327, PubMed : 33168626). In response to apoptotic stimuli, it is released from the mitochondrion intermembrane space into the cytosol and to the nucleus, where it functions as a proapoptotic factor in a caspase-independent pathway (PubMed : 20362274). Release into the cytoplasm is mediated upon binding to poly-ADP-ribose chains (By similarity). The soluble form (AIFsol) found in the nucleus induces 'parthanatos' i.e. caspase-independent fragmentation of chromosomal DNA (PubMed : 20362274). Binds to DNA in a sequence-independent manner (PubMed : 27178839). Interacts with EIF3G, and thereby inhibits the EIF3 machinery and protein synthesis, and activates caspase-7 to amplify apoptosis (PubMed : 17094969). Plays a critical role in caspase-independent, pyknotic cell death in hydrogen peroxide-exposed cells (PubMed : 19418225). In contrast, participates in normal mitochondrial metabolism. Plays an important role in the regulation of respiratory chain biogenesis by interacting with CHCHD4 and controlling CHCHD4 mitochondrial import (PubMed : 26004228).. Isoform 4. Has NADH oxidoreductase activity. Does not induce nuclear apoptosis.. Isoform 5. Pro-apoptotic isoform.
See full target information AIFM1

文献 (84)

Recent publications for all applications. Explore the full list and refine your search

Regenerative therapy 24:592-601 PubMed38034859

2023

Non-apoptotic regulated cell death in Fuchs endothelial corneal dystrophy.

Applications

Unspecified application

Species

Unspecified reactive species

Saki Sakakura,Emi Inagaki,Tomoko Sayano,Risa Yamazaki,Noemi Fusaki,Shin Hatou,Masatoshi Hirayama,Kazuo Tsubota,Kazuno Negishi,Hideyuki Okano,Shigeto Shimmura

Current research in neurobiology 5:100112 PubMed38020812

2023

The SARS-CoV-2 spike glycoprotein interacts with MAO-B and impairs mitochondrial energetics.

Applications

Unspecified application

Species

Unspecified reactive species

Chantal A Pileggi,Gaganvir Parmar,Hussein Elkhatib,Corina M Stewart,Irina Alecu,Marceline Côté,Steffany A L Bennett,Jagdeep K Sandhu,Miroslava Cuperlovic-Culf,Mary-Ellen Harper

ACS omega 8:33392-33402 PubMed37744847

2023

Xuebijing Injection Attenuates Heat Stroke-Induced Brain Injury through Oxidative Stress Blockage and Parthanatos Modulation via PARP-1/AIF Signaling.

Applications

Unspecified application

Species

Unspecified reactive species

Lin Wang,Boxin Ye,Yongrui Liu,Jun Li,Chunhe Li,Minyong Wen,Hongbo Li

Acta pharmacologica Sinica 44:1906-1919 PubMed37186123

2023

TAX1BP1 contributes to deoxypodophyllotoxin-induced glioma cell parthanatos via inducing nuclear translocation of AIF by activation of mitochondrial respiratory chain complex I.

Applications

Unspecified application

Species

Unspecified reactive species

Xuan-Zhong Wang,Shi-Peng Liang,Xi Chen,Zhen-Chuan Wang,Chen Li,Chun-Sheng Feng,Shan Lu,Chuan He,Yu-Bo Wang,Guang-Fan Chi,Peng-Fei Ge

Molecular medicine reports 27: PubMed36799163

2023

Maltol inhibits oxygen glucose deprivation‑induced chromatinolysis in SH‑SY5Y cells by maintaining pyruvate level.

Applications

Unspecified application

Species

Unspecified reactive species

Shuyan Zhang,Xinyue Zhang,Xuanzhong Wang,Chen Li,Chuan He,Tianfei Luo,Pengfei Ge

Cell discovery 9:7 PubMed36650126

2023

A RIPK3-independent role of MLKL in suppressing parthanatos promotes immune evasion in hepatocellular carcinoma.

Applications

Unspecified application

Species

Unspecified reactive species

Xifei Jiang,Wenjia Deng,Siyao Tao,Zheng Tang,Yuehong Chen,Mengxin Tian,Ting Wang,Chenyang Tao,Yize Li,Yuan Fang,Congying Pu,Jun Gao,Xiaomin Wang,Weifeng Qu,Xiameng Gai,Zhenbin Ding,Yixian Fu,Ying Zheng,Siyuwei Cao,Jian Zhou,Min Huang,Weiren Liu,Jun Xu,Jia Fan,Yinghong Shi

EMBO molecular medicine 15:e16581 PubMed36629048

2023

LONP1 targets HMGCS2 to protect mitochondrial function and attenuate chronic kidney disease.

Applications

Unspecified application

Species

Unspecified reactive species

Mi Bai,Mengqiu Wu,Mingzhu Jiang,Jia He,Xu Deng,Shuang Xu,Jiaojiao Fan,Mengqiu Miao,Ting Wang,Yuting Li,Xiaowen Yu,Lin Wang,Yue Zhang,Songming Huang,Li Yang,Zhanjun Jia,Aihua Zhang

Frontiers in aging neuroscience 14:1075161 PubMed36533180

2022

Effect of β-hydroxybutyrate on behavioral alterations, molecular and morphological changes in CNS of multiple sclerosis mouse model.

Applications

Unspecified application

Species

Unspecified reactive species

Wei Sun,Min Wen,Min Liu,Qingpeng Wang,Quiqin Liu,Lanjie Li,Hans-Christian Siebert,Gabriele Loers,Ruiyan Zhang,Ning Zhang

International journal of nanomedicine 17:5431-5446 PubMed36426375

2022

Activation of Dynamin-Related Protein 1 and Induction of Mitochondrial Apoptosis by Exosome-Rifampicin Nanoparticles Exerts Anti-Osteosarcoma Effect.

Applications

Unspecified application

Species

Unspecified reactive species

Wenkai Chen,Wenping Lin,Naichun Yu,Linlin Zhang,Zuoxing Wu,Yongjie Chen,Zongguang Li,Fengqing Gong,Na Li,Xiaohui Chen,Xu He,Yue Wu,Xiangchen Zeng,Yuting Yueh,Ren Xu,Guangrong Ji

Aging 14:7109-7125 PubMed36098742

2022

Realgar (AsS), a traditional Chinese medicine, induces acute promyelocytic leukemia cell death via the Bcl-2/Bax/Cyt-C/AIF signaling pathway .

Applications

Unspecified application

Species

Unspecified reactive species

Zonghong Li,Ruiming Zhang,Xuewei Yin,Nana Li,Siyuan Cui,Teng Wang,Xing Tan,Mingyue Shen,Yun Guo,Jinxin Wang,Dadong Guo,Ruirong Xu
View all publications

Abcam Product Promise

我们致力于为您的研究提供高质量的试剂,为您科研的每一步提供支持。若我们的产品未能达到预期性能,我们向您提供 Abcam Product Promise 保障。
详情请参阅我们的条款与条件。

Please note: All products are 'FOR RESEARCH USE ONLY. NOT FOR USE IN DIAGNOSTIC OR THERAPEUTIC PROCEDURES'.

For licensing inquiries, please contact partnerships@abcam.com